Stable Reference Genes for qPCR Analysis in BM-MSCs Undergoing Osteogenic Differentiation within 3D Hyaluronan-Based Hydrogels
Abstract
1. Introduction
2. Results
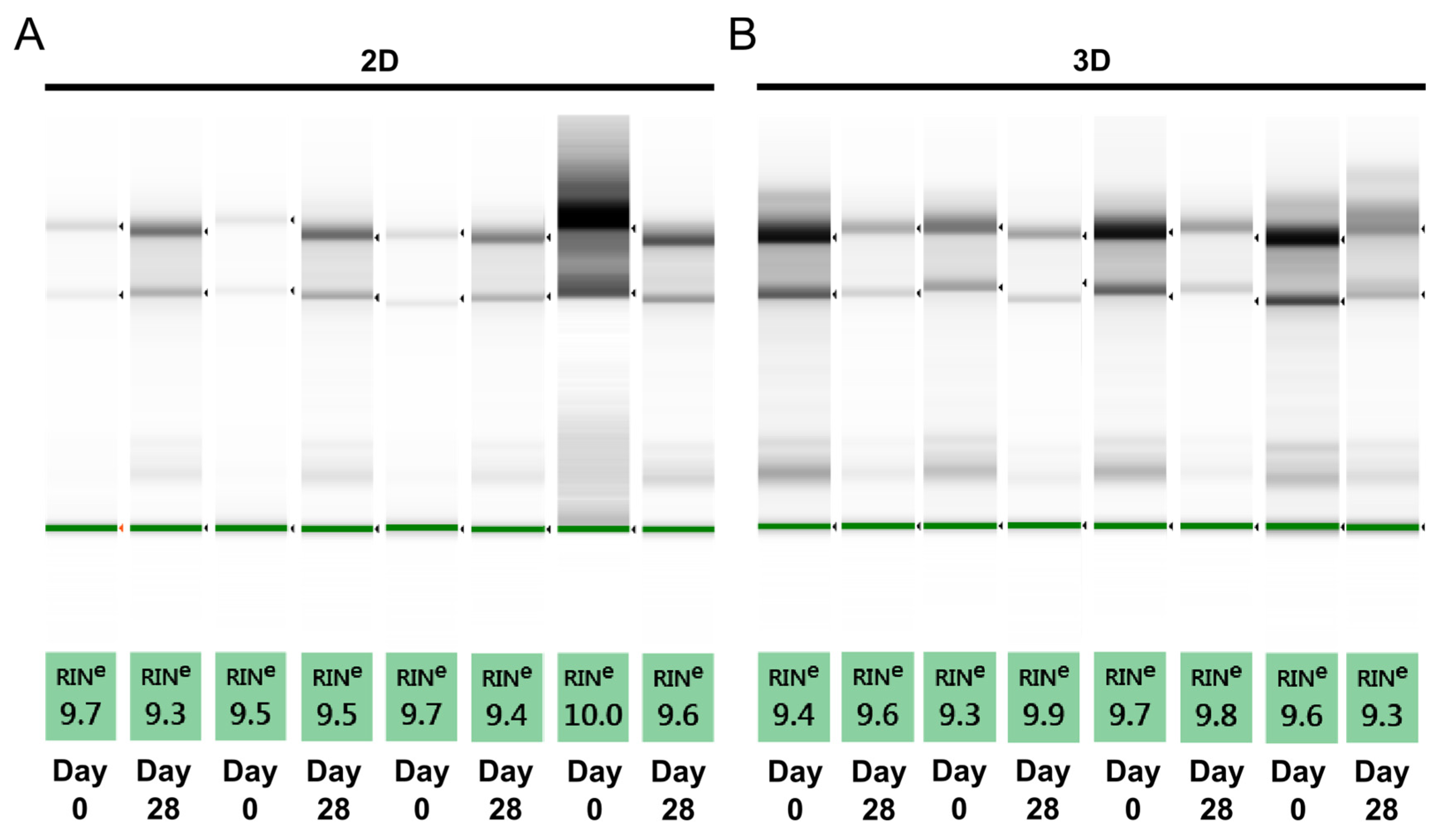
2.1. High-Quality RNA Can Be Extracted from BM-MSCs within MeHA Using Double Phase Separation
2.2. The Type of Reverse Transcriptase Affects the ∆Cq Values During Real Time PCR
2.3. The Culture Type (2D vs. 3D) Influences the Performance of a Reference Gene
2.4. The Stability of a Reference Gene Differs between 2D and 3D Culture
2.5. The Reference Gene of Choice Has an Impact on the Target Gene Expression
2.6. Osteogenic Differentiation of hBM-MSCs within MeHA Hydrogels
3. Discussion
4. Materials and Methods
4.1. Methacrylated Hyaluronic Acid Polymer Synthesis
4.2. Cell Isolation and Culture
4.3. Cell Laden Methacrylated Hyaluronic Acid Hydrogel Preparation
4.4. Osteogenic Differentiation of 2D and 3D Culture
4.5. RNA Isolation from 2D and 3D Culture
4.6. RNA Assessment
4.7. qRT-PCR
4.8. Reference Gene Validation
4.8.1. geNorm
4.8.2. NormFinder
4.8.3. ΔCq Method
4.9. Statistics
Author Contributions
Funding
Acknowledgments
Conflicts of Interest
Abbreviations
| ALPL | Alkaline phosphatase |
| BCP | 1-Bromo-3-chloropropane |
| BM-MSCs | Bone marrow-derived mesenchymal stromal cells |
| COL1A1 | Collagen type 1 |
| COL10A1 | Collagen type 10 |
| Cq | Cycle quantification |
| ∆Cq | Delta cycle quantification |
| EtOH | Ethyl alcohol |
| FBS | Fœtal bovine serum |
| GAPDH | Glyceraldehyde-3-phosphate dehydrogenase |
| GUSB | Beta-glucuronidase |
| HA | Hyaluronic acid |
| IBSP | Bone sialoprotein |
| IPA | Isopropanol alcohol |
| MeHA | Methacrylated hyaluronic acid |
| OAZ1 | Ornithine Decarboxylase Antizyme 1 |
| OC | Osteocontrol |
| OG | Osteogenic |
| PCR | Polymerase chain reaction |
| PBS | Phosphate buffered saline |
| PPARγ | Peroxisome proliferator-activated receptor gamma |
| PPIA | Peptidylprolyl Isomerase A |
| RUNX2 | Runt-related transcription factor 2 |
| RT-qPCR | Reverse transcription quantitative polymerase chain reaction |
| RIN | RNA integrity number |
| RPLP0 | Ribosomal Protein Lateral Stalk Subunit P0 |
| SD | Standard deviation |
| SOX9 | Sex determining region Y box 9 |
| TBP | TATA box binding protein |
| YWHAZ | Tyrosine 3-Monooxygenase/Tryptophan 5-Monooxygenase Activation Protein Zeta |
| 18S | 18S ribosomal RNA |
Appendix A
| 2D | 3D | |||||
|---|---|---|---|---|---|---|
| Comparison | ∆Cq Mean | SD | Mean SD | ∆Cq Mean | SD | Mean SD |
| 18S vs. GAPDH | 14.19 | 0.49 | 13.61 | 0.71 | ||
| 18S vs. GUSB | 20.08 | 0.30 | 18.33 | 0.70 | ||
| 18S vs. OAZ1 | 16.43 | 0.39 | 16.42 | 0.53 | ||
| 18S vs. PPIA | 15.16 | 0.56 | 15.30 | 0.43 | ||
| 18S vs. RPLP0 | 11.83 | 0.38 | 13.19 | 0.63 | ||
| 18S vs. TBP | 21.44 | 0.53 | 22.33 | 0.85 | ||
| 18S vs. YWHAZ | 22.99 | 0.70 | 0.48 | 22.97 | 0.89 | 0.92 |
| RPLP0 vs. GAPDH | 2.36 | 0.26 | 0.92 | 0.56 | ||
| RPLP0 vs. GUSB | 8.25 | 0.24 | 5.15 | 0.66 | ||
| RPLP0 vs. OAZ1 | 4.61 | 0.34 | 3.24 | 0.36 | ||
| RPLP0 vs. PPIA | 3.33 | 0.37 | 2.11 | 0.44 | ||
| RPLP0 vs. TBP | 9.61 | 0.33 | 9.14 | 0.69 | ||
| RPLP0 vs. YWHAZ | 11.16 | 0.45 | 9.79 | 0.98 | ||
| RPLP0 vs. 18S | 11.83 | 0.38 | 0.34 | 13.19 | 0.63 | 0.62 |
| GAPDH vs. GUSB | 5.89 | 0.38 | 4.73 | 1.33 | ||
| GAPDH vs. OAZ1 | 2.25 | 0.29 | 2.82 | 1.03 | ||
| GAPDH vs. PPIA | 0.97 | 0.24 | 1.69 | 0.92 | ||
| GAPDH vs. RPLP0 | 2.36 | 0.26 | 0.92 | 0.56 | ||
| GAPDH vs. TBP | 7.25 | 0.27 | 8.72 | 1.44 | ||
| GAPDH vs. YWHAZ | 8.80 | 0.52 | 9.37 | 1.48 | ||
| GAPDH vs. 18S | 14.19 | 0.49 | 0.35 | 13.61 | 0.71 | 1.76 |
| PPIA vs. GAPDH | 0.97 | 0.24 | 1.69 | 0.92 | ||
| PPIA vs. GUSB | 4.92 | 0.47 | 3.03 | 0.50 | ||
| PPIA vs. OAZ1 | 1.27 | 0.32 | 1.12 | 0.21 | ||
| PPIA vs. RPLP0 | 3.33 | 0.37 | 2.11 | 0.44 | ||
| PPIA vs. TBP | 6.28 | 0.26 | 7.03 | 0.64 | ||
| PPIA vs. YWHAZ | 7.83 | 0.55 | 7.68 | 0.75 | ||
| PPIA vs. 18S | 15.16 | 0.56 | 0.40 | 15.30 | 0.43 | 0.56 |
| OAZ1 vs. GAPDH | 2.25 | 0.29 | 2.82 | 1.03 | ||
| OAZ1 vs. GUSB | 3.65 | 0.44 | 1.91 | 0.42 | ||
| OAZ1 vs. PPIA | 1.27 | 0.32 | 1.12 | 0.21 | ||
| OAZ1 vs. RPLP0 | 4.61 | 0.34 | 3.24 | 0.36 | ||
| OAZ1 vs. TBP | 5.01 | 0.36 | 5.90 | 0.52 | ||
| OAZ1 vs. YWHAZ | 6.56 | 0.60 | 6.55 | 0.75 | ||
| OAZ1 vs. 18S | 16.43 | 0.39 | 0.39 | 16.42 | 0.53 | 0.55 |
| GUSB vs. GAPDH | 5.89 | 0.38 | 4.73 | 1.33 | ||
| GUSB vs. OAZ1 | 3.65 | 0.44 | 1.91 | 0.42 | ||
| GUSB vs. PPIA | 4.92 | 0.47 | 3.03 | 0.50 | ||
| GUSB vs. RPLP0 | 8.25 | 0.24 | 5.15 | 0.66 | ||
| GUSB vs. TBP | 1.36 | 0.43 | 3.99 | 0.26 | ||
| GUSB vs. YWHAZ | 2.91 | 0.61 | 4.64 | 0.42 | ||
| GUSB vs. 18S | 20.08 | 0.30 | 0.41 | 18.33 | 0.70 | 0.61 |
| TBP vs. GAPDH | 7.25 | 0.27 | 8.72 | 1.44 | ||
| TBP vs. GUSB | 1.36 | 0.43 | 3.99 | 0.26 | ||
| TBP vs. OAZ1 | 5.01 | 0.36 | 5.90 | 0.52 | ||
| TBP vs. PPIA | 6.28 | 0.26 | 7.03 | 0.64 | ||
| TBP vs. RPLP0 | 9.61 | 0.33 | 9.14 | 0.69 | ||
| TBP vs. YWHAZ | 1.55 | 0.57 | 0.65 | 0.47 | ||
| TBP vs. 18S | 21.44 | 0.53 | 0.39 | 22.33 | 0.85 | 0.70 |
| YWHAZ vs. GAPDH | 8.80 | 0.52 | 9.37 | 1.48 | ||
| YWHAZ vs. GUSB | 2.91 | 0.61 | 4.64 | 0.42 | ||
| YWHAZ vs. OAZ1 | 6.56 | 0.60 | 6.55 | 0.75 | ||
| YWHAZ vs. PPIA | 7.83 | 0.55 | 7.68 | 0.75 | ||
| YWHAZ vs. RPLP0 | 11.16 | 0.45 | 9.79 | 0.98 | ||
| YWHAZ vs. TBP | 1.55 | 0.57 | 0.65 | 0.47 | ||
| YWHAZ vs. 18S | 22.99 | 0.70 | 0.57 | 22.97 | 0.89 | 0.82 |

References
- Jiang, Y.; Wang, D.; Blocki, A.; Tuan, R.S. Chapter 49—Mesenchymal stem cells in musculoskeletal tissue engineering. In Principles of Tissue Engineering, 5th ed.; Lanza, R., Langer, R., Vacanti, J.P., Atala, A., Eds.; Academic Press: Cambridge, Massachusetts, 2020; pp. 883–915. [Google Scholar]
- Jaiswal, N.; Haynesworth, S.E.; Caplan, A.I.; Bruder, S.P. Osteogenic differentiation of purified, culture-expanded human mesenchymal stem cells in vitro. J. Cell. Biochem. 1997, 64, 295–312. [Google Scholar] [CrossRef]
- Mullis, K.; Faloona, F.; Scharf, S.; Saiki, R.; Horn, G.; Erlich, H. Specific enzymatic amplification of DNA in vitro: The polymerase chain reaction. Cold Spring Harb. Symp. Quant. Biol. 1986, 51 Pt 1, 263–273. [Google Scholar] [CrossRef]
- Mullis, K.B.; Faloona, F.A. Specific synthesis of DNA in vitro via a polymerase-catalyzed chain reaction. Methods Enzym. 1987, 155, 335–350. [Google Scholar] [CrossRef]
- Deepak, S.; Kottapalli, K.; Rakwal, R.; Oros, G.; Rangappa, K.; Iwahashi, H.; Masuo, Y.; Agrawal, G. Real-Time PCR: Revolutionizing Detection and Expression Analysis of Genes. Curr. Genom. 2007, 8, 234–251. [Google Scholar] [CrossRef]
- Higuchi, R.; Fockler, C.; Dollinger, G.; Watson, R. Kinetic PCR analysis: Real-time monitoring of DNA amplification reactions. Biotechnology 1993, 11, 1026–1030. [Google Scholar] [CrossRef]
- Holland, P.M.; Abramson, R.D.; Watson, R.; Gelfand, D.H. Detection of specific polymerase chain reaction product by utilizing the 5′-3′ exonuclease activity of Thermus aquaticus DNA polymerase. Proc. Natl. Acad. Sci. USA 1991, 88, 7276–7280. [Google Scholar] [CrossRef]
- Bustin, S.A.; Benes, V.; Garson, J.A.; Hellemans, J.; Huggett, J.; Kubista, M.; Mueller, R.; Nolan, T.; Pfaffl, M.W.; Shipley, G.L.; et al. The MIQE guidelines: Minimum information for publication of quantitative real-time PCR experiments. Clin. Chem. 2009, 55, 611–622. [Google Scholar] [CrossRef]
- Kozera, B.; Rapacz, M. Reference genes in real-time PCR. J. Appl. Genet. 2013, 54, 391–406. [Google Scholar] [CrossRef]
- Huggett, J.; Dheda, K.; Bustin, S.; Zumla, A. Real-time RT-PCR normalisation; strategies and considerations. Genes Immun. 2005, 6, 279–284. [Google Scholar] [CrossRef]
- Leong, D.T.; Gupta, A.; Bai, H.F.; Wan, G.; Yoong, L.F.; Too, H.-P.; Chew, F.T.; Hutmacher, D.W. Absolute quantification of gene expression in biomaterials research using real-time PCR. Biomaterials 2007, 28, 203–210. [Google Scholar] [CrossRef]
- Wang, L.; Stegemann, J.P. Extraction of high quality RNA from polysaccharide matrices using cetyltrimethylammonium bromide. Biomaterials 2010, 31, 1612–1618. [Google Scholar] [CrossRef]
- Yu, C.; Young, S.; Russo, V.; Amsden, B.G.; Flynn, L.E. Techniques for the isolation of high-quality RNA from cells encapsulated in chitosan hydrogels. Tissue Eng. Part C Methods 2013, 19, 829–838. [Google Scholar] [CrossRef]
- Collins, M.N.; Birkinshaw, C. Hyaluronic acid based scaffolds for tissue engineering—A review. Carbohydr. Polym. 2013, 92, 1262–1279. [Google Scholar] [CrossRef]
- Behrendt, P.; Ladner, Y.; Stoddart, M.J.; Lippross, S.; Alini, M.; Eglin, D.; Armiento, A.R. Articular Joint-Simulating Mechanical Load Activates Endogenous TGF-β in a Highly Cellularized Bioadhesive Hydrogel for Cartilage Repair. Am. J. Sports Med. 2020, 48, 210–221. [Google Scholar] [CrossRef]
- Petta, D.; Armiento, A.R.; Grijpma, D.; Alini, M.; Eglin, D.; D’Este, M. 3D bioprinting of a hyaluronan bioink through enzymatic-and visible light-crosslinking. Biofabrication 2018, 10, 044104. [Google Scholar] [CrossRef]
- Vermeulen, J.; De Preter, K.; Lefever, S.; Nuytens, J.; De Vloed, F.; Derveaux, S.; Hellemans, J.; Speleman, F.; Vandesompele, J. Measurable impact of RNA quality on gene expression results from quantitative PCR. Nucleic Acids Res. 2011, 39, e63. [Google Scholar] [CrossRef]
- Ho-Pun-Cheung, A.; Bascoul-Mollevi, C.; Assenat, E.; Boissière-Michot, F.; Bibeau, F.; Cellier, D.; Ychou, M.; Lopez-Crapez, E. Reverse transcription-quantitative polymerase chain reaction: Description of a RIN-based algorithm for accurate data normalization. BMC Mol. Biol. 2009, 10, 31. [Google Scholar] [CrossRef]
- Schroeder, A.; Mueller, O.; Stocker, S.; Salowsky, R.; Leiber, M.; Gassmann, M.; Lightfoot, S.; Menzel, W.; Granzow, M.; Ragg, T. The RIN: An RNA integrity number for assigning integrity values to RNA measurements. BMC Mol. Biol. 2006, 7, 3. [Google Scholar] [CrossRef]
- Fleige, S. RNA integrity and the effect on the real-time qRT-PCR performance. Mol. Asp. Med. 2006, 27, 126–139. [Google Scholar] [CrossRef]
- Pérez-Novo, C.A.; Claeys, C.; Speleman, F.; Van Cauwenberge, P.; Bachert, C.; Vandesompele, J. Impact of RNA quality on reference gene expression stability. Biotechniques 2005, 39, 52–56. [Google Scholar] [CrossRef]
- Vandesompele, J.; De Preter, K.; Pattyn, F.; Poppe, B.; Van Roy, N.; De Paepe, A.; Speleman, F. Accurate normalization of real-time quantitative RT-PCR data by geometric averaging of multiple internal control genes. Genome Biol. 2002, 3. [Google Scholar] [CrossRef]
- Andersen, C.L.; Jensen, J.L.; Ørntoft, T.F. Normalization of real-time quantitative reverse transcription-PCR data: A model-based variance estimation approach to identify genes suited for normalization, applied to bladder and colon cancer data sets. Cancer Res. 2004, 64, 5245–5250. [Google Scholar] [CrossRef] [PubMed]
- Silver, N.; Best, S.; Jiang, J.; Thein, S.L. Selection of housekeeping genes for gene expression studies in human reticulocytes using real-time PCR. BMC Mol. Biol. 2006, 7, 33. [Google Scholar] [CrossRef] [PubMed]
- Cagnan, I.; Kaya, F.A.; Çetinkaya, F.D.; Özcan, A. Stably expressed reference genes during differentiation of bone marrow-derived mesenchymal stromal cells. Turk. J. Biol. 2017, 41, 88–97. [Google Scholar] [CrossRef]
- Ragni, E.; Viganò, M.; Rebulla, P.; Giordano, R.; Lazzari, L. What is beyond a qRT-PCR study on mesenchymal stem cell differentiation properties: How to choose the most reliable housekeeping genes. J. Cell. Mol. Med. 2013, 17, 168–180. [Google Scholar] [CrossRef]
- Jacobi, A.; Rauh, J.; Bernstein, P.; Liebers, C.; Zou, X.; Stiehler, M. Comparative analysis of reference gene stability in human mesenchymal stromal cells during osteogenic differentiation. Biotechnol. Prog. 2013, 29, 1034–1042. [Google Scholar] [CrossRef]
- He, T.; Huang, Y.; Chak, J.C.; Klar, R.M. Recommendations for improving accuracy of gene expression data in bone and cartilage tissue engineering. Sci. Rep. 2018, 8, 1–13. [Google Scholar] [CrossRef]
- Barber, R.; Harmer, D.W.; Coleman, R.A.; Clark, B.J. GAPDH as a housekeeping gene: Analysis of GAPDH mRNA expression in a panel of 72 human tissues. Physiol. Genom. 2005, 21, 389–395. [Google Scholar] [CrossRef]
- Rauh, J.; Jacobi, A.; Stiehler, M. Identification of stable reference genes for gene expression analysis of three-dimensional cultivated human bone marrow-derived mesenchymal stromal cells for bone tissue engineering. Tissue Eng. Part C Methods 2015, 21, 192–206. [Google Scholar] [CrossRef]
- Quiroz, F.G.; Posada, O.M.; Gallego-Perez, D.; Higuita-Castro, N.; Sarassa, C.; Hansford, D.J.; Agudelo-Florez, P.; López, L.E. Housekeeping gene stability influences the quantification of osteogenic markers during stem cell differentiation to the osteogenic lineage. Cytotechnology 2010, 62, 109–120. [Google Scholar] [CrossRef]
- Chooi, W.H.; Zhou, R.; Yeo, S.S.; Zhang, F.; Wang, D.-A. Determination and validation of reference gene stability for qPCR analysis in polysaccharide hydrogel-based 3D chondrocytes and mesenchymal stem cell cultural models. Mol. Biotechnol. 2013, 54, 623–633. [Google Scholar] [CrossRef]
- de Jonge, H.J.; Fehrmann, R.S.; de Bont, E.S.; Hofstra, R.M.; Gerbens, F.; Kamps, W.A.; de Vries, E.G.; van der Zee, A.G.; te Meerman, G.J.; ter Elst, A. Evidence based selection of housekeeping genes. PLoS ONE 2007, 2, e898. [Google Scholar] [CrossRef]
- Gubern, C.; Hurtado, O.; Rodríguez, R.; Morales, J.R.; Romera, V.G.; Moro, M.A.; Lizasoain, I.; Serena, J.; Mallolas, J. Validation of housekeeping genes for quantitative real-time PCR in in-vivo and in-vitro models of cerebral ischaemia. BMC Mol. Biol. 2009, 10, 57. [Google Scholar] [CrossRef]
- Halouani, A.; Jmii, H.; Michaux, H.; Renard, C.; Martens, H.; Pirottin, D.; Mastouri, M.; Aouni, M.; Geenen, V.; Jaïdane, H. Housekeeping Gene Expression in the Fetal and Neonatal Murine Thymus Following Coxsackievirus B4 Infection. Genes 2020, 11, 279. [Google Scholar] [CrossRef]
- Brinkhof, B.; Jia, H.; Zhang, B.; Cui, Z.; Ye, H.; Wang, H. Improving characterisation of human Multipotent Stromal Cells cultured in 2D and 3D: Design and evaluation of primer sets for accurate gene expression normalisation. PLoS ONE 2018, 13, e0209772. [Google Scholar] [CrossRef]
- Jeon, R.-H.; Lee, W.-J.; Son, Y.-B.; Bharti, D.; Shivakumar, S.B.; Lee, S.-L.; Rho, G.-J. PPIA, HPRT1, and YWHAZ Genes Are Suitable for Normalization of mRNA Expression in Long-Term Expanded Human Mesenchymal Stem Cells. Biomed Res. Int. 2019, 2019, 3093545. [Google Scholar] [CrossRef]
- Cassinelli, C.; Morra, M.; Pavesio, A.; Renier, D. Evaluation of interfacial properties of hyaluronan coated poly (methylmethacrylate) intraocular lenses. J. Biomater. Sci. Polym. Ed. 2000, 11, 961–977. [Google Scholar] [CrossRef]
- Matsumoto, K.; Li, Y.; Jakuba, C.; Sugiyama, Y.; Sayo, T.; Okuno, M.; Dealy, C.N.; Toole, B.P.; Takeda, J.; Yamaguchi, Y.; et al. Conditional inactivation of Has2 reveals a crucial role for hyaluronan in skeletal growth, patterning, chondrocyte maturation and joint formation in the developing limb. Development 2009, 136, 2825–2835. [Google Scholar] [CrossRef]
- Sathyendra, V.; Darowish, M. Basic Science of Bone Healing. Hand Clin. 2013, 29, 473–481. [Google Scholar] [CrossRef]
- Cheng, A.; Genever, P.G. SOX9 determines RUNX2 transactivity by directing intracellular degradation. J. Bone Miner. Res. 2010, 25, 2680–2689. [Google Scholar] [CrossRef]
- Zhou, G.; Zheng, Q.; Engin, F.; Munivez, E.; Chen, Y.; Sebald, E.; Krakow, D.; Lee, B. Dominance of SOX9 function over RUNX2 during skeletogenesis. Proc. Natl. Acad. Sci. USA 2006, 103, 19004–19009. [Google Scholar] [CrossRef]
- Zou, L.; Zou, X.; Chen, L.; Li, H.; Mygind, T.; Kassem, M.; Bünger, C. Effect of hyaluronan on osteogenic differentiation of porcine bone marrow stromal cells in vitro. J. Orthop. Res. 2008, 26, 713–720. [Google Scholar] [CrossRef]
- Dy, P.; Wang, W.; Bhattaram, P.; Wang, Q.; Wang, L.; Ballock, R.T.; Lefebvre, V. Sox9 directs hypertrophic maturation and blocks osteoblast differentiation of growth plate chondrocytes. Dev. Cell 2012, 22, 597–609. [Google Scholar] [CrossRef]
- Monaco, G.; El Haj, A.J.; Alini, M.; Stoddart, M.J. Sodium Hyaluronate Supplemented Culture Media as a New hMSC Chondrogenic Differentiation Media-Model for in vitro/ex vivo Screening of Potential Cartilage Repair Therapies. Front. Bioeng. Biotechnol. 2020, 8, 243. [Google Scholar] [CrossRef]
- Burdick, J.A.; Prestwich, G.D. Hyaluronic acid hydrogels for biomedical applications. Adv. Mater. 2011, 23, H41–H56. [Google Scholar] [CrossRef]
- Armiento, A.R.; Hatt, L.P.; Sanchez Rosenberg, G.; Thompson, K.; Stoddart, M.J. Functional Biomaterials for Bone Regeneration: A Lesson in Complex Biology. Adv. Funct. Mater. 2020, 30, 1909874. [Google Scholar] [CrossRef]
- Burdick, J.A.; Chung, C.; Jia, X.; Randolph, M.A.; Langer, R. Controlled degradation and mechanical behavior of photopolymerized hyaluronic acid networks. Biomacromolecules 2005, 6, 386–391. [Google Scholar] [CrossRef]
- Smeds, K.A.; Pfister-Serres, A.; Miki, D.; Dastgheib, K.; Inoue, M.; Hatchell, D.L.; Grinstaff, M.W. Photocrosslinkable polysaccharides for in situ hydrogel formation. J. Biomed Mater. Res. 2001, 55, 254–255. [Google Scholar] [CrossRef]
- Gardner, O.F.; Alini, M.; Stoddart, M.J. Mesenchymal Stem Cells Derived from Human Bone Marrow. Methods Mol. Biol. 2015, 1340, 41–52. [Google Scholar] [CrossRef]
- Phelipe Hatt, L.; Thompson, K.; Muller, W.E.G.; Stoddart, M.J.; Armiento, A.R. Calcium Polyphosphate Nanoparticles Act as an Effective Inorganic Phosphate Source during Osteogenic Differentiation of Human Mesenchymal Stem Cells. Int. J. Mol. Sci. 2019, 20, 5801. [Google Scholar] [CrossRef]
- Schildberg, T.; Rauh, J.; Bretschneider, H.; Stiehler, M. Identification of suitable reference genes in bone marrow stromal cells from osteoarthritic donors. Stem Cell Res. 2013, 11, 1288–1298. [Google Scholar] [CrossRef]








| Donor | Time Point (Day) | Concentration (ng/µL) | A260/280 | A260/230 | Total RNA (ng) |
|---|---|---|---|---|---|
| 1 | 0 | 888.20 | 1.99 | 1.79 | 17,764 |
| 28 | 278.85 | 1.97 | 1.09 | 5577 | |
| 2 | 0 | 825.61 | 1.99 | 1.75 | 16,512 |
| 28 | 231.58 | 1.97 | 0.91 | 4632 | |
| 3 | 0 | 769.96 | 1.99 | 1.76 | 15,399 |
| 28 | 269.77 | 1.97 | 1.25 | 5395 | |
| 4 | 0 | 626.97 | 1.86 | 1.80 | 12,539 |
| 28 | 222.26 | 1.80 | 1.16 | 4445 |
| 2D | 3D | |||||||
|---|---|---|---|---|---|---|---|---|
| Gene Symbol | Cq Day 0 1 | Cq Day 28 1 | ∆Cq | CV 2 | Cq Day 0 1 | Cq Day 28 1 | ∆Cq | CV 2 |
| 18S | 7.43 ± 0.67 | 7.42 ± 0.24 | −0.02 | 6.71 | 6.81 ± 0.40 | 7.25 ± 0.25 | 0.44 | 5.66 |
| RPLP0 | 19.16 ± 0.39 | 19.40 ± 0.40 | 0.24 | 2.07 | 20.04 ± 0.40 | 20.39 ± 0.51 | 0.35 | 2.36 |
| GAPDH | 21.45 ± 0.39 | 21.81 ± 0.22 | 0.36 | 1.65 | 19.85 ± 0.62 | 21.41 ± 0.36 | 1.56 | 4.57 |
| PPIA | 22.32 ± 0.23 | 22.92 ± 0.15 | 0.60 | 1.60 | 22.26 ± 0.20 | 22.39± 0.28 | 0.13 | 1.09 |
| OAZ1 | 23.69 ± 0.54 | 24.05 ± 0.10 | 0.36 | 1.76 | 23.42 ± 0.20 | 23.48 ± 0.34 | 0.06 | 1.15 |
| GUSB | 27.48 ± 0.54 | 27.54 ± 0.36 | 0.06 | 1.64 | 25.69 ± 0.26 | 25.03 ± 0.35 | −0.66 | 1.78 |
| TBP | 28.53 ± 0.40 | 29.26 ± 0.26 | 0.72 | 1.73 | 29.74 ± 0.38 | 28.96 ± 0.46 | −0.78 | 1.96 |
| YWHAZ | 30.34 ± 0.35 | 30.58 ± 0.72 | 0.25 | 1.83 | 30.58 ± 0.34 | 29.42 ± 0.36 | −1.16 | 2.29 |
| 2D | ||||
| Gene Symbol | geNorm | NormFinder | ΔCq Method | Comprehensive Ranking 1 |
| RPLP0 | 3 | 1 | 1 | 1 |
| GAPDH | 1 | 2 | 2 | 2 |
| TBP | 2 | 4 | 3 | 4 |
| GUSB | 5 | 6 | 6 | 6 |
| OAZ1 | 4 | 3 | 4 | 5 |
| PPIA | 1 | 5 | 5 | 3 |
| 18S | 6 | 7 | 7 | 7 |
| YWHAZ | 7 | 8 | 8 | 8 |
| 3D | ||||
| Gene Symbol | geNorm | NormFinder | ΔCq Method | Comprehensive Ranking 1 |
| OAZ1 | 1 | 2 | 1 | 2 |
| PPIA | 1 | 1 | 2 | 1 |
| GUSB | 2 | 3 | 3 | 3 |
| TBP | 3 | 6 | 5 | 5 |
| RPLP0 | 4 | 5 | 4 | 4 |
| 18S | 5 | 4 | 7 | 6 |
| YWHAZ | 6 | 7 | 6 | 7 |
| GAPDH | 7 | 8 | 8 | 8 |
| Gene Symbol | Assay ID 1 | Forward/Reverse/Probe |
|---|---|---|
| 18S | Hs99999901_s1 | |
| GAPDH | Hs99999905_m1 | |
| GUSB | Hs99999908_m1 | |
| OAZ1 | Hs00427923_m1 | |
| PPIA | Hs99999904_m1 | |
| RPLP0 | 5′-TGG GCA AGA ACA CCA TGA TG-3′ 5′-CGG ATA TGA GGC AGC AGT TTC-3′ 5′-AGG GCA CCT GGA AAA CAA CCC AGC-3′ | |
| TBP | Hs00427620_m1 | |
| YWHAZ | Hs00237047_m1 |
| Gene Symbol | Assay ID 1 | Forward/Reverse/Probe |
|---|---|---|
| ALPL | Hs00758162_m1 | |
| COL1A1 | 5′-CCC TGG AAA GAA TGG AGA TGA T-3′ 5′-ACT GAA ACC TCT GTG TCC CTT CA-3′ 5′-CGG GCA ATC CTC GAG CAC CC-3′ | |
| COL10A1 | 5′-ACG CTG AAC GAT ACC AAA TG-3′ 5′-TGC TAT ACC TTT ACT CTT TAT GGT GTA-3′ 5′-ACT ACC CAA CAC CAA GAC ACA GTT CTT CAT TCC-3′ | |
| IBSP | Hs0017320_m1 | |
| PPARγ | Hs00234592_m1 | |
| RUNX2 | 5′-AGC AAG GTT CAA CGA TCT GAG AT-3′ 5′-TTT GTG AAG ACG GTT ATG GTC AA-3′ 5′-AGG GCA CCT GGA AAA CAA CCC AGC-3′ | |
| SOX9 | Hs00165814_m1 |
Publisher’s Note: MDPI stays neutral with regard to jurisdictional claims in published maps and institutional affiliations. |
© 2020 by the authors. Licensee MDPI, Basel, Switzerland. This article is an open access article distributed under the terms and conditions of the Creative Commons Attribution (CC BY) license (http://creativecommons.org/licenses/by/4.0/).
Share and Cite
Hasler, J.; Hatt, L.P.; Stoddart, M.J.; Armiento, A.R. Stable Reference Genes for qPCR Analysis in BM-MSCs Undergoing Osteogenic Differentiation within 3D Hyaluronan-Based Hydrogels. Int. J. Mol. Sci. 2020, 21, 9195. https://doi.org/10.3390/ijms21239195
Hasler J, Hatt LP, Stoddart MJ, Armiento AR. Stable Reference Genes for qPCR Analysis in BM-MSCs Undergoing Osteogenic Differentiation within 3D Hyaluronan-Based Hydrogels. International Journal of Molecular Sciences. 2020; 21(23):9195. https://doi.org/10.3390/ijms21239195
Chicago/Turabian StyleHasler, Johannes, Luan Phelipe Hatt, Martin James Stoddart, and Angela Rita Armiento. 2020. "Stable Reference Genes for qPCR Analysis in BM-MSCs Undergoing Osteogenic Differentiation within 3D Hyaluronan-Based Hydrogels" International Journal of Molecular Sciences 21, no. 23: 9195. https://doi.org/10.3390/ijms21239195
APA StyleHasler, J., Hatt, L. P., Stoddart, M. J., & Armiento, A. R. (2020). Stable Reference Genes for qPCR Analysis in BM-MSCs Undergoing Osteogenic Differentiation within 3D Hyaluronan-Based Hydrogels. International Journal of Molecular Sciences, 21(23), 9195. https://doi.org/10.3390/ijms21239195

