PV1 Protein from Plasmodium falciparum Exhibits Chaperone-Like Functions and Cooperates with Hsp100s
Abstract
:1. Introduction
2. Results
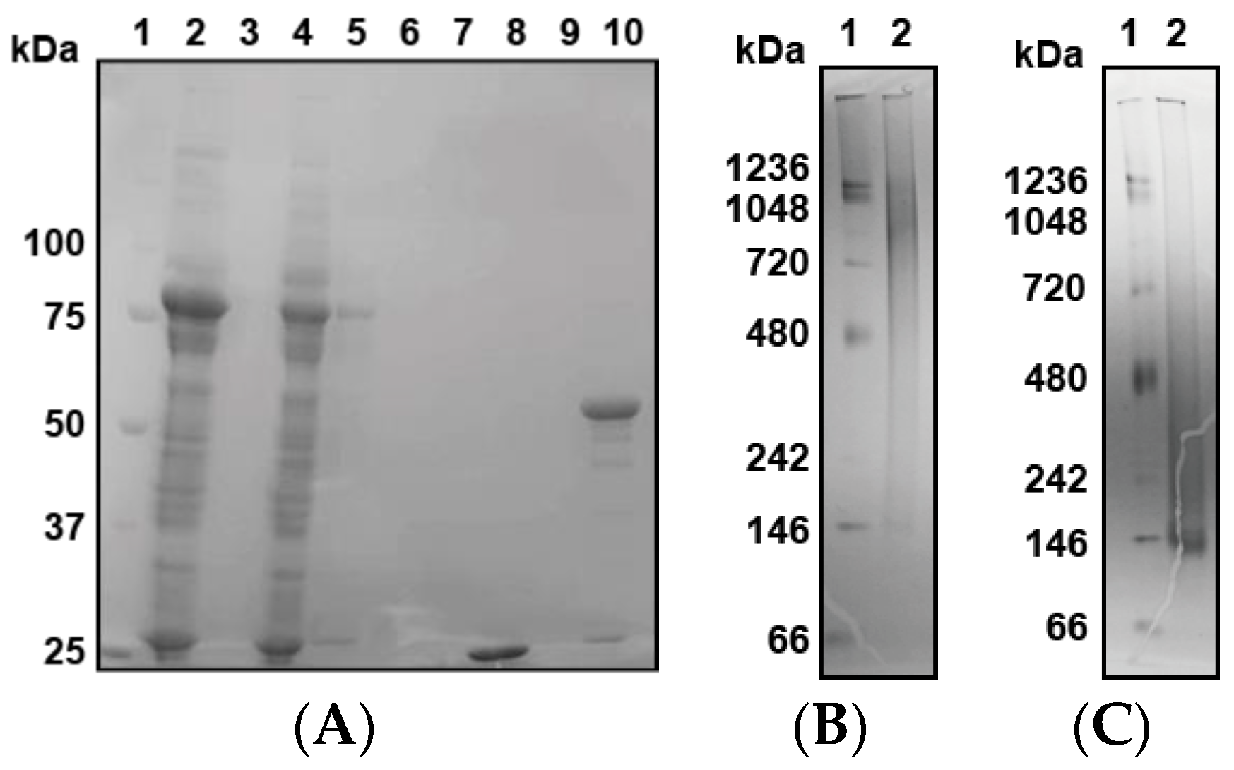
2.1. Expression and Purification of PfPV1
2.2. Oligomer Structures of PfPV1-Strep and rPfPV1-Strep
2.3. Chaperone-Like Activity of PfPV1 for Dithiothreitol (DTT)-Induced Insulin Aggregation
2.4. Interaction of PfPV1 with PTEX Core Proteins
2.5. Cooperation with the Hsp104 System
3. Discussion
4. Materials and Methods
4.1. Expression and Purification of PfPV1
4.2. Refolding of PfPV1-Strep
4.3. Size Exclusion Chromatography–Multiangle Light Scattering (SEC-MALS)
4.4. Electron Micrograph and Image Processing
4.5. Analytical Ultracentrifugation
4.6. Insulin Aggregation Assay
4.7. Surface Plasmon Resonance
4.8. Luciferase Disaggregation Assay Using the Hsp104 System
Supplementary Materials
Author Contributions
Funding
Conflicts of Interest
Abbreviations
| PV | Parasitophorous vacuole |
| PVM | Parasitophorous vacuole membrane |
| PTEX | Plasmodium translocon of exported proteins |
| PEXEL | Plasmodium export element |
| PfPV1 | Plasmodium falciparum Parasitophorous Vacuolar protein 1 |
| PfPV1-His | PfPV1 with polyhistidine-tag at the C-terminus |
| GST-PfPV1 | PfPV1 with glutathione S-transferase at the N-terminus |
| GST-PfPV1-Strep | GST-PfPV1 with Strep-tag at the C-terminus |
| PfPV1-Strep | PfPV1 with Strep-tag at the C-terminus |
| rPfPV1-Strep | Refolded rPfPV1-Strep |
| SV-AUC | Sedimentation velocity-analytical ultracentrifugation |
| SEC-MALS | Size exclusion chromatography–multiangle light scattering |
| DTT | Dithiothreitol |
| PAGE | Polyacrylamide gel electrophoresis |
| EM | Electron microscopy |
| CHAPS | 3-[(3-Cholamidopropyl)dimethylammonio]propanesulfonate |
| TRiC | TCP-1 Ring Complex |
| CCT | Chaperonin containing TCP-1 |
| HRV | Human rhinovirus |
References
- WHO. World Malaria Report; World Health Organization: Geneve, Switzerland, 2019. [Google Scholar]
- Mota, M.M.; Pradel, G.; Vanderberg, J.P.; Hafalla, J.C.; Frevert, U.; Nussenzweig, R.S.; Nussenzweig, V.; Rodriguez, A. Migration of Plasmodium sporozoites through cells before infection. Science 2001, 291, 141–144. [Google Scholar] [CrossRef] [PubMed]
- Spillman, N.J.; Beck, J.R.; Goldberg, D.E. Protein export into malaria parasite-infected erythrocytes: Mechanisms and functional consequences. Annu. Rev. Biochem. 2015, 84, 813–841. [Google Scholar] [CrossRef] [PubMed]
- Boddey, J.A.; Cowman, A.F. Plasmodium nesting: Remaking the erythrocyte from the inside out. Annu. Rev. Microbiol. 2013, 67, 243–269. [Google Scholar] [CrossRef] [PubMed]
- Raventos-Suarez, C.; Kaul, D.K.; Macaluso, F.; Nagel, R.L. Membrane knobs are required for the microcirculatory obstruction induced by Plasmodium falciparum-infected erythrocytes. Proc. Natl. Acad. Sci. USA 1985, 82, 3829–3833. [Google Scholar] [CrossRef] [Green Version]
- Przyborski, J.M.; Nyboer, B.; Lanzer, M. Ticket to ride: Export of proteins to the Plasmodium falciparum-infected erythrocyte. Mol. Microbiol. 2016, 101, 1–11. [Google Scholar] [CrossRef]
- Heiber, A.; Kruse, F.; Pick, C.; Gruring, C.; Flemming, S.; Oberli, A.; Schoeler, H.; Retzlaff, S.; Mesen-Ramirez, P.; Hiss, J.A.; et al. Identification of new PNEPs indicates a substantial non-PEXEL exportome and underpins common features in Plasmodium falciparum protein export. PLoS Pathog. 2013, 9, e1003546. [Google Scholar] [CrossRef]
- De Koning-Ward, T.F.; Gilson, P.R.; Boddey, J.A.; Rug, M.; Smith, B.J.; Papenfuss, A.T.; Sanders, P.R.; Lundie, R.J.; Maier, A.G.; Cowman, A.F.; et al. A newly discovered protein export machine in malaria parasites. Nature 2009, 459, 945–949. [Google Scholar] [CrossRef] [Green Version]
- Beck, J.R.; Muralidharan, V.; Oksman, A.; Goldberg, D.E. PTEX component HSP101 mediates export of diverse malaria effectors into host erythrocytes. Nature 2014, 511, 592–595. [Google Scholar] [CrossRef] [Green Version]
- Elsworth, B.; Matthews, K.; Nie, C.Q.; Kalanon, M.; Charnaud, S.C.; Sanders, P.R.; Chisholm, S.A.; Counihan, N.A.; Shaw, P.J.; Pino, P.; et al. PTEX is an essential nexus for protein export in malaria parasites. Nature 2014, 511, 587–591. [Google Scholar] [CrossRef]
- Ho, C.M.; Beck, J.R.; Lai, M.; Cui, Y.; Goldberg, D.E.; Egea, P.F.; Zhou, Z.H. Malaria parasite translocon structure and mechanism of effector export. Nature 2018, 561, 70–75. [Google Scholar] [CrossRef]
- Matz, J.M.; Matuschewski, K.; Kooij, T.W. Two putative protein export regulators promote Plasmodium blood stage development in vivo. Mol. Biochem. Parasitol. 2013, 191, 44–52. [Google Scholar] [CrossRef] [PubMed]
- Hakamada, K.; Watanabe, H.; Kawano, R.; Noguchi, K.; Yohda, M. Expression and characterization of the Plasmodium translocon of the exported proteins component EXP2. Biochem. Biophys. Res. Commun. 2017, 482, 700–705. [Google Scholar] [CrossRef] [PubMed]
- Glover, J.R.; Lindquist, S. Hsp104, Hsp70, and Hsp40: A novel chaperone system that rescues previously aggregated proteins. Cell 1998, 94, 73–82. [Google Scholar] [CrossRef] [Green Version]
- Weibezahn, J.; Tessarz, P.; Schlieker, C.; Zahn, R.; Maglica, Z.; Lee, S.; Zentgraf, H.; Weber-Ban, E.U.; Dougan, D.A.; Tsai, F.T.F.; et al. Thermotolerance requires refolding of aggregated proteins by substrate translocation through the central pore of ClpB. Cell 2004, 119, 653–665. [Google Scholar] [CrossRef] [Green Version]
- Lum, R.; Tkach, J.M.; Vierling, E.; Glover, J.R. Evidence for an unfolding/threading mechanism for protein disaggregation by Saccharomyces cerevisiae Hsp104. J. Biol. Chem. 2004, 279, 29139–29146. [Google Scholar] [CrossRef] [Green Version]
- Hiller, N.L.; Bhattacharjee, S.; van Ooij, C.; Liolios, K.; Harrison, T.; Lopez-Estrano, C.; Haldar, K. A host-targeting signal in virulence proteins reveals a secretome in malarial infection. Science 2004, 306, 1934–1937. [Google Scholar] [CrossRef]
- Marti, M.; Good, R.T.; Rug, M.; Knuepfer, E.; Cowman, A.F. Targeting malaria virulence and remodeling proteins to the host erythrocyte. Science 2004, 306, 1930–1933. [Google Scholar] [CrossRef]
- Boddey, J.A.; Moritz, R.L.; Simpson, R.J.; Cowman, A.F. Role of the Plasmodium export element in trafficking parasite proteins to the infected erythrocyte. Traffic 2009, 10, 285–299. [Google Scholar] [CrossRef] [Green Version]
- Boddey, J.A.; Carvalho, T.G.; Hodder, A.N.; Sargeant, T.J.; Sleebs, B.E.; Marapana, D.; Lopaticki, S.; Nebl, T.; Cowman, A.F. Role of plasmepsin V in export of diverse protein families from the Plasmodium falciparum exportome. Traffic 2013, 14, 532–550. [Google Scholar] [CrossRef]
- Nyalwidhe, J.; Lingelbach, K. Proteases and chaperones are the most abundant proteins in the parasitophorous vacuole of Plasmodium falciparum-infected erythrocytes. Proteomics 2006, 6, 1563–1573. [Google Scholar] [CrossRef]
- Chu, T.; Lingelbach, K.; Przyborski, J.M. Genetic evidence strongly support an essential role for PfPV1 in intra-erythrocytic growth of P. falciparum. PLoS ONE 2011, 6, e18396. [Google Scholar] [CrossRef] [PubMed] [Green Version]
- Morita, M.; Nagaoka, H.; Ntege, E.H.; Kanoi, B.N.; Ito, D.; Nakata, T.; Lee, J.W.; Tokunaga, K.; Iimura, T.; Torii, M.; et al. PV1, a novel Plasmodium falciparum merozoite dense granule protein, interacts with exported protein in infected erythrocytes. Sci. Rep. 2018, 8, 3696. [Google Scholar] [CrossRef] [PubMed]
- Mesen-Ramirez, P.; Reinsch, F.; Blancke Soares, A.; Bergmann, B.; Ullrich, A.K.; Tenzer, S.; Spielmann, T. Stable Translocation Intermediates Jam Global Protein Export in Plasmodium falciparum Parasites and Link the PTEX Component EXP2 with Translocation Activity. PLoS Pathog. 2016, 12, e1005618. [Google Scholar] [CrossRef]
- Elsworth, B.; Sanders, P.R.; Nebl, T.; Batinovic, S.; Kalanon, M.; Nie, C.Q.; Charnaud, S.C.; Bullen, H.E.; de Koning Ward, T.F.; Tilley, L.; et al. Proteomic analysis reveals novel proteins associated with the Plasmodium protein exporter PTEX and a loss of complex stability upon truncation of the core PTEX component, PTEX150. Cell Microbiol. 2016, 18, 1551–1569. [Google Scholar] [CrossRef] [PubMed]
- Batinovic, S.; McHugh, E.; Chisholm, S.A.; Matthews, K.; Liu, B.; Dumont, L.; Charnaud, S.C.; Schneider, M.P.; Gilson, P.R.; de Koning-Ward, T.F.; et al. An exported protein-interacting complex involved in the trafficking of virulence determinants in Plasmodium-infected erythrocytes. Nat. Commun. 2017, 8, 16044. [Google Scholar] [CrossRef] [Green Version]
- Sharma, K.K.; Kumar, R.S.; Kumar, G.S.; Quinn, P.T. Synthesis and characterization of a peptide identified as a functional element in alpha A-crystallin. J. Biol. Chem. 2000, 275, 3767–3771. [Google Scholar] [CrossRef] [Green Version]
- Nagaoka, H.; Kanoi, B.N.; Ntege, E.H.; Aoki, M.; Fukushima, A.; Tsuboi, T.; Takashima, E. Antibodies against a short region of PfRipr inhibit Plasmodium falciparum merozoite invasion and PfRipr interaction with Rh5 and SEMA7A. Sci. Rep. 2020, 10, 6573. [Google Scholar] [CrossRef]
- Reddy, K.S.; Amlabu, E.; Pandey, A.K.; Mitra, P.; Chauhan, V.S.; Gaur, D. Multiprotein complex between the GPI-anchored CyRPA with PfRH5 and PfRipr is crucial for Plasmodium falciparum erythrocyte invasion. Proc. Natl. Acad. Sci. USA 2015, 112, 1179–1184. [Google Scholar] [CrossRef] [Green Version]
- Fan, C.Y.; Lee, S.; Cyr, D.M. Mechanisms for regulation of Hsp70 function by Hsp40. Cell Stress Chaperones 2003, 8, 309–316. [Google Scholar] [CrossRef]
- Wittung-Stafshede, P.; Guidry, J.; Horne, B.E.; Landry, S.J. The J-domain of Hsp40 couples ATP hydrolysis to substrate capture in Hsp70. Biochemistry 2003, 42, 4937–4944. [Google Scholar] [CrossRef]
- Neuwald, A.F.; Aravind, L.; Spouge, J.L.; Koonin, E.V. AAA+: A class of chaperone-like ATPases associated with the assembly, operation, and disassembly of protein complexes. Genome Res. 1999, 9, 27–43. [Google Scholar] [PubMed]
- Ogura, T.; Wilkinson, A.J. AAA+ superfamily ATPases: Common structure--diverse function. Genes Cells 2001, 6, 575–597. [Google Scholar] [CrossRef] [PubMed]
- Lee, S.; Sowa, M.E.; Watanabe, Y.H.; Sigler, P.B.; Chiu, W.; Yoshida, M.; Tsai, F.T.F. The structure of clpB: A molecular chaperone that rescues proteins from an aggregated state. Cell 2003, 115, 229–240. [Google Scholar] [CrossRef] [Green Version]
- Schlee, S.; Groemping, Y.; Herde, P.; Seidel, R.; Reinstein, J. The chaperone function of ClpB from Thermus thermophilus depends on allosteric interactions of its two ATP-binding sites. J. Mol. Biol. 2001, 306, 889–899. [Google Scholar] [CrossRef] [PubMed]
- Watanabe, Y.H.; Motohashi, K.; Yoshida, M. Roles of the two ATP binding sites of ClpB from Thermus thermophilus. J. Biol. Chem. 2002, 277, 5804–5809. [Google Scholar] [CrossRef] [Green Version]
- Mogk, A.; Schlieker, C.; Strub, C.; Rist, W.; Weibezahn, J.; Bukau, B. Roles of individual domains and conserved motifs of the AAA+ chaperone ClpB in oligomerization, ATP hydrolysis, and chaperone activity. J. Biol. Chem. 2003, 278, 17615–17624. [Google Scholar] [CrossRef] [Green Version]
- Watanabe, Y.H.; Takano, M.; Yoshida, M. ATP binding to nucleotide binding domain (NBD)1 of the ClpB chaperone induces motion of the long coiled-coil, stabilizes the hexamer, and activates NBD2. J. Biol. Chem. 2005, 280, 24562–24567. [Google Scholar] [CrossRef] [Green Version]
- Hayashi, S.; Nakazaki, Y.; Kagii, K.; Imamura, H.; Watanabe, Y.H. Fusion protein analysis reveals the precise regulation between Hsp70 and Hsp100 during protein disaggregation. Sci. Rep. 2017, 7, 8648. [Google Scholar] [CrossRef] [Green Version]
- Egea, P.F. Crossing the Vacuolar Rubicon: Structural Insights into Effector Protein Trafficking in Apicomplexan Parasites. Microorganisms 2020, 8, 865. [Google Scholar] [CrossRef]
- Kelley, W.L. The J-domain family and the recruitment of chaperone power. Trends Biochem. Sci. 1998, 23, 222–227. [Google Scholar] [CrossRef]
- Bukau, B.; Horwich, A.L. The Hsp70 and Hsp60 chaperone machines. Cell 1998, 92, 351–366. [Google Scholar] [CrossRef] [Green Version]
- Przyborski, J.M.; Diehl, M.; Blatch, G.L. Plasmodial HSP70s are functionally adapted to the malaria parasite life cycle. Front. Mol. Biosci. 2015, 2, 34. [Google Scholar] [CrossRef] [PubMed] [Green Version]
- Zhang, Q.; Ma, C.; Oberli, A.; Zinz, A.; Engels, S.; Przyborski, J.M. Proteomic analysis of exported chaperone/co-chaperone complexes of P. falciparum reveals an array of complex protein-protein interactions. Sci. Rep. 2017, 7, 42188. [Google Scholar] [CrossRef] [PubMed]
- Cobb, D.W.; Florentin, A.; Fierro, M.A.; Krakowiak, M.; Moore, J.M.; Muralidharan, V. The Exported Chaperone PfHsp70x Is Dispensable for the Plasmodium falciparum Intraerythrocytic Life Cycle. mSphere 2017, 2, e00363-17. [Google Scholar] [CrossRef] [Green Version]
- Sugino, C.; Hirose, M.; Tohda, H.; Yoshinari, Y.; Abe, T.; Giga-Hama, Y.; Iizuka, R.; Shimizu, M.; Kidokoro, S.; Ishii, N.; et al. Characterization of a sHsp of Schizosaccharomyces pombe, SpHsp15.8, and the implication of its functional mechanism by comparison with another sHsp, SpHsp16.0. Proteins 2009, 74, 6–17. [Google Scholar] [CrossRef]
- Zivanov, J.; Nakane, T.; Forsberg, B.O.; Kimanius, D.; Hagen, W.J.; Lindahl, E.; Scheres, S.H. New tools for automated high-resolution cryo-EM structure determination in RELION-3. Elife 2018, 7, e42166. [Google Scholar] [CrossRef]
- Schuck, P. Size-distribution analysis of macromolecules by sedimentation velocity ultracentrifugation and lamm equation modeling. Biophys. J. 2000, 78, 1606–1619. [Google Scholar] [CrossRef] [Green Version]
- Das, K.P.; Surewicz, W.K. Temperature-induced exposure of hydrophobic surfaces and its effect on the chaperone activity of alpha-crystallin. FEBS Lett. 1995, 369, 321–325. [Google Scholar] [CrossRef] [Green Version]
- Saha, P.; Manna, C.; Chakrabarti, J.; Ghosh, M. Reversible thermal unfolding of a yfdX protein with chaperone-like activity. Sci. Rep. 2016, 6, 29541. [Google Scholar] [CrossRef]
- Tsuboi, T.; Takeo, S.; Arumugam, T.U.; Otsuki, H.; Torii, M. The wheat germ cell-free protein synthesis system: A key tool for novel malaria vaccine candidate discovery. Acta Trop. 2010, 114, 171–176. [Google Scholar] [CrossRef]








| PfPV1-Strep | |||
|---|---|---|---|
| Component | s20,w/S | M/kDa | w/% |
| A1 | 3.3 | 46 | 4.2 |
| A2 | 4.7 | 79 | 2.6 |
| A3 | 6.9 | 139 | 6.8 |
| A4 | 9.4 | 222 | 24 |
| A5 | 12.4 | 336 | 15.7 |
| A6 | 15.5 | 469 | 13.7 |
| A7 | 19.1 | 637 | 9.9 |
| A8 | 23.0 | 848 | 8.4 |
| A9 | 27.8 | 1127 | 4.8 |
| A10 | 31.9 | 1392 | 3.9 |
| A11 | 36.5 | 1696 | 1.4 |
| A12 | 39.5 | 1909 | 2.1 |
| A13 | 44.3 | 2267 | 2.5 |
| rPfPV1-Strep | |||
| B1 | 3.6 | 59 | 17.6 |
| B2 | 6.2 | 141 | 48.1 |
| B3 | 8.4 | 215 | 17.5 |
| B4 | 11.6 | 340 | 8.7 |
| B5 | 15.5 | 539 | 8.1 |
| ka (1/Ms) | Kd (1/s) | KD (M) | |
|---|---|---|---|
| GST-Rh5 | ND | ND | ND |
| GST-EXP2 | 9.03 × 103 | 9.89 × 10−4 | 1.10 × 10−7 |
| GST-PTEX150 | 3.73 × 104 | 2.04 × 10−3 | 5.45 × 10−8 |
| GST-HSP101 | 8.70 × 104 | 9.14 × 10−4 | 1.05 × 10−8 |
Publisher’s Note: MDPI stays neutral with regard to jurisdictional claims in published maps and institutional affiliations. |
© 2020 by the authors. Licensee MDPI, Basel, Switzerland. This article is an open access article distributed under the terms and conditions of the Creative Commons Attribution (CC BY) license (http://creativecommons.org/licenses/by/4.0/).
Share and Cite
Hakamada, K.; Nakamura, M.; Midorikawa, R.; Shinohara, K.; Noguchi, K.; Nagaoka, H.; Takashima, E.; Morishima, K.; Inoue, R.; Sugiyama, M.; et al. PV1 Protein from Plasmodium falciparum Exhibits Chaperone-Like Functions and Cooperates with Hsp100s. Int. J. Mol. Sci. 2020, 21, 8616. https://doi.org/10.3390/ijms21228616
Hakamada K, Nakamura M, Midorikawa R, Shinohara K, Noguchi K, Nagaoka H, Takashima E, Morishima K, Inoue R, Sugiyama M, et al. PV1 Protein from Plasmodium falciparum Exhibits Chaperone-Like Functions and Cooperates with Hsp100s. International Journal of Molecular Sciences. 2020; 21(22):8616. https://doi.org/10.3390/ijms21228616
Chicago/Turabian StyleHakamada, Kazuaki, Manami Nakamura, Rio Midorikawa, Kyosuke Shinohara, Keiichi Noguchi, Hikaru Nagaoka, Eizo Takashima, Ken Morishima, Rintaro Inoue, Masaaki Sugiyama, and et al. 2020. "PV1 Protein from Plasmodium falciparum Exhibits Chaperone-Like Functions and Cooperates with Hsp100s" International Journal of Molecular Sciences 21, no. 22: 8616. https://doi.org/10.3390/ijms21228616
APA StyleHakamada, K., Nakamura, M., Midorikawa, R., Shinohara, K., Noguchi, K., Nagaoka, H., Takashima, E., Morishima, K., Inoue, R., Sugiyama, M., Kawamoto, A., & Yohda, M. (2020). PV1 Protein from Plasmodium falciparum Exhibits Chaperone-Like Functions and Cooperates with Hsp100s. International Journal of Molecular Sciences, 21(22), 8616. https://doi.org/10.3390/ijms21228616

