OsCpn60β1 is Essential for Chloroplast Development in Rice (Oryza sativa L.)
Abstract
1. Introduction
2. Results
2.1. OsCpn60β1 Deficiency in Rice Results in Albino Leaf Phenotype
2.2. Chlorophyll Fluorescence Analysis of OsCpn60β1 Mutants
2.3. Chloroplast Development is Disturbed in OsCpn60β1 Mutants
2.4. Expression Pattern and Subcellular Localization of OsCpn60β1
2.5. Analysis of Differentially Accumulated Proteins (DAPs) in OsCpn60β1 Mutants
2.6. Photosynthesis Metabolism Proteins Were Greatly Decreased in OsCpn60β1 Mutants
2.7. Ribosomal Pathway Was Inhibited in Oscpn60β1 Mutants
2.8. Validation of Proteomics Data by Parallel Reaction Monitoring (PRM) Method
3. Discussion
3.1. OsCpn60β1 is an Essential Subunit of Cpn60 Complex
3.2. OsCpn60β1 is Critical to Rubisco Folding and Carbon Fixation
3.3. OsCpn60β1 is Crucial in Ribosome Biogenesis
4. Materials and Methods
4.1. Plant Materials and Growth Conditions
4.2. Construction of Vectors and the Generation of Transgenic Plants
4.3. Chlorophyll Quantification and Chlorophyll Fluorescence Measurements
4.4. Transmission Electron Microscopy
4.5. Subcellular Localization of OsCpn60β1
4.6. Histological β-glucuronidase (GUS) Assay
4.7. Protein Extraction and Digestion
4.8. Label-free Qualitative Proteomics Analysis
4.9. Parallel Reaction Monitoring (PRM) Verification
4.10. RNA Extraction and qRT-PCR
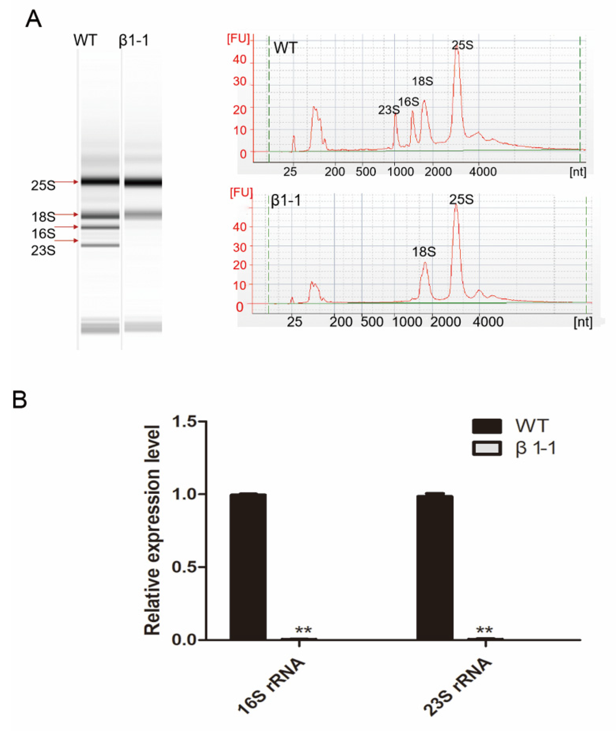
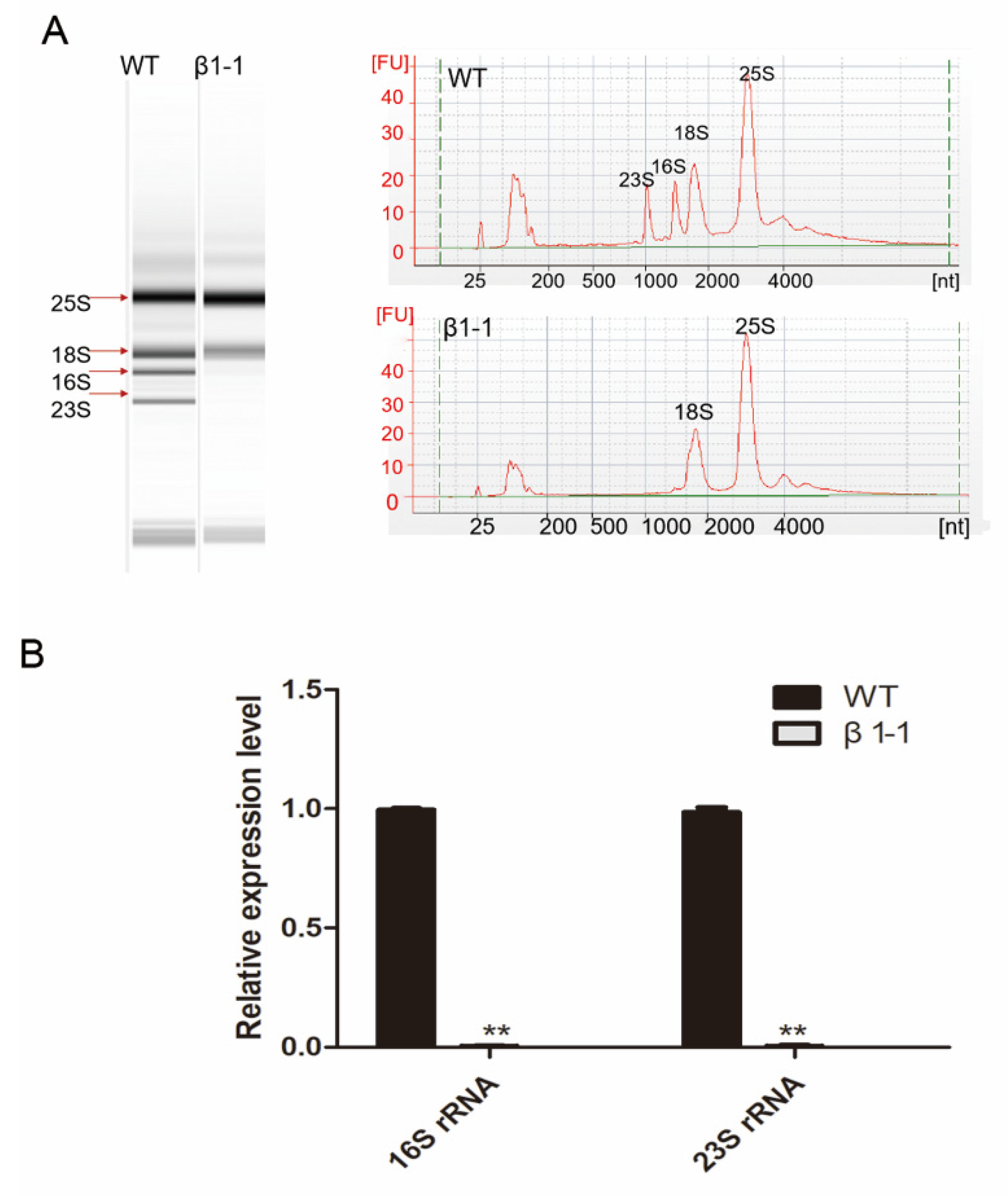
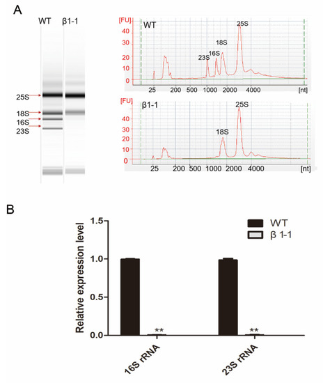
4.11. rRNA Analysis
5. Conclusions
Supplementary Materials
Author Contributions
Funding
Acknowledgments
Conflicts of Interest
Abbreviations
| WT | Wild type |
| GFP | Green fluorescent protein |
| UTR | Untranslated regions |
| LC-MS/MS | Liquid chromatography electrospray ionization tandem mass spectrometry |
| DAPs | Differentially accumulated proteins |
| GO | Gene ontology |
| CC | Cellular component |
| BP | Biological process |
| MF | Molecular function |
| KEGG | Kyoto encyclopedia of genes and genomes |
| TEM | Transmission electron microscopy |
| PRM | Parallel reaction monitoring |
| DTT | Dithiothreitol |
| PSII | Photosystem II |
| PSI | Photosystem I |
| RbcL | Ribulose bisphosphate carboxylase large chain |
| Rbcs | Ribulose bisphosphate carboxylase small chain |
References
- Ellis, R.J. Molecular chaperones: Opening and closing the Anfinsen cage. Curr. Biol. 1994, 4, 633–635. [Google Scholar] [CrossRef]
- Fenton, W.A.; Horwich, A.L. Chaperonin-mediated protein folding: Fate of substrate polypeptide. Q. Rev. Biophys. 2003, 36, 229–256. [Google Scholar] [CrossRef] [PubMed]
- Hartl, F.U.; Bracher, A.; Hayer-Hartl, M. Molecular chaperones in protein folding and proteostasis. Nature 2011, 475, 324–332. [Google Scholar] [CrossRef] [PubMed]
- Bukau, B.; Horwich, A.L. The Hsp70 and Hsp60 chaperone machines. Cell 1998, 92, 351–366. [Google Scholar] [CrossRef]
- Ditzel, L.; Löwe, J.; Stock, D.; Stetter, K.O.; Huber, H.; Huber, R.; Steinbacher, S. Crystal structure of the thermosome, the archaeal chaperonin and homolog of CCT. Cell 1998, 93, 125–138. [Google Scholar] [CrossRef]
- Sigler, P.B.; Xu, Z.; Rye, H.S.; Burston, S.G.; Fenton, W.A.; Horwich, A.L. Structure and function in GroEL-mediated protein folding. Annu. Rev. Biochem. 1998, 67, 581–608. [Google Scholar] [CrossRef]
- Leitner, A.; Joachimiak, L.A.; Bracher, A.; Mönkemeyer, L.; Walzthoeni, T.; Chen, B.; Pechmann, S.; Holmes, S.; Cong, Y.; Ma, B.; et al. The molecular architecture of the eukaryotic chaperonin TRiC/CCT. Structure 2012, 20, 814–825. [Google Scholar] [CrossRef]
- Xu, Z.; Horwich, A.L.; Sigler, P.B. The crystal structure of the asymmetric GroEL-GroES-(ADP)7 chaperonin complex. Nature 1997, 388, 741–750. [Google Scholar] [CrossRef]
- Yébenes, H.; Mesa, P.; Muñoz, I.G.; Montoya, G.; Valpuesta, J.M. Chaperonins: Two rings for folding. Trends Biochem. Sci. 2011, 36, 424–432. [Google Scholar] [CrossRef]
- Horwich, A.L.; Fenton, W.A.; Chapman, E.; Farr, G.W. Two families of chaperonin: Physiology and mechanism. Annu. Rev. Cell Dev. Biol. 2007, 23, 115–145. [Google Scholar] [CrossRef]
- Fei, X.; Ye, X.; LaRonde, N.A.; Lorimer, G.H. Formation and structures of GroEL:GroES2 chaperonin footballs, the protein-folding functional form. Proc. Natl. Acad. Sci. USA 2014, 111, 12775–12780. [Google Scholar] [CrossRef] [PubMed]
- Koike-Takeshita, A.; Arakawa, T.; Taguchi, H.; Shimamura, T. Crystal structure of a symmetric football-shaped GroEL:GroES2-ATP14 complex determined at 3.8A reveals rearrangement between two GroEL rings. J. Mol. Biol. 2014, 426, 3634–3641. [Google Scholar] [CrossRef] [PubMed]
- Nisemblat, S.; Yaniv, O.; Parnas, A.; Frolow, F.; Azem, A. Crystal structure of the human mitochondrial chaperonin symmetrical football complex. Proc. Natl. Acad. Sci. USA 2015, 112, 6044–6049. [Google Scholar] [CrossRef] [PubMed]
- Yang, D.; Ye, X.; Lorimer, G.H. Symmetric GroEL:GroES2 complexes are the protein-folding functional form of the chaperonin nanomachine. Proc. Natl. Acad. Sci. USA 2013, 110, 20131886. [Google Scholar] [CrossRef] [PubMed]
- Barraclough, R.; Ellis, R.J. Protein synthesis in chloroplasts. IX. Assembly of newly-synthesized large subunits into ribulose bisphosphate carboxylase in isolated intact pea chloroplasts. Biochim. Biophys. Acta 1980, 608, 19–31. [Google Scholar] [CrossRef]
- Hemmingsen, S.M.; Ellis, R.J. Purification and properties of ribulosebisphosphate carboxylase large subunit binding protein. Plant Physiol. 1986, 80, 269–276. [Google Scholar] [CrossRef]
- Hemmingsen, S.M.; Woolford, C.; van der Vies, S.M.; Tilly, K.; Dennis, D.T.; Georgopoulos, C.P.; Hendrix, R.W.; Ellis, R.J. Homologous plant and bacterial proteins chaperone oligomeric protein assembly. Nature 1988, 333, 330–334. [Google Scholar] [CrossRef]
- Martel, R.; Cloney, L.P.; Pelcher, L.E.; Hemmingsen, S.M. Unique composition of plastid chaperonin-60: Alpha and beta polypeptide-encoding genes are highly divergent. Gene 1990, 94, 181–187. [Google Scholar] [CrossRef]
- Nishio, K.; Hirohashi, T.; Nakai, M. Chloroplast chaperonins: Evidence for heterogeneous assembly of alpha and beta Cpn60 polypeptides into a chaperonin oligomer. Biochem. Biophys. Res. Commun. 1999, 266, 584–587. [Google Scholar] [CrossRef]
- Hill, J.E.; Hemmingsen, S.M. Arabidopsis thaliana type I and II chaperonins. Cell Stress Chaperones 2001, 6, 190–200. [Google Scholar] [CrossRef]
- Schroda, M. The Chlamydomonas genome reveals its secrets: Chaperone genes and the potential roles of their gene products in the chloroplast. Photosynth Res. 2004, 82, 221–240. [Google Scholar] [CrossRef] [PubMed]
- Vitlin, A.; Weiss, C.; Demishtein-Zohary, K.; Rasouly, A.; Levin, D.; Pisanty-Farchi, O.; Breiman, A.; Azem, A. Chloroplast β chaperonins from A. thaliana function with endogenous cpn10 homologs in vitro. Plant Mol. Biol. 2011, 77, 105–115. [Google Scholar] [CrossRef] [PubMed]
- Aigner, H.; Wilson, R.H. Plant Rubisco assembly in E. coli with five chloroplast chaperones including BSD2. Science 2017, 358, 1272–1278. [Google Scholar] [CrossRef] [PubMed]
- Bai, C.; Guo, P.; Zhao, Q.; Lv, Z.; Zhang, S.; Gao, F.; Gao, L.; Wang, Y.; Tian, Z.; Wang, J.; et al. Protomer roles in chloroplast chaperonin assembly and function. Mol. Plant 2015, 8, 1478–1492. [Google Scholar] [CrossRef]
- Zhao, Q.; Liu, C. Chloroplast chaperonin: An intricate protein folding machine for photosynthesis. Front. Mol. Biosci. 2017, 4, 98. [Google Scholar] [CrossRef]
- Bonk, M.; Tadros, M.; Vandekerckhove, J.; Al-Babili, S.; Beyer, P. Purification and characterization of chaperonin 60 and heat-shock protein 70 from chromoplasts of Narcissus pseudonarcissus. Plant Physiol. 1996, 111, 931–939. [Google Scholar] [CrossRef]
- Zhao, Q.; Zhang, X.; Sommer, F.; Ta, N.; Wang, N.; Schroda, M.; Cong, Y.; Liu, C. Hetero-oligomeric CPN60 resembles highly symmetric group-I chaperonin structure revealed by Cryo-EM. Plant J. 2019, 98, 798–812. [Google Scholar] [CrossRef]
- Apuya, N.R.; Yadegari, R.; Fischer, R.L.; Harada, J.J.; Zimmerman, J.L.; Goldberg, R.B. The Arabidopsis embryo mutant schlepperless has a defect in the chaperonin-60alpha gene. Plant Physiol. 2001, 126, 717–730. [Google Scholar] [CrossRef]
- Suzuki, K.; Nakanishi, H.; Bower, J.; Yoder, D.W.; Osteryoung, K.W.; Miyagishima, S.Y. Plastid chaperonin proteins Cpn60 alpha and Cpn60 beta are required for plastid division in Arabidopsis thaliana. BMC Plant Biol. 2009, 9, 38. [Google Scholar] [CrossRef]
- Ke, X.; Zou, W.; Ren, Y.; Wang, Z.; Li, J.; Wu, X.; Zhao, J. Functional divergence of chloroplast Cpn60alpha subunits during Arabidopsis embryo development. PLoS Genet. 2017, 13, e1007036. [Google Scholar] [CrossRef]
- Peng, L.; Fukao, Y.; Myouga, F.; Motohashi, R.; Shinozaki, K.; Shikanai, T. A chaperonin subunit with unique structures is essential for folding of a specific substrate. PLoS Biol. 2011, 9, e1001040. [Google Scholar] [CrossRef]
- Tiwari, L.D.; Grover, A. Cpn60β4 protein regulates growth and developmental cycling and has bearing on flowering time in Arabidopsis thaliana plants. Plant Sci. 2019, 286, 78–88. [Google Scholar] [CrossRef] [PubMed]
- Kim, S.R.; Yang, J.I.; An, G. OsCpn60α1, encoding the plastid chaperonin 60α subunit, is essential for folding of rbcL. Mol. Cells 2013, 35, 402–409. [Google Scholar] [CrossRef] [PubMed]
- Jiang, Q.; Mei, J.; Gong, X.D.; Xu, J.L.; Zhang, J.H.; Teng, S.; Lin, D.Z.; Dong, Y.J. Importance of the rice TCD9 encoding α subunit of chaperonin protein 60 (Cpn60α) for the chloroplast development during the early leaf stage. Plant Sci. 2014, 215, 172–179. [Google Scholar] [CrossRef]
- Cao, Z.L.; Yu, Q.B.; Sun, Y.; Lu, Y.; Cui, Y.L.; Yang, Z.N. A point mutation in the pentatricopeptide repeat motif of the AtECB2 protein causes delayed chloroplast development. J. Integr. Plant Biol. 2011, 53, 258–269. [Google Scholar] [CrossRef] [PubMed]
- Gong, X.; Su, Q.; Lin, D.; Jiang, Q.; Xu, J.; Zhang, J.; Teng, S.; Dong, Y. The rice OsV4 encoding a novel pentatricopeptide repeat protein is required for chloroplast development during the early leaf stage under cold stress. J. Integr. Plant Biol. 2014, 56, 400–410. [Google Scholar] [CrossRef] [PubMed]
- Hu, Z.; Xu, F.; Guan, L.; Qian, P.; Liu, Y.; Zhang, H.; Huang, Y.; Hou, S. The tetratricopeptide repeat-containing protein slow green1 is required for chloroplast development in Arabidopsis. J. Exp. Bot. 2014, 65, 1111–1123. [Google Scholar] [CrossRef]
- Yu, Q.B.; Jiang, Y.; Chong, K.; Yang, Z.N. AtECB2, a pentatricopeptide repeat protein, is required for chloroplast transcript accD RNA editing and early chloroplast biogenesis in Arabidopsis thaliana. Plant J. 2009, 59, 1011–1023. [Google Scholar] [CrossRef]
- Baker, N.R. Chlorophyll fluorescence: A probe of photosynthesis in vivo. Annu. Rev. Plant Biol. 2008, 59, 89–113. [Google Scholar] [CrossRef]
- Sakamoto, W.; Uno, Y.; Zhang, Q.; Miura, E.; Kato, Y.; Sodmergen. Arrested differentiation of proplastids into chloroplasts in variegated leaves characterized by plastid ultrastructure and nucleoid morphology. Plant Cell Physiol. 2009, 50, 2069–2083. [Google Scholar] [CrossRef]
- Emanuelsson, O.; Brunak, S.; von Heijne, G.; Nielsen, H. Locating proteins in the cell using TargetP, SignalP and related tools. Nat. Protoc. 2007, 2, 953–971. [Google Scholar] [CrossRef] [PubMed]
- Dittami, S.M.; Michel, G.; Collen, J.; Boyen, C.; Tonon, T. Chlorophyll-binding proteins revisited—A multigenic family of light-harvesting and stress proteins from a brown algal perspective. BMC Evol. Biol. 2010, 10, 365. [Google Scholar] [CrossRef] [PubMed]
- Subramanian, A.R. The ribosome: Its evolutionary diversity and the functional role of one of its components. Essays Biochem. 1985, 21, 45–85. [Google Scholar] [PubMed]
- Zhang, J.; Yuan, H.; Yang, Y.; Fish, T.; Lyi, S.M.; Thannhauser, T.W.; Zhang, L.; Li, L. Plastid ribosomal protein S5 is involved in photosynthesis, plant development, and cold stress tolerance in Arabidopsis. J. Exp. Bot. 2016, 67, 2731–2744. [Google Scholar] [CrossRef] [PubMed]
- Tiller, N.; Bock, R. The translational apparatus of plastids and its role in plant development. Mol. Plant 2014, 7, 1105–1120. [Google Scholar] [CrossRef]
- Feiz, L.; Williams-Carrier, R.; Wostrikoff, K.; Belcher, S.; Barkan, A.; Stern, D.B. Ribulose-1,5-bis-phosphate carboxylase/oxygenase accumulation factor1 is required for holoenzyme assembly in maize. Plant Cell 2012, 24, 3435–3446. [Google Scholar] [CrossRef]
- Barkan, A. Nuclear mutants of maize with defects in chloroplast polysome assembly have altered chloroplast RNA metabolism. Plant Cell 1993, 5, 389–402. [Google Scholar] [CrossRef]
- Schultes, N.P.; Sawers, R.J.; Brutnell, T.P.; Krueger, R.W. Maize high chlorophyll fluorescent 60 mutation is caused by an Ac disruption of the gene encoding the chloroplast ribosomal small subunit protein 17. Plant J. 2000, 21, 317–327. [Google Scholar] [CrossRef]
- Romani, I.; Tadini, L.; Rossi, F.; Masiero, S.; Pribil, M.; Jahns, P.; Kater, M.; Leister, D.; Pesaresi, P. Versatile roles of Arabidopsis plastid ribosomal proteins in plant growth and development. Plant J. 2012, 72, 922–934. [Google Scholar] [CrossRef]
- Bryant, N.; Lloyd, J.; Sweeney, C.; Myouga, F.; Meinke, D. Identification of nuclear genes encoding chloroplast-localized proteins required for embryo development in Arabidopsis. Plant Physiol. 2011, 155, 1678–1689. [Google Scholar] [CrossRef]
- Muralla, R.; Lloyd, J.; Meinke, D. Molecular foundations of reproductive lethality in Arabidopsis thaliana. PLoS ONE 2011, 6, e28398. [Google Scholar] [CrossRef] [PubMed]
- Yin, T.; Pan, G.; Liu, H.; Wu, J.; Li, Y.; Zhao, Z.; Fu, T.; Zhou, Y. The chloroplast ribosomal protein L21 gene is essential for plastid development and embryogenesis in Arabidopsis. Planta 2012, 235, 907–921. [Google Scholar] [CrossRef] [PubMed]
- Gong, X.; Jiang, Q.; Xu, J.; Zhang, J.; Teng, S.; Lin, D.; Dong, Y. Disruption of the rice plastid ribosomal protein s20 leads to chloroplast developmental defects and seedling lethality. G3 Genes Genomes Genet. 2013, 3, 1769–1777. [Google Scholar] [CrossRef] [PubMed]
- Lin, D.; Jiang, Q.; Zheng, K.; Chen, S.; Zhou, H.; Gong, X.; Xu, J.; Teng, S.; Dong, Y. Mutation of the rice ASL2 gene encoding plastid ribosomal protein L21 causes chloroplast developmental defects and seedling death. Plant Biol. 2015, 17, 599–607. [Google Scholar] [CrossRef]
- Zhao, D.S.; Zhang, C.Q.; Li, Q.F.; Yang, Q.Q.; Gu, M.H.; Liu, Q.Q. A residue substitution in the plastid ribosomal protein L12/AL1 produces defective plastid ribosome and causes early seedling lethality in rice. Plant Mol. Biol. 2016, 91, 161–177. [Google Scholar] [CrossRef]
- Qiu, Z.; Chen, D.; He, L.; Zhang, S.; Yang, Z.; Zhang, Y.; Wang, Z.; Ren, D.; Qian, Q.; Guo, L.; et al. The rice white green leaf 2 gene causes defects in chloroplast development and affects the plastid ribosomal protein S9. Rice 2018, 11, 39. [Google Scholar] [CrossRef]
- Byrne, M.E. A role for the ribosome in development. Trends Plant Sci. 2009, 14, 512–519. [Google Scholar] [CrossRef]
- Stirnberg, P.; Liu, J.P.; Ward, S.; Kendall, S.L.; Leyser, O. Mutation of the cytosolic ribosomal protein-encoding RPS10B gene affects shoot meristematic function in Arabidopsis. BMC Plant Biol. 2012, 12, 160. [Google Scholar] [CrossRef]
- Wang, R.; Zhao, J.; Jia, M.; Xu, N.; Liang, S.; Shao, J.; Qi, Y.; Liu, X.; An, L.; Yu, F. Balance between Cytosolic and Chloroplast Translation Affects Leaf Variegation. Plant Physiol. 2018, 176, 804–818. [Google Scholar] [CrossRef]
- Williams, M.E.; Sussex, I.M. Developmental regulation of ribosomal protein L16 genes in Arabidopsis thaliana. Plant J. 1995, 8, 65–76. [Google Scholar] [CrossRef]
- Wang, D.; Li, X.F.; Zhou, Z.J.; Feng, X.P.; Yang, W.J.; Jiang, D.A. Two Rubisco activase isoforms may play different roles in photosynthetic heat acclimation in the rice plant. Physiol. Plant. 2010, 139, 55–67. [Google Scholar] [CrossRef] [PubMed]
- Xie, K.; Minkenberg, B.; Yang, Y. Boosting CRISPR/Cas9 multiplex editing capability with the endogenous tRNA-processing system. Proc Natl. Acad. Sci. USA 2015, 112, 3570–3575. [Google Scholar] [CrossRef] [PubMed]
- Xie, K.; Zhang, J.; Yang, Y. Genome-wide prediction of highly specific guide RNA spacers for CRISPR-Cas9-mediated genome editing in model plants and major crops. Mol. Plant 2014, 7, 923–926. [Google Scholar] [CrossRef] [PubMed]
- Hiei, Y.; Ohta, S.; Komari, T.; Kumashiro, T. Efficient transformation of rice (Oryza sativa L.) mediated by Agrobacterium and sequence analysis of the boundaries of the T-DNA. Plant J. 1994, 6, 271–282. [Google Scholar] [CrossRef] [PubMed]
- Wellburn, A.R. The Spectral Determination of Chlorophylls a and b, as well as Total Carotenoids, Using Various Solvents with Spectrophotometers of Different Resolution. J. Plant Physiol. 1994, 144, 307–313. [Google Scholar] [CrossRef]
- Guo, H.; Hong, C.; Chen, X.; Xu, Y.; Liu, Y.; Jiang, D.; Zheng, B. Different Growth and Physiological Responses to Cadmium of the Three Miscanthus Species. PLoS ONE 2016, 11, e0153475. [Google Scholar] [CrossRef] [PubMed]
- Yu, C.; Wang, L.; Chen, C.; He, C.; Hu, J.; Zhu, Y.; Huang, W. Protoplast: A more efficient system to study nucleo-cytoplasmic interactions. Biochem. Biophys. Res. Commun. 2014, 450, 1575–1580. [Google Scholar] [CrossRef]
- Jefferson, R.A.; Kavanagh, T.A.; Bevan, M.W. GUS fusions: Beta-glucuronidase as a sensitive and versatile gene fusion marker in higher plants. EMBO J. 1987, 6, 3901–3907. [Google Scholar] [CrossRef]
- Wiśniewski, J.R.; Zougman, A.; Mann, M. Combination of FASP and StageTip-based fractionation allows in-depth analysis of the hippocampal membrane proteome. J. Proteome Res. 2009, 8, 5674–5678. [Google Scholar] [CrossRef]
- Apweiler, R.; Bairoch, A.; Wu, C.H.; Barker, W.C.; Boeckmann, B.; Ferro, S.; Gasteiger, E.; Huang, H.; Lopez, R.; Magrane, M.; et al. UniProt: The Universal Protein knowledgebase. Nucleic Acids Res. 2004, 32, 115–119. [Google Scholar] [CrossRef]
- Goodstein, D.M.; Shu, S.; Howson, R.; Neupane, R.; Hayes, R.D.; Fazo, J.; Mitros, T.; Dirks, W.; Hellsten, U.; Putnam, N.; et al. Phytozome: A comparative platform for green plant genomics. Nucleic Acids Res. 2012, 40, 1178–1186. [Google Scholar] [CrossRef] [PubMed]
- Cox, J.; Matic, I.; Hilger, M.; Nagaraj, N.; Selbach, M.; Olsen, J.V.; Mann, M. A practical guide to the MaxQuant computational platform for SILAC-based quantitative proteomics. Nat. Protoc. 2009, 4, 698–705. [Google Scholar] [CrossRef] [PubMed]
- Zhan, Y.; Wu, Q.; Chen, Y.; Tang, M.; Sun, C.; Sun, J.; Yu, C. Comparative proteomic analysis of okra (Abelmoschus esculentus L.) seedlings under salt stress. BMC Genom. 2019, 20, 381. [Google Scholar] [CrossRef] [PubMed]
- Camon, E.; Magrane, M.; Barrell, D.; Lee, V.; Dimmer, E.; Maslen, J.; Binns, D.; Harte, N.; Lopez, R.; Apweiler, R. The Gene Ontology Annotation (GOA) Database: Sharing knowledge in Uniprot with Gene Ontology. Nucleic Acids Res. 2004, 32, 262–266. [Google Scholar] [CrossRef] [PubMed]
- Zdobnov, E.M.; Apweiler, R. InterProScan--an integration platform for the signature-recognition methods in InterPro. Bioinformatics 2001, 17, 847–848. [Google Scholar] [CrossRef]
- Ogata, H.; Goto, S.; Sato, K.; Fujibuchi, W.; Bono, H.; Kanehisa, M. KEGG: Kyoto Encyclopedia of Genes and Genomes. Nucleic Acids Res. 1999, 27, 29–34. [Google Scholar] [CrossRef]










| Protein ID | Description | Fold Changes in Proteomics (Mutant/WT) | Fold Changes in PRM (Mutant/WT) |
|---|---|---|---|
| Q7XDY9 | Rubisco accumulation factor 1 | 0.452 | 0.473 |
| Q9ZST1 | 30S ribosomal protein S17 | 0.234 | 0.212 |
| Q6Z7V2 | 24.1 kDa heat shock protein, mitochondrial | 15.022 | 14.833 |
| Q6H4L2 | Elongation factor 2 | 2.907 | 2.722 |
| Q7F8S5 | Peroxiredoxin-2E-2, chloroplastic | 0.329 | 0.313 |
| Q2QQ99 | Protein SPIRAL1-like 3 | 2.256 | 2.051 |
| B7E5F1 | Carbonic anhydrase | 0.061 | 0.064 |
| Q7F2L7 | PsbE | 0.016 | 0.012 |
© 2020 by the authors. Licensee MDPI, Basel, Switzerland. This article is an open access article distributed under the terms and conditions of the Creative Commons Attribution (CC BY) license (http://creativecommons.org/licenses/by/4.0/).
Share and Cite
Wu, Q.; Zhang, C.; Chen, Y.; Zhou, K.; Zhan, Y.; Jiang, D. OsCpn60β1 is Essential for Chloroplast Development in Rice (Oryza sativa L.). Int. J. Mol. Sci. 2020, 21, 4023. https://doi.org/10.3390/ijms21114023
Wu Q, Zhang C, Chen Y, Zhou K, Zhan Y, Jiang D. OsCpn60β1 is Essential for Chloroplast Development in Rice (Oryza sativa L.). International Journal of Molecular Sciences. 2020; 21(11):4023. https://doi.org/10.3390/ijms21114023
Chicago/Turabian StyleWu, Qingfei, Cheng Zhang, Yue Chen, Kaiyue Zhou, Yihua Zhan, and Dean Jiang. 2020. "OsCpn60β1 is Essential for Chloroplast Development in Rice (Oryza sativa L.)" International Journal of Molecular Sciences 21, no. 11: 4023. https://doi.org/10.3390/ijms21114023
APA StyleWu, Q., Zhang, C., Chen, Y., Zhou, K., Zhan, Y., & Jiang, D. (2020). OsCpn60β1 is Essential for Chloroplast Development in Rice (Oryza sativa L.). International Journal of Molecular Sciences, 21(11), 4023. https://doi.org/10.3390/ijms21114023
