Genome-Wide Analysis of the FABP Gene Family in Liver of Chicken (Gallus gallus): Identification, Dynamic Expression Profile, and Regulatory Mechanism
Abstract
1. Introduction
2. Results
2.1. Identification and Domain Analysis of FABP Genes in Chicken
2.2. Phylogenetic Analysis and Gene Structure of Chicken FABP Genes
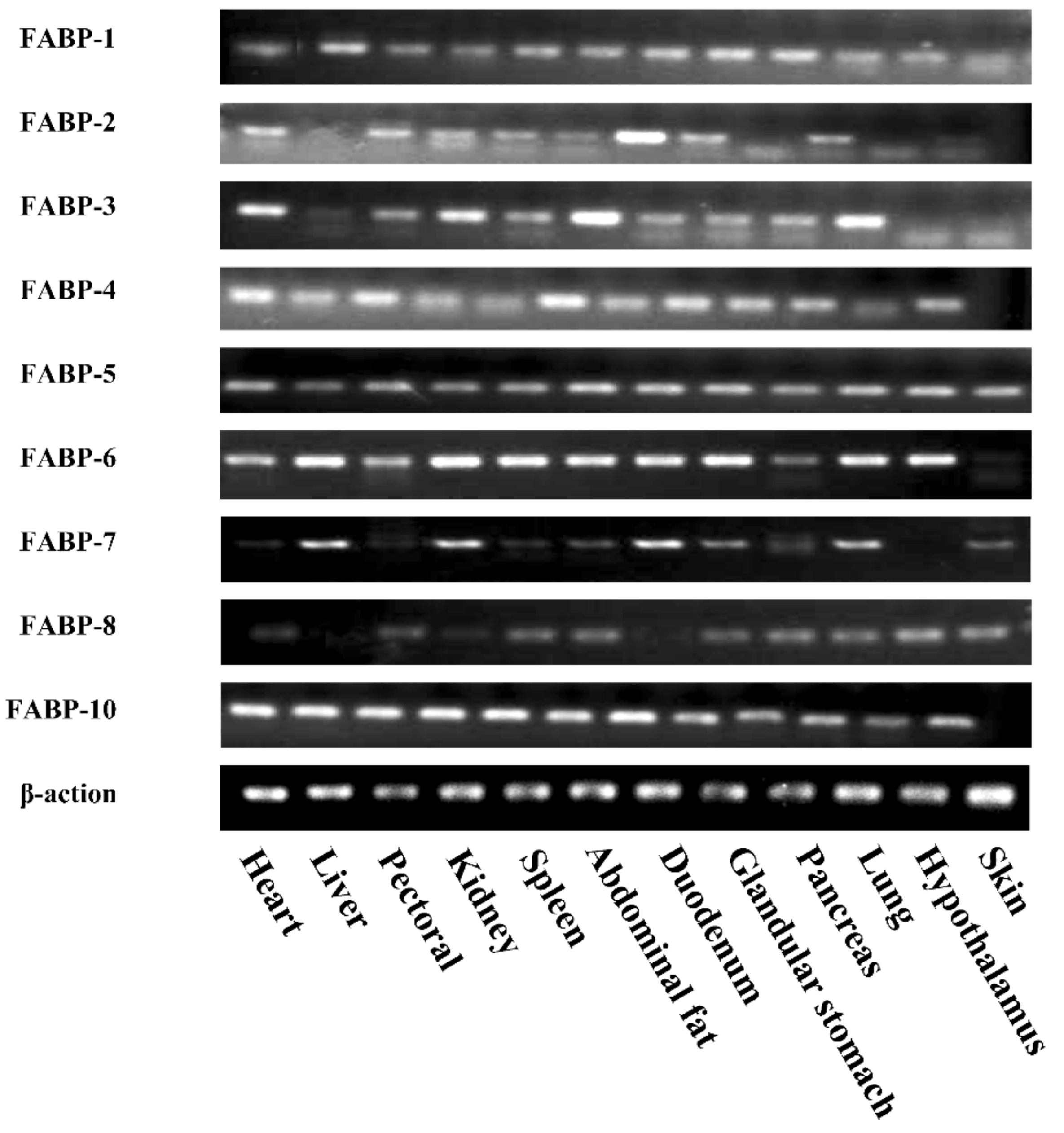
2.3. Tissue Distribution of Chicken FABP Genes
2.4. Dynamic Expression Profiles of FABP Genes in Liver of Chicken
2.5. Characteristics of Chicken FABP Promoters
2.6. Effect of Estrogen on the Expression of Chicken FABP Genes In Vivo and In Vitro
2.7. Effect of PPAR Agonists on the Expression of Chicken FABP Genes
3. Discussion
4. Materials and Methods
4.1. Ethics Statement
4.2. Identification and Classification of FABP Gene Family Members from the Chicken Genome
4.3. Sequence Similarity and Domain Characterization
4.4. Phylogenetic Analysis and Annotation of Gene Structure of the Chicken FABP Gene Family
4.5. Predicted Regulatory Elements in the Promoter Regions of Chicken FABP Genes
4.6. Animals, Estrogen Treatments, and Sampling
4.7. Chicken Embryonic Primary Hepatocyte Culture and Treatments
4.8. Chicken LMH Cell Culture and Treatments
4.9. RNA Extraction and Complementary DNA (cDNA) Synthesis
4.10. Real-Time Quantitative PCR (RT-qPCR)
4.11. Statistical Analysis
5. Conclusions
Supplementary Materials
Author Contributions
Acknowledgments
Conflicts of Interest
Abbreviations
| FABP | fatty acid-binding protein |
| ER | estrogen receptor |
| PPAR | peroxisome proliferator activated receptor |
| FAs | Fatty acids |
| LCFAs | long-chain fatty acids |
| iLBP | intracellular lipid-binding protein |
| CRABPs | cellular retinoic acid binding proteins |
| CRBPs | cellular retinol-binding proteins |
| BAs | bile acids |
| TG | triacylglycerol |
| PPREs | peroxisome proliferator response elements |
| 5′FR | 5′ flanking region |
| DR1 | direct repeat element |
| RXR | retinoid X receptor |
| ERE | estrogen response elements |
| ACSF1 | Acyl-CoA synthetases family 1 |
| MYA | millions of years ago |
| GFF | general feature format |
| TSS | transcript start sites |
| qPCR | quantitative PCR |
| MPP | 1,3-bis(4-hydroxyphenyl)-4-methyl-5-[4-(2-piperidinylethoxy)phenol]-1H-pyrazoledihydrochloride |
| TAM | tamoxifen |
| ICI | ICI 182,780 |
| cDNA | complementary DNA |
| aa | amino acid |
| MW | molecular weights |
| pIs | isoelectric points |
| CDS | coding sequence |
| UTR | untranslated region |
| ACOX1 | acyl-coenzyme A oxidase 1 |
| PDK4 | pyruvate dehydrogenase kinase-4 |
| VCAM-1 | vascular cell adhesion molecule 1 |
| WGD | whole genome duplication |
| MRCA | most recent common ancestor |
| h | hours |
References
- Donnelly, K.L.; Smith, C.I.; Schwarzenberg, S.J.; Jose, J.; Boldt, M.D.; Parks, E.J. Sources of fatty acids stored in liver and secreted via lipoproteins in patients with nonalcoholic fatty liver disease. J. Clin. Investig. 2005, 115, 1343–1351. [Google Scholar] [CrossRef] [PubMed]
- Mcarthur, M.J.; Atshaves, B.P.; Frolov, A.; Foxworth, W.D.; Kier, A.B.; Schroeder, F. Cellular uptake and intracellular trafficking of long chain fatty acids. J. Lipid Res. 1999, 40, 1371–1383. [Google Scholar] [PubMed]
- Glatz, J.F.C.; Vusse, G.J.V.D. Cellular fatty acid-binding proteins: Their function and physiological significance. Prog. Lipid Res. 1996, 35, 243–282. [Google Scholar] [CrossRef]
- Lücke, C.; Gutiérrez-González, L.H.; Hamilton, J.A. Intracellular lipid binding proteins: Evolution, structure, and ligand binding. In Cellular Proteins and their Fatty Acids in Health and Disease; Asim, K.D., Friedrich, S., Eds.; Wiley: Hoboken, NJ, USA, 2003; pp. 95–118. ISBN 978-3-527-60528-6. [Google Scholar]
- Parmar, M.B.; Venkatachalam, A.B.; Wright, J.M. The evolutionary relationship of the transcriptionally active FABP11a (intronless) and FABP11b genes of medaka with FABP11 genes of other teleost fishes. FEBS J. 2012, 279, 2310–2321. [Google Scholar] [CrossRef] [PubMed]
- Smathers, R.L.; Petersen, D.R. The human fatty acid-binding protein family: Evolutionary divergences and functions. Hum. Genom. 2011, 5, 170–191. [Google Scholar] [CrossRef]
- Sweetser, D.A.; Birkenmeier, E.H.; Klisak, I.J.; Zollman, S.; Sparkes, R.S.; Mohandas, T.; Lusis, A.J.; Gordon, J.I. The human and rodent intestinal fatty acid binding protein genes. A comparative analysis of their structure, expression, and linkage relationships. J. Biol. Chem. 1987, 262, 16060–16071. [Google Scholar]
- Teruo, O.; Shoji, O. Initial studies of the cytoplasmic FABP superfamily. Proc. Jpn. Acad. 2010, 86, 220. [Google Scholar] [CrossRef]
- Chmurzyńska, A. The multigene family of fatty acid-binding proteins (FABPs): Function, structure and polymorphism. J. Appl. Genet. 2006, 47, 39–48. [Google Scholar] [CrossRef]
- Storch, J.; Corsico, B. The emerging functions and mechanisms of mammalian fatty acid-binding proteins. Annu. Rev. Nutr. 2008, 28, 73–95. [Google Scholar] [CrossRef]
- Schleicher, C.H.; Córdoba, O.L.; Santomé, J.A.; Dell’Angelica, E.C. Molecular evolution of the multigene family of intracellular lipid-binding proteins. Biochem. Mol. Biol. Int. 1995, 36, 1117–1125. [Google Scholar]
- Judith, S.; Thumser, A.E. Tissue-specific functions in the fatty acid-binding protein family. J. Biol. Chem. 2010, 285, 32679. [Google Scholar] [CrossRef]
- Spann, N.J.; Sohye, K.; Li, A.C.; Chen, A.Z.; Newberry, E.P.; Davidson, N.O.; Hui, S.T.Y.; Davis, R.A. Coordinate transcriptional repression of liver fatty acid-binding protein and microsomal triglyceride transfer protein blocks hepatic very low density lipoprotein secretion without hepatosteatosis. J. Biol. Chem. 2006, 281, 33066–33077. [Google Scholar] [CrossRef] [PubMed]
- Schievano, E.; Mammi, S.; Peggion, E. Determination of the secondary structural elements of chicken liver fatty acid binding protein by two-dimensional homonuclear NMR. Biopolymers 2015, 50, 1–11. [Google Scholar] [CrossRef]
- Mukai, T.; Egawa, M.; Takeuchi, T.; Yamashita, H.; Kusudo, T. Silencing of FABP1 ameliorates hepatic steatosis, inflammation and oxidative stress in mice with non-alcoholic fatty liver disease. FEBS Open Bio 2017, 7, 1009–1016. [Google Scholar] [CrossRef]
- Newberry, E.P.; Xie, Y.; Kennedy, S.M.; Luo, J.; Davidson, N.O. Protection against Western diet–induced obesity and hepatic steatosis in liver fatty acid–binding protein knockout mice. Hepatology 2010, 44, 1191–1205. [Google Scholar] [CrossRef]
- Atshaves, B.P.; McIntosh, A.L.; Storey, S.M.; Landrock, K.K.; Kier, A.B.; Schroeder, F. High dietary fat exacerbates weight gain and obesity in female liver fatty acid binding protein gene-ablated mice. Lipids 2010, 45, 97–110. [Google Scholar] [CrossRef]
- Shi, H.; Wang, Q.; Zhang, Q.; Leng, L.; Li, H. Tissue expression characterization of chicken adipocyte fatty acid-binding protein and its expression difference between fat and lean birds in abdominal fat tissue. Poult. Sci. 2010, 89, 197–202. [Google Scholar] [CrossRef][Green Version]
- Agellon, L.B.; Drozdowski, L.; Li, L.; Iordache, C.; Luong, L.; Clandinin, M.T.; Uwiera, R.R.E.; Toth, M.J.; Thomson, A.B.R. Loss of intestinal fatty acid binding protein increases the susceptibility of male mice to high fat diet-induced fatty liver. Biochim. Biophys. Acta 2007, 1771, 1283–1288. [Google Scholar] [CrossRef]
- Angel, A.; Bray, G.A. Synthesis of fatty acids and cholesterol by liver, adipose tissue and intestinal mucosa from obese and control patients. Eur. J. Clin. Investig. 2010, 9, 355–362. [Google Scholar] [CrossRef]
- He, Y.; Yang, X.; Wang, H.; Estephan, R.; Francis, F.; Kodukula, S.; Storch, J.; Stark, R.E. Solution-state molecular structure of apo and oleate-liganded liver fatty acid-binding protein. Biochemistry 2007, 46, 12543–12556. [Google Scholar] [CrossRef]
- Vassileva, G. The intestinal fatty acid binding protein is not essential for dietary fat absorption in mice. FASEB J. 2000, 14, 2040–2046. [Google Scholar] [CrossRef] [PubMed]
- Hughes, A.L.; Piontkivska, H. Evolutionary diversification of the avian fatty acid-binding proteins. Gene 2011, 490, 1–5. [Google Scholar] [CrossRef] [PubMed][Green Version]
- Murai, A.; Furuse, M.; Kitaguchi, K.; Kusumoto, K.; Nakanishi, Y.; Kobayashi, M.; Horio, F. Characterization of critical factors influencing gene expression of two types of fatty acid-binding proteins (L-FABP and Lb-FABP) in the liver of birds. Comp. Biochem. Physiol. Part A Mol. Integr. Physiol. 2009, 154, 216–223. [Google Scholar] [CrossRef]
- Wang, Q.; Li, H.; Li, N.; Leng, L.; Wang, Y. Tissue expression and association with fatness traits of liver fatty acid-binding protein gene in chicken. Poult. Sci. 2006, 85, 1890–1895. [Google Scholar] [CrossRef] [PubMed]
- Zhang, Y.; Liu, Z.; Liu, R.; Wang, J.; Zheng, M.; Li, Q.; Cui, H.; Zhao, G.; Wen, J. Alteration of hepatic gene expression along with the inherited phenotype of acquired fatty liver in chicken. Genes 2018, 9, 199. [Google Scholar] [CrossRef] [PubMed]
- Wang, Q.; Li, H.; Liu, S.; Wang, G.; Wang, Y. Cloning and tissue expression of chicken heart fatty acid-binding protein and intestine fatty acid-binding protein genes. Anim. Biotechnol. 2005, 16, 191–201. [Google Scholar] [CrossRef]
- Li, W.J.; Li, H.J.; Zhao, G.P.; Zheng, M.Q.; Wen, J. Gene expression of heart- and adipocyte-fatty acid-binding protein and correlation with intramuscular fat in Chinese chickens. Anim. Biotechnol. 2008, 19, 190–194. [Google Scholar] [CrossRef]
- Chen, M.C.; Chang, J.P.; Lin, Y.S.; Pan, K.L.; Ho, W.C.; Liu, W.H.; Chang, T.H.; Huang, Y.K.; Fang, C.Y.; Chen, C.J. Deciphering the gene expression profile of peroxisome proliferator-activated receptor signaling pathway in the left atria of patients with mitral regurgitation. J. Transl. Med. 2016, 14, 1–9. [Google Scholar] [CrossRef]
- Wang, Y.; Mu, Y.; Li, H.; Ding, N.; Wang, Q.; Wang, Y.; Wang, S.; Wang, N. Peroxisome proliferator-activated receptor-gamma gene: A key regulator of adipocyte differentiation in chickens. Poult. Sci. 2008, 87, 226. [Google Scholar] [CrossRef]
- Sato, K.; Yonemura, T.; Ishii, H.; Toyomizu, M.; Kamada, T.; Akiba, Y. Role of peroxisome proliferator-activated receptor β/δ in chicken adipogenesis. Comp. Biochem. Physiol. Part A Mol. Integr. Physiol. 2009, 154, 370–375. [Google Scholar] [CrossRef]
- Laprairie, R.B.; Denovan-Wright, E.M.; Wright, J.M. Subfunctionalization of peroxisome proliferator response elements accounts for retention of duplicated FABP1 genes in zebrafish. BMC Evol. Biol. 2016, 16, 147–162. [Google Scholar] [CrossRef] [PubMed]
- Ricote, M.; Glass, C.K. PPARs and molecular mechanisms of transrepression. Biochim. Biophys. Acta Biomembr. 2007, 1771, 926–935. [Google Scholar] [CrossRef] [PubMed]
- Christian, S.; Tanja, E.; Bertram, B.; Anton, S.; Friedrich, S. Functional analysis of peroxisome-proliferator-responsive element motifs in genes of fatty acid-binding proteins. Biochem. J. 2004, 382, 239–245. [Google Scholar] [CrossRef]
- Tan, N.S.; Shaw, N.S.; Vinckenbosch, N.; Peng, L.; Yasmin, R.; Desvergne, B.; Wahli, W.; Noy, N. Selective cooperation between fatty acid binding proteins and peroxisome proliferator-activated receptors in regulating transcription. Mol. Cell. Biol. 2002, 22, 5114–5127. [Google Scholar] [CrossRef]
- Pascual, G.; Glass, C.K. Nuclear receptors versus inflammation: Mechanisms of transrepression. Trends Endocrinol. Metab. 2006, 17, 321–327. [Google Scholar] [CrossRef]
- O’Hea, E.K.; Leveille, G.A. Lipid biosynthesis and transport in the domestic chick (Gallus domesticus). Comp. Biochem. Physiol. 1969, 30, 149–159. [Google Scholar] [CrossRef]
- Etches, R.J.; Cheng, K.W. Changes in the plasma concentrations of luteinizing hormone, progesterone, oestradiol and testosterone and in the binding of follicle-stimulating hormone to the theca of follicles during the ovulation cycle of the hen (Gallus domesticus). J. Endocrinol. 1981, 91, 11–22. [Google Scholar] [CrossRef]
- Beck, M.M.; Hansen, K.K. Role of estrogen in avian osteoporosis. Poult. Sci. 2004, 83, 200–206. [Google Scholar] [CrossRef]
- Tanabe, Y.; Nakamura, T.; Tanase, H.; Doi, O. Comparisons of plasma LH, progesterone, testosterone and estradiol concentrations in male and female chickens (Gallus domesticus) from 28 to 1141 days of age. Endocrinol. Jpn. 1981, 28, 605–613. [Google Scholar] [CrossRef]
- Kumar, A.; Bean, L.A.; Rani, A.; Jackson, T.; Foster, T.C. Contribution of estrogen receptor subtypes, ERα, ERβ, and GPER1 in rapid estradiol-mediated enhancement of hippocampal synaptic transmission in mice. Hippocampus 2016, 25, 1556–1566. [Google Scholar] [CrossRef]
- Maria, M.; Paola, G.; Paolo, A. Estrogen signaling multiple pathways to impact gene transcription. Curr. Genom. 2006, 7, 497–508. [Google Scholar] [CrossRef]
- Carroll, J.S.; Meyer, C.A.; Jun, S.; Wei, L.; Geistlinger, T.R.; Jérôme, E.; Brodsky, A.S.; Erika Krasnickas, K.; Fertuck, K.C.; Hall, G.F. Genome-wide analysis of estrogen receptor binding sites. Nat. Genet. 2006, 38, 1289–1297. [Google Scholar] [CrossRef] [PubMed]
- Tian, W.; Zheng, H.; Yang, L.; Li, H.; Tian, Y.; Wang, Y.; Lyu, S.; Brockmann, G.A.; Kang, X.; Liu, X. Dynamic expression profile, regulatory mechanism and correlation with egg-laying performance of ACSF gene family in chicken (Gallus gallus). Sci. Rep. 2018, 8, 8457–8467. [Google Scholar] [CrossRef] [PubMed]
- Zheng, H.; Li, H.; Tan, W.; Xu, C.; Jia, L.; Wang, D.; Li, Z.; Sun, G.; Kang, X.; Yan, F. Oestrogen regulates the expression of cathepsin E-A-like gene through ERβ in liver of chicken (Gallus gallus). J. Genet. 2018, 97, 145–155. [Google Scholar] [CrossRef]
- Duan, R.; Ginsburg, E.; Vonderhaar, B.K. Estrogen stimulates transcription from the human prolactin distal promoter through AP1 and estrogen responsive elements in T47D human breast cancer cells. Mol. Cell. Endocrinol. 2008, 281, 9–18. [Google Scholar] [CrossRef]
- Petz, L.N.; Ziegler, Y.S.; Schultz, J.R.; Nardulli, A.M. Fos and Jun inhibit estrogen-induced transcription of the human progesterone receptor gene through an activator protein-1 site. Mol. Endocrinol. 2004, 18, 521–532. [Google Scholar] [CrossRef]
- Schaap, F.G.; Vusse, G.J.V.D.; Glatz, J.F.C. Evolution of the family of intracellular lipid binding proteins in vertebrates. Mol. Cell. Biochem. 2002, 239, 69–77. [Google Scholar] [CrossRef]
- Laprairie, R.B.; Denovan-Wright, E.M.; Wright, J.M. Differential regulation of the duplicated, fabp7, fabp10, and, fabp11, genes of zebrafish by peroxisome proliferator activated receptors. Comp. Biochem. Physiol. Part B Biochem. Mol. Biol. 2017, 213, 81–90. [Google Scholar] [CrossRef]
- Beigneux, A.P.; Moser, A.H.; Shigenaga, J.K.; Grunfeld, C.; Feingold, K.R. The acute phase response is associated with retinoid X receptor repression in rodent liver. J. Biol. Chem. 2000, 275, 16390–16399. [Google Scholar] [CrossRef]
- Kuo, S.C.; Ku, P.M.; Chen, L.J.; Niu, H.S.; Cheng, J.T. Activation of receptors delta (PPAR delta) by agonist (GW0742) may enhance lipid metabolism in heart both in vivo and in vitro. Horm. Metab. Res. 2013, 45, 880–886. [Google Scholar] [CrossRef]
- Sánchezgurmaches, J.; Cruzgarcia, L.; Gutiérrez, J.; Navarro, I. mRNA expression of fatty acid transporters in rainbow trout: In vivo and in vitro regulation by insulin, fasting and inflammation and infection mediators. Comp. Biochem. Physiol. Part A Mol. Integr. Physiol. 2012, 163, 177–188. [Google Scholar] [CrossRef]
- Paramvir, D.; Boore, J.L. Two rounds of whole genome duplication in the ancestral vertebrate. PLoS Biol. 2005, 3, 1700–1708. [Google Scholar] [CrossRef]
- Yves, V.D.P.; Steven, M.; Axel, M. 2R or not 2R is not the question anymore. Nat. Rev. Genet. 2010, 11, 166. [Google Scholar] [CrossRef]
- Venkatachalam, A.B.; Parmar, M.B.; Wright, J.M. Evolution of the duplicated intracellular lipid-binding protein genes of teleost fishes. Mol. Genet. Genom. 2017, 292, 699–727. [Google Scholar] [CrossRef] [PubMed]
- Venkatachalam, A.B.; Fontenot, Q.; Farrara, A.; Wright, J.M. Fatty acid-binding protein genes of the ancient, air-breathing, ray-finned fish, spotted gar (Lepisosteus oculatus). Comp. Biochem. Physiol. Part D Genom. Proteom. 2017, 25, 19–44. [Google Scholar] [CrossRef] [PubMed]
- Robinson-Rechavi, M.; Marchand, O.; Escriva, H.; Bardet, P.L.; Zelus, D.; Hughes, S.; Laudet, V. Euteleost fish genomes are characterized by expansion of gene families. Genome Res. 2001, 11, 781–788. [Google Scholar] [CrossRef] [PubMed]
- Glasauer, S.M.K.; Neuhauss, S.C.F. Whole-genome duplication in teleost fishes and its evolutionary consequences. Mol. Genet. Genom. 2014, 289, 1045–1060. [Google Scholar] [CrossRef]
- Raes, J. Duplication and divergence: The evolution of new genes and old ideas. Annu. Rev. Genet. 2004, 38, 615–643. [Google Scholar] [CrossRef]
- Kumar, S.; Hedges, S.B. A molecular timescale for vertebrate evolution. Nature 1998, 392, 917–920. [Google Scholar] [CrossRef]
- Ockner, R.K.; Manning, J.A.; Poppenhausen, R.B. A binding protein for fatty acids in cytosol of intestinal mucosa, liver, myocardium, and other tissues. Science 1972, 177, 56–58. [Google Scholar] [CrossRef]
- Storch, J.; Mcdermott, L. Structural and functional analysis of fatty acid-binding proteins. J. Lipid Res. 2009, 50, S126–S131. [Google Scholar] [CrossRef]
- Linjie, W.; Li, L.; Jing, J.; Yan, W.; Tao, Z.; Yu, C.; Yong, W.; Hongping, Z. Molecular characterization and different expression patterns of the FABP gene family during goat skeletal muscle development. Mol. Biol. Rep. 2015, 42, 201–207. [Google Scholar] [CrossRef]
- Liu, R.Z.; Li, X.; Godbout, R. A novel fatty acid-binding protein (FABP) gene resulting from tandem gene duplication in mammals: Transcription in rat retina and testis. Genomics 2008, 92, 436–445. [Google Scholar] [CrossRef] [PubMed]
- Schneider, W. Lipid transport to avian oocytes and to the developing embryo. J. Biomed. Res. 2016, 30, 174–180. [Google Scholar] [CrossRef]
- Kuiper, G.G.; Carlsson, B.; Grandien, K.; Enmark, E.; Häggblad, J.; Nilsson, S.; Gustafsson, J.A. Comparison of the ligand binding specificity and transcript tissue distribution of estrogen receptors alpha and beta. Endocrinology 1997, 138, 863–870. [Google Scholar] [CrossRef] [PubMed]
- Palmer, C.N.; Hsu, M.H.; Griffin, H.J.; Johnson, E.F. Novel sequence determinants in peroxisome proliferator signaling. J. Biol. Chem. 1995, 270, 16114–16121. [Google Scholar] [CrossRef]
- Qi, C.; Zhu, Y.; Reddy, J.K. Peroxisome proliferator-activated receptors, coactivators, and downstream targets. Cell Biochem. Biophys. 2000, 32, 187–204. [Google Scholar] [CrossRef]
- Dubois, V.; Jérôme, E.; Lefebvre, P.; Staels, B. Distinct but complementary contributions of PPAR isotypes to energy homeostasis. J. Clin. Investig. 2017, 127, 1202–1214. [Google Scholar] [CrossRef]
- Rondón-Ortiz, A.N.; Cardenas, C.L.L.; Martínez-Málaga, J.; Gonzales-Urday, A.L.; Gugnani, K.S.; Böhlke, M.; Maher, T.J.; Pino-Figueroa, A.J. High Concentrations of rosiglitazone reduce mRNA and protein levels of LRP1 in HepG2 cells. Front. Pharmacol. 2017, 8, 772–784. [Google Scholar] [CrossRef]
- Lee, H.; Yoon, M. 17β-estradiol inhibits PPARα of skeletal muscle. Anim. Cells Syst. 2013, 5, 331–340. [Google Scholar] [CrossRef]
- Madureira, T.V.; Pinheiro, I.; Malhão, F.; Castro, L.F.C.; Rocha, E.; Urbatzka, R. Silencing of PPARαBb mRNA in brown trout primary hepatocytes: Effects on molecular and morphological targets under the influence of an estrogen and a PPARα agonist. Comp. Biochem. Physiol. Part B Biochem. Mol. Biol. 2018, 229, 1–9. [Google Scholar] [CrossRef] [PubMed]
- Jeong, S.; Yoon, M. Inhibition of the actions of peroxisome proliferator-activated receptor α on obesity by estrogen. Obesity 2012, 6, 1430–1440. [Google Scholar] [CrossRef] [PubMed]
- Johnson, L.S.; Eddy, S.R.; Portugaly, E. Hidden Markov model speed heuristic and iterative HMM search procedure. BMC Bioinform. 2010, 11, 431–439. [Google Scholar] [CrossRef] [PubMed]
- Altschul, S.F. Basic local alignment search tool (BLAST). J. Mol. Biol. 1990, 215, 403–410. [Google Scholar] [CrossRef]
- Strimmer, K.; Haeseler, A.V. Quartet puzzling: A quartet maximum-likelihood method for reconstructing tree topologies. Mol. Biol. Evol. 1996, 13, 964–969. [Google Scholar] [CrossRef]
- Aiyar, A. The use of CLUSTAL W and CLUSTAL X for multiple sequence alignment. Methods Mol. Biol. 2000, 132, 221–241. [Google Scholar] [CrossRef]
- Styczynski, M.P.; Jensen, K.L.; Rigoutsos, I.; Stephanopoulos, G. BLOSUM62 miscalculations improve search performance. Nat. Biotechnol. 2008, 26, 274–275. [Google Scholar] [CrossRef]
- Kumar, S.; Stecher, G.; Tamura, K. MEGA7: Molecular evolutionary genetics analysis version 7.0 for bigger datasets. Mol. Biol. Evol. 2016, 33, 1870–1874. [Google Scholar] [CrossRef]
- Koichiro, T.; Fabia Ursula, B.; Paul, B.R.; Oscar, M.; Alan, F.; Sudhir, K. Estimating divergence times in large molecular phylogenies. Proc. Natl. Acad. Sci. USA 2012, 109, 19333–19338. [Google Scholar] [CrossRef]
- Jones, D.T.; Taylor, W.R.; Thornton, J.M. The rapid generation of mutation data matrices from protein sequences. Comput. Appl. Biosci. 1992, 8, 275–282. [Google Scholar] [CrossRef]
- Chen, C.; Chen, H.; He, Y.; Xia, R. TBtools, a Toolkit for Biologists integrating various HTS-data handling tools with a user-friendly interface. BioRxiv 2018. [Google Scholar] [CrossRef]
- Ren, J.; Xu, N.; Ma, Z.; Li, Y.; Li, C.; Wang, Y.; Tian, Y.; Liu, X.; Kang, X.; Ryan, A. Characteristics of expression and regulation of sirtuins in chicken (Gallus gallus). J. Agric. Biotechnol. 2018, 60, 431–440. [Google Scholar] [CrossRef] [PubMed]
- Begam, A.J.; Jubie, S.; Nanjan, M.J. Estrogen receptor agonists/antagonists in breast cancer therapy: A critical review. Bioorg. Chem. 2017, 71, 257–274. [Google Scholar] [CrossRef]
- Kawaguchi, T.; Nomura, K.; Hirayama, Y.; Kitagawa, T. Establishment and characterization of a chicken hepatocellular carcinoma cell line, LMH. Cancer Res. 1987, 47, 4460–4464. [Google Scholar]










| ERα | ERβ | |
|---|---|---|
| Sequence | Sequence | |
| Consensus | ![]() | ![]() |
| FABP1 | AGCCAAGGTCATAGTGATGG | — |
| FABP3 | GAGCCAGGGCTGAGTGCCCA | GTGTCACCCAGACAT |
| AGACATGATCACTTTGACCC | — | |
| FABP6 | AAGTCAGATGACGATGCCCT | — |
| FABP10 | — | AGGTCAGCAACCCCT |
| 5’FR a | DR1 a | ||||||
|---|---|---|---|---|---|---|---|
| Sequence | Fraction Similar | %Similar | Sequence | Fraction Similar | %Similar | Predicted PPAR Selectivity | |
| Symbols | CAAAC | AGGTCANAGGTCA | |||||
| FABP1 | GAAGT | 3/5 | 0.6 | GGACTATGGATTA | 9.5/13 | 0.73 | α |
| FABP3 | GTGCT | 1/5 | 0.2 | CGGTATGAGGACA | 9/13 | 0.69 | γ |
| FABP4 | AGAAC | 3.5/5 | 0.7 | GGGCCAAACTTCA | 10/13 | 0.76 | α |
| FABP5 | AACAT | 2.5/5 | 0.5 | GAATTAGTGATCA | 10/13 | 0.76 | γ |
| FABP6 | AAACT | 2.5/5 | 0.5 | GAATTGAAAGTGA | 9/13 | 0.69 | γ |
| FABP7 | AAACT | 2.5/5 | 0.5 | AATTCTGAAAATA | 8.5/13 | 0.65 | γ |
| FABP10 | GAATT | 2.5/5 | 0.5 | AGAGCACAAGTTT | 10/13 | 0.76 | γ |
© 2019 by the authors. Licensee MDPI, Basel, Switzerland. This article is an open access article distributed under the terms and conditions of the Creative Commons Attribution (CC BY) license (http://creativecommons.org/licenses/by/4.0/).
Share and Cite
Wang, Z.; Yue, Y.-X.; Liu, Z.-M.; Yang, L.-Y.; Li, H.; Li, Z.-J.; Li, G.-X.; Wang, Y.-B.; Tian, Y.-D.; Kang, X.-T.; et al. Genome-Wide Analysis of the FABP Gene Family in Liver of Chicken (Gallus gallus): Identification, Dynamic Expression Profile, and Regulatory Mechanism. Int. J. Mol. Sci. 2019, 20, 5948. https://doi.org/10.3390/ijms20235948
Wang Z, Yue Y-X, Liu Z-M, Yang L-Y, Li H, Li Z-J, Li G-X, Wang Y-B, Tian Y-D, Kang X-T, et al. Genome-Wide Analysis of the FABP Gene Family in Liver of Chicken (Gallus gallus): Identification, Dynamic Expression Profile, and Regulatory Mechanism. International Journal of Molecular Sciences. 2019; 20(23):5948. https://doi.org/10.3390/ijms20235948
Chicago/Turabian StyleWang, Zhang, Ya-Xin Yue, Zi-Ming Liu, Li-Yu Yang, Hong Li, Zhuan-Jian Li, Guo-Xi Li, Yan-Bin Wang, Ya-Dong Tian, Xiang-Tao Kang, and et al. 2019. "Genome-Wide Analysis of the FABP Gene Family in Liver of Chicken (Gallus gallus): Identification, Dynamic Expression Profile, and Regulatory Mechanism" International Journal of Molecular Sciences 20, no. 23: 5948. https://doi.org/10.3390/ijms20235948
APA StyleWang, Z., Yue, Y.-X., Liu, Z.-M., Yang, L.-Y., Li, H., Li, Z.-J., Li, G.-X., Wang, Y.-B., Tian, Y.-D., Kang, X.-T., & Liu, X.-J. (2019). Genome-Wide Analysis of the FABP Gene Family in Liver of Chicken (Gallus gallus): Identification, Dynamic Expression Profile, and Regulatory Mechanism. International Journal of Molecular Sciences, 20(23), 5948. https://doi.org/10.3390/ijms20235948



