African Under-Utilized Medicinal Leafy Vegetables Studied by Microtiter Plate Assays and High-Performance Thin-Layer Chromatography–Planar Assays
Abstract
1. Introduction
2. Results and Discussion
2.1. TPC As Well As FRAP, CUPRAC, and DPPH• Scavenging Antioxidant In Vitro Assays
2.2. AChE, BChE, and TYR In Vitro Inhibition Assays
2.3. Effect-Directed Profiling via Nine Different Planar Assays by HPTLC–UV/Vis/FLD–EDA
2.4. Comparison of Both Effect-Directed Analysis Techniques
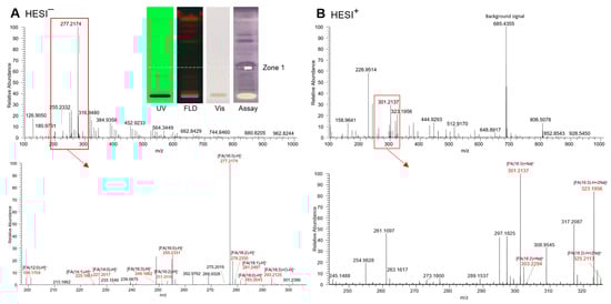
2.5. Characterization of the Bioactive Zone 1 via HRMS
3. Materials and Methods
3.1. Reagents and Chemicals
3.2. Origin and Lyophilization of Plant Materials
3.3. In Vitro Biological Assays after Extraction/Fractionation
3.3.1. Extraction and Fractionation of Plant Powders
3.3.2. TPC
3.3.3. DPPH• Scavenging Assay
3.3.4. FRAP Assay
3.3.5. CUPRAC Assay
3.3.6. AChE and BChE Inhibition Assays
3.3.7. TYR Inhibition Assay
3.3.8. Statistical Analysis
3.4. HPTLC–Bioactivity Profiling
3.4.1. Extraction and HPTLC Analysis
3.4.2. HPTLC–DPPH• Scavenging Assay
3.4.3. HPTLC–AChE/BChE Inhibition Assays
3.4.4. HPTLC–α-Amylase/α-Glucosidase Inhibition Assays
3.4.5. HPTLC–Aliivibrio fischeri Bioassay, Followed by Derivatization with p-Anisaldehyde Sulfuric Acid Reagent
3.4.6. HPTLC–Bacillus subtilis Bioassay
3.4.7. HPTLC–SOS-Umu-C Genotoxicity Bioassay
3.4.8. HPTLC–Cytotoxicity Bioassay
3.4.9. HPTLC–UV/Vis/FLD–HESI–HRMS
4. Conclusions
Author Contributions
Funding
Institutional Review Board Statement
Informed Consent Statement
Data Availability Statement
Acknowledgments
Conflicts of Interest
References
- Gurib-Fakim, A. Capitalize on African biodiversity. Nature 2017, 548, 7. [Google Scholar] [CrossRef]
- Sosef, M.S.; Dauby, G.; Blach-Overgaard, A.; van der Burgt, X.; Catarino, L.; Damen, T.; Deblauwe, V.; Dessein, S.; Dransfield, J.; Droissart, V. Exploring the floristic diversity of tropical Africa. BMC Biol. 2017, 15, 15. [Google Scholar] [CrossRef]
- Ayodele, A. The Medicinally important leafy vegetables of Southwestern Nigeria. Ethnobot. Leafl. 2005, 2005, 16. Available online: https://opensiuc.lib.siu.edu/ebl/vol2005/iss1/16 (accessed on 26 October 2023).
- Ogunrotimi, D.; Kayode, J.; Odesola, F. Ethnobotany and conservation of indigenous vegetables in Ekiti State, Nigeria. Singapore J. Sci. Res. 2018, 8, 8–13. Available online: https://scialert.net/abstract/?doi=sjsres.2018.8.13 (accessed on 26 October 2023).
- Deshmukh, S.; Gaikwad, D. A review of the taxonomy, ethnobotany, phytochemistry and pharmacology of Basella alba (Basellaceae). J. Appl. Pharm. Sci. 2014, 4, 153–165. [Google Scholar] [CrossRef]
- Iweala, E.E.J.; Ogidigo, J.O. Prostate specific antigen, antioxidant and hematological parameters in prostatic rats fed Solanum macrocarpon L. leaves. Asian J. Biol. Sci. 2015, 8, 30–41. Available online: https://scialert.net/abstract/?doi=ajbs.2015.30.41 (accessed on 26 October 2023). [CrossRef]
- Omoregie, E.S.; Okugbo, O.T.; Oikeh, E.; Irabor, F. Hepatoprotective effect of leaf extracts of Crassocephalum rubens (Juss. ex Jacq.) S. Moore in rifampicin-induced oxidative stress in Swiss mice. J. Pharm. Biores. 2015, 12, 112–119. [Google Scholar] [CrossRef]
- Bello, O.M.; Zaki, A.A.; Khan, S.; Fasinu, P.S.; Ali, Z.; Khan, I.A.; Usman, L.; Oguntoye, O. Assessment of selected medicinal plants indigenous to West Africa for antiprotozoal activity. S. Afr. J. Bot. 2017, 113, 200–211. [Google Scholar] [CrossRef]
- Bello, O.A.; Ayanda, O.I.; Aworunse, O.S.; Olukanmi, B.I.; Soladoye, M.O.; Esan, E.B.; Obembe, O.O. Solanecio biafrae: An underutilized nutraceutically-important African indigenous vegetable. Pharmacogn. Rev. 2018, 12, 128–132. [Google Scholar] [CrossRef]
- Ayuk, E.; Oforji, C.F.; Ugwu, F.; Aronimo, S.B.; Njokunwogbu, A. Determination of secondary metabolites and biological potential of Gnetun africanum (Okazi) Leaves. Pharm. Chem. J. 2017, 4, 115–122. Available online: http://eprints.gouni.edu.ng/id/eprint/1254 (accessed on 26 October 2023).
- Harvey, A.L. Natural products in drug discovery. Drug Discov. Today 2008, 13, 894–901. [Google Scholar] [CrossRef] [PubMed]
- Choudhary, M.I.; Thomsen, W.J. Bioassay Techniques for Drug Development; CRC Press: Boca Raton, FL, USA, 2001; pp. 1–240. [Google Scholar]
- Yang, X.; Wei, H.M.; Hu, G.Y.; Zhao, J.; Long, L.N.; Li, C.J.; Zhao, Z.J.; Zeng, H.K.; Nie, H. Combining antioxidant astaxantin and cholinesterase inhibitor huperzine A boosts neuroprotection. Mol. Med. Rep. 2020, 21, 1043–1050. [Google Scholar] [CrossRef] [PubMed]
- Collins, A.E.; Saleh, T.M.; Kalisch, B.E. Naturally occurring antioxidant therapy in Alzheimer’s disease. Antioxidants 2022, 11, 213. [Google Scholar] [CrossRef]
- Agatonovic-Kustrin, S.; Kettle, C.; Morton, D.W. A molecular approach in drug development for Alzheimer’s disease. Biomed. Pharmacother. 2018, 106, 553–565. [Google Scholar] [CrossRef] [PubMed]
- Huat, T.J.; Camats-Perna, J.; Newcombe, E.A.; Valmas, N.; Kitazawa, M.; Medeiros, R. Metal toxicity links to Alzheimer’s disease and neuroinflammation. J. Mol. Biol. 2019, 431, 1843–1868. [Google Scholar] [CrossRef]
- Nagatsu, T.; Nakashima, A.; Watanabe, H.; Ito, S.; Wakamatsu, K.; Zucca, F.A.; Zecca, L.; Youdim, M.; Wulf, M.; Riederer, P. The role of tyrosine hydroxylase as a key player in neuromelanin synthesis and the association of neuromelanin with Parkinson’s disease. J. Neural Transm. 2023, 130, 611–625. [Google Scholar] [CrossRef] [PubMed]
- Carballo-Carbajal, I.; Laguna, A.; Romero-Giménez, J.; Cuadros, T.; Bové, J.; Martinez-Vicente, M.; Parent, A.; Gonzalez-Sepulveda, M.; Peñuelas, N.; Torra, A. Brain tyrosinase overexpression implicates age-dependent neuromelanin production in Parkinson’s disease pathogenesis. Nat. Commun. 2019, 10, 973. [Google Scholar] [CrossRef]
- Morlock, G.E. Planar chromatographic super-hyphenations for rapid dereplication. Phytochem. Rev. 2022, 1–12. [Google Scholar] [CrossRef]
- Morlock, G.E.; Heil, J.; Inarejos-Garcia, A.M.; Maeder, J. Effect-directed profiling of powdered tea extracts for catechins, theaflavins, flavonols and caffeine. Antioxidants 2021, 10, 117. [Google Scholar] [CrossRef]
- Schreiner, T.; Sauter, D.; Friz, M.; Heil, J.; Morlock, G.E. Is our natural food our homeostasis? Array of a thousand effect-directed profiles of 68 herbs and spices. Front. Pharmacol. 2021, 12, 755941. [Google Scholar] [CrossRef]
- Morlock, G.E. Chromatography combined with bioassays and other hyphenations–the direct link to the compound indicating the effect. In Instrumental Methods for the Analysis and Identification of Bioactive Molecules; ACS Publications: Washington, DC, USA, 2014; pp. 101–121. [Google Scholar] [CrossRef]
- Morlock, G.E.; Meyer, D. Designed genotoxicity profiling detects genotoxic compounds in staple food such as healthy oils. Food Chem. 2023, 408, 135253. [Google Scholar] [CrossRef] [PubMed]
- Debon, E.; Rogeboz, P.; Latado, H.; Morlock, G.E.; Meyer, D.; Cottet-Fontannaz, C.; Scholz, G.; Schilter, B.; Marin-Kuan, M. Incorporation of metabolic activation in the HPTLC-SOS-Umu-C bioassay to detect low levels of genotoxic chemicals in food contact materials. Toxics 2022, 10, 501. [Google Scholar] [CrossRef] [PubMed]
- Orhan, I.; Şenol, F.; Gülpinar, A.; Kartal, M.; Şekeroglu, N.; Deveci, M.; Kan, Y.; Şener, B. Acetylcholinesterase inhibitory and antioxidant properties of Cyclotrichium niveum, Thymus praecox subsp. caucasicus var. caucasicus, Echinacea purpurea and E. pallida. Food Chem. Toxicol. 2009, 47, 1304–1310. [Google Scholar] [CrossRef]
- Ferreira, I.C.; Baptista, P.; Vilas-Boas, M.; Barros, L. Free-radical scavenging capacity and reducing power of wild edible mushrooms from northeast Portugal: Individual cap and stipe activity. Food Chem. 2007, 100, 1511–1516. [Google Scholar] [CrossRef]
- Ribeiro, J.P.; Magalhaes, L.M.; Reis, S.; Lima, J.L.; Segundo, M.A. High-throughput total cupric ion reducing antioxidant capacity of biological samples determined using flow injection analysis and microplate-based methods. Anal. Sci. 2011, 27, 483–488. [Google Scholar] [CrossRef] [PubMed]
- Yusuff, O.; Omotosho, K.; Mustapha, K.; Abdulraheem, A. Kinetics of the antioxidant activities of Solanum macrocapon and Crassocephalum rubens by DPPH radical scavenging method. J. Chem. Soc. Niger. 2020, 45, 184–192. Available online: https://journals.chemsociety.org.ng/index.php/jcsn/article/view/439 (accessed on 26 October 2023).
- Gouveia, S.; Castilho, P.C. Antioxidant potential of Artemisia argentea L’Hér alcoholic extract and its relation with the phenolic composition. Food Res. Int. 2011, 44, 1620–1631. [Google Scholar] [CrossRef]
- Ellman, G.L.; Courtney, K.D.; Andres Jr, V.; Featherstone, R.M. A new and rapid colorimetric determination of acetylcholinesterase activity. Biochem. Pharmacol. 1961, 7, 88–95. [Google Scholar] [CrossRef]
- Şenol, F.S.; Orhan, I.; Celep, F.; Kahraman, A.; Doğan, M.; Yilmaz, G.; Şener, B. Survey of 55 Turkish Salvia taxa for their acetylcholinesterase inhibitory and antioxidant activities. Food Chem. 2010, 120, 34–43. [Google Scholar] [CrossRef]
- Adedayo, B. Effect of blanching on inhibition of cholinesterases and antioxidative properties of phenolic extracts of African lettuce (Launaea taraxacifolia). J. Appl. Sci. Environ. Manag. 2019, 23, 661–664. [Google Scholar] [CrossRef]
- Oboh, G.; Busari, G.M.; Ademosun, A.O.; Oyeleye, S.I. Effect of dietary inclusion of fireweed (Crassocephalum crepidioides) on behavioural patterns, memory indices, and activities of cholinergic and monoaminergic enzymes in a fruit fly (Drosophila melanogaster) model of Alzheimer’s disease. Food Front. 2022, 3, 206–217. [Google Scholar] [CrossRef]
- Ajiboye, B.O.; Ojo, O.A.; Okesola, M.A.; Akinyemi, A.J.; Talabi, J.Y.; Idowu, O.T.; Fadaka, A.O.; Boligon, A.A.; Anraku de Campos, M.M. In vitro antioxidant activities and inhibitory effects of phenolic extract of Senecio biafrae (Oliv and Hiern) against key enzymes linked with type II diabetes mellitus and Alzheimer’s disease. Food Sci. Nutr. 2018, 6, 1803–1810. [Google Scholar] [CrossRef] [PubMed]
- Oboh, G.; Nwanna, E.E.; Oyeleye, S.I.; Olasehinde, T.A.; Ogunsuyi, O.B.; Boligon, A.A. In vitro neuroprotective potentials of aqueous and methanol extracts from Heinsia crinita leaves. Food Sci. Hum. Wellness 2016, 5, 95–102. [Google Scholar] [CrossRef]
- Morlock, G.; Busso, M.; Tomeba, S.; Sighicelli, A. Effect-directed profiling of 32 vanilla products, characterization of multi-potent compounds and quantification of vanillin and ethylvanillin. J. Chromatogr. A 2021, 1652, 462377. [Google Scholar] [CrossRef] [PubMed]
- Inarejos-Garcia, A.M.; Heil, J.; Martorell, P.; Álvarez, B.; Llopis, S.; Helbig, I.; Liu, J.; Quebbeman, B.; Nemeth, T.; Holmgren, D.; et al. Effect-directed, chemical and taxonomic profiling of peppermint proprietary varieties and corresponding leaf extracts. Antioxidants 2023, 12, 2020476. [Google Scholar] [CrossRef]
- Krentz, A.J.; Bailey, C.J. Oral antidiabetic agents: Current role in type 2 diabetes mellitus. Drugs 2005, 65, 385–411. [Google Scholar] [CrossRef]
- Adjatin, A.; Dansi, A.; Eze, C.; Assogba, P.; Dossou-Aminon, I.; Akpagana, K.; Akoègninou, A.; Sanni, A. Ethnobotanical investigation and diversity of Gbolo (Crassocephalum rubens (Juss. ex Jacq.) S. Moore and Crassocephalum crepidioides (Benth.) S. Moore), a traditional leafy vegetable under domestication in Benin. Genet. Resour. Crop Evol. 2012, 59, 1867–1881. [Google Scholar] [CrossRef]
- Sanoussi, F.; Ahissou, H.; Dansi, M.; Hounkonnou, B.; Agre, P.; Dansi, A. Ethnobotanical investigation of three traditional leafy vegetables [Alternanthera sessilis (L.) DC., Bidens pilosa L., Launaea taraxacifolia Willd.] widely consumed in southern and central Benin. J. Biodivers. Environ. Sci. 2015, 6, 187–198. [Google Scholar]
- Ayoola, M.; Adebajo, A.; Zotor, F.; Pinkoane, M. Justifying antidiabetic ethnomedicinal claim of Senecio biafrae through its antihyperglycemic and anti-oxidant activities. Ann. Complement. Altern. Med. 2019, 1, 1006. Available online: https://api.semanticscholar.org/CorpusID:210879459 (accessed on 26 October 2023).
- Ajiboye, B.; Edobor, G.; Ojo, A.; Onikanni, S.; Olaranwaju, O.; Muhammad, N. Effect of aqueous leaf extract of Senecio biafrae on hyperglycaemic and serum lipid profile of alloxan-induced diabetic rats. Int. J. Dis. Disord. 2014, 2, 59–64. [Google Scholar]
- Oyebode, O.A.; Erukainure, O.L.; Ibeji, C.; Koorbanally, N.A.; Islam, M.S. Crassocephalum rubens, a leafy vegetable, suppresses oxidative pancreatic and hepatic injury and inhibits key enzymes linked to type 2 diabetes: An ex vivo and in silico study. J. Food Biochem. 2019, 43, e12930. [Google Scholar] [CrossRef]
- Gbadamosi, I.; Adeyi, A.; Oyekanmi, O.; Somade, O. Launaea taraxacifolia leaf partitions ameliorate alloxan-induced pathophysiological complications via antioxidant mechanisms in diabetic rats. Metab. Open 2020, 6, 100029. [Google Scholar] [CrossRef] [PubMed]
- Adjei, D.-G.G.; Mireku-Gyimah, N.A.; Sarkodie, J.A.; Nguessan, B.B.; Kodua, E.; Amedior, J.K.; Lartey, I.A.; Adi-Dako, O.; Asiedu-Gyekye, I.J.; Nyarko, A.K. Antidiabetic properties of an ethanolic leaf extract of Launaea taraxacifolia (Willd.) Amin ex C. Jeffrey (Asteraceae) in SD rats. Clin. Phytosci. 2022, 8, 19. [Google Scholar] [CrossRef]
- Azad, A.; Wan Azizi, W.; Babar, Z.; Labu, Z.K.; Zabin, S. An overview on phytochemical, anti-inflammatory and anti-bacterial activity of Basella alba leaves extract. Middle East J. Sci. Res. 2013, 14, 650–655. [Google Scholar] [CrossRef]
- Gbadamosi, I.; Alia, A.; Okolosi, O. In vitro antimicrobial activities and nutritional assessment of roots of ten Nigerian vegetables. N. Y. Sci. J. 2012, 5, 234–240. [Google Scholar]
- Coker, M.; Ekpe, I.; Adewuyi, O.; Onu, C. In vitro antimicrobial activity and bactericidal kinetics of the leaf extracts and fractions of Gnetum africanum on clinical wound isolates. Afr. J. Biomed. Res. 2021, 24, 435–441. [Google Scholar]
- Ilodibia, C.; Akachukwu, E.; Chukwuma, M.; Igboabuchi, N.; Adimonyemma, R.; Okeke, N. Proximate, phytochemical and antimicrobial studies on Solanum macrocarpon L. J. Adv. Biol. Biotechnol. 2016, 9, 1–7. Available online: https://api.semanticscholar.org/CorpusID:89187431 (accessed on 26 October 2023). [CrossRef]
- Kumar, B.R.; Anupam, A.; Manchikanti, P.; Rameshbabu, A.P.; Dasgupta, S.; Dhara, S. Identification and characterization of bioactive phenolic constituents, anti-proliferative, and anti-angiogenic activity of stem extracts of Basella alba and rubra. J. Food Sci. Technol. 2018, 55, 1675–1684. [Google Scholar] [CrossRef] [PubMed]
- Alhassan, S.O.; Atawodi, S.E.-O. Chemopreventive effect of dietary inclusion with Crassocephalum rubens (Juss ex Jacq) leaf on N-methyl-N-nitrosourea (MNU)-induced colorectal carcinogenesis in Wistar rats. J. Funct. Foods 2019, 63, 103589. [Google Scholar] [CrossRef]
- Gadkari, K.; Kolhatkar, U.; Hemani, R.; Campanelli, G.; Cai, Q.; Kumar, A.; Levenson, A.S. Therapeutic potential of gnetin C in prostate cancer: A pre-clinical study. Nutrients 2020, 12, 3631. [Google Scholar] [CrossRef]
- Espinoza, J.L.; Inaoka, P.T. Gnetin-C and other resveratrol oligomers with cancer chemopreventive potential. Ann. N. Y. Acad. Sci. 2017, 1403, 5–14. [Google Scholar] [CrossRef]
- Koukoui, O.; Agbangnan, P.; Boucherie, S.; Yovo, M.; Nusse, O.; Combettes, L.; Sohounhloué, D. Phytochemical study and evaluation of cytotoxicity, antioxidant and hypolipidemic properties of Launaea taraxacifolia leaves extracts on cell lines HepG2 and PLB985. Am. J. Plant Sci. 2015, 6, 1768. [Google Scholar] [CrossRef][Green Version]
- Oluremi, B.B.; Oloche, J.J.; Adeniji, A.J. Anticancer and antibacterial activities of Solanum aethiopicum L., Solanum macrocarpon L. and Garcinia kola Heckel. Trop. J. Nat. Prod. Res. 2021, 5, 938–942. [Google Scholar] [CrossRef]
- Meyer, D.; Marin-Kuan, M.; Debon, E.; Serrant, P.; Cottet-Fontannaz, C.; Schilter, B.; Morlock, G.E. Detection of low levels of genotoxic compounds in food contact materials using an alternative HPTLC-SOS-Umu-C assay. ALTEX 2021, 38, 387–397. [Google Scholar] [CrossRef] [PubMed]
- Ayoola-Oresanya, I.O.; Sonibare, M.A.; Gueye, B.; Paliwal, R.; Abberton, M.T.; Morlock, G.E. Effect-directed profiling and identification of bioactive metabolites from field, in vitro-grown and acclimatized Musa spp. accessions using high-performance thin-layer chromatography-mass spectrometry. J. Chromatogr. A 2020, 1616, 460774. [Google Scholar] [CrossRef]
- Galarce-Bustos, O.; Pavón-Pérez, J.; Henríquez-Aedo, K.; Aranda, M. An improved method for a fast screening of α-glucosidase inhibitors in cherimoya fruit (Annona cherimola Mill.) applying effect-directed analysis via high-performance thin-layer chromatography-bioassay-mass spectrometry. J. Chromatogr. A 2019, 1608, 460415. [Google Scholar] [CrossRef]
- Morlock, G.E.; Koch, J.; Schwack, W. Miniaturized open-source 2LabsToGo screening of lactose-free dairy products and saccharide-containing foods. J. Chromatogr. A 2023, 1688, 463720. [Google Scholar] [CrossRef]
- Sing, L.; Schwack, W.; Göttsche, R.; Morlock, G.E. 2LabsToGo—Recipe for Building Your Own Chromatography Equipment Including Biological Assay and Effect Detection. Anal. Chem. 2022, 94, 14554–14564. [Google Scholar] [CrossRef] [PubMed]
- Mehl, A.; Schwack, W.; Morlock, G.E. On-surface autosampling for liquid chromatography−mass spectrometry. J. Chromatogr. A 2021, 1651, 462334. [Google Scholar] [CrossRef]
- Chandana, N.G.A.S.S.; Morlock, G.E. Eight different bioactivity profiles of 40 cinnamons to discover multipotent compounds by multi-imaging planar chromatography hyphenated with effect-directed analysis and high-resolution mass spectrometry. Food Chem. 2021, 357, 129135. [Google Scholar] [CrossRef]
- Chandana, N.G.A.S.S.; Morlock, G.E. Comprehensive bioanalytical multi-imaging by planar chromatography in situ combined with biological and biochemical assays highlights bioactive fatty acids in abelmosk. Talanta 2021, 223, 121701. [Google Scholar] [CrossRef]
- Nikolaichuk, H.; Choma, I.M.; Morlock, G.E. Bioactivity Profiles on 15 different effect mechanisms for 15 golden root products via high-performance thin-layer chromatography, planar assays, and high-resolution mass spectrometry. Molecules 2023, 28, 1535. [Google Scholar] [CrossRef]
- Schreiner, T.; Eggerstorfer, N.M.; Morlock, G.E. Ten-dimensional hyphenation including simulated static gastro-intestinal digestion on the adsorbent surface, planar assays, and bioactivity evaluation for meal replacement products. Food Funct. 2023, 14, 344–353. [Google Scholar] [CrossRef]
- Deniz, F.S.S.; Orhan, I.E.; Duman, H. Profiling cosmeceutical effects of various herbal extracts through elastase, collagenase, tyrosinase inhibitory and antioxidant assays. Phytochem. Lett. 2021, 45, 171–183. [Google Scholar] [CrossRef]
- Masuda, T.; Yamashita, D.; Takeda, Y.; Yonemori, S. Screening for tyrosinase inhibitors among extracts of seashore plants and identification of potent inhibitors from Garcinia subelliptica. Biosci. Biotechnol. Biochem. 2005, 69, 197–201. [Google Scholar] [CrossRef]
- Orhan, I.E.; Tosun, F.; Deniz, F.S.S.; Eren, G.; Mıhoğlugil, F.; Akalgan, D.; Miski, M. Butyrylcholinesterase-inhibiting natural coumarin molecules as potential leads. Phytochem. Lett. 2021, 44, 48–54. [Google Scholar] [CrossRef]
- Jamshidi-Aidji, M.; Morlock, G.E. From bioprofiling and characterization to bioquantification of natural antibiotics by direct bioautography linked to high-resolution mass spectrometry: Exemplarily shown for Salvia miltiorrhiza root. Anal. Chem. 2016, 88, 10979–10986. [Google Scholar] [CrossRef] [PubMed]
- Meyer, D.; Marin-Kuan, M.; Mayrhofer, E.; Kirchnawy, C.; Debon, E.; Latado, H.; Patin, A.; Schilter, B.; Morlock, G. Effect-detection by planar SOS-Umu-C genotoxicity bioassay and chemical identification of genotoxins in packaging migrates, proven by microtiter plate assays SOS-Umu-C and Ames-MPF. Food Control 2023, 147, 109546. [Google Scholar] [CrossRef]
- Pluskal, T.; Castillo, S.; Villar-Briones, A.; Orešič, M. MZmine 2: Modular framework for processing, visualizing, and analyzing mass spectrometry-based molecular profile data. BMC Bioinform. 2010, 11, 395. [Google Scholar] [CrossRef] [PubMed]




| Plant | Extract/Fraction | TPC (mg GAE/g) ±S.D. b | FRAP at 700 nm a Absorbance ± S.D. b at 107 µg/mL | CUPRAC at 450 nm a Absorbance ± S.D. b at 250 µg/mL) | DPPH• Activity (% ± S.D. b at 200 µg/mL) IC50 (µg/mL) |
|---|---|---|---|---|---|
| BA | EtOH | 5.4 ± 0.7 | 0.78 ± 0.07 | 0.72 ± 0.03 | 19.2 ± 0.6 |
| n-Hexane | 4.0 ± 0.6 | 0.79 ± 0.09 | 0.83 ± 0.05 | 19.9 ± 2.7 | |
| DCM | 4.6 ± 0.4 | 0.95 ± 0.14 | 0.96 ± 0.03 | 14.1 ± 4.3 | |
| EtOAc | 17.3 ± 0.8 | 0.77 ± 0.05 | 0.72 ± 0.06 | 26.9 ± 3.0 | |
| n-Butanol | 17.0 ± 0.4 | 0.78 ± 0.03 | 0.58 ± 0.03 | 17.0 ± 2.2 | |
| MeOH-H2O | NA | 0.67 ± 0.03 | 0.16 ± 0.00 | 4.8 ± 0.4 | |
| H2O | NA | 0.77 ± 0.03 | ND | NA | |
| CR | EtOH | 23.3 ± 1.3 | 1.29 ± 0.04 ** | 1.89 ± 0.02 *** | 64.7 ± 5.8 * IC50 157.8 ± 27.7 |
| n-Hexane | 5.9 ± 0.5 | 0.84 ± 0.12 | 0.99 ± 0.04 | 17.4 ± 3.0 | |
| DCM | 10.2 ± 0.4 | 0.83 ± 0.11 | 1.33 ± 0.14 | 22.5 ± 4.6 | |
| EtOAc | 38.7 ± 3.2 *** | 1.83 ± 0.04 **** | 1.96 ± 0.02 *** | 87.2 ± 0.5 *** IC50 27.7 ± 4.5 | |
| n-Butanol | 40.2 ± 1.0 *** | 1.69 ± 0.01 *** | 1.69 ± 0.04 *** | 84.7 ± 0.4 *** IC50 47.7 ± 7.8 | |
| MeOH-H2O | 7.1 ± 0.3 | 0.97 ± 0.05 | 0.87 ± 0.02 | 28.9 ± 4.2 | |
| H2O | 7.4 ± 0.1 | 0.75 ± 0.20 | ND | NA | |
| GA | EtOH | 10.2 ± 1.1 | 0.73 ± 0.09 | 0.93 ± 0.15 | 18.5 ± 1.5 |
| n-Hexane | 9.6 ± 0.7 | 0.86 ± 0.06 | 1.16 ± 0.10 | 30.6 ± 1.2 | |
| DCM | 22.2 ± 0.6 | 0.98 ± 0.06 | 1.62 ± 0.07 *** | 37.2 ± 4.9 | |
| EtOAc | 21.6 ± 1.6 | 0.99 ± 0.03 | 1.12 ± 0.05 | 45.6 ± 5.2 | |
| n-Butanol | 5.9 ± 0.1 | 0.72 ± 0.08 | 0.50 ± 0.00 | 16.1 ± 2.7 | |
| MeOH-H2O | NA | 0.70 ± 0.06 | 0.18 ± 0.00 | 12.2 ± 2.4 | |
| H2O | 8.1 ± 0.4 | 0.82 ± 0.03 | ND | 10.7 ± 2.4 | |
| LT | EtOH | 3.3 ± 0.4 | 0.70 ± 0.01 | 0.90 ± 0.03 | 9.4 ± 1.5 |
| n-Hexane | 5.2 ± 0.6 | 0.79 ± 0.06 | 0.97 ± 0.06 | 8.6 ± 3.9 | |
| DCM | 3.6 ± 0.5 | 0.81 ± 0.03 | 0.74 ± 0.03 | 14.0 ± 2.1 | |
| EtOAc | 12.6 ± 0.6 | 0.97 ± 0.11 | 1.16 ± 0.02 | 38.5 ± 1.3 | |
| n-Butanol | 2.6 ± 0.4 | 0.71 ± 0.04 | 0.62 ± 0.03 | 13.6 ± 1.6 | |
| MeOH-H2O | NA | 0.74 ± 0.03 | 0.31 ± 0.01 | 13.6 ± 2.4 | |
| H2O | 12.5 ± 1.0 | 1.04 ± 0.13 | ND | 52.0 ± 3.6 IC50 201.8 ± 14.3 | |
| SB | EtOH | 8.6 ± 1.1 | 0.84 ± 0.04 | 1.22 ± 0.06 | 27.0 ± 1.9 |
| n-Hexane | 6.7 ± 0.8 | 0.76 ± 0.10 | 1.02 ± 0.07 | 5.4 ± 1.6 | |
| DCM | 7.9 ± 0.4 | 0.85 ± 0.05 | 1.18 ± 0.06 | 9.9 ± 1.5 | |
| EtOAc | 31.0 ± 4.0 * | 1.56 ± 0.04 *** | 1.72 ± 0.05 *** | 84.4 ± 1.1 *** IC50 62.8 ± 2.2 | |
| n-Butanol | 13.5 ± 0.4 | 1.00 ± 0.03 | 1.03 ± 0.06 | 32.5 ± 2.4 | |
| MeOH-H2O | NA | 0.77 ± 0.04 | 0.31 ± 0.00 | 45.1 ± 3.6 | |
| H2O | 1.0 ± 0.1 | 0.82 ± 0.06 | ND | 15.9 ± 4.4 | |
| SM | EtOH | 15.2 ± 2.0 | 1.15 ± 0.03 ** | 1.26 ± 0.14 | 78.9 ± 2.3 ** IC50 62.7 ± 4.4 |
| n-Hexane | 4.2 ± 0.4 | 0.92 ± 0.02 | 0.79 ± 0.01 | 36.6 ± 0.6 | |
| DCM | 8.4 ± 1.1 | 0.93 ± 0.03 | 1.08 ± 0.03 | 51.2 ± 2.0 IC50 313.5 ± 11.4 | |
| EtOAc | 20.0 ± 1.7 | 1.11 ± 0.02 ** | 1.51 ± 0.04 *** | 52.6 ± 2.4 IC50 186.4 ± 3.3 | |
| n-Butanol | 34.9 ± 2.0 ** | 1.61 ± 0.09 *** | 1.70 ± 0.05 *** | 84.9 ± 2.0 *** IC50 73.5 ± 3.9 | |
| MeOH-H2O | 4.8 ± 1.2 | 0.90 ± 0.02 | 0.74 ± 0.01 | 64.4 ± 2.4 * IC50 84.1 ± 7.5 | |
| H2O | 1.2 ± 0.2 | 0.79 ± 0.01 | ND | NA | |
| References | Quercetin (200 µg/mL) | 2.01 ± 0.03 **** | 89.5 ± 0.3 *** IC50 6.7 ± 0.8 | ||
| Gallic acid (100 µg/mL) | 2.85 ± 0.55 **** |
| Plants | Extract/Fraction | BChE Inhibition (% ± S.D. a at 200 µg/mL) IC50 (µg/mL) | AChE Inhibition (% ± S.D. a at 200 µg/mL) IC50 (µg/mL) | TYR Inhibition (% ± S.D. a at 667 µg/mL) IC50 not determined |
|---|---|---|---|---|
| BA | EtOH | 53.0 ± 3.6 * IC50 121.5 ± 23.5 | 10.4 ± 2.7 | NA |
| n-Hexane | 34.7 ± 0.8 | 12.1 ± 1.8 | NA | |
| DCM | 14.1 ± 0.7 | 17.6 ± 2.1 | NA | |
| EtOAc | 15.1 ± 5.0 | 11.3 ± 1.3 | 7.9 ± 2.0 | |
| n-Butanol | 23.6 ± 1.9 | 5.3 ± 0.6 | 5.3 ± 1.5 | |
| MeOH-H2O | 22.9 ± 3.4 | 13.5 ± 4.0 | 3.3 ± 0.7 | |
| H2O | 36.3 ± 3.6 | NA | 6.2 ± 0.1 | |
| CR | EtOH | 20.7 ± 1.8 | 29.8 ± 3.7 | 8.5 ± 0.8 |
| n-Hexane | 25.7 ± 6.6 | 12.0 ± 3.8 | NA | |
| DCM | 4.9 ± 0.9 | 16.1 ± 2.9 | NA | |
| EtOAc | 20.6 ± 5.9 | 13.7 ± 0.9 | 27.9 ± 1.0 | |
| n-Butanol | 19.2 ± 5.8 | 17.8 ± 4.1 | 42.9 ± 0.2 ** | |
| MeOH-H2O | 52.0 ± 2.4 * IC50 176.8 ± 13.6 | NA | 7.6 ± 0.7 | |
| H2O | 29.2 ± 3.7 | NA | NA | |
| GA | EtOH | 18.6 ± 1.5 | 13.3 ± 3.0 | 10.2 ± 1.4 |
| n-Hexane | 28.8 ± 7.1 | 20.0 ± 6.2 | NA | |
| DCM | NA | 23.8 ± 4.1 | NA | |
| EtOAc | 15.4 ± 4.4 | NA | 33.9 ± 3.7 * | |
| n-Butanol | 24.3 ± 1.6 | 18.3 ± 3.2 | 8.7 ± 0.2 | |
| MeOH-H2O | 32.2 ± 0.1 | 13.9 ± 1.7 | 5.1 ± 1.5 | |
| H2O | 16.5 ± 1.6 | NA | 10.7 ± 2.4 | |
| LT | EtOH | 30.1 ± 3.5 | 11.5 ± 2.9 | NA |
| n-Hexane | 34.3 ± 2.6 | 24.0 ± 2.4 | NA | |
| DCM | NA | 22.9 ± 0.2 | 2.1 ± 0.1 | |
| EtOAc | NA | 25.7 ± 3.7 | 20.7 ± 3.7 | |
| n-Butanol | 13.8 ± 2.1 | 19.6 ± 1.6 | 12.3 ± 3.0 | |
| MeOH-H2O | 26.9 ± 2.8 | 25.7 ± 2.5 | 7.0 ± 3.2 | |
| H2O | 66.4 ± 6.4 *** IC50 114.0 ± 24.2 | 30.4 ± 2.2 | 3.6 ± 0.1 | |
| SB | EtOH | 44.6 ± 0.9* | 23.5 ± 0.5 | NA |
| n-Hexane | 39.1 ± 0.7 | 26.5 ± 2.9 | NA | |
| DCM | NA | 28.2 ± 1.2 | NA | |
| EtOAc | 13.8 ± 1.7 | 16.7 ± 2.3 | 37.4 ± 0.7 * | |
| n-Butanol | 28.6 ± 4.4 | NA | 27.0 ± 2.1 | |
| MeOH-H2O | 58.8 ± 4.1 ** IC50 135.3 ± 16.6 | 53.6 ± 3.8 * IC50 207.0 ± 26.2 | 8.2 ± 1.8 | |
| H2O | 52.6 ± 4.7 * IC50 183.4 ± 26.3 | 30.7 ± 4.8 | 7.4 ± 2.7 | |
| SM | EtOH | 19.6 ± 6.0 | 22.4 ± 1.7 | 15.2 ± 1.3 |
| n-Hexane | 9.9 ± 2.0 | 21.1 ± 3.3 | NA | |
| DCM | NA | 30.8 ± 1.4 | NA | |
| EtOAc | 24.8 ± 2.1 | 38.2 ± 0.3 | 17.4 ± 1.2 | |
| n-Butanol | NA | 30.4 ± 1.6 | 18.2 ± 2.0 | |
| MeOH-H2O | 36.1 ± 3.2 | 18.5 ± 0.9 | 13.3 ± 2.9 | |
| H2O | 35.7 ± 2.2 | 20.2 ± 2.9 | 3.3 ± 0.5 | |
| References | Galantamine (50 µg/mL) | 97.8 ± 0.1 **** IC50 0.8 ± 0.1 | ||
| Galantamine (200 µg/mL) | 69.6 ± 1.7 *** IC50 112.2 ± 9.7 | |||
| α-Kojic acid (500 µg/mL) | 87.5 ± 1.2 *** |
Disclaimer/Publisher’s Note: The statements, opinions and data contained in all publications are solely those of the individual author(s) and contributor(s) and not of MDPI and/or the editor(s). MDPI and/or the editor(s) disclaim responsibility for any injury to people or property resulting from any ideas, methods, instructions or products referred to in the content. |
© 2024 by the authors. Licensee MDPI, Basel, Switzerland. This article is an open access article distributed under the terms and conditions of the Creative Commons Attribution (CC BY) license (https://creativecommons.org/licenses/by/4.0/).
Share and Cite
Oresanya, I.O.; Orhan, I.E.; Heil, J.; Morlock, G.E. African Under-Utilized Medicinal Leafy Vegetables Studied by Microtiter Plate Assays and High-Performance Thin-Layer Chromatography–Planar Assays. Molecules 2024, 29, 733. https://doi.org/10.3390/molecules29030733
Oresanya IO, Orhan IE, Heil J, Morlock GE. African Under-Utilized Medicinal Leafy Vegetables Studied by Microtiter Plate Assays and High-Performance Thin-Layer Chromatography–Planar Assays. Molecules. 2024; 29(3):733. https://doi.org/10.3390/molecules29030733
Chicago/Turabian StyleOresanya, Ibukun O., Ilkay Erdogan Orhan, Julia Heil, and Gertrud E. Morlock. 2024. "African Under-Utilized Medicinal Leafy Vegetables Studied by Microtiter Plate Assays and High-Performance Thin-Layer Chromatography–Planar Assays" Molecules 29, no. 3: 733. https://doi.org/10.3390/molecules29030733
APA StyleOresanya, I. O., Orhan, I. E., Heil, J., & Morlock, G. E. (2024). African Under-Utilized Medicinal Leafy Vegetables Studied by Microtiter Plate Assays and High-Performance Thin-Layer Chromatography–Planar Assays. Molecules, 29(3), 733. https://doi.org/10.3390/molecules29030733

