Evaluation of Bioactive Compounds, Antioxidant Capacity, and Anti-Inflammatory Effects of Lipophilic and Hydrophilic Extracts of the Pericarp of Passiflora tripartita var. mollissima at Two Stages of Ripening
Abstract
:1. Introduction
2. Results
2.1. Phytochemical Analysis
2.2. Antioxidant Capacity
2.3. Anti-Inflammatory Effect on Plantar Edema
2.4. Anti-Inflammatory Effect on Carrageenan-Induced Air Pouches
2.5. Effect on the Number of Leukocytes in the Exudate
2.6. Effect on Inflammatory Cytokines in the Exudate
2.7. Effect on Oxidative Stress in the Exudate
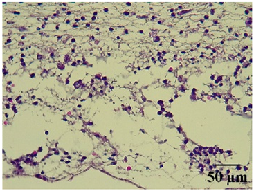
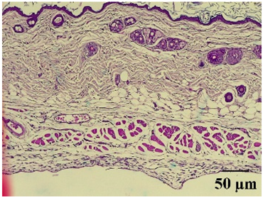
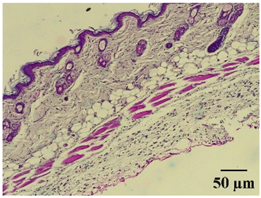
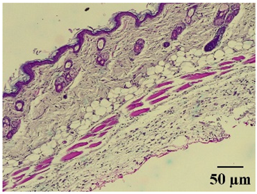
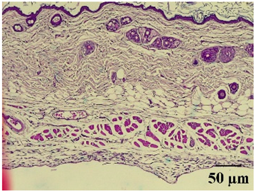
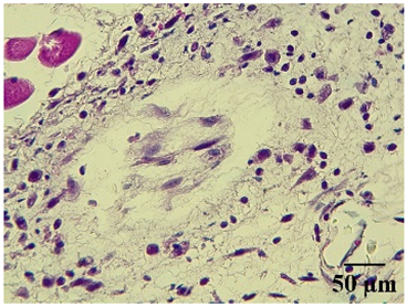
2.8. Effect on Histological Alterations in Epithelial Tissue
3. Discussion
4. Materials and Methods
4.1. Reagents and Equipment
4.2. Research Design
4.3. Study Population
4.4. Handling of Experimental Animals
4.5. Plant Species
4.6. Extraction of Chemical Components
4.7. Chemical Analysis
4.8. Total Phenol Content
4.9. Total Flavonoid Content
4.10. Ability to Reduce 2,2-Diphenyl-1-Picrylhydrazyl (DPPH)
4.11. Ability to Reduce 2,2′-Azino-Bis(3-Ethylbenzothiazoline-6-Sulfonic Acid) (ABTS•⁺)
4.12. Ferric Reducing Antioxidant Power (FRAP)
4.13. Effect on Inflammation on the Plantar Surface of Rats
4.14. Effect on Inflammation in the Air Pouch Model with Carrageenan
4.14.1. Induction of Inflammation and Treatments
4.14.2. Number and Differentiation of Leukocytes
4.14.3. Inflammatory Cytokines
4.14.4. Nitric Oxide
4.14.5. Glutathione
4.14.6. Catalase
4.14.7. Malondialdehyde
4.14.8. Histopathological Study
4.14.9. Data Processing and Analysis
5. Conclusions
Supplementary Materials
Author Contributions
Funding
Institutional Review Board Statement
Informed Consent Statement
Data Availability Statement
Acknowledgments
Conflicts of Interest
References
- Zotova, N.; Zhuravleva, Y.; Chereshnev, V.; Gusev, E. Acute and Chronic Systemic Inflammation: Features and Differences in the Pathogenesis, and Integral Criteria for Verification and Differentiation. Int. J. Mol. Sci. 2023, 24, 1144. [Google Scholar] [CrossRef]
- Higashi, Y. Roles of Oxidative Stress and Inflammation in Vascular Endothelial Dysfunction-Related Disease. Antioxidants 2022, 11, 1958. [Google Scholar] [CrossRef]
- Nogué, M.; Rambaud, J.; Fabre, S.; Filippi, N.; Jorgensen, C.; Pers, Y.M. Long-term corticosteroid use and dietary advice: A qualitative analysis of the difficulties encountered by patient. BMC Health Serv. Res. 2019, 19, 255. [Google Scholar] [CrossRef]
- Wirth, T.; Lafforgue, P.; Pham, T. NSAID: Current limits to prescription. Joint Bone Spine 2024, 91, 105685. [Google Scholar] [CrossRef]
- Domper Arnal, M.J.; Hijos-Mallada, G.; Lanas, A. Gastrointestinal and cardiovascular adverse events associated with NSAIDs. Expert. Opin. Drug Saf. 2022, 21, 373–384. [Google Scholar] [CrossRef]
- Saboo, B.; Joshi, S.; Gupta, A.; Maheshwari, A.; Saboo, B.; Makkar, B.M.; Bantwal, G.; Kesavadev, J.; Srenivasamurthy, L.; Tiwaskar, M.; et al. Responsible Use of Oral Corticosteroids in People with Comorbid Diabetes: An Expert Consensus. J. Assoc. Physicians India 2024, 72, 79–93. [Google Scholar]
- Blagov, A.V.; Summerhill, V.I.; Sukhorukov, V.N.; Zhigmitova, E.B.; Postnov, A.Y.; Orekhov, A.N. Potential use of antioxidants for the treatment of chronic inflammatory diseases. Front. Pharmacol. 2024, 15, 1378335. [Google Scholar] [CrossRef]
- Godlewska, K.; Pacyga, P.; Szumny, A.; Szymczycha-Madeja, A.; Wełna, M.; Michalak, I. Methods for Rapid Screening of Biologically Active Compounds Present in Plant-Based Extracts. Molecules 2022, 27, 7094. [Google Scholar] [CrossRef]
- Lebeloane, M.M.; Famuyide, I.M.; Kgosana, K.G.; Elgorashi, E.; Ndivhuwo, K.K.; Maharaj, V.; MacGaw, L.J. Anti-inflammatory activity of seven plant species with potential use as livestock feed additives. S Afr. J. Bot. 2024, 167, 322–332. [Google Scholar] [CrossRef]
- Chaparro, D.C.; Maldonado, M.E.; Franco, M.C.; Urango, L.A. Características nutricionales y antioxidantes de la fruta curuba larga (Passiflora mollissima Bailey). Perspect. Nutr. Hum. 2014, 16, 203–212. [Google Scholar] [CrossRef]
- García-Ruiz, A.; Girones-Vilaplana, A.; León, P.; Moreno, D.A.; Stinco, C.M.; Meléndez-Martínez, A.J.; Ruales, J. Banana passion fruit (Passiflora mollissima (Kunth) L.H. Bailey): Microencapsulation, phytochemical composition and antioxidant capacity. Molecules 2017, 22, 85. [Google Scholar] [CrossRef]
- Cruzado, A. Characterization of the Market for Horticultural Plants (Medicinal, Aromatic, and Vegetables) in the City of Bambamarca. Bachelor’s Thesis, Universidad Nacional de Cajamarca, Cajamarca, Peru, 2018. Available online: http://hdl.handle.net/20.500.14074/2606 (accessed on 31 January 2024).
- Simirgiotis, M.J.; Schmeda-Hirschmann, G.; Bórquez, J.; Kennelly, E.J. The Passiflora tripartita (banana passion) fruit: A source of bioactive flavonoid C-glycosides isolated by HSCCC and characterized by HPLC-DAD-ESI/MS/MS. Molecules 2013, 18, 1672–1692. [Google Scholar] [CrossRef]
- Lu, D.; Liu, W.; Yang, H.; Zong, Y.; Sun, J.; Sun, X.; Song, S.; Liu, M.; Kan, J.; Che, C. Schaftoside reduces inflammation in Aspergillus fumigatus keratitis through the inhibition of the TLR4/MyD88 pathway. Cytokine 2024, 175, 156483. [Google Scholar] [CrossRef]
- Vasudevan, S.D.; Thaggikuppe, K.P.; Chakkittukandiyil, A.; Mudavath, R.N. Orientin Modulates Nrf2-ARE, PI3K/Akt, JNK-ERK1/2, and TLR4/NF-kB Pathways to Produce Neuroprotective Benefits in Parkinson’s Disease. Neurochem. Res. 2024, 49, 1577–1587. [Google Scholar] [CrossRef]
- Nascimento, R.P.D.; Moya, A.M.T.; Machado, A.P.D.F.; Geraldi, M.V.; Diez-Echave, P.; Vezza, T.; Galvez, J.; Cazarin, C.B.B.; Maróstica, J.M.R. Review on the potential application of non-phenolic compounds from native Latin American food byproducts in inflammatory bowel diseases. Food Res. Int. 2021, 139, 109796. [Google Scholar] [CrossRef]
- Macedo, M.C.C.; Correia, V.T.V.; Silva, V.D.M.; Pereira, D.T.V.; Augusti, R.; Melo, J.O.F.; Pires, C.V.; de Paula, A.C.C.F.F.; Fante, C.A. Development and Characterization of Yellow Passion Fruit Peel Flour (Passiflora edulis f. flavicarpa). Metabolites 2023, 13, 684. [Google Scholar] [CrossRef]
- Sedgwick, A.D.; Moore, A.R.; Al-Duaij, A.Y.; Edwards, J.C.; Willoughby, D.A. The immune response to pertussis in the 6-day air pouch: A model of chronic synovitis. Br. J. Exp. Pathol. 1985, 66, 455–464. [Google Scholar]
- Labbozzetta, M.; Poma, P.; Tutone, M.; McCubrey, J.A.; Sajeva, M.; Notarbartolo, M. Phytol and Heptacosane Are Possible Tools to Overcome Multidrug Resistance in an In Vitro Model of Acute Myeloid Leukemia. Pharmaceuticals 2022, 15, 356. [Google Scholar] [CrossRef]
- Kim, D.H.; Park, M.H.; Choi, Y.J.; Chung, K.W.; Park, C.H.; Jang, E.J.; An, H.J.; Yu, B.P.; Chung, H.Y. Molecular Study of Dietary Heptadecane for the Anti-Inflammatory Modulation of NF-kB in the Aged Kidney. PLoS ONE 2013, 8, e59316. [Google Scholar] [CrossRef] [PubMed]
- Sani, S.; Lawal, B.; Ejeje, J.N.; Aliu, T.B.; Onikanni, A.S.; Uchewa, O.O.; Ovoh, J.C.; Ekpa, F.U.; Wu, A.T.H. Biochemical and tissue physiopathological evaluation of the preclinical efficacy of Solanum torvum Swartz leaves for treating oxidative impairment in rats administered a β-cell-toxicant (STZ). Biomed. Pharmacother. 2022, 154, 113605. [Google Scholar] [CrossRef] [PubMed]
- Balachandran, A.; Choi, S.B.; Beata, M.M.; Małgorzata, J.; Froemming, G.R.A.; Lavilla, C.A.; Billacura, M.P.; Siyumbwa, S.N.; Okechukwu, P.N. Antioxidant, Wound Healing Potential and In Silico Assessment of Naringin, Eicosane and Octacosane. Molecules 2023, 28, 1043. [Google Scholar] [CrossRef]
- Santa-María, C.; López-Enríquez, S.; Montserrat-de la Paz, S.; Geniz, I.; Reyes-Quiroz, M.E.; Moreno, M.; Palomares, F.; Sobrino, F.; Alba, G. Update on Anti-Inflammatory Molecular Mechanisms Induced by Oleic Acid. Nutrients 2023, 15, 224. [Google Scholar] [CrossRef]
- Froehlich, O.; Duque, C.; Schreier, P. Volatile constituents of curuba (Passiflora mollissima) fruit. J. Agric. Food Chem. 1989, 37, 421–425. [Google Scholar] [CrossRef]
- Chassagne, D.; Crouzet, J.; Bayonove, C.L.; Baumes, R.L. Glycosidically bound eugenol and methyl salicylate in the fruit of edible Passiflora species. J. Agric. Food Chem. 1997, 45, 2685–2689. [Google Scholar] [CrossRef]
- Edwin, E.; Sheeja, E.; Dhanabal, S.P.; Suresh, B. Antihyperglycemic Activity of Passiflora mollissima Bailey. Indian J. Pharm. Sci. 2007, 69, 570–571. Available online: https://openurl.ebsco.com/EPDB%3Agcd%3A7%3A6486135/detailv2?sid=ebsco%3Aplink%3Ascholar&id=ebsco%3Agcd%3A27507272&crl=c. (accessed on 1 September 2024). [CrossRef]
- Ramos, F.A.; Castellanos, L.; López, C.; Palacios, L.; Duque, C.; Pacheco, R.; Guzmán, A. An Orientin derivative isolated from Passiflora tripartita var. mollissima. Lat. Am. J. Pharm. 2010, 29, 141–143. Available online: http://sedici.unlp.edu.ar/handle/10915/7884 (accessed on 5 September 2024).
- Rayyan, S.; Fossen, T.; Nateland, H.; Andersen, O.M. Isolation and identification of flavonoids, including flavone rotamers, from the herbal drug ‘crataegi folium cum flore’(hawthorn). Phytochem. Anal. PCA 2005, 16, 334–341. [Google Scholar] [CrossRef]
- Jin, X.; Zhou, J.; Richey, G.; Wang, M.; Choi Hong, S.M.; Hong, S.H. Undecanoic Acid, Lauric Acid, and N-Tridecanoic Acid Inhibit Escherichia coli Persistence and Biofilm Formation. J. Microbiol. Biotechnol. 2021, 31, 130–136. [Google Scholar] [CrossRef]
- de Moura, P.H.B.; Porzel, A.; Nunes, R.M.; Baratto, L.C.; Wessjohann, L.A.; Martins, R.C.C.; Leal, I.C.R. Antioxidant capacity and fragmentation features of C-glycoside isoflavones by high-resolution electrospray ionization tandem mass spectrometry using collision-induced and high-energy collisional dissociation techniques. J. Mass. Spectrom. 2021, 56, e4793. [Google Scholar] [CrossRef]
- Di Rosa, M.; Giroud, J.P.; Willoughby, D.A. Studies on the mediators of the acute inflammatory response induced in rats in different sites by carrageenan and turpentine. J. Pathol. 1971, 104, 15–29. [Google Scholar] [CrossRef]
- Martínez-Rizo, A.B.; Fosado-Rodríguez, R.; Torres-Romero, C.J.; Lara-Riegos, C.J.; Ramírez-Camacho, A.M.; Arroyo, L.A.; Villa de la Torre, E.F.; Ceballos, G.E.; Arana-Argáez, E.V. Models in vivo and in vitro for the study of acute and chronic inflammatory activity: A comprehensive review. Int. Immunopharmacol. 2024, 135, 112292. [Google Scholar] [CrossRef] [PubMed]
- Bhattacharyya, S.; Gill, R.; Chen, M.L.; Zhang, F.; Linhardt, R.J.; Dudeja, P.K.; Tobacman, J.K. Toll-like Receptor 4 Mediates Induction of the Bcl10-NFκB-Interleukin-8 Inflammatory Pathway by Carrageenan in Human Intestinal Epithelial Cells. J. Biol. Chem. 2008, 283, 10550–10558. [Google Scholar] [CrossRef]
- Liu, T.; Zhang, L.; Joo, D.; Sun, S.C. NF-κB signaling in inflammation. Signal Transduct. Target. Ther. 2017, 2, 17023. [Google Scholar] [CrossRef]
- Nooteboom, A.; Van der Linden, C.J.; Hendriks, T. Tumor necrosis factor-alpha and interleukin-1beta mediate endothelial permeability induced by lipopolysaccharide-stimulated whole blood. Crit. Care Med. 2002, 30, 2063–2068. [Google Scholar] [CrossRef]
- Hackel, A.; Aksamit, A.; Bruderek, K.; Lang, S.; Brandau, S. TNF-α and IL-1β sensitize human MSC for IFN-γ signaling and enhance neutrophil recruitment. Eur. J. Immunol. 2021, 51, 319–330. [Google Scholar] [CrossRef]
- Winterbourn, C.C.; Kettle, A.J.; Hampton, M.B. Reactive Oxygen Species and Neutrophil Function. Annu. Rev. Biochem. 2016, 85, 765–792. [Google Scholar] [CrossRef]
- Belambri, S.A.; Rolas, L.; Raad, H.; Hurtado-Nedelec, M.; Dang, P.M.C.; El-Benna, J. NADPH oxidase activation in neutrophils: Role of the phosphorylation of its subunits. Eur. J. Clin. Investig. 2018, 48, e12951. [Google Scholar] [CrossRef] [PubMed]
- Pérez de la Lastra, J.M.; Juan, C.A.; Plou, F.J.; Perez-Lebeña, E. The Nitration of Proteins, Lipids and DNA by Peroxynitrite Derivatives-Chemistry Involved and Biological Relevance. Stresses 2022, 2, 53–64. Available online: https://www.mdpi.com/2673-7140/2/1/5 (accessed on 5 August 2024). [CrossRef]
- Furuta, R.; Kurake, N.; Ishikawa, K.; Takeda, K.; Hashizume, H.; Tanaka, H.; Kondo, H.; Sekine, M.; Masuri, H. Intracellular responses to reactive oxygen and nitrogen species, and lipid peroxidation in apoptotic cells cultivated in plasma-activated medium. Plasma Processes Polym. 2017, 14, 1700123. Available online: https://onlinelibrary.wiley.com/doi/abs/10.1002/ppap.201700123 (accessed on 6 August 2024). [CrossRef]
- Cui, X.; Gong, J.; Han, H.; He, L.; Teng, Y.; Tetley, T.; Sinharay, R.; Chung, K.F.; Islam, T.; Gilliland, F.; et al. Relationship between free and total malondialdehyde, a well-established marker of oxidative stress, in various types of human biospecimens. J. Thorac. Dis. 2018, 10, 3088–3097. [Google Scholar] [CrossRef]
- Labarrere, C.A.; Kassab, G.S. Glutathione: A Samsonian life-sustaining small molecule that protects against oxidative stress, ageing and damaging inflammation. Front. Nutr. 2022, 9, 1007816. [Google Scholar] [CrossRef] [PubMed]
- Vincent, A.; Thauvin, M.; Quévrain, E.; Mathieu, E.; Layani, S.; Seksik, P.; Batinic-Haberle, I.; Vriz, S.; Policar, C.; Delsuc, N. Evaluation of the compounds commonly known as superoxide dismutase and catalase mimics in cellular models. J. Inorg. Biochem. 2021, 219, 111431. [Google Scholar] [CrossRef] [PubMed]
- Pérez, S.; Rius-Pérez, S. Macrophage Polarization and Reprogramming in Acute Inflammation: A Redox Perspective. Antioxidants 2022, 11, 1394. [Google Scholar] [CrossRef] [PubMed]
- Park, J.W.; Kwon, O.K.; Ryu, H.W.; Paik, J.H.; Paryanto, I.; Yuniato, P.; Choi, S.; Oh, S.R.; Ahn, K.S. Anti-inflammatory effects of Passiflora foetida L. in LPS-stimulated RAW264.7 macrophages. Int. J. Mol. Med. 2018, 41, 3709–3716. [Google Scholar] [CrossRef] [PubMed]
- Widjaja, L.; Wijaya, C.D.; Sim, M.; Widowati, W.; Hadi, L.; Florenly. Extracted Passiflora edulis Pulp to Reduce Inflammation in LPS-activated Macrophage Cell Line: RAW 264.7. In Proceedings of the IEEE International Conference on Health, Instrumentation & Measurement, and Natural Sciences (InHeNce), Medan, Indonesia, 14–16 July 2021; pp. 1–5. Available online: https://ieeexplore.ieee.org/document/9537266 (accessed on 11 August 2024).
- Ożarowski, M.; Karpiński, T.M. Extracts and Flavonoids of Passiflora Species as Promising Anti-inflammatory and Antioxidant Substances. Curr. Pharm. Des. 2021, 27, 2582–2604. [Google Scholar] [CrossRef]
- Pereira Leal, A.E.B.; de Lavor, É.M.; de Menezes Barbosa, J.; de Moura Fontes Araújo, M.T.; Dos Santos Cerqueira Alves, C.; de Oliveira Júnior, R.G.; de Lima, Á.A.N.; da Silva Almeida, J.R.G. Pharmacological Activities of the Genus Passiflora (Passifloraceae): A Patent Review. Curr. Top. Med. Chem. 2022, 22, 2315–2328. [Google Scholar] [CrossRef]
- National Research Council (US). Committee for the Update of the Guide for the Care and Use of Laboratory Animals. Guide for the Care and Use of Laboratory Animals, 8th ed.; National Academies Press (US): Washington, DC, USA, 2011. Available online: https://www.ncbi.nlm.nih.gov/books/NBK54050/ (accessed on 1 May 2024).
- Zucolotto, S.M.; Fagundes, C.; Reginatto, F.H.; Ramos, F.A.; Castellanos, L.; Duque, C.; Schenkel, E.P. Analysis of C-glycosyl flavonoids from South American Passiflora species by HPLC-DAD and HPLC-MS. Phytochem. Anal. 2012, 23, 232–239. [Google Scholar] [CrossRef]
- Calva, J.; Cartuche, L.; Castillo, L.N.; Morocho, V. Biological Activities and Chemical Composition of Essential Oil from Hedyosmum purpurascens (Todzia)—An Endemic Plant in Ecuador. Molecules 2023, 28, 2366. [Google Scholar] [CrossRef]
- Balabhaskar, R.; Vijayalakshmi, K. Identification of Secondary Metabolites from the Ethanol extract of the leaves of Bauhinia tomentosa by GC-MS Analysis. Res. J. Pharm. Technol. 2021, 14, 2735–2741. Available online: https://rjptonline.org/AbstractView.aspx?PID=2021-14-5-66 (accessed on 19 August 2024). [CrossRef]
- Singleton, V.L.; Orthofer, R.; Lamuela-Raventós, R.M. Analysis of total phenols and other oxidation substrates and antioxidants by means of folin-ciocalteu reagent. Methods Enzymol. 1999, 299, 152–178. Available online: https://www.sciencedirect.com/science/article/abs/pii/S0076687999990171 (accessed on 31 January 2024).
- Dewanto, V.; Xianzhong, W.; Adom, K.K.; Liu, R.H. Thermal processing enhances the nutritional value of tomatoes by increasing total antioxidant activity. J. Agric. Food Chem. 2002, 50, 3010–3014. [Google Scholar] [CrossRef] [PubMed]
- Prieto, J.M. Procedure: Preparation of DPPH Radical, and antioxidant scavenging assay. Microplate Protoc. 2012, 2012, 7–9. Available online: https://scholar.google.com.pe/scholar?q=Preparation+of+DPPH+Radical+,+and+antioxidant+scavenging+assay&hl=es&as_sdt=0&as_vis=1&oi=scholart (accessed on 31 January 2024).
- Re, R.; Pellegrini, N.; Proteggente, A.; Pannala, A.; Yang, M.; Rice-Evans, C. Antioxidant activity applying an improved ABTS radical cation decolorization assay. Free Radic. Biol. Med. 1999, 26, 1231–1237. [Google Scholar] [CrossRef] [PubMed]
- Belyagoubi-Benhammou, N.; Belyagoubi, L.; Bechlaghem, N.; Ghembaza, N.; Atik-Bekkara, F. Assessment of antioxidant potential and phytochemical analysis of Pituranthos scoparius crude extract and its fractions. Orient. Pharm. Exp. Med. 2017, 17, 51–57. Available online: https://link.springer.com/article/10.1007/s13596-016-0253-7 (accessed on 31 January 2024). [CrossRef]
- Chow, L.H.; Chen, Y.H.; Wu, W.C.; Chang, E.P.; Huang, E.Y.K. Sex difference in oxytocin-induced anti-hyperalgesia at the spinal level in rats with intraplantar carrageenan-induced inflammation. PLoS ONE 2016, 11, e0162218. [Google Scholar] [CrossRef]
- Duarte, D.B.; Vasko, M.R.; Fehrenbacher, J.C. Models of Inflammation: Carrageenan air puch. Curr. Protoc. Pharmacol. 2012, 56, 5.6.1–5.6.8. [Google Scholar] [CrossRef]
- Leitão, S.A.T.; dos Santos Soares, D.; Junior, N.C.; Zimmer, R.; Ludwig, N.F.; Andrades, M. Study of anesthetics for euthanasia in rats and mice: A systematic review and meta-analysis on the impact upon biological outcomes (SAFE-RM). Life Sci. 2021, 284, 119916. [Google Scholar] [CrossRef] [PubMed]
- Palmer, R.; Ferrige, A.; Moncada, S. Nitric oxide release accounts for the biological activity of endothelium-derived relaxing factor. Nature 1987, 327, 524–526. [Google Scholar] [CrossRef]
- Sedlak, J.; Lindsay, R.H. Estimation of total, protein-bound, and nonprotein sulfhydryl groups in tissue with Ellman’s reagent. Anal. Biochem. 1968, 25, 192–205. [Google Scholar] [CrossRef]
- Sinha, A.K. Colorimetric assay of catalase. Anal. Biochem. 1972, 47, 389–394. [Google Scholar] [CrossRef]
- Esteraauer, H.; Cheeseman, K.H. Determination of Aldehydic Lipid Peroxidation Products: Malonaldehyde and 4-Hydroxynonenal. Methods Enzymol. 1990, 186, 407–421. [Google Scholar] [CrossRef]
- Kim, J.E.; Park, K.M.; Lee, S.Y.; Seo, J.H.; Yoon, I.S.; Bae, C.S.; Yoo, J.C.; Bang, M.A.; Cho, S.S.; Park, D.H. Anti-inflammatory effect of Allium hookeri on carrageenan-induced air pouch mouse model. PLoS ONE 2017, 12, e0190305. [Google Scholar] [CrossRef] [PubMed]



| N° | Compound | Formula | Molecular Weight | CAS Number | Rt (min) | Ra (%) | |
|---|---|---|---|---|---|---|---|
| Green hydrophilic extract | 1 | α-d-Galactopyranose | C6H12O6 | 180.0800 | 26566-61-0 | 15.76 | 1.26 |
| 2 | Isoglutamine | C5H10N2O3 | 146.1460 | 636-65-7 | 22.79 | 1.02 | |
| 3 | Pentacosane | C25H52 | 352.6880 | 629-99-2 | 44.55 | 14.46 | |
| 4 | Heptacosane | C27H56 | 380.7420 | 593-49-7 | 39.06 | 81.26 | |
| 5 | Imidazole | C3H4N2 | 68.0782 | 288-32-4 | 39.47 | 0.97 | |
| 6 | Glucopyranuramide | C7H14O6 | 194.1850 | 97-30-3 | 42.47 | 1.03 | |
| Total components | 100.00 | ||||||
| Green lipophilic extract | 1 | 3-methylbutyl-oxirane | C7H14O | 114.1880 | 5063-65-0 | 12.50 | 7.53 |
| 2 | α-d-Galactopyranose | C6H12O6 | 180.0800 | 26566-61-0 | 15.75 | 11.64 | |
| 3 | Methylene asparagine | C5H8N2O3 | 144.1300 | 64414-81-9 | 15.90 | 6.76 | |
| 4 | l-glucose | C6H12O6 | 180.1580 | 921-60-8 | 24.07 | 18.94 | |
| 6 | Heptacosane | C27H56 | 380.7420 | 593-49-7 | 39.06 | 31.08 | |
| 7 | Hexadecane | C12H26C4H8 | 226.4460 | 544-76-3 | 39.46 | 2.91 | |
| 5 | Imidazole | C3H4N2 | 68.0782 | 288-32-4 | 39.47 | 5.49 | |
| 8 | Heptadecane | C17H36 | 240.4730 | 629-78-7 | 41.57 | 15.65 | |
| Total components | 100.00 |
| N° | Compound | Formula | Molecular Weight | CAS Number | Rt (min) | Ra (%) | |
|---|---|---|---|---|---|---|---|
| Mature lipophilic extract | 1 | Acetamide | CH5CON | 59.0678 | 60-35-5 | 4.22 | 3.00 |
| 2 | 9-Hexadecenoic acid | C16H30O2 | 254.4130 | 373-49-9 | 4.93 | 1.49 | |
| 3 | 2-Butenoic acid | C4H6O2 | 86.0904 | 3724-65-0 | 6.72 | 5.40 | |
| 4 | Isoserine | C3H7NO3 | 105.093 | 632-11-1 | 7.51 | 1.80 | |
| 5 | Glycine | C2H5NO2 | 75.0672 | 56-40-6 | 12.53 | 1.20 | |
| 6 | 3-Acetylthymine | C7H8N2O3 | 168.1520 | 958996-65-1 | 13.77 | 2.50 | |
| 7 | α-d-Galactopyranose | C6H12O6 | 180.0800 | 26566-61-0 | 15.80 | 6.16 | |
| 8 | Methylene asparagine | C5H8N2O3 | 144.1300 | 64414-81-9 | 15.89 | 0.95 | |
| 9 | dl-Proline, 5-oxo-, methyl ester | C6H9NO3 | 143.1406 | 54571-66-3 | 22.91 | 21.55 | |
| 10 | Isoglutamine | C5H10N2O3 | 146.1460 | 636-65-7 | 24.46 | 2.35 | |
| 11 | Caffeine | C8H10N4O2 | 194.1930 | 58-08-2 | 33.84 | 3.42 | |
| 12 | 2,6,10-Trimethyltetradecane | C17H36 | 240.4730 | 14905-56-7 | 33.93 | 0.24 | |
| 13 | Pentadecanoic acid | C15H30O2 | 242.4020 | 1002-84-2 | 34.61 | 3.76 | |
| 14 | Hexadecanoic acid, methyl ester | C17H34O2 | 270.4560 | 112-39-0 | 35.48 | 2.38 | |
| 15 | Heptadecanoic acid, methyl ester | C18H36O2 | 284.4830 | 1731-92-6 | 35.90 | 2.65 | |
| 16 | Methyl 9-cis,11-trans-octadecadienoate | C19H34O2 | 294.4780 | 13058-52-1 | 37.85 | 3.73 | |
| 17 | Methyl (10E)-10-octadecenoate | C19H36O2 | 296.4940 | 13481-95-3 | 37.95 | 5.61 | |
| 18 | Nonadecanoic acid | C19H38O2 | 298.5100 | 646-30-0 | 38.39 | 1.65 | |
| 19 | Nonacosane | C29H60 | 408.7950 | 630-03-5 | 39.04 | 16.32 | |
| 20 | Eicosane | C20H42 | 282.5530 | 112-95-8 | 40.12 | 13.84 | |
| Total components | 100.00 | ||||||
| Mature hydrophilic extract | 1 | α-d-Galactopyranose | C6H12O6 | 180.0800 | 26566-61-0 | 15.77 | 1.18 |
| 2 | Isoglutamine | C5H10N2O3 | 146.1460 | 636-65-7 | 22.87 | 1.98 | |
| 3 | Undecanoic acid | C11H22O2 | 186.2940 | 112-37-8 | 34.91 | 2.37 | |
| 4 | N-hexadecanoic acid | C16H32O2 | 256.4290 | 57-10-3 | 35.45 | 2.25 | |
| 5 | 2,6,10-Trimethyltetradecane | C17H36 | 240.4730 | 14905-56-7 | 37.42 | 1.86 | |
| 6 | 6-Hydroxy-9-[tetrahydro-2H-pyran-2-yl]-9H-purine | C10H12N4O2 | 220.2310 | 446832-09-3 | 39.38 | 8.78 | |
| 7 | 9,10-Secocholesta-5,7,10(19)-triene-3,24,25-triol | C27H44O3 | 416.6450 | 272776-87-1 | 39.66 | 0.59 | |
| 8 | Tritetracontane | C43H88 | 605.1720 | 7098-21-7 | 40.09 | 32.38 | |
| 9 | 3-cis, 9-cis, 12-cis-octadecatrienoate | C19H32O2 | 292.5000 | 75315-95-6 | 40.52 | 3.29 | |
| 10 | Myristoleic acid | C14H26O2 | 226.3590 | 544-64-9 | 41.73 | 1.30 | |
| 11 | Pentacosane | C25H52 | 352.6880 | 629-99-2 | 44.57 | 21.21 | |
| 12 | Ethyl iso-allocholate | C26H44O5 | 436.6320 | 47676-48-2 | 46.18 | 2.03 | |
| 13 | Oleic acid | C18H34O2 | 282.4670 | 112-80-1 | 47.42 | 3.88 | |
| 14 | 9-octadecenoic acid | C18H34O2 | 282.5000 | 2027-47-6 | 48.18 | 2.57 | |
| 15 | Octadecane | C18H38 | 254.5000 | 593-45-3 | 48.83 | 4.48 | |
| 16 | Tetrapentacontane | C54H110 | 759.4670 | 5856-66-6 | 49.45 | 3.86 | |
| 17 | Docosanoic acid | C22H44O2 | 340.5900 | 112-85-6 | 50.22 | 2.08 | |
| 18 | Sarreroside | C30H42O10 | 562.6000 | 545-36-8 | 52.85 | 1.96 | |
| 19 | β-Tocopherol | C28H48O2 | 416.7000 | 16698-35-4 | 53.67 | 1.95 | |
| Total components | 100.00 |
| Group (n) | 1 h | 2 h | 3 h | 4 h | ||||
|---|---|---|---|---|---|---|---|---|
| Edema Size (mm) | Inhibition (%) | Edema Size (mm) | Inhibition (%) | Edema Size (mm) | Inhibition (%) | Edema Size (mm) | Inhibition (%) | |
| Control | 1.62 ± 0.06 | 1.79 ± 0.04 | 2.06 ± 0.04 | 2.15 ± 0.04 | ||||
| Indomethacin | 1.16 ± 0.15 # | 28.45 ± 9.41 | 1.09 ± 0.14 * | 39.29 ± 7.66 | 1.13 ± 0.06 * | 44.89 ± 3.09 | 0.55 ± 0.15 * | 74.46 ± 7.09 |
| Green hydrophilic 500 | 1.23 ± 0.01 # | 23.71 ± 0.90 | 1.27 ± 0.13 * | 29.24 ± 7.46 | 1.26 ± 0.04 * | 38.90 ± 2.03 | 1.36 ± 0.04 * | 37.00 ± 1.90 |
| Green hydrophilic 250 | 1.39 ± 0.08 # | 14.02 ± 4.68 | 1.61 ± 0.06 # | 9.87 ± 3.48 | 1.85 ± 0.08 # | 10.05 ± 3.71 | 1.65 ± 0.06 * | 23.22 ± 2.95 |
| Green hydrophilic 100 | 1.18 ± 0.20 # | 27.01 ± 12.13 | 1.52 ± 0.13 # | 15.08 ± 7.39 | 1.57 ± 0.13 # | 23.82 ± 6.37 | 1.59 ± 0.08 * | 26.01 ± 3.50 |
| Mature hydrophilic 500 | 1.18 ± 0.06 # | 27.22 ± 3.67 | 1.23 ± 0.08 * | 31.47 ± 4.68 | 1.20 ± 0.05 * | 41.65 ± 2.30 | 1.30 ± 0.07 * | 39.47 ± 3.11 |
| Mature hydrophilic 250 | 1.41 ± 0.02 # | 12.58 ± 1.03 | 1.47 ± 0.02 # | 17.88 ± 0.85 | 1.82 ± 0.15 # | 11.51 ± 7.17 | 1.95 ± 0.04 # | 9.44 ± 1.93 |
| Mature hydrophilic 100 | 1.56 ± 0.02 # | 3.71 ± 1.25 | 1.41 ± 0.01 # | 21.04 ± 0.49 | 1.98 ± 0.17 # | 3.89 ± 8.22 | 1.80 ± 0.21 # | 16.41 ± 9.84 |
| Green lipophilic 500 | 1.17 ± 0.08 # | 27.63 ± 4.80 | 1.67 ± 0.02 # | 6.70 ± 1.16 | 1.65 ± 0.23 # | 19.61 ± 11.17 | 1.60 ± 0.02 * | 25.70 ± 1.07 |
| Green lipophilic 250 | 1.22 ± 0.05 # | 24.33 ± 2.97 | 1.35 ± 0.08 * | 24.77 ± 4.52 | 1.51 ± 0.15 # | 26.74 ± 7.33 | 1.51 ± 0.09 * | 29.72 ± 4.10 |
| Green lipophilic 100 | 1.58 ± 0.20 # | 2.47 ± 12.32 | 1.37 ± 0.07 * | 23.28 ± 3.78 | 1.56 ± 0.13 # | 23.99 ± 6.54 | 1.53 ± 0.08 * | 28.79 ± 3.66 |
| Mature lipophilic 500 | 1.21 ± 0.05 # | 25.15 ± 3.17 | 1.43 ± 0.06 # | 19.93 ± 3.42 | 1.82 ± 0.05 # | 11.35 ± 2.35 | 1.67 ± 0.06 * | 22.60 ± 2.63 |
| Mature lipophilic 250 | 0.97 ± 0.02 * | 40.21 ± 1.49 | 1.39 ± 0.02 # | 22.16 ± 1.34 | 1.54 ± 0.19 # | 24.96 ± 9.35 | 1.49 ± 0.09 * | 30.96 ± 4.34 |
| Mature lipophilic 100 | 0.98 ± 0.02 * | 39.18 ± 1.44 | 1.56 ± 0.03 # | 13.04 ± 1.83 | 2.04 ± 0.07 # | 0.65 ± 3.38 | 1.56 ± 0.06 * | 27.71 ± 2.65 |
| Group (n) | IL-6 | IL-1 β | FNT-α | |||
|---|---|---|---|---|---|---|
| pg/mL | Inhibition (%) | pg/mL | Inhibition (%) | pg/mL | Inhibition (%) | |
| Normal | 214.51 ± 7.01 * | - | 115.45 ± 4.74 * | - | 1.96 ± 0.48 * | - |
| Control | 1443.10 ± 30.72 | - | 631.88 ± 21.29 | - | 55.30 ± 2.91 | - |
| Indomethacin | 1462.27 ± 33.34 # | 0 | 229.00 ± 47.98 * | 63.76 ± 7.59 | 39.83 ± 4.92 * | 27.96 ± 8.89 |
| Mature hydrophilic 500 | 1347.69 ± 46.84 # | 6.61 ± 3.25 | 206.50 ± 68.42 * | 67.32 ± 10.83 | 34.35 ± 1.57 * | 37.89 ± 2.84 |
| Mature hydrophilic 1000 | 1401.76 ± 31.97 # | 2.87 ± 2.22 | 514.67 ± 124.17 # | 18.55 ± 19.65 | 51.24 ± 3.40 # | 7.34 ± 6.15 |
| Group (n). | MDA | GSH | NO | CAT | ||||
|---|---|---|---|---|---|---|---|---|
| nmol/mL | Inhibition (%) | nmol/mL | Inhibition (%) | µg/mL | Increase (%) | U/mL | Increase (%) | |
| Normal | 15.94 ± 0.73 * | - | 8.13 ± 0.09 * | - | 0.12 ± 0.01 * | - | 3.38 ± 0.57 * | - |
| Control | 2138.65 ± 6.64 | - | 8.74 ± 0.10 | - | 0.01 ± 0.00 | - | 6.19 ± 0.82 | - |
| Indomethacin | 1963.47 ± 23.34 # | 8.19 ± 1.09 | 8.69 ± 0.12 # | 0.64 ± 0.12 | 0.30 ± 0.02 * | 2419.98 ± 171.98 | 8.64 ± 0.29 * | 39.68 ± 4.61 |
| Mature hydrophilic 500 | 1920.73 ± 104.00 # | 10.19 ± 4.86 | 7.88 ± 0.16 * | 7.88 ± 0.16 | 0.11 ± 0.01 * | 834.20 ± 104.04 | 7.31 ± 0.51 # | 18.18 ± 8.21 |
| Mature hydrophilic 1000 | 2139.14 ± 91.78 # | 0 | 7.71 ± 0.06 * | 11.81 ± 0.06 | 0.13 ± 0.02 * | 959.72 ± 146.87 | 6.19 ± 0.31 # | 0 |
| 100× | 400× | Description | |
|---|---|---|---|
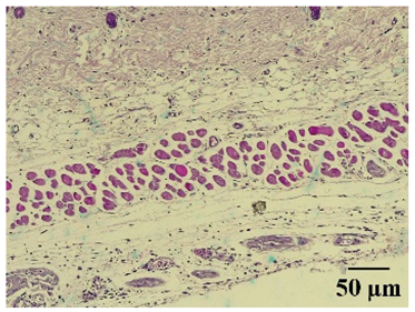
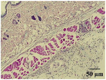
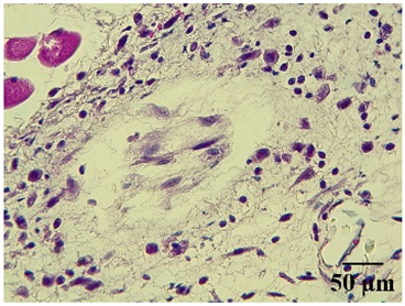
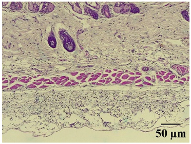
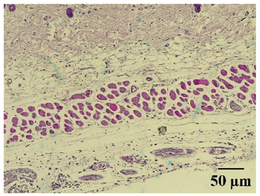
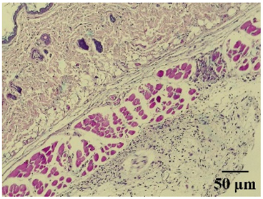
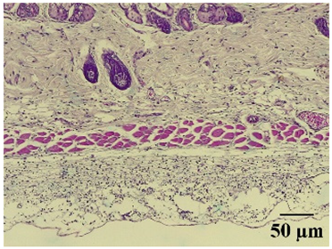
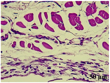
| Normal | ![]() | ![]() | Minimal leukocyte infiltration in the dermis, hypodermis, and subcutaneous tissue. Minimal leukocyte infiltration and slight alteration in the air pouch membrane thickness. |
| Control | ![]() | ![]() | Moderate presence of erythrocytes in subcutaneous tissue. Moderate leukocyte infiltration in the dermis, hypodermis, and muscle layer. Presence of eosinophils at the subcutaneous and muscular levels. Abundant leukocyte infiltration and intense alteration of the air pouch membrane thickness. |
| Indomethacin | ![]() | ![]() | Moderate leukocyte infiltration in the dermis and subcutaneous tissue. Moderate leukocyte infiltration and moderate alteration in the thickness of the air pouch membrane. |
| Mature hydrophilic 500 | ![]() | ![]() | Low leukocyte infiltration in the dermis and subcutaneous tissue. Low leukocyte infiltration and slight alteration in the thickness of the air pouch membrane. |
| Mature hydrophilic 1000 | ![]() | ![]() | Moderate infiltration of leukocytes in the dermis and subcutaneous tissue. Moderate leukocyte infiltration and moderate alteration in the thickness of the air pouch membrane. |
Disclaimer/Publisher’s Note: The statements, opinions and data contained in all publications are solely those of the individual author(s) and contributor(s) and not of MDPI and/or the editor(s). MDPI and/or the editor(s) disclaim responsibility for any injury to people or property resulting from any ideas, methods, instructions or products referred to in the content. |
© 2024 by the authors. Licensee MDPI, Basel, Switzerland. This article is an open access article distributed under the terms and conditions of the Creative Commons Attribution (CC BY) license (https://creativecommons.org/licenses/by/4.0/).
Share and Cite
Justil-Guerrero, H.J.; Arroyo-Acevedo, J.L.; Rojas-Armas, J.P.; García-Bustamante, C.O.; Palomino-Pacheco, M.; Almonacid-Román, R.D.; Calva Torres, J.W. Evaluation of Bioactive Compounds, Antioxidant Capacity, and Anti-Inflammatory Effects of Lipophilic and Hydrophilic Extracts of the Pericarp of Passiflora tripartita var. mollissima at Two Stages of Ripening. Molecules 2024, 29, 4964. https://doi.org/10.3390/molecules29204964
Justil-Guerrero HJ, Arroyo-Acevedo JL, Rojas-Armas JP, García-Bustamante CO, Palomino-Pacheco M, Almonacid-Román RD, Calva Torres JW. Evaluation of Bioactive Compounds, Antioxidant Capacity, and Anti-Inflammatory Effects of Lipophilic and Hydrophilic Extracts of the Pericarp of Passiflora tripartita var. mollissima at Two Stages of Ripening. Molecules. 2024; 29(20):4964. https://doi.org/10.3390/molecules29204964
Chicago/Turabian StyleJustil-Guerrero, Hugo Jesús, Jorge Luis Arroyo-Acevedo, Juan Pedro Rojas-Armas, Carlos Orlando García-Bustamante, Miriam Palomino-Pacheco, Robert Dante Almonacid-Román, and James Willan Calva Torres. 2024. "Evaluation of Bioactive Compounds, Antioxidant Capacity, and Anti-Inflammatory Effects of Lipophilic and Hydrophilic Extracts of the Pericarp of Passiflora tripartita var. mollissima at Two Stages of Ripening" Molecules 29, no. 20: 4964. https://doi.org/10.3390/molecules29204964
APA StyleJustil-Guerrero, H. J., Arroyo-Acevedo, J. L., Rojas-Armas, J. P., García-Bustamante, C. O., Palomino-Pacheco, M., Almonacid-Román, R. D., & Calva Torres, J. W. (2024). Evaluation of Bioactive Compounds, Antioxidant Capacity, and Anti-Inflammatory Effects of Lipophilic and Hydrophilic Extracts of the Pericarp of Passiflora tripartita var. mollissima at Two Stages of Ripening. Molecules, 29(20), 4964. https://doi.org/10.3390/molecules29204964











