Periostracum Cicadae Extract and N-Acetyldopamine Regulate the Sleep-Related Neurotransmitters in PCPA-Induced Insomnia Rats
Abstract
1. Introduction
2. Results and Discussion
2.1. UPLC-ESI-QTOF-MS Analysis of PC Extract
2.2. Effect of PC on Body Weight and Behavior of Rats
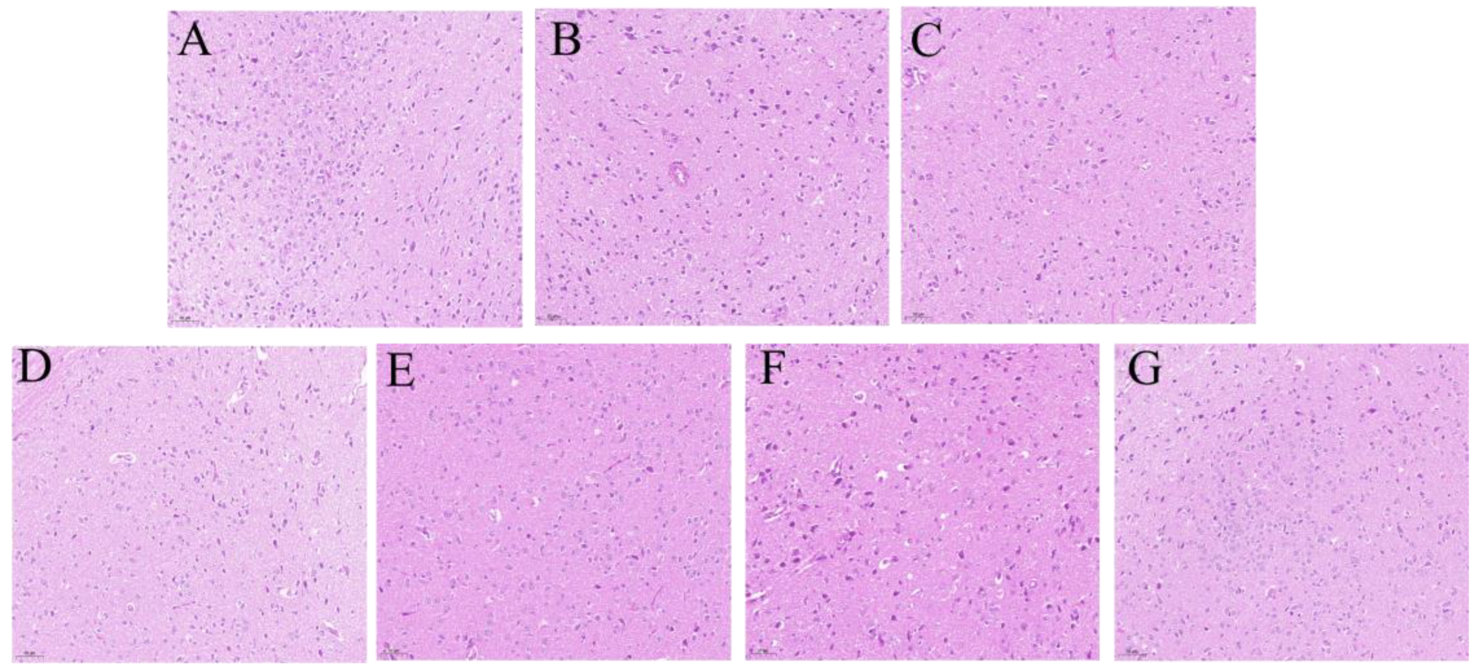
2.3. Effect of PC on the Hypothalamus Neuronal Cells of Rats
2.4. Effect of PC on 5-HT, DA, GABA, HVA, DOPAC, BDNF Levels in Hypothalamus
2.5. Molecular Docking Analysis
2.6. Effect of PC on the Expression of 5-HT1A, BDNF and DARPP-32 Protein in the Hypothalamus of Rats
3. Materials and Methods
3.1. Materials
3.2. Reagents
3.3. UPLC-ESI-QTOF-MS Conditions
3.4. Animal Administration
3.5. PCPA-Induced Insomnia Animal Model
3.6. HE Staining of Hypothalamic Sections
3.7. Enzyme-Linked Immunosorbent Assay (ELISA)
3.8. Molecular Docking
3.9. Western Blot Analysis
3.10. Statistical Analysis
4. Conclusions
Author Contributions
Funding
Institutional Review Board Statement
Informed Consent Statement
Data Availability Statement
Conflicts of Interest
References
- Jansen, P.R.; Watanabe, K.; Stringer, S.; Skene, N.; Bryois, J.; Hammerschlag, A.R.; de Leeuw, C.A.; Benjamins, J.S.; Muñoz-Manchado, A.B.; Nagel, M.; et al. Genome-wide analysis of insomnia in 1,331,010 individuals identifies new risk loci and functional pathways. Nat. Genet. 2019, 51, 394–403. [Google Scholar] [CrossRef] [PubMed]
- Shao, J.; Zheng, X.; Qu, L.; Zhang, H.; Yuan, H.; Hui, J.; Mi, Y.; Ma, P.; Fan, D. Ginsenoside Rg5/Rk1 ameliorated sleep via regulating the GABAergic/serotoninergic signaling pathway in a rodent model. Food Funct. 2020, 11, 1245–1257. [Google Scholar] [CrossRef] [PubMed]
- Stein, M.B.; McCarthy, M.J.; Chen, C.Y.; Jain, S.; Gelernter, J.; He, F.; Heeringa, S.G.; Kessler, R.C.; Nock, M.K.; Ripke, S.; et al. Genome-wide analysis of insomnia disorder. Mol. Psychiatr. 2018, 23, 2238–2250. [Google Scholar] [CrossRef] [PubMed]
- Dubey, A.K.; Handu, S.S.; Mediratta, P.K. Suvorexant: The first orexin receptor antagonist to treat insomnia. J. Pharmacol. Pharmaco 2015, 6, 118–121. [Google Scholar] [CrossRef] [PubMed]
- Wheatley, D. Medicinal plants for insomnia: A review of their pharmacology, efficacy and tolerability. J. Psychopharmacol. 2005, 19, 414–421. [Google Scholar] [CrossRef] [PubMed]
- Siddiqui, S.A.; Li, C.; Aidoo, O.F.; Fernando, I.; Haddad, M.A.; Pereira, J.A.M.; Blinov, A.; Golik, A.; Câmara, J.S. Unravelling the potential of insects for medicinal purposes—A comprehensive review. Heliyon 2023, 9, e15938. [Google Scholar] [CrossRef]
- Feng, Y.; Zhao, M.; He, Z.; Chen, Z.; Sun, L. Research and utilization of medicinal insects in China. Entomol. Res. 2009, 39, 313–316. [Google Scholar] [CrossRef]
- de Figueirêdo, R.E.; Vasconcellos, A.; Policarpo, I.S.; Alves, R.R. Edible and medicinal termites: A global overview. J. Ethnobiol. Ethnomed. 2015, 11, 29. [Google Scholar] [CrossRef] [PubMed]
- Ratcliffe, N.A.; Mello, C.B.; Garcia, E.S.; Butt, T.M.; Azambuja, P. Insect natural products and processes: New treatments for human disease. Insect Biochem. Mol. 2011, 41, 747–769. [Google Scholar] [CrossRef]
- China Pharmacopoeia Committee. Pharmacopoeia of People’s Republic of China; China Medico-Pharmaceutical Science & Technology Publishing House: Beijing, China, 2020; Volume 1, p. 385. [Google Scholar]
- Yang, L.; Wang, Y.; Nuerbiye, A.; Cheng, P.; Wang, J.H.; Kasimu, R.; Li, H. Effects of Periostracum Cicadae on Cytokines and Apoptosis Regulatory Proteins in an IgA Nephropathy Rat Model. Int. J. Mol. Sci. 2018, 19, 1599. [Google Scholar] [CrossRef]
- Thapa, P.; Gu, Y.; Kil, Y.S.; Baek, S.C.; Kim, K.H.; Han, A.R.; Seo, E.K.; Choi, H.; Chang, J.H.; Nam, J.W. N-Acetyldopamine derivatives from Periostracum Cicadae and their regulatory activities on Th1 and Th17 cell differentiation. Bioorg. Chem. 2020, 102, 104095. [Google Scholar] [CrossRef] [PubMed]
- Hsieh, M.T.; Peng, W.H.; Yeh, F.T.; Tsai, H.Y.; Chang, Y.S. Studies on the anticonvulsive, sedative and hypothermic effects of Periostracum Cicadae extracts. J. Ethnopharmacol. 1991, 35, 83–90. [Google Scholar] [CrossRef] [PubMed]
- Wang, K. Clinical observation on 158 cases of night crying in children treated with Cicada flower powder. Shaanxi Tradit. Chin. Med. 1985, 8, 348–349. [Google Scholar]
- Ma, R.C.; Ma, C.H. Cicada lamp drink for the treatment of nocturnal cries in infants: 25 cases. Jiangsu Tradit. Chin. Med. 1995, 11, 18. [Google Scholar]
- Li, L.Z. Cicada moult Qingxin Tang for the treatment of 46 cases of children’s night cries. J. Pract. Med. 2000, 1, 75. [Google Scholar]
- An, L. Anticonvulsant effect of Cicada metamorphosis. Chin. Med. Her. 2008, 15, 35–36. [Google Scholar]
- Xu, M.Z.; Lee, W.S.; Han, J.M.; Oh, H.W.; Park, D.S.; Tian, G.R.; Jeong, T.S.; Park, H.Y. Antioxidant and anti-inflammatory activities of N-acetyldopamine dimers from Periostracum Cicadae. Bioorgan. Med. Chem. 2006, 14, 7826–7834. [Google Scholar] [CrossRef]
- Shin, T.Y.; Park, J.H.; Kim, H.M. Effect of Cryptotympana atrata extract on compound 48/80-induced anaphylactic reactions. J. Ethnopharmacol. 1999, 66, 319–325. [Google Scholar] [CrossRef] [PubMed]
- Wang, J.H. Cicada metamorphosis is effective in treating insomnia. J. Tradit. Chin. Med. 1994, 07, 391. [Google Scholar] [CrossRef]
- Wang, X.Q.; SI, R.C. Treatment of insomnia in 45 cases by cicadas and two vines soup. Henan Tradit. Chin. Med. 2010, 30, 881–882. [Google Scholar]
- Pang, B.; Zhu, Y.; Lu, L.; Gu, F.; Chen, H. The Applications and Features of Liquid Chromatography-Mass Spectrometry in the Analysis of Traditional Chinese Medicine. Evid.-Based Complement. Altern. Med. 2016, 2016, 3837270. [Google Scholar] [CrossRef] [PubMed]
- Liu, H.; Yan, Y.; Liao, L.; Wang, S.; Zhang, Y.; Cheng, Y. Cicadamides A and B, N-Acetyldopamine Dimers from the Insect Periostracum cicadae. Nat. Prod. Commun. 2019, 14, 1934578X1985001. [Google Scholar] [CrossRef]
- Luo, J.; Wei, W.; Wang, P.; Guo, T.; Chen, S.; Zhang, L.; Feng, S. (±)-Cryptamides A-D, Four Pairs of Novel Dopamine Enantiomer Trimers from the Periostracum Cicadae. Molecules 2022, 27, 6707. [Google Scholar] [CrossRef] [PubMed]
- Jouvet, M. Sleep and Serotonin: An Unfinished Story. Neuropsychopharmacology 1999, 21, S24–S27. [Google Scholar] [CrossRef]
- Borbély, A.A.; Neuhaus, H.U.; Tobler, I. Effect of p-chlorophenylalanine and tryptophan on sleep, EEG and motor activity in the rat. Behav. Brain Res. 1981, 2, 1–22. [Google Scholar] [CrossRef] [PubMed]
- Huang, Y.Q.; Zhang, W.C.; Li, H.Y. Effect of cadmium on body weight and organ coefficient of ovaries in female rats. Occup Health 2003, 19, 7–9. [Google Scholar]
- Zhang, X.; Li, L.; Chen, T.; Sun, Z.; Tang, W.; Wang, S.; Wang, T.; Wang, Y.; Zhang, H. Research Progress in the Effect of Traditional Chinese Medicine for Invigoration on Neurotransmitter Related Diseases. Evid.-Based Complement. Altern. Med. 2018, 2018, 4642018. [Google Scholar] [CrossRef] [PubMed]
- Vgontzas, A.N.; Chrousos, G.P. Sleep, the hypothalamic-pituitary-adrenal axis, and cytokines: Multiple interactions and disturbances in sleep disorders. Endocrin Metab. Clin. 2002, 31, 15–36. [Google Scholar] [CrossRef] [PubMed]
- Balbo, M.; Leproult, R.; Van Cauter, E. Impact of sleep and its disturbances on hypothalamo-pituitary-adrenal axis activity. INT J. Endocrinol. 2010, 2010, 759234. [Google Scholar] [CrossRef]
- Meerlo, P.; Sgoifo, A.; Suchecki, D. Restricted and disrupted sleep: Effects on autonomic function, neuroendocrine stress systems and stress responsivity. Sleep. Med. Rev. 2008, 12, 197–210. [Google Scholar] [CrossRef]
- Hu, Y.; Wang, Y.N.; Zhang, G.Q.; Dong, X.Z.; Liu, W.W.; Liu, P. Gan-Dan-Liang-Yi-Tang alleviates p-chlorophenylalanine-induced insomnia through modification of the serotonergic and immune system. Exp. Ther. Med. 2016, 12, 3087–3092. [Google Scholar] [CrossRef] [PubMed]
- Du, Y.; Wu, B.; Xiao, F.; Yan, T.; Li, Q.; Jia, Y.; Bi, K.; He, B. Untargeted metabolomic study on the insomnia effect of Suan-Zao-Ren decoction in the rat serum and brain using ultra-high-performance liquid chromatography quadrupole time-of-flight mass spectrometry combined with data processing analysis. J. Sep. Sci. 2020, 43, 2019–2030. [Google Scholar] [CrossRef] [PubMed]
- Zeng, X.; Huang, J.; Zhou, C.; Wang, X.; Zhang, Y.; Zhang, Y. Effect of Songyu Anshen Fang on expression of hypothalamic GABA and GABA(B) receptor proteins in insomniac rats induced by para-chlorophenylalanine Trop. J. Pharm. Res. 2018, 17, 17. [Google Scholar] [CrossRef]
- Li, N.; Jasanoff, A. Local and global consequences of reward-evoked striatal dopamine release. Nature 2020, 580, 239–244. [Google Scholar] [CrossRef] [PubMed]
- Yan, Y.; Li, Q.; DU, H.Z.; Shen, C.X.; Li, A.P.; Pei, X.P.; DU, C.H.; Qin, X.M. Determination of five neurotransmitters in the rat brain for the study of the hypnotic effects of Ziziphi Spinosae Semen aqueous extract on insomnia rat model by UPLC-MS/MS. Chin. J. Nat. Medicines 2019, 17, 551–560. [Google Scholar] [CrossRef] [PubMed]
- Rahmani, M.; Rahmani, F.; Rezaei, N. The Brain-Derived Neurotrophic Factor: Missing Link between Sleep Deprivation, Insomnia, and Depression. Neurochem. Res. 2019, 45, 221–231. [Google Scholar] [CrossRef] [PubMed]
- Singh, D.; Singh, P.; Srivastava, P.; Kakkar, D.; Pathak, M.; Tiwari, A.K. Development and challenges in the discovery of 5-HT1A and 5-HT7 receptor ligands. Bioorg. Chem. 2022, 131, 106254. [Google Scholar] [CrossRef] [PubMed]
- Wang, L.; Zhang, Y.; Du, X.; Ding, T.; Gong, W.; Liu, F. Review of antidepressants in clinic and active ingredients of traditional Chinese medicine targeting 5-HT1A receptors. Biomed. Pharmacother. 2019, 120, 109408. [Google Scholar] [CrossRef] [PubMed]
- Parsa, H.; Imani, A.; Faghihi, M.; Riahi, E.; Badavi, M.; Shakoori, A.; Rastegar, T.; Aghajani, M.; Rajani, S.F. Acute sleep deprivation preconditions the heart against ischemia/reperfusion injury: The role of central GABA-A receptors. Iran. J. Basic. Med. Sci. 2017, 20, 1232–1241. [Google Scholar] [CrossRef]
- Jo, K.; Suh, H.J.; Choi, H.S. Polygonatum sibiricum rhizome promotes sleep by regulating non-rapid eye movement and GABAergic/serotonergic receptors in rodent models. Biomed. Pharmacother. 2018, 105, 167–175. [Google Scholar] [CrossRef]
- Seo, S.; Leitch, B. Synaptic changes in GABAA receptor expression in the thalamus of the stargazer mouse model of absence epilepsy. Neuroscience 2015, 306, 28–38. [Google Scholar] [CrossRef] [PubMed]
- Gottesmann, C. GABA mechanisms and sleep. Neuroscience 2002, 111, 231–239. [Google Scholar] [CrossRef] [PubMed]
- Sun, C.; Zhu, H.; Clark, S.; Gouaux, E. Cryo-EM structures reveal native GABAA receptor assemblies and pharmacology. Nature 2023, 622, 195–201. [Google Scholar] [CrossRef] [PubMed]
- Abdou, A.M.; Higashiguchi, S.; Horie, K.; Kim, M.; Hatta, H.; Yokogoshi, H. Relaxation and immunity enhancement effects of gamma-aminobutyric acid (GABA) administration in humans. Biofactors 2006, 26, 201–208. [Google Scholar] [CrossRef] [PubMed]
- Qu, W.M.; Xu, X.H.; Yan, M.M.; Wang, Y.Q.; Urade, Y.; Huang, Z.L. Essential role of dopamine D2 receptor in the maintenance of wakefulness, but not in homeostatic regulation of sleep, in mice. J. Neurosci. 2010, 30, 4382–4389. [Google Scholar] [CrossRef]
- Sen, S.; Parishar, P.; Pundir, A.S.; Reiner, A.; Iyengar, S. The expression of tyrosine hydroxylase and DARPP-32 in the house crow (Corvus splendens) brain. J. Comp. Neurol. 2019, 527, 1801–1836. [Google Scholar] [CrossRef]
- GB 14922-2022; Classification and Monitoring of Microbiology and Parasitology of Laboratory Animals. Ministry of Science and Technology of the People’s Republic of China: Beijing, China, 2022.








| No. | tR | Molecular Formula | Molecular Ion | Measured Mass | Theoretical Mass | Error (ppm) | Fragment Ions | Type |
|---|---|---|---|---|---|---|---|---|
| 1 | 4.18 | C20H22N2O6 | [M + H]+ | 387.1554 | 387.1556 | −0.5 | 328.1155, 269.0792, 192.0642, 150.0539 | dimers (I a) |
| 2 | 4.96 | C20H22N2O6 | [M + H]+ | 387.1537 | 387.1556 | −4.9 | 328.1128, 269.0769, 192.0626, 150.0527 | dimers |
| 3 | 6.02 | C20H22N2O6 | [M + H]+ | 387.1587 | 387.1556 | 8 | 328.1187, 269.0819, 192.0662, 150.0555 | dimers |
| 4 | 6.67 | C20H20N2O6 | [M + H]+ | 385.1383 | 385.1394 | −2.9 | 326.1012, 192.0651, 150.0547 | dimers (II a) |
| 5 | 7.66 | C20H20N2O6 | [M + H]+ | 385.1404 | 385.1394 | 2.6 | 326.1029, 192.0663, 150.0556 | dimers |
| 6 | 7.90 | C30H31N3O9 | [M + H]+ | 578.2144 | 578.2139 | 0.9 | 150.0555 | trimers |
| 7 | 8.55 | C30H31N3O9 | [M + H]+ | 578.2180 | 578.2139 | 7.1 | 519.1774, 269.0813, 192.0661 | trimers |
| 8 | 8.82 | C30H31N3O9 | [M + H]+ | 578.2175 | 578.2139 | 6.2 | 192.0659 | trimers |
| 9 | 9.03 | C30H31N3O9 | [M + H]+ | 578.2201 | 578.2139 | 10.7 | 519.1771, 460.1391, 328.1181, 269.0810, 192.0658 | trimers |
| 10 | 9.27 | C30H31N3O9 | [M + H]+ | 578.2190 | 578.2139 | 8.8 | 519.1766, 460.1392, 387.1553, 328.1182 | trimers |
| 11 | 9.51 | C30H31N3O9 | [M + H]+ | 578.2190 | 578.2139 | 8.8 | 519.1768, 460.1388, 387.1554, 328.1185, 192.0658 | trimers |
| 12 | 9.88 | C30H31N3O9 | [M + H]+ | 578.2198 | 578.2139 | 10.2 | 519.1769, 460.1393, 328.1183, 269.0813, 192.0658 | trimers |
| 13 | 10.12 | C30H31N3O9 | [M + H]+ | 578.2156 | 578.2139 | 2.9 | 537.1866, 460.1377, 328.1179, 150.0554 | trimers |
| 14 | 10.39 | C30H29N3O9 | [M + H]+ | 576.1990 | 576.1982 | 1.4 | 537.1873, 385.1393, 192.0658, 150.0555 | trimers |
| 15 | 10.56 | C30H31N3O9 | [M + H]+ | 578.2171 | 578.2139 | 5.5 | 537.1865, 460.1385, 387.1549, 328.1181, 269.0812, 192.0658, 150.0553 | trimers |
| 16 | 10.87 | C30H29N3O9 | [M + H]+ | 576.1985 | 576.1982 | 0.5 | 537.1872, 385.1393, 192.0658, 150.0553 | trimers |
| 17 | 11.11 | C30H29N3O9 | [M + H]+ | 576.1989 | 576.1982 | 1.2 | 537.1867, 385.1391, 150.0553 | trimers |
| 18 | 11.38 | C40H40N4O12 | [M + H]+ | 769.2741 | 769.2721 | 2.6 | 576.1560, 385.1398, 326.1023, 150.0552 | tetramers |
| 19 | 11.52 | C40H40N4O12 | [M + H]+ | 769.2752 | 769.2721 | 4.0 | 576.1988, 385.1397, 326.1019, 150.0553 | tetramers |
| 20 | 11.79 | C40H40N4O12 | [M + H]+ | 769.2754 | 769.2721 | 4.2 | 576.1988, 385.1398, 150.0552 | tetramers |
| 21 | 11.96 | C40H40N4O12 | [M + H]+ | 769.2766 | 769.2721 | 5.9 | 571.1991, 385.1404, 192.0660 | tetramers |
| 22 | 12.00 | C40H40N4O12 | [M + H]+ | 769.2749 | 769.2721 | 3.6 | 576.1990, 385.1398, 326.1028, 192.0660 | tetramers |
| 23 | 12.30 | C40H40N4O12 | [M + H]+ | 769.2750 | 769.2721 | 3.8 | 576.1986, 385.1400, 326.1024, 150.0553 | tetramers |
| 24 | 12.54 | C40H40N4O12 | [M + H]+ | 769.2751 | 769.2721 | 3.9 | 576.1985, 385.1397, 192.0659 | tetramers |
| 25 | 12.68 | C40H40N4O12 | [M + H]+ | 769.2767 | 769.2721 | 6.0 | 385.1403, 150.0553 | tetramers |
| 26 | 13.09 | C40H40N4O12 | [M + H]+ | 769.2729 | 769.2721 | 1.0 | 576.1979 | tetramers |
| 27 | 13.19 | C40H40N4O12 | [M + H]+ | 769.2730 | 769.2721 | 1.2 | 576.1979, 192.0659 | tetramers |
| 28 | 13.87 | C50H49N5O15 | [M + H]+ | 960.3327 | 960.3303 | 2.5 | 767.2575, 593.1774 | pentamers |
| 29 | 14.25 | C50H49N5O15 | [M + H]+ | 960.3327 | 960.3303 | 2.5 | 767.2575, 578.2131 | pentamers |
| 30 | 14.80 | C50H49N5O15 | [M + H]+ | 960.3325 | 960.3303 | 2.2 | 767.2570, 576.1974, 387.1553 | pentamers |
| Groups | Brain Index | Kidney Index |
|---|---|---|
| CON | 0.60 ± 0.03 | 0.75 ± 0.06 |
| MOD | 0.63 ± 0.03 # | 0.80 ± 0.03 # |
| DIA | 0.66 ± 0.02 * | 0.81 ± 0.06 |
| PC-H | 0.63 ± 0.03 | 0.81 ± 0.02 |
| PC-L | 0.65 ± 0.02 | 0.79 ± 0.05 |
| PC-80 | 0.66 ± 0.01 * | 0.81 ± 0.05 |
| NADA | 0.65 ± 0.02 | 0.88 ± 0.03 * |
Disclaimer/Publisher’s Note: The statements, opinions and data contained in all publications are solely those of the individual author(s) and contributor(s) and not of MDPI and/or the editor(s). MDPI and/or the editor(s) disclaim responsibility for any injury to people or property resulting from any ideas, methods, instructions or products referred to in the content. |
© 2024 by the authors. Licensee MDPI, Basel, Switzerland. This article is an open access article distributed under the terms and conditions of the Creative Commons Attribution (CC BY) license (https://creativecommons.org/licenses/by/4.0/).
Share and Cite
Wang, D.; Wu, T.; Jin, J.; Si, Y.; Wang, Y.; Ding, X.; Guo, T.; Wei, W. Periostracum Cicadae Extract and N-Acetyldopamine Regulate the Sleep-Related Neurotransmitters in PCPA-Induced Insomnia Rats. Molecules 2024, 29, 3638. https://doi.org/10.3390/molecules29153638
Wang D, Wu T, Jin J, Si Y, Wang Y, Ding X, Guo T, Wei W. Periostracum Cicadae Extract and N-Acetyldopamine Regulate the Sleep-Related Neurotransmitters in PCPA-Induced Insomnia Rats. Molecules. 2024; 29(15):3638. https://doi.org/10.3390/molecules29153638
Chicago/Turabian StyleWang, Dongge, Tingjuan Wu, Jinghui Jin, Yanpo Si, Yushi Wang, Xiaojia Ding, Tao Guo, and Wenjun Wei. 2024. "Periostracum Cicadae Extract and N-Acetyldopamine Regulate the Sleep-Related Neurotransmitters in PCPA-Induced Insomnia Rats" Molecules 29, no. 15: 3638. https://doi.org/10.3390/molecules29153638
APA StyleWang, D., Wu, T., Jin, J., Si, Y., Wang, Y., Ding, X., Guo, T., & Wei, W. (2024). Periostracum Cicadae Extract and N-Acetyldopamine Regulate the Sleep-Related Neurotransmitters in PCPA-Induced Insomnia Rats. Molecules, 29(15), 3638. https://doi.org/10.3390/molecules29153638

