Musa sp. Leaves Extract Ameliorates the Hepato-Renal Toxicities Induced by Cadmium in Mice
Abstract
1. Introduction
2. Results
2.1. Phytochemical’s Analysis and Metal Chelating Activity of MLE
2.2. The Median Lethal Dose (LD50) of MLE
2.3. Treatment with MLE Decreased Cd Toxicity on Hematological Parameters
2.4. MLE Treatment Restores the Liver and Kidney Functions and Returns the Antioxidant Enzymes Close to Their Normal Levels
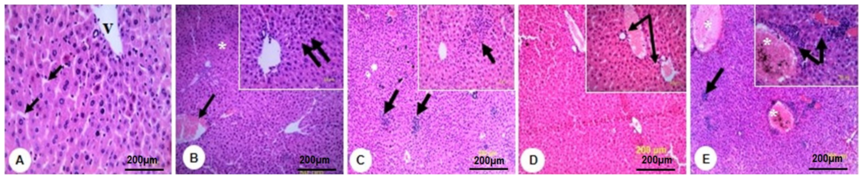
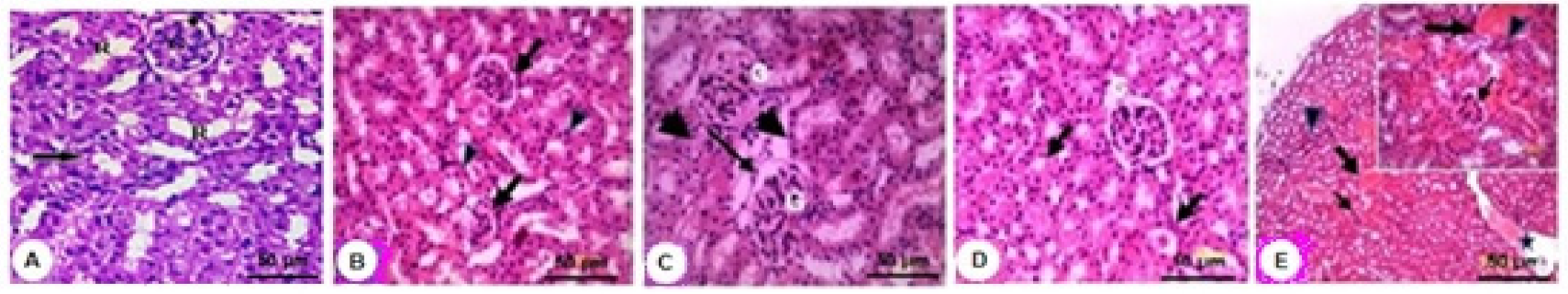
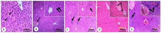
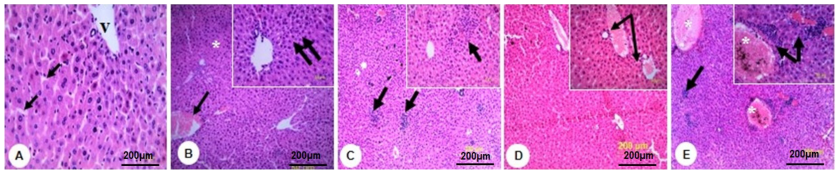
2.5. MLE Ameliorated Cd-Induced Liver and Kidney Tissue Damage
2.6. Molecular Analysis of the Pro-Inflammatory Genes
3. Discussion
4. Materials and Methods
4.1. Materials
4.2. Preparation of MLE
4.3. Phytochemical’s Analysis of MLE
4.4. Gas Chromatography-Mass Spectrometry (GS-MS) Analysis of MLE
4.5. Metal Chelating Activity (MCA) of MLE
4.6. Mice
4.7. The Median Lethal Dose (LD50) of MLE
4.8. Experimental Design
4.9. Hematological and Biochemical Assessments
4.10. Histopathological Investigation
4.11. Gene Expression Analysis
4.12. Statistical Analysis
5. Conclusions
Author Contributions
Funding
Institutional Review Board Statement
Informed Consent Statement
Data Availability Statement
Acknowledgments
Conflicts of Interest
Sample Availability
References
- Tchounwou, P.B.; Yedjou, C.G.; Patlolla, A.K.; Sutton, D.J. Heavy metal toxicity and the environment. Molec. Clinic. Environ. Toxicol. 2012, 101, 133–164. [Google Scholar] [CrossRef]
- Rehman, M.U.; Khan, R.; Khan, A.; Qamar, W.; Arafah, A.; Ahmad, A.; Ahmad, A.; Akhter, R.; Rinklebe, J.; Ahmad, P. Fate of arsenic in living systems: Implications for sustainable and safe food chains. J. Hazard. Mater. 2021, 417, 126050. [Google Scholar] [CrossRef]
- Hubner, R.; Astin, K.B.; Herbert, R.J. Heavy metal-time to move on from semantics to pragmatics. Environ. Monit. 2010, 12, 1511–1514. [Google Scholar] [CrossRef] [PubMed]
- Kim, H.S.; Kim, Y.J.; Seo, Y.R. An overview of carcinogenic heavy metal: Molecular toxicity mechanism and prevention. Cancer Preven. 2015, 20, 232–240. [Google Scholar] [CrossRef]
- Liu, J.; Qu, W.; Kadiiska, M.B. Role of oxidative stress in cadmium toxicity and carcinogenesis. Toxicol. Appl. Pharmacol. 2009, 238, 209–214. [Google Scholar] [CrossRef] [PubMed]
- Shrihari, J.S.; Roy, A.; Prabhakaran, D.; Reddy, K.S. Role of EDTA chelation therapy in cardiovascular diseases. Nation. Medic. J. India. 2006, 19, 24–26. [Google Scholar] [PubMed]
- Mehrandish, R.; Rahimian, A.; Shahriary, A. Heavy metals detoxification: A review of herbal compounds for chelation therapy in heavy metals toxicity. J. Herbmed Pharmacol. 2019, 8, 69–77. [Google Scholar] [CrossRef]
- Amin, I.; Hussain, I.; Rehman, M.U.; Mir, B.A.; Ganaie, S.A.; Ahmad, S.B.; Mir, M.R.; Shanaz, S.; Muzamil, S.; Arafah, A.; et al. Zingerone prevents lead-induced toxicity in liver and kidney tissues by regulating the oxidative damage in Wistar rats. J. Food Biochem. 2021, 45, e13241. [Google Scholar] [CrossRef]
- Koubaa, F.G.; Chaâbane, M.; Turki, M.; Ayadi, F.M.; El Feki, A. Antioxidant and hepatoprotective effects of Salvia officinalis essential oil against vanadium-induced oxidative stress and histological changes in the rat liver. Environ. Sci. Pollut. Res. Int. 2021, 28, 11001–11015. [Google Scholar] [CrossRef]
- Dąbrowska, Z.; Dąbrowska, E.; Onopiuk, B.; Onopiuk, P.; Orywal, K.; Mroczko, B.; Pietruska, M. The protective impact of black chokeberry fruit extract (Aronia melanocarpa L.) on the oxidoreductive system of the parotid gland of rats exposed to cadmium. Oxid. Med. Cell. Longev. 2019, 2019, 3403264. [Google Scholar] [CrossRef]
- Sumita, B.S.; Biswas, M. Acute and sub-chronic toxicity study of Musa paradisiaca leaf extracts in mice. Advan. Pharm. Educ. Res. 2013, 3, 90–103. [Google Scholar]
- Ikpeazu, O.; Elekwa, I.; Ugbogu, A.; Arunsi, U.O.; Uche-Ikonne, C. Preliminary evaluation of anti-ulcer potential of aqueous extract of fermented unripe Musa paradisiaca in Wistar rats. Am. J. Biomed. Res. 2017, 5, 17–23. [Google Scholar] [CrossRef]
- Onasanwo, S.A.; Emikpe, B.O.; Ajah, A.A.; Elufioye, T.O. Anti-ulcer and ulcer healing potentials of Musa sapientum peel extract in the laboratory rodents. Res. J. Pharmacog. 2013, 5, 173–178. [Google Scholar] [CrossRef] [PubMed]
- Kappel, V.D.; Cazarolli, L.H.; Pereira, D.F.; Bárbara, G.; Postal, B.G.; Madoglio, F.A.; Reginatto, F.H.; Silva, R.M.B. Beneficial effects of banana leaves (Musa paradisiaca) on glucose homeostasis: Multiple sites of action. Rev. Bras. Farmacogn. 2013, 23, 706–715. [Google Scholar] [CrossRef]
- Dikshit, P.; Tyagi, M.K.; Shukla, K.; Sharma, S.; Gambhir, J.K.; Shukla, R. Hepatoprotective effect of stem of Musa sapientum Linn in rats intoxicated with carbon tetrachloride. Ann. Hepatol. 2011, 10, 333–339. [Google Scholar] [CrossRef] [PubMed]
- Imam, M.Z.; Akter, S. Musa paradisiaca L. and Musa sapientum L.: A phytochemical and pharmacological review. J. Appl. Pharm. Sci. 2011, 1, 14–20. [Google Scholar]
- Karuppiah, P.; Mustaffa, M. Antibacterial and antioxidant activities of Musa sp. leaf extracts against multidrug resistant clinical pathogens causing nosocomial infection. Asian Pac. J. Trop. Biomed. 2013, 3, 737–742. [Google Scholar] [CrossRef]
- Sarma, P.P.; Gurumayum, N.; Verma, A.K.; Devi, R. A pharmacological perspective of banana: Implications relating to therapeutic benefits and molecular docking. Food Funct. 2021, 12, 4749–4767. [Google Scholar] [CrossRef]
- Prieto-Blanco, M.C.; López-Mahía, P.; Prada-Rodríguez, D. Analysis of residual products in benzyl chloride used for the industrial synthesis of quaternary compounds by liquid chromatography with diode-array detection. J. Chromat. Sci. 2009, 47, 121–126. [Google Scholar] [CrossRef][Green Version]
- Sanad, M.H.; Gehan, M.; Saleh, F.A. Marzook. Radioiodination and biological evaluation of nizatidine as a new highly selective radiotracer for peptic ulcer disorder detection. J. Label. Comp. Radiopharmc. 2017, 60, 600–607. [Google Scholar] [CrossRef] [PubMed]
- Idan, S.A.; Al-Marzoqi, A.H.; Hameed, I.H. Spectral analysis and anti-bacterial activity of methanolic fruit extract of Citrullus colocynthis using gas chromatography-mass spectrometry. Afr. J. Biotechnol. 2015, 14, 3131–3158. [Google Scholar] [CrossRef]
- Lebda, M.A.; Mostafa, R.E.; Taha, N.M.; Abd El-Maksoud, E.M.; Tohamy, H.G.; Al Jaouni, S.K.; El-Far, A.H.; Elfeky, M.S. Commiphora myrrh supplementation protects and cures ethanol-induced oxidative alterations of gastric ulceration in rats. Antioxidants 2021, 10, 1836. [Google Scholar] [CrossRef] [PubMed]
- Ibrahim, N.K. Possible protective effect of kombucha tea ferment on cadmium chloride induced liver and kidney damage in irradiated rats. Int. J. Biol. Sci. 2013, 9, 8–11. [Google Scholar] [CrossRef]
- Horiguchi, H.; Oguma, E.; Kayama, F. Cadmium induces anemia through interdependent progress of hemolysis, body iron accumulation, and insufficient erythropoietin production in rats. Toxicol. Sci. 2011, 122, 198–210. [Google Scholar] [CrossRef] [PubMed]
- Andjelkovic, M.; Buha Djordjevic, A.; Antonijevic, E.; Antonijevic, B.; Stanic, M.; Kotur-Stevuljevic, J.; Spasojevic-Kalimanovska, V.; Jovanovic, M.; Boricic, N.; Wallace, D.; et al. Toxic effect of acute cadmium and lead exposure in rat blood, liver, and kidney. Int. J. Env. Res. Public Health 2019, 16, 274–295. [Google Scholar] [CrossRef] [PubMed]
- Kacar Kocak, M.; Yazihan, N.; Akcil, E.; Bay, M.; Aslan, O. The effect of chronic cadmium toxicity on blood pressure and plasma viscosity. Pathophysiol. Haemos Throm. 2010, 37, 82–87. [Google Scholar] [CrossRef]
- Kataranovski, M.; Mirkov, I.; Belij, S.; Nikolic, M.; Zolotarevski, L.; Ciric, D.; Kataranovski, D. Lungs: Remote inflammatory target of systemic cadmium administration in rats. Environ. Toxicol. Pharmacol. 2009, 28, 225–231. [Google Scholar] [CrossRef]
- Onyenekwe, P.C.; Odeh, C.; Nweze, C.C. Volatile constituents of Ogiri, soybean daddawa and locust bean daddawa three fermented Nigerian food flavour enhancers. Electron. J. Environ. Agricul. Food Chem. 2012, 11, 15–22. [Google Scholar]
- Ramu, R.; Shirahatti, P.S.; Anilakumar, K.R.; Nayakavadi, S.; Zameer, F.; Dhananjaya, B.L.; Nagendra Prasad, M.N. Assessment of nutritional quality and global antioxidant response of banana (Musa sp.CV. nanjangud rasa bale) pseudostem and flower. Pharmacog. Res. 2017, 9, 74–83. [Google Scholar] [CrossRef]
- Abbas, K.; Rizwani, G.H.; Zahid, H.; Qadir, M.I. Evaluation of nephroprotective activity of Musa paradisiaca L. in gentamicin-induced nephrotoxicity. Pak. J. Pharm. Sci. 2017, 30, 881–890. [Google Scholar] [PubMed]
- Alhazzi, I. Cadmium induced hepatotoxicity and oxidative stress in rats: Protection by selenium. Res. J. Environ. Sci. 2008, 2, 305–309. [Google Scholar] [CrossRef][Green Version]
- Adewoye, E.O.; Taiwo, V.O.; Olayioye, F.A. Antioxidant and anti-hyperglycemic activities of Musa sapientum root extracts in alloxan-induced diabetic rats. Afr. J. Med. Med Sci. 2009, 38, 10917. [Google Scholar] [PubMed]
- Panigrahi, P.N.; Dey, S.; Sahoo, M.; Dan, A. Antiurolithiatic and antioxidant efficacy of Musa paradisiaca pseudostem on ethylene glycol-induced nephrolithiasis in rat. Indian J. Pharmacol. 2017, 49, 77–83. [Google Scholar] [CrossRef]
- Adikwu, E.; Deo, O.; Geoffrey, O. Hepatotoxicity of cadmium and roles of mitigating agents. Br. J. Pharmacol. Toxicol. 2013, 4, 222–231. [Google Scholar] [CrossRef]
- Renugadevi, J.; Prabu, S.M. Cadmium-induced hepatotoxicity in rats and the protective effect of naringenin. Experim. Toxicol. Pathol. 2010, 62, 171–181. [Google Scholar] [CrossRef]
- Albasha, M.O.; Azab, S. Effect of cadmium on the liver and amelioration by aqueous extracts of fenugreek seeds, rosemary, and cinnamon in Guinea pigs: Histological and biochemical study. Cell Biol. 2014, 2, 344–350. [Google Scholar] [CrossRef]
- Bertin, G.; Averbeck, D. Cadmium: Cellular effects, modifications of biomolecules, modulation of DNA repair and genotoxic consequences. Biochimie 2006, 88, 1549–1559. [Google Scholar] [CrossRef]
- Almeer, R.S.; AlBasher, G.I.; Alarifi, S.; Alkahtani, S.; Ali, D.; Abdel Moneim, A.E. Royal jelly attenuates cadmium-induced nephrotoxicity in male mice. Sci. Rep. Nat. 2019, 9, 5825. [Google Scholar] [CrossRef] [PubMed]
- Iweala, E.E.; Oludare, F.D. Hypoglycemic effect, biochemical and histological changes of Spondias mombin Linn. and Parinari Polyandra Benth. Seeds ethanolic extracts in alloxan-induced diabetic rats. Pharmacol. Toxicol. 2011, 6, 101–112. [Google Scholar] [CrossRef]
- Verma, P.; Paswan, S.K.; Raj, A.; Nath, V.; Gupta, R.; Verma, S.; Srivastava, S.; Venketshwara Rao, C. Hematological, antioxidant and protective performance of Usnea longissima on chemical induced hepatotoxicity in experimental animals. Coast. Life Med. 2017, 5, 224–232. [Google Scholar] [CrossRef]
- Singleton, V.L.; Orthofer, R.; Lamuela-Raventós, R.M. Analysis of total phenols and other oxidation substrates and antioxidants by means of folin-ciocalteu reagent. Methods Enzymol. 1999, 299, 152–178. [Google Scholar] [CrossRef]
- Zhishen, J.; Mengcheng, T.; Jianming, W. The determination of flavonoid contents in mulberry and their scavenging effects on superoxide radicals. Food Chem. 1999, 64, 555–559. [Google Scholar] [CrossRef]
- Prieto, P.; Pineda, M.; Aguilar, M. Spectrophotometric quantitation of antioxidant capacity through the formation of a phosphomolybdenum complex: Specific application to the determination of vitamin E. Anal. Biochem. 1999, 269, 337–341. [Google Scholar] [CrossRef] [PubMed]
- Blois, M.S. Antioxidant determinations by the use of a stable free radical. Nature 1985, 181, 1199. [Google Scholar] [CrossRef]
- Ebrahimzadeh, H. A revised spectrophotometric method for determination of triterpenoid saponins. Indian Drugs 1998, 35, 379–381. [Google Scholar]
- Ebrahimzadeh, M.A.; Pourmorad, F.; Bekhradnia, A.R. Iron chelating activity, phenol and flavonoid content of some medicinal plants from Iran. Afr. J. Biotechnol. 2008, 7, 3188–3192. [Google Scholar]





| Phytochemical Parameters | MLE |
|---|---|
| Phenolics (mg/mL) | 2.92 |
| Flavonoids (mg/mL) | 1.89 |
| TAC (PMA) (mg/mL) | 0.162 |
| DPPH % | 71 |
| IC50 (mg/mL) | 0.685 |
| Saponin (mg/mL) | 0.297 |
| Anthocyanin (mg/mL) | 0.469 |
| Metal chelating activity (µg/mL) | 75 |
| RT (min.) | Name | M. F. | M. Wt | Peak Area % |
|---|---|---|---|---|
| 3.97 | Benzyl chloride | C7H7Cl | 126 | 6.46 |
| 9.89 | 1-Chlorooctadecane | C18H37Cl | 288 | 0.78 |
| 10.11 | 4-Hydroxy-4-methyl-hex-5-enoic acid tert-butyl ester | C11H20O3 | 200 | 1.10 |
| 11.31 | Decane, 1-chloro- | C10H21Cl | 176 | 0.40 |
| 11.41 | 1-Dodecanol | C12H26O | 186 | 1.37 |
| 11.98 | Nizatidine | C12H21N5O2S2 | 331 | 43.23 |
| 13.75 | Diethyl phthalate | C12H14O4 | 222 | 1.09 |
| 14.05 | 9-Octadecen-1-ol, (Z)- | C18H36O | 268 | 0.45 |
| 15.20 | Cholestan-3-ol, 2-methylene-,(3a,5a)- | C28H48O | 400 | 0.56 |
| 15.27 | 1-Hexadecanol | C16H34O | 242 | 0.73 |
| 15.76 | 1-Tetradecanamine, N,N-dimethyl- | C16H35N | 241 | 19.32 |
| 18.13 | Neophytadiene | C20H38 | 278 | 0.65 |
| 18.86 | 3,7,11,15-Tetramethyl-2-hexadecen-1-ol | C20H40O | 296 | 0.48 |
| 19.61 | Hexadecanoic acid, methyl ester | C17H34O2 | 270 | 0.70 |
| 20.29 | N-Hexadecanoic acid | C16H32O2 | 256 | 1.40 |
| 22.38 | 9-Octadecenoic acid (Z)-, methyl ester | C19H36O2 | 296 | 0.71 |
| 22.57 | 2-Methylenebrexane | C10H14 | 134 | 15.38 |
| 23.03 | Oleic Acid | C18H34O2 | 282 | 1.51 |
| 25.60 | N-Methyl-N-benzyltetradecanamine | C22H39N | 317 | 2.70 |
| 28.65 | Di-n-octyl phthalate | C24H38O4 | 390 | 0.96 |
| Doses | 1st exp. | 2nd exp. | Md | Dd | Md × Dd |
|---|---|---|---|---|---|
| 1 g/kg | 0 | 0 | 0 | 0 | 0 |
| 2 g/kg | 0 | 0 | 0 | 0 | 0 |
| 3 g/kg | 2 | 2 | 2 | 1 | 2 |
| 4 g/kg | 3 | 4 | 3.5 | 1 | 3.5 |
| 5 g/kg | 5 | 4 | 4.5 | 1 | 4.5 |
| Sum. | 10 | ||||
| Groups | RBCs (×106/uL) | Hb (g/dL) | Platelets (×103/uL) | WBCs (×103/uL) | Differential Count | ||
|---|---|---|---|---|---|---|---|
| Neut. (%) | Lym. (%) | Mon. (%) | |||||
| Naïve control | 9.3 ± 0.9 | 11.7 ± 2.8 | 1.168 ± 49 | 8.3 ± 2.0 | 18 ± 1.5 | 80 ± 5.1 | 2.1 ± 0.9 |
| MLE-treated | 9.9 ± 0.8 | 12.8 ± 1.7 | 1.139 ± 42 | 8.1 ± 1.8 | 23 ± 1.8 | 72 ± 4.2 | 3.2 ± 1.0 |
| Cd-treated | 7.4 ± 1.3 ab | 13.9 ± 1.9 ab | 1.774 ± 51 ab | 12.5 ± 1.5 ab | 30 ± 2.8 ab | 40 ± 3.2 ab | 4.4 ± 1.5 ab |
| Cd/MLE-treated | 8.6 ± 1.2 c | 15.0 ± 2.4 c | 1.312 ± 45 c | 8.8 ± 2.3 c | 25 ± 3.8 c | 51 ± 2.7 abc | 3.5 ± 1.9 c |
| Cd/EDTA-treated | 7.9 ± 1.9 | 13.2 ± 2.6 | 1.014 ± 39 c | 9.1 ± 2.7 | 22 ± 3.1 c | 73 ± 2.5 c | 3.9 ± 1.9 c |
| Tissue/Genes | Groups | ||||
|---|---|---|---|---|---|
| Naïve Control | Cd-Treated | Cd/MLE-Treated | Cd/EDTA-Treated | ||
| Liver | TGFβ-1 | 1.04 ± 0.14 | 3.41 ± 0.29 ab | 2.11 ± 0.13 | 2.91 ± 0.15 ab |
| NFκ-β | 1.09 ± 0.15 | 6.32 ± 0.54 ab | 2.65 ± 0.46 ab | 4.79 ± 0.26 ab | |
| COX-1 | 1.05 ± 0.15 | 3.94 ± 0.25 ab | 1.82 ± 0.19 | 2.88 ± 0.24 | |
| Kidney | TGFβ-1 | 1.06 ± 0.16 | 2.67 ± 0.38 | 1.42 ± 0.16 | 2.08 ± 0.22 |
| NFκ-β | 1.08 ± 0.14 | 4.47 ± 0.29 ab | 2.15 ± 0.34 | 3.19 ± 0.16 ab | |
| COX-1 | 1.03 ± 0.16 | 3.75 ± 0.24 ab | 1.65 ± 0.15 | 2.68 ± 0.13 | |
Publisher’s Note: MDPI stays neutral with regard to jurisdictional claims in published maps and institutional affiliations. |
© 2022 by the authors. Licensee MDPI, Basel, Switzerland. This article is an open access article distributed under the terms and conditions of the Creative Commons Attribution (CC BY) license (https://creativecommons.org/licenses/by/4.0/).
Share and Cite
El-Said, K.S.; Hussein, S.; Alrashdi, B.M.; Mahmoud, H.A.; Ibrahim, M.A.; Elbakry, M.; El-Tantawy, H.; Kabil, D.I.; El-Naggar, S.A. Musa sp. Leaves Extract Ameliorates the Hepato-Renal Toxicities Induced by Cadmium in Mice. Molecules 2022, 27, 559. https://doi.org/10.3390/molecules27020559
El-Said KS, Hussein S, Alrashdi BM, Mahmoud HA, Ibrahim MA, Elbakry M, El-Tantawy H, Kabil DI, El-Naggar SA. Musa sp. Leaves Extract Ameliorates the Hepato-Renal Toxicities Induced by Cadmium in Mice. Molecules. 2022; 27(2):559. https://doi.org/10.3390/molecules27020559
Chicago/Turabian StyleEl-Said, Karim Samy, Shaimaa Hussein, Barakat M. Alrashdi, Heba A. Mahmoud, Mahrous A. Ibrahim, Mohamed Elbakry, Hala El-Tantawy, Doaa Ibrahim Kabil, and Sabry A. El-Naggar. 2022. "Musa sp. Leaves Extract Ameliorates the Hepato-Renal Toxicities Induced by Cadmium in Mice" Molecules 27, no. 2: 559. https://doi.org/10.3390/molecules27020559
APA StyleEl-Said, K. S., Hussein, S., Alrashdi, B. M., Mahmoud, H. A., Ibrahim, M. A., Elbakry, M., El-Tantawy, H., Kabil, D. I., & El-Naggar, S. A. (2022). Musa sp. Leaves Extract Ameliorates the Hepato-Renal Toxicities Induced by Cadmium in Mice. Molecules, 27(2), 559. https://doi.org/10.3390/molecules27020559

