Preliminary Structure–Activity Relationship Study of the MMV Pathogen Box Compound MMV675968 (2,4-Diaminoquinazoline) Unveils Novel Inhibitors of Trypanosoma brucei brucei
Abstract
1. Introduction
2. Results
2.1. Identification of Pathogen Box Compounds as Inhibitors of Bloodstream Forms of Trypanosoma brucei brucei
2.2. Preliminary Structure–Activity Relationship (SAR) Study with 23 Analogs of 2,4-Diaminoquinazoline (MMV675968)
2.3. In Silico Exploration of Trypanosomal DHFR and TR Inhibition by Analogs 7 and 10
2.3.1. Accessible Protonation States of the Compounds and Molecular Docking
2.3.2. Ligand Conformational Refinement and Binding Stability Monitoring through Molecular Dynamics Simulations
2.4. Preliminary In Vitro Validation of the DHFR as MMV1578467 and MMV1578445 Target
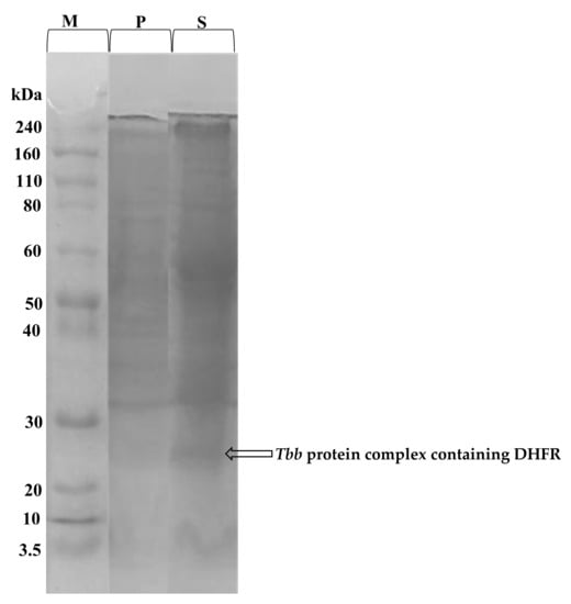
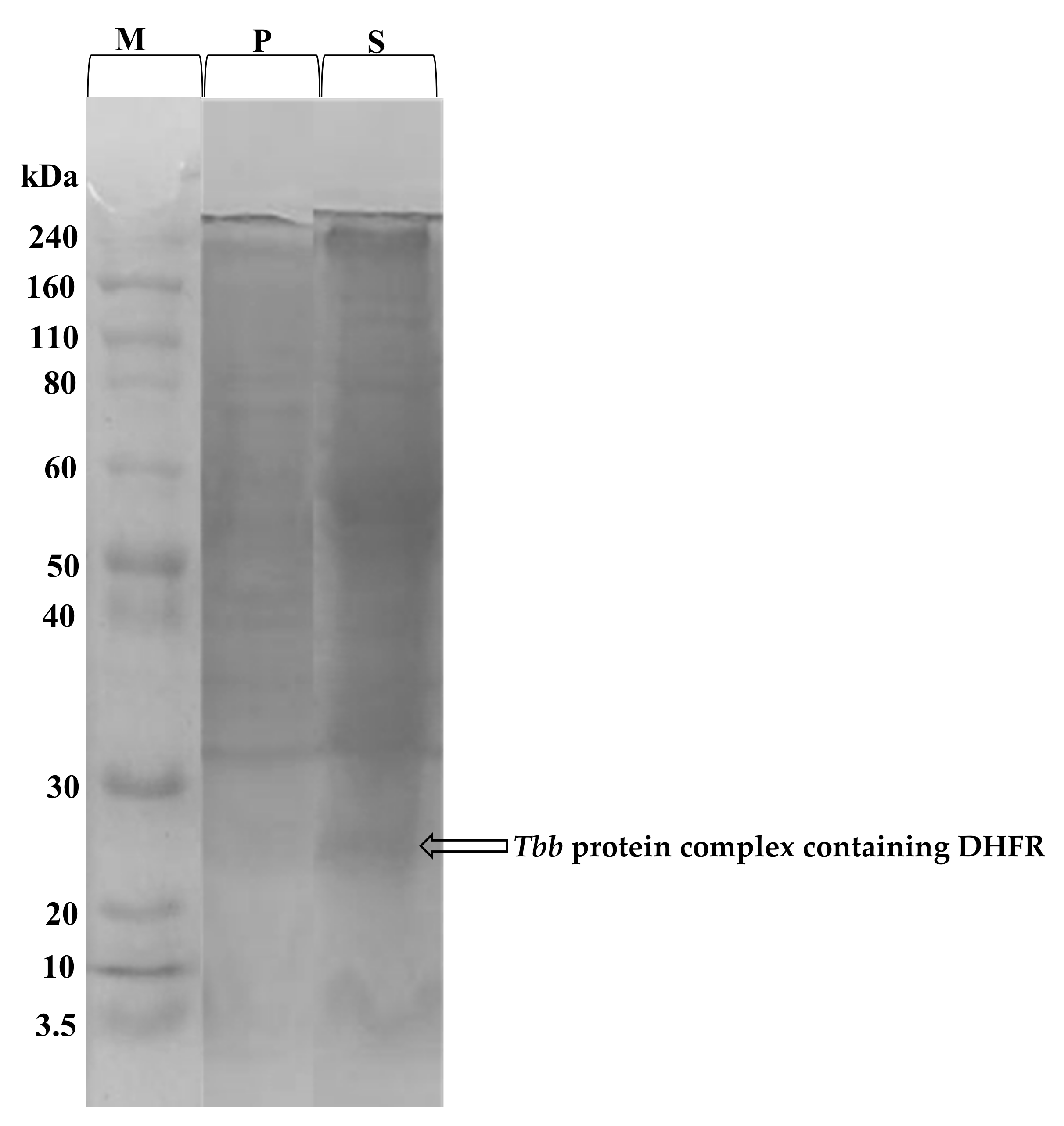
2.4.1. Protein Quantification and Confirmation
2.4.2. Enzyme Activity and Inhibitory Effect of Compounds
2.5. Tentative Elucidation of Other Modes of Action of Analogs 7 and 10 against T. b. brucei
2.5.1. In Vitro Kinetics of T. b. brucei Killing upon Treatment with Analogs 7 and 10
2.5.2. Effect of Compounds 7 and 10 on Plasma Membrane Integrity
2.5.3. Induction of Oxidative Stress in Trypanosomes by Compounds 7 and 10
2.5.4. Compound 10 Induces DNA Fragmentation in Trypanosomes as a Sign of Cell Death
2.5.5. Ferric Ion Reducing Antioxidant Power (FRAP) of Inhibitors
2.6. Prediction of ADMET Properties of Selected Inhibitors
3. Discussion
4. Materials and Methods
4.1. Compounds Handling and Storage
4.2. Antitrypanosomal Screening of the Open Access MMV Pathogen Box
4.2.1. Parasite Growth Conditions
4.2.2. In Vitro Single Point and Concentration–Response Antitrypanosomal Screening
4.3. Determination of the Cytotoxicity of Inhibitors against Vero Cells
4.3.1. Maintenance of Mammalian Cells
4.3.2. Assessment of the Cytotoxic Effect of Compounds
4.4. In Silico Exploration of the DHFR and TR Binding Properties of Analogs 7 and 10
4.4.1. Compound Preparation
4.4.2. Protein Structure Preparation
4.4.3. Molecular Docking
4.4.4. Molecular Dynamics Simulations
4.5. In Vitro Screening of MMV1578467 and MMV1578445 against T. b. b. Crude Protein Extract
4.5.1. Preparation of Crude Trypanosoma brucei brucei Lysates and Protein Quantification
4.5.2. T. b. b. Protein Activity Assay and Primary Screening of Inhibitors
4.5.3. Determination of the IC50 Values of Test Compounds
4.6. Attempts to Elucidate other Antitrypanosomal Modes of Action of Analogs 7 and 10
4.6.1. In Vitro Determination of Parasite-Killing Kinetics of Selected Hit Compounds
4.6.2. Assessment of the Cidal or Static Effect of the Inhibitors
4.6.3. Effect of Compounds 7 and 10 on Trypanosome Plasma Membrane Integrity
4.6.4. Induction of Intracellular Reactive Oxygen Species (ROS) Production by Trypanosomes upon Treatment with Inhibitors
4.6.5. Induction of Cellular DNA Fragmentation upon Trypanosome Treatment with Inhibitors
4.6.6. Determination of the Ferric Ion Reducing Antioxidant Power (FRAP) of Inhibitors
4.7. Prediction of ADMET Properties of the Hits
4.8. Statistical Analysis
5. Conclusions
Supplementary Materials
Author Contributions
Funding
Institutional Review Board Statement
Informed Consent Statement
Data Availability Statement
Acknowledgments
Conflicts of Interest
Sample Availability
Abbreviations
| AAT | African animal trypanosomiasis |
| ADMET | Absorption-Distribution-Metabolism-Excretion-Toxicity |
| BBB | Blood–brain barrier |
| Brdu | 5′-bromo-2′-deoxyuridine |
| CC50 | 50% cytotoxic concentration |
| CNS | Central nervous system |
| DHFR | Dihydrofolate reductase |
| DMEM | Dulbecco’s Modified Eagle’s Medium |
| DMQ | Diaminoquinazoline |
| DMSO | Dimethylsulfoxide |
| DNA | Deoxyribonucleic acid |
| DNDi | Drug for Neglected Disease Initiative |
| DPBS | Dulbecco’s phosphate-buffered saline |
| DTT | Dithiothreitol |
| EDTA | Ethylenediaminetetraacetic acid |
| ELISA | Enzyme-Linked ImmunoSorbent Assay |
| FRAP | Ferric ion reducing antioxidant power |
| H2DCF-DA | 2′,7′–dichlorofluorescein diacetate |
| HAT | Human African trypanosomiasis |
| HBA | Hydrogen bond acceptor |
| HBD | Hydrogen bond donor |
| HIA | Human intestinal absorption |
| HIFBS | Heat inactivated fetal Bovin Serum |
| HMI-9 | Hirumi’s modified Iscove’s medium 9 |
| IC50 | 50% inhibitory concentration |
| IMDM | Iscove’s modified dulbecco’s medium |
| kDa | Kilodalton |
| MD | Molecular dynamic |
| MMV | Medicines for Malaria Venture |
| MMVPB | Medicines for Malaria Venture’s Pathogen Box |
| MTX | Methotrexate |
| MW | Molecular weight |
| NADPH | Nicotinamide adenine dinucleotide phosphate reduced form |
| NTD | Neglected tropical disease |
| Papp | Apparent permeability coefficient |
| PDB | Protein data bank |
| PME | Particle-mesh Ewald |
| pIC50 | Negative log of IC50 when converted in molar |
| PK | Pharmacokinetic |
| POD | Peroxidase |
| PPB | Plasma protein binding |
| P-pg | P-glycoprotein |
| RCSB | Research collaboratory for structural bioinformatics |
| RMSD | Root mean square deviation |
| RMSF | Root mean square fluctuation |
| ROG | Radius of gyration |
| ROS | Reactive oxygen species |
| SAR | Structure–activity relationship |
| SDS-PAGE | Sodium dodecyl sulfate-polyacrylamide gel electrophoresis |
| SG | Sybr-green |
| SI | Selectivity index |
| T. b. brucei | Trypanosoma brucei brucei |
| T. b. rhodesiense | Trypanosoma brucei rhodesiense |
| THF | Tetrahydrofolate |
References
- Steverding, D. The history of African trypanosomiasis. Parasites Vectors 2008, 1, 1–8. [Google Scholar] [CrossRef]
- Barrett, M.P.; Burchmore, R.J.; Stich, A.; Lazzari, J.O.; Frasch, A.C.; Cazzulo, J.J.; Krishna, S. The trypanosomiases. Lancet 2003, 362, 1469–1480. [Google Scholar] [CrossRef]
- World Health Organization. Trypanosomiasis, Human African (Sleeping Sickness). Available online: https://www.who.int/news-room/fact-sheets/detail/trypanosomiasis-human-african-(sleeping-sickness) (accessed on 2 February 2022).
- Giordani, F.; Morrison, L.J.; Rowan, T.G.; De Koning, H.P.; Barrett, M.P. The animal trypanosomiases and their chemotherapy: A review. Parasitology 2016, 143, 1862–1889. [Google Scholar] [CrossRef]
- Food and Agriculture Organization. Programme Against African Trypanosomosis (PAAT): The Disease. Available online: https://www.fao.org/paat/the-programme/the-disease/en/ (accessed on 30 January 2022).
- Fairlamb, A.H. Chemotherapy of human African trypanosomiasis: Current and future prospects. Trends Parasitol. 2003, 19, 488–494. [Google Scholar] [CrossRef]
- Ferreira, L.G.; Andricopulo, A.D. Drug Repositioning Approaches to Parasitic Diseases: A Medicinal Chemistry Perspective; Elsevier: New York, NY, USA, 2016; Volume 21, ISBN 9789241564861. [Google Scholar]
- Medicines for Malaria Venture. MMV Open. Available online: https://www.mmv.org/mmv-open (accessed on 4 July 2019).
- Medicines for Malaria Venture. The Pathogen Box. Available online: https://www.mmv.org/mmv-open/archived-projects/pathogen-box (accessed on 4 July 2019).
- Hennessey, K.M.; Rogiers, I.C.; Shih, H.-W.; Hulverson, M.A.; Choi, R.; McCloskey, M.C.; Whitman, G.R.; Barrett, L.K.; Merritt, E.A.; Paredez, A.R.; et al. Screening of the Pathogen Box for inhibitors with dual efficacy against Giardia lamblia and Cryptosporidium parvum. PLoS Neglected Trop. Dis. 2018, 12, e0006673. [Google Scholar] [CrossRef] [PubMed]
- Preston, S.; Jiao, Y.; Jabbar, A.; McGee, S.L.; Laleu, B.; Willis, P.; Wells, T.N.; Gasser, R.B. Screening of the ‘Pathogen Box’ identifies an approved pesticide with major anthelmintic activity against the barber’s pole worm. Int. J. Parasitol. Drugs Drug Resist. 2016, 6, 329–334. [Google Scholar] [CrossRef] [PubMed]
- Spalenka, J.; Escotte-Binet, S.; Bakiri, A.; Hubert, J.; Renault, J.-H.; Velard, F.; Duchateau, S.; Aubert, D.; Huguenin, A.; Villena, I. Discovery of New Inhibitors of Toxoplasma gondii via the Pathogen Box. Antimicrob. Agents Chemother. 2018, 62, e01640-17. [Google Scholar] [CrossRef] [PubMed]
- Duffy, S.; Sykes, M.L.; Jones, A.J.; Shelper, T.B.; Simpson, M.; Lang, R.; Poulsen, S.-A.; Sleebs, B.E.; Avery, V.M. Screening the Medicines for Malaria Venture Pathogen Box across Multiple Pathogens Reclassifies Starting Points for Open-Source Drug Discovery. Antimicrob. Agents Chemother. 2017, 61, e00379-17. [Google Scholar] [CrossRef]
- Rufener, R.; Dick, L.; D’Ascoli, L.; Ritler, D.; Hizem, A.; Wells, T.N.C.; Hemphill, A.; Lundström-Stadelmann, B. Repurposing of an Old Drug: In Vitro and in Vivo Efficacies of Buparvaquone against Echinococcus Multilocularis. Int. J. Parasitol. Drugs Drug Resist. 2018, 8, 440–450. [Google Scholar] [CrossRef] [PubMed]
- Lipinski, C.A.; Lombardo, F.; Dominy, B.W.; Feeney, P.J. Experimental and Computational Approaches to Estimate Solubility and Permeability in Drug Discovery and Development Settings. Adv. Drug Deliv. Rev. 2012, 64, 4–17. [Google Scholar] [CrossRef]
- Cavalli, A.; Lizzi, F.; Bongarzone, S.; Belluti, F.; Piazzi, L.; Bolognesi, M.L. Complementary Medicinal Chemistry-Driven Strategies toward New Antitrypanosomal and Antileishmanial Lead Drug Candidates. FEMS Immunol. Med. Microbiol. 2010, 58, 51–60. [Google Scholar] [CrossRef]
- Patterson, S.; Alphey, M.S.; Jones, D.C.; Shanks, E.J.; Street, I.P.; Frearson, J.A.; Wyatt, P.G.; Gilbert, I.H.; Fairlamb, A.H. Dihydroquinazolines as a Novel Class of Trypanosoma Brucei Trypanothione Reductase Inhibitors: Discovery, Synthesis, and Characterization of Their Binding Mode by Protein Crystallography. J. Med. Chem. 2011, 54, 6514–6530. [Google Scholar] [CrossRef]
- Spinks, D.; Shanks, E.J.; Cleghorn, L.A.T.; McElroy, S.; Jones, D.; James, D.; Fairlamb, A.H.; Frearson, J.A.; Wyatt, P.G.; Gilbert, I.H. Investigation of Trypanothione Reductase as a Drug Target in Trypanosoma Brucei. ChemMedChem 2009, 4, 2060–2069. [Google Scholar] [CrossRef]
- Sienkiewicz, N.; Jarosławski, S.; Wyllie, S.; Fairlamb, A.H. Chemical and Genetic Validation of Dihydrofolate Reductase-Thymidylate Synthase as a Drug Target in African Trypanosomes. Mol. Microbiol. 2008, 69, 520–533. [Google Scholar] [CrossRef]
- Rosowsky, A.; Mota, C.E.; Wright, J.E.; Queener, S.F. 2,4-Diamino-5-Chloroquinazoline Analogs of Trimetrexate and Piritrexim: Synthesis and Antifolate Activity. J. Med. Chem. 1994, 37, 4522–4528. [Google Scholar] [CrossRef] [PubMed]
- Nelson, R.G. Dicyclic and Tricyclic Diaminopyrimidine Derivatives as Potent Inhibitors of Cryptosporidium Parvum Dihydrofolate Reductase: Structure-Activity and Structure-Selectivity Correlations. Antimicrob. Agents Chemother. 2001, 45, 3293–3303. [Google Scholar] [CrossRef] [PubMed][Green Version]
- Akhter, M. Challenges in Docking: Mini Review. JSM Chem. 2016, 4, 1025. [Google Scholar]
- Ten Brink, T.; Exner, T.E. Influence of Protonation, Tautomeric, and Stereoisomeric States on Protein−Ligand Docking Results. J. Chem. Inf. Model. 2009, 49, 1535–1546. [Google Scholar] [CrossRef]
- Ropp, P.J.; Kaminsky, J.C.; Yablonski, S.; Durrant, J.D. Dimorphite-DL: An Open-Source Program for Enumerating the Ionization States of Drug-like Small Molecules. J. Cheminform. 2019, 11, 1–8. [Google Scholar] [CrossRef] [PubMed]
- Pan, X.; Wang, H.; Li, C.; Zhang, J.Z.H.; Ji, C. MolGpka: A Web Server for Small Molecule PKaPrediction Using a Graph-Convolutional Neural Network. J. Chem. Inf. Model. 2021, 61, 3159–3165. [Google Scholar] [CrossRef] [PubMed]
- Yuvaniyama, J.; Chitnumsub, P.; Kamchonwongpaisan, S.; Vanichtanankul, J.; Sirawaraporn, W.; Taylor, P.; Walkinshaw, M.D.; Yuthavong, Y. Insights into Antifolate Resistance from Malarial DHFR-TS Structures. Nat. Struct. Biol. 2003, 10, 357–365. [Google Scholar] [CrossRef] [PubMed]
- Amusengeri, A.; Tata, R.B.; Bishop, Ö.T. Understanding the Pyrimethamine Drug Resistance Mechanism via Combined Molecular Dynamics and Dynamic Residue Network Analysis. Molecules 2020, 25, 904. [Google Scholar] [CrossRef] [PubMed]
- Tassone, G.; Landi, G.; Linciano, P.; Francesconi, V.; Tonelli, M.; Tagliazucchi, L.; Costi, M.P.; Mangani, S.; Pozzi, C. Evidence of Pyrimethamine and Cycloguanil Analogues as Dual Inhibitors of Trypanosoma Brucei Pteridine Reductase and Dihydrofolate Reductase. Pharmaceuticals 2021, 14, 636. [Google Scholar] [CrossRef] [PubMed]
- Hunter, W.N.; Bailey, S.; Habash, J.; Harrop, S.J.; Helliwell, J.R.; Aboagye-Kwarteng, T.; Smith, K.; Fairlamb, A.H. Active Site of Trypanothione Reductase. A Target for Rational Drug Design. J. Mol. Biol. 1992, 227, 322–333. [Google Scholar] [CrossRef]
- Battista, T.; Colotti, G.; Ilari, A.; Fiorillo, A. Targeting Trypanothione Reductase, a Key Enzyme in the Redox Trypanosomatid Metabolism, to Develop New Drugs against Leishmaniasis and Trypanosomiases. Molecules 2020, 25, 1924. [Google Scholar] [CrossRef]
- Choi, S.B.; Yap, B.K.; Choong, Y.S.; Wahab, H. Molecular Dynamics Simulations in Drug Discovery. Encycl. Bioinforma. Comput. Biol. ABC Bioinforma. 2018, 1–3, 652–665. [Google Scholar] [CrossRef]
- Abdizadeh, H.; Tamer, Y.T.; Acar, O.; Toprak, E.; Atilgan, A.R.; Atilgan, C. Increased Substrate Affinity in the Escherichia Coli L28R Dihydrofolate Reductase Mutant Causes Trimethoprim Resistance. Phys. Chem. Chem. Phys. 2017, 19, 11416–11428. [Google Scholar] [CrossRef]
- Tai, N.; Ding, Y.; Schmitz, J.C.; Chu, E. Identification of Critical Amino Acid Residues on Human Dihydrofolate Reductase Protein That Mediate RNA Recognition. Nucleic Acids Res. 2002, 30, 4481–4488. [Google Scholar] [CrossRef]
- Burton, M.; Abanobi, C.; Wang, K.T.; Ma, Y.; Rasche, M.E. Substrate Specificity Analysis of Dihydrofolate/Dihydromethanopterin Reductase Homologs in Methylotrophic α -Proteobacteria. Front. Microbiol. 2018, 9, 2439. [Google Scholar] [CrossRef]
- Nare, B.; Hardy, L.W.; Beverley, S.M. The Roles of Pteridine Reductase 1 and Dihydrofolate Reductase-Thymidylate Synthase in Pteridine Metabolism in the Protozoan Parasite Leishmania Major. J. Biol. Chem. 1997, 272, 13883–13891. [Google Scholar] [CrossRef]
- Delespaux, V.; de Koning, H.P. Drugs and Drug Resistance in African Trypanosomiasis. Drug Resist. Updat. 2007, 10, 30–50. [Google Scholar] [CrossRef] [PubMed]
- Veale, C.G.L.; Hoppe, H.C. Screening of the Pathogen Box Reveals New Starting Points for Anti-Trypanosomal Drug Discovery. MedChemComm 2018, 9, 2037–2044. [Google Scholar] [CrossRef]
- Brand, S.; Cleghorn, L.A.T.; McElroy, S.P.; Robinson, D.A.; Smith, V.C.; Hallyburton, I.; Harrison, J.R.; Norcross, N.R.; Spinks, D.; Bayliss, T.; et al. Discovery of a Novel Class of Orally Active Trypanocidal N-Myristoyltransferase Inhibitors. J. Med. Chem. 2012, 55, 140–152. [Google Scholar] [CrossRef] [PubMed]
- Price, H.P.; Güther, M.L.S.; Ferguson, M.A.J.; Smith, D.F. Myristoyl-CoA:Protein N-Myristoyltransferase Depletion in Trypanosomes Causes Avirulence and Endocytic Defects. Mol. Biochem. Parasitol. 2010, 169, 55–58. [Google Scholar] [CrossRef]
- Valenciano, A.L.; Ramsey, A.C.; Santos, W.L.; Mackey, Z.B. Discovery and Antiparasitic Activity of AZ960 as a Trypanosoma Brucei ERK8 Inhibitor. Bioorganic Med. Chem. 2016, 24, 4647–4651. [Google Scholar] [CrossRef] [PubMed]
- Palencia, A.; Liu, R.-J.; Lukarska, M.; Gut, J.; Bougdour, A.; Touquet, B.; Wang, E.-D.; Li, X.; Alley, M.R.K.; Freund, Y.R.; et al. Cryptosporidium and Toxoplasma Parasites Are Inhibited by a Benzoxaborole Targeting Leucyl-tRNA Synthetase. Antimicrob. Agents Chemother. 2016, 60, 5817–5827. [Google Scholar] [CrossRef]
- George, T.G.; Endeshaw, M.M.; Morgan, R.E.; Mahasenan, K.V.; Delfín, D.A.; Mukherjee, M.S.; Yakovich, A.J.; Fotie, J.; Li, C.; Werbovetz, K.A. Synthesis, biological evaluation, and molecular modeling of 3,5-substituted-N1-phenyl-N4, N4-di-n-butylsulfanilamides as antikinetoplastid antimicrotubule agents. Bioorganic Med. Chem. 2007, 15, 6071–6079. [Google Scholar] [CrossRef]
- Patra, A.T.; Hingamire, T.; Belekar, M.A.; Xiong, A.; Subramanian, G.; Bozdech, Z.; Preiser, P.; Shanmugam, D.; Chandramohanadasa, R. Whole-Cell Phenotypic Screening of Medicines for Malaria Venture Pathogen Box Identifies Specific Inhibitors of Plasmodium Falciparum Late-Stage Development and Egress. Antimicrob. Agents Chemother. 2020, 64, e01802–e01819. [Google Scholar] [CrossRef]
- Nagle, P.S.; Rodriguez, F.; Nguyen, B.; Wilson, W.D.; Rozas, I. High DNA Affinity of a Series of Peptide Linked Diaromatic Guanidinium-like Derivatives. J. Med. Chem. 2012, 55, 4397–4406. [Google Scholar] [CrossRef]
- Vila, T.; Lopez-Ribot, J.L. Screening the Pathogen Box for Identification of Candida Albicans Biofilm Inhibitors. Antimicrob. Agents Chemother. 2017, 61, e02006–e02016. [Google Scholar] [CrossRef]
- Iwatsuki, M.; Otoguro, K.; Ishiyama, A.; Namatame, M.; Nishihara-Tukashima, A.; Hashida, J.; Nakashima, T.; Masuma, R.; Takahashi, Y.; Yamada, H.; et al. In Vitro Antitrypanosomal Activity of 12 Low-Molecular-Weight Antibiotics and Observations of Structure/Activity Relationships. J. Antibiot. 2010, 63, 619–622. [Google Scholar] [CrossRef][Green Version]
- Gibson, M.W.; Dewar, S.; Ong, H.B.; Sienkiewicz, N.; Fairlamb, A.H. Trypanosoma Brucei DHFR-TS Revisited: Characterisation of a Bifunctional and Highly Unstable Recombinant Dihydrofolate Reductase-Thymidylate Synthase. PLoS Negl. Trop. Dis. 2016, 10, e0004714. [Google Scholar] [CrossRef] [PubMed]
- Wilson, W.; Tanious, F.A.; Mathis, A.; Tevis, D.; Hall, J.E.; Boykin, D.W. Antiparasitic Compounds That Target DNA. Biochimie 2008, 90, 999–1014. [Google Scholar] [CrossRef]
- Singh, G.; Dey, C.S. Induction of Apoptosis-like Cell Death by Pentamidine and Doxorubicin through Differential Inhibition of Topoisomerase II in Arsenite-Resistant L. Donovani. Acta Trop. 2007, 103, 172–185. [Google Scholar] [CrossRef]
- Thomas, J.; Baker, N.; Hutchinson, S.; Dominicus, C.; Trenaman, A.; Glover, L.; Alsford, S.; Horn, D. Insights into Antitrypanosomal Drug Mode-of-Action from Cytology-Based Profiling. PLoS Negl. Trop. Dis. 2018, 12, e0006980. [Google Scholar] [CrossRef]
- Le Trant, N.; Meshnick, S.R.; Kitchener, K.; Eaton, J.W.; Cerami, A. Iron-Containing Superoxide Dismutase from Crithidia Fasciculata. Purification, Characterization, and Similarity to Leishmanial and Trypanosomal Enzymes. J. Biol. Chem. 1983, 258, 125–130. [Google Scholar] [CrossRef]
- Fontecave, M.; Gräslund, A.; Reichard, P. The Function of Superoxide Dismutase during the Enzymatic Formation of the Free Radical of Ribonucleotide Reductase. J. Biol. Chem. 1987, 262, 12332–12336. [Google Scholar] [CrossRef]
- Clarkson, A.B.; Bienen, E.J.; Pollakis, G.; Grady, R.W. Respiration of Bloodstream Forms of the Parasite Trypanosoma Brucei Brucei Is Dependent on a Plant-like Alternative Oxidase. J. Biol. Chem. 1989, 264, 17770–17776. [Google Scholar] [CrossRef]
- Fairlamb, A.H. The Isolation Particulate and Characterisation from Trypanosoma brucei. Int. J. Biochem. 1977, 8, 659–668. [Google Scholar] [CrossRef]
- Ajayi, W.U.; Chaudhuri, M.; Hill, G.C. Site-Directed Mutagenesis Reveals the Essentiality of the Conserved Residues in the Putative Diiron Active Site of the Trypanosome Alternative Oxidase. J. Biol. Chem. 2002, 277, 8187–8193. [Google Scholar] [CrossRef]
- Hofer, A.; Schmidt, P.P.; Gräslund, A.; Thelander, L. Cloning and Characterization of the R1 and R2 Subunits of Ribonucleotide Reductase from Trypanosoma Brucei. Proc. Natl. Acad. Sci. USA 1997, 94, 6959–6964. [Google Scholar] [CrossRef]
- Dormeyer, M.; Schöneck, R.; Dittmar, G.A.G.; Krauth-Siegel, R.L. Cloning, Sequencing and Expression of Ribonucleotide Reductase R2 from Trypanosoma Brucei. FEBS Lett. 1997, 414, 449–453. [Google Scholar] [CrossRef] [PubMed]
- Hirumi, H.; Hirumi, K. Continuous Cultivation of Trypanosoma Brucei Blood Stream Forms in a Medium Containing a Low Concentration of Serum Protein without Feeder Cell Layers. J. Parasitol. 1989, 75, 985–989. [Google Scholar] [CrossRef]
- Bowling, T.; Mercer, L.; Don, R.; Jacobs, R.; Nare, B. Application of a Resazurin-Based High-Throughput Screening Assay for the Identification and Progression of New Treatments for Human African Trypanosomiasis. Int. J. Parasitol. Drugs Drug Resist. 2012, 2, 262–270. [Google Scholar] [CrossRef] [PubMed]
- Singh, A.; Rosenthal, P.J. Comparison of Efficacies of Cysteine Protease Inhibitors against Five Strains of Plasmodium Falciparum. Antimicrob. Agents Chemother. 2001, 45, 949–951. [Google Scholar] [CrossRef]
- Berman, M.H.; Westbrook, J.; Zukang, F.; Gilliland, G.; Bhat, T.N.; Weissig, H.; Shindyalov, L.N.; Bourne, E.P. The Protein Data Bank. Nucleic Acids Res. 2000, 28, 235–242. [Google Scholar] [CrossRef]
- Dassault Systèmes BIOVIA. Available online: https://www.3dsbiovia.com/products/collaborative-science/biovia-discovery-studio/ (accessed on 26 February 2019).
- Tata, R.B.; Alsulami, A.F.; Amamuddy, O.S.; Blundell, T.L.; Bishop, Ö.T. Slipknot or Crystallographic Error: A Computational Analysis of the Plasmodium Falciparum DHFR Structural Folds. Int. J. Mol. Sci. 2022, 23, 1514. [Google Scholar] [CrossRef] [PubMed]
- Morris, G.M.; Huey, R.; Lindstrom, W.; Sanner, M.F.; Belew, R.K.; Goodsell, D.S.; Olson, A.J. Software News and Updates Gabedit—AutoDock4 and AutoDockTools4: Automated Docking with Selective Receptor Flexibility. J. Comput. Chem. 2009, 30, 2785–2791. [Google Scholar] [CrossRef]
- Trott, O.; Olson, A.J. AutoDock Vina: Improving the Speed and Accuracy of Docking with a New Scoring Function, Efficient Optimization, and Multithreading. J. Comput. Chem. 2009, 31, 455–461. [Google Scholar] [CrossRef]
- Schrödinger, L.; DeLano, W. PyMOL. Available online: http://www.pymol.org/pymol (accessed on 5 May 2022).
- Robustelli, P.; Piana, S.; Shaw, D.E. Developing a Molecular Dynamics Force Field for Both Folded and Disordered Protein States. Proc. Natl. Acad. Sci. USA. 2018, 115, E4758–E4766. [Google Scholar] [CrossRef]
- Kutzner, C.; Páll, S.; Fechner, M.; Esztermann, A.; de Groot, B.L.; Grubmüller, H. More Bang for Your Buck: Improved Use of GPU Nodes for GROMACS 2018. J. Comput. Chem. 2019, 40, 2418–2431. [Google Scholar] [CrossRef] [PubMed]
- Paulrobustelli Force-Fields. Available online: https://github.com/paulrobustelli/Force-Fields (accessed on 18 September 2021).
- Da Silva, A.W.S.; Vranken, W.F. ACPYPE - AnteChamber PYthon Parser InterfacE. BMC Res. Notes 2012, 5, 367. [Google Scholar] [CrossRef] [PubMed]
- Parrinello, M.; Rahman, A. Polymorphic Transitions in Single Crystals: A New Molecular Dynamics Method. J. Appl. Phys. 1981, 52, 7182–7190. [Google Scholar] [CrossRef]
- Hess, B.; Bekker, H.; Berendsen, H.J.C.; Fraaije, J.G.E.M. LINCS: A Linear Constraint Solver for Molecular Simulations. J. Comput. Chem. 1997, 18, 1463–1472. [Google Scholar] [CrossRef]
- Essmann, U.; Perera, L.; Berkowitz, M.L.; Darden, T.; Lee, H.; Pedersen, L.G. A Smooth Particle Mesh Ewald Method. J. Chem. Phys. 1995, 103, 8577–8593. [Google Scholar] [CrossRef]
- Bradford, M.M. A Rapid and Sensitive Method for the Quantitation of Microgram Quantities of Protein Utilizing the Principle of Protein-Dye Binding. Anal. Biochem. 1976, 72, 248–254. [Google Scholar] [CrossRef]
- Garfin, D.E. One-Dimensional Gel Electrophoresis. Methods Enzymol. 1990, 182, 425–441. [Google Scholar] [CrossRef]
- Bailey, S.W.; Ayling, J.E. The Extremely Slow and Variable Activity of Dihydrofolate Reductase in Human Liver and Its Implications for High Folic Acid Intake. Proc. Natl. Acad. Sci. 2009, 106, 15424–15429. [Google Scholar] [CrossRef]
- Nnadi, C.O.; Ebiloma, G.U.; Black, J.A.; Nwodo, N.J.; Lemgruber, L.; Schmidt, T.J.; De Koning, H.P. Potent Antitrypanosomal Activities of 3-Aminosteroids against African Trypanosomes: Investigation of Cellular Effects and of Cross-Resistance with Existing Drugs. Molecules 2019, 24, 268. [Google Scholar] [CrossRef]
- Faria, J.; Moraes, C.B.; Song, R.; Pascoalino, B.S.; Lee, N.; Siqueira-Neto, J.L.; Cruz, D.J.M.; Parkinson, T.; Ioset, J.R.; Cordeiro-Da-Silva, A.; et al. Drug Discovery for Human African Trypanosomiasis: Identification of Novel Scaffolds by the Newly Developed HTS SYBR Green Assay for Trypanosoma Brucei. J. Biomol. Screen. 2015, 20, 70–81. [Google Scholar] [CrossRef][Green Version]
- Rea, A.; Tempone, A.G.; Pinto, E.G.; Mesquita, J.T.; Rodrigues, E.; Silva, L.G.M.; Sartorelli, P.; Lago, J.H.G. Soulamarin Isolated from Calophyllum Brasiliense (Clusiaceae) Induces Plasma Membrane Permeabilization of Trypanosoma Cruzi and Mytochondrial Dysfunction. PLoS Negl. Trop. Dis. 2013, 7, e2556. [Google Scholar] [CrossRef] [PubMed]
- Ben Ahmed, Z.; Yousfi, M.; Viaene, J.; Dejaegher, B.; Demeyer, K.; Mangelings, D.; Heyden, Y. Vander Determination of Optimal Extraction Conditions for Phenolic Compounds from: Pistacia Atlantica Leaves Using the Response Surface Methodology. Anal. Methods 2016, 8, 6107–6114. [Google Scholar] [CrossRef]












| MMVPB ID | * IC50 ± SD T. b. b. (µM)/pIC50 | ** CC50 (µM) | SI_Vero Cells | Trivial Name | Target Disease |
|---|---|---|---|---|---|
| MMV637953 | 0.08 ± 0.01/7.09 | >100 | >1128 | Suramine | Trypanosomiasis |
| MMV000062 | 0.002 ± 0.0003/8.7 | NT | NT | Pentamidine | |
| MMV001499 | 0.20 ± 0.09/6.7 | >100 | >539 | Nifurtimox | Chagas disease |
| MMV688773 | 0.30 ± 0.01/6.52 | >100 | >302 | Benznidazole | |
| MMV000063 | 1.50 ± 0.03/5.8 | >100 | >66 | Sitamaquine | Leishmaniasis |
| MMV000016 | 1.60 ± 0.008/5.8 | 11.31 | 6.89 | Mefloquine | Malaria |
| MMV000023 | 8.40 ± 0.01/5.07 | 43.30 ± 0.40 | 5 | Primaquine |
| MMVPB ID | * IC50 ± SD T. b. b. (µM)/pIC50 | ** CC50 Vero | SI | † Chemical Classes | Trivial Name | # Reported IC50 (µM) |
|---|---|---|---|---|---|---|
| MMV688180 | 0.0023 ± 001/8.64 | >100 | >42,826 | Benzenesulfonamide | ˂0.13 | |
| MMV688796 | 0.03 ± 0.01/7.52 | >100 | >3416 | 2,4 substituted furan | 0.1 | |
| MMV676604 | 0.036 ± 0.001/7.44 | 8.30 ± 1.20 | 232 | 2-aminopyramidine | 0.26 | |
| MMV688797 | 0.06 ± 0.02/7.22 | >100 | >1598 | 2-aryl oxazole | 0.13 | |
| MMV652003 | 0.06 ± 0.04/7.22 | >100 | >1557.87 | Benzamide | 0.15 | |
| MMV688958 | 0.087 ± 0.01/7.06 | >100 | >1154 | 2-aryl oxazole | 0.15 | |
| MMV675998 | 0.34 ± 0.03/6.47 | >100 | >296 | Benzenecarboximidamide | 0.25 | |
| MMV688798 | 0.30 ± 0.025/6.52 | NT | NT | Benzamide | 0.555 | |
| MMV688795 | 0.35 ± 0.02/6.45 | >100 | >282 | 2-aryl oxazole | 0.15 | |
| MMV688793 | 0.36 ± 0.04/6.44 | >100 | >255 | 2-pyridyl benzamides | 2.07 | |
| MMV689028 | 0.40 ± 0.02/6.39 | >100 | >248 | benzyl piperazine | 0.14 | |
| MMV676600 | 0.65 ± 0.007/6.18 | >100 | >154 | Benzamide | 1.02 | |
| MMV188296 | 1.01 ± 0.25/5.99 | >100 | >98 | 2-indolinecarboxamide | 0.49 | |
| MMV688271 | 1.07 ± 0.16/5.97 | >100 | >93 | Guanidine | 0.6 | |
| MMV689029 | 1.30 ± 0.60/5.88 | >100 | >76 | benzyl piperazine | 0.5 | |
| MMV688371 | 1.60 ± 0.10/5.79 | 7.5 ± 0.1 | 5 | Benzamide | <0.13 | |
| MMV689061 | 1.90 ± 0.10/5.72 | >100 | >54 | Acetamide | 32.3 | |
| MMV001561 | 1.90 ± 0.05/5.72 | 41.5 ± 1.0 | 22 | Propanamine | fluoxetine | 3.97 |
| MMV687706 | 1.90 ± 0.006/5.72 | 41.0 ± 6.5 | 21 | Piperazine | 0.99 | |
| MMV659004 | 1.90 ± 0.003/5.72 | >100 | >50 | Pyrimidine | 6.6 | |
| MMV689060 | 2.40 ± 0.06/5.61 | NT | NT | Piperazine | 31.6 | |
| MMV690027 | 2.80 ± 0.07/5.55 | >100 | >36 | hexahydrophthalazinones | 0.02 | |
| MMV688467 | 3.10 ± 0.50/5.50 | >100 | >32 | butyl sulfanilamide | 0.3 | |
| MMV688514 | 3.20 ± 0.30/5.49 | 17 ± 2.5 | 5 | Benzenecarboximidamide | 4.06 | |
| MMV688410 | 8.50 ± 0.10/5.07 | NT | - | Acetamide | - | 3.8 |
| MMVPB ID | * IC50 ± SD T. b. b. (µM)/pIC50 | ** CC50 Vero | SI | † Chemical Class |
|---|---|---|---|---|
| MMV687807 | 0.50 ± 0.04/7.30 | 11 ± 1.30 | 23 | Benzamide |
| MMV687248 | 0.50 ± 0.07/7.30 | >100 | >199 | 1H-Benzimidazol-2-amine |
| MMV687138 | 0.50 ± 0.01/7.30 | >100 | >199 | Benzamide |
| MMV495543 | 0.70 ± 0.25/7.15 | NT | NT | Benzamide |
| MMV675996 | 0.80 ± 0.02/7.09 | NT | NT | cyclohexanecarboxamide |
| MMV688763 | 0.80 ± 0.10/7.09 | 8.14 ± 0.01 | 10 | pyridazinone |
| MMV085210 | 0.90 ± 0.10/7.04 | >100 | >107 | Benzenesulfonamide |
| MMV054312 | 1.29 ± 0.42/5.88 | >100 | >77 | pyrroloquinoline |
| MMV667494 | 1.30 ± 0.50/5.88 | >100 | >75 | Quinolone 4-carboxamide |
| MMV024937 | 1.40 ± 0.50/5.85 | 14.63 ± 0.60 | 11 | oxazolecarboxamide |
| MMV010576 | 1.50 ± 0.30/5.82 | >100 | >66 | 2-amino Pyridines |
| MMV687812 | 1.70 ± 0.10/5.76 | 2.66 ± 0.30 | 1.5 | 2-Pyrazinecarboxamide |
| MMV022029 | 1.70 ± 0.70/5.76 | 13.10 ± 0.20 | 8 | biaryl sulfonamide |
| MMV153413 | 1.70 ± 0.10/5.76 | >100 | >57 | tetrasubstituted thiophene |
| MMV687703 | 1.70 ± 0.06/5.76 | >100 | >56 | Benzimidazole |
| MMV062221 | 1.70 ± 0.60/5.76 | NT | NT | phenylpyrazolamine |
| MMV022478 | 1.70 ± 0.01/5.76 | 11.42 ± 0.07 | 6 | pyrazolo (1.5-a)pyrimidine |
| MMV028694 | 1.80 ± 0.10/5.74 | 10.36 ± 0.10 | 6 | 2.4 disubstituted pyrimidine |
| MMV024035 | 1.80 ± 0.10/5.74 | 35.75 ± 0.08 | 19 | Thiophene carboxamide |
| MMV676512 | 1.90 ± 0.07/5.72 | NT | NT | 1H-Imidazole-5-carboxamide |
| MMV661713 | 1.90 ± 0.02/5.72 | >100 | >51 | 4-pyridyl-2-aryl pyrimidine |
| MMV687251 | 1.90 ± 0.01/5.72 | 6.4 ± 2.0 | 3 | pyrimidine |
| MMV020670 | 1.90 ± 0.02/5.72 | NT | NT | 6-naphthyridine-2-carboxamide |
| MMV687765 | 2.30 ± 0.30/5.64 | >100 | >44 | Pyrimidine |
| π MMV675968 | 2.80 ± 0.07/5.55 | >100 | >35.6 | aminoquinazoline |
| MMV688124 | 2.90 ± 0.08/5.53 | >100 | >34 | Benzenesulfonamide |
| MMV688703 | 3.18 ± 1.30/5.49 | NT | NT | Pyridines |
| MMV688417 | 4.38 ± 0.90/5.36 | 13.60 ± 2.90 | 3 | Pyrazolo [3,4-d]pyrimidinamine |
| MMV023969 | 8.09 ± 0.30/5.09 | 26.26 ± 0.40 | 3 | Isoquinoline |
| MMV688761 | 8.33 ± 0.09/5.08 | >100 | Benzamide | |
| MMV688768 | 8.36 ± 0.08/5.07 | >100 | 2,3 disubstituted indole | |
| MMV023233 | 8.43 ± 0.06/5.07 | 29.75 ± 0.70 | 3 | quinolineamine |
| MMV006901 | 8.45 ± 0.05/5.07 | 14.60 ± 0.02 | 1.73 | 2,4-aminoquinoline |
| MMV688854 | 8.50 ± 0.06/5.07 | 13.41 ± 1.50 | 1.57 | pyrazolo pyrimidineamine |
| MMV016136 | 8.61 ± 0.30/5.06 | NT | NT | pyrazolo pyridineamine |
| MMV011511 | 8.94 ± 0.70/5.05 | >100 | >11 | piperidineamine |
| MMV676411 | 9.44 ± 0.09/5.02 | NT | NT | Propanamide |
| MMV024311 | 9.78 ± 0.20/5.00 | NT | NT | 1H-Indole |
| Analog No. | MMV ID | Chemical Structures | IC50 ± SD (µM) T. b. b./pIC50 | CC50 (µM) Vero cells | SI |
|---|---|---|---|---|---|
| 1 | † MMV675968 | ![]() | † 2.60 ± 0.02/5.58 | >100 | † >37.87 |
| 2 | MMV1578527 | ![]() | 2.40 ± 0.07 ns/5.62 | 18.15 ± 3.08 | 7.68 |
| 3 | MMV1578528 | ![]() | 3.20 ± 0.03 ns/5.49 | 20.35 ± 0.70 | 6.41 |
| 4 | MMV1578538 | ![]() | 2.50 ± 0.15 ns/5.60 | 16.93 ± 0.20 | 7.05 |
| 5 | MMV1578539 | ![]() | 2.30 ± 0.20 ns/5.64 | >100 | >43.47 |
| 6 | MMV1578510 | ![]() | 0.56 ± 0.07 */6.25 | >100 | >178.98 |
| 7 | MMV1578467 | ![]() | 0.06 ± 0.008 ***/7.22 | 24.80 ± 0.87 | 412.75 |
| 8 | MMV1578519 | ![]() | 0.25 ± 0.01 ***/6.60 | 30.86 ± 2.30 | 123.44 |
| 9 | MMV1578468 | ![]() | 0.19 ± 0.003 ***/6.72 | 22.03 ± 1.30 | 115.97 |
| 10 | MMV1578445 | ![]() | 0.045 ± 0.005 ***/7.34 | 78.20 ± 0.80 | 1737.44 |
| 11 | MMV1578388 | ![]() | 4.00 ± 1.30 **/5.40 | 22.86 ± 0.50 | 5.60 |
| 12 | MMV1578389 | ![]() | >10 *** | >100 | NA |
| 13 | MMV1578390 | ![]() | 3.20 ± 0.30 ns/5.49 | >100 | >31.25 |
| 14 | MMV1578446 | ![]() | 2.50 ± 0.13 ns/5.60 | >100 | >40 |
| 15 | MMV1578531 | ![]() | >10 *** | >100 | NA |
| 16 | MMV1578540 | ![]() | >10 *** | >100 | NA |
| 17 | MMV1578523 | ![]() | >10 *** | >100 | NA |
| 18 | MMV1578541 | ![]() | >10 *** | >100 | NA |
| 19 | MMV1578470 | ![]() | >10 *** | >100 | NA |
| 20 | MMV1578442 | ![]() | >10 *** | >100 | NA |
| 21 | MMV1578430 | ![]() | >10 *** | >100 | NA |
| 22 | MMV1578487 | ![]() | >10 *** | >100 | NA |
| 23 | MMV1578429 | ![]() | >10 *** | >100 | NA |
| 24 | MMV1578441 | ![]() | >10 *** | >100 | NA |
| Pentamidine | ![]() | 0.0022 ± 0.0045/8.65 | >100 | >45,450 | |
| Podophyllotoxin | ![]() | NA | 0.43 ± 0.14 | NA |
| DHFR | Ring 1 of DMQ | Ring 2 of DMQ | Tail Ring |
|---|---|---|---|
| cmpd_7_unprot | Val32, Asp54, Ile160 | Val33, Ala34, Ile47, NDP | NDP |
| cmpd_7_prot_2 | Val32, Ile160, NDP | Ile47, Phe58 | Pro91, Met55 |
| cmpd_7_prot_4 | Asp54, Ile160 | Phe58 | Pro91, Leu90 |
| cmpd_10_unprot | Asp54, Met55, Ile160, NDP | Phe58, NDP | Ile47, Pro90, Phe94 |
| cmpd_10_prot_2 | Val33, Asp54 | Ile160, Phe58, NDP | Leu90, Pro91 |
| cmpd_10_prot_4 | Val32, Asp54, Ile160 | Phe58, NDP | Ile47, Pro91, Phe94 |
| TR | |||
| cmpd_7_unprot | Arg228 | Gly196 | Arg222, Ile285 |
| cmpd_7_prot_2 | Tyr221, Asn223, Arg228 | Arg222, Ile285 | |
| cmpd_10_unprot | Ala284, Ala286, Ala287 | Ile199, Phe198, FAD | Leu332, Met333, Leu334 |
Publisher’s Note: MDPI stays neutral with regard to jurisdictional claims in published maps and institutional affiliations. |
© 2022 by the authors. Licensee MDPI, Basel, Switzerland. This article is an open access article distributed under the terms and conditions of the Creative Commons Attribution (CC BY) license (https://creativecommons.org/licenses/by/4.0/).
Share and Cite
Dize, D.; Tata, R.B.; Keumoe, R.; Kouipou Toghueo, R.M.; Tchatat, M.B.; Njanpa, C.N.; Tchuenguia, V.C.; Yamthe, L.T.; Fokou, P.V.T.; Laleu, B.; et al. Preliminary Structure–Activity Relationship Study of the MMV Pathogen Box Compound MMV675968 (2,4-Diaminoquinazoline) Unveils Novel Inhibitors of Trypanosoma brucei brucei. Molecules 2022, 27, 6574. https://doi.org/10.3390/molecules27196574
Dize D, Tata RB, Keumoe R, Kouipou Toghueo RM, Tchatat MB, Njanpa CN, Tchuenguia VC, Yamthe LT, Fokou PVT, Laleu B, et al. Preliminary Structure–Activity Relationship Study of the MMV Pathogen Box Compound MMV675968 (2,4-Diaminoquinazoline) Unveils Novel Inhibitors of Trypanosoma brucei brucei. Molecules. 2022; 27(19):6574. https://doi.org/10.3390/molecules27196574
Chicago/Turabian StyleDize, Darline, Rolland Bantar Tata, Rodrigue Keumoe, Rufin Marie Kouipou Toghueo, Mariscal Brice Tchatat, Cyrille Ngansop Njanpa, Vianey Claire Tchuenguia, Lauve Tchokouaha Yamthe, Patrick Valere Tsouh Fokou, Benoît Laleu, and et al. 2022. "Preliminary Structure–Activity Relationship Study of the MMV Pathogen Box Compound MMV675968 (2,4-Diaminoquinazoline) Unveils Novel Inhibitors of Trypanosoma brucei brucei" Molecules 27, no. 19: 6574. https://doi.org/10.3390/molecules27196574
APA StyleDize, D., Tata, R. B., Keumoe, R., Kouipou Toghueo, R. M., Tchatat, M. B., Njanpa, C. N., Tchuenguia, V. C., Yamthe, L. T., Fokou, P. V. T., Laleu, B., Duffy, J., Bishop, O. T., & Boyom, F. F. (2022). Preliminary Structure–Activity Relationship Study of the MMV Pathogen Box Compound MMV675968 (2,4-Diaminoquinazoline) Unveils Novel Inhibitors of Trypanosoma brucei brucei. Molecules, 27(19), 6574. https://doi.org/10.3390/molecules27196574



























