Synthesis and Characterization of a Mg2+-Selective Probe Based on Benzoyl Hydrazine Derivative and Its Application in Cell Imaging
Abstract
1. Introduction
2. Materials and Methods
2.1. Reagents and Instruments
2.2. Synthesis of the Proposed Probe P
2.3. General Spectroscopic Methods
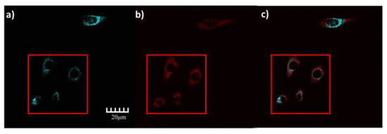
2.4. Cell Imaging
3. Results and Discussion
3.1. pH Effects on P and P-Mg2+ System
3.2. Spectral Study of P and P-Mg2+ System
3.3. Proposed Reaction Mechanism of P with Mg2+
3.4. Preliminary Analytical Application
4. Conclusions
Supplementary Materials
Author Contributions
Funding
Institutional Review Board Statement
Informed Consent Statement
Data Availability Statement
Conflicts of Interest
Sample Availability
References
- Singh, A.; Malhotra, S.; Bimal, D.; Bouchet, L.M.; Wedepohl, S.; Calderón, M.; Prasad, A.K. Synthesis, self-assembly, and biological activities of pyrimidine-based cationic amphiphiles. ACS Omega 2021, 6, 103–112. [Google Scholar] [CrossRef]
- Ritter, J.R.; Caldas, M.J.; da Silva, T.J.; Calzolari, A.; McCluskey, M.D. Surface effects on pyrene luminescence excitation. ACS Appl. Electron. Mater. 2020, 2, 2806–2812. [Google Scholar] [CrossRef]
- Roy, A.; Nandi, M.; Roy, P. Dual chemosensors for metal ions: A comprehensive review. TrAC Trends Anal. Chem. 2021, 138, 116204. [Google Scholar] [CrossRef]
- Sedgwick, A.C.; Wu, L.L.; Han, H.H.; Bull, S.D.; He, X.P.; James, T.D.; Sessler, J.L.; Tang, B.Z.; Tian, H.; Yoon, J. Excited-state intramolecular proton-transfer (ESIPT) based fluorescence sensors and imaging agents. Chem. Soc. Rev. 2018, 47, 8842–8880. [Google Scholar] [CrossRef]
- Alamiry, M.A.H.; Benniston, A.C.; Harriman, A. Effect of pressure on the solubilization of a fluorescent merocyanine dye by a nonionic surfactant. J. Phys. Chem. B 2012, 116, 253–260. [Google Scholar] [CrossRef] [PubMed]
- Yu, C.W.; Cui, S.H.; Wen, S.B.; Jian, L.; Zhang, J. A pH tuning single fluorescent probe based on naphthalene for dual-analytes (Mg2+ and Al3+) and its application in cell imaging. RSC Adv. 2020, 10, 21399–21405. [Google Scholar] [CrossRef]
- Qiao, M.; Cao, Y.; Liu, T.H.; Ding, L.P.; Fang, Y. A dual-chromophore-based cross-reactive fluorescent sensor for efficient discrimination of multiple anionic surfactants. Sens. Actuators B 2021, 331, 129408. [Google Scholar] [CrossRef]
- Algarra, M.; Jiménez-Herrera, C.M.; Esteves da Silva, J.C.G. Recent applications of magnesium chemical sensors in biological samples. Crit. Rev. Anal. Chem. 2015, 45, 32–40. [Google Scholar] [CrossRef]
- O’Rourke, B.; Backx, P.H.; Marban, E. Phosphorylation-independent modulation of L-type calcium channels by magnesium-nucleotide complexes. Science 1992, 257, 245–248. [Google Scholar] [CrossRef]
- Komatsu, H.; Miki, T.; Citterio, D.; Kubota, T.; Shindo, Y.; Kitamura, Y.; Oka, K.; Suzuki, K. Single molecular multianalyte (Ca2+, Mg2+) fluorescent probe and applications to bioimaging. J. Am. Chem. Soc. 2005, 127, 10798–10799. [Google Scholar] [CrossRef] [PubMed]
- Liu, M.; Yu, X.; Li, M.; Liao, N.X.; Bi, A.Y.; Jiang, Y.P.; Liu, S.; Gong, Z.C.; Zeng, W.B. Fluorescent probes for the detection of magnesium ions (Mg2+): From design to application. RSC Adv. 2018, 8, 12573–12587. [Google Scholar] [CrossRef]
- Gharami, S.; Sarkar, D.; Ghosh, P.; Acharyya, S.; Aich, K.; Murmu, N.; Mondal, T.K. Coumarin based azo-phenol ligand as efficient fluorescent “off-on-off” chemosensor for sequential detection of Mg2+ and F−: Application in live cell imaging and as molecular logic gate. Sens. Actuators B 2017, 253, 317–325. [Google Scholar] [CrossRef]
- Lazarou, T.S.; Buccella, D. Advances in imaging of understudied ions in signaling: A focus on magnesium. Curr. Opin. Chem. Biol. 2020, 57, 27–33. [Google Scholar] [CrossRef]
- Zhang, Y.P.; Li, H.; Jiang, D.H.; Pu, S.Z. A highly selective fluorescent chemosensor for Mg2+ based on a diarylethene with a quinoxaline unit. J. Phys. Org. Chem. 2020, 33, e4030. [Google Scholar] [CrossRef]
- Wang, Y.; Wang, Z.G.; Song, X.Q.; Chen, Q.; Tian, H.; Xie, C.Z.; Li, Q.Z.; Xu, J.Y. A dual functional turn-on non-toxic chemosensor for highly selective and sensitive visual detection of Mg2+ and Zn2+: The solvent-controlled recognition effect and bio-imaging application. Analyst 2019, 144, 4024–4032. [Google Scholar] [CrossRef]
- Qin, J.C.; Wang, M.; Fu, Z.H.; Zhang, Z.H. Design and synthesis of a solvent-dependent fluorescent probe for dual selective detection of Mg2+ ion and Zn2+ ion. J. Photoch. Photobio. A 2021, 405, 112965. [Google Scholar] [CrossRef]
- Marimuthu, P.; Ramu, A. A ratiometric fluorescence chemosensor for Mg2+ ion and its live cell imaging. Sens. Actuators B 2018, 266, 384–391. [Google Scholar] [CrossRef]
- Hu, J.H.; Li, J.B.; Sun, Y.; Pei, P.X.; Qi, J. A turn-on fluorescent chemosensor based on acylhydrazone for sensing of Mg2+ with a low detection limit. RSC Adv. 2017, 7, 29697–29701. [Google Scholar] [CrossRef]
- Yu, C.W.; Fu, Q.Y.; Zhang, J. Synthesis and characterization of a Mg2+-selective fluorescent probe. Sensors 2014, 14, 12560–12567. [Google Scholar] [CrossRef] [PubMed]
- Wang, M.; Yuan, Y.L.; Wang, H.M.; Qin, Z.H. A fluorescent and colorimetric probe containing oxime-ether for Pd2+ in pure water and living cells. Analyst 2016, 141, 832–835. [Google Scholar] [CrossRef]
- Alici, O.; Erdemir, S. A cyanobiphenyl containing fluorescence “turn on” sensor for Al3+ ion in CH3CN-water. Sens. Actuators B 2015, 208, 159–163. [Google Scholar] [CrossRef]
- Mukherjee, S.; Mal, P.; Stoeckli-Evans, H. Turn-on and reversible luminescent sensor for selective recognition of Al3+ using naphthol hydrazone. J. Lumin. 2016, 172, 124–130. [Google Scholar] [CrossRef]
- Orrego-Hernandez, J.; Nunez-Dallos, N.; Portilla, J. Recognition of Mg2+ by a new fluorescent “turn-on” chemosensor based on pyridyl-hydrazono-coumarin. Talanta 2016, 152, 432–437. [Google Scholar] [CrossRef] [PubMed]
- Dhara, A.; Guchhait, N.; Mukherjee, I.; Mukherjee, A.; Bhattacharya, S.C. A novel pyrazole based single molecular probe for multi-analyte (Zn2+ and Mg2+) detection in human gastric adenocarcinoma cells. RSC Adv. 2016, 6, 105930–105939. [Google Scholar] [CrossRef]
- Guang, S.Y.; Wei, G.; Yan, Z.Q.; Zhang, Y.H.; Zhao, G.; Wu, R.L.; Xu, H.Y. A novel turn-on fluorescent probe for multi-channel detection of Zn2+ and Bi3+ with different action mechanisms. Analyst 2018, 143, 449–457. [Google Scholar] [CrossRef] [PubMed]
- Huff, S.E.; Mohammed, F.A.; Yang, M.; Agrawal, P.; Pink, J.; Harris, M.E.; Dealwis, C.G.; Viswanathan, R. Structure-guided synthesis and mechanistic studies reveal sweetspots on naphthyl salicyl hydrazone scaffold as non-nucleosidic competitive, reversible inhibitors of human ribonucleotide reductase. J. Med. Chem. 2018, 61, 666–680. [Google Scholar] [CrossRef] [PubMed]
- Benesi, H.A.; Hildebrand, J.H. A Spectrophotometric investigation of the interaction of iodine with aromatic hydrocarbons. J. Am. Chem. Soc. 1949, 71, 2703–2707. [Google Scholar] [CrossRef]
- Han, F.; Bao, Y.; Yang, Z.; Fyles, T.M.; Zhao, J.; Peng, X.; Fan, J.; Wu, Y.; Sun, S. Simple bisthiocarbonohydrazones as sensitive, selective, colorimetric, and switch-on fluorescent chemosensors for fluoride anions. Chem. Eur. J. 2007, 13, 2880–2892. [Google Scholar] [CrossRef]
- Rodríguez-Cáceres, M.I.; Agbaria, R.A.; Warner, I.M. Fluorescence of metal–ligand complexes of mono- and di-substituted naphthalene derivatives. J. Fluoresc. 2005, 15, 185–190. [Google Scholar] [CrossRef]








Publisher’s Note: MDPI stays neutral with regard to jurisdictional claims in published maps and institutional affiliations. |
© 2021 by the authors. Licensee MDPI, Basel, Switzerland. This article is an open access article distributed under the terms and conditions of the Creative Commons Attribution (CC BY) license (https://creativecommons.org/licenses/by/4.0/).
Share and Cite
Yu, C.; Ji, Y.; Wen, S.; Zhang, J. Synthesis and Characterization of a Mg2+-Selective Probe Based on Benzoyl Hydrazine Derivative and Its Application in Cell Imaging. Molecules 2021, 26, 2457. https://doi.org/10.3390/molecules26092457
Yu C, Ji Y, Wen S, Zhang J. Synthesis and Characterization of a Mg2+-Selective Probe Based on Benzoyl Hydrazine Derivative and Its Application in Cell Imaging. Molecules. 2021; 26(9):2457. https://doi.org/10.3390/molecules26092457
Chicago/Turabian StyleYu, Chunwei, Yuxiang Ji, Shaobai Wen, and Jun Zhang. 2021. "Synthesis and Characterization of a Mg2+-Selective Probe Based on Benzoyl Hydrazine Derivative and Its Application in Cell Imaging" Molecules 26, no. 9: 2457. https://doi.org/10.3390/molecules26092457
APA StyleYu, C., Ji, Y., Wen, S., & Zhang, J. (2021). Synthesis and Characterization of a Mg2+-Selective Probe Based on Benzoyl Hydrazine Derivative and Its Application in Cell Imaging. Molecules, 26(9), 2457. https://doi.org/10.3390/molecules26092457
