Influence of Microbial Transglutaminase on Physicochemical and Cross-Linking Characteristics of Individual Caseins
Abstract
1. Introduction
2. Results and Discussion
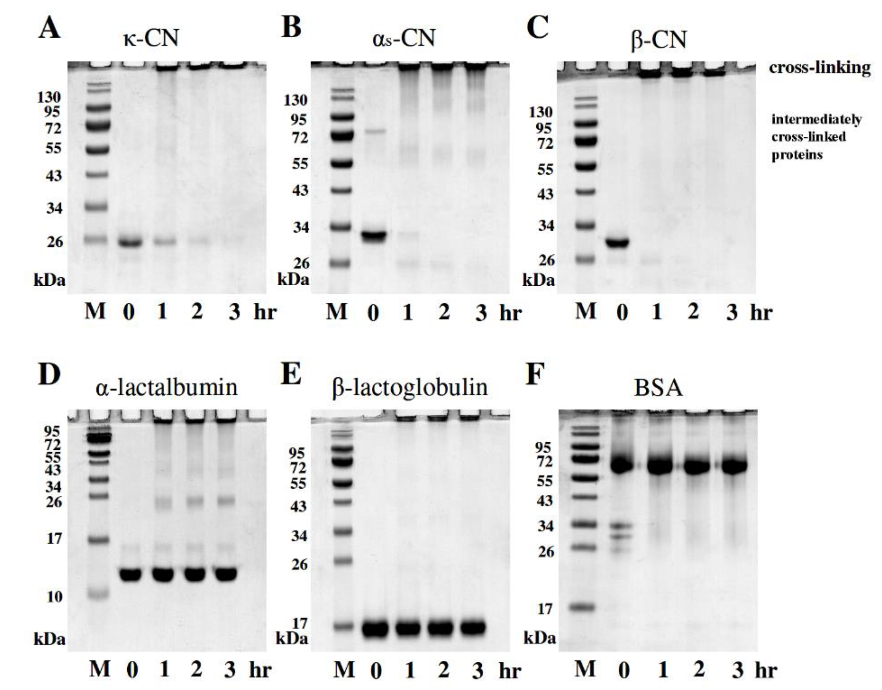
2.1. Electrophoretic Profiles of Individual Milk Proteins Cross-Linked by MTGase
2.2. Cross-Linking Reactions and Enzyme Kinetics and of Individual Caseins by MTGase
2.3. Particle Size Analysis of Individual Caseins Polymerized after MTGase Induction
2.4. Microstructures of the Individual Caseins Treated with MTGase
3. Materials and Methods
3.1. Preparation of Milk Protein Samples
3.2. SDS-PAGE Analysis
3.3. Enzyme Kinetics of MTGase Reacting with Individual Caseins
3.4. Particle Size Analysis of Polymerized Individual Caseins after MTGase Induction
3.5. SEM Analysis
3.6. Statistical Analysis
4. Conclusions
Author Contributions
Funding
Acknowledgments
Conflicts of Interest
References
- Gustavsson, F.; Buitenhuis, A.J.; Johansson, M.; Bertelsen, H.P.; Glantz, M.; Poulsen, N.A.; Mansson, H.L.; Stalhammar, H.; Larsen, L.B.; Bendixen, C.; et al. Effects of breed and casein genetic variants on protein profile in milk from Swedish Red, Danish Holstein, and Danish Jersey cows. J. Dairy Sci. 2014, 97, 3866–3877. [Google Scholar] [CrossRef] [PubMed]
- McDermott, A.; Visentin, G.; De Marchi, M.; Berry, D.P.; Fenelon, M.A.; O’Connor, P.M.; Kenny, O.A.; McParland, S. Prediction of individual milk proteins including free amino acids in bovine milk using mid-infrared spectroscopy and their correlations with milk processing characteristics. J. Dairy Sci. 2016, 99, 3171–3182. [Google Scholar] [CrossRef] [PubMed]
- Buettner, K.; Hertel, T.C.; Pietzsch, M. Increased thermostability of microbial transglutaminase by combination of several hot spots evolved by random and saturation mutagenesis. Amino Acids 2012, 42, 987–996. [Google Scholar] [CrossRef]
- Giosafatto, C.V.L.; Rigby, N.M.; Wellner, N.; Ridout, M.; Husband, F.; Mackie, A.R. Microbial transglutaminase-mediated modification of ovalbumin. Food Hydrocolloid 2012, 26, 261–267. [Google Scholar] [CrossRef]
- Özer, B.; Guyot, C.; Kulozik, U. Simultaneous use of transglutaminase and rennet in milk coagulation: Effect of initial milk pH and renneting temperature. Int. Dairy J. 2012, 24, 1–7. [Google Scholar] [CrossRef]
- Sayadi, A.; Madadlou, A.; Khosrowshahi, A. Enzymatic cross-linking of whey proteins in low fat Iranian white cheese. Int. Dairy J. 2013, 29, 88–92. [Google Scholar] [CrossRef]
- Kieliszek, M.; Misiewicz, A. Microbial transglutaminase and its application in the food industry. A review. Folia Microbiol. (Praha) 2014, 59, 241–250. [Google Scholar] [CrossRef]
- Rossa, P.N.; de Sá, E.M.F.; Burin, V.M.; Bordignon-Luiz, M.T. Optimization of microbial transglutaminase activity in ice cream using response surface methodology. LWT-Food Sci. Technol. 2011, 44, 29–34. [Google Scholar] [CrossRef]
- Agyare, K.K.; Damodaran, S. pH-stability and thermal properties of microbial transglutaminase-treated whey protein isolate. J. Agric. Food Chem. 2010, 58, 1946–1953. [Google Scholar] [CrossRef]
- Moon, J.H.; Hong, Y.H.; Huppertz, T.; Fox, P.F.; Kelly, A.L. Properties of casein micelles cross-linked by transglutaminase. Int. J. Dairy Technol. 2009, 62, 27–32. [Google Scholar] [CrossRef]
- Mirzaei, M. Microbial transglutaminase application in food industry. Int. Conf. Food Eng. Biotechnol. 2011, 9, 267–271. [Google Scholar]
- Monogioudi, E.; Faccio, G.; Lille, M.; Poutanen, K.; Buchert, J.; Mattinen, M.L. Effect of enzymatic cross-linking of β-casein on proteolysis by pepsin. Food Hydrocolloid 2011, 25, 71–81. [Google Scholar] [CrossRef]
- Rahila, M.P.; Kumar, R.; Mann, B.; Koli, P.S. Enzymatic modification of milk proteins for the preparation of low fat dahi. J. Food Process. Preserv. 2016, 40, 1038–1046. [Google Scholar] [CrossRef]
- Hinz, K.; Huppertz, T.; Kelly, A.L. Susceptibility of the individual caseins in reconstituted skim milk to cross-linking by transglutaminase: Influence of temperature, pH and mineral equilibria. J. Dairy Res. 2012, 79, 414–421. [Google Scholar] [CrossRef]
- Smolenski, G.; Haines, S.; Kwan, F.Y.S.; Bond, J.; Farr, V.; Davis, S.R.; Stelwagen, K.; Wheeler, T.T. Characterisation of host defence proteins in milk using a proteomic approach. J. Proteome Res. 2007, 6, 207–215. [Google Scholar] [CrossRef]
- Moatsou, G.; Hatzinaki, A.; Samolada, M.; Anifantakis, E. Major whey proteins in ovine and caprine acid wheys from indigenous greek breeds. Int. Dairy J. 2005, 15, 123–131. [Google Scholar] [CrossRef]
- Zhong, Q.; Wang, W.; Hu, Z.; Ikeda, S. Sequential preheating and transglutaminase pretreatments improve stability of whey protein isolate at pH 7.0 during thermal sterilization. Food Hydrocolloid 2013, 31, 306–316. [Google Scholar] [CrossRef]
- Hsieh, J.F.; Pan, P.H. Proteomic profiling of the coagulation of milk proteins induced by chymosin. J. Agric. Food Chem. 2012, 60, 2039–2045. [Google Scholar] [CrossRef]
- Jovanović, S.; Barać, M.; Maćej, O. Whey proteins-properties and possibility of application. Mljekarstvo 2005, 55, 215–233. [Google Scholar]
- Tang, C.H.; Ma, C.Y. Modulation of the thermal stability of β-lactoglobulin by transglutaminase treatment. Eur. Food Res. Technol. 2007, 225, 649–652. [Google Scholar] [CrossRef]
- Smiddy, M.A.; Martin, J.E.; Kelly, A.L.; de Kruif, C.G.; Huppertz, T. Stability of casein micelles cross-linked by transglutaminase. Int. Dairy J. 2006, 89, 1906–1914. [Google Scholar] [CrossRef]
- Farrell, H.M., Jr.; Jimenez-Flores, R.; Bleck, G.T.; Brown, E.M.; Butler, J.E.; Creamer, L.K.; Hicks, C.L.; Hollar, C.M.; Ng-Kwai-Hang, K.F.; Swaisgood, H.E. Nomenclature of the proteins of cows’ milk-sixth revision. J. Dairy Sci. 2004, 87, 1641–1674. [Google Scholar] [CrossRef]
- Horne, D.S.; Dalgleish, D.G. A photon correlation spectroscopy study of size distributions of casein micelle suspensions. Eur. Biophys. J. 1985, 11, 249–258. [Google Scholar] [CrossRef]
- Marchin, S.; Putaux, J.L.; Pignon, F.; Léonil, J. Effects of the environmental factors on the casein micelle structure studied by cryo transmission electron microscopy and small-angle x-ray scattering/ultrasmall-angle x-ray scattering. J. Chem. Phys. 2007, 126, 045101. [Google Scholar] [CrossRef] [PubMed]
- Jiang, S.J.; Zhao, X.H. Transglutaminase-induced cross-linking and glucosamine conjugation of casein and some functional properties of the modified product. Int. Dairy J. 2011, 21, 198–205. [Google Scholar] [CrossRef]
- Zhao, L.; Zhang, S.; Uluko, H.; Liu, L.; Lu, J.; Xue, H.; Kong, F.; Lv, J. Effect of ultrasound pretreatment on rennet-induced coagulation properties of goat’s milk. Food Chem. 2014, 165, 167–174. [Google Scholar] [CrossRef]
- Feng, X.L.; Liu, H.Z.; Shi, A.M.; Liu, L.; Wang, Q.; Adhikari, B. Effects of transglutaminase catalyzed crosslinking on physicochemical characteristics of arachin and conarachin-rich peanut protein fractions. Food Res. Int. 2014, 62, 84–90. [Google Scholar] [CrossRef]
- Qin, X.S.; Luo, S.Z.; Cai, J.; Zhong, X.Y.; Jiang, S.T.; Zhao, Y.Y.; Zheng, Z. Transglutaminase-induced gelation properties of soy protein isolate and wheat gluten mixtures with high intensity ultrasonic pretreatment. Ultrason. Sonochem. 2016, 31, 590–597. [Google Scholar] [CrossRef]
- Hsiao, Y.H.; Hsia, S.Y.; Chan, Y.H.; Hsieh, J.F. Complex coacervation of soy proteins, isoflavones and chitosan. Molecules 2017, 22, 1022. [Google Scholar] [CrossRef]
- Menéndez, O.; Schwarzenbolz, U.; Partschefeld, C.; Henle, T. Affinity of microbial transglutaminase to αs1-, β-, and acid casein under atmospheric and high pressure conditions. J. Agric. Food Chem. 2009, 57, 4177–4184. [Google Scholar] [CrossRef]
Sample Availability: Samples of the compounds are not available. |







| Casein Proteins | Molecular Weight (Da) | Glutamine/Lysine Residue |
|---|---|---|
| κ-CN | 19,037 | 12/9 |
| αS-CN | 25,226 | 25/14 |
| β-CN | 24,023 | 19/11 |
| Parameter | κ-CN | αS-CN | β-CN |
|---|---|---|---|
| Vmax (M/sec) | 2.73 × 10−8 | 1.01 × 10−7 | 2.52 × 10−6 |
| KM (M) | 3.04 × 10−6 | 2.37 × 10−4 | 8.90 × 10−3 |
| kcat (1/s) | 5.17 × 10−4 | 1.92 × 10−3 | 4.76 × 10−2 |
© 2020 by the authors. Licensee MDPI, Basel, Switzerland. This article is an open access article distributed under the terms and conditions of the Creative Commons Attribution (CC BY) license (http://creativecommons.org/licenses/by/4.0/).
Share and Cite
Chen, C.-C.; Chen, L.-Y.; Chan, D.-S.; Chen, B.-Y.; Tseng, H.-W.; Hsieh, J.-F. Influence of Microbial Transglutaminase on Physicochemical and Cross-Linking Characteristics of Individual Caseins. Molecules 2020, 25, 3992. https://doi.org/10.3390/molecules25173992
Chen C-C, Chen L-Y, Chan D-S, Chen B-Y, Tseng H-W, Hsieh J-F. Influence of Microbial Transglutaminase on Physicochemical and Cross-Linking Characteristics of Individual Caseins. Molecules. 2020; 25(17):3992. https://doi.org/10.3390/molecules25173992
Chicago/Turabian StyleChen, Chun-Chi, Liang-Yu Chen, Der-Sheng Chan, Bang-Yuan Chen, Hsien-Wei Tseng, and Jung-Feng Hsieh. 2020. "Influence of Microbial Transglutaminase on Physicochemical and Cross-Linking Characteristics of Individual Caseins" Molecules 25, no. 17: 3992. https://doi.org/10.3390/molecules25173992
APA StyleChen, C.-C., Chen, L.-Y., Chan, D.-S., Chen, B.-Y., Tseng, H.-W., & Hsieh, J.-F. (2020). Influence of Microbial Transglutaminase on Physicochemical and Cross-Linking Characteristics of Individual Caseins. Molecules, 25(17), 3992. https://doi.org/10.3390/molecules25173992

