Optimization of Protein Extraction Method for 2DE Proteomics of Goat’s Milk
Abstract
1. Introduction
2. Results
2.1. Protein Concentration Determination of Milk Extracts from Different Extraction Methods
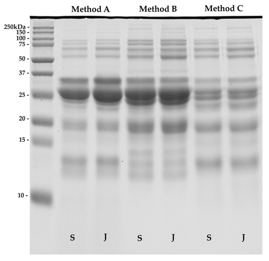
2.2. Evaluation of SDS-PAGE Band Profiles of Saanen and Jamnapari Goat’s Milk Protein Extracts from Different Extraction Methods
2.3. Comparison of the Protein Profiles between Different Goat’s Milk Extracts, Using 2DE Gels
2.4. Protein Identification Via MALDI-TOF/TOF MS/MS
3. Discussion
4. Materials and Methods
4.1. Sample Preparation
4.2. Protein Extraction
4.2.1. Method A (Urea/Thiourea)
4.2.2. Method B (Methanol/Chloroform)
4.2.3. Method C (Sodium Sulfite)
4.3. Protein Quantification using Bradford Assay
4.4. One-Dimensional Polyacrylamide Gel Electrophoresis
4.5. D Polyacrylamide Gel Electrophoresis
4.6. Image Acquisition and Statistical Analysis
4.7. In Gel Protein Digestion
4.8. Protein Identification by MALDI-TOF/TOF Mass Spectrometry
5. Conclusions
Author Contributions
Funding
Acknowledgments
Conflicts of Interest
References
- Mousan, G.; Kamat, D. Cow’s Milk Protein Allergy. Clin. Pediatr. (Phila). 2016, 55, 1054–1063. [Google Scholar] [CrossRef]
- Skripak, J.M.; Matsui, E.C.; Mudd, K.; Wood, R.A. The Natural History of IgE-Mediated Cow’s Milk Allergy. J. Allergy Clin. Immunol. 2007, 120, 1172–1177. [Google Scholar] [CrossRef]
- Monaci, L.; Tregoat, V.; Van Hengel, A.J.; Anklam, E. Milk Allergens, Their Characteristics and Their Detection in Food: A Review. Eur. Food Res. Technol. 2006, 223, 149–179. [Google Scholar] [CrossRef]
- Restani, P.; Gaiaschi, A.; Plebani, A.; Beretta, B.; Cavagni, G.; Ugazio, A.G.; Galli, C.L.; Fiocchi, A.; Poiesi, C.; Velona, T. Cross-Reactivity between Milk Proteins from Different Animal Species. Clin. Exp. Allergy 1999, 29, 997–1004. [Google Scholar] [CrossRef]
- Park, Y.W. Hypo-Allergenic and Therapeutic Significance of Goat Milk. Small Rumin. Res. 1994, 14, 151–159. [Google Scholar] [CrossRef]
- Clark, S.; Mora García, M.B. A 100-Year Review: Advances in Goat Milk Research. J. Dairy Sci. 2017, 100, 10026–10044. [Google Scholar] [CrossRef]
- Soares, M.A.M.; Rodrigues, M.T.; Mognol, G.P.; Ribeiro, L.D.C.; Silva, J.L.D.C.; Brancalhão, R.M.C. Polymorphism of Alpha S1 -Casein Gene in a Dairy Goat Herd in the Southeastern Region of Brazil. Rev. Bras. Zootec. 2009, 38, 1026–1032. [Google Scholar] [CrossRef]
- Prinzenberg, E.; Gutscher, K.; Chessa, S.; Caroli, A.; Erhardt, G. Caprine κ -Casein (CSN3) Polymorphism: New Developments in Molecular Knowledge. J. Dairy Sci. 2005, 88, 1490–1498. [Google Scholar] [CrossRef]
- Umpiérrez, A.; Quirce, S.; Marañón, F.; Cuesta, J.; García-Villamuza, Y.; Lahoz, C.; Sastre, J. Allergy to Goat and Sheep Cheese with Good Tolerance to Cow Cheese. Clin. Exp. Allergy 1999, 29, 1064–1068. [Google Scholar] [CrossRef]
- Viñas, M.; Carnés, J.; López-Matas, M.A.; Hernández, N.; Castillo, M.J.; Ibero, M. Allergy to Goat and Sheep Cheese with Tolerance to Cow’s Milk and Its Derivatives. Allergol. Immunopathol. (Madr). 2014, 42, 186–190. [Google Scholar] [CrossRef]
- Le, T.T.; Deeth, H.C.; Larsen, L.B. Proteomics of Major Bovine Milk Proteins: Novel Insights. Int. Dairy J. 2017, 67, 2–15. [Google Scholar] [CrossRef]
- Caroli, A.M.; Chessa, S.; Erhardt, G.J. Invited Review: Milk Protein Polymorphisms in Cattle: Effect on Animal Breeding and Human Nutrition. J. Dairy Sci. 2009, 92, 5335–5352. [Google Scholar] [CrossRef] [PubMed]
- Galvani, M.; Hamdan, M.; Righetti, P.G. Two-Dimensional Gel Electrophoresis/Matrix-Assisted Laser Desorption/Ionisation Mass Spectrometry of Commercial Bovine Milk. Rapid Commun. Mass Spectrom. 2001, 2, 258–264. [Google Scholar] [CrossRef]
- Holland, J.W.; Deeth, H.C.; Alewood, P.F. Proteomic Analysis of K-Casein Micro-Heterogeneity. Proteomics 2004, 4, 743–752. [Google Scholar] [CrossRef] [PubMed]
- Wang, X.; Zhao, X.; Huang, D.; Pan, X.; Qi, Y.; Yang, Y.; Zhao, H.; Cheng, G. Proteomic Analysis and Cross Species Comparison of Casein Fractions from the Milk of Dairy Animals. Sci. Rep. 2017, 7, 43020. [Google Scholar] [CrossRef] [PubMed]
- Magdeldin, S.; Enany, S.; Yoshida, Y.; Xu, B.; Zhang, Y.; Zureena, Z.; Lokamani, I.; Yaoita, E.; Yamamoto, T. Basics and Recent Advances of Two Dimensional-Polyacrylamide Gel Electrophoresis. Clin. Proteom. 2014, 11, 1–10. [Google Scholar] [CrossRef]
- Di Girolamo, F.; Muraca, M.; Mazzina, O.; Lante, I.; Dahdah, L. Proteomic Applications in Food Allergy: Food Allergenomics. Curr. Opin. Allergy Clin. Immunol. 2015, 15, 259–266. [Google Scholar] [CrossRef]
- Raak, N.; Abbate, R.A.; Lederer, A.; Rohm, H.; Jaros, D. Size Separation Techniques for the Characterisation of Cross-Linked Casein: A Review of Methods and Their Applications. Separations 2018, 5. [Google Scholar] [CrossRef]
- Satoh, R.; Nakamura, R.; Komatsu, A.; Oshima, M.; Teshima, R. Proteomic Analysis of Known and Candidate Rice Allergens between Non-Transgenic and Transgenic Plants. Regul. Toxicol. Pharmacol. 2011, 59, 437–444. [Google Scholar] [CrossRef]
- Pallen, C.; Friry-santini, C.; Herouet-guicheney, C. Technical Variability of 2D Gel Electrophoresis—Application to Soybean Allergens. Toxicol. Rep. 2014, 1, 734–742. [Google Scholar] [CrossRef]
- Orrui, S.; Nicola, P.D.I.; Giulianp, F.; Fabris, C.; Contil, A.; Coscia, A.; Bertin, E. Detection of Bovine Alpha-S1-Casein in Term and Preterm Human Colostrum with Proteomic Techniques. Int. J. Immunopathol. Pharmacol. 2013, 26, 435–444. [Google Scholar] [CrossRef]
- Deracinois, B.; Flahaut, C.; Duban-Deweer, S.; Karamanos, Y. Comparative and Quantitative Global Proteomics Approaches: An Overview. Proteomes 2013, 1, 180–218. [Google Scholar] [CrossRef]
- Rabilloud, T.; Lelong, C. Two-Dimensional Gel Electrophoresis in Proteomics: A Tutorial ☆. J. Proteom. 2011, 74, 1829–1841. [Google Scholar] [CrossRef]
- Feist, P.; Hummon, A.B. Proteomic Challenges: Sample Preparation Techniques for Microgram-Quantity Protein Analysis from Biological Samples. Int. J. Mol. Sci. 2015, 15, 3537–3563. [Google Scholar] [CrossRef]
- Ngoka, L.C.M. Sample Prep for Proteomics of Breast Cancer: Proteomics and Gene Ontology Reveal Dramatic Differences in Protein Solubilization Preferences of Radioimmunoprecipitation Assay and Urea Lysis Buffers. Proteome Sci. 2008, 6. [Google Scholar] [CrossRef]
- da Costa, W.K.A.; de Souza, E.L.; Beltrao-Filho, E.M.; Vasconcelos, G.K.V.; Santi-Gadelha, T.; de Almeida Gadelha, C.A.; Franco, O.L.; do Egypto, R.D.C.R.; Magnani, M. Comparative Protein Composition Analysis of Goat Milk Produced by the Alpine and Saanen Breeds in Northeastern Brazil and Related Antibacterial Activities. PLoS ONE 2014, 9, e93361. [Google Scholar] [CrossRef]
- Chen, D.; Li, X.; Zhao, X.; Qin, Y.; Wang, J.; Wang, C. Comparative Proteomics of Goat Milk during Heated Processing. Food Chem. 2019, 275, 504–514. [Google Scholar] [CrossRef]
- Park, Y.; Ju´arez, M.; Ramos, M.; Haenlein, G.F.W. Physico-Chemical Characteristics of Goat and Sheep Milk. Small Rumin. Res. 2007, 68, 88–113. [Google Scholar] [CrossRef]
- Vincent, D.; Ezernieks, V.; Elkins, A.; Nguyen, N.; Moate, P.J.; Cocks, B.G.; Rochfort, S. Milk Bottom-up Proteomics: Method Optimization. Front. Genet. 2016, 6, 360. [Google Scholar] [CrossRef]
- Boehmer, J.L.; Bannerman, D.D.; Shefcheck, K.; Ward, J.L. Proteomic Analysis of Differentially Expressed Proteins in Bovine Milk During Experimentally Induced Escherichia coli Mastitis. J. Dairy Sci. 2008, 91, 4206–4218. [Google Scholar] [CrossRef]
- Yang, Y.; Anderson, E.; Zhang, S. Evaluation of Six Sample Preparation Procedures for Qualitative and Quantitative Proteomics Analysis of Milk Fat Globule Membrane. Electrophoresis 2018, 39, 2332–2339. [Google Scholar] [CrossRef]
- Department of Veterinary Services Malaysia Web Site. Available online: http://www.dvs.gov.my/dvs/resources/user_1/DVS%20pdf/Livestock_Breeding_Policy.pdf (accesssed on 25 April 2020).
- Jaafar, S.H.S.; Hashim, R.; Hassan, Z.; Arifin, N. A Comparative Study on Physicochemical Characteristics of Raw Goat Milk Collected from Different Farms in Malaysia. Trop. Life Sci. Res. 2018, 29, 195–212. [Google Scholar] [CrossRef]
- Mohsin, A.Z.; Sukor, R.; Selamat, J.; Meor, A.S. Chemical and Mineral Composition of Raw Goat Milk as Affected by Breed Varieties Available in Malaysia. Int. J. Food Prop. 2019, 22, 815–824. [Google Scholar] [CrossRef]
- Salleh, N.A.; Selamat, J.; Meng, G.Y.; Abas, F.; Jambari, N.; Khatib, A. Fourier Transform Infrared Spectroscopy and Multivariate Analysis of Milk from Different Goat Breeds. Int. J. Food Prop. 2019, 22, 1673–1683. [Google Scholar] [CrossRef]
- Di Gerlando, R.; Tolone, M.; Sutera, A.M.; Monteleone, G.; Portolano, B.; Sardina, M.T.; Mastrangelo, S. Variation of Proteomic Profile during Lactation in Girgentana Goat Milk: A Preliminary Study. Ital. J. Anim. Sci. 2019, 18, 88–97. [Google Scholar] [CrossRef]
- Kumar, A. Identification of Milk Protein Polymorphism in Indian Goats by 2D Gel Electrophoresis. J. Proteom. Bioinform. 2013, 6, 1–4. [Google Scholar] [CrossRef]
- Roncada, P.; Gaviraghi, A.; Liberatori, S.; Canas, B.; Bini, L.; Greppi, G.F. Identification of Caseins in Goat Milk. Proteomics 2002, 2, 723–726. [Google Scholar] [CrossRef]
- Zagorchev, L.; Dimitrova, M.; Odjakova, M.; Teofanova, D.; Hristov, P. Electrophoretic Characterization of Milk Proteins from Bulgarian Rhodopean Cattle. Bulg. J. Agric. Sci. 2013, 19 (Suppl. 2), 197–200. [Google Scholar]
- D’Auria, E.; Agostoni, C.; Giovannini, M.; Riva, E.; Zetterström, R.; Fortin, R.; Greppi, G.F.; Bonizzi, L.; Roncada, P. Proteomic Evaluation of Milk from Different Mammalian Species as a Substitute for Breast Milk. Acta Paediatr. Int. J. Paediatr. 2005, 94, 1708–1713. [Google Scholar] [CrossRef]
- Ha, M.; Bekhit, A.E.D.; McConnell, M.; Mason, S.; Carne, A. Fractionation of Whey Proteins from Red Deer (Cervus elaphus) Milk and Comparison with Whey Proteins from Cow, Sheep and Goat Milks. Small Rumin. Res. 2014, 120, 125–134. [Google Scholar] [CrossRef]
- Reinhardt, T.A.; Sacco, R.E.; Nonnecke, B.J.; Lippolis, J.D. Bovine Milk Proteome: Quantitative Changes in Normal Milk Exosomes, Milk Fat Globule Membranes and Whey Proteomes Resulting from Staphylococcus aureus Mastitis. J. Proteom. 2013, 82, 141–154. [Google Scholar] [CrossRef] [PubMed]
- Le, A.; Barton, L.D.; Sanders, J.T.; Zhang, Q. Exploration of Bovine Milk Proteome in Colostral and Mature Whey Using an Ion-Exchange Approach. J. Proteome Res. 2011, 10, 692–704. [Google Scholar] [CrossRef] [PubMed]
- Senda, A.; Fukuda, K.; Ishii, T.; Urashima, T. Changes in the Bovine Whey Proteome during the Early Lactation Period. Anim. Sci. J. 2011, 82, 698–706. [Google Scholar] [CrossRef]
- Nissen, A.; Bendixen, E.; Ingvartsen, K.L.; Røntved, C.M. In-Depth Analysis of Low Abundant Proteins in Bovine Colostrum Using Different Fractionation Techniques. Proteomics 2012, 12, 2866–2878. [Google Scholar] [CrossRef] [PubMed]
- Yang, Y.X.; Wang, J.Q.; Yuan, T.J.; Bu, D.P.; Yang, J.H.; Sun, P.; Zhou, L.Y. Effects of Duodenal Infusion of Free α-Linolenic Acid on the Plasma and Milk Proteome of Lactating Dairy Cows. Animal 2013, 7, 293–299. [Google Scholar] [CrossRef] [PubMed]
- Takeya, K.; Kaneko, T.; Miyazu, M.; Takai, A. Addition of Urea and Thiourea to Electrophoresis Sample Buffer Improves Efficiency of Protein Extraction from TCA/Acetone-Treated Smooth Muscle Tissues for Phos-Tag SDS-PAGE. Electrophoresis 2018, 39, 326–333. [Google Scholar] [CrossRef] [PubMed]
- Reed, P.W.; Densmore, A.; Bloch, R.J. Optimization of Large Gel 2D Electrophoresis for Proteomic Studies of Skeletal Muscle. Electrophoresis 2012, 33, 1263–1270. [Google Scholar] [CrossRef]
- Castellanos-Serra, L.; Paz-Lago, D. Inhibition of Unwanted Proteolysis during Sample Preparation: Evaluation of Its Efficiency in Challenge Experiments. Electrophoresis 2002, 23, 1745–1753. [Google Scholar] [CrossRef]
- Chinnasamy, G.; Rampitsch, C. Efficient Solubilization Buffers for Two-Dimensional Gel Electrophoresis of Acidic and Basic Proteins Extracted from Wheat Seeds. Biochim. Biophys. Acta-Proteins Proteom. 2006, 1764, 641–644. [Google Scholar] [CrossRef]
- Al-Obaidi, J.R.; Saidi, B.; Rokhiyah, S.; Hussin, I.; Yusoff, N.; Idris, A.S. Comparison of Different Protein Extraction Methods for Gel-Based Proteomic Analysis of Ganoderma spp. Protein J. 2016, 35, 100–106. [Google Scholar] [CrossRef]
- Rabilloud, T. Protein Solubility in Two-Dimensional Electrophoresis. In The Protein Protocols Handbook; Walker, J.M., Ed.; Humana Press: Totowa, NJ, USA, 2009; pp. 73–84. [Google Scholar] [CrossRef]
- Taylor, A.G.; Savage, C. Fatty Acid Composition of New Zealand Green-Lipped Mussels, Perna canaliculus: Implications for Harvesting for n-3 Extracts. Aquaculture 2006, 261, 430–439. [Google Scholar] [CrossRef]
- Jafari, M.; Mehrnejad, F.; Rahimi, F.; Asghari, S.M. The Molecular Basis of the Sodium Dodecyl Sulfate Effect on Human Ubiquitin Structure: A Molecular Dynamics Simulation Study. Sci. Rep. 2018, 8, 1–15. [Google Scholar] [CrossRef]
- Rabilloud, T. Membrane Proteins and Proteomics: Love Is Possible, but so Difficult. Electrophoresis 2009, 30 (Suppl. 1), 174–180. [Google Scholar] [CrossRef]
- Ito, K.; Yamamoto, T.; Oyama, Y.; Tsuruma, R.; Saito, E.; Saito, Y.; Ozu, T.; Honjoh, T.; Adachi, R.; Sakai, S.; et al. Food Allergen Analysis for Processed Food Using a Novel Extraction Method to Eliminate Harmful Reagents for Both ELISA and Lateral-Flow Tests. Anal. Bioanal. Chem. 2016, 408, 5973–5984. [Google Scholar] [CrossRef]
- Schmid, M.; Prinz, T.K.; Stäbler, A.; Sängerlaub, S. Effect of Sodium Sulfite, Sodium Sodecyl Sulfate, and Urea on the Molecular Interactions and Properties of Whey Protein Isolate-Based Films. Front. Chem. 2017, 4, 1–15. [Google Scholar] [CrossRef]
- Colembergue, J.P.; Souza, M.M.; Prentice, C. Influence of Process Conditions Used to Obtain Protein Isolates from Chicken Feather Meal. Int. Food Res. J. 2019, 26, 1351–1357. [Google Scholar]
- Pfeuti, G.; Osborne, V.; Shoveller, A.K.; Ignatz, E.H.; Bureau, D.P. Development of a Novel Enzymatic Pretreatment for Improving the Digestibility of Protein in Feather Meal. AgriEngineering 2019, 1, 475–484. [Google Scholar] [CrossRef]
- Anagnostopoulos, A.K.; Katsafadou, A.I.; Pierros, V.; Kontopodis, E.; Fthenakis, G.C.; Arsenos, G.; Karkabounas, S.C.; Tzora, A.; Skoufos, I.; Tsangaris, G.T. Milk of Greek Sheep and Goat Breeds; Characterization by Means of Proteomics. J. Proteom. 2016, 147, 76–84. [Google Scholar] [CrossRef]
- Wu, H.C.; Chen, T.N.; Kao, S.H.; Shui, H.A.; Chen, W.J.; Lin, H.J.; Chen, H.M. Isoelectric Focusing Management: An Investigation for Salt Interference and an Algorithm for Optimization. J. Proteome Res. 2010, 9, 5542–5556. [Google Scholar] [CrossRef]
- Kumar, M.; Singh, R.; Meena, A.; Patidar, B.S.; Prasad, R.; Chhabra, S.K.; Bansal, S.K. An Improved 2-Dimensional Gel Electrophoresis Method for Resolving Human Erythrocyte Membrane Proteins. Proteom. Insights 2017, 8, 1–7. [Google Scholar] [CrossRef]
- Laemmli, U.K. Cleavage of Structural Proteins during the Assembly of the Head of Bacteriophage T4. Nat. Publ. Gr. 1970, 228, 726–734. [Google Scholar] [CrossRef] [PubMed]
Sample Availability: Samples of the compounds are not available from the authors. |







| Extraction Method | Protein Concentration (mg/mL) | |
|---|---|---|
| Saanen | Jamnapari | |
| Method A (Urea/Thiourea) | 120.54 ± 22.26 | 134.62 ± 18.76 |
| Method B (Methanol/Chloroform) | 94.29 ± 13.87 | 98.52 ± 3.15 |
| Method C (Sulfite) | 75.99 ± 6.95 | 92.88 ± 8.74 |
| Extraction Method | Number of Spots | |
|---|---|---|
| Saanen | Jamnapari | |
| Method A | 199 ± 16.1 | 267 ± 10.6 |
| Method B | 192 ± 9.8 | 219 ± 13.6 |
| Method C | 192 ± 10.6 | 204 ± 26.5 |
| Spot | Protein | Taxonomy | Accession no. | Score | Nominal Mass | Calculated pI | Matches | Coverage/% | Peptide Sequence | Function |
|---|---|---|---|---|---|---|---|---|---|---|
| 289S | Serum albumin | Ovis aries | P14639 | 232 | 71,139 | 5.8 | 5 | 11 | R.RHPYFYAPELLYYANK.Y K.DVFLGSFLYEYSR.R R.RHPEYAVSVLLR.L K.HGEYGFQNALIVR.Y R.MPCTEDYLSLILNR.L | Regulator of the blood osmotic pressure and major zinc transporter in plasma |
| 843S | Beta-casein | Capra hircus | P33048 | 74 | 24,906 | 5.26 | 2 | 8 | R.DMPIQAFLLYQEPVLGPVR.G R.DMPIQAFLLYQEPVLGPVR.G | Determinant of the casein micelles surface properties |
| 915S | Beta-casein | Capra hircus | P33048 | 79 | 24,906 | 5.26 | 3 | 17 | K.YPVEPFTESQSLTLTDVEK.L R.DMPIQAFLLYQEPVLGPVR.G R.DMPIQAFLLYQEPVLGPVR.G | Determinant of the casein micelles surface properties |
| 1115S | Beta-lactoglobulin | Capra hircus | P02756 | 68 | 20,362 | 5.5 | 3 | 27 | K.VAGTWYSLAMAASDISLLDAQSAPLR.V K.VAGTWYSLAMAASDISLLDAQSAPLR.V K.YLLFCMENSAEPEQSLACQCLVR.T | Major component of whey, probably involved in the transport of retinol |
| 1281S | Beta-casein | Capra hircus | P33048 | 83 | 24,906 | 5.26 | 1 | 8 | R.DMPIQAFLLYQEPVLGPVR.G | Determinant of the casein micelles surface properties |
| 1475S | Serum albumin | Ovis aries | P14639 | 95 | 71,139 | 5.8 | 3 | 7 | R.RHPYFYAPELLYYANK.Y K.DVFLGSFLYEYSR.R R.MPCTEDYLSLILNR.L | Regulator of the blood osmotic pressure and major zinc transporter in plasma |
| 289J | Serum albumin | Ovis aries | P14639 | 204 | 71,139 | 5.8 | 4 | 9 | R.RHPYFYAPELLYYANK.Y K.DVFLGSFLYEYSR.R K.HGEYGFQNALIVR.Y R.MPCTEDYLSLILNR.L | Regulator of the blood osmotic pressure and major zinc transporter in plasma |
| 552J | Actin, cytoplasmic 1 | Bos taurus | P60712 | 67 | 42,052 | 5.29 | 2 | 7 | K.IWHHTFYNELR.V K.SYELPDGQVITIGNER.F | Highly conserved proteins that are involved in different types of cell motility and are abundantly expressed in eukaryotic cells. |
| 843J | Beta-casein | Capra hircus | P33048 | 64 | 24,906 | 5.26 | 2 | 8 | R.DMPIQAFLLYQEPVLGPVR.G R.DMPIQAFLLYQEPVLGPVR.G | Determinant of the casein micelles surface properties |
| 915J | Beta-casein | Capra hircus | P33048 | 68 | 24,906 | 5.26 | 2 | 8 | R.DMPIQAFLLYQEPVLGPVR.G R.DMPIQAFLLYQEPVLGPVR.G | Determinant of the casein micelles surface properties |
| 1115J | Beta-lactoglobulin | Capra hircus | P02756 | 77 | 20,362 | 5.5 | 2 | 14 | K.VAGTWYSLAMAASDISLLDAQSAPLR.V K.VAGTWYSLAMAASDISLLDAQSAPLR.V | Major component of whey, probably involved in the transport of retinol |
| 1281J | Beta-casein | Capra hircus | P33048 | 45 | 24,906 | 5.26 | 1 | 8 | R.DMPIQAFLLYQEPVLGPVR.G | Determinant of the casein micelles surface properties |
© 2020 by the authors. Licensee MDPI, Basel, Switzerland. This article is an open access article distributed under the terms and conditions of the Creative Commons Attribution (CC BY) license (http://creativecommons.org/licenses/by/4.0/).
Share and Cite
Mansor, M.; Al-Obaidi, J.R.; Jaafar, N.N.; Ismail, I.H.; Zakaria, A.F.; Abidin, M.A.Z.; Selamat, J.; Radu, S.; Jambari, N.N. Optimization of Protein Extraction Method for 2DE Proteomics of Goat’s Milk. Molecules 2020, 25, 2625. https://doi.org/10.3390/molecules25112625
Mansor M, Al-Obaidi JR, Jaafar NN, Ismail IH, Zakaria AF, Abidin MAZ, Selamat J, Radu S, Jambari NN. Optimization of Protein Extraction Method for 2DE Proteomics of Goat’s Milk. Molecules. 2020; 25(11):2625. https://doi.org/10.3390/molecules25112625
Chicago/Turabian StyleMansor, Muzammeer, Jameel R. Al-Obaidi, Nurain Nadiah Jaafar, Intan Hakimah Ismail, Atiqah Farah Zakaria, Mohd Azri Zainal Abidin, Jinap Selamat, Son Radu, and Nuzul Noorahya Jambari. 2020. "Optimization of Protein Extraction Method for 2DE Proteomics of Goat’s Milk" Molecules 25, no. 11: 2625. https://doi.org/10.3390/molecules25112625
APA StyleMansor, M., Al-Obaidi, J. R., Jaafar, N. N., Ismail, I. H., Zakaria, A. F., Abidin, M. A. Z., Selamat, J., Radu, S., & Jambari, N. N. (2020). Optimization of Protein Extraction Method for 2DE Proteomics of Goat’s Milk. Molecules, 25(11), 2625. https://doi.org/10.3390/molecules25112625

