Sign in to use this feature.

Years

Between: -

Subjects

remove_circle_outline
remove_circle_outline
remove_circle_outline
remove_circle_outline

Journals

Article Types

Countries / Regions

Search Results (34)

Search Parameters:
Keywords = tumor reactive stroma

Order results
Result details
Results per page
Select all
Export citation of selected articles as:
18 pages, 10431 KB  
Article
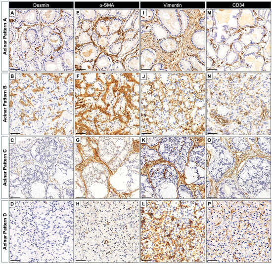
Immunohistochemical Evidence of Telocytic Stroma Associated with Tumor Grade and Acinar Heterogeneity in Prostate Cancer
by Eduardo P. Júnior, Mário F. R. Lima, Lúcia P. F. Castro, Pablo V. N. Ramos, Juan C. M. Onofre, Rafaela S. Souza, Vivian Resende, Clémence Belleannée, Gabriel Campolina-Silva and Marcelo Mamede
Int. J. Mol. Sci. 2026, 27(3), 1537; https://doi.org/10.3390/ijms27031537 - 4 Feb 2026
Abstract
Prostate cancer (PCa) progression involves dynamic interactions between neoplastic cells and the reactive stroma (RS). Although myofibroblasts are established components of the RS, the role of other stromal populations, such as telocytes, remains poorly understood. This study investigated the presence and distribution of [...] Read more.
Prostate cancer (PCa) progression involves dynamic interactions between neoplastic cells and the reactive stroma (RS). Although myofibroblasts are established components of the RS, the role of other stromal populations, such as telocytes, remains poorly understood. This study investigated the presence and distribution of a telocytic stromal phenotype (CD34+/Vimentin+) in PCa across different histological grades and acinar patterns. We used digital image analysis and standardized immunohistochemistry to assess biopsy samples from 120 patients with confirmed PCa. The telocytic phenotype showed a heterogeneous distribution and was significantly enriched in high-grade tumors and specific acinar architectures, particularly Patterns B and D. In contrast, well-differentiated regions exhibited lower telocyte density, resembling non-neoplastic prostate tissue. Although the myofibroblastic phenotype (α-SMA+/Vimentin+/CD34) also increased overall with tumor grade and varied across acinar patterns, this association was comparatively weaker and less statistically robust than that observed for telocytes. These results suggest that stromal remodeling encompasses a spectrum of cellular phenotypes influenced by local architectural constraints. It is proposed that telocytes serve as key mediators of tissue organization and biomechanical signaling, contributing to a feedback loop that promotes tumor progression. Combining acinar architecture with stromal phenotyping provides a refined framework for understanding epithelial–stromal co-evolution in PCa. Full article
Show Figures

Figure 1

29 pages, 2046 KB  
Review
Neutrophil Spatiotemporal Regulatory Networks: Dual Roles in Tumor Growth Regulation and Metastasis
by Pengcheng Li, Feimu Fan, Bixiang Zhang, Chaoyi Yuan and Huifang Liang
Biomedicines 2025, 13(6), 1473; https://doi.org/10.3390/biomedicines13061473 - 14 Jun 2025
Cited by 5 | Viewed by 2454 | Correction
Abstract
Neutrophils, accounting for 50–70% of circulating leukocytes, exhibit remarkable plasticity in tumor biology. Depending on tumor type and microenvironmental cues, they can exert either anti-tumor or pro-tumor effects. During tumor initiation, neutrophils exposed to chronic inflammation secrete cytokines and oncogenic microRNAs that promote [...] Read more.
Neutrophils, accounting for 50–70% of circulating leukocytes, exhibit remarkable plasticity in tumor biology. Depending on tumor type and microenvironmental cues, they can exert either anti-tumor or pro-tumor effects. During tumor initiation, neutrophils exposed to chronic inflammation secrete cytokines and oncogenic microRNAs that promote genomic instability and malignant transformation. In tumor progression, neutrophils adopt context-dependent phenotypes and execute diverse functions, including polarization into anti-tumor (N1) or pro-tumor (N2) subsets; secretion of inflammatory and angiogenic mediators; formation of neutrophil extracellular traps (NETs); production of reactive oxygen and nitrogen species (e.g., H2O2 and nitric oxide); and modulation of immune cell infiltration and function within the tumor microenvironment. During metastasis, neutrophils facilitate cancer dissemination through three principal mechanisms: (1) promoting epithelial–mesenchymal transition (EMT) via inflammatory signaling, adhesion molecule interactions, and lipid metabolic support; (2) establishing pre-metastatic niches by remodeling distant organ stroma through NETs and matrix metalloproteinases; and (3) reactivating dormant tumor cells in response to chronic inflammation, viral infection, or stress hormones. Collectively, neutrophils function as central regulators across all stages of tumor evolution, influencing cancer growth, immune evasion, and metastatic progression. This review aims to provide a comprehensive synthesis of neutrophil-mediated mechanisms in the tumor microenvironment and highlight emerging strategies for neutrophil-targeted cancer therapy. Full article
(This article belongs to the Section Cancer Biology and Oncology)
Show Figures

Figure 1

15 pages, 2899 KB  
Article
ECM Stiffness-Induced Redox Signaling Enhances Stearoyl Gemcitabine Efficacy in Pancreatic Cancer
by Shuqing Zhao, Edward Agyare, Xueyou Zhu, Jose Trevino, Sherise Rogers, Enrique Velazquez-Villarreal, Jason Brant, Payam Eliahoo, Jonathan Barajas, Ba Xuan Hoang and Bo Han
Cancers 2025, 17(5), 870; https://doi.org/10.3390/cancers17050870 - 3 Mar 2025
Cited by 2 | Viewed by 2302
Abstract
Background: Pancreatic ductal adenocarcinoma (PDAC) remains one of the most lethal malignancies, largely due to its dense fibrotic stroma that promotes drug resistance and tumor progression. While patient-derived organoids (PDOs) have emerged as promising tools for modeling PDAC and evaluating therapeutic responses, the [...] Read more.
Background: Pancreatic ductal adenocarcinoma (PDAC) remains one of the most lethal malignancies, largely due to its dense fibrotic stroma that promotes drug resistance and tumor progression. While patient-derived organoids (PDOs) have emerged as promising tools for modeling PDAC and evaluating therapeutic responses, the current PDO models grown in soft matrices fail to replicate the tumor’s stiff extracellular matrix (ECM), limiting their predictive value for advanced disease. Methods: We developed a biomimetic model using gelatin-based matrices of varying stiffness, achieved through modulated transglutaminase crosslinking rates, to better simulate the desmoplastic PDAC microenvironment. Using this platform, we investigated organoid morphology, proliferation, and chemoresistance to gemcitabine (Gem) and its lipophilic derivative, 4-N-stearoyl gemcitabine (Gem-S). Mechanistic studies focused on the interplay between ECM stiffness, hypoxia-inducible factor (HIF) expression, and the nuclear factor erythroid 2-related factor 2 (Nrf2) pathway in drug resistance. Results: PDAC organoids in stiffer matrices demonstrated enhanced stemness features, including rounded morphology and elevated cancer stem cell (CSC) marker expression. Matrix stiffness-induced gemcitabine resistance correlated with the upregulation of ABC transporters and oxidative stress adaptive responses. While gemcitabine activated Nrf2 expression, promoting oxidative stress mitigation, Gem-S suppressed Nrf2 levels and induced oxidative stress, leading to increased reactive oxygen species (ROS) and enhanced cell death. Both compounds reduced HIF expression, with gemcitabine showing greater efficacy. Conclusions: Our study reveals ECM stiffness as a critical mediator of PDAC chemoresistance through the promotion of stemness and modulation of Nrf2 and HIF pathways. Gem-S demonstrates promise in overcoming gemcitabine resistance by disrupting Nrf2-mediated adaptive responses and inducing oxidative stress. These findings underscore the importance of biomechanically accurate tumor models and suggest that dual targeting of mechanical and oxidative stress pathways may improve PDAC treatment outcomes. Full article
(This article belongs to the Section Cancer Drug Development)
Show Figures

Figure 1

62 pages, 4356 KB  
Review
Potential Strategies for Overcoming Drug Resistance Pathways Using Propolis and Its Polyphenolic/Flavonoid Compounds in Combination with Chemotherapy and Radiotherapy
by Nada Oršolić and Maja Jazvinšćak Jembrek
Nutrients 2024, 16(21), 3741; https://doi.org/10.3390/nu16213741 - 31 Oct 2024
Cited by 27 | Viewed by 6988
Abstract
Conventional cancer treatments include surgical resection, chemotherapy, hyperthermia, immunotherapy, hormone therapy, and locally targeted therapies such as radiation therapy. Standard cancer therapies often require the use of multiple agents, which can activate nuclear factor kappa B (NF-κB) in tumor cells, leading to reduced [...] Read more.
Conventional cancer treatments include surgical resection, chemotherapy, hyperthermia, immunotherapy, hormone therapy, and locally targeted therapies such as radiation therapy. Standard cancer therapies often require the use of multiple agents, which can activate nuclear factor kappa B (NF-κB) in tumor cells, leading to reduced cell death and increased drug resistance. Moreover, the use of multiple agents also contributes to added toxicity, resulting in poor treatment outcomes. Cancer cells gradually develop resistance to almost all chemotherapeutics through various mechanisms, such as drug efflux, alterations in drug metabolism and transport, changes in signal transduction pathways, enhanced DNA repair capacity, evasion of apoptosis, increased mutations, reactivation of drug targets, interaction with the cancer microenvironment, cancer cell-stroma interactions, epithelial–mesenchymal transition (EMT)-mediated chemoresistance, epigenetic modifications, metabolic alterations, and the effect of cancer stem cells (CSCs). Developing new strategies to improve chemotherapy sensitivity while minimizing side effects is essential for achieving better therapeutic outcomes and enhancing patients’ quality of life. One promising approach involves combining conventional cancer treatments with propolis and its flavonoids. These natural compounds may enhance tumor response to treatment while reducing toxicity. Propolis and its components can sensitize cancer cells to chemotherapeutic agents, likely by inhibiting NF-κB activation, reprogramming tumor-associated macrophages (TAMs; an M2-like phenotype), and thereby reducing the release of matrix metalloproteinase (MMP)-9, cytokines, chemokines, and the vascular endothelial growth factor (VEGF). By reducing TAMs, propolis and its components may also overcome EMT-mediated chemoresistance, disrupt the crosstalk between macrophages and CSCs, inhibit the maintenance of stemness, and reverse acquired immunosuppression, thus promoting an antitumor response mediated by cytotoxic T-cells. This review highlights the potential of flavonoids to modulate the responsiveness of cancer to conventional treatment modalities. The evidence suggests that novel therapeutic strategies incorporating flavonoids could be developed to improve treatment outcomes. The positive effects of combining propolis with chemotherapeutics include reduced cytotoxicity to peripheral blood leukocytes, liver, and kidney cells. Therefore, polyphenolic/flavonoid components may hold potential for use in combination with chemotherapeutic agents in the clinical treatment of various types of cancers. Full article
(This article belongs to the Special Issue Effects of Phytochemicals on Human Health)
Show Figures

Figure 1

7 pages, 3355 KB  
Case Report
Undifferentiated Pleomorphic Sarcoma with Reactive Eccrine Syringofibroadenoma: A Case Report
by Navinda Donsakul, Suthep Jerasutus, Ittipon Tubtieng, Ravion Assavanatenapa and Voraphol Vejjabhinanta
Dermatopathology 2024, 11(4), 286-292; https://doi.org/10.3390/dermatopathology11040030 - 20 Oct 2024
Viewed by 2115
Abstract
Undifferentiated pleomorphic sarcoma (UPS) is an aggressive soft tissue sarcoma with a poor prognosis. The patients are usually found to have metastasis when the primary tumor is diagnosed. Eccrine syringofibroadenoma (ESFA) is a rare cutaneous adnexal lesion of eccrine duct origin. There are [...] Read more.
Undifferentiated pleomorphic sarcoma (UPS) is an aggressive soft tissue sarcoma with a poor prognosis. The patients are usually found to have metastasis when the primary tumor is diagnosed. Eccrine syringofibroadenoma (ESFA) is a rare cutaneous adnexal lesion of eccrine duct origin. There are five subtypes, one of which is reactive ESFA, known to occur in reaction to an inflammatory or neoplastic process. In this article, we report a case of the co-existence of both UPS and ESFA in a 70-year-old male patient, presenting with a painless, erythematous, irregular surface nodule with a peripherally extended brownish hyperkeratotic plaque on the right palm. The histologic findings revealed an ill-defined dermal tumor of atypical epithelioid and spindle-shaped cells with large pleomorphic hyperchromatic nuclei and abundant eosinophilic cytoplasm. Some of those cells were multinucleated giant cells in the stroma with vascular proliferation and mixed inflammatory cell infiltrate. The tumor cells, which were only positive for vimentin, supported the diagnosis of undifferentiated pleomorphic sarcoma (UPS). Meanwhile, the overlying epidermis demonstrated hyperkeratosis, papillated epidermal hyperplasia, and proliferation of anastomosing slender cords and strands of cuboid cells within loose fibrovascular stroma. These findings are the characteristics of eccrine syringofibroadenoma (ESFA). We describe here a patient in whom reactive ESFA occurred on and surrounded the UPS tumor. Full article
(This article belongs to the Section Clinico-Pathological Correlation in Dermatopathology)
Show Figures

Figure 1

27 pages, 2839 KB  
Review
Evidence of the Link between Stroma Remodeling and Prostate Cancer Prognosis
by Davide Vecchiotti, Letizia Clementi, Emanuele Cornacchia, Mauro Di Vito Nolfi, Daniela Verzella, Daria Capece, Francesca Zazzeroni and Adriano Angelucci
Cancers 2024, 16(18), 3215; https://doi.org/10.3390/cancers16183215 - 21 Sep 2024
Cited by 5 | Viewed by 3495
Abstract
Prostate cancer (PCa), the most commonly diagnosed cancer in men worldwide, is particularly challenging for oncologists when a precise prognosis needs to be established. Indeed, the entire clinical management in PCa has important drawbacks, generating an intense debate concerning the possibility to individuate [...] Read more.
Prostate cancer (PCa), the most commonly diagnosed cancer in men worldwide, is particularly challenging for oncologists when a precise prognosis needs to be established. Indeed, the entire clinical management in PCa has important drawbacks, generating an intense debate concerning the possibility to individuate molecular biomarkers able to avoid overtreatment in patients with pathological indolent cancers. To date, the paradigmatic change in the view of cancer pathogenesis prompts to look for prognostic biomarkers not only in cancer epithelial cells but also in the tumor microenvironment. PCa ecology has been defined with increasing details in the last few years, and a number of promising key markers associated with the reactive stroma are now available. Here, we provide an updated description of the most biologically significant and cited prognosis-oriented microenvironment biomarkers derived from the main reactive processes during PCa pathogenesis: tissue adaptations, inflammatory response and metabolic reprogramming. Proposed biomarkers include factors involved in stromal cell differentiation, cancer-normal cell crosstalk, angiogenesis, extracellular matrix remodeling and energy metabolism. Full article
(This article belongs to the Special Issue Biomarkers in Prostate Cancers)
Show Figures

Figure 1

15 pages, 1242 KB  
Opinion
The MET Oncogene: Thirty Years of Insights into Molecular Mechanisms Driving Malignancy
by Tiziana Crepaldi, Simona Gallo and Paolo Maria Comoglio
Pharmaceuticals 2024, 17(4), 448; https://doi.org/10.3390/ph17040448 - 30 Mar 2024
Cited by 6 | Viewed by 3887
Abstract
The discovery and subsequent research on the MET oncogene’s role in cancer onset and progression have illuminated crucial insights into the molecular mechanisms driving malignancy. The identification of MET as the hepatocyte growth factor (HGF) receptor has paved the path for characterizing the [...] Read more.
The discovery and subsequent research on the MET oncogene’s role in cancer onset and progression have illuminated crucial insights into the molecular mechanisms driving malignancy. The identification of MET as the hepatocyte growth factor (HGF) receptor has paved the path for characterizing the MET tyrosine kinase activation mechanism and its downstream signaling cascade. Over the past thirty years, research has established the importance of HGF/MET signaling in normal cellular processes, such as cell dissociation, migration, proliferation, and cell survival. Notably, genetic alterations that lead to the continuous activation of MET, known as constitutive activation, have been identified as oncogenic drivers in various cancers. The genetic lesions affecting MET, such as exon skipping, gene amplification, and gene rearrangements, provide valuable targets for therapeutic intervention. Moreover, the implications of MET as a resistance mechanism to targeted therapies emphasize the need for combination treatments that include MET inhibitors. The intriguing “flare effect” phenomenon, wherein MET inhibition can lead to post-treatment increases in cancer cell proliferation, underscores the dynamic nature of cancer therapeutics. In human tumors, increased protein expression often occurs without gene amplification. Various mechanisms may cause an overexpression: transcriptional upregulation induced by other oncogenes; environmental factors (such as hypoxia or radiation); or substances produced by the reactive stroma, such as inflammatory cytokines, pro-angiogenic factors, and even HGF itself. In conclusion, the journey to understanding MET’s involvement in cancer onset and progression over the past three decades has not only deepened our knowledge, but has also paved the way for innovative therapeutic strategies. Selective pharmacological inactivation of MET stands as a promising avenue for achieving cancer remission, particularly in cases where MET alterations are the primary drivers of malignancy. Full article
(This article belongs to the Special Issue 20th Anniversary of Pharmaceuticals—Met Receptor)
Show Figures

Figure 1

51 pages, 5674 KB  
Review
Adjuvant Novel Nanocarrier-Based Targeted Therapy for Lung Cancer
by Kangkan Sarma, Md Habban Akther, Irfan Ahmad, Obaid Afzal, Abdulmalik S. A. Altamimi, Manal A. Alossaimi, Mariusz Jaremko, Abdul-Hamid Emwas and Preety Gautam
Molecules 2024, 29(5), 1076; https://doi.org/10.3390/molecules29051076 - 29 Feb 2024
Cited by 31 | Viewed by 6483
Abstract
Lung cancer has the lowest survival rate due to its late-stage diagnosis, poor prognosis, and intra-tumoral heterogeneity. These factors decrease the effectiveness of treatment. They release chemokines and cytokines from the tumor microenvironment (TME). To improve the effectiveness of treatment, researchers emphasize personalized [...] Read more.
Lung cancer has the lowest survival rate due to its late-stage diagnosis, poor prognosis, and intra-tumoral heterogeneity. These factors decrease the effectiveness of treatment. They release chemokines and cytokines from the tumor microenvironment (TME). To improve the effectiveness of treatment, researchers emphasize personalized adjuvant therapies along with conventional ones. Targeted chemotherapeutic drug delivery systems and specific pathway-blocking agents using nanocarriers are a few of them. This study explored the nanocarrier roles and strategies to improve the treatment profile’s effectiveness by striving for TME. A biofunctionalized nanocarrier stimulates biosystem interaction, cellular uptake, immune system escape, and vascular changes for penetration into the TME. Inorganic metal compounds scavenge reactive oxygen species (ROS) through their photothermal effect. Stroma, hypoxia, pH, and immunity-modulating agents conjugated or modified nanocarriers co-administered with pathway-blocking or condition-modulating agents can regulate extracellular matrix (ECM), Cancer-associated fibroblasts (CAF),Tyro3, Axl, and Mertk receptors (TAM) regulation, regulatory T-cell (Treg) inhibition, and myeloid-derived suppressor cells (MDSC) inhibition. Again, biomimetic conjugation or the surface modification of nanocarriers using ligands can enhance active targeting efficacy by bypassing the TME. A carrier system with biofunctionalized inorganic metal compounds and organic compound complex-loaded drugs is convenient for NSCLC-targeted therapy. Full article
Show Figures

Graphical abstract

27 pages, 17233 KB  
Article
Monocarboxylate Transporter-1 (MCT1)-Mediated Lactate Uptake Protects Pancreatic Adenocarcinoma Cells from Oxidative Stress during Glutamine Scarcity Thereby Promoting Resistance against Inhibitors of Glutamine Metabolism
by Nourhane Ammar, Maya Hildebrandt, Claudia Geismann, Christian Röder, Timo Gemoll, Susanne Sebens, Ania Trauzold and Heiner Schäfer
Antioxidants 2023, 12(10), 1818; https://doi.org/10.3390/antiox12101818 - 30 Sep 2023
Cited by 11 | Viewed by 4636
Abstract
Metabolic compartmentalization of stroma-rich tumors, like pancreatic ductal adenocarcinoma (PDAC), greatly contributes to malignancy. This involves cancer cells importing lactate from the microenvironment (reverse Warburg cells) through monocarboxylate transporter-1 (MCT1) along with substantial phenotype alterations. Here, we report that the reverse Warburg phenotype [...] Read more.
Metabolic compartmentalization of stroma-rich tumors, like pancreatic ductal adenocarcinoma (PDAC), greatly contributes to malignancy. This involves cancer cells importing lactate from the microenvironment (reverse Warburg cells) through monocarboxylate transporter-1 (MCT1) along with substantial phenotype alterations. Here, we report that the reverse Warburg phenotype of PDAC cells compensated for the shortage of glutamine as an essential metabolite for redox homeostasis. Thus, oxidative stress caused by glutamine depletion led to an Nrf2-dependent induction of MCT1 expression in pancreatic T3M4 and A818-6 cells. Moreover, greater MCT1 expression was detected in glutamine-scarce regions within tumor tissues from PDAC patients. MCT1-driven lactate uptake supported the neutralization of reactive oxygen species excessively produced under glutamine shortage and the resulting drop in glutathione levels that were restored by the imported lactate. Consequently, PDAC cells showed greater survival and growth under glutamine depletion when utilizing lactate through MCT1. Likewise, the glutamine uptake inhibitor V9302 and glutaminase-1 inhibitor CB839 induced oxidative stress in PDAC cells, along with cell death and cell cycle arrest that were again compensated by MCT1 upregulation and forced lactate uptake. Our findings show a novel mechanism by which PDAC cells adapt their metabolism to glutamine scarcity and by which they develop resistance against anticancer treatments based on glutamine uptake/metabolism inhibition. Full article
(This article belongs to the Special Issue Redox Homeostasis in Cancers)
Show Figures

Figure 1

17 pages, 2355 KB  
Article
Alteration of Mesenchymal Stem Cells Isolated from Glioblastoma Multiforme under the Influence of Photodynamic Treatment
by Kalina Tumangelova-Yuzeir, Krassimir Minkin, Ivan Angelov, Ekaterina Ivanova-Todorova, Ekaterina Kurteva, Georgi Vasilev, Jeliazko Arabadjiev, Petar Karazapryanov, Kaloyan Gabrovski, Lidia Zaharieva, Tsanislava Genova and Dobroslav Kyurkchiev
Curr. Issues Mol. Biol. 2023, 45(3), 2580-2596; https://doi.org/10.3390/cimb45030169 - 21 Mar 2023
Cited by 3 | Viewed by 4155
Abstract
The central hypothesis for the development of glioblastoma multiforme (GBM) postulates that the tumor begins its development by transforming neural stem cells into cancer stem cells (CSC). Recently, it has become clear that another kind of stem cell, the mesenchymal stem cell (MSC), [...] Read more.
The central hypothesis for the development of glioblastoma multiforme (GBM) postulates that the tumor begins its development by transforming neural stem cells into cancer stem cells (CSC). Recently, it has become clear that another kind of stem cell, the mesenchymal stem cell (MSC), plays a role in the tumor stroma. Mesenchymal stem cells, along with their typical markers, can express neural markers and are capable of neural transdifferentiation. From this perspective, it is hypothesized that MSCs can give rise to CSC. In addition, MSCs suppress the immune cells through direct contact and secretory factors. Photodynamic therapy aims to selectively accumulate a photosensitizer in neoplastic cells, forming reactive oxygen species (ROS) upon irradiation, initiating death pathways. In our experiments, MSCs from 15 glioblastomas (GB-MSC) were isolated and cultured. The cells were treated with 5-ALA and irradiated. Flow cytometry and ELISA were used to detect the marker expression and soluble-factor secretion. The MSCs’ neural markers, Nestin, Sox2, and glial fibrillary acid protein (GFAP), were down-regulated, but the expression levels of the mesenchymal markers CD73, CD90, and CD105 were retained. The GB-MSCs also reduced their expression of PD-L1 and increased their secretion of PGE2. Our results give us grounds to speculate that the photodynamic impact on GB-MSCs reduces their capacity for neural transdifferentiation. Full article
Show Figures

Figure 1

15 pages, 1567 KB  
Review
Cancer-Associated Fibroblast: Role in Prostate Cancer Progression to Metastatic Disease and Therapeutic Resistance
by Martina Bedeschi, Noemi Marino, Elena Cavassi, Filippo Piccinini and Anna Tesei
Cells 2023, 12(5), 802; https://doi.org/10.3390/cells12050802 - 4 Mar 2023
Cited by 44 | Viewed by 5326
Abstract
Prostate cancer (PCa) is one of the most common cancers in European males. Although therapeutic approaches have changed in recent years, and several new drugs have been approved by the Food and Drug Administration (FDA), androgen deprivation therapy (ADT) remains the standard of [...] Read more.
Prostate cancer (PCa) is one of the most common cancers in European males. Although therapeutic approaches have changed in recent years, and several new drugs have been approved by the Food and Drug Administration (FDA), androgen deprivation therapy (ADT) remains the standard of care. Currently, PCa represents a clinical and economic burden due to the development of resistance to ADT, paving the way to cancer progression, metastasis, and to long-term side effects induced by ADT and radio-chemotherapeutic regimens. In light of this, a growing number of studies are focusing on the tumor microenvironment (TME) because of its role in supporting tumor growth. Cancer-associated fibroblasts (CAFs) have a central function in the TME because they communicate with prostate cancer cells, altering their metabolism and sensitivity to drugs; hence, targeted therapy against the TME, and, in particular, CAFs, could represent an alternative therapeutic approach to defeat therapy resistance in PCa. In this review, we focus on different CAF origins, subsets, and functions to highlight their potential in future therapeutic strategies for prostate cancer. Full article
(This article belongs to the Special Issue Molecular and Cellular Mechanisms of Cancers: Prostate Cancer)
Show Figures

Figure 1

17 pages, 6297 KB  
Article
ONC201 Suppresses Neuroblastoma Growth by Interrupting Mitochondrial Function and Reactivating Nuclear ATRX Expression While Decreasing MYCN
by Jian-Ching Wu, Chao-Cheng Huang, Pei-Wen Wang, Ting-Ya Chen, Wen-Ming Hsu, Jiin-Haur Chuang and Hui-Ching Chuang
Int. J. Mol. Sci. 2023, 24(2), 1649; https://doi.org/10.3390/ijms24021649 - 13 Jan 2023
Cited by 7 | Viewed by 3540
Abstract
Neuroblastoma (NB) is characterized by several malignant phenotypes that are difficult to treat effectively without combination therapy. The therapeutic implication of mitochondrial ClpXP protease ClpP and ClpX has been verified in several malignancies, but is unknown in NB. Firstly, we observed a significant [...] Read more.
Neuroblastoma (NB) is characterized by several malignant phenotypes that are difficult to treat effectively without combination therapy. The therapeutic implication of mitochondrial ClpXP protease ClpP and ClpX has been verified in several malignancies, but is unknown in NB. Firstly, we observed a significant increase in ClpP and ClpX expression in immature and mature ganglion cells as compared to more malignant neuroblasts and less malignant Schwannian-stroma-dominant cell types in human neuroblastoma tissues. We used ONC201 targeting ClpXP to treat NB cells, and found a significant suppression of mitochondrial protease, i.e., ClpP and ClpX, expression and downregulation of mitochondrial respiratory chain subunits SDHB and NDUFS1. The latter was associated with a state of energy depletion, increased reactive oxygen species, and decreased mitochondrial membrane potential, consequently promoting apoptosis and suppressing cell growth of NB. Treatment of NB cells with ONC201 as well as the genetic attenuation of ClpP and ClpX through specific short interfering RNA (siRNA) resulted in the significant upregulation of the tumor suppressor alpha thalassemia/mental retardation X-linked (ATRX) and promotion of neurite outgrowth, implicating mitochondrial ClpXP proteases in MYCN-amplified NB cell differentiation. Furthermore, ONC201 treatment significantly decreased MYCN protein expression and suppressed tumor formation with the reactivation of ATRX expression in MYCN-amplified NB-cell-derived xenograft tumors. Taken together, ONC201 could be the potential agent to provide diversified therapeutic application in NB, particularly in NB with MYCN amplification. Full article
(This article belongs to the Special Issue Cancer Prevention with Molecular Target Therapies 3.0)
Show Figures

Figure 1

31 pages, 833 KB  
Review
The Adipocyte–Macrophage Relationship in Cancer: A Potential Target for Antioxidant Therapy
by Sofía Sanhueza, Layla Simón, Mariana Cifuentes and Andrew F. G. Quest
Antioxidants 2023, 12(1), 126; https://doi.org/10.3390/antiox12010126 - 4 Jan 2023
Cited by 16 | Viewed by 5649
Abstract
Obesity has emerged as a major public health concern with a staggering 39% worldwide prevalence as of 2021. Given the magnitude of the problem and considering its association with chronic low-grade systemic inflammation, it does not come as a surprise that obesity is [...] Read more.
Obesity has emerged as a major public health concern with a staggering 39% worldwide prevalence as of 2021. Given the magnitude of the problem and considering its association with chronic low-grade systemic inflammation, it does not come as a surprise that obesity is now considered one of the major risk factors for the development of several chronic diseases, such as diabetes, cardiovascular problems, and cancer. Adipose tissue dysfunction in obesity has taken center stage in understanding how changes in its components, particularly adipocytes and macrophages, participate in such processes. In this review, we will initially focus on how changes in adipose tissue upon excess fat accumulation generate endocrine signals that promote cancer development. Moreover, the tumor microenvironment or stroma, which is also critical in cancer development, contains macrophages and adipocytes, which, in reciprocal paracrine communication with cancer cells, generate relevant signals. We will discuss how paracrine signaling in the tumor microenvironment between cancer cells, macrophages, and adipocytes favors cancer development and progression. Finally, as reactive oxygen species participate in many of these signaling pathways, we will summarize the information available on how antioxidants can limit the effects of endocrine and paracrine signaling due to dysfunctional adipose tissue components in obesity. Full article
(This article belongs to the Special Issue Oxidative Stress and Inflammation in Cancer)
Show Figures

Figure 1

12 pages, 20819 KB  
Article
Next Generation Sequencing of Reactive Stroma and Residual Breast Cancer Cells in Tumor Bed after Neoadjuvant Chemotherapy
by Zsuzsanna Varga, Ailsa Christiansen, Magdalena Lukamowicz-Rajska, Aashil A. Batavia, Adriana von Teichman, Peter Schraml and Holger Moch
Cancers 2022, 14(22), 5609; https://doi.org/10.3390/cancers14225609 - 15 Nov 2022
Cited by 2 | Viewed by 3193
Abstract
Primary systemic or neoadjuvant chemotherapy of breast cancer has become a standard therapy option in locally advanced or predefined intrinsic subtypes such as triple negative or Her2 positive breast cancer. Neoadjuvant chemotherapy can result in complete pathological response without residual tumor cells (tumor [...] Read more.
Primary systemic or neoadjuvant chemotherapy of breast cancer has become a standard therapy option in locally advanced or predefined intrinsic subtypes such as triple negative or Her2 positive breast cancer. Neoadjuvant chemotherapy can result in complete pathological response without residual tumor cells (tumor bed) or partial response and non-response with different amounts of reactive stroma and residual tumor cells. The interaction between therapy regimens and tumoral driver mutations have been extensively studied, although the reactive stroma of the tumor bed received less attention. In this study, we characterized the mutational status of residual breast cancer cells and reactive tumor stroma devoid of residual tumor cells in partial or non-responders using next generation sequencing. Twenty-one post-therapeutic breast surgical specimens after neoadjuvant chemotherapy underwent pathogenic driver-mutation screening using microdissected residual breast cancer cells and in reactive stroma adjacent to tumor bed areas. In reactive stroma, no mutations could be validated. In residual breast cancer cells, mutations were detected in sixteen of twenty-one cases (76%). In nine of these twenty-one cases (43%), pathogenic driver mutations (PIK3CA, PTEN, TP53, FN1, PLAG1) were identified. Pathogenic driver-mutations are exclusively restricted to residual carcinoma cells and are absent in reactive stroma independently from intrinsic breast cancer subtypes or tumor stage. These data suggest that the absence of pathogenic mutations in a tumor bed without residual tumor cells may have prognostic implications after neoadjuvant chemotherapy. Full article
(This article belongs to the Special Issue Pathology of Breast Cancer)
Show Figures

Figure 1

10 pages, 264 KB  
Review
Cancer-Associated Fibroblasts in Cholangiocarcinoma: Current Knowledge and Possible Implications for Therapy
by Michele Montori, Chiara Scorzoni, Maria Eva Argenziano, Daniele Balducci, Federico De Blasio, Francesco Martini, Tiziana Buono, Antonio Benedetti, Marco Marzioni and Luca Maroni
J. Clin. Med. 2022, 11(21), 6498; https://doi.org/10.3390/jcm11216498 - 2 Nov 2022
Cited by 29 | Viewed by 4942
Abstract
Cholangiocarcinoma (CCA) is an aggressive neoplasia with an increasing incidence and mortality. It is characterized by a strong desmoplastic stroma surrounding cancer cells. Cancer-associated fibroblasts (CAFs) are the main cell type of CCA stroma and they have an important role in modulating cancer [...] Read more.
Cholangiocarcinoma (CCA) is an aggressive neoplasia with an increasing incidence and mortality. It is characterized by a strong desmoplastic stroma surrounding cancer cells. Cancer-associated fibroblasts (CAFs) are the main cell type of CCA stroma and they have an important role in modulating cancer microenvironments. CAFs originate from multiple lines of cells and mainly consist of fibroblasts and alpha-smooth muscle actin (α-SMA) positive myofibroblast-like cells. The continuous cross-talking between CCA cells and desmoplastic stroma is permitted by CAF biochemical signals, which modulate a number of pathways. Stromal cell-derived factor-1 expression increases CAF recruitment to the tumor reactive stroma and influences apoptotic pathways. The Bcl-2 family protein enhances susceptibility to CAF apoptosis and PDGFRβ induces fibroblast migration and stimulates tumor lymphangiogenesis. Many factors related to CAFs may influence CCA prognosis. For instance, a better prognosis is associated with IL-33 expression and low stromal IL-6 (whose secretion is stimulated by microRNA). In contrast, a worst prognosis is given by the expression of PDGF-D, podoplanin, SDF-1, α-SMA high expression, and periostin. The maturity phenotype has a prognostic relevance too. New therapeutic strategies involving CAFs are currently under study. Promising results are obtained with anti-PlGF therapy, nintedanib (BIBF1120), navitoclax, IPI-926, resveratrol, and controlled hyperthermia. Full article
Back to TopTop