Sign in to use this feature.

Years

Between: -

Subjects

remove_circle_outline
remove_circle_outline
remove_circle_outline

Journals

Article Types

Countries / Regions

Search Results (21)

Search Parameters:
Keywords = spontaneous coronary artery dissection (SCAD)

Order results
Result details
Results per page
Select all
Export citation of selected articles as:
19 pages, 1399 KB  
Review
Myocardical Infarction in Young Adults: Revisiting Risk Factors and Atherothrombotic Pathways
by Petre Alexandru Cojocaru, Maria Loredana Țieranu, Mina Teodora Luminița Piorescu, Ionuț Cezar Buciu, Alexandru Mugurel Belu, Silvana Isabella Cureraru, Eugen Nicolae Țieranu, Gianina Cristiana Moise and Octavian Istratoaie
Medicina 2025, 61(9), 1615; https://doi.org/10.3390/medicina61091615 - 7 Sep 2025
Viewed by 1816
Abstract
Background: Myocardial infarction (MI) in young adults, once a rarity, is increasingly recognized as a distinct clinical entity. Unlike traditional MI patients, younger individuals often present without established risk factors or advanced atherosclerosis, prompting a reevaluation of pathophysiologic paradigms and risk assessment [...] Read more.
Background: Myocardial infarction (MI) in young adults, once a rarity, is increasingly recognized as a distinct clinical entity. Unlike traditional MI patients, younger individuals often present without established risk factors or advanced atherosclerosis, prompting a reevaluation of pathophysiologic paradigms and risk assessment strategies. Objective: This review synthesizes current evidence on the epidemiology, pathophysiology, and diagnostic challenges of MI in adults under 55 years, with emphasis on risk factor profiles. We distinguish between traditional cardiovascular risk factors—smoking, dyslipidemia, hypertension, diabetes, obesity, and family history—and emerging contributors, including elevated lipoprotein(a), recreational drug use (cocaine, cannabis, amphetamines), autoimmune and inflammatory conditions, psychosocial stress, sleep disorders, genetic predisposition, and non-atherosclerotic mechanisms such as myocardical infarction with non-obstructive coronary arteries, spontaneous coronary artery dissection, SCAD and Takotsubo syndrome. Methods: A narrative literature review was conducted, focusing on studies from the last five years addressing MI in young adults, including data from large registries, cohort studies, and recent experimental findings. Full article
(This article belongs to the Special Issue Updates on Risk Factors and Prevention of Coronary Artery Disease)
Show Figures

Figure 1

21 pages, 1307 KB  
Review
Spontaneous Coronary Artery Dissection Unveiled: Pathophysiology, Imaging, and Evolving Management Strategies
by Constantin Andrei Rusali, Ioana Caterina Lupu, Lavinia Maria Rusali and Lucia Cojocaru
J. Cardiovasc. Dev. Dis. 2025, 12(8), 286; https://doi.org/10.3390/jcdd12080286 - 28 Jul 2025
Viewed by 1387
Abstract
Spontaneous coronary artery dissection (SCAD) is an increasingly recognized, non-atherosclerotic cause of acute coronary syndrome (ACS), particularly in younger women. This comprehensive review outlines SCAD’s unique pathophysiology, which is linked to underlying arteriopathies like fibromuscular dysplasia, and highlights the critical role of advanced [...] Read more.
Spontaneous coronary artery dissection (SCAD) is an increasingly recognized, non-atherosclerotic cause of acute coronary syndrome (ACS), particularly in younger women. This comprehensive review outlines SCAD’s unique pathophysiology, which is linked to underlying arteriopathies like fibromuscular dysplasia, and highlights the critical role of advanced intravascular imaging for accurate diagnosis. A fundamental shift in management is detailed, with evidence favoring a conservative strategy for stable patients due to high rates of spontaneous vessel healing, reserving technically challenging invasive interventions for high-risk cases. Importantly, this review also addresses long-term outcomes, noting significant rates of recurrence and Major Adverse Cardiac Events (MACE), a high prevalence of persistent chest pain, and the central role of beta-blocker therapy in secondary prevention. Ultimately, SCAD requires a departure from standard ACS protocols towards a personalized approach that emphasizes accurate diagnosis, cautious initial management, and vigilant long-term follow-up. Full article
(This article belongs to the Special Issue Coronary Arterial Anomalies)
Show Figures

Figure 1

26 pages, 5306 KB  
Review
Myocardial Infarction in Young Adults: A Case Series and Comprehensive Review of Molecular and Clinical Mechanisms
by Bogdan-Sorin Tudurachi, Larisa Anghel, Andreea Tudurachi, Răzvan-Liviu Zanfirescu, Silviu-Gabriel Bîrgoan, Radu Andy Sascău and Cristian Stătescu
Biomolecules 2025, 15(8), 1065; https://doi.org/10.3390/biom15081065 - 23 Jul 2025
Viewed by 3754
Abstract
Acute myocardial infarction (AMI) in young adults, though less common than in older populations, is an emerging clinical concern with increasing incidence and diverse etiologies. Unlike classic atherosclerotic presentations, a significant proportion of AMI cases in individuals under 45 years are due to [...] Read more.
Acute myocardial infarction (AMI) in young adults, though less common than in older populations, is an emerging clinical concern with increasing incidence and diverse etiologies. Unlike classic atherosclerotic presentations, a significant proportion of AMI cases in individuals under 45 years are due to nonatherothrombotic mechanisms such as coronary vasospasm, spontaneous coronary artery dissection (SCAD), vasculitis, hypercoagulable states, and drug-induced coronary injury. This manuscript aims to explore the multifactorial nature of AMI in young adults through a focused review of current evidence and a series of illustrative clinical cases. We present and analyze four distinct cases of young patients with AMI, each demonstrating different pathophysiological mechanisms and risk profiles—including premature atherosclerosis, substance use, human immunodeficiency virus (HIV)-related coronary disease, and SCAD. Despite the heterogeneity of underlying causes, early diagnosis, individualized management, and aggressive secondary prevention were key to favorable outcomes. Advanced imaging, lipid profiling, and risk factor modification played a central role in guiding therapy. AMI in young adults requires heightened clinical suspicion and a comprehensive, multidisciplinary approach. Early intervention and recognition of nontraditional risk factors are essential to improving outcomes and preventing recurrent events in this vulnerable population. Full article
(This article belongs to the Special Issue Cardiometabolic Disease: Molecular Basis and Therapeutic Approaches)
Show Figures

Figure 1

21 pages, 4127 KB  
Review
Spontaneous Coronary Artery Dissection: A Narrative Review of Epidemiology and Public Health Implications
by Patrick Pender, Mithila Zaheen, Quan M. Dang, Viet Dang, James Xu, Matthew Hollings, Sidney Lo, Kazuaki Negishi and Sarah Zaman
Medicina 2025, 61(4), 650; https://doi.org/10.3390/medicina61040650 - 1 Apr 2025
Cited by 1 | Viewed by 2180
Abstract
Spontaneous coronary artery dissection (SCAD) is an uncommon but significant cause of acute coronary syndrome (ACS), predominantly affecting younger women without traditional cardiovascular risk factors. SCAD is defined as a non-atherosclerotic, non-traumatic dissection of the coronary artery, leading to the formation of an [...] Read more.
Spontaneous coronary artery dissection (SCAD) is an uncommon but significant cause of acute coronary syndrome (ACS), predominantly affecting younger women without traditional cardiovascular risk factors. SCAD is defined as a non-atherosclerotic, non-traumatic dissection of the coronary artery, leading to the formation of an intramural haematoma or intimal tear causing obstruction to blood flow and myocardial ischaemia. Unlike traditional atherosclerotic coronary artery disease, SCAD has unique pathophysiological mechanisms. SCAD is thought to arise secondary to a bleed and/or dissection within the arterial wall, linked to hormonal influences with potential triggers of physical or emotional stress and predisposition such as an underlying connective tissue disorder. Despite being increasingly recognised, SCAD remains underdiagnosed, and knowledge regarding SCAD epidemiology is limited. In addition, the impact of SCAD extends beyond the immediate cardiac event, encompassing psychological distress, the need for rehabilitation, and long-term surveillance. This has implications not just for the patient but also their family and the healthcare system. This narrative review summarises the current knowledge of SCAD epidemiology, including the affected population, its associated risk factors, and healthcare impact. By identifying current gaps in knowledge, this review aims to encourage targeted research, public awareness, and policy initiatives to improve outcomes for individuals affected by SCAD. Full article
(This article belongs to the Section Epidemiology & Public Health)
Show Figures

Figure 1

13 pages, 1678 KB  
Systematic Review
Spontaneous Coronary Artery Dissection in Patients with Autosomal Dominant Polycystic Kidney Disease: A Systematic Review of the Literature
by Stefan Milutinovic, Abraham Bell, Predrag Jancic, Dragana Stanojevic, Abdul Hamid Borghol, Jonathan Mina, Fouad T. Chebib, Ibrahim Khambati, Ricardo O. Escarcega and Malissa J. Wood
J. Pers. Med. 2024, 14(7), 702; https://doi.org/10.3390/jpm14070702 - 29 Jun 2024
Cited by 3 | Viewed by 2240
Abstract
Spontaneous coronary artery dissection (SCAD) is a spontaneous intimal tear of the coronary artery wall. A factor rarely associated with SCAD is autosomal dominant polycystic kidney disease (ADPKD). Using the PRISMA guidelines, we identified 10 unique cases of SCAD in ADPKD patients reported [...] Read more.
Spontaneous coronary artery dissection (SCAD) is a spontaneous intimal tear of the coronary artery wall. A factor rarely associated with SCAD is autosomal dominant polycystic kidney disease (ADPKD). Using the PRISMA guidelines, we identified 10 unique cases of SCAD in ADPKD patients reported between 1998 and 2021. Ages ranged from 36 to 59 years, with an average of 44.6 years. The majority of patients were female (80%). Each case was diagnosed with a cardiovascular event: ST-elevation myocardial infarction (STEMI) in 40%, non-ST elevation myocardial infarction (NSTEMI) in 50%, and stable angina in 10%. Conservative management was used in 60% of cases. There is a significant gap in our understanding of the relationship between SCAD and ADPKD. Polycystin complex can lead to structural abnormalities in blood vessels, resulting in vascular leaks and vessel rupture. This suggests that ADPKD patients may have an elevated risk of arteriopathies, including coronary artery dissection. Full article
(This article belongs to the Section Personalized Therapy in Clinical Medicine)
Show Figures

Figure 1

26 pages, 2275 KB  
Review
Transient Left Ventricular Dysfunction from Cardiomyopathies to Myocardial Viability: When and Why Cardiac Function Recovers
by Giancarlo Trimarchi, Lucio Teresi, Roberto Licordari, Alessandro Pingitore, Fausto Pizzino, Patrizia Grimaldi, Danila Calabrò, Paolo Liotta, Antonio Micari, Cesare de Gregorio and Gianluca Di Bella
Biomedicines 2024, 12(5), 1051; https://doi.org/10.3390/biomedicines12051051 - 9 May 2024
Cited by 26 | Viewed by 6726
Abstract
Transient left ventricular dysfunction (TLVD), a temporary condition marked by reversible impairment of ventricular function, remains an underdiagnosed yet significant contributor to morbidity and mortality in clinical practice. Unlike the well-explored atherosclerotic disease of the epicardial coronary arteries, the diverse etiologies of TLVD [...] Read more.
Transient left ventricular dysfunction (TLVD), a temporary condition marked by reversible impairment of ventricular function, remains an underdiagnosed yet significant contributor to morbidity and mortality in clinical practice. Unlike the well-explored atherosclerotic disease of the epicardial coronary arteries, the diverse etiologies of TLVD require greater attention for proper diagnosis and management. The spectrum of disorders associated with TLVD includes stress-induced cardiomyopathy, central nervous system injuries, histaminergic syndromes, various inflammatory diseases, pregnancy-related conditions, and genetically determined syndromes. Furthermore, myocardial infarction with non-obstructive coronary arteries (MINOCA) origins such as coronary artery spasm, coronary thromboembolism, and spontaneous coronary artery dissection (SCAD) may also manifest as TLVD, eventually showing recovery. This review highlights the range of ischemic and non-ischemic clinical situations that lead to TLVD, gathering conditions like Tako-Tsubo Syndrome (TTS), Kounis syndrome (KS), Myocarditis, Peripartum Cardiomyopathy (PPCM), and Tachycardia-induced cardiomyopathy (TIC). Differentiation amongst these causes is crucial, as they involve distinct clinical, instrumental, and genetic predictors that bode different outcomes and recovery potential for left ventricular function. The purpose of this review is to improve everyday clinical approaches to treating these diseases by providing an extensive survey of conditions linked with TLVD and the elements impacting prognosis and outcomes. Full article
(This article belongs to the Special Issue Cardiomyopathies and Heart Failure: Charting the Future)
Show Figures

Figure 1

14 pages, 699 KB  
Review
Spontaneous Coronary Artery Dissection and COVID-19: A Review of the Literature
by Grigorios Tsigkas, Maria Bozika, Kassiani-Maria Nastouli, Anastasios Apostolos, Michaela Routoula, Athanasia-Maria Georga, Anastasia Latta, Angeliki Papageorgiou, Michail I. Papafaklis, Georgios Leventopoulos, Grigoris V. Karamasis and Periklis Davlouros
Life 2024, 14(3), 315; https://doi.org/10.3390/life14030315 - 28 Feb 2024
Viewed by 3657
Abstract
SARS-CoV-2 is responsible for the global coronavirus disease 2019 (COVID-19) pandemic. While the cardiovascular effects of COVID-19 have been thoroughly described, there are limited published studies in the literature establishing a connection between spontaneous coronary artery dissection (SCAD) and COVID-19. Cardiovascular manifestations include, [...] Read more.
SARS-CoV-2 is responsible for the global coronavirus disease 2019 (COVID-19) pandemic. While the cardiovascular effects of COVID-19 have been thoroughly described, there are limited published studies in the literature establishing a connection between spontaneous coronary artery dissection (SCAD) and COVID-19. Cardiovascular manifestations include, among others, myocarditis, acute myocardial infraction, and thrombosis. In general, SCAD is an uncommon and underdiagnosed cause of acute myocardial infarction (AMI), particularly in younger women and in patients with underlying fibromuscular dysplasia (FMD). Many patients with SCAD often report significant emotional stress, especially in relation with job loss, during the week preceding their cardiac event. Moreover, the COVID-19 pandemic has led to societal stress and increased unemployment, factors that have been associated with cardiovascular morbidity. SCAD emerges as a rare manifestation of coronary artery disease, which a few recent case reports link to COVID-19. The aim of this article is to summarize the relevant data on the pathophysiology of COVID-19 and SCAD along with a review of the reported cases on acute coronary syndrome (ACS) following SARS-CoV2 infection and, thus, to provide insights about the relationship between COVID-19 and SCAD. Full article
Show Figures

Figure 1

14 pages, 352 KB  
Review
Spontaneous Coronary Artery Dissection in Clinical Practice: Pathophysiology and Therapeutic Approaches
by Andrea D’Amato, Marco Valerio Mariani, Silvia Prosperi, Lorenzo Colombo, Andrea De Prisco, Carlo Lavalle, Massimo Mancone, Carmine Dario Vizza and Paolo Severino
Medicina 2024, 60(2), 217; https://doi.org/10.3390/medicina60020217 - 26 Jan 2024
Cited by 4 | Viewed by 3673
Abstract
Spontaneous coronary artery dissection (SCAD) is a cause of myocardial infarction without obstructive coronary artery disease (MINOCA). It is determined by a coronary artery wall layers separation, which occurs regardless of traumatic or iatrogenic injuries. Even if it is often a missed diagnosis, [...] Read more.
Spontaneous coronary artery dissection (SCAD) is a cause of myocardial infarction without obstructive coronary artery disease (MINOCA). It is determined by a coronary artery wall layers separation, which occurs regardless of traumatic or iatrogenic injuries. Even if it is often a missed diagnosis, its incidence is growing along with the improvement of intracoronary imaging techniques that allow for better detection. The main angiographical classification distinguishes three different forms, with slightly different prognoses at long-term follow up. SCAD is a recurrent condition, severely hampering the life quality of affected patients. The predominantly young age of patients with SCAD and the high prevalence of females among them have made the topic increasingly important, especially regarding therapeutic strategies. According to the data, the most recommended treatment is conservative, based on the use of antiplatelet agents and supportive anti-ischemic therapy. However, there are conflicting opinions concerning the need for dual antiplatelet therapy and its duration. In the case of invasive treatment, the choice between percutaneous coronary intervention and coronary artery bypass graft depends on the patient’s clinical stability and the interested vessel. The purpose of the current review is to revise the pathophysiological mechanisms underlying SCAD and the current knowledge of its treatment. Full article
(This article belongs to the Special Issue Advances in Chronic Coronary Syndrome and Coronary Heart Disease)
9 pages, 2396 KB  
Case Report
Spontaneous Coronary Artery Dissection as a Cause of Acute Myocardial Infarction in COVID-19 Patients: A Case Report and Review of the Literature
by Angeliki Papageorgiou, Athanasios Moulias, Athanasios Papageorgiou, Theodoros Karampitsakos, Anastasios Apostolos, Grigorios Tsigkas and Periklis Davlouros
Healthcare 2024, 12(2), 214; https://doi.org/10.3390/healthcare12020214 - 16 Jan 2024
Cited by 3 | Viewed by 2428
Abstract
Patients with COVID-19 often experience significant cardiovascular complications, including heart failure, myocarditis, and acute coronary syndrome. We present the case of a male patient with severe COVID-19 pneumonia, complicated with inferior ST-segment elevation myocardial infarction (STEMI), which was attributed to spontaneous coronary artery [...] Read more.
Patients with COVID-19 often experience significant cardiovascular complications, including heart failure, myocarditis, and acute coronary syndrome. We present the case of a male patient with severe COVID-19 pneumonia, complicated with inferior ST-segment elevation myocardial infarction (STEMI), which was attributed to spontaneous coronary artery dissection (SCAD). We also make a review of the literature on case reports of patients with COVID-19 and acute myocardial infarction due to SCAD. Through these clinical cases, a potential correlation between SCAD and COVID-19 infection is implied. Endothelial dysfunction, thrombotic complications, and disturbance of the vascular tone are established COVID-19 sequelae, triggered either by direct viral injury or mediated by the cytokines’ storm. These abnormalities in the coronary vasculature and the vasa vasorum could result in SCAD. Moreover, disturbances of the vascular tone can cause coronary vasospasm, a reported precipitant of SCAD. Thus, SCAD should be considered in COVID-19 patients with acute coronary syndrome (ACS), and in the case of STEMI, an early angiographic evaluation, if feasible, should be performed rather than thrombolysis to avoid potential adverse events of the latter in the setting of SCAD. Full article
(This article belongs to the Collection COVID-19: Impact on Public Health and Healthcare)
Show Figures

Figure 1

8 pages, 7881 KB  
Review
Takotsubo Syndrome and Spontaneous Coronary Artery Dissection
by Davide Di Vece, Christian Templin and Jelena Rima Ghadri
Cardiovasc. Med. 2023, 26(5), 160; https://doi.org/10.4414/cvm.2023.1246945772 - 20 Sep 2023
Viewed by 232
Abstract
Acute coronary syndrome (ACS) in women presents unique challenges in terms of pathophysiology, diagnosis and management. Rare forms of ACS, such as takotsubo syndrome (TTS) and spontaneous coronary artery dissection (SCAD), have gained increasing attention in recent years. TTS is characterized by transient [...] Read more.
Acute coronary syndrome (ACS) in women presents unique challenges in terms of pathophysiology, diagnosis and management. Rare forms of ACS, such as takotsubo syndrome (TTS) and spontaneous coronary artery dissection (SCAD), have gained increasing attention in recent years. TTS is characterized by transient left ventricular dysfunction in the absence of epicardial culprit lesions, while SCAD involves separation within layers of the arterial wall of the coronary arteries leading to blood flow disruption and potential myocardial infarction. Despite a different pathogenesis, TTS and SCAD share common features such as a significantly higher prevalence in women and a higher rate of recurrent events compared to traditional ACS. Additionally, both conditions are typically anticipated by emotional or physical stressors and have higher incidence in individuals with neuropsychiatric disorders. These similarities suggest that there could be shared risk factors and pathophysiological mechanisms underlying these conditions, which could inform future research and management strategies. The purpose of this review is to provide a comprehensive clinical overview of TTS and SCAD focusing on various aspects of these conditions including epidemiology, clinical profiles, diagnostic workup, prognosis, and management. By highlighting these key areas, this review aims to increase awareness and understanding of these rare forms of ACS among healthcare professionals leading to improved management and treatment. Full article
Show Figures

Figure 1

22 pages, 4318 KB  
Article
Identification of Rare Genetic Variants in Familial Spontaneous Coronary Artery Dissection and Evidence for Shared Biological Pathways
by Tamiel N. Turley, Jeanne L. Theis, Jared M. Evans, Zachary C. Fogarty, Rajiv Gulati, Sharonne N. Hayes, Marysia S. Tweet and Timothy M. Olson
J. Cardiovasc. Dev. Dis. 2023, 10(9), 393; https://doi.org/10.3390/jcdd10090393 - 12 Sep 2023
Cited by 5 | Viewed by 2774
Abstract
Rare familial spontaneous coronary artery dissection (SCAD) kindreds implicate genetic disease predisposition and provide a unique opportunity for candidate gene discovery. Whole-genome sequencing was performed in fifteen probands with non-syndromic SCAD who had a relative with SCAD, eight of whom had a second [...] Read more.
Rare familial spontaneous coronary artery dissection (SCAD) kindreds implicate genetic disease predisposition and provide a unique opportunity for candidate gene discovery. Whole-genome sequencing was performed in fifteen probands with non-syndromic SCAD who had a relative with SCAD, eight of whom had a second relative with extra-coronary arteriopathy. Co-segregating variants and associated genes were prioritized by quantitative variant, gene, and disease-level metrics. Curated public databases were queried for functional relationships among encoded proteins. Fifty-four heterozygous coding variants in thirteen families co-segregated with disease and fulfilled primary filters of rarity, gene variation constraint, and predicted-deleterious protein effect. Secondary filters yielded 11 prioritized candidate genes in 12 families, with high arterial tissue expression (n = 7), high-confidence protein-level interactions with genes associated with SCAD previously (n = 10), and/or previous associations with connective tissue disorders and aortopathies (n = 3) or other vascular phenotypes in mice or humans (n = 11). High-confidence associations were identified among 10 familial SCAD candidate-gene-encoded proteins. A collagen-encoding gene was identified in five families, two with distinct variants in COL4A2. Familial SCAD is genetically heterogeneous, yet perturbations of extracellular matrix, cytoskeletal, and cell–cell adhesion proteins implicate common disease-susceptibility pathways. Incomplete penetrance and variable expression suggest genetic or environmental modifiers. Full article
(This article belongs to the Special Issue 10th Anniversary of JCDD—'Genetics' Section)
Show Figures

Figure 1

26 pages, 4083 KB  
Review
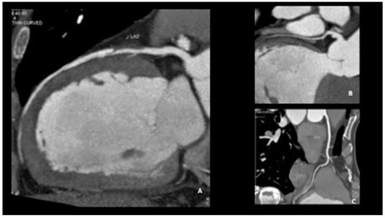
Advanced Cardiac Imaging and Women’s Chest Pain: A Question of Gender
by Federica Dell’Aversana, Carlo Tedeschi, Rosita Comune, Luigi Gallo, Giovanni Ferrandino, Emilia Basco, Stefania Tamburrini, Giacomo Sica, Salvatore Masala, Mariano Scaglione and Carlo Liguori
Diagnostics 2023, 13(15), 2611; https://doi.org/10.3390/diagnostics13152611 - 7 Aug 2023
Cited by 4 | Viewed by 2574
Abstract
Awareness of gender differences in cardiovascular disease (CVD) has increased: both the different impact of traditional cardiovascular risk factors on women and the existence of sex-specific risk factors have been demonstrated. Therefore, it is essential to recognize typical aspects of ischemic heart disease [...] Read more.
Awareness of gender differences in cardiovascular disease (CVD) has increased: both the different impact of traditional cardiovascular risk factors on women and the existence of sex-specific risk factors have been demonstrated. Therefore, it is essential to recognize typical aspects of ischemic heart disease (IHD) in women, who usually show a lower prevalence of obstructive coronary artery disease (CAD) as a cause of acute coronary syndrome (ACS). It is also important to know how to recognize pathologies that can cause acute chest pain with a higher incidence in women, such as spontaneous coronary artery dissection (SCAD) and myocardial infarction with non-obstructive coronary arteries (MINOCA). Coronary computed tomography angiography (CCTA) and cardiac magnetic resonance imaging (CMR) gained a pivotal role in the context of cardiac emergencies. Thus, the aim of our review is to investigate the most frequent scenarios in women with acute chest pain and how advanced cardiac imaging can help in the management and diagnosis of ACS. Full article
(This article belongs to the Section Medical Imaging and Theranostics)
Show Figures

Figure 1

14 pages, 6384 KB  
Case Report
Pregnancy-Associated Spontaneous Coronary Acute Dissection as a Cause of Sudden Cardiac Death—Autopsy Findings and Literature Review: Is COVID-19 Related?
by Timur Hogea, Bogdan Andrei Suciu, Laura Chinezu, Klara Brinzaniuc, Emil Marian Arbănași, Ancuța Ungureanu, Réka Kaller, Cosmin Carașca, Eliza Mihaela Arbănași, Vlad Vunvulea, Ioana Hălmaciu, Adrian Vasile Mureșan, Eliza Russu, Claudiu Constantin Ciucanu, Casandra Maria Radu and Carmen Corina Radu
Medicina 2023, 59(7), 1257; https://doi.org/10.3390/medicina59071257 - 7 Jul 2023
Cited by 2 | Viewed by 5090
Abstract
Sudden cardiac death (SCD) is the leading cause of mortality globally (violent or non-violent), with few to no feasible remedies. The etiopathogenesis of SCD involves a complex and multilayered substrate in which dynamic factors interact with a preexistent cardiovascular pathology, which is often [...] Read more.
Sudden cardiac death (SCD) is the leading cause of mortality globally (violent or non-violent), with few to no feasible remedies. The etiopathogenesis of SCD involves a complex and multilayered substrate in which dynamic factors interact with a preexistent cardiovascular pathology, which is often undiagnosed and untreated, leading to the rapid development of cardiac rhythm disorders and cardiac arrest. Cardiovascular disease is a rare but emerging factor in maternal mortality that can be justified by an upward trend in the mean age of pregnant individuals. Spontaneous coronary artery dissection (SCAD) is defined as a non-traumatic and non-iatrogenic separation of the coronary arterial wall by intramural hemorrhage with or without an intimal tear. The resulting intramural hematoma compresses the coronary arteries, reducing blood flow and causing myocardial ischemia. SCAD continues to be misdiagnosed, underdiagnosed, and managed as an atherosclerotic acute coronary syndrome, which may harm patients with SCAD. The latest research shows that individuals who have or have had coronavirus disease 2019 (COVID-19) may also present coagulation abnormalities, so infection with COVID-19 during pregnancy can increase this hypercoagulable condition, thus increasing the risk of SCAD and SCD. This present study reports two cases over 35 years, one being infected with SARS-COV2 one month before the event and the other being tested positive during admission, both asymptomatic, who were declared healthy on periodic clinical evaluations, with pregnancies over 35 weeks, with normal fetal development, which suddenly caused chest pain, dyspnea, and loss of consciousness, required emergency c-sections, and died suddenly after they were performed. In both cases, the cause of death was SCAD on the anterior-descending artery. In both cases, emergency percutaneous coronary intervention was performed. The second part of the study represents a literature overview of SCAD during COVID-19. In addition to pregnancy hormonal changes, other potential hormone-mediated SCAD triggers are still under discussion. Full article
(This article belongs to the Special Issue Advances in Cardiac Interventions and Surgery in the COVID-19 Era)
Show Figures

Figure 1

7 pages, 1757 KB  
Interesting Images
Chronic or Changeable Infarct Size after Spontaneous Coronary Artery Dissection
by Gordana Krljanac, Svetlana Apostolovic, Zlatko Mehmedbegovic, Olga Nedeljkovic-Arsenovic, Ruzica Maksimovic, Ivan Ilic, Aleksandra Djokovic, Lidija Savic, Ratko Lasica and Milika Asanin
Diagnostics 2023, 13(9), 1518; https://doi.org/10.3390/diagnostics13091518 - 23 Apr 2023
Cited by 3 | Viewed by 1914
Abstract
Spontaneous coronary artery dissection (SCAD) could be the cause of acute myocardial infarction (AMI) and sudden cardiac death. Clinical presentations can vary considerably, but the most common is the elevation of cardiac biomarkers associated with chest discomfort. Different pathological etiology in comparison with [...] Read more.
Spontaneous coronary artery dissection (SCAD) could be the cause of acute myocardial infarction (AMI) and sudden cardiac death. Clinical presentations can vary considerably, but the most common is the elevation of cardiac biomarkers associated with chest discomfort. Different pathological etiology in comparison with Type 1 AMI is the underlying infarct size in this population. A 42-year-old previously healthy woman presented with SCAD. Detailed diagnostical processing and treatment which were performed could not prevent myocardial injury. The catheterization laboratory was the initial place for the establishment of a diagnosis and proper management. The management process can be very fast and sometimes additional imaging methods are necessary. Finding predictors of SCAD recurrence is challenging, as well as predictors of the resulting infarct scar size. Patients with recurrent clinical symptoms of chest pain, ST elevation, and complication represent a special group of interest. Therapeutic approaches for SCAD range from the ”watch and wait” method to complete revascularization with the implantation of one or more stents or aortocoronary bypass grafting. The infarct size could be balanced through the correct therapeutical approach, and, proper multimodality imaging would be helpful in the assessment of infarct size. Full article
(This article belongs to the Special Issue Critical Care Imaging—2nd Edition)
Show Figures

Graphical abstract

16 pages, 2242 KB  
Review
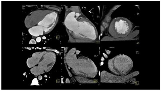
Multimodality Imaging Approach to Spontaneous Coronary Artery Dissection
by Gemma Marrazzo, Stefano Palermi, Fabio Pastore, Massimo Ragni, Mariarosaria De Luca, Michele Gambardella, Gaetano Quaranta, Giancarlo Messalli, Lucia Riegler, Valeria Pergola, Andrea Manto and Antonello D’Andrea
J. Clin. Med. 2023, 12(1), 154; https://doi.org/10.3390/jcm12010154 - 25 Dec 2022
Cited by 16 | Viewed by 3594
Abstract
Spontaneous Coronary Artery Dissection (SCAD) refers to the spontaneous separation of the layers of the vessel wall caused by intramural hemorrhage, with or without an intimal tear. The “typical” SCAD patient is a middle-aged woman with few traditional cardiovascular risk factors, and it’s [...] Read more.
Spontaneous Coronary Artery Dissection (SCAD) refers to the spontaneous separation of the layers of the vessel wall caused by intramural hemorrhage, with or without an intimal tear. The “typical” SCAD patient is a middle-aged woman with few traditional cardiovascular risk factors, and it’s frequently associated with pregnancy. Because of its low incidence, its pathophysiology is not fully understood. SCAD presents as an acute coronary syndrome, with chest pain, dyspnea, syncope, or heartbeat, even if diagnosis and clinical handling are different: coronary angiography is currently the main tool to diagnose SCAD; however, in doubtful cases, the use of both invasive and noninvasive cardiovascular imaging methods such as intravascular ultrasound or optical coherence tomography may be necessary. This paper aims to review the current state of knowledge on SCAD to address its demographic features, clinical characteristics, management, and outcomes, focusing on diagnostic algorithms and main multimodality imaging techniques. Full article
(This article belongs to the Section Cardiology)
Show Figures

Figure 1

Back to TopTop