Sign in to use this feature.

Years

Between: -

Subjects

remove_circle_outline
remove_circle_outline
remove_circle_outline
remove_circle_outline

Journals

Article Types

Countries / Regions

Search Results (8)

Search Parameters:
Keywords = siltuximab

Order results
Result details
Results per page
Select all
Export citation of selected articles as:
13 pages, 2550 KB  
Review
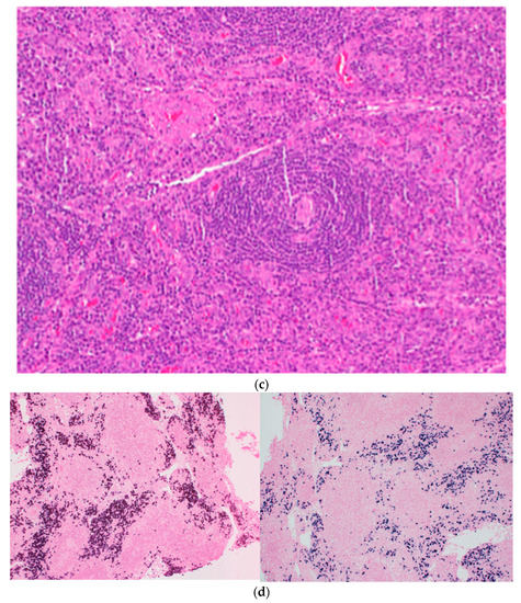
TAFRO Syndrome: Guidance for Managing Patients Presenting Thrombocytopenia, Anasarca, Fever, Reticulin Fibrosis, Renal Insufficiency, and Organomegaly
by Katsuhiro Miura, Haruna Nishimaki-Watanabe, Hiromichi Takahashi, Masaru Nakagawa, Shimon Otake, Takashi Hamada, Takashi Koike, Kazuhide Iizuka, Yuuichi Takeuchi, Kazuya Kurihara, Toshihide Endo, Shun Ito, Hironao Nukariya, Takahiro Namiki, Yoshiyuki Hayashi and Hideki Nakamura
Biomedicines 2024, 12(6), 1277; https://doi.org/10.3390/biomedicines12061277 - 8 Jun 2024
Cited by 3 | Viewed by 5535
Abstract
TAFRO syndrome is an inflammatory disorder of unknown etiology characterized by thrombocytopenia, anasarca, fever, reticulin fibrosis, renal insufficiency, and organomegaly. Despite great advancements in research on the TAFRO syndrome in the last decade, its diagnosis and treatment are still challenging for most clinicians [...] Read more.
TAFRO syndrome is an inflammatory disorder of unknown etiology characterized by thrombocytopenia, anasarca, fever, reticulin fibrosis, renal insufficiency, and organomegaly. Despite great advancements in research on the TAFRO syndrome in the last decade, its diagnosis and treatment are still challenging for most clinicians because of its rarity and severity. Since the initial proposal of the TAFRO syndrome as a distinct disease entity in 2010, two independent diagnostic criteria have been developed. Although these are different in the concept of whether TAFRO syndrome is a subtype of idiopathic multicentric Castleman disease or not, they are similar except for the magnitude of lymph node histopathology. Because there have been no specific biomarkers, numerous diseases must be ruled out before the diagnosis of TAFRO syndrome is made. The standard of care has not been fully established, but interleukin-6 blockade therapy with siltuximab or tocilizumab and anti-inflammatory therapy with high-dose corticosteroids are the most commonly applied for the treatment of TAFRO syndrome. The other immune suppressive agents or combination cytotoxic chemotherapies are considered for patients who do not respond to the initial treatment. Whereas glowing awareness of this disease improves the clinical outcomes of patients with TAFRO syndrome, further worldwide collaborations are warranted. Full article
(This article belongs to the Special Issue Diagnosis, Pathogenesis and Treatment of TAFRO Syndrome)
Show Figures

Figure 1

10 pages, 553 KB  
Article
Molecular and Clinical Characteristics of Different Toxicity Rates in Anti-CD19 Chimeric Antigen Receptor T Cells: Real-World Experience
by E. Gavriilaki, D. Mallouri, Z. Bousiou, C. Demosthenous, A. Vardi, P. Dolgyras, I. Batsis, E. Stroggyli, P. Karvouni, M. Masmanidou, M. Gavriilaki, A. Bouinta, S. Bitsianis, N. Kapravelos, M. Bitzani, G. Vasileiadou, E. Yannaki, D. Sotiropoulos, S. Papagiannopoulos, D. Kazis, V. Kimiskidis, A. Anagnostopoulos and I. Sakellariadd Show full author list remove Hide full author list
Cancers 2023, 15(17), 4253; https://doi.org/10.3390/cancers15174253 - 25 Aug 2023
Cited by 6 | Viewed by 2167
Abstract
Commercially available anti-CD19 chimeric antigen receptor T cells (CARΤ cells) have offered long-term survival to a constantly expanding patient population. Given that novel toxicities including cytokine release syndrome (CRS) and neurotoxicity (ICANS) have been observed, we aimed to document the safety and toxicity [...] Read more.
Commercially available anti-CD19 chimeric antigen receptor T cells (CARΤ cells) have offered long-term survival to a constantly expanding patient population. Given that novel toxicities including cytokine release syndrome (CRS) and neurotoxicity (ICANS) have been observed, we aimed to document the safety and toxicity of this treatment in a real-world study. We enrolled 31 adult patients referred to our center for CAR T therapy. Tisagenlecleucel was infused in 12 patients, axicabtagene ciloleucel in 14, and brexucabtagene autoleucel in 5. Cytokine release syndrome was noted in 26 patients while neurotoxicity was observed in 7. Tocilizumab was administered for CRS in 18 patients, along with short-term, low-dose steroid administration in one patient who developed grade III CRS and, subsequently, grade I ICANS. High-dose steroids, along with anakinra and siltuximab, were administered in only two MCL patients. With a median follow-up time of 13.4 months, nine patients were then in CR. The progression-free (PFS) and overall survival (OS) rates were 41.2% and 88.1% at one year, respectively. MCL diagnosis, which coincides with the administration of brexucabtagene autoleucel, was the only factor to be independently associated with poor OS (p < 0.001); meanwhile, increased LDH independently predicted PFS (p = 0.027).In addition, CRP at day 14 was associated with a poor OS (p = 0.001). Therefore, our real-world experience confirmed that commercial CAR T therapy can be administered with minimal toxicity. Full article
(This article belongs to the Section Clinical Research of Cancer)
Show Figures

Figure 1

8 pages, 1912 KB  
Case Report
Idiopathic Multicentric Castleman Disease Occurring Shortly after mRNA SARS-CoV-2 Vaccine
by Christian Hoffmann, Thomas Wechselberger, Heinz Drexel, Susanne Dertinger, Stefan Dirnhofer, Sheila K. Pierson, David C. Fajgenbaum and Andreas Kessler
Vaccines 2022, 10(10), 1725; https://doi.org/10.3390/vaccines10101725 - 15 Oct 2022
Cited by 12 | Viewed by 3933
Abstract
Idiopathic Multicentric Castleman Disease (iMCD) is a potentially life-threatening systemic disease whose complex symptomatology is due to cytokine dysregulation. We, herein, present a case of severe iMCD occurring in a previously healthy young man shortly after mRNA SARS-CoV-2 vaccination, responding to interleukin-6 blockade [...] Read more.
Idiopathic Multicentric Castleman Disease (iMCD) is a potentially life-threatening systemic disease whose complex symptomatology is due to cytokine dysregulation. We, herein, present a case of severe iMCD occurring in a previously healthy young man shortly after mRNA SARS-CoV-2 vaccination, responding to interleukin-6 blockade with siltuximab. Six months after the completion of siltuximab, the patient remained without any signs of iMCD or inflammation, indicating a temporal trigger of the disease. This case not only adds to the potential pathogenetic spectrum of MCD, but also extends the clinical picture of potential but rare adverse events following COVID-19 immunization. Full article
(This article belongs to the Section COVID-19 Vaccines and Vaccination)
Show Figures

Figure 1

15 pages, 855 KB  
Review
Interleukin Inhibitors in Cytokine Release Syndrome and Neurotoxicity Secondary to CAR-T Therapy
by Puri Ferreros and Isabel Trapero
Diseases 2022, 10(3), 41; https://doi.org/10.3390/diseases10030041 - 6 Jul 2022
Cited by 17 | Viewed by 5407
Abstract
Introduction: Chimeric antigen receptor T-cell (CAR-T) therapy is an innovative therapeutic option for addressing certain recurrent or refractory hematological malignancies. However, CAR-T cells also cause the release of pro-inflammatory cytokines that lead to life-threatening cytokine release syndrome and neurotoxicity. Objective: To study the [...] Read more.
Introduction: Chimeric antigen receptor T-cell (CAR-T) therapy is an innovative therapeutic option for addressing certain recurrent or refractory hematological malignancies. However, CAR-T cells also cause the release of pro-inflammatory cytokines that lead to life-threatening cytokine release syndrome and neurotoxicity. Objective: To study the efficacy of interleukin inhibitors in addressing cytokine release syndrome (CRS) and neurotoxicity secondary to CAR-T therapy. Methodology: The authors conducted a bibliographic review in which 10 articles were analyzed. These included cut-off studies, case reports, and clinical trials involving 11 cancer centers and up to 475 patients over 18 years of age. Results: Tocilizumab is the only interleukin inhibitor approved to address CRS secondary to CAR-T therapy due to its efficacy and safety. Other inhibitors, such as siltuximab and anakinra, could be useful in combination with tocilizumab for preventing severe cytokine release and neurotoxicity. In addition, the new specific inhibitors could be effective in mitigating CRS without affecting the cytotoxic efficacy of CAR-T therapy. Conclusion: More lines of research should be opened to elucidate the true implications of these drugs in treating the side effects of CAR-T therapy. Full article
Show Figures

Figure 1

6 pages, 17661 KB  
Case Report
POEMS Syndrome: Presented as Idiopathic Multicentric Castleman Disease of Plasma Cell Variant for Eight Years and Dramatic Treatment with Siltuximab Followed by Autologous Peripheral Blood Stem Cell Transplantation
by Yong-Moon Lee, Yoon Seok Choi and Jin-Man Kim
Diagnostics 2022, 12(4), 998; https://doi.org/10.3390/diagnostics12040998 - 15 Apr 2022
Cited by 3 | Viewed by 3423
Abstract
Background: POEMS syndrome (POEMS) is a rare plasma cell clonal paraneoplastic syndrome consisting of polyneuropathy, organomegaly, endocrinopathy, monoclonal protein, and skin changes presenting with idiopathic multicentric Castleman disease (iMCD) histology, the treatment of which has not yet been well established. iMCD is also [...] Read more.
Background: POEMS syndrome (POEMS) is a rare plasma cell clonal paraneoplastic syndrome consisting of polyneuropathy, organomegaly, endocrinopathy, monoclonal protein, and skin changes presenting with idiopathic multicentric Castleman disease (iMCD) histology, the treatment of which has not yet been well established. iMCD is also a distinctive rare non-clonal lymphoproliferative disorder, of which dramatic response to Siltuximab, a monoclonal anti-IL-6 antibody, has been reported recently. Methods: the differential diagnosis between POEMS and iMCD can be very challenging because of the identical histology, overlapping similar symptoms such as polyneuropathy, and vital signs insidiously presented to diagnose POEMS. Results: here, we report the case of a 53-year-old man with iMCD treated for 8 years developing sequential polyneuropathy, monoclonal gammopathy, and bone lytic lesions, all of which were confirmed after his iMCD achieved complete remission resulting from siltuximab administration and finally confirmed as POEMS. Conclusions: we describe the clinical ambiguity of disease presenting that we can face in the real world between iMCD and POEMS and emphasise careful, enduring observation lasting several years. Full article
(This article belongs to the Topic Diagnostic Imaging and Pathology in Cancer Research)
Show Figures

Figure 1

23 pages, 1324 KB  
Review
Antirheumatic Drugs against COVID-19 from the Perspective of Rheumatologists
by Mai Kawazoe, Mari Kihara and Toshihiro Nanki
Pharmaceuticals 2021, 14(12), 1256; https://doi.org/10.3390/ph14121256 - 2 Dec 2021
Cited by 12 | Viewed by 6359
Abstract
Coronavirus disease 2019 (COVID-19) remains a global threat to humanity. Its pathogenesis and different phases of disease progression are being elucidated under the pandemic. Active viral replication activates various immune cells and produces large amounts of inflammatory cytokines, which leads to the cytokine [...] Read more.
Coronavirus disease 2019 (COVID-19) remains a global threat to humanity. Its pathogenesis and different phases of disease progression are being elucidated under the pandemic. Active viral replication activates various immune cells and produces large amounts of inflammatory cytokines, which leads to the cytokine storm, a major cause of patient death. Therefore, viral inhibition is expected to be the most effective early in the course of the disease, while immunosuppressive treatment may be useful in the later stages to prevent disease progression. Based on the pathophysiology of rheumatic diseases, various immunomodulatory and immunosuppressive drugs are used for the diseases. Due to their mechanism of action, the antirheumatic drugs, including hydroxychloroquine, chloroquine, colchicine, calcineurin inhibitors (e.g., cyclosporine A and tacrolimus), glucocorticoids, cytokines inhibitors, such as anti-tumor necrosis factor-α (e.g., infliximab), anti-interleukin (IL)-6 (e.g., tocilizumab, sarilumab, and siltuximab), anti-IL-1 (e.g., anakinra and canakinumab) and Janus kinase inhibitors (e.g., baricitinib and tofacitinib), cytotoxic T lymphocyte-associated antigen 4 blockade agents (e.g., abatacept), and phosphodiesterase 4 inhibitors (e.g., apremilast), have been tried as a treatment for COVID-19. In this review, we discuss the mechanisms of action and clinical impact of these agents in the management of COVID-19. Full article
(This article belongs to the Special Issue COVID-19 in Pharmaceuticals)
Show Figures

Figure 1

13 pages, 1036 KB  
Review
Effects of IL-6 Signaling Pathway Inhibition on Weight and BMI: A Systematic Review and Meta-Analysis
by Olivia Patsalos, Bethan Dalton and Hubertus Himmerich
Int. J. Mol. Sci. 2020, 21(17), 6290; https://doi.org/10.3390/ijms21176290 - 31 Aug 2020
Cited by 53 | Viewed by 5694
Abstract
Inhibitors of the IL-6 signaling pathway, such as tocilizumab, are frequently administered for the treatment of immune diseases, e.g., rheumatoid arthritis and multicentric Castleman’s disease. The aim of this systematic review and meta-analysis was to ascertain the effects of IL-6 pathway inhibitors on [...] Read more.
Inhibitors of the IL-6 signaling pathway, such as tocilizumab, are frequently administered for the treatment of immune diseases, e.g., rheumatoid arthritis and multicentric Castleman’s disease. The aim of this systematic review and meta-analysis was to ascertain the effects of IL-6 pathway inhibitors on weight and body mass index (BMI). Using PRISMA guidelines, we systematically reviewed relevant articles from three databases (PubMed, OVID, EMBASE). A random effects model was used to estimate standardized mean change (SMCC). Ten studies with a total of 1531 patients were included in the meta-analysis for weight and ten studies with a total of 1537 patients were included in the BMI meta-analysis. The most commonly administered IL-6 pathway inhibitor was tocilizumab. IL-6 pathway inhibitors were associated with increases in weight (SMCC = 0.09, p = 0.016, 95% CI [0.03, 0.14]) and BMI (SMCC = 0.10, p = 0.0001, 95% CI [0.05, 0.15]). These findings suggest that the IL-6 pathway is involved in weight regulation. Modulating IL-6 signaling may be a potential future therapeutic avenue used as an adjunct for the treatment of disorders associated with weight changes, such as cancer cachexia and anorexia nervosa. Full article
(This article belongs to the Special Issue Peripheral Targets in Obesity: Pathologies and Therapeutics)
Show Figures

Figure 1

25 pages, 906 KB  
Review
Investigational Monoclonal Antibodies in the Treatment of Multiple Myeloma: A Systematic Review of Agents under Clinical Development
by Ahmad Iftikhar, Hamza Hassan, Nimra Iftikhar, Adeela Mushtaq, Atif Sohail, Nathaniel Rosko, Rajshekhar Chakraborty, Faryal Razzaq, Sonia Sandeep, Jason Neil Valent, Abraham Sebastian Kanate and Faiz Anwer
Antibodies 2019, 8(2), 34; https://doi.org/10.3390/antib8020034 - 24 May 2019
Cited by 15 | Viewed by 8569
Abstract
Background: Immunotherapy for multiple myeloma (MM) has been the focus in recent years due to its myeloma-specific immune responses. We reviewed the literature on non-Food and Drug Administration (FDA) approved monoclonal antibodies (mAbs) to highlight future perspectives. We searched PubMed, EMBASE, Web of [...] Read more.
Background: Immunotherapy for multiple myeloma (MM) has been the focus in recent years due to its myeloma-specific immune responses. We reviewed the literature on non-Food and Drug Administration (FDA) approved monoclonal antibodies (mAbs) to highlight future perspectives. We searched PubMed, EMBASE, Web of Science, Cochrane Library and ClinicalTrials.gov to include phase I/II clinical trials. Data from 39 studies (1906 patients) were included. Of all the agents, Isatuximab (Isa, anti-CD38) and F50067 (anti-CXCR4) were the only mAbs to produce encouraging results as monotherapy with overall response rates (ORRs) of 66.7% and 32% respectively. Isa showed activity when used in combination with lenalidomide (Len) and dexamethasone (Dex), producing a clinical benefit rate (CBR) of 83%. Additionally, Isa used in combination with pomalidomide (Pom) and Dex resulted in a CBR of 73%. Indatuximab Ravtansine (anti-CD138 antibody-drug conjugate) produced an ORR of 78% and 79% when used in combination with Len-Dex and Pom-Dex, respectively. Conclusions: Combination therapy using mAbs such as indatuximab, pembrolizumab, lorvotuzumab, siltuximab or dacetuzumab with chemotherapy agents produced better outcomes as compared to monotherapies. Further clinical trials investigating mAbs targeting CD38 used in combination therapy are warranted. Full article
(This article belongs to the Special Issue Antibody-Based Therapeutics for Treating Cancer)
Show Figures

Figure 1

Back to TopTop