TAFRO Syndrome: Guidance for Managing Patients Presenting Thrombocytopenia, Anasarca, Fever, Reticulin Fibrosis, Renal Insufficiency, and Organomegaly
Abstract
1. Introduction
2. What Is TAFRO Syndrome?
2.1. Establishment of Disease Concept
2.2. Development of Diagnostic Criteria
2.3. Relevance to Castleman’s Disease
3. How to Diagnose TAFRO Syndrome
3.1. Clinical Application of Diagnostic Criteria
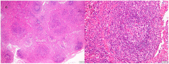
3.2. Histopathological Diagnosis of Lymph Nodes
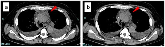
3.3. Other Findings
4. How to Treat TAFRO Syndrome
| References | Agents | Clinical Outcomes * |
|---|---|---|
| Iwaki et al. [8] |
| 11 of 23 (47.8%) patients responded 9 of 12 (75%) patients responded |
| Pierson et al. [41] |
| 10 of 21 (47.6%) patients responded 5 of 13 (38.5%) patients responded None of the 22 patients responded 3 of 10 (30%) patients responded 11 of 23 (47.8%) patients responded 14 of 31 (45.2%) patients responded |
| Fujimoto et al. [42] |
| 1-year survival rate of 71.4% (n = 21) Median time to next treatment (TTNT) of 2.8 months 1-year survival rate of 71.4% (n = 21) Median TTNT of 9.2 months 1-year survival rate of 64.3% (n = 14) Median TTNT not reached 1-year survival rate of 87.5% (n = 8) |
| Akiyama et al. [44] |
| A total 31 patients (1st line, n = 18 and later line, n = 13) 16 (51.6%) achieved complete response, and 15 patients showed only partial or no response |
5. Conclusions
Author Contributions
Funding
Institutional Review Board Statement
Informed Consent Statement
Data Availability Statement
Acknowledgments
Conflicts of Interest
References
- Takai, K.; Nikkuni, K.; Shibuya, H.; Hashidate, H. Thrombocytopenia with mild bone marrow fibrosis accompanied by fever, pleural effusion, ascites and hepatosplenomegaly. Jpn. J. Clin. Hematol. 2010, 51, 320–325. [Google Scholar] [CrossRef]
- Masaki, Y.; Nakajima, A.; Iwao, H.; Kurose, N.; Sato, T.; Nakamura, T.; Miki, M.; Sakai, T.; Kawanami, T.; Sawaki, T.; et al. Japanese variant of multicentric Castleman’s disease associated with serositis and thrombocytopenia—A report of two cases: Is TAFRO syndrome (Castleman-Kojima disease) a distinct clinicopathological entity? J. Clin. Exp. Hematop. 2013, 53, 79–85. [Google Scholar] [CrossRef]
- Takai, K.; Nikkuni, K.; Momoi, A.; Nagai, K.; Igarashi, N.; Saeki, T. Thrombocytopenia with reticulin fibrosis accompanied by fever, anasarca and hepatosplenomegaly: A clinical report of five cases. J. Clin. Exp. Hematop. 2013, 53, 63–68. [Google Scholar] [CrossRef] [PubMed]
- Kawabata, H.; Kadowaki, N.; Nishikori, M.; Kitawaki, T.; Kondo, T.; Ishikawa, T.; Yoshifuji, H.; Yamakawa, N.; Imura, Y.; Mimori, T.; et al. Clinical features and treatment of multicentric Castleman’s disease: A retrospective study of 21 Japanese patients at a single institute. J. Clin. Exp. Hematop. 2013, 53, 69–77. [Google Scholar] [CrossRef] [PubMed]
- Iwaki, N.; Sato, Y.; Takata, K.; Kondo, E.; Ohno, K.; Takeuchi, M.; Orita, Y.; Nakao, S.; Yoshino, T. Atypical hyaline vascular-type Castleman’s disease with thrombocytopenia, anasarca, fever, and systemic lymphadenopathy. J. Clin. Exp. Hematop. 2013, 53, 87–93. [Google Scholar] [CrossRef] [PubMed]
- Kawabata, H.; Takai, K.; Kojima, M.; Nakamura, N.; Aoki, S.; Nakamura, S.; Kinoshita, T.; Masaki, Y. Castleman-Kojima disease (TAFRO syndrome): A novel systemic inflammatory disease characterized by a constellation of symptoms, namely, thrombocytopenia, ascites (anasarca), microcytic anemia, myelofibrosis, renal dysfunction, and organomegaly: A status report and summary of Fukushima (6 June, 2012) and Nagoya meetings (22 September, 2012). J. Clin. Exp. Hematop. 2013, 53, 57–61. [Google Scholar] [CrossRef] [PubMed]
- Kojima, M.; Nakamura, N.; Tsukamoto, N.; Otuski, Y.; Shimizu, K.; Itoh, H.; Kobayashi, S.; Kobayashi, H.; Murase, T.; Masawa, N.; et al. Clinical implications of idiopathic multicentric Castleman disease among Japanese: A report of 28 cases. Int. J. Surg. Pathol. 2008, 16, 391–398. [Google Scholar] [CrossRef] [PubMed]
- Iwaki, N.; Fajgenbaum, D.C.; Nabel, C.S.; Gion, Y.; Kondo, E.; Kawano, M.; Masunari, T.; Yoshida, I.; Moro, H.; Nikkuni, K.; et al. Clinicopathologic analysis of TAFRO syndrome demonstrates a distinct subtype of HHV-8-negative multicentric Castleman disease. Am. J. Hematol. 2016, 91, 220–226. [Google Scholar] [CrossRef] [PubMed]
- Nishimura, Y.; Fajgenbaum, D.C.; Pierson, S.K.; Iwaki, N.; Nishikori, A.; Kawano, M.; Nakamura, N.; Izutsu, K.; Takeuchi, K.; Nishimura, M.F.; et al. Validated international definition of the thrombocytopenia, anasarca, fever, reticulin fibrosis, renal insufficiency, and organomegaly clinical subtype (TAFRO) of idiopathic multicentric Castleman disease. Am. J. Hematol. 2021, 96, 1241–1252. [Google Scholar] [CrossRef]
- Masaki, Y.; Kawabata, H.; Takai, K.; Kojima, M.; Tsukamoto, N.; Ishigaki, Y.; Kurose, N.; Ide, M.; Murakami, J.; Nara, K.; et al. Proposed Diagnostic Criteria, Disease Severity Classification and Treatment Strategy for TAFRO Syndrome, 2015 version. Int. J. Hematol. 2016, 103, 686–692. [Google Scholar] [CrossRef]
- Masaki, Y.; Kawabata, H.; Takai, K.; Tsukamoto, N.; Fujimoto, S.; Ishigaki, Y.; Kurose, N.; Miura, K.; Nakamura, S.; Aoki, S.; et al. 2019 Updated diagnostic criteria and disease severity classification for TAFRO syndrome. Int. J. Hematol. 2020, 111, 155–158. [Google Scholar] [CrossRef] [PubMed]
- Sato, Y. Castleman-Kojima disease and TAFRO syndrome. Pathol. Clin. Med. 2019, 37, 899–901. [Google Scholar]
- Fajgenbaum, D.C.; June, C.H. Cytokine storm. N. Engl. J. Med. 2020, 383, 2255–2273. [Google Scholar] [CrossRef] [PubMed]
- Chen, T.; Feng, C.; Zhang, X.; Zhou, J. TAFRO syndrome: A disease that known is half cured. Hematol. Oncol. 2023, 41, 310–322. [Google Scholar] [CrossRef] [PubMed]
- Fajgenbaum, D.C.; Uldrick, T.S.; Bagg, A.; Frank, D.; Wu, D.; Srkalovic, G.; Simpson, D.; Liu, A.Y.; Menke, D.; Chandrakasan, S.; et al. International, evidence-based consensus diagnostic criteria for HHV-8-negative/idiopathic multicentric Castleman disease. Blood 2017, 129, 1646–1657. [Google Scholar] [CrossRef] [PubMed]
- Nishimura, Y.; Nishimura, M.F.; Sato, Y. International definition of iMCD-TAFRO: Future perspectives. J. Clin. Exp. Hematop. 2022, 62, 73–78. [Google Scholar] [CrossRef] [PubMed]
- Fujimoto, S.; Sakai, T.; Kawabata, H.; Kurose, N.; Yamada, S.; Takai, K.; Aoki, S.; Kuroda, J.; Ide, M.; Setoguchi, K.; et al. Is TAFRO syndrome a subtype of idiopathic multicentric Castleman disease? Am. J. Hematol. 2019, 94, 975–983. [Google Scholar] [CrossRef]
- Masaki, Y.; Arita, K.; Sakai, T.; Takai, K.; Aoki, S.; Kawabata, H. Castleman disease and TAFRO syndrome. Ann. Hematol. 2022, 101, 485–490. [Google Scholar] [CrossRef]
- González García, A.; Fernández-Martín, J.; Robles Marhuenda, Á. Idiopathic Multicentric Castleman Disease and Associated Autoimmune and Autoinflammatory Conditions: Practical Guidance for Diagnosis. Rheumatology 2023, 62, 1426–1435. [Google Scholar] [CrossRef]
- Masaki, Y.; Ueda, Y.; Yanagisawa, H.; Arita, K.; Sakai, T.; Yamada, K.; Mizuta, S.; Fukushima, T.; Takai, K.; Aoki, S.; et al. TAFRO syndrome: A disease requiring immediate medical attention. Intern. Med. 2023, 62, 27–32. [Google Scholar] [CrossRef]
- Wallace, Z.S.; Naden, R.P.; Chari, S.; Choi, H.; Della-Torre, E.; Dicaire, J.F.; Hart, P.A.; Inoue, D.; Kawano, M.; Khosroshahi, A.; et al. The 2019 American College of Rheumatology/European League Against Rheumatism classification criteria for IgG4-related disease. Arthritis Rheumatol. 2020, 72, 7–19. [Google Scholar] [CrossRef] [PubMed]
- Umehara, H.; Okazaki, K.; Kawa, S.; Takahashi, H.; Goto, H.; Matsui, S.; Ishizaka, N.; Akamizu, T.; Sato, Y.; Kawano, M.; et al. The 2020 revised comprehensive diagnostic (RCD) criteria for IgG4-RD. Mod. Rheumatol. 2021, 31, 529–533. [Google Scholar] [CrossRef] [PubMed]
- Nishikori, A.; Nishimura, M.F.; Fajgenbaum, D.C.; Nishimura, Y.; Maehama, K.; Haratake, T.; Tabata, T.; Kawano, M.; Nakamura, N.; Momose, S.; et al. Diagnostic challenges of the idiopathic plasmacytic lymphadenopathy (IPL) subtype of idiopathic multicentric Castleman disease (iMCD): Factors to differentiate from IgG4-related disease. J. Clin. Pathol. 2024; online ahead of print. [Google Scholar] [CrossRef]
- Bustamante, M.S.; Pierson, S.K.; Ren, Y.; Bagg, A.; Brandstadter, J.D.; Srkalovic, G.; Mango, N.; Alapat, D.; Lechowicz, M.J.; Li, H.; et al. Longitudinal, natural history study reveals the disease burden of idiopathic multicentric Castleman disease. Haematologica, 2024; early view. [Google Scholar] [CrossRef]
- Rubenstein, A.I.; Pierson, S.K.; Shyamsundar, S.; Bustamante, M.S.; Gonzalez, M.V.; Milller, I.D.; Brandstadter, J.D.; Mumau, M.D.; Fajgenbaum, D.C. Immune-mediated thrombocytopenia and IL-6-mediated thrombocytosis observed in idiopathic multicentric Castleman disease. Br. J. Haematol. 2024, 204, 921–930. [Google Scholar] [CrossRef] [PubMed]
- Carbone, A.; Pantanowitz, L. TAFRO syndrome: An atypical variant of KSHV-negative multicentric Castleman disease. Am. J. Hematol. 2016, 91, 171–172. [Google Scholar] [CrossRef] [PubMed]
- Fajgenbaum, D.C.; Wu, D.; Goodman, A.; Wong, R.; Chadburn, A.; Nasta, S.; Srkalovic, G.; Mukherjee, S.; Leitch, H.; Jayanthan, R.; et al. Insufficient evidence exists to use histopathologic subtype to guide treatment of idiopathic multicentric Castleman disease. Am. J. Hematol. 2020, 95, 1553–1561. [Google Scholar] [CrossRef] [PubMed]
- Dispenzieri, A.; Fajgenbaum, D.C. Overview of Castleman disease. Blood 2020, 135, 1353–1364. [Google Scholar] [CrossRef] [PubMed]
- Kurose, N.; Futatsuya, C.; Mizutani, K.I.; Kumagai, M.; Shioya, A.; Guo, X.; Aikawa, A.; Nakada, S.; Fujimoto, S.; Kawabata, H.; et al. The clinicopathological comparison among nodal cases of idiopathic multicentric Castleman disease with and without TAFRO syndrome. Hum. Pathol. 2018, 77, 130–138. [Google Scholar] [CrossRef] [PubMed]
- Lunning, M.A.; Armitage, J.O. Do you know TAFRO? Blood 2018, 132, 2109–2110. [Google Scholar] [CrossRef] [PubMed]
- Nishimura, M.F.; Nishimura, Y.; Nishikori, A.; Yoshino, T.; Sato, Y. Historical and pathological overview of Castleman disease. J. Clin. Exp. Hematop. 2022, 62, 60–72. [Google Scholar] [CrossRef]
- Takeuchi, K. Idiopathic plasmacytic lymphadenopathy: A conceptual history along with a translation of the original Japanese article published in 1980. J. Clin. Exp. Hematop. 2022, 62, 79–84. [Google Scholar] [CrossRef]
- Nishikori, A.; Nishimura, M.F.; Nishimura, Y.; Otsuka, F.; Maehama, K.; Ohsawa, K.; Momose, S.; Nakamura, N.; Sato, Y. Idiopathic plasmacytic lymphadenopathy forms an independent subtype of idiopathic multicentric Castleman disease. Int. J. Mol. Sci. 2022, 23, 10301. [Google Scholar] [CrossRef] [PubMed]
- Zhang, L.; Dong, Y.J., Jr.; Peng, H.L.; Li, H.; Zhang, M.Z.; Wang, H.H.; Liu, Q.H.; Su, L.P.; Zhong, L.Y.; Wu, W.J.; et al. A national, multicenter, retrospective study of Castleman disease in China implementing CDCN criteria. Lancet Reg. Health West. Pac. 2023, 34, 100720. [Google Scholar] [CrossRef] [PubMed]
- Gao, Y.-H.; Liu, Y.-T.; Zhang, M.-Y.; Li, S.-Y.; Fajgenbaum, D.C.; Zhang, L.; Li, J. Idiopathic multicentric Castleman disease (iMCD)-idiopathic plasmacytic lymphadenopathy: A distinct subtype of iMCD-not otherwise specified with different clinical features and better survival. Br. J. Haematol. 2024, 204, 1830–1837. [Google Scholar] [CrossRef] [PubMed]
- Belyaeva, E.; Rubenstein, A.; Pierson, S.K.; Dalldorf, D.; Frank, D.; Lim, M.S.; Fajgenbaum, D.C. Bone marrow findings of idiopathic Multicentric Castleman disease: A histopathologic analysis and systematic literature review. Hematol. Oncol. 2022, 40, 191–201. [Google Scholar] [CrossRef] [PubMed]
- Mizuno, H.; Sawa, N.; Watanabe, S.; Ikuma, D.; Sekine, A.; Kawada, M.; Yamanouchi, M.; Hasegawa, E.; Suwabe, T.; Hoshino, J.; et al. The clinical and histopathological feature of renal manifestation of TAFRO syndrome. Kidney Int. Rep. 2020, 5, 1172–1179. [Google Scholar] [CrossRef] [PubMed]
- Tu, K.H.; Fan, P.Y.; Chen, T.D.; Chuang, W.Y.; Wu, C.Y.; Ku, C.L.; Tian, Y.C.; Yang, C.W.; Fang, J.T.; Yang, H.Y. Tafro syndrome with renal thrombotic microangiopathy: Insights into the molecular mechanism and treatment opportunities. Int. J. Mol. Sci. 2021, 22, 6286. [Google Scholar] [CrossRef] [PubMed]
- Kiguchi, T.; Sato, C.; Takai, K.; Nakai, Y.; Kaneko, Y.; Matsuki, M. CT findings in 11 patients with TAFRO syndrome: A variant of multicentric Castleman’s disease. Clin. Radiol. 2017, 72, 905.e1–905.e5. [Google Scholar] [CrossRef]
- van Rhee, F.; Voorhees, P.; Dispenzieri, A.; Fosså, A.; Srkalovic, G.; Ide, M.; Munshi, N.; Schey, S.; Streetly, M.; Pierson, S.K.; et al. International, evidence-based consensus treatment guidelines for idiopathic multicentric Castleman disease. Blood 2018, 132, 2115–2124. [Google Scholar] [CrossRef]
- Pierson, S.K.; Lim, M.S.; Srkalovic, G.; Brandstadter, J.D.; Sarmiento Bustamante, M.; Shyamsundar, S.; Mango, N.; Lavery, C.; Austin, B.; Alapat, D.; et al. Treatment consistent with idiopathic multicentric Castleman disease guidelines is associated with improved outcomes. Blood Adv. 2023, 7, 6652–6664. [Google Scholar] [CrossRef]
- Fujimoto, S.; Kawabata, H.; Sakai, T.; Yanagisawa, H.; Nishikori, M.; Nara, K.; Ohara, S.; Tsukamoto, N.; Kurose, N.; Yamada, S.; et al. Optimal treatments for TAFRO syndrome: A retrospective surveillance study in Japan. Int. J. Hematol. 2021, 113, 73–80. [Google Scholar] [CrossRef]
- Kawabata, H.; Fujimoto, S.; Sakai, T.; Yanagisawa, H.; Kitawaki, T.; Nara, K.; Hagihara, M.; Yamamoto, H.; Tanimizu, M.; Kato, C.; et al. Patient’s age and d-dimer levels predict the prognosis in patients with TAFRO syndrome. Int. J. Hematol. 2021, 114, 179–188. [Google Scholar] [CrossRef] [PubMed]
- Akiyama, M.; Kaneko, Y.; Takeuchi, T. Tocilizumab for the treatment of TAFRO syndrome: A systematic literature review. Ann. Hematol. 2020, 99, 2463–2475. [Google Scholar] [CrossRef] [PubMed]
- Nishimura, Y.; Nishimura, M.F.; Fajgenbaum, D.C.; van Rhee, F.; Sato, Y.; Otsuka, F. Global public awareness of Castleman disease and TAFRO syndrome between 2015 and 2021: A Google Trends analysis. EJHaem 2022, 3, 748–753. [Google Scholar] [CrossRef] [PubMed]
- Maisonobe, L.; Bertinchamp, R.; Damian, L.; Gérard, L.; Berisha, M.; Guillet, S.; Fieschi, C.; Malphettes, M.; Fadlallah, J.; Hié, M.; et al. Characteristics of thrombocytopenia, anasarca, fever, reticulin fibrosis and organomegaly syndrome: A retrospective study from a large Western cohort. Br. J. Haematol. 2022, 196, 599–605. [Google Scholar] [CrossRef]



| International Definition of iMCD-TAFRO | 2019 Updated Criteria for TAFRO Syndrome | |
|---|---|---|
| Histopathology | Mandatory
| Categorized in minor item (see below); however, as it is very important to exclude malignancies including lymphoma, lymph node biopsy is strongly recommended |
| Major items | All four required
| All three required
|
| Minor items | At least one required
| At least two required
|
| Supportive items | Not required but strongly supportive
| Points to consider
|
| Exclusions | Must rule out the following diseases:
2. EBV-associated 3. Lymphoproliferative disorders 4. Acute HIV infection 5. Tuberculosis 6. COVID-19 cytokine storm syndrome
2. Sjögren syndrome 3. Rheumatoid arthritis 4. Adult-onset Still disease 5. Juvenile idiopathic arthritis 6. IgG ≥ 3400 mg/dL (suggestive of autoimmune diseases or plasma cell dyscrasias) 7. Primary hemophagocytic lymphohistiocytosis
2. Multiple myeloma 3. Metastatic cancer 4. POEMS syndrome | Diseases to be excluded:
|
Disclaimer/Publisher’s Note: The statements, opinions and data contained in all publications are solely those of the individual author(s) and contributor(s) and not of MDPI and/or the editor(s). MDPI and/or the editor(s) disclaim responsibility for any injury to people or property resulting from any ideas, methods, instructions or products referred to in the content. |
© 2024 by the authors. Licensee MDPI, Basel, Switzerland. This article is an open access article distributed under the terms and conditions of the Creative Commons Attribution (CC BY) license (https://creativecommons.org/licenses/by/4.0/).
Share and Cite
Miura, K.; Nishimaki-Watanabe, H.; Takahashi, H.; Nakagawa, M.; Otake, S.; Hamada, T.; Koike, T.; Iizuka, K.; Takeuchi, Y.; Kurihara, K.; et al. TAFRO Syndrome: Guidance for Managing Patients Presenting Thrombocytopenia, Anasarca, Fever, Reticulin Fibrosis, Renal Insufficiency, and Organomegaly. Biomedicines 2024, 12, 1277. https://doi.org/10.3390/biomedicines12061277
Miura K, Nishimaki-Watanabe H, Takahashi H, Nakagawa M, Otake S, Hamada T, Koike T, Iizuka K, Takeuchi Y, Kurihara K, et al. TAFRO Syndrome: Guidance for Managing Patients Presenting Thrombocytopenia, Anasarca, Fever, Reticulin Fibrosis, Renal Insufficiency, and Organomegaly. Biomedicines. 2024; 12(6):1277. https://doi.org/10.3390/biomedicines12061277
Chicago/Turabian StyleMiura, Katsuhiro, Haruna Nishimaki-Watanabe, Hiromichi Takahashi, Masaru Nakagawa, Shimon Otake, Takashi Hamada, Takashi Koike, Kazuhide Iizuka, Yuuichi Takeuchi, Kazuya Kurihara, and et al. 2024. "TAFRO Syndrome: Guidance for Managing Patients Presenting Thrombocytopenia, Anasarca, Fever, Reticulin Fibrosis, Renal Insufficiency, and Organomegaly" Biomedicines 12, no. 6: 1277. https://doi.org/10.3390/biomedicines12061277
APA StyleMiura, K., Nishimaki-Watanabe, H., Takahashi, H., Nakagawa, M., Otake, S., Hamada, T., Koike, T., Iizuka, K., Takeuchi, Y., Kurihara, K., Endo, T., Ito, S., Nukariya, H., Namiki, T., Hayashi, Y., & Nakamura, H. (2024). TAFRO Syndrome: Guidance for Managing Patients Presenting Thrombocytopenia, Anasarca, Fever, Reticulin Fibrosis, Renal Insufficiency, and Organomegaly. Biomedicines, 12(6), 1277. https://doi.org/10.3390/biomedicines12061277

