Sign in to use this feature.

Years

Between: -

Subjects

remove_circle_outline
remove_circle_outline
remove_circle_outline
remove_circle_outline
remove_circle_outline
remove_circle_outline
remove_circle_outline
remove_circle_outline
remove_circle_outline

Journals

remove_circle_outline
remove_circle_outline
remove_circle_outline
remove_circle_outline
remove_circle_outline
remove_circle_outline
remove_circle_outline
remove_circle_outline
remove_circle_outline
remove_circle_outline
remove_circle_outline
remove_circle_outline
remove_circle_outline
remove_circle_outline
remove_circle_outline
remove_circle_outline
remove_circle_outline
remove_circle_outline
remove_circle_outline
remove_circle_outline
remove_circle_outline

Article Types

Countries / Regions

remove_circle_outline
remove_circle_outline
remove_circle_outline
remove_circle_outline

Search Results (1,153)

Search Parameters:
Keywords = resonance scan method

Order results
Result details
Results per page
Select all
Export citation of selected articles as:
12 pages, 1625 KB  
Article
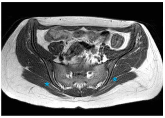
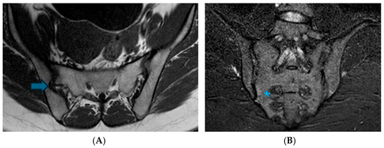
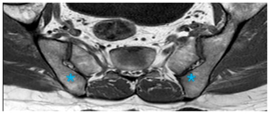
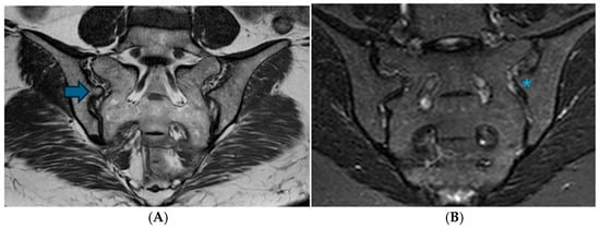
Assessment of Anatomical Variations in the Sacroiliac Joint Using Magnetic Resonance Imaging: A Retrospective Study of 840 Patients
by Selen Beyazıt, Gezmiş Kimyon and Sinem Karazincir
Diagnostics 2026, 16(7), 1020; https://doi.org/10.3390/diagnostics16071020 (registering DOI) - 28 Mar 2026
Abstract
Background/Objectives: This study aimed to examine the prevalence of anatomical variations in the sacroiliac joints (SIJs) as observed through Magnetic Resonance Imaging (MRI), to characterize their manifestations, and to identify MRI features that may resemble inflammatory alterations. Methods: A retrospective review was conducted [...] Read more.
Background/Objectives: This study aimed to examine the prevalence of anatomical variations in the sacroiliac joints (SIJs) as observed through Magnetic Resonance Imaging (MRI), to characterize their manifestations, and to identify MRI features that may resemble inflammatory alterations. Methods: A retrospective review was conducted on consecutive MRI scans of the SIJ performed from January 2009 to January 2022. Eight anatomical variations, along with associated edematous and structural changes, were assessed. Results: The study encompassed 840 patients, with anatomical variations identified in 39.7% of the cohort, occurring more frequently among female participants. The most prevalent variations were accessory SIJ (36.2%) and the iliosacral complex (32.2%). Notably, isolated synostosis and persistent ossification center variations were absent. The increased frequency of variations in women, as well as their correlation with advancing age, was statistically significant (p = 0.034). Accessory SIJ and dysmorphic alterations were linked to bone marrow edema and structural modifications. In the iliosacral complex and semicircular defect variations, prominent vascular structures were observed extending along the bone surfaces. The number and depth of edema slices in sacroiliitis exceeded those observed in the variation (p < 0.001). Conclusions: Anatomical variations of the SIJ are prevalent among women and tend to increase with advancing age. Given that these variations, particularly accessory SIJ and dysmorphic alterations, may present with edematous and structural signal intensity changes that resemble sacroiliitis, it is crucial to recognize these variations. It is recommended to assess axial and coronal images concurrently and to exercise caution in the interpretation of SIJ MR images. Full article
(This article belongs to the Section Medical Imaging and Theranostics)
Show Figures

Figure 1

20 pages, 7778 KB  
Article
Reservoir Characteristics and Main Controlling Factors of Tight Sandstone in the First Sub-Member of the First Member of Shaximiao Formation in the Zhongjiang Block of Tianfu Gas Field, Sichuan Basin
by Xiaoli Zhang, Rongrong Zhao, Xiaojuan Wang, Lin Qiao, Hang Li, Xiaoting Pang, Hualing Ma, Xu Guan, Shuangling Chen and Jiang He
Processes 2026, 14(6), 994; https://doi.org/10.3390/pr14060994 - 20 Mar 2026
Viewed by 156
Abstract
The Tianfu Gas Field in the Sichuan Basin is a core block for the large-scale, economic development of Jurassic tight gas in China. The first sub-member of the first member of the Shaximiao Formation in the Zhongjiang Block hosts typical low-porosity and low-permeability [...] Read more.
The Tianfu Gas Field in the Sichuan Basin is a core block for the large-scale, economic development of Jurassic tight gas in China. The first sub-member of the first member of the Shaximiao Formation in the Zhongjiang Block hosts typical low-porosity and low-permeability tight sandstone reservoirs. Based on detailed field geological surveys and core observations, this study employed multiple technical methods, including cast thin sections, scanning electron microscopy, computed tomography (CT) scanning, and nuclear magnetic resonance (NMR) to investigate sedimentary microfacies’ characteristics, analyze key reservoir properties (e.g., reservoir space types and pore structure), and clarify the main controlling factors of reservoir development. The results indicate the following: (1) The sedimentary period of the first sub-member of the first member of the Shaximiao formation (Es11) was controlled by a subtropical humid climate, with widespread gray mudstones and bedding-parallel plant fossil fragments. The main sedimentary environment was a shallow-water delta front, where the underwater distributary channel microfacies was the dominant facies belt. (2) Reservoir lithology is dominated by lithic arkose and feldspathic litharenite, with low compositional and structural maturity. Residual primary intergranular pores are the dominant reservoir space type, followed by intragranular dissolved pores in feldspar and lithic fragments. (3) The pore structure is characterized by a small pore-throat radius, poor sorting, and strong heterogeneity. Reservoirs can be subdivided into three categories, with Types II and III being the main types developed in this block. (4) Underwater distributary channels of the shallow-water delta are the main occurrence of reservoir sand bodies. During the burial diagenetic stage, calcite and laumontite cementation and filling led to reservoir densification. Meanwhile, early-formed chlorite rim cement effectively protected primary pores by inhibiting grain compaction and quartz overgrowth. Superimposed with the dissolution and alteration of feldspar, lithic fragments, and other components by late acidic fluids, effective pores were further expanded. The synergistic coupling of these sand-controlling factors and the “densification–protection–alteration” diagenetic process jointly constitutes the formation mechanism of high-quality reservoirs. This mechanism can provide a reliable theoretical basis for the accurate prediction of reservoir “sweet spots” and the optimal selection of horizontal well targets in the Zhongjiang Block of the Tianfu Gas Field. Full article
Show Figures

Figure 1

21 pages, 2220 KB  
Article
Analytical Physicochemical and Functional Studies to Compare AryoTrust, a Follow-On Biologics, with the Originator Trastuzumab (Herceptin)
by Khalid Kadhem Al-Kinani, Hussein Kadhum Alkufi and Salam Shanta Taher
Pharmaceutics 2026, 18(3), 383; https://doi.org/10.3390/pharmaceutics18030383 - 20 Mar 2026
Viewed by 329
Abstract
Background: Trastuzumab is a blockbuster monoclonal antibody that has revolutionized the treatment of HER2-positive breast and gastric cancers. With the increasing availability of biosimilar monoclonal antibodies in clinical practice, independent verification of biosimilarity using products sampled from a real-world supply chain is [...] Read more.
Background: Trastuzumab is a blockbuster monoclonal antibody that has revolutionized the treatment of HER2-positive breast and gastric cancers. With the increasing availability of biosimilar monoclonal antibodies in clinical practice, independent verification of biosimilarity using products sampled from a real-world supply chain is important to assure clinicians and the patients to use these products confidently. Objective: The aim of this study is to assess the biosimilarity of AryoTrust, a trastuzumab biosimilar, in comparison with the reference product Herceptin. AryoTrust and Herceptin products were randomly withdrawn from Iraqi hospitals to reflect medicines administered in real clinical settings. Methods: AryoTrust and Herceptin were compared using an extensive set of orthogonal analytical techniques which included SDS-PAGE, ion-exchange chromatography, capillary isoelectric focusing, peptide mapping, N-glycan profiling, circular dichroism, differential scanning calorimetry, and surface plasmon resonance. In addition to these teste, functional comparability was also tested using an HER2-dependent cell-based proliferation inhibition bioassay. Results: The results showed that both products have highly comparable profiles in all assessed attributes. The analysis showed similar molecular integrity and purity, identical primary structure, comparable charge heterogeneity, similar isoelectric points (pI) of the main isoform, close glycosylation patterns (mainly, by core-fucosylated complex-type glycans), similar higher-order structural features, and thermal stability. The receptor binding studies exhibited comparable binding affinities with Fcγ receptors and FcRn. Finally, the cell-based bioassay revealed comparable dose–response curves with similar EC50 values and relative potency. Conclusions: The integrated analytical and functional data support the biosimilarity of AryoTrust to the reference product Herceptin, which has been marketed and used in Iraq. This study provides real-world scientific evidence supporting confidence in the quality and comparability of this trastuzumab biosimilar and reduces any doubt in the product and at the same time emphasizes the value of independent post-marketing biosimilarity assessments. Full article
(This article belongs to the Special Issue Medical Applications of Biologic Drugs)
Show Figures

Figure 1

21 pages, 6855 KB  
Article
Hierarchical Multi-Scale Feature Fusion Network with Implicit Neural Representation and Mamba for Cross-Modality MRI Synthesis
by Zhihao Luo and Jun Lyu
Sensors 2026, 26(6), 1901; https://doi.org/10.3390/s26061901 - 18 Mar 2026
Viewed by 159
Abstract
Magnetic resonance imaging (MRI), a widely adopted modality in clinical practice, enables the acquisition of multi-contrast images from the same anatomical structure, commonly referred to as multimodal images. Integrating these diverse modalities is crucial for enhancing model performance across a variety of medical [...] Read more.
Magnetic resonance imaging (MRI), a widely adopted modality in clinical practice, enables the acquisition of multi-contrast images from the same anatomical structure, commonly referred to as multimodal images. Integrating these diverse modalities is crucial for enhancing model performance across a variety of medical image analysis tasks. However, in real-world clinical scenarios, it is often impractical to acquire all MRI modalities simultaneously due to factors such as patient discomfort, time constraints, and scanning costs. As a result, synthesizing missing modalities from available ones has emerged as an effective solution. To address these challenges, we propose HMF-MambaINR, a hierarchical multi-scale feature fusion network for cross-modality MRI synthesis. The model integrates Mamba-based Selective State Space Modeling (SSM) and implicit neural representation (INR) to capture long-range dependencies and enable continuous spatial reconstruction. A Multi-Feature Extraction Block (MFEB) captures local and global representations via multi-scale receptive fields, while a Modulation Fusion Module (MFM) adaptively fuses multi-modal features with dynamic weighting. Extensive experiments show that HMF-MambaINR surpasses state-of-the-art CNN-, Transformer-, and Mamba-based methods in synthesizing missing MRI modalities. Notably, the synthesized MRI images received positive feedback from radiologists in terms of image quality, contrast, and structural contour accuracy, highlighting the potential of the proposed method as a practical tool for clinical applications. Full article
(This article belongs to the Special Issue Medical Imaging and Sensing Technologies)
Show Figures

Figure 1

12 pages, 3478 KB  
Case Report
Diagnosis and Treatment of Ectopic Pregnancy in a Cesarean Section Scar—Case Report
by Polina V. Kulabukhova, Tatyana V. Fokina, Maria N. Babaeva, Aleksandra V. Asaturova and Natalia V. Nizyaeva
J. Clin. Med. 2026, 15(6), 2302; https://doi.org/10.3390/jcm15062302 - 17 Mar 2026
Viewed by 272
Abstract
Background/Objectives: Post-cesarean section scar niche pregnancy is one of the rarest forms. It is characterized by implantation of the gestation sac within the scar niche and is often associated with chorionic villi adhesion into the thinned cesarean section scar. The increasing incidence of [...] Read more.
Background/Objectives: Post-cesarean section scar niche pregnancy is one of the rarest forms. It is characterized by implantation of the gestation sac within the scar niche and is often associated with chorionic villi adhesion into the thinned cesarean section scar. The increasing incidence of this condition is associated with the increasing frequency of cesarean sections and the widespread use of ultrasound in early pregnancy. The most significant clinical findings are the detection of chorionic villus invasion and uterine wall insufficiency, which may be detected using magnetic resonance imaging, including contrast, and are crucial for determining patient management. This pathology may be considered life-threatening due to complications such as early uterine rupture with bleeding, which, if not diagnosed promptly, can lead to hysterectomy and loss of the woman’s reproductive health. Early diagnosis allows for the use of conservative treatment methods, preserving the uterus. The aim of the study is to clarify the clinical practices to follow in cases where an MRI examination with contrast agent is indicated to be performed on a pregnant patient. Methods: Ultrasound and MRI examination with counter-rotation, as well as histological and immunohistochemical examination of the remnants of the gestational sac were performed. Results: A 36-year-old pregnant woman was hospitalized in her eighth week of pregnancy with complaints of vaginal bleeding and persistent abdominal pain. An ultrasound scan revealed a pregnancy of 8 weeks and 5 days, and a low-lying chorion in the isthmus of the uterus, along with thinning of the cesarean scar and the formation of a scar niche resembling a hernia. Early signs of chorionic invasion were not treated. An MRI revealed signs of superficial chorionic adhesion to the cesarean scar, both to the isthmus and the internal os. Given that the woman did not wish to continue the pregnancy, uterine artery embolization was performed to reduce potential blood loss. Subsequently, laparoscopy, adhesiolysis, vacuum aspiration of the gestational sac, uterine curettage, hysteroresectoscopy, and coagulation of the fetal bed were performed. Histological and immunohistochemical examination revealed signs of inflammation in the area of the suspected lesion. Conclusions: This case report shows the potential value of MRI in complex cases of ultrasound detection of a gestational sac within scar tissue. MRI was used to assess the location of the gestational sac and evaluate the thickness of the cesarean scar to detect its dysfunction. Furthermore, contrast enhancement of the MRI may be useful in the most complex cases but requires an informed consent discussion with the patient. However, the latter issue requires discussion and proof of its safety for the fetus. Full article
(This article belongs to the Section Nuclear Medicine & Radiology)
Show Figures

Figure 1

15 pages, 9608 KB  
Article
Single-Atom Mn Anchored on Carbon-Modified C3N5 for Efficient Catalytic Ozonation of Organic Pollutants
by Gaochao Song, Zhou Yang, Jiangzixi Guo, Yang Yang and Yidong Hou
Catalysts 2026, 16(3), 247; https://doi.org/10.3390/catal16030247 - 6 Mar 2026
Viewed by 506
Abstract
Catalytic ozonation often suffers from a low ozone utilization rate and incomplete mineralization of organic pollutants. To address these challenges, we designed and prepared a novel catalyst via a one-step thermal polymerization method, anchoring single-atom manganese on a glucose-derived carbon network-modified C3 [...] Read more.
Catalytic ozonation often suffers from a low ozone utilization rate and incomplete mineralization of organic pollutants. To address these challenges, we designed and prepared a novel catalyst via a one-step thermal polymerization method, anchoring single-atom manganese on a glucose-derived carbon network-modified C3N5 framework (Mn/C-C3N5). Aberration-corrected high-angle annular dark-field scanning transmission electron microscopy (AC-HAADF-STEM) on an FEI Titan Themis Z microscope confirmed the atomic dispersion of Mn sites, while Raman spectroscopy using a Renishaw inVia Reflex laser micro-Raman spectrometer verified the successful incorporation of a graphitic carbon network within the C3N5 matrix. Moreover, electrochemical analyses, including electrochemical impedance spectroscopy (EIS) and cyclic voltammetry (CV) performed on a Bio-Logic SP-150 electrochemical workstation, demonstrated that the integration of the conductive carbon matrix substantially enhanced the interfacial charge transfer capability. The optimized Mn/C-C3N5 catalyst demonstrated exceptional performance in phenol mineralization, achieving a 97% total organic carbon (TOC) removal within 60 min, a remarkable improvement compared to pristine C3N5 (30%). Furthermore, the catalyst exhibited excellent operational stability, preserving more than 95% of its original activity over five repeated runs. Mechanistic investigations, including electron paramagnetic resonance (EPR) spectroscopy and radical quenching experiments, revealed that the Mn/C-C3N5 system accelerated the generation of multiple oxidizing radicals (•O2, 1O2, and •OH), with •OH identified as the predominant reactive species responsible for complete mineralization. This work establishes an integrated catalytic platform and provides fundamental insights into electronic structure modulation for designing advanced oxidation catalysts. Full article
Show Figures

Figure 1

14 pages, 4751 KB  
Article
Microencapsulated Hydroxyapatite–TEGDMA Systems for Self-Healing in Dental Applications
by Maria Amalia Taut, Marioara Moldovan, Codruta Sarosi, Gertrud Alexandra Paltinean, Ioan Petean, Miuta Rafila Filip, Laura Silaghi-Dumitrescu, Nicoleta Ilie and Ioan Ardelean
Molecules 2026, 31(5), 873; https://doi.org/10.3390/molecules31050873 - 6 Mar 2026
Viewed by 318
Abstract
The development of microcapsules for the controlled release of active substances offers an innovative strategy in restorative dentistry, expanding the possibilities beyond traditional methods. In this study, microcapsules loaded with triethylene glycol dimethacrylate (TEGDMA) and different concentrations of hydroxyapatite (HAP)—0%, 5%, 10%, 15%, [...] Read more.
The development of microcapsules for the controlled release of active substances offers an innovative strategy in restorative dentistry, expanding the possibilities beyond traditional methods. In this study, microcapsules loaded with triethylene glycol dimethacrylate (TEGDMA) and different concentrations of hydroxyapatite (HAP)—0%, 5%, 10%, 15%, and 20%, referred to as M0, M5, M10, M15, and M20—were synthesized through in situ polymerization within an oil-in-water emulsion. Their morphology, size, and nanostructure were examined using scanning electron microscopy (SEM) and atomic force microscopy (AFM). Fourier-transform infrared spectroscopy (FTIR) confirmed the presence of characteristic chemical bonds, whereas high-performance liquid chromatography (HPLC) quantified residual TEGDMA monomer. Low-field nuclear magnetic resonance (NMR) further confirmed the presence and the distribution of the liquid healing agent inside the microcapsules. The analyses indicated that microcapsules incorporating 20% hydroxyapatite exhibited superior structural organization and improved shell integrity, highlighting their potential in the remineralization processes. Overall, these results support the potential of HAP–TEGDMA microcapsules for incorporation into dental composites to facilitate microcrack repair and promote dental tissue regeneration. Full article
Show Figures

Graphical abstract

22 pages, 10242 KB  
Article
Cross-Modality Whole-Heart MRI Reconstruction with Deep Motion Correction and Super-Resolution
by Jinwei Dong, Wenhao Ke, Wangbin Ding, Liqin Huang and Mingjing Yang
Sensors 2026, 26(5), 1565; https://doi.org/10.3390/s26051565 - 2 Mar 2026
Viewed by 316
Abstract
Magnetic resonance imaging (MRI) inherently suffers from motion artifacts and inter-slice misalignment, primarily due to sequential slice acquisition and the prolonged scanning time required for dynamic cardiac motion. These acquisition-induced inconsistencies often lead to anatomically implausible representations of cardiac structures, impairing subsequent clinical [...] Read more.
Magnetic resonance imaging (MRI) inherently suffers from motion artifacts and inter-slice misalignment, primarily due to sequential slice acquisition and the prolonged scanning time required for dynamic cardiac motion. These acquisition-induced inconsistencies often lead to anatomically implausible representations of cardiac structures, impairing subsequent clinical analyses such as 3D reconstruction and regional functional assessment. On the other hand, acquiring high-resolution MRI demands extended scan durations that increase patient burden and potential health risks. To address this challenge, we propose a deep motion correction and super-resolution whole-heart reconstruction (DeepWHR) framework. It learns cardiac structure prior knowledge from computed tomography (CT) data, and transfers it to reconstruct cardiac structure from conventional misaligned and large slice thickness MRI images. Specifically, DeepWHR utilizes CT anatomy data to train a deep motion correction model that enables the network to capture structurally coherent and anatomically consistent representations, while MRI Finetune preserves modality-specific spatial characteristics, ensuring that the reconstructed results retain the intrinsic MRI data distribution. Furthermore, DeepWHR introduced an implicit neural representation module, which models continuous spatial fields, enabling multi-scale super-resolution structure reconstruction. Experiments on the CARE2024 WHS dataset validate that our method not only restores the spatial coherence of MRI-derived anatomical structures but also generates high-fidelity label representations suitable for downstream cardiac applications. This study demonstrates that DeepWHR transforms sparse, misaligned 2D label stacks into anatomically coherent, high-resolution 3D models, enhancing their reliability for clinical applications. Full article
(This article belongs to the Special Issue Emerging MRI Techniques for Enhanced Disease Diagnosis and Monitoring)
Show Figures

Figure 1

14 pages, 1772 KB  
Article
Accuracy of Deep Learning-Driven MR Arthrography of the Shoulder: Compressed 3D in Comparison to Standard FSE Sequences
by Gianluca Tripodi, Flavio Spoto, Giuseppe Ocello, Leonardo Monterubbiano, Paolo Avanzi and Giovanni Foti
Osteology 2026, 6(1), 4; https://doi.org/10.3390/osteology6010004 - 27 Feb 2026
Viewed by 252
Abstract
Background/Objectives: Magnetic resonance arthrography is the reference standard for evaluating glenoid labral lesions. Deep learning (DL) reconstruction algorithms may accelerate 3D acquisitions while maintaining image quality. This study assesses the diagnostic accuracy of DL-based isotropic 3D MR imaging for detecting glenoid labral lesions. [...] Read more.
Background/Objectives: Magnetic resonance arthrography is the reference standard for evaluating glenoid labral lesions. Deep learning (DL) reconstruction algorithms may accelerate 3D acquisitions while maintaining image quality. This study assesses the diagnostic accuracy of DL-based isotropic 3D MR imaging for detecting glenoid labral lesions. Methods: This prospective study included 128 consecutive patients (79 men, 49 women; mean age 38.4 years) undergoing shoulder MR arthrography between June 2023 and April 2025. DL-based 3D sequences (acquisition time: 3:26) were compared with conventional multiplanar TSE and PD-FS sequences (acquisition time: 24–28 min). Two independent radiologists assessed glenoid labral lesions, bone marrow edema, and rotator cuff abnormalities using a four-point Likert scale. Sensitivity, specificity, and interobserver agreement were calculated. Results: DL-based 3D sequences demonstrated 94.7–95.1% sensitivity and 100% specificity for glenoid labral lesions, with excellent interobserver agreement (κ = 0.812). The area under the ROC curve was 0.894. Combined 3D protocols (T1 + PD-FS) showed superior accuracy (97.8%) compared to single sequences (90.5%, p = 0.012). For bone marrow edema, sensitivity was 82.9% with 100% specificity. Rotator cuff evaluation achieved 75% sensitivity with 100% specificity. Conclusions: DL-based isotropic 3D sequences provide high diagnostic accuracy for glenoid labral pathology while reducing scan time by 75%. Combined T1 and PD-FS protocols optimize performance. These findings support selective implementation of DL-accelerated 3D protocols in shoulder MR arthrography, particularly for labral assessment, while acknowledging that conventional protocols may remain preferable in specific clinical scenarios. Full article
Show Figures

Figure 1

14 pages, 10314 KB  
Interesting Images
Insights into Accelerated MRI Protocols for Pediatric Brain Assessment in Emergency Cases
by Josef Gabriel Kendel, Benjamin Bender, Georg Gohla, Andrea Bevot, Till-Karsten Hauser, Ulrike Ernemann and Christer Ruff
Diagnostics 2026, 16(5), 681; https://doi.org/10.3390/diagnostics16050681 - 26 Feb 2026
Viewed by 412
Abstract
Two accelerated magnetic resonance imaging (MRI) protocols for pediatric brain imaging, GOBrain and Deep Resolve Swift Brain, developed by Siemens Healthineers (Erlangen, Germany), were evaluated in a series of clinically relevant pediatric cases at 3 Tesla. Pediatric patients are particularly prone to motion, [...] Read more.
Two accelerated magnetic resonance imaging (MRI) protocols for pediatric brain imaging, GOBrain and Deep Resolve Swift Brain, developed by Siemens Healthineers (Erlangen, Germany), were evaluated in a series of clinically relevant pediatric cases at 3 Tesla. Pediatric patients are particularly prone to motion, may be uncooperative, and often require sedation, especially in emergency settings. Consequently, there is a persistent clinical demand for fast brain MRI protocols that provide diagnostically sufficient image quality while minimizing examination time. Contemporary turbo spin-echo (TSE)-based clinical protocols commonly integrate parallel imaging (PI) and simultaneous multi-slice (SMS) techniques to achieve substantial reductions in scan time. Recent advances in three-dimensional volumetric encoding, compressed sensing, and deep learning (DL)-based reconstruction have further mitigated geometry-factor-related noise amplification, enabling higher acceleration factors (GOBrain). In parallel, echo-planar imaging (EPI) has emerged as a promising approach for ultrafast multi-contrast imaging. To overcome the limitations of single-shot EPI, a multi-shot EPI-based brain MRI protocol combined with the DL-based reconstruction method Deep Resolve Swift Brain has been developed. This approach leverages the efficiency of EPI while improving image quality. Using these accelerated protocols, a comprehensive diagnostic multi-contrast brain MRI examination, particularly suited to triage and emergency imaging, can be completed in minutes. This case overview, including therapy-related leukencephalopathy in acute lymphoblastic leukemia (ALL), a brain abscess, traumatic diffuse axonal injury (DAI), a posterior circulation infarction due to vertebral artery dissection, leuokostasis syndrome, and a posterior fossa tumor with obstructive hydrocephalus, demonstrates the potential clinical feasibility of both protocols in pediatric neuroimaging. Both protocols position them as supplementary options alongside established imaging protocols, while dedicated high-resolution protocols might remain necessary for subtle pathological findings, such as focal cortical dysplasia, and for neuronavigation until larger comparative studies are available. Full article
(This article belongs to the Collection Interesting Images)
Show Figures

Figure 1

19 pages, 8929 KB  
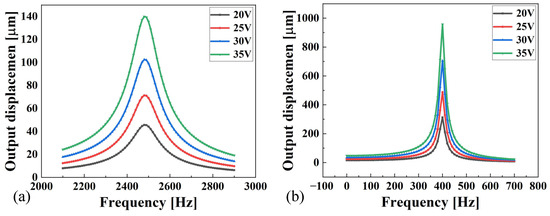
Article
Design and Fabrication of a Dual-Axis MEMS Electrostatic Micromirror Based on a Planar Comb Drive
by Mumu Li, Wenlong Jiao, Kun Huang, Botao Wang, Zhihua Dai, Yang Gao, Huiliang Cao and Huikai Xie
Micromachines 2026, 17(3), 278; https://doi.org/10.3390/mi17030278 - 24 Feb 2026
Viewed by 372
Abstract
This paper designs and fabricates an electrostatic-driven dual-axis MEMS micromirror capable of out-of-plane torsional motion about both the X and Y axes. Both torsional axes employ planar comb structures for their drive mechanisms, effectively reducing the fabrication complexity. By leveraging the structural asymmetry [...] Read more.
This paper designs and fabricates an electrostatic-driven dual-axis MEMS micromirror capable of out-of-plane torsional motion about both the X and Y axes. Both torsional axes employ planar comb structures for their drive mechanisms, effectively reducing the fabrication complexity. By leveraging the structural asymmetry introduced during processing in conjunction with resonant operating modes, the inherent disadvantage of planar comb structures for torsional motion is overcome. This study explores the operating principle, structural design, performance simulation, fabrication process, and testing of the micromirror. It proposes an indirect simulation method suitable for planar comb drive structures, providing theoretical support for device fabrication. During fabrication, optimising the removal of isolation material through oxygen–silicon growth enhances the reliability of subsequent processes. Test results demonstrate that the fabricated MEMS micromirror achieves a 26°×22° field of view at a 35 V drive voltage, outputting Lissajous-type scanning patterns. This design aims to propose an indirect simulation method and optimise the process accordingly. Experimental test results show that the simulation method is relatively accurate, with minimal deviation from actual tests. Process optimization improves wafer cleanliness and reduces the time cost of the corresponding process. Full article
(This article belongs to the Special Issue MEMS Inertial Device, 3rd Edition)
Show Figures

Figure 1

12 pages, 455 KB  
Article
Abnormalities on Spinal Magnetic Resonance Imaging in Children and Adolescents: A Two-Center Retrospective Cohort Study
by Heshen Delwar, Nina M. C. Mathijssen and Joost H. van Linge
Children 2026, 13(2), 294; https://doi.org/10.3390/children13020294 - 20 Feb 2026
Viewed by 463
Abstract
Background/Objectives: Magnetic Resonance Imaging (MRI) is frequently used to evaluate back pain and other spinal indications in the pediatric population. However, the diagnostic value in the pediatric population remains unclear. This study aimed to determine the prevalence of spinal abnormalities detected by MRI [...] Read more.
Background/Objectives: Magnetic Resonance Imaging (MRI) is frequently used to evaluate back pain and other spinal indications in the pediatric population. However, the diagnostic value in the pediatric population remains unclear. This study aimed to determine the prevalence of spinal abnormalities detected by MRI in children and adolescents and to identify factors associated with MRI findings of added diagnostic value. Methods: A retrospective two-centre cohort study was conducted among 229 patients aged 0–16 years who underwent spinal MRI at two hospitals. MRI findings were classified into five categories: (1) no finding; (2) spinal incidental finding; (3) confirmed diagnosis with no additional information; (4) confirmed diagnosis/severity with additional information; and (5) new diagnosis. In categories 4 and 5, there was an added value of the MRI scan. Patients with and without added MRI findings were compared regarding age, gender, presence of night pain, exercise-dependent pain, sharp pain localization, trauma, neurological abnormalities, and symptom duration. Results: The prevalence of MRI abnormalities related to the patient’s complaints was 19.2%. When the ‘added value of MRI’ group is compared to the ‘no added value of MRI group’, neurological abnormalities (p = 0.009) and shorter symptom duration (p = 0.002) were statistically associated with abnormal MRI findings. Stratified analysis showed that MRIs provided added diagnostic value more frequently in patients with clinical indications other than chronic back pain. Most abnormalities were located in the lumbar spine, with spondylolysis/spondylolisthesis and discopathy as the most common findings. Conclusions: Although spinal MRIs frequently detected abnormalities, only a small proportion of MRIs revealed findings that provided added diagnostic or therapeutic value. This highlights the importance of developing clear criteria for spinal MRI use in children and adolescents to minimize unnecessary imaging, limit patient burden, and optimize healthcare resources. Full article
(This article belongs to the Section Pediatric Orthopedics & Sports Medicine)
Show Figures

Figure 1

13 pages, 1455 KB  
Article
Prediction Model for Quality Changes in Repeatedly Frozen–Thawed Pork Based on MRI Scans and Chemometrics
by Hui Liu, Yuhui Zhang, Ke Liu, Wusun Li and Xiaoyan Tang
Foods 2026, 15(4), 686; https://doi.org/10.3390/foods15040686 - 13 Feb 2026
Viewed by 368
Abstract
This study investigated fresh pork and pork subjected to repeated freeze–thaw cycles. The effects of freeze–thaw treatments on water status, WHC, and quality attributes of pork were systematically analyzed, and a nondestructive prediction method for WHC based on magnetic resonance imaging (MRI) was [...] Read more.
This study investigated fresh pork and pork subjected to repeated freeze–thaw cycles. The effects of freeze–thaw treatments on water status, WHC, and quality attributes of pork were systematically analyzed, and a nondestructive prediction method for WHC based on magnetic resonance imaging (MRI) was developed. The results showed that increasing freeze–thaw cycles significantly reduced moisture content and increased drip loss, indicating a continuous deterioration of overall WHC. Texture parameters and shear force values decreased markedly, suggesting that muscle structure was progressively damaged by ice crystal formation and recrystallization. T2-weighted MRI pseudo-color scans clearly reflected changes in internal water distribution, with high-signal regions gradually decreasing as freeze–thaw cycles increased, which was consistent with the experimentally measured trends in moisture content and WHC. Based on MRI features, principal component regression (PCR) and partial least squares regression (PLSR) models were established to predict pork WHC. The PCR model extracted 16 principal components (cumulative contribution rate of 96.394%), with calibration set results of Rc2 = 0.8825 and RMSEC = 1.7959, and validation set results of Rp2 = 0.8856 and RMSEP = 2.0284. The optimal number of latent variables for the PLSR model was six, yielding calibration set results of Rc2 = 0.9634 and RMSEC = 1.0026, and validation set results of Rp2 = 0.9656 and RMSEP = 1.1119, with all residuals less than 1. Overall, the combination of MRI and chemometric methods, particularly the PLSR model, enables rapid, nondestructive, and accurate prediction of pork WHC, providing a useful tool for quality evaluation under repeated freeze–thaw conditions and for quality control in pork processing, storage, and cold-chain management. Full article
(This article belongs to the Section Food Analytical Methods)
Show Figures

Figure 1

17 pages, 1450 KB  
Article
Neural Mechanisms of Reciprocity Availability and Expectancy Violation During Social Interaction
by Daniele Olivo, Andrea Di Ciano, Lucia Giudetti, Riccardo Cazzaro and Fabio Sambataro
Brain Sci. 2026, 16(2), 222; https://doi.org/10.3390/brainsci16020222 - 13 Feb 2026
Viewed by 398
Abstract
Background: Reciprocity is a core mechanism of social bonding, signaling whether others are available and willing to provide support. The perception of reciprocity availability fosters trust and belonging, whereas its absence may elicit expectancy violation and negative affect. This study investigated the [...] Read more.
Background: Reciprocity is a core mechanism of social bonding, signaling whether others are available and willing to provide support. The perception of reciprocity availability fosters trust and belonging, whereas its absence may elicit expectancy violation and negative affect. This study investigated the neural correlates of reciprocity availability (RA) and unavailability (RU) during social interaction. Methods: Thirty healthy adults underwent a social task during a functional magnetic resonance imaging (fMRI) scan while viewing short vignettes depicting social exchanges differing in reciprocity cues. Univariate and multivariate (MVPA) analyses were used to identify activation and connectivity patterns associated with RA and RU. Affective responses, reaction times, and personality traits were correlated with neural activity. Results: RA engaged the ventromedial prefrontal cortex, precuneus, temporoparietal junction, and visual cortices. RU elicited greater activation of the left inferior frontal gyrus, dorsomedial prefrontal cortex, and temporal pole, along with enhanced connectivity between visual and parieto-temporal regions. In exploratory analyses, agreeableness correlated with ventromedial prefrontal activation during RA, whereas depressive temperament correlated with temporal pole activity during RU. Conclusions: Reciprocity availability versus unavailability engages distinct large-scale networks for socio-emotional integration and expectancy monitoring, defining a mechanistic framework for studying disrupted reciprocity in psychopathology. Full article
(This article belongs to the Section Cognitive, Social and Affective Neuroscience)
Show Figures

Figure 1

17 pages, 1286 KB  
Article
Brain Tumor Segmentation with Contextual Transformer-Based U-Net
by Shakhnoza Muksimova, Jushkin Baltaev and Young Im Cho
Electronics 2026, 15(4), 782; https://doi.org/10.3390/electronics15040782 - 12 Feb 2026
Viewed by 451
Abstract
Presently, the segmentation of brain tumors from magnetic resonance imaging (MRI) scans is a very important challenge in the medical area, and it has a huge impact on correct diagnosis, efficient treatment planning, and patient prognosis. We present here the Contextual Transformer U-Net [...] Read more.
Presently, the segmentation of brain tumors from magnetic resonance imaging (MRI) scans is a very important challenge in the medical area, and it has a huge impact on correct diagnosis, efficient treatment planning, and patient prognosis. We present here the Contextual Transformer U-Net (CT-UNet), a novel deep learning approach that can significantly increase the accuracy and speed of brain tumor segmentation. The CT-UNet method features Transformer blocks embedded in a U-Net layout that extracts the most important contextual information across different types of MRI sequences, thereby drastically refining the delineation of tumor regions. We have tested CT-UNet on the Brain Tumor Segmentation (BraTS) challenge dataset that includes a large variety of tumor types, localization, and progression stages. To check the model’s performance, we used the Dice coefficient, sensitivity, specificity, precision, and Hausdorff distance metrics. The findings from our experiments demonstrate that CT-UNet has a substantial advantage over the classical segmentation model, and the 0.92 Dice coefficient it has achieved testifies to its state-of-the-art tumor localization in terms of both extent and form. Besides that, CT-UNet has achieved a very high sensitivity (0.90) and specificity (0.94); thus, it has been perfectly capable of discriminating tumor from non-tumor tissues. Spatial accuracy has also been improved significantly, as can be seen from the 7.5 mm Hausdorff distance achieved by this model, which means it can closely replicate the given tumor boundaries. By employing dynamic modality fusion and incorporating the Transformer mechanism into the established U-Net architecture, we have raised the bar for brain tumor segmentation. Our solution paves the way for another breakthrough in medical imaging technologies. CT-UNet not only speeds up the workflow of radiologists but also facilitates more targeted therapeutic strategies that may result in better patient care and prognosis. Yet the main goal of this work is to provide a basis for future studies that can consider incorporating deep learning methods in a routine clinical setting, thus paving the way for healthcare providers to benefit from both technical and clinical advantages. Full article
Show Figures

Figure 1

Back to TopTop