Sign in to use this feature.

Years

Between: -

Subjects

remove_circle_outline
remove_circle_outline
remove_circle_outline
remove_circle_outline
remove_circle_outline
remove_circle_outline

Journals

Article Types

Countries / Regions

Search Results (21)

Search Parameters:
Keywords = reserpine-induced model

Order results
Result details
Results per page
Select all
Export citation of selected articles as:
26 pages, 7584 KB  
Article
Neuroprotective Effect of D-Pinitol Against MPTP-Induced Parkinsonism in C57BL/6J Mice
by María del Carmen Juárez-Vázquez, María Leonor González-Rivera, Ramsés Maximiliano Ramírez-Martínez, Athzirys Alejandra Melecio-Hernández, Juan C. Jiménez-Cruz, Gabriela Josefina López-González, Juan Carlos Barragán-Gálvez, Juan Ramón Zapata-Morales, Judit A. Aviña-Verduzco and Angel Josabad Alonso-Castro
Antioxidants 2026, 15(1), 59; https://doi.org/10.3390/antiox15010059 - 1 Jan 2026
Viewed by 562
Abstract
Parkinson’s disease is the second most common neurodegenerative disease in the world. Natural products can offer a possible option of neuroprotective agents for preventing neurodegenerative diseases. D-Pinitol is a cyclic polyol with anxiolytic and antidepressant effects in acute assays. This work aimed to [...] Read more.
Parkinson’s disease is the second most common neurodegenerative disease in the world. Natural products can offer a possible option of neuroprotective agents for preventing neurodegenerative diseases. D-Pinitol is a cyclic polyol with anxiolytic and antidepressant effects in acute assays. This work aimed to evaluate the effects of D-Pinitol (10, 50, and 100 mg/kg p.o.) in a chronic reserpine-induced depression model (19 days), using the forced swimming and tail suspension tests in female Balb/c mice, and the neuroprotective effects in an MPTP-induced Parkinsonism model (30 days) in male C57bL/6 mice, using behavioral tests such as wire grip, rotarod, catalepsy, and others. D-Pinitol showed low antidepressant-like effects in the reserpine-induced chronic depression model, compared to amitriptyline (25 mg/kg p.o.). D-Pinitol protected MPTP-treated mice from motor impairment with similar effects to those shown by L-Dopa (25 mg/kg p.o.) as evaluated in different behavioral tests. The inhibition of oxidative stress markers, increase in dopamine levels, and avoidance of apoptosis in neuronal cells were the mechanisms by which D-Pinitol protects MPTP-treated mice from motor impairment. Full article
(This article belongs to the Section Natural and Synthetic Antioxidants)
Show Figures

Figure 1

27 pages, 9176 KB  
Article
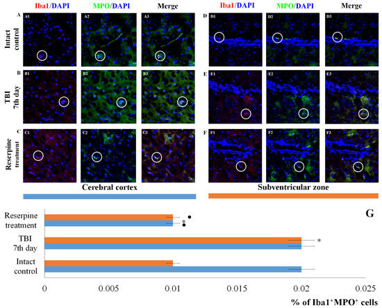
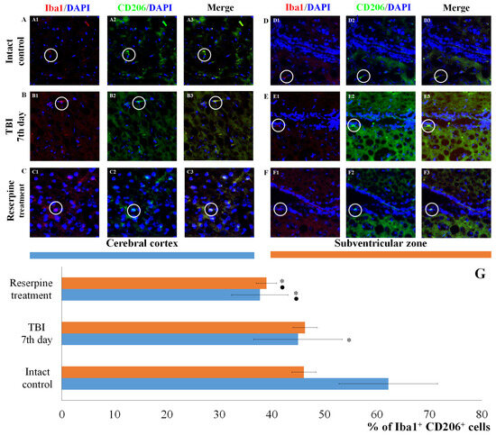
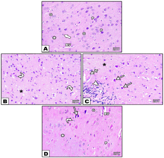
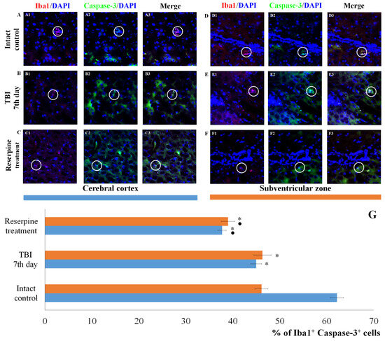
Sympathetic Regulation of Hematopoiesis and the Mobilization of Inflammatory Cells in ICR Mice with Traumatic Brain Injury: A Novel Approach to Targeting Neuroinflammation and Degenerative Processes
by Natalia Ermakova, Victoria Skurikhina, Edgar Pan, Mariia Zhukova, Irina Zharkikh, Valentina Pan and Alexander Dygai
Biomedicines 2025, 13(12), 3080; https://doi.org/10.3390/biomedicines13123080 - 13 Dec 2025
Viewed by 400
Abstract
Background/Objectives: Neuroinflammation is a leading factor in secondary brain damage following a traumatic brain injury (TBI). Existing therapeutic approaches have limited efficacy against neuroinflammation. The bone marrow, the primary hematopoietic organ, is also a source of inflammatory cells. We propose that targeting [...] Read more.
Background/Objectives: Neuroinflammation is a leading factor in secondary brain damage following a traumatic brain injury (TBI). Existing therapeutic approaches have limited efficacy against neuroinflammation. The bone marrow, the primary hematopoietic organ, is also a source of inflammatory cells. We propose that targeting the sympathetic regulation of inflammatory cell mobilization could reduce neuroinflammation after TBI. Methods: In ICR mice, we investigated the immune cell response in the blood, bone marrow, motor cortex, and the subventricular zone after TBI modeling and treatment with the sympatholytic agent reserpine. Results: TBI induced neutrophilia and lymphocytosis in the peripheral blood, activated hematopoiesis in the bone marrow, and triggered neuroinflammation and degenerative changes in the cerebral cortex (CC) and the subventricular zone (SVZ) of mice. Reserpine reduced leukocytosis in the blood and hematopoietic activity in the bone marrow of mice with TBI compared to untreated TBI mice. Furthermore, reserpine decreased neutrophilic and lymphocytic infiltration, as well as the number of Iba1+ microglial cells, including M1-polarized microglia, Caspase-3+ cells, and cells expressing myeloperoxidase (MPO) in the CC and SVZ of treated mice. The activity of degenerative processes was also reduced. Additionally, reserpine reduced the number of M2-polarized microglial cells in the SVZ. Conclusions: The sympatholytic drug reserpine may hold promise for the development of a novel approach to treating neuroinflammation and degeneration following a TBI. This is based on its ability to reduce hematopoiesis and mobilize inflammatory cells from the bone marrow into the bloodstream. Full article
(This article belongs to the Section Neurobiology and Clinical Neuroscience)
Show Figures

Figure 1

15 pages, 1328 KB  
Article
Schinus terebinthifolia Raddi. Leaf Lectin (SteLL) Demonstrates Anxiolytic and Antidepressant Effects Under Monoaminergic Deficiency Induced by Reserpine
by Bárbara Raíssa Ferreira de Lima, Leydianne Leite de Siqueira Patriota, Amanda de Oliveira Marinho, Thiago Lucas da Silva Lira, Jainaldo Alves da Costa, Beatriz Galdino Ribeiro, Daniella Carla Napoleão, Jorge Vinícius Fernandes Lima Cavalcanti, Michelly Cristiny Pereira, Moacyr Jesus Barreto de Melo Rego, Maira Galdino da Rocha Pitta, Thiago Henrique Napoleão, Michelle Melgarejo da Rosa and Patrícia Maria Guedes Paiva
Plants 2025, 14(19), 3048; https://doi.org/10.3390/plants14193048 - 1 Oct 2025
Cited by 1 | Viewed by 885
Abstract
Schinus terebinthifolia Raddi. leaf lectin (SteLL) has been investigated for its neuromodulatory effects. Given the etiological diversity of depression, this study evaluated the effects of SteLL in a pharmacological model induced by reserpine. Mice were administered reserpine intraperitoneally for 10 days to induce [...] Read more.
Schinus terebinthifolia Raddi. leaf lectin (SteLL) has been investigated for its neuromodulatory effects. Given the etiological diversity of depression, this study evaluated the effects of SteLL in a pharmacological model induced by reserpine. Mice were administered reserpine intraperitoneally for 10 days to induce anxiety- and depression-like symptoms. Before reserpine administration, animals also received SteLL (2 or 4 mg/kg, i.p.) or fluoxetine (10 mg/kg, i.p.) for 10 days. Behavioral assessments included the open field test, elevated plus maze, and tail suspension test. Body weight variation and brain levels of cytokines, noradrenaline, dopamine, and serotonin were also analyzed. In reserpine-treated mice, SteLL administration (2 and 4 mg/kg) produced anxiolytic-like effects in the open field (reduced number of rearings) and elevated plus maze (increased time spent in open arms) and significantly reduced immobility time in the tail suspension test. Additionally, SteLL prevented the body weight loss typically induced by reserpine. SteLL treatment modulated neuroinflammation by reducing IL-2 and increasing IL-10 levels in the brain. SteLL treatment restored dopaminergic and noradrenergic levels, with no effect on serotonin. In conclusion, SteLL was effective in reserpine-induced monoaminergic depletion, reversing behavioral and biochemical alterations characteristic of depression, likely through dopaminergic, noradrenergic, and anti-inflammatory mechanisms. Full article
Show Figures

Figure 1

17 pages, 2289 KB  
Article
Ashwagandha Root Extract Mitigates Fibromyalgia-like Symptoms via Neurochemical and Histological Modulation in Mice
by Razan Fawaz Hasanyn, Ashwaq H. Batawi, Mona A. AL-Thepyani, Reham Tash, Asma Almuhammadi, Ashwaq Hassan Alsabban and Badrah S. Alghamdi
Cells 2025, 14(18), 1478; https://doi.org/10.3390/cells14181478 - 22 Sep 2025
Viewed by 2220
Abstract
Fibromyalgia syndrome (FMS) is a chronic disorder marked by widespread musculoskeletal pain, fatigue, mood disturbances, and cognitive impairments. Current treatments primarily focus on symptom management. Ashwagandha (Withania somnifera), a traditional Ayurvedic herb, is known for its adaptogenic and neuroprotective properties. This [...] Read more.
Fibromyalgia syndrome (FMS) is a chronic disorder marked by widespread musculoskeletal pain, fatigue, mood disturbances, and cognitive impairments. Current treatments primarily focus on symptom management. Ashwagandha (Withania somnifera), a traditional Ayurvedic herb, is known for its adaptogenic and neuroprotective properties. This study evaluated the protective effects of the methanolic root extract of Ashwagandha (ARE) in a reserpine-induced fibromyalgia model in male Swiss albino mice. Mice received oral ARE (100 mg/kg) for 17 days and reserpine (0.5 mg/kg, subcutaneously) for three consecutive days to induce fibromyalgia-like symptoms. Behavioral assessments included Von Frey, tail suspension, rotarod, and Y-maze tests. Histological analysis was conducted on the hippocampus and thalamus; however, neurochemical analysis focused on markers such as serotonin, norepinephrine, IL-1β, TNFα, MDA, and NO. Results indicated that ARE significantly reduced pain and depressive-like behavior and improved motor function (p < 0.0001); however, no significant changes were observed in open-field locomotion. Histological examination revealed protection of Ashwagandha against neurodegeneration and improved hippocampal integrity, accompanied by increased serotonin and norepinephrine levels and decreased pro-inflammatory cytokines. These findings suggest that Ashwagandha root extract may offer therapeutic benefits for managing fibromyalgia symptoms. Full article
Show Figures

Figure 1

29 pages, 23158 KB  
Article
The Antinociceptive Effects and Sex-Specific Neurotransmitter Modulation of Metformin in a Mouse Model of Fibromyalgia
by Hanin Abdulbaset AboTaleb, Hani A. Alturkistani, Gamal S. Abd El-Aziz, Emad A. Hindi, Mervat M. Halawani, Mona Ali Al-Thepyani and Badrah S. Alghamdi
Cells 2024, 13(23), 1986; https://doi.org/10.3390/cells13231986 - 30 Nov 2024
Cited by 5 | Viewed by 2500
Abstract
Fibromyalgia (FM) is a chronic and debilitating condition characterized by diffuse pain, often associated with symptoms such as fatigue, cognitive disturbances, and mood disorders. Metformin, an oral hypoglycemic agent, has recently gained attention for its potential benefits beyond glucose regulation. It has shown [...] Read more.
Fibromyalgia (FM) is a chronic and debilitating condition characterized by diffuse pain, often associated with symptoms such as fatigue, cognitive disturbances, and mood disorders. Metformin, an oral hypoglycemic agent, has recently gained attention for its potential benefits beyond glucose regulation. It has shown promise in alleviating neuropathic and inflammatory pain, suggesting that it could offer a novel approach to managing chronic pain conditions like FM. This study aimed to further explore metformin’s analgesic potential by evaluating its effects in an experimental FM model induced by reserpine in both male and female mice. After the administration of 200 mg/kg metformin to male and female mice, the FM-related symptoms were assessed, including mechanical allodynia, thermal hyperalgesia, and depressive-like behaviors. A histological examination of the thalamus, hippocampus, and spinal cord was conducted using haematoxylin and eosin staining. The neurotransmitter and proinflammatory cytokines levels were measured in the brains and spinal cords. Our results have shown that metformin treatment for seven days significantly reversed these FM-like symptoms, reducing pain sensitivity and improving mood-related behaviors in both the male and female mice. Additionally, metformin exhibited neuroprotective effects, mitigating reserpine-induced damage in the hippocampus, thalamus, and spinal cord. It also significantly lowered the levels of the proinflammatory cytokine interleukin 1-beta (IL-1β) in the brain and spinal cord. Notably, metformin modulated the neurotransmitter levels differently between the sexes, decreasing glutamate and increasing serotonin and norepinephrine in the male mice, but not in the females. These findings underscore metformin’s potential as an alternative therapy for FM, with sex-specific differences suggesting distinct mechanisms of action. Full article
(This article belongs to the Special Issue Molecular Mechanisms of Neuropathic Pain)
Show Figures

Figure 1

15 pages, 1626 KB  
Article
Population Pharmacokinetic–Pharmacodynamic Analysis of a Reserpine-Induced Myalgia Model in Rats
by Gloria M. Alfosea-Cuadrado, Javier Zarzoso-Foj, Albert Adell, Alfonso A. Valverde-Navarro, Eva M. González-Soler, Víctor Mangas-Sanjuán and Arantxa Blasco-Serra
Pharmaceutics 2024, 16(8), 1101; https://doi.org/10.3390/pharmaceutics16081101 - 21 Aug 2024
Cited by 1 | Viewed by 3105
Abstract
(1) Background: Fibromyalgia syndrome (FMS) is a chronic pain condition with widespread pain and multiple comorbidities, for which conventional therapies offer limited benefits. The reserpine-induced myalgia (RIM) model is an efficient animal model of FMS in rodents. This study aimed to develop a [...] Read more.
(1) Background: Fibromyalgia syndrome (FMS) is a chronic pain condition with widespread pain and multiple comorbidities, for which conventional therapies offer limited benefits. The reserpine-induced myalgia (RIM) model is an efficient animal model of FMS in rodents. This study aimed to develop a pharmacokinetic–pharmacodynamic (PK–PD) model of reserpine in rats, linking to its impact on monoamines (MAs). (2) Methods: Reserpine was administered daily for three consecutive days at dose levels of 0.1, 0.5, and 1 mg/kg. A total of 120 rats were included, and 120 PK and 828 PD observations were collected from 48 to 96 h after the first dose of reserpine. Non-linear mixed-effect data analysis was applied for structural PK–PD model definition, variability characterization, and covariate analysis. (3) Results: A one-compartment model best described reserpine in rats (V = 1.3 mL/kg and CL = 4.5 × 10−1 mL/h/kg). A precursor-pool PK–PD model (kin = 6.1 × 10−3 mg/h, kp = 8.6 × 10−4 h−1 and kout = 2.7 × 10−2 h−1) with a parallel transit chain (k0 = 1.9 × 10−1 h−1) characterized the longitudinal levels of MA in the prefrontal cortex, spinal cord, and amygdala in rats. Reserpine stimulates the degradation of MA from the pool compartment (Slope1 = 1.1 × 10−1 h) and the elimination of MA (Slope2 = 1.25 h) through the transit chain. Regarding the reference dose (1 mg/kg) of the RIM model, the administration of 4 mg/kg would lead to a mean reduction of 65% (Cmax), 80% (Cmin), and 70% (AUC) of MA across the brain regions tested. (4) Conclusions: Regional brain variations in neurotransmitter depletion were identified, particularly in the amygdala, offering insights for therapeutic strategies and biomarker identification in FMS research. Full article
Show Figures

Figure 1

22 pages, 9800 KB  
Article
Niosomal Bupropion: Exploring Therapeutic Frontiers through Behavioral Profiling
by Karthick Harini, Suliman Yousef Alomar, Mohammed Vajagathali, Salim Manoharadas, Anbazhagan Thirumalai, Koyeli Girigoswami and Agnishwar Girigoswami
Pharmaceuticals 2024, 17(3), 366; https://doi.org/10.3390/ph17030366 - 12 Mar 2024
Cited by 24 | Viewed by 3957
Abstract
Bupropion (Bup) belongs to the norepinephrine–dopamine reuptake inhibitor (NDRI) class and it is the only FDA-approved drug of its class for the treatment of major depressive disorder (MDD), sold under the name of Wellbutrin. Although bupropion is effective in suppressing the symptoms, its [...] Read more.
Bupropion (Bup) belongs to the norepinephrine–dopamine reuptake inhibitor (NDRI) class and it is the only FDA-approved drug of its class for the treatment of major depressive disorder (MDD), sold under the name of Wellbutrin. Although bupropion is effective in suppressing the symptoms, its regular use and overdose might lead to seizures and liver failure. Thus, we aimed to nanoformulate bupropion onto a niosomal vesicle to improve its efficacy and achieve the same therapeutic effect at lower scheduled doses. A thin film hydration method was adopted to synthesize and optimize Bup entrapped niosomes using three different surfactants of the sorbitan ester series (Span 20, 40, and 60) in combination with cholesterol. The optimization data determined that the niosome formulated with a cholesterol-to-surfactant ratio of 1:1.5 is the most stable system, with the Bup entrapped niosomes containing Span 20 (Bup@N20C) exhibiting minimal in vitro and in vivo toxicity, and demonstrating the sustained release of Bup in artificial cerebrospinal fluid (ACSF). The Bup@N20C formulation showed increased exploration activity and reduced irregular movements in reserpine-induced depression in the adult zebrafish model, suggesting the potential for mood improvement through the suppression of depression-like behavior which was established by statistical analysis and trajectory data. The Bup@N20C-treated group even surpasses the treatment effect of the positive control group and is comparable to the control group. Hence, it can be inferred that niosomal formulations of Bup represent a promising delivery system capable of achieving the brain delivery of the cargo by bypassing the blood–brain barrier facilitated by their small architectural structure. Full article
(This article belongs to the Section Biopharmaceuticals)
Show Figures

Graphical abstract

10 pages, 1929 KB  
Article
Brain Noradrenergic Innervation Supports the Development of Parkinson’s Tremor: A Study in a Reserpinized Rat Model
by Nicoló Gabriele Pozzi, Francesco Bolzoni, Gabriele Eliseo Mario Biella, Gianni Pezzoli, Chi Wang Ip, Jens Volkmann, Paolo Cavallari, Esther Asan and Ioannis Ugo Isaias
Cells 2023, 12(21), 2529; https://doi.org/10.3390/cells12212529 - 27 Oct 2023
Cited by 6 | Viewed by 2223
Abstract
The pathophysiology of tremor in Parkinson’s disease (PD) is evolving towards a complex alteration to monoaminergic innervation, and increasing evidence suggests a key role of the locus coeruleus noradrenergic system (LC-NA). However, the difficulties in imaging LC-NA in patients challenge its direct investigation. [...] Read more.
The pathophysiology of tremor in Parkinson’s disease (PD) is evolving towards a complex alteration to monoaminergic innervation, and increasing evidence suggests a key role of the locus coeruleus noradrenergic system (LC-NA). However, the difficulties in imaging LC-NA in patients challenge its direct investigation. To this end, we studied the development of tremor in a reserpinized rat model of PD, with or without a selective lesioning of LC-NA innervation with the neurotoxin DSP-4. Eight male rats (Sprague Dawley) received DSP-4 (50 mg/kg) two weeks prior to reserpine injection (10 mg/kg) (DR-group), while seven male animals received only reserpine treatment (R-group). Tremor, rigidity, hypokinesia, postural flexion and postural immobility were scored before and after 20, 40, 60, 80, 120 and 180 min of reserpine injection. Tremor was assessed visually and with accelerometers. The injection of DSP-4 induced a severe reduction in LC-NA terminal axons (DR-group: 0.024 ± 0.01 vs. R-group: 0.27 ± 0.04 axons/um2, p < 0.001) and was associated with significantly less tremor, as compared to the R-group (peak tremor score, DR-group: 0.5 ± 0.8 vs. R-group: 1.6 ± 0.5; p < 0.01). Kinematic measurement confirmed the clinical data (tremor consistency (% of tremor during 180 s recording), DR-group: 37.9 ± 35.8 vs. R-group: 69.3 ± 29.6; p < 0.05). Akinetic–rigid symptoms did not differ between the DR- and R-groups. Our results provide preliminary causal evidence for a critical role of LC-NA innervation in the development of PD tremor and foster the development of targeted therapies for PD patients. Full article
(This article belongs to the Special Issue The Cell Biology of Parkinson’s Disease)
Show Figures

Figure 1

12 pages, 1892 KB  
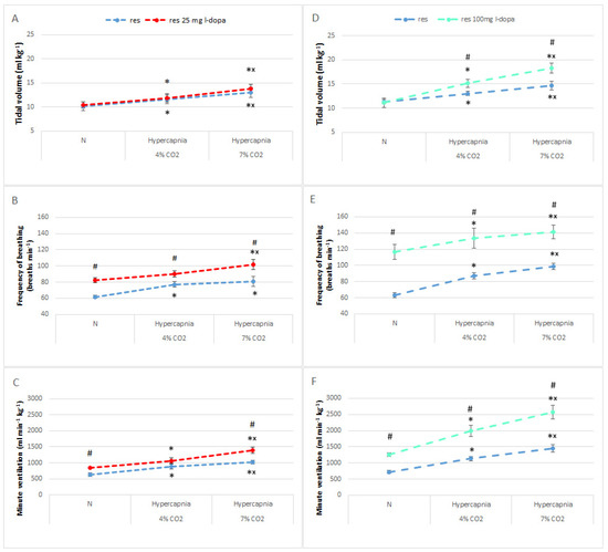
Article
L-DOPA Improves Ventilation but Not the Ventilatory Response to Hypercapnia in a Reserpine Model of Parkinson’s Disease
by Monika Jampolska, Kryspin Andrzejewski, Paweł M. Boguszewski and Katarzyna Kaczyńska
Brain Sci. 2023, 13(5), 775; https://doi.org/10.3390/brainsci13050775 - 8 May 2023
Cited by 1 | Viewed by 2313
Abstract
Parkinson’s disease (PD) is a neurological disorder characterized by progressive degeneration of the substantia nigra that affects mainly movement control. However, pathological changes associated with the development of PD may also alter respiration and can lead to chronic episodes of hypoxia and hypercapnia. [...] Read more.
Parkinson’s disease (PD) is a neurological disorder characterized by progressive degeneration of the substantia nigra that affects mainly movement control. However, pathological changes associated with the development of PD may also alter respiration and can lead to chronic episodes of hypoxia and hypercapnia. The mechanism behind impaired ventilation in PD is unclear. Therefore, in this study, we explore the hypercapnic ventilatory response in a reproducible reserpine-induced (RES) model of PD and parkinsonism. We also investigated how dopamine supplementation with L-DOPA, a classic drug used to treat PD, would affect the breathing and respiratory response to hypercapnia. Reserpine treatment resulted in decreased normocapnic ventilation and behavioral changes manifested as low physical activity and exploratory behavior. The respiratory rate and the minute ventilation response to hypercapnia were significantly higher in sham rats compared to the RES group, while the tidal volume response was lower. All of this appears to be due to reduced baseline ventilation values produced by reserpine. L-DOPA reversed reduced ventilation, indicating a stimulatory effect of DA on breathing, and showed the potency of DA supplementation in restoring normal respiratory activity. Full article
(This article belongs to the Section Neurodegenerative Diseases)
Show Figures

Figure 1

12 pages, 5548 KB  
Article
Rutin Improves Anxiety and Reserpine-Induced Depression in Rats
by Ahmed I Foudah, Mohammed H Alqarni, Aftab Alam, Sushma Devi, Mohammad A Salkini and Prawez Alam
Molecules 2022, 27(21), 7313; https://doi.org/10.3390/molecules27217313 - 27 Oct 2022
Cited by 51 | Viewed by 5370
Abstract
Mental disorders have a poor clinical prognosis and account for approximately 8% of the global burden of disease. Some examples of mental disorders are anxiety and depression. Conventional antidepressants have limited efficacy in patients because their pharmacological effects wear off, and side effects [...] Read more.
Mental disorders have a poor clinical prognosis and account for approximately 8% of the global burden of disease. Some examples of mental disorders are anxiety and depression. Conventional antidepressants have limited efficacy in patients because their pharmacological effects wear off, and side effects increase with prolonged use. It is claimed that herbal medicine’s antioxidant capacity helps regulate people’s mood and provide a more substantial pharmacological effect. With this background, the purpose of this study is to investigate the effect of rutin on reserpine-induced anxiety and depression in rats. The animals were divided into groups of six rats each: normal control (water), a depression model, a rutin-treated rat model, and an amitriptyline-treated rat model. According to the results, 14 days of treatment with rutin, once daily, showed a modest antidepressant effect. This effect was mediated by increased serotonin, norepinephrine, and dopamine levels in cortical and hippocampal regions. The antioxidant and vasodilator properties of rutin may contribute to its antidepressant properties. According to this study, rutin has shown antidepressant effects by reducing antioxidant activity and acetylcholinesterase. Full article
Show Figures

Figure 1

24 pages, 2581 KB  
Article
Long-Lasting Nociplastic Pain Modulation by Repeated Administration of Sigma-1 Receptor Antagonist BD1063 in Fibromyalgia-like Mouse Models
by Beltrán Álvarez-Pérez, Anna Bagó-Mas, Meritxell Deulofeu, José Miguel Vela, Manuel Merlos, Enrique Verdú and Pere Boadas-Vaello
Int. J. Mol. Sci. 2022, 23(19), 11933; https://doi.org/10.3390/ijms231911933 - 8 Oct 2022
Cited by 9 | Viewed by 4384
Abstract
Sigma-1 receptor (σ1R) ligands have been shown to be effective at relieving neuropathic and inflammatory pain, but have not yet been tested in experimental models of fibromyalgia. The objective of this study was to evaluate the effect of a σ1R antagonist (BD1063) compared [...] Read more.
Sigma-1 receptor (σ1R) ligands have been shown to be effective at relieving neuropathic and inflammatory pain, but have not yet been tested in experimental models of fibromyalgia. The objective of this study was to evaluate the effect of a σ1R antagonist (BD1063) compared to pregabalin. ICR-CD1 female mice were subjected to either six repeated injections of reserpine, to cause reserpine-induced myalgia (RIM6), or acidified saline intramuscular injections (ASI). In these two models, we evaluated the effect of BD1063 and pregabalin on thermal hypersensitivity, anxiety-like and depression-like behaviors, and on spinal cord gliosis. BD1063 exerted an antinociceptive effect on both reflexive (thermal hyperalgesia) and nonreflexive (anxiety- and depression-like) pain behaviors, and reduced spinal astroglial and microglial reactivity, following repeated treatment for 2 weeks. Interestingly, the effects of BD1063 were long-term, lasting several weeks after treatment discontinuation in both fibromyalgia-like models. Similar results were obtained with pregabalin, but the effects on pain behaviors lasted for a shorter length of time, and pregabalin did not significantly modulate spinal glial reactivity. The inhibitory and long-lasting effect of pharmacological blockade of σ1Rs on both sensory and affective dimensions of nociplastic-like pain and spinal cord gliosis in two experimental models of fibromyalgia support the application of this therapeutic strategy to treat fibromyalgia. Full article
Show Figures

Figure 1

18 pages, 3761 KB  
Article
Pharmacological Interaction of Quercetin Derivatives of Tilia americana and Clinical Drugs in Experimental Fibromyalgia
by Yara Elena Quinto-Ortiz, María Eva González-Trujano, Edith Sánchez-Jaramillo, Gabriel Fernando Moreno-Pérez, Salomón Jacinto-Gutiérrez, Francisco Pellicer, Alonso Fernández-Guasti and Alberto Hernandez-Leon
Metabolites 2022, 12(10), 916; https://doi.org/10.3390/metabo12100916 - 28 Sep 2022
Cited by 10 | Viewed by 4116
Abstract
Fibromyalgia (FM) is a pain syndrome characterized by chronic widespread pain and CNS comorbidities. Tilia americana var. mexicana is a medicinal species used to treat anxiety, insomnia, and acute or chronic pain. However, its spectrum of analgesic efficacy for dysfunctional pain is unknown. [...] Read more.
Fibromyalgia (FM) is a pain syndrome characterized by chronic widespread pain and CNS comorbidities. Tilia americana var. mexicana is a medicinal species used to treat anxiety, insomnia, and acute or chronic pain. However, its spectrum of analgesic efficacy for dysfunctional pain is unknown. To investigate a possible therapeutic alternative for FM-type pain, an aqueous Tilia extract (TE) and its flavonoid fraction (FF) containing rutin and isoquercitrin were evaluated alone and/or combined with clinical drugs (tramadol—TRA and pramipexol—PRA) using the reserpine-induced FM model in rats. Chromatographic analysis allowed the characterization of flavonoids, while a histological analysis confirmed their presence in the brain. TE (10–100 mg/kg, i.p.) and FF (10–300 mg/kg, i.p.) produced significant and dose-dependent antihyperalgesic and antiallodynic effects equivalent to TRA (3–10 mg/kg, i.p.) or PRA (0.01–1 mg/kg, s.c.). Nevertheless, the combination of FF + TRA or FF + PRA resulted in an antagonistic interaction by possible competitive action on the serotonin transporter or µ-opioid and D2 receptors, respectively, according to the in silico analysis. Flavonoids were identified in cerebral regions because of their self-epifluorescence. In conclusion, Tilia possesses potential properties to relieve FM-type pain. However, the consumption of this plant or flavonoids such as quercetin derivatives in combination with analgesic drugs might reduce their individual benefits. Full article
Show Figures

Figure 1

20 pages, 7720 KB  
Article
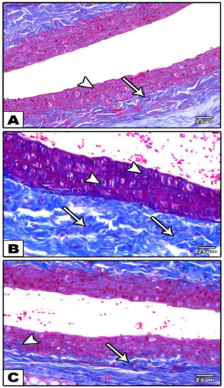
Evaluation of Endothelial Dysfunction and Autophagy in Fibromyalgia-Related Vascular and Cerebral Cortical Changes and the Ameliorative Effect of Fisetin
by Fatma Mohamed Ghoneim, Salwa Mohamed Abo-Elkhair, Ayman Zaky Elsamanoudy and Dalia A. Shabaan
Cells 2022, 11(1), 48; https://doi.org/10.3390/cells11010048 - 24 Dec 2021
Cited by 16 | Viewed by 4822
Abstract
Fibromyalgia (FM) is a common chronic pain syndrome that affects 1% to 5% of the population. We aimed to investigate the role of endothelial dysfunction and autophagy in fibromyalgia-related vascular and cerebral cortical changes in a reserpine-induced rat model of fibromyalgia at the [...] Read more.
Fibromyalgia (FM) is a common chronic pain syndrome that affects 1% to 5% of the population. We aimed to investigate the role of endothelial dysfunction and autophagy in fibromyalgia-related vascular and cerebral cortical changes in a reserpine-induced rat model of fibromyalgia at the histological and molecular levels and to study the ameliorative effect of fisetin. Forty adult female albino rats were divided into four groups (10 each): two control groups, the reserpine-induced fibromyalgia group, and the fisetin-treated group. The carotid arteries and brains of the animals were dissected. Frozen tissue samples were used for total RNA extraction and qPCR analysis of eNOS, caspase-3, Bcl-2, LC-3, BECN-1, CHOP, and TNF-α expression. Histological, immunohistochemical (eNOS), and ultrastructure studies were conducted. The carotid arteries revealed excessive autophagy and endothelial, vascular, and apoptotic changes. The cerebral cortex showed similar findings apart from endoplasmic reticulum stress. Additionally, there was decreased gene expression of eNOS and Bcl-2 and increased expression of caspase-3, LC-3, BECN-1, CHOP, and TNF-α. In the fisetin-treated rats, improvements in the histological and molecular results were detected. In conclusion, oxidative stress, enhanced apoptosis, and excessive autophagy are fundamental pathophysiologic mechanisms of reserpine-induced fibromyalgia. Moreover, fisetin has an ameliorative effect against fibromyalgia. Full article
(This article belongs to the Section Autophagy)
Show Figures

Figure 1

11 pages, 1822 KB  
Article
Wnt/β-Catenin Pathway in Experimental Model of Fibromyalgia: Role of Hidrox®
by Ramona D’Amico, Marika Cordaro, Rosalba Siracusa, Daniela Impellizzeri, Angela Trovato Salinaro, Maria Scuto, Maria Laura Ontario, Roberto Crea, Salvatore Cuzzocrea, Rosanna Di Paola, Roberta Fusco and Vittorio Calabrese
Biomedicines 2021, 9(11), 1683; https://doi.org/10.3390/biomedicines9111683 - 13 Nov 2021
Cited by 15 | Viewed by 2997
Abstract
Fibromyalgia (FM) is a chronic condition characterized by persistent widespread pain that negatively affects the quality of life of patients. The WNT/β-catenin signaling pathway seems to be involved in central sensitization and different pain states. The objective of this study was to investigate [...] Read more.
Fibromyalgia (FM) is a chronic condition characterized by persistent widespread pain that negatively affects the quality of life of patients. The WNT/β-catenin signaling pathway seems to be involved in central sensitization and different pain states. The objective of this study was to investigate the beneficial effects of a new compound called Hidrox® (HD), containing 40–50% hydroxytyrosol, in counteracting the pain associated with FM. An FM-like model was induced in rats by subcutaneous injections of reserpine (1 mg/kg) for three consecutive days. Later, HD (10 mg/kg) was administered orally to the animals for seven days. Reserpine injections induced WNT/β-catenin pathway activation, release of pro-inflammatory mediators as well as a significant increase in oxidative stress. Daily treatment with HD was able to modulate the WNT/β-catenin and Nrf2 pathways and consequently attenuate the behavioral deficits and microglia activation induced by reserpine injection. These results indicate that nutritional consumption of HD can be considered as a new therapeutic approach for human FM. Full article
(This article belongs to the Special Issue Drug Therapies for Fibromyalgia II)
Show Figures

Figure 1

23 pages, 37683 KB  
Article
Improvement Effects of Myelophil on Symptoms of Chronic Fatigue Syndrome in a Reserpine-Induced Mouse Model
by Ji-Hye Song, Seul-Ki Won, Geun-Hyang Eom, Da-Som Lee, Byung-Jin Park, Jin-Seok Lee, Chang-Gue Son and Ji-Yeun Park
Int. J. Mol. Sci. 2021, 22(19), 10199; https://doi.org/10.3390/ijms221910199 - 22 Sep 2021
Cited by 9 | Viewed by 4818
Abstract
Myalgic encephalomyelitis/chronic fatigue syndrome (ME/CFS) is associated with various symptoms, such as depression, pain, and fatigue. To date, the pathological mechanisms and therapeutics remain uncertain. The purpose of this study was to investigate the effect of myelophil (MYP), composed of Astragali Radix and [...] Read more.
Myalgic encephalomyelitis/chronic fatigue syndrome (ME/CFS) is associated with various symptoms, such as depression, pain, and fatigue. To date, the pathological mechanisms and therapeutics remain uncertain. The purpose of this study was to investigate the effect of myelophil (MYP), composed of Astragali Radix and Salviaemiltiorrhizae Radix, on depression, pain, and fatigue behaviors and its underlying mechanisms. Reserpine (2 mg/kg for 10 days, intraperitoneally) induced depression, pain, and fatigue behaviors in mice. MYP treatment (100 mg/kg for 10 days, intragastrically) significantly improved depression behaviors, mechanical and thermal hypersensitivity, and fatigue behavior. MYP treatment regulated the expression of c-Fos, 5-HT1A/B receptors, and transforming growth factor β (TGF-β) in the brain, especially in the motor cortex, hippocampus, and nucleus of the solitary tract. MYP treatment decreased ionized calcium binding adapter molecule 1 (Iba1) expression in the hippocampus and increased tyrosine hydroxylase (TH) expression and the levels of dopamine and serotonin in the striatum. MYP treatment altered inflammatory and anti-oxidative-related mRNA expression in the spleen and liver. In conclusion, MYP was effective in recovering major symptoms of ME/CFS and was associated with the regulation of dopaminergic and serotonergic pathways and TGF-β expression in the brain, as well as anti-inflammatory and anti-oxidant mechanisms in internal organs. Full article
(This article belongs to the Special Issue Molecular Research on Chronic Fatigue Syndrome (CFS))
Show Figures

Figure 1

Back to TopTop