Due to scheduled maintenance work on our servers, there may be short service disruptions on this website between 11:00 and 12:00 CEST on March 28th.
Sign in to use this feature.

Years

Between: -

Subjects

remove_circle_outline
remove_circle_outline
remove_circle_outline
remove_circle_outline
remove_circle_outline
remove_circle_outline
remove_circle_outline
remove_circle_outline
remove_circle_outline

Journals

remove_circle_outline
remove_circle_outline
remove_circle_outline
remove_circle_outline
remove_circle_outline
remove_circle_outline
remove_circle_outline
remove_circle_outline
remove_circle_outline
remove_circle_outline
remove_circle_outline
remove_circle_outline
remove_circle_outline
remove_circle_outline

Article Types

Countries / Regions

remove_circle_outline
remove_circle_outline
remove_circle_outline
remove_circle_outline
remove_circle_outline
remove_circle_outline

Search Results (1,690)

Search Parameters:
Keywords = reflected solar

Order results
Result details
Results per page
Select all
Export citation of selected articles as:
16 pages, 2377 KB  
Article
Pressure-Dependent Structural, Electronic, Mechanical, and Optical Properties of Cs2SeCl6: A DFT Simulation
by Na Dong, Yiping Pang, Shuai Xue, Jing Wang, Jiancai Leng, Chuanfu Cheng and Hong Ma
Chemistry 2026, 8(4), 39; https://doi.org/10.3390/chemistry8040039 - 27 Mar 2026
Abstract
Based on density functional theory, the structural, mechanical, and photoelectric properties of the perovskite material Cs2SeCl6 were systematically studied under pressures ranging from 0 to 50 GPa. Analysis of structural parameters indicates that the lattice constant, unit cell volume, and [...] Read more.
Based on density functional theory, the structural, mechanical, and photoelectric properties of the perovskite material Cs2SeCl6 were systematically studied under pressures ranging from 0 to 50 GPa. Analysis of structural parameters indicates that the lattice constant, unit cell volume, and bond length decrease progressively with increasing pressure. Notably, the material maintains structural stability across the entire pressure range. Electronic property calculations show that Cs2SeCl6 retains an indirect band gap under pressure, with the band gap value monotonically decreasing as pressure increases. The orbital contributions remain almost unchanged at different pressures. The conduction band is mainly composed of Cl-p and Se-p orbitals, while the valence band is dominated by Cl-p orbitals. The analysis of the effective mass indicates that the transport capability of charge carriers is enhanced under compression. Mechanical stability and ductility were evaluated by calculating the elastic constants and derived mechanical moduli, confirming that the material remains mechanically stable under high pressure. Optical properties were investigated by computing the dielectric function, reflectivity, refractive index, optical absorption coefficient, and extinction coefficient. Collectively, the findings of this work demonstrate that the pressurized Cs2SeCl6 exhibits excellent structural robustness, improved charge transport, and promising photoelectric performance, making it a strong candidate for applications in solar cells and other photoelectronic devices. Full article
(This article belongs to the Section Theoretical and Computational Chemistry)
Show Figures

Figure 1

27 pages, 2169 KB  
Article
Nexus Between Energy, Economic Growth and Emissions in an Oil-Producing Country and the Potential of Energy Decoupling: Insights from Azerbaijan
by Mahammad Nuriyev and Aziz Nuriyev
Energies 2026, 19(7), 1633; https://doi.org/10.3390/en19071633 - 26 Mar 2026
Abstract
Sustainable economic development involves reducing heavy reliance on fossil energy resources and their associated environmental impacts. The complexity of this task increases significantly in oil-producing countries, given the hydrocarbons’ role in economic growth, GDP, and exports. In such cases, decoupling economic growth, energy [...] Read more.
Sustainable economic development involves reducing heavy reliance on fossil energy resources and their associated environmental impacts. The complexity of this task increases significantly in oil-producing countries, given the hydrocarbons’ role in economic growth, GDP, and exports. In such cases, decoupling economic growth, energy consumption and emissions should be achieved gradually to ensure a smooth transition, which will require the development of a reliable approach. This study aims to develop a strategy to identify potential pathways for economic growth and energy decoupling in the oil industry. Given the characteristics of the transition process, the feasibility of long-term solutions remains uncertain, and special measures are needed to enhance the reliability of decisions. An approach that combines assessing the economic–environment–emissions nexus, developing fuzzy transition scenarios, and applying multi-criteria and probabilistic decision-making methods has been designed to identify reliable pathways for the energy transition and sustainable development in oil-dependent countries. This allows us to create reliable and compromise scenarios that consider social, technological, environmental, economic and political factors. This study employed Azerbaijan as a case study. Analysis of key indicators revealed strong correlations between country GDP, energy production, and emissions. The MCDM calculations of the obtained feasible scenarios show the optimality of the scenario assuming a decrease in oil production while maintaining natural gas as usual, significantly increasing solar, and moderately increasing wind and hydro energy production. Decisions reflect global economic and energy-sector trends, expert opinions, and the current realities of Azerbaijan’s economy. Full article
(This article belongs to the Section C: Energy Economics and Policy)
Show Figures

Figure 1

21 pages, 26584 KB  
Article
Connecting Meteorite Spectra to Lunar Surface Composition Using Hyperspectral Imaging and Machine Learning
by Fatemeh Fazel Hesar, Mojtaba Raouf, Amirmohammad Chegeni, Peyman Soltani, Bernard Foing, Elias Chatzitheodoridis, Michiel J. A. de Dood and Fons J. Verbeek
Universe 2026, 12(4), 93; https://doi.org/10.3390/universe12040093 - 24 Mar 2026
Viewed by 24
Abstract
We present an innovative, cost-effective framework integrating laboratory Hyperspectral Imaging (HSI) of the Bechar 010 Lunar meteorite with ground-based lunar HSI and supervised Machine Learning (ML) to generate high-fidelity mineralogical maps. A 3 mm thin section of Bechar 010 was imaged under a [...] Read more.
We present an innovative, cost-effective framework integrating laboratory Hyperspectral Imaging (HSI) of the Bechar 010 Lunar meteorite with ground-based lunar HSI and supervised Machine Learning (ML) to generate high-fidelity mineralogical maps. A 3 mm thin section of Bechar 010 was imaged under a microscope with a 30 mm focal length lens at 150 mm working distance, using 6x binning to increase the signal-to-noise ratio, producing a data cube (X × Y × λ = 791×1024×224, 0.24 mm × 0.2 mm resolution) across 400 nm to 1000 nm (224 bands, 2.7 nm spectral sampling, 5.5 nm full width at half maximum spectral resolution) using a Specim FX10 camera. Ground-based lunar HSI was captured with a Celestron 8SE telescope (3 km/pixel), yielded a data cube (371×1024×224). Solar calibration was performed using a Spectralon reference (99% reflectance < 2% error) ensured accurate reflectance spectra. A Support Vector Machine (SVM) with a radial basis function kernel, trained on expert-labeled spectra, achieved 93.7% classification accuracy (5-fold cross-validation) for olivine (92% precision, 90% recall) and pyroxene (88% precision, 86% recall) in Bechar 010. LIME analysis identified key wavelengths (e.g., 485 nm, 22.4% for M3; 715 nm, 20.6% for M6) across 10 pre-selected regions (M1 to M10), indicating olivine-rich (Highland-like) and pyroxene-rich (Mare-like) compositions. SAM analysis revealed angles from 0.26 rad to 0.66 rad, linking M3 and M9 to Highlands and M6 and M10 to Mares. K-means clustering of Lunar data identified 10 mineralogical clusters (88% accuracy), validated against Chandrayaan-1 Moon mineralogy Mapper (M3) data (140 m/pixel, 10 nm spectral resolution). A novel push-broom HSI approach with a telescope achieves 0.8 arcsec resolution for lunar spectroscopy, inspiring full-sky multi-object spectral mapping. Full article
(This article belongs to the Section Planetary Sciences)
Show Figures

Figure 1

25 pages, 17591 KB  
Article
Monitoring of Changes in Desertification in the High Andean Zone of Candarave: Case Study in Tacna, Perú, at the Headwaters of the Atacama Desert
by German Huayna, Jorge Muchica-Huamantuma, Edwin Pino-Vargas, Pablo Franco-León, Eusebio Ingol-Blanco, Fredy Cabrera-Olivera, Carolyn Salazar, Gloria Choque and Edgar Taya-Acosta
Sustainability 2026, 18(7), 3179; https://doi.org/10.3390/su18073179 - 24 Mar 2026
Viewed by 61
Abstract
Desertification is one of the main threats to high Andean ecosystems, particularly in arid and semi-arid regions subject to increasing climatic and anthropogenic pressures. This study evaluated the spatial-temporal dynamics of desertification in the province of Candarave (Tacna, Peru) by integrating the Remote [...] Read more.
Desertification is one of the main threats to high Andean ecosystems, particularly in arid and semi-arid regions subject to increasing climatic and anthropogenic pressures. This study evaluated the spatial-temporal dynamics of desertification in the province of Candarave (Tacna, Peru) by integrating the Remote Sensing-based Desertification Index (RSDI), constructed from a principal component analysis incorporating four biophysical indicators: vegetation greenness, surface moisture, soil grain size, and fraction of solar radiation reflected (albedo), derived from Landsat 5 and 8 satellite images processed in Google Earth Engine. Temporal trends were analyzed using the Mann–Kendall test, while system stability was evaluated using the coefficient of variation, allowing different degrees of stability and environmental degradation to be characterized during the period 2010–2025. The results show that moderate and severe desertification classes predominate in higher altitude areas, covering approximately 92% of the study area, and are characterized by insignificant to weakly significant negative trends associated with high to relatively high temporal volatility. In contrast, stable areas with no significant changes represent 5.3% of the territory, while restoration processes occupy a small proportion, close to 2.7%. The high variability observed in the high Andean sectors is mainly linked to the interaction between reduced water availability, climate variability, and extreme events, as well as anthropogenic pressures, particularly overgrazing and aquifer exploitation. This multitemporal analysis allows us to anticipate the evolution of desertification and highlights the need to strengthen conservation planning in order to reduce the degradation of strategic high Andean ecosystems in the Tacna region. Full article
(This article belongs to the Section Air, Climate Change and Sustainability)
Show Figures

Figure 1

11 pages, 1916 KB  
Article
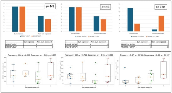
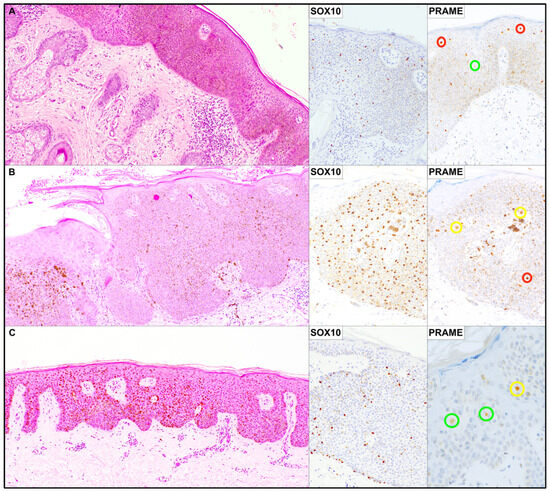
PRAME Expression in Melanoacanthomas: Expanding the Spectrum of Positive Melanocytes in Sun-Exposed Skin
by Francesco Fortarezza, Anna Poputchikova, Federica Pezzuto, Christian Ciolfi, Vincenza Guzzardo, Paolo Del Fiore, Gerardo Cazzato, Franco Bassetto, Mauro Alaibac and Angelo Paolo Dei Tos
Dermatopathology 2026, 13(1), 14; https://doi.org/10.3390/dermatopathology13010014 - 23 Mar 2026
Viewed by 114
Abstract
PRAME (Preferentially Expressed Antigen in Melanoma) is increasingly used as an immunohistochemical marker in the evaluation of melanocytic lesions; however, its expression in benign melanocytic proliferations remains incompletely characterized. This study investigated PRAME expression in melanoacanthomas, with particular emphasis on its relationship with [...] Read more.
PRAME (Preferentially Expressed Antigen in Melanoma) is increasingly used as an immunohistochemical marker in the evaluation of melanocytic lesions; however, its expression in benign melanocytic proliferations remains incompletely characterized. This study investigated PRAME expression in melanoacanthomas, with particular emphasis on its relationship with ultraviolet exposure and chronic solar damage. A consecutive series of melanoacanthomas was retrospectively analyzed. Melanocytes were identified and quantified using SOX10 immunohistochemistry, while PRAME-positive melanocytes were counted and graded semiquantitatively according to nuclear staining intensity. PRAME expression was correlated with lesion site (photoexposed versus non-photoexposed skin) and with the degree of solar elastosis. Eighty-four cases were evaluated, of which 25 (29.8%) showed at least focal PRAME positivity in melanocytes. Overall melanocytic density assessed by SOX10 did not differ significantly between photoexposed and non-photoexposed lesions. Similarly, stratification based on total PRAME-positive melanocyte counts, irrespective of staining intensity, revealed no significant association with photoexposure. In contrast, analysis restricted to melanocytes with strong nuclear PRAME expression demonstrated a significant enrichment in photoexposed lesions compared with non-photoexposed sites (p < 0.01). Moreover, high-intensity PRAME expression showed a positive association with increasing grades of solar elastosis. These findings indicate that strong PRAME expression in melanoacanthoma could be associated with chronic sun damage and may reflect non-specific, ultraviolet-related modulation rather than malignant transformation, underscoring the importance of contextual interpretation of PRAME immunohistochemistry in diagnostic practice. Full article
Show Figures

Figure 1

30 pages, 1727 KB  
Article
Methodology for Preliminary Evaluation of Photovoltaic Projects in Colombia Through Integration of Georeferenced Data and 3D Models (LiDAR)
by Roland Portilla-Garcia, Ricardo Isaza-Ruget and Javier Rosero-Garcia
Appl. Sci. 2026, 16(6), 3073; https://doi.org/10.3390/app16063073 - 22 Mar 2026
Viewed by 182
Abstract
This paper proposes a replicable, city-oriented workflow to support the preliminary screening of photovoltaic (PV) opportunities in Bogotá, Colombia, by integrating (i) georeferenced spatial inventories (roofs/land), (ii) solar-resource modeling based on local meteorological stations and radiation models, and (iii) an optional 3D module [...] Read more.
This paper proposes a replicable, city-oriented workflow to support the preliminary screening of photovoltaic (PV) opportunities in Bogotá, Colombia, by integrating (i) georeferenced spatial inventories (roofs/land), (ii) solar-resource modeling based on local meteorological stations and radiation models, and (iii) an optional 3D module (LiDAR/DSM) to refine shading and orientation losses when higher-resolution data are available. Rather than claiming a complete citywide quantification from exhaustive building-level inputs, the workflow is demonstrated through two institutional case studies (public schools) selected to represent contrasting urban morphologies. The results show how the approach consistently transforms spatial constraints and solar estimates into comparable technical and economic indicators for decision-making at the site level. Finally, a practical scale-up pathway is described to extend the same logic from pilots to citywide portfolios through batch processing of urban footprints and the progressive enrichment of inputs—from 2D GIS screening to targeted 3D refinement—while preserving transparency and traceability of assumptions. For the two case study sites, the workflow yielded preliminary PV capacities of 72.6 and 95.0 kWp, with year-1 generation of 90.2 and 115.0 MWh, respectively. The IRR values achieved were between 18.9 and 19.5%, the simple payback period was approximately five years, and the LCOE was between 0.051 and 0.053 USD/kWh. It should be noted that the generation was reported as a central estimate with ±25% tolerance to reflect interannual solar resource variability. Full article
Show Figures

Figure 1

29 pages, 5033 KB  
Article
Optimizing Microclimate for the Elderly: Synergistic Effects of Landscape Elements in China’s Hot-Summer and Cold-Winter Zone
by Qin Hu and Qingqing Guan
Buildings 2026, 16(6), 1223; https://doi.org/10.3390/buildings16061223 - 19 Mar 2026
Viewed by 171
Abstract
This study addresses the critical challenge of optimizing outdoor thermal comfort for the aging population in old residential communities within China’s Hot-Summer and Cold-Winter (HSCW) climate zones. Against the backdrop of urban regeneration and rapid demographic aging, it investigates how key landscape elements—Square [...] Read more.
This study addresses the critical challenge of optimizing outdoor thermal comfort for the aging population in old residential communities within China’s Hot-Summer and Cold-Winter (HSCW) climate zones. Against the backdrop of urban regeneration and rapid demographic aging, it investigates how key landscape elements—Square Reflectance, Greening Type, and Pergola Condition—influence the microclimate of community public spaces. The research employed an integrated methodology centered on numerical simulation. Using the ENVI-met 5.9.0 software and an L9(34) orthogonal experimental design, it simulated the microclimatic effects of nine combined scenarios on typical summer and winter days for a case study in Nanjing. The comprehensive thermal comfort index, Physiological Equivalent Temperature (PET), was used as the primary evaluation indicator to assess the thermal comfort performance for elderly occupants, with the assistance of air temperature, wind speed, and relative humidity, and the results were analyzed via range analysis and ANOVA. The key findings indicate that: (1) Greening Type and Pergola Condition are the dominant factors affecting microclimate and annual thermal comfort across seasons, while Square Reflectance has a comparatively minor influence. (2) The combination of deciduous trees with lawn achieves the optimal cross-seasonal PET gain. It provides effective shading and cooling in summer while allowing beneficial solar penetration for warming in winter, substantially outperforming evergreen-dominated configurations. (3) The presence of a pergola consistently enhances comfort by providing essential shade in summer and acting as a windbreak in winter. The combination dominated by deciduous trees + lawn and pergola yields an overall PET gain 1.097 °C higher than that of evergreen trees + shrub without pergola. This study provides evidence-based, elderly specific landscape design strategies to inform the thermal environment optimization of public spaces in old residential areas undergoing renewal. Full article
(This article belongs to the Special Issue Built Environment and Thermal Comfort)
Show Figures

Figure 1

24 pages, 1529 KB  
Article
Model-Agnostic, Probabilistic, Hour-Ahead Solar PV Forecasting Using Adaptive Conformal Inference
by Vishnu Suresh
Energies 2026, 19(6), 1495; https://doi.org/10.3390/en19061495 - 17 Mar 2026
Viewed by 219
Abstract
Accurate hour-ahead forecasting of solar photovoltaic (PV) power is essential for risk-aware decision-making in power systems with increasing renewables. Although recent studies emphasize complex deep learning architectures, it remains unclear whether such complexity provides tangible benefits at very short forecasting horizons, particularly when [...] Read more.
Accurate hour-ahead forecasting of solar photovoltaic (PV) power is essential for risk-aware decision-making in power systems with increasing renewables. Although recent studies emphasize complex deep learning architectures, it remains unclear whether such complexity provides tangible benefits at very short forecasting horizons, particularly when forecast uncertainty is considered. This study evaluates deterministic and probabilistic hour-ahead PV forecasting using models of varying complexity, including persistence, linear autoregressive models with exogenous inputs, ridge regression, DLinear, and a vanilla long short-term memory (LSTM) network. Probabilistic forecasts were constructed using a unified, model-agnostic, adaptive conformal inference framework incorporating a daily miscoverage reset tailored to the diurnal characteristics of PV generation. Deterministic results indicate that the LSTM achieves the lowest errors, with an RMSE of 0.336 kW (6.55% of rated capacity) and an MAE of 0.164 kW, compared to RMSE values of approximately 0.38–0.45 kW for linear models and persistence. Following conformal calibration, all models attain empirical prediction interval coverage close to the nominal 90% level (PICP ≈ 90.8–91.4%), with performance differences reflected in interval width and sharpness rather than coverage. Notably, linear models combined with adaptive calibration deliver probabilistic performance comparable to the LSTM at substantially lower computational cost. Full article
Show Figures

Figure 1

22 pages, 4880 KB  
Article
Cell-Level Modeling Approach for Accurate Irradiance Estimation in Bifacial Photovoltaic Modules
by Monica De Riso, Gerardo Saggese, Pierluigi Guerriero, Santolo Daliento and Vincenzo d’Alessandro
Solar 2026, 6(2), 15; https://doi.org/10.3390/solar6020015 - 11 Mar 2026
Viewed by 179
Abstract
Accurate prediction of the energy yield of bifacial photovoltaic (PV) modules requires a proper evaluation of albedo irradiance and the associated mismatch losses. In this work, an advanced tool for the assessment of the power production of bifacial modules is presented. The tool [...] Read more.
Accurate prediction of the energy yield of bifacial photovoltaic (PV) modules requires a proper evaluation of albedo irradiance and the associated mismatch losses. In this work, an advanced tool for the assessment of the power production of bifacial modules is presented. The tool benefits from a refined numerical evaluation of ground-reflected irradiance performed through a view-factor-based cell-level approach within a realistic three-dimensional (3D) Sun-module-shadow geometry. This allows capturing both vertical and lateral nonuniformities in the irradiance distributions over the module surfaces, which are neglected in conventional module-level models. The irradiances incident on the cells are subsequently supplied to a circuit-based block, operating with a cell-level granularity as well, which computes the IV characteristics and the maximum power point (MPP) at selected time instants. Simulations performed on a simplified tool variant assuming uniform albedo irradiance show that this approximation leads to a non-negligible overestimation of power output. An extensive comparison against state-of-the-art tools, including the previous version of our framework, allows us to conclude that the proposed method is especially advantageous for standalone modules or short-row configurations under medium-to-high albedo conditions. Moreover—like its previous version—the tool can handle a large variety of detrimental effects, namely, partial architectural shading, localized snow coverage, bird droppings, and faulty cells. Additionally, a non-zero elevation from the ground can be effectively described. It is also found that south-oriented 30°-tilted bifacial modules suffer from appreciable albedo-induced mismatch losses on the rear surface during summer under medium-albedo conditions, whereas vertically-mounted West- and East-oriented configurations are less affected by such losses. Experimental validation confirms the accuracy of the proposed framework. Full article
(This article belongs to the Special Issue Efficient and Reliable Solar Photovoltaic Systems: 2nd Edition)
Show Figures

Figure 1

27 pages, 3770 KB  
Article
Techno-Economic and Environmental Assessment of Solar-Driven Hybrid Adsorption Desalination–HDH Using Silica Gel/Cacl2 Under Saudi Arabian Climate
by Ehab S. Ali, Ahmed S. Alsaman, Ridha Ben Mansour and Rached Ben-Mansour
Gels 2026, 12(3), 226; https://doi.org/10.3390/gels12030226 - 10 Mar 2026
Viewed by 175
Abstract
This study explores a solar-driven hybrid desalination approach developed for Saudi Arabian climatic conditions, combining adsorption desalination (AD) based on a silica gel/CaCl2 composite with an ejector (EJ) and a HDH system. The proposed integration aims to enhance vapor utilization and reuse [...] Read more.
This study explores a solar-driven hybrid desalination approach developed for Saudi Arabian climatic conditions, combining adsorption desalination (AD) based on a silica gel/CaCl2 composite with an ejector (EJ) and a HDH system. The proposed integration aims to enhance vapor utilization and reuse condenser heat to generate additional distillate. Two operating modes are examined, including a productivity-focused strategy that activates evaporator/condenser heat recovery (HR) when cooling is not required. Compared to raw silica gel (SG), the composite adsorbent improves adsorption cycle performance, raising the COP from about 0.38–0.43 to 0.55–0.63, and increasing SCP from roughly 130–240 W/kg to 320–675 W/kg. Without HR, the full AD–EJ–HDH system achieves SDWP of 52–100 m3/ton·day with GOR of 2.40–2.75 over the year. In HR-enabled operation, SDWP increases to 81–140 m3/ton·day and GOR rises to 2.7–2.95, reflecting stronger internal heat reuse and improved vapor management. Techno-economic results show that the solar-driven unit cost for AD–EJ–HDH decreases from winter values (2.7–2.9 $/m3) to a minimum around June (1.53 $/m3), while waste heat operation reduces the cost further to 0.49 $/m3 in June (rising to ~0.76–0.80 $/m3 in winter). With HR, the full AD–HR–EJ–HDH reaches around 1.44 $/m3 (solar, June) and 0.38–0.40 $/m3 (waste heat, summer), confirming the advantage of desalination-focused HR operation when cooling is not required. Finally, compared with SWRO, the AD–HR–EJ–HDH configuration delivers an approximately 90% lower carbon footprint on the same environmental assessment basis. The study highlights the environmental benefit of the intensified SG/CaCl2 hybrid configuration. Full article
(This article belongs to the Special Issue Designing Gels as Adsorbents and Catalysts)
Show Figures

Figure 1

28 pages, 5608 KB  
Article
Optimizing Thermal–Daylight Performance of South-Facing High-Rise Apartment Rooms Using Slat-Based Shading Devices in Tropical Regions
by Yu Hong, Mohd Farid Mohamed, Wardah Fatimah Mohammad Yusoff, Ende Yang, Jia Li, Feng Peng and Qi Yang
Buildings 2026, 16(5), 1048; https://doi.org/10.3390/buildings16051048 - 6 Mar 2026
Viewed by 201
Abstract
Tropical daylight provision is inherently coupled with intensive solar heat gains, particularly in south-facing rooms that experience pronounced seasonal variations in solar altitude and exposure across different times of the year. When appropriately designed, external shading devices can mitigate solar heat gains while [...] Read more.
Tropical daylight provision is inherently coupled with intensive solar heat gains, particularly in south-facing rooms that experience pronounced seasonal variations in solar altitude and exposure across different times of the year. When appropriately designed, external shading devices can mitigate solar heat gains while maintaining adequate indoor daylight availability. This study investigates the daylighting and thermal performance of a representative south-facing apartment room equipped with combined horizontal and vertical slat-based shading devices using a controlled, comparative simulation framework under tropical climate conditions. Parametric simulations were conducted using IES-VE to evaluate multiple shading configurations with varying slat positions, depths, and combinations under representative sky conditions and seasonal design days. The results demonstrate that mid-height horizontal slat configurations reduced front-zone Estimated Indoor Illuminance (EII) by up to 54.9%, while enhancing daylight penetration into deeper areas under direct sunlight conditions. Bottom horizontal slats further improved daylight distribution by reflecting sunlight into deeper zones, producing peak increases in EII of up to 26.8% in the middle zone and 19.7% in the rear zone under direct solar conditions. The addition of vertical slats further improved thermal performance by limiting lateral solar exposure without significantly diminishing the daylight-redirecting effects of horizontal elements. Selected integrated shading configurations achieved maximum reductions in operative temperature of up to 2.5 °C during peak afternoon periods compared with the base case within the adopted evaluation framework. However, under intermediate sky conditions without direct solar contribution, the daylighting and thermal benefits of slat-based shading were substantially reduced. Based on these findings, the study proposes a movable external shading system with adjustable horizontal and vertical slats for south-facing apartment rooms, intended to respond to changing solar conditions across the evaluated design days. Overall, this study provides mechanism-oriented insights to support the development of climate-responsive façade strategies for tropical high-rise residential buildings, with the aim of improving daylight distribution and reducing cooling demand. Full article
(This article belongs to the Section Building Energy, Physics, Environment, and Systems)
Show Figures

Figure 1

14 pages, 793 KB  
Article
Printing Hybrid, Interdigitated Back-Contact Solar Cells
by Guancheng Li, David Angel Trujillo and Robert L. Opila
Materials 2026, 19(5), 985; https://doi.org/10.3390/ma19050985 - 4 Mar 2026
Viewed by 332
Abstract
Interdigitated back-contact solar cells were fabricated entirely with inkjet printing. poly(3,4-ethylenedioxythiophene):polystyrene sulfonate (PEDOT:PSS), TiO2, and metal lines were printed on a textured silicon substrate with only one inkjet printer. No vacuum deposition or diffusion of a back surface field is needed [...] Read more.
Interdigitated back-contact solar cells were fabricated entirely with inkjet printing. poly(3,4-ethylenedioxythiophene):polystyrene sulfonate (PEDOT:PSS), TiO2, and metal lines were printed on a textured silicon substrate with only one inkjet printer. No vacuum deposition or diffusion of a back surface field is needed for the printed IBC solar cell. Adding co-solvent to the PEDOT:PSS and passivation of the Si surface significantly reduced the losses and enhanced the short-circuit current, Jsc, and, as a result, improved the fill factor and efficiency of the devices. The thickness of the PEDOT:PSS layer is approximately half a micrometer measured by profilometer, which is thicker than the optimal range typically reported; there is still a best short-circuit current, Jsc, of 19.2 mA/cm2. To further improve the performance of the devices, an anti-reflective coating on the front side is required. Also, an improved metal contact ink is needed to improve the contact resistance between the PEDOT:PSS layer and the metal contact. The initial performance of all printed cells are compared to conventionally fabricated devices. Full article
(This article belongs to the Special Issue Microstructures and Coatings for Advanced Optoelectronic Materials)
Show Figures

Graphical abstract

34 pages, 3470 KB  
Article
Parametric Investigation of Climate-Responsive Roof Design Strategies for Buildings in India
by Sudha Gopalakrishnan, Radhakrishnan Shanthi Priya, Yoo Kee Law, Chng Saun Fong and Ramalingam Senthil
Eng 2026, 7(3), 119; https://doi.org/10.3390/eng7030119 - 2 Mar 2026
Viewed by 329
Abstract
Rapid urbanization has significantly increased energy demand in buildings, which now represent nearly 30% of global energy use. In India, buildings are built across highly varied climatic conditions, from hot-dry and warm-humid to cold, high-altitude areas, making climate-responsive envelope design essential to enhance [...] Read more.
Rapid urbanization has significantly increased energy demand in buildings, which now represent nearly 30% of global energy use. In India, buildings are built across highly varied climatic conditions, from hot-dry and warm-humid to cold, high-altitude areas, making climate-responsive envelope design essential to enhance thermal performance. Among envelope components, roofs are the most exposed to solar and outdoor thermal loads, playing a key role in managing indoor heat transfer. This study offers a parametric analysis of climate-responsive roof design strategies for India’s five main climatic zones, using transient simulations and statistical evaluation. The effectiveness of insulation placement, insulation material and thickness, and external surface absorptivity was systematically assessed based on roof heat gain and heat loss. Results indicate that over-slab insulation can lower roof heat gain by approximately 15–35% compared to under-slab insulation in warm-humid, hot-dry, composite, and temperate zones. In comparison, under-slab insulation decreases heat loss by about 10% in colder areas. Among insulation materials, 50 mm polyurethane foam (U = 0.433 W/m2·K) consistently outperformed extruded polystyrene and expanded polystyrene, achieving 82–83% reductions in maximum heat gain in cooling-dominated climates and 89% reductions in heat loss in cold regions relative to uninsulated roofs. When combined with a white reflective surface finish (α = 0.26), the total heat transfer reduction increased further to 89–92%. Surface treatments alone cut heat gain by 37–51% in non-cold climates, highlighting their potential as cost-effective retrofit options. Statistical analysis confirmed that dry-bulb temperature is the primary climatic factor influencing roof heat transfer (R2 = 0.86–0.98, p < 0.0001), while solar radiation had a weaker effect, especially in optimized roof systems. The findings emphasize the importance of climate-specific roof design and demonstrate that insulation U-value has a greater impact on thermal performance than surface absorptivity, although both are significant. This research offers practical, climate-adjusted guidance for architects, engineers, and policymakers to enhance the thermal performance of roofs in Indian buildings. It supports the development of more resilient, energy-efficient building envelopes. Full article
(This article belongs to the Special Issue Interdisciplinary Insights in Engineering Research)
Show Figures

Figure 1

18 pages, 1417 KB  
Article
A Machine Learning Framework for Assessing the Sensitivity of Regional Ocean Productivity to Climate Change
by Teodoro Semeraro, Jessica Titocci, Lorenzo Liberatore, Flavio Monti, Armando Cazzetta, Maurizio Pinna, Milad Shokri and Alberto Basset
Environments 2026, 13(3), 137; https://doi.org/10.3390/environments13030137 - 2 Mar 2026
Viewed by 471
Abstract
Net primary production (NPP) in the ocean is fundamental to marine food webs, supporting oxygen production for heterotrophic respiration and contributing to the long-term sequestration of carbon. Rising ocean temperatures associated with climate change are expected to alter NPP dynamics. However, it remains [...] Read more.
Net primary production (NPP) in the ocean is fundamental to marine food webs, supporting oxygen production for heterotrophic respiration and contributing to the long-term sequestration of carbon. Rising ocean temperatures associated with climate change are expected to alter NPP dynamics. However, it remains challenging to understand how different abiotic (especially sea temperature) and biotic factors influence marine NPP due to the complex network of interactions between these factors. This study introduces a flexible machine-learning-based framework for evaluating the sensitivity of NPP to variations in key environmental drivers, particularly sea temperature, by testing and comparing alternative machine learning algorithms. In the case study presented here, Support Vector Machines (SVM) achieved the highest predictive performance among the evaluated models. Variable-importance analysis of the best-performing algorithm, within the scope of this comparative framework, revealed that variables intrinsically linked to NPP, such as chlorophyll-a and solar radiation, play a key role in determining the predictive ability of the models. Meanwhile, sea temperature emerged as the key external factor influencing the performance of the models. The NPP exhibits a correlative sensitivity to increase of 1 °C in sea temperature, with relative changes ranging between 3% and 16%. These projections reflect model-based sensitivities derived from historical co-variation. Therefore, the results represent conditional projections under observed relationships. Although SVM performed best for this case study, the proposed framework is adaptable and can incorporate alternative algorithms, predictor sets and preprocessing strategies, enabling robust and transferable assessments of the sensitivity of regional ocean productivity to climate change. Full article
Show Figures

Figure 1

20 pages, 4281 KB  
Article
Sustainable Energy Transition Challenges: Limits to the Integration of Core Energy System Components—Reliability Perspective
by Wojciech Uchman, Michał Jurczyk, Jakub Ochmann and Leszek Remiorz
Energies 2026, 19(5), 1232; https://doi.org/10.3390/en19051232 - 1 Mar 2026
Viewed by 418
Abstract
The rapid expansion of non-dispatchable renewable energy sources (VRE) and energy storage technologies raises fundamental questions regarding the structural limits of their integration into power systems. This study aims to determine, from a structural reliability perspective, the adequate penetration limits of VRE in [...] Read more.
The rapid expansion of non-dispatchable renewable energy sources (VRE) and energy storage technologies raises fundamental questions regarding the structural limits of their integration into power systems. This study aims to determine, from a structural reliability perspective, the adequate penetration limits of VRE in a synthetic power system and to assess how firm generation share, storage capacity, and wind–solar technology mix influence system reliability. A synthetic annual load profile reflecting current European conditions was developed from real-life data, along with a set of indicators enabling the consistent characterization and comparison of demand profiles. A deterministic system model was then applied to evaluate power and energy balance under parametrized configurations of firm generation, variable renewable capacity, and storage. Reliability performance was assessed using proposed indices (RIs) covering, among others, capacity margin, loss of load duration, frequency, etc. The results demonstrate the existence of structural penetration limits of non-dispatchable renewables that cannot be eliminated solely by increasing storage capacity, but only shifted. The technological composition of VRE is shown to be as important as total penetration: higher wind shares improve seasonal alignment and reduce reliability risks, whereas PV-dominated configurations increase curtailment and storage dependence. Moderate overcapacity, combined with a balanced wind–solar mix, provides the most favorable structural reliability conditions. These findings underscore the importance of incorporating reliability-based structural constraints into long-term energy transition planning, beyond purely economic optimization criteria. Full article
Show Figures

Figure 1

Back to TopTop