Sign in to use this feature.

Years

Between: -

Subjects

remove_circle_outline
remove_circle_outline
remove_circle_outline
remove_circle_outline
remove_circle_outline
remove_circle_outline

Journals

Article Types

Countries / Regions

Search Results (52)

Search Parameters:
Keywords = racemase

Order results
Result details
Results per page
Select all
Export citation of selected articles as:
12 pages, 1007 KB  
Review
Pathogenesis-Guided Biomarker Assessment: A Shift in Prostate Cancer Diagnostics
by Jessica M. Logan, Victoria Malone, John J. O’Leary and Doug A. Brooks
Int. J. Mol. Sci. 2025, 26(24), 11786; https://doi.org/10.3390/ijms262411786 - 5 Dec 2025
Viewed by 408
Abstract
Despite prostate cancer being one of the most common malignancies in men, its pathological diagnosis remains plagued by inter-observer variability and diagnostic ambiguity. Traditional morphological assessment and currently available biomarkers such as PSA (Prostate-Specific Antigen), AMACR (Alpha methylacyl CoA racemase), and p63 suffer [...] Read more.
Despite prostate cancer being one of the most common malignancies in men, its pathological diagnosis remains plagued by inter-observer variability and diagnostic ambiguity. Traditional morphological assessment and currently available biomarkers such as PSA (Prostate-Specific Antigen), AMACR (Alpha methylacyl CoA racemase), and p63 suffer from poor specificity and clinical reliability. In this review, we present a pathogenesis-guided biomarker discovery strategy that led to the development of a clinically validated biomarker panel—Appl-1, Sortilin, and Syndecan-1. These biomarkers, which reflect fundamental biological processes within the endosome–lysosome system, offer improved diagnostic precision and prognostic utility for patients with prostate cancer. This review discusses the rationale behind their discovery, the multidisciplinary approach that enabled it, the evidence supporting their use, and their implementation in U.S. clinical practice as a lab-developed test (LDT). We propose this approach as a new diagnostic standard that bridges mechanistic insight with real-world application. Full article
Show Figures

Graphical abstract

27 pages, 716 KB  
Review
Impact of D-Amino Acids in Schizophrenia
by Serdar M. Dursun, Leman H. Dursun and Glen B. Baker
Biomolecules 2025, 15(9), 1270; https://doi.org/10.3390/biom15091270 - 2 Sep 2025
Viewed by 2198
Abstract
Most amino acids contain a chiral center and thus, can exist as L- and D-isomers. For many years, it was thought that only the L-isomers were present in mammals. However, in recent decades it has been demonstrated that D-isomers are also present. Three [...] Read more.
Most amino acids contain a chiral center and thus, can exist as L- and D-isomers. For many years, it was thought that only the L-isomers were present in mammals. However, in recent decades it has been demonstrated that D-isomers are also present. Three of these amino acids, namely D-serine, D-aspartate, and D-alanine, have been proposed to play a role in the etiology of schizophrenia via interactions with glutamate receptors. D-Serine and D-alanine act at the glycine modulatory site on the NMDA receptor, while D-aspartate acts at the glutamate site on the same receptor. D-aspartate also acts on the mGlu5 receptor and can stimulate glutamate release presynaptically. Preclinical studies have reported that manipulations to reduce brain levels of D-serine, D-aspartate, or D-alanine lead to schizophrenia-relevant behaviors, and clinical studies have reported reduced levels of these D-amino acids in the brain tissue (postmortem) and/or body fluids from schizophrenia patients compared to those noted in controls, although there are some contradictory findings. The possible use of these amino acids and/or the manipulation of their relevant enzymes in the treatment of schizophrenia are described. D-Cysteine has been identified recently in human brain tissue, with the highest values in white matter; demonstration of its involvement in brain development has led to speculation that it could be involved in the etiology of schizophrenia, identifying it as a potential therapy in combination with antipsychotics. Future directions and potential problems that should be considered in studies on D-amino acids and their relevant enzymes in schizophrenia are discussed. Full article
(This article belongs to the Section Molecular Medicine)
Show Figures

Figure 1

29 pages, 1939 KB  
Review
Peroxisomal Alterations in Prostate Cancer: Metabolic Shifts and Clinical Relevance
by Mohamed A. F. Hussein, Celien Lismont, Hongli Li, Ruizhi Chai, Frank Claessens and Marc Fransen
Cancers 2025, 17(13), 2243; https://doi.org/10.3390/cancers17132243 - 4 Jul 2025
Cited by 1 | Viewed by 2858
Abstract
Cancer is hallmarked by uncontrolled cell proliferation and enhanced cell survival, driven by a complex interplay of factors—including genetic and epigenetic changes—that disrupt metabolic and signaling pathways and impair organelle function. While the roles of mitochondria and the endoplasmic reticulum in cancer are [...] Read more.
Cancer is hallmarked by uncontrolled cell proliferation and enhanced cell survival, driven by a complex interplay of factors—including genetic and epigenetic changes—that disrupt metabolic and signaling pathways and impair organelle function. While the roles of mitochondria and the endoplasmic reticulum in cancer are widely recognized, emerging research is now drawing attention to the involvement of peroxisomes in tumor biology. Peroxisomes are essential for lipid metabolism, including fatty acid α- and β-oxidation, the synthesis of docosahexaenoic acid, bile acids, and ether lipids, as well as maintaining redox balance. Despite their critical functions, the role of peroxisomes in oncogenesis remains inadequately explored. Prostate cancer (PCa), the second most common cancer in men worldwide, exhibits a unique metabolic profile compared to other solid tumors. In contrast to the glycolysis-driven Warburg effect, primary PCa relies primarily on lipogenesis and oxidative phosphorylation. Peroxisomes are intricately involved in the metabolic adaptations of PCa, influencing both disease progression and therapy resistance. Key alterations in peroxisomal activity in PCa include the increased oxidation of branched-chain fatty acids, upregulation of α-methylacyl coenzyme A racemase (a prominent PCa biomarker), and downregulation of 1-alkyl-glycerone-3-phosphate synthase and catalase. This review critically examines the role of peroxisomes in PCa metabolism, progression, and therapeutic response, exploring their potential as biomarkers and targets for therapy. We also consider their relationship with androgen receptor signaling. A deeper understanding of peroxisome biology in PCa could pave the way for new therapies to improve patient outcomes. Full article
(This article belongs to the Special Issue Advancements in Molecular Research of Prostate Cancer)
Show Figures

Graphical abstract

14 pages, 3070 KB  
Article
Immunosensor Enhanced with Silver Nanocrystals for On-Chip Prostate-Specific Antigen Detection
by Timothy A. Okhai, Kefilwe V. Mokwebo, Marlon Oranzie, Usisipho Feleni and Lukas W. Snyman
Biosensors 2025, 15(7), 428; https://doi.org/10.3390/bios15070428 - 3 Jul 2025
Viewed by 822
Abstract
An electrochemical immunosensor for the quantification of prostate-specific antigens (PSAs) using silver nanocrystals (AgNCs) is reported. The silver nanocrystals were synthesized using a conventional citrate reduction protocol. The silver nanocrystals were characterized using scanning electron microscopy (SEM) and field effect scanning electron microscopy [...] Read more.
An electrochemical immunosensor for the quantification of prostate-specific antigens (PSAs) using silver nanocrystals (AgNCs) is reported. The silver nanocrystals were synthesized using a conventional citrate reduction protocol. The silver nanocrystals were characterized using scanning electron microscopy (SEM) and field effect scanning electron microscopy (FESEM), X-ray diffraction (XRD), high-resolution transmission electron microscopy (HRTEM), Fourier-transform infrared spectroscopy (FTIR), UV-Vis spectroscopy, and small-angle X-ray scattering (SAXS). The proposed immunosensor was fabricated on a glassy carbon electrode (GCE), sequentially, by drop-coating AgNCs, the electro-deposition of EDC-NHS, the immobilization of anti-PSA antibody (Ab), and dropping of bovine serum albumin (BSA) to prevent non-specific binding sites. Each stage of the fabrication process was characterized by cyclic voltammetry (CV). Using square wave voltammetry (SWV), the proposed immunosensor displayed high sensitivity in detecting PSA over a concentration range of 1 to 10 ng/mL with a detection limit of 1.14 ng/mL and R2 of 0.99%. The immunosensor was selective in the presence of interfering substances like glucose, urea, L-cysteine, and alpha-methylacyl-CoA racemase (AMACR) and it showed good stability and repeatability. These results compare favourably with some previously reported results on similar or related technologies for PSA detection. Full article
(This article belongs to the Special Issue Photonics for Bioapplications: Sensors and Technology—2nd Edition)
Show Figures

Figure 1

13 pages, 1859 KB  
Article
The Isolation, Structural Characterization, and Biosynthetic Pathway of Unguisin from the Marine-Derived Fungus Aspergillus candidus
by Wenjiao Diao, Wei Zhang, Xiaoxi Zhang, Siyu Du, Caijuan Zheng, Xuenian Huang and Xuefeng Lu
Mar. Drugs 2025, 23(5), 219; https://doi.org/10.3390/md23050219 - 21 May 2025
Cited by 1 | Viewed by 1459
Abstract
Unguisins, a class of structurally complex cyclic peptides featuring a γ-aminobutyric acid residue embedded in the skeleton, exhibit diverse biological activities. Here, a new unguisin K, along with three known congeners, was isolated from the marine-derived fungus Aspergillus candidus MEFC1001. The biosynthetic [...] Read more.
Unguisins, a class of structurally complex cyclic peptides featuring a γ-aminobutyric acid residue embedded in the skeleton, exhibit diverse biological activities. Here, a new unguisin K, along with three known congeners, was isolated from the marine-derived fungus Aspergillus candidus MEFC1001. The biosynthetic pathway was elucidated through gene disruption coupled with in vitro enzymatic characterization. The ugs biosynthetic gene cluster (BGC) containing ugsA and ugsB, in conjunction with an extra-clustered gene ugsC, collaborates to synthesize these unguisins. The alanine racemase (AR) UgsC catalyzes the isomerization of Ala and provides d-Ala as the starter unit for the non-ribosomal peptide synthetase (NRPS). The unique localization of ugsC outside the ugs BGC is different from previously reported unguisin-producing systems where AR genes reside within BGCs. The methyltransferase UgsB mediates a key pre-modification step by methylating phenylpyruvic acid to yield β-methylphenylpyruvate, which is subsequently incorporated as β-methylphenylalanine during NRPS assembly. This represents the first experimental evidence of the β-carbon methylation of Phe residue occurring at the precursor level rather than through post-assembly modification. The NRPS UgsA recruits a variety of amino acids for assembly and cyclization to form mature unguisins. Additionally, genome mining utilizing UgsA as a query identified homologous NRPSs in diverse fungal species, highlighting the potential for unguisin production in fungi. This study enriches the biosynthetic diversity of cyclic peptides and provides guidance for exploring unguisin-like natural products derived from fungi. Full article
(This article belongs to the Special Issue Biosynthesis of Biologically Active Marine Natural Products 2025)
Show Figures

Graphical abstract

12 pages, 2390 KB  
Article
The Probiotic Strain Clostridium butyricum TO-A Produces Butyrate by Utilizing Lactate and Acetate
by Shotaro Honda, Hiromichi Eguchi, Yoichi Okino and Dian-Sheng Wang
Int. J. Mol. Sci. 2025, 26(7), 2951; https://doi.org/10.3390/ijms26072951 - 24 Mar 2025
Cited by 3 | Viewed by 5574
Abstract
Lactate-utilizing bacteria (LUB) are intestinal bacteria that produce butyrate from lactate and acetate, key metabolites in the gut. As LUB help maintain lactate and butyrate concentrations in the intestinal tract, they are promising probiotic candidates. Clostridium butyricum TO-A (CBTOA) has reportedly been effective [...] Read more.
Lactate-utilizing bacteria (LUB) are intestinal bacteria that produce butyrate from lactate and acetate, key metabolites in the gut. As LUB help maintain lactate and butyrate concentrations in the intestinal tract, they are promising probiotic candidates. Clostridium butyricum TO-A (CBTOA) has reportedly been effective in treating various gastrointestinal issues in humans and animals. Although CBTOA is known to increase intestinal butyrate levels, it is unclear how it utilizes lactate and acetate, similar to LUB, to produce butyrate. We investigated lactate utilization-related genes in CBTOA and examined the relationship between lactate and acetate utilization and butyrate production using peptone–yeast medium supplemented with D-lactate, L-lactate, and/or acetate. This study demonstrates for the first time that the probiotic strain CBTOA harbors lactate utilization-related genes and efficiently produces butyrate only in the presence of exogenous lactate and acetate instead of sugars. Furthermore, CBTOA expresses a lactate racemase that enables the bacterium to utilize both lactate enantiomers while regulating the ratio of D-lactate to L-lactate in the intestinal microenvironment via racemization. In conclusion, CBTOA efficiently produces butyrate utilizing lactate and acetate, similar to LUB; therefore, CBTOA could be an efficient butyrate supplier as a probiotic strain in the intestinal tract. Full article
Show Figures

Graphical abstract

17 pages, 2419 KB  
Article
Sericin’s Potential in Osteoporosis Management: The Roles of L-Serine and D-Serine in Bone Metabolism Regulation
by Jwa-Young Kim, Xiangguo Che, Shihyun Kim, Jongho Choi, Joon Ha Lee, Ji-Hae Lee, HaeYong Kweon, Suk Keun Lee, Je-Yong Choi and Seong-Gon Kim
Nutrients 2025, 17(3), 574; https://doi.org/10.3390/nu17030574 - 4 Feb 2025
Cited by 4 | Viewed by 2432
Abstract
Background: Osteoporosis is a bone remodeling disease characterized by an imbalance between bone formation and resorption, leading to bone fragility. Current treatments focus on bone resorption suppression but often have adverse effects. This study aimed to explore the potential of sericin, a silkworm-derived [...] Read more.
Background: Osteoporosis is a bone remodeling disease characterized by an imbalance between bone formation and resorption, leading to bone fragility. Current treatments focus on bone resorption suppression but often have adverse effects. This study aimed to explore the potential of sericin, a silkworm-derived protein, as a dual-action therapeutic agent that enhances bone formation through its component L-serine and inhibits bone resorption via D-serine, which is derived from L-serine by the action of serine racemase. Methods: Cellular experiments were conducted to evaluate the effects of L-serine on osteoblast differentiation and D-serine on osteoclast inhibition. Serum levels of D-serine were measured following sericin administration in an osteoporosis animal model. μ-CT analysis assessed trabecular and cortical bone quality, and bone-related protein expression was analyzed using immunoprecipitation-based high-performance liquid chromatography (IP-HPLC). Results: L-serine significantly upregulated osteogenic markers, including alkaline phosphatase (ALP), Runx2, osterix, and Col1a1, in osteoblasts (p < 0.05). D-serine inhibited osteoclast activation by suppressing cathepsin K expression (p < 0.001). Sericin feeding elevated serum D-serine levels (p < 0.001) and upregulated bone-related proteins such as BMP-2, osterix, and Runx2. Micro-computed tomography (μ-CT) analysis revealed significant improvements in trabecular bone parameters in the OVX-sericin group, including increased trabecular bone volume (Tb.BV/TV; p < 0.05) and reduced trabecular separation (Tb.Sp; p < 0.05), compared to the OVX and OVX-amino acid groups. Cortical bone parameters, including cortical bone volume (Ct.BV/TV) and cortical area (Ct.Ar), did not significantly differ among OVX groups, but all were lower than in the sham group (p < 0.05). Conclusions: This study demonstrates that sericin modulates bone metabolism by enhancing osteoblast activity through L-serine and inhibiting osteoclastogenesis via D-serine. Sericin supplementation improved trabecular bone mass in an osteoporosis model, highlighting its potential for bone health. Full article
(This article belongs to the Section Proteins and Amino Acids)
Show Figures

Figure 1

15 pages, 1276 KB  
Review
Atypical Metastases from Prostate Cancer: Alpha-Methylacyl-Coenzyme A Racemase (AMACR) as a Potential Molecular Target in Prostate-Specific Membrane Antigen-Negative Prostate Adenocarcinoma
by Ilham Badrane, Angelo Castello, Matteo Brunelli, Corrado Cittanti, Sara Adamantiadis, Ilaria Bagni, Noemi Mindicini, Federica Lancia, Massimo Castellani, Licia Uccelli, Mirco Bartolomei and Luca Urso
Biomolecules 2025, 15(1), 17; https://doi.org/10.3390/biom15010017 - 26 Dec 2024
Cited by 2 | Viewed by 2028
Abstract
Prostate cancer (PCa) is a high-prevalence disease usually characterized by metastatic spread to the pelvic lymph nodes and bones and the development of visceral metastases only in the late stages of disease. Positron Emission Tomography (PET) plays a key role in the detection [...] Read more.
Prostate cancer (PCa) is a high-prevalence disease usually characterized by metastatic spread to the pelvic lymph nodes and bones and the development of visceral metastases only in the late stages of disease. Positron Emission Tomography (PET) plays a key role in the detection of PCa metastases. Several PET radiotracers are used in PCa patients according to the stage and pathological features of the disease, in particular 68Ga/18F-prostate-specific membrane antigen (PSMA) ligands. Moreover, 2-deoxy-2-[18F]fluoro-D-glucose 18F-FDG PET usually shows metastases in the late stages of disease, when dedifferentiated neoplastic clones lose PSMA expression. In some cases, PCa patients may present atypical sites of metastases, with uncommon appearance at PET imaging with different radiotracers. We present the case of a patient with biochemical recurrence of PCa (ISUP Grade Group IV; PSA 4.7 ng/mL) showing atypical sites of metastases (the testis and multiple lung nodules) with absent PSMA expression and high [18F]FDG avidity. The patient showed diffuse positivity to alpha-methylacyl-coenzyme A racemase (AMACR). Moreover, a literature review was performed by collecting cases of PCa patients with atypical metastatic spread detected via PET imaging, with the aim of highlighting the relationship between atypical sites of metastases, imaging presentation, and pathology findings. Full article
(This article belongs to the Special Issue Advances in the Pathology of Prostate Cancer)
Show Figures

Figure 1

16 pages, 2104 KB  
Article
A New Three-Hit Mouse Model of Neurodevelopmental Disorder with Cognitive Impairments and Persistent Sociability Deficits
by Imane Mouffok, Caroline Lahogue, Thomas Cailly, Thomas Freret, Valentine Bouet and Michel Boulouard
Brain Sci. 2024, 14(12), 1281; https://doi.org/10.3390/brainsci14121281 - 20 Dec 2024
Viewed by 1997
Abstract
Background/Objectives: Cognitive deficits and negative symptoms associated with schizophrenia are poorly managed by current antipsychotics. In order to develop effective treatments, refining animal models of neurodevelopmental disorders is essential. Methods: To address their multifactorial etiology, we developed a new three-hit mouse model based [...] Read more.
Background/Objectives: Cognitive deficits and negative symptoms associated with schizophrenia are poorly managed by current antipsychotics. In order to develop effective treatments, refining animal models of neurodevelopmental disorders is essential. Methods: To address their multifactorial etiology, we developed a new three-hit mouse model based on the hypoglutamatergic hypothesis of the pathology combined with early stress, offering strong construct validity. Thus, a genetic susceptibility (serine racemase deletion) was associated with an early environmental stress (24 h maternal separation at 9 days of age) and a further pharmacological treatment with phencyclidine (PCP, a glutamate receptor antagonist treatment, 10 mg/kg/day, from 8 to 10 weeks of age). The face validity of this model was assessed in female mice 1 and 6 weeks after the end of PCP treatment by a set of behavioral experiments investigating positive- and negative-like symptoms and cognitive deficits. Results: Our results showed that the three-hit mice displayed persistent hyperlocomotion (positive-like symptoms) and social behavior impairment deficits (negative-like symptoms) but non-persistent spatial working memory deficits (cognitive symptoms). Conclusions: Our work confirms the usefulness of a three-hit combination to model, particularly for negative-like symptoms associated with schizophrenia and other psychiatric disorders. The model therefore gathers powerful construct and face validities and supports an involvement of glutamate dysfunction in behavioral symptoms. Full article
(This article belongs to the Special Issue Exploring Negative Symptoms of Schizophrenia: Where Do We Stand?)
Show Figures

Figure 1

10 pages, 753 KB  
Article
Ratio of l-(+)- and d-(−)-Lactic Acids Produced by Enterococcus faecalis Changes Depending on the Culture pH
by Kanako Matsunaga and Yasuhiko Komatsu
Microbiol. Res. 2024, 15(4), 2703-2712; https://doi.org/10.3390/microbiolres15040179 - 15 Dec 2024
Cited by 1 | Viewed by 1887
Abstract
Enterococcus faecalis (E. faecalis) has been associated with the specific production of l-(+)-lactic acid. However, in this study, d-(−)-lactic acid production by E. faecalis was observed under specific pH conditions. E. faecalis PR31 exhibited a significant amount of d [...] Read more.
Enterococcus faecalis (E. faecalis) has been associated with the specific production of l-(+)-lactic acid. However, in this study, d-(−)-lactic acid production by E. faecalis was observed under specific pH conditions. E. faecalis PR31 exhibited a significant amount of d-(−)-lactic acid under a stirring culture in MRS broth at pH 4.5, 5.8, and 6.0, and the contents of d-(−)-lactic acid were 45.1, 35.9, and 36.2%, respectively. When the cell suspension prepared at a pH of 6.0 was reacted with l-(+)- or d-(−)-lactic acid, d-(−)- or l-(+)-lactic acid was produced, respectively, in a time- and dose-dependent manner. Therefore, this phenomenon of d-(−)-lactic acid production in PR31 was suggested to be due to the activation of the larA gene encoding lactate racemase that is present in PR31. However, even in the E. faecalis-type strain NBRC 100480, which contains neither larA nor vanH, encoding d-(−)-lactate dehydrogenase VanH, d-(−)-lactic acid was also produced at specific pH values. Therefore, the production of d-(−)-lactic acid in NBRC 100480 was thought to occur not via the activation of larA. The biological significance of d-(−)-lactic acid production in E. faecalis depending on the pH and the detailed underlying mechanism, including whether it is the same in PR31 and NBRC 100480, remain to be elucidated in future studies. Full article
Show Figures

Figure 1

9 pages, 1180 KB  
Article
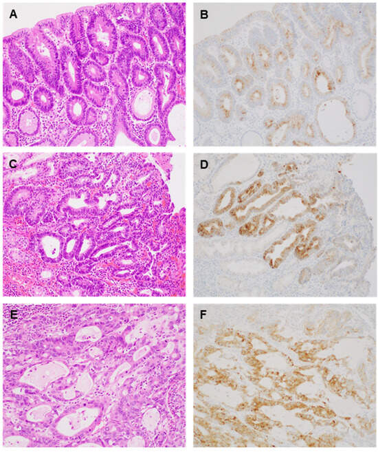
Diagnostic Roles of α-Methylacyl-CoA Racemase (AMACR) Immunohistochemistry in Gastric Dysplasia and Adenocarcinoma
by Jung-Soo Pyo, Kyeung-Whan Min, Ji-Eun Choi and Dong-Wook Kang
Medicina 2024, 60(9), 1475; https://doi.org/10.3390/medicina60091475 - 9 Sep 2024
Cited by 1 | Viewed by 1889
Abstract
Background and Objectives: This study aimed to elucidate the diagnostic role of α-Methylacyl-CoA racemase (AMACR) immunohistochemistry in gastric dysplasia and adenocarcinoma. Materials and Methods: Immunohistochemistry for AMACR was performed on 39 gastric dysplasia and 40 gastric adenocarcinoma cases. The expression patterns [...] Read more.
Background and Objectives: This study aimed to elucidate the diagnostic role of α-Methylacyl-CoA racemase (AMACR) immunohistochemistry in gastric dysplasia and adenocarcinoma. Materials and Methods: Immunohistochemistry for AMACR was performed on 39 gastric dysplasia and 40 gastric adenocarcinoma cases. The expression patterns of AMACR were investigated and divided into luminal and cytoplasmic expression patterns in the gastric lesions. In addition, correlations between AMACR expression and patient age, sex, and tumor size were evaluated. Results: AMACR was expressed in 26 of 39 cases of gastric dysplasia (66.7%) and 17 of 40 cases of gastric adenocarcinomas (42.5%). The AMACR expression rates in high- and low-grade dysplasia were 80.0% and 52.6%, respectively. A detailed analysis of the expression patterns revealed that the luminal expression pattern was significantly higher in low-grade dysplasia than in high-grade dysplasia and gastric adenocarcinoma (p < 0.001). The cytoplasmic expression pattern, without luminal expression, was predominant in high-grade dysplasia and gastric adenocarcinoma. In addition, the rates of loss of expression in the overall area were 15.1 ± 23.9%, 49.0 ± 29.9%, and 59.0 ± 32.2% in low-grade dysplasia, high-grade dysplasia, and gastric adenocarcinoma, respectively. The negative rate of low-grade dysplasia was significantly lower than that of high-grade dysplasia and gastric adenocarcinoma (p < 0.001 and p < 0.001, respectively). Conclusions: AMACR is a useful diagnostic marker for differentiating low-grade dysplasia from high-grade dysplasia and gastric adenocarcinoma. Luminal or cytoplasmic expression patterns and the extent of loss of expression are important for differentiation. Full article
(This article belongs to the Section Oncology)
Show Figures

Figure 1

17 pages, 2895 KB  
Article
The Development of a Regulator of Human Serine Racemase for N-Methyl-D-aspartate Function
by Lu-Ping Lu, Wei-Hua Chang, Yi-Wen Mao, Min-Chi Cheng, Xiao-Yi Zhuang, Chi-Sheng Kuo, Yi-An Lai, Tsai-Miao Shih, Teh-Ying Chou and Guochuan Emil Tsai
Biomedicines 2024, 12(4), 853; https://doi.org/10.3390/biomedicines12040853 - 12 Apr 2024
Cited by 4 | Viewed by 2994
Abstract
It is crucial to regulate N-methyl-D-aspartate (NMDA) function bivalently depending on the central nervous system (CNS) conditions. CNS disorders with NMDA hyperfunction are involved in the pathogenesis of neurotoxic and/or neurodegenerative disorders with elevated D-serine, one of the NMDA receptor co-agonists. On the [...] Read more.
It is crucial to regulate N-methyl-D-aspartate (NMDA) function bivalently depending on the central nervous system (CNS) conditions. CNS disorders with NMDA hyperfunction are involved in the pathogenesis of neurotoxic and/or neurodegenerative disorders with elevated D-serine, one of the NMDA receptor co-agonists. On the contrary, NMDA-enhancing agents have been demonstrated to improve psychotic symptoms and cognition in CNS disorders with NMDA hypofunction. Serine racemase (SR), the enzyme regulating both D- and L-serine levels through both racemization (catalysis from L-serine to D-serine) and β-elimination (degradation of both D- and L-serine), emerges as a promising target for bidirectional regulation of NMDA function. In this study, we explored using dimethyl malonate (DMM), a pro-drug of the SR inhibitor malonate, to modulate NMDA activity in C57BL/6J male mice via intravenous administration. Unexpectedly, 400 mg/kg DMM significantly elevated, rather than decreased (as a racemization inhibitor), D-serine levels in the cerebral cortex and plasma. This outcome prompted us to investigate the regulatory effects of dodecagalloyl-α-D-xylose (α12G), a synthesized tannic acid analog, on SR activity. Our findings showed that α12G enhanced the racemization activity of human SR by about 8-fold. The simulated and fluorescent assay of binding affinity suggested a noncooperative binding close to the catalytic residues, Lys56 and Ser84. Moreover, α12G treatment can improve behaviors associated with major CNS disorders with NMDA hypofunction including hyperactivity, prepulse inhibition deficit, and memory impairment in animal models of positive symptoms and cognitive impairment of psychosis. In sum, our findings suggested α12G is a potential therapeutic for treating CNS disorders with NMDA hypofunction. Full article
Show Figures

Figure 1

15 pages, 2221 KB  
Article
α-Methylacyl-CoA Racemase from Mycobacterium tuberculosis—Detailed Kinetic and Structural Characterization of the Active Site
by Otsile O. Mojanaga, Timothy J. Woodman, Matthew D. Lloyd and K. Ravi Acharya
Biomolecules 2024, 14(3), 299; https://doi.org/10.3390/biom14030299 - 2 Mar 2024
Cited by 3 | Viewed by 2857
Abstract
α-Methylacyl-CoA racemase in M. tuberculosis (MCR) has an essential role in fatty acid metabolism and cholesterol utilization, contributing to the bacterium’s survival and persistence. Understanding the enzymatic activity and structural features of MCR provides insights into its physiological and pathological significance and potential [...] Read more.
α-Methylacyl-CoA racemase in M. tuberculosis (MCR) has an essential role in fatty acid metabolism and cholesterol utilization, contributing to the bacterium’s survival and persistence. Understanding the enzymatic activity and structural features of MCR provides insights into its physiological and pathological significance and potential as a therapeutic target. Here, we report high-resolution crystal structures for wild-type MCR in a new crystal form (at 1.65 Å resolution) and for three active-site mutants, H126A, D156A and E241A, at 2.45, 1.64 and 1.85 Å resolutions, respectively. Our analysis of the new wild-type structure revealed a similar dimeric arrangement of MCR molecules to that previously reported and details of the catalytic site. The determination of the structures of these H126A, D156A and E241A mutants, along with their detailed kinetic analysis, has now allowed for a rigorous assessment of their catalytic properties. No significant change outside the enzymatic active site was observed in the three mutants, establishing that the diminution of catalytic activity is mainly attributable to disruption of the catalytic apparatus involving key hydrogen bonding and water-mediated interactions. The wild-type structure, together with detailed mutational and biochemical data, provide a basis for understanding the catalytic properties of this enzyme, which is important for the design of future anti-tuberculosis drug molecules. Full article
Show Figures

Graphical abstract

19 pages, 4370 KB  
Article
Regulation of the Gene for Alanine Racemase Modulates Amino Acid Metabolism with Consequent Alterations in Cell Wall Properties and Adhesive Capability in Brucella spp.
by Mingyue Hao, Minghui Wang, Ting Tang, Danyu Zhao, Shurong Yin, Yong Shi, Xiaofang Liu, Gaowa Wudong, Yuanhao Yang, Mengyu Zhang, Lin Qi, Dong Zhou, Wei Liu, Yaping Jin and Aihua Wang
Int. J. Mol. Sci. 2023, 24(22), 16145; https://doi.org/10.3390/ijms242216145 - 9 Nov 2023
Cited by 5 | Viewed by 2634
Abstract
Brucella, a zoonotic facultative intracellular pathogenic bacterium, poses a significant threat both to human health and to the development of the livestock industry. Alanine racemase (Alr), the enzyme responsible for alanine racemization, plays a pivotal role in regulating virulence in this bacterium. [...] Read more.
Brucella, a zoonotic facultative intracellular pathogenic bacterium, poses a significant threat both to human health and to the development of the livestock industry. Alanine racemase (Alr), the enzyme responsible for alanine racemization, plays a pivotal role in regulating virulence in this bacterium. Moreover, Brucella mutants with alr gene deletions (Δalr) exhibit potential as vaccine candidates. However, the mechanisms that underlie the detrimental effects of alr knockouts on Brucella pathogenicity remain elusive. Here, initially, we conducted a bioinformatics analysis of Alr, which demonstrated a high degree of conservation of the protein within Brucella spp. Subsequent metabolomics studies unveiled alterations in amino acid pathways following deletion of the alr gene. Furthermore, alr deletion in Brucella suis S2 induced decreased resistance to stress, antibiotics, and other factors. Transmission electron microscopy of simulated macrophage intracellular infection revealed damage to the cell wall in the Δalr strain, whereas propidium iodide staining and alkaline phosphatase and lactate dehydrogenase assays demonstrated alterations in cell membrane permeability. Changes in cell wall properties were revealed by measurements of cell surface hydrophobicity and zeta potential. Finally, the diminished adhesion capacity of the Δalr strain was shown by immunofluorescence and bacterial enumeration assays. In summary, our findings indicate that the alr gene that regulates amino acid metabolism in Brucella influences the properties of the cell wall, which modulates bacterial adherence capability. This study is the first demonstration that Alr impacts virulence by modulating bacterial metabolism, thereby providing novel insights into the pathogenic mechanisms of Brucella spp. Full article
(This article belongs to the Collection Feature Papers in Molecular Microbiology)
Show Figures

Figure 1

13 pages, 1168 KB  
Review
Relationship between the Physiological Activity of Japanese Post-Fermented Teas and Lactic Acid Bacteria
by Masanori Horie and Hitoshi Iwahashi
Fermentation 2023, 9(10), 876; https://doi.org/10.3390/fermentation9100876 - 28 Sep 2023
Cited by 2 | Viewed by 3522
Abstract
Post-fermented tea is a beverage or food made by fermenting tea leaves with microorganisms. Four types of post-fermented tea are traditionally produced in Japan. Three of these post-fermented teas are produced by lactic acid fermentation in the Shikoku region. Post-fermented tea has physiological [...] Read more.
Post-fermented tea is a beverage or food made by fermenting tea leaves with microorganisms. Four types of post-fermented tea are traditionally produced in Japan. Three of these post-fermented teas are produced by lactic acid fermentation in the Shikoku region. Post-fermented tea has physiological activities such as antioxidant, antiallergic, and fat accumulation inhibitory effects. The composition of catechins in post-fermented tea differs from that in green tea. Compared to green tea, epigallocatechin, epigallocatechin gallate, epicatechin, and epicatechin gallate are reduced, and catechin polymers are formed in the post-fermented tea. In addition, post-fermented teas contain pyrogallol, γ-aminobutyric acid (GABA), and D-amino acids. The lactate fermentation of post-fermented teas on Shikoku Island involves Lactiplantibacillus plantarum and Lactiplantibacillus pentosus as the dominant species in the fermentation process. L. planratum and L. brevis isolated from Ishizuchi-kurocha, one of the post-fermented teas of Shikoku, contain amino acid racemases that produce D-amino acids. In addition, L. brevis has a high capacity for GABA production. Furthermore, L. plantarum is likely to produce bacteriocin. Lactic acid bacteria, represented by the L. plantarum group, play an essential role in the physiological activity of post-fermented tea, including lactic acid fermentation. An attempt has been made to create new post-fermented tea (brewed tea) based on traditional post-fermented tea production methods. Full article
Show Figures

Figure 1

Back to TopTop