Diagnostic Roles of α-Methylacyl-CoA Racemase (AMACR) Immunohistochemistry in Gastric Dysplasia and Adenocarcinoma
Abstract
1. Introduction
2. Materials and Methods
2.1. Patients and Tissue Array Methods
2.2. Immunohistochemical Staining
2.3. Evaluation of Immunohistochemistry
2.4. Statistical Analysis
3. Results
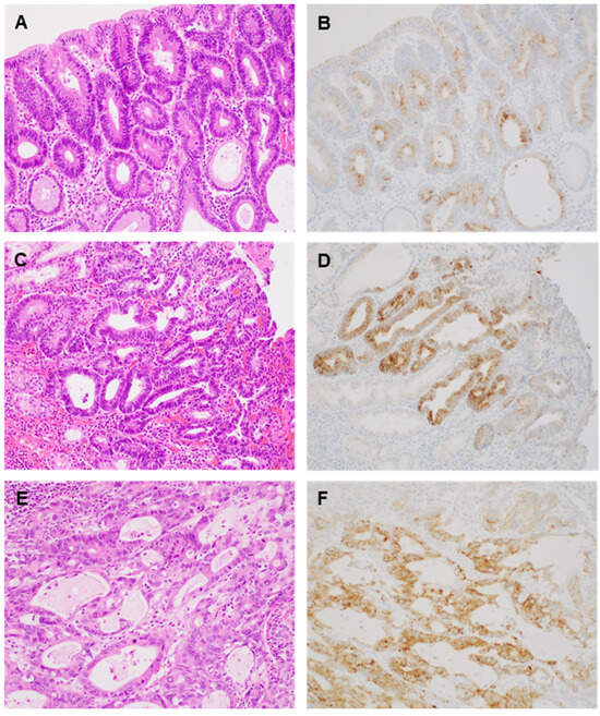
3.1. AMACR Expression in Gastric Dysplasia and Adenocarcinoma
3.2. Loss of AMACR Expression in Gastric Dysplasia and Adenocarcinoma
3.3. AMACR Expression in Normal Mucosa Adjacent to the Lesion
4. Discussion
5. Conclusions
Author Contributions
Funding
Institutional Review Board Statement
Informed Consent Statement
Data Availability Statement
Conflicts of Interest
References
- WHO Classification of Tumours Editorial Board. Digestive System Tumours, 5th ed.; WHO Classification of Tumours Series; International Agency for Research on Cancer: Lyon, France, 2019. [Google Scholar]
- Kang, J.H.; Lim, Y.J.; Kang, J.H.; Yang, J.N.; Shin, S.M.; Choi, J.H.; Lee, J.H. Prevalence of Precancerous Conditions and Gastric Cancer Based upon the National Cancer Screening Program in Korea for 7 Years, Single Center Experience. Gastroenterol. Res. Pract. 2015, 2015, 571965. [Google Scholar] [CrossRef] [PubMed]
- Huang, W.; Zhao, J.; Li, L.; Huang, Y.; Yang, X.; Wang, J.; Zhang, T. a-Methylacyl Coenzyme A Racemase Is Highly Expressed in the Intestinal-Type Adenocarcinoma and High-Grade Dysplasia Lesions of the Stomach. Histol. Histopathol. 2008, 23, 1315–1320. [Google Scholar] [CrossRef] [PubMed]
- Jiang, Z.; Woda, B.A.; Rock, K.L.; Xu, Y.; Savas, L.; Khan, A.; Pihan, G.; Cai, F.; Babcook, J.S.; Rathanaswami, P.; et al. P504S: A New Molecular Marker for the Detection of Prostate Carcinoma. Am. J. Surg. Pathol. 2001, 25, 1397–1404. [Google Scholar] [CrossRef] [PubMed]
- Jiang, Z.; Fanger, G.R.; Woda, B.A.; Banner, B.F.; Algate, P.; Dresser, K.; Xu, J.; Chu, P.G. Expression of Alpha-Methylacyl-CoA Racemase (P504s) in Various Malignant Neoplasms and Normal Tissues: A Study of 761 Cases. Hum. Pathol. 2003, 34, 792–796. [Google Scholar] [CrossRef] [PubMed]
- Jiang, Z.; Fanger, G.R.; Banner, B.F.; Woda, B.A.; Algate, P.; Dresser, K.; Xu, J.; Reed, S.G.; Rock, K.L.; Chu, P.G. A Dietary Enzyme: Alpha-Methylacyl-CoA Racemase/P504S Is Overexpressed in Colon Carcinoma. Cancer Detect. Prev. 2003, 27, 422–426. [Google Scholar] [CrossRef] [PubMed]
- Cho, E.Y.; Kim, K.M.; Park, C.K.; Kim, J.J.; Sohn, T.S.; Kim, D.W. AMACR Is Highly Expressed in Gastric Adenomas and Intestinal-Type Carcinomas. APMIS 2007, 115, 713–718. [Google Scholar] [CrossRef] [PubMed]
- Lee, W.A. Alpha-Methylacyl-CoA-Racemase Expression in Adenocarcinoma, Dysplasia and Non-Neoplastic Epithelium of the Stomach. Oncology 2006, 71, 246–250. [Google Scholar] [CrossRef] [PubMed]
- Dorer, R.; Odze, R.D. AMACR Immunostaining Is Useful in Detecting Dysplastic Epithelium in Barrett’s Esophagus, Ulcerative Colitis, and Crohn’s disease. Am. J. Surg. Pathol. 2006, 30, 871–877. [Google Scholar] [CrossRef] [PubMed]
- Lisovsky, M.; Falkowski, O.; Bhuiya, T. Expression of Alpha-Methylacyl-Coenzyme A Racemase in Dysplastic Barrett’s Epithelium. Hum. Pathol. 2006, 37, 1601–1606. [Google Scholar] [CrossRef] [PubMed]
- Remmele, W.; Stegner, H.E. Recommendation for Uniform Definition of an Immunoreactive Score (IRS) For Immunohistochemical Estrogen Receptor Detection (ER-ICA) in Breast Cancer Tissue. Pathology 1987, 8, 138–140. [Google Scholar]
- Boicean, A.; Boeras, I.; Birsan, S.; Ichim, C.; Todor, S.B.; Onisor, D.M.; Brusnic, O.; Bacila, C.; Dura, H.; Roman-Filip, C.; et al. In Pursuit of Novel Markers: Unraveling the Potential of miR-106, CEA and CA 19-9 in Gastric Adenocarcinoma. Diagnosis and Staging. Int. J. Mol. Sci. 2024, 25, 7898. [Google Scholar] [CrossRef] [PubMed]
- Lin, A.; Weiser, M.R.; Klimstra, D.S.; Paty, P.B.; Tang, L.H.; Al-Ahmadie, H.; Hoo Park, S.; Guillem, J.G.; Temple, L.; Wong, W.D.; et al. Differential Expression of Alpha-Methylacyl-Coenzyme A Racemase in Colorectal Carcinoma Bears Clinical and Pathologic Significance. Hum. Pathol. 2007, 38, 850–856. [Google Scholar] [CrossRef] [PubMed]
- Shukla, N.; Adhya, A.K.; Rath, J. Expression of Alpha–Methylacyl—Coenzyme A Racemase (AMACR) in Colorectal Neoplasia. J. Clin. Diagn. Res. 2017, 11, EC35–EC38. [Google Scholar] [CrossRef] [PubMed]
- Brahim, E.B.; Mrabet, A.; Jouini, R.; Koubaa, W.; Rimel, B.S.; Elloumi, H.; Chadli, A. Immunohistochemistry in the Diagnosis of Dysplasia in Chronic Inflammatory Bowel Disease Colorectal Polyps. Arab. J. Gastroenterol. 2016, 17, 121–126. [Google Scholar] [CrossRef] [PubMed]
- Mroz, A.; Kiedrowski, M.; Lewandowski, Z. α-Methylacyl-CoA Racemase (AMACR) in Gastric Cancer: Correlation with Clinicopathologic Data and Disease-Free Survival. Appl. Immunohistochem. Mol. Morphol. 2013, 21, 313–317. [Google Scholar] [CrossRef] [PubMed]
- Shi, X.; Gong, E.; Wu, X. Alpha-Methylacyl-CoA racemase/P504S Overexpression in Colorectal Carcinoma Is Correlated with Tumor Differentiation. Appl. Immunohistochem. Mol. Morphol. 2007, 15, 175–180. [Google Scholar] [CrossRef] [PubMed]


| AMACR Negative | AMACR Positive | p-Value | ||
|---|---|---|---|---|
| Luminal and/or Cytoplasmic | Cytoplasmic Only | |||
| Total (n = 79) | 36 (45.6) | 18 (22.8) | 25 (31.6) | |
| Low-grade dysplasia (n = 20) | 4 (20.0) | 14 (70.0) | 2 (10.0) | <0.001 |
| High-grade dysplasia (n = 19) | 9 (47.4) | 3 (15.8) | 7 (36.8) | |
| Adenocarcinoma (n = 40) | 23 (57.5) | 1 (2.5) | 16 (40.0) | |
| AMACR Expression | p-Value | ||
|---|---|---|---|
| Positive | Negative | ||
| Low-grade dysplasia (n = 20) | 16 (80.0) | 4 (20.0) | |
| Age (years) | 64.69 ± 9.08 | 75.25 ± 5.56 | 0.041 |
| Sex Male Female | 11 (68.8) 5 (31.3) | 4 (100.0) 0 (0.0) | 0.530 |
| Tumor size (mm) | 16.56 ± 6.98 | 25.75 ± 5.12 | 0.025 |
| High-grade dysplasia (n = 19) | 10 (52.6) | 9 (47.4) | |
| Age (years) | 67.30 ± 8.04 | 69.00 ± 10.14 | 0.689 |
| Sex Male Female | 6 (60.0) 4 (40.0) | 6 (66.7) 3 (33.3) | 1.000 |
| Tumor size (mm) | 12.60 ± 7.75 | 8.89 ± 6.51 | 0.277 |
| Adenocarcinoma (n = 40) | 17 (42.5) | 23 (57.5) | |
| Age (years) | 69.00 ± 7.71 | 69.65 ± 8.79 | 0.808 |
| Sex Male Female | 13 (69.8) 4 (30.2) | 20 (83.3) 3 (16.7) | 0.432 |
| Tumor size (mm) | 28.59 ± 16.52 | 23.39 ± 11.89 | 0.254 |
| AMACR Positivity | Discrepancy | ||
|---|---|---|---|
| Hotspot * | Overall | ||
| Low-grade dysplasia (n = 20) | 20 (100.0) | 16 (80.0) | 4 (20.0) |
| High-grade dysplasia (n = 19) | 12 (62.3) | 10 (52.6) | 2 (10.5) |
| Adenocarcinoma (n = 40) | 26 (65.0) | 17 (42.5) | 9 (22.5) |
| AMACR Expression in Lesion * | p-Value | ||
|---|---|---|---|
| Positive | Negative | ||
| Normal mucosa adjacent to the lesion (n = 79) | |||
| within 2 mm Positive Negative | 10 (23.3) 33 (76.7) | 9 (25.0) 27 (75.0) | 1.000 |
| away 2 mm Positive Negative | 6 (14.0) 37 (86.0) | 8 (22.2) 28 (77.8) | 0.386 |
Disclaimer/Publisher’s Note: The statements, opinions and data contained in all publications are solely those of the individual author(s) and contributor(s) and not of MDPI and/or the editor(s). MDPI and/or the editor(s) disclaim responsibility for any injury to people or property resulting from any ideas, methods, instructions or products referred to in the content. |
© 2024 by the authors. Published by MDPI on behalf of the Lithuanian University of Health Sciences. Licensee MDPI, Basel, Switzerland. This article is an open access article distributed under the terms and conditions of the Creative Commons Attribution (CC BY) license (https://creativecommons.org/licenses/by/4.0/).
Share and Cite
Pyo, J.-S.; Min, K.-W.; Choi, J.-E.; Kang, D.-W. Diagnostic Roles of α-Methylacyl-CoA Racemase (AMACR) Immunohistochemistry in Gastric Dysplasia and Adenocarcinoma. Medicina 2024, 60, 1475. https://doi.org/10.3390/medicina60091475
Pyo J-S, Min K-W, Choi J-E, Kang D-W. Diagnostic Roles of α-Methylacyl-CoA Racemase (AMACR) Immunohistochemistry in Gastric Dysplasia and Adenocarcinoma. Medicina. 2024; 60(9):1475. https://doi.org/10.3390/medicina60091475
Chicago/Turabian StylePyo, Jung-Soo, Kyeung-Whan Min, Ji-Eun Choi, and Dong-Wook Kang. 2024. "Diagnostic Roles of α-Methylacyl-CoA Racemase (AMACR) Immunohistochemistry in Gastric Dysplasia and Adenocarcinoma" Medicina 60, no. 9: 1475. https://doi.org/10.3390/medicina60091475
APA StylePyo, J.-S., Min, K.-W., Choi, J.-E., & Kang, D.-W. (2024). Diagnostic Roles of α-Methylacyl-CoA Racemase (AMACR) Immunohistochemistry in Gastric Dysplasia and Adenocarcinoma. Medicina, 60(9), 1475. https://doi.org/10.3390/medicina60091475

