Sign in to use this feature.

Years

Between: -

Subjects

remove_circle_outline
remove_circle_outline
remove_circle_outline
remove_circle_outline
remove_circle_outline
remove_circle_outline

Journals

Article Types

Countries / Regions

Search Results (16)

Search Parameters:
Keywords = protamine ratio

Order results
Result details
Results per page
Select all
Export citation of selected articles as:
16 pages, 2527 KB  
Article
Molecular and Computational Studies Reveal That Per- and Polyfluoroalkyl Substances Can Impair Protamine–DNA Interaction, Potentially Inducing DNA Damage
by Federica Musella, Maria Grazia Guarnieri, Simona Amore, Luigi Montano, Francesco Bertola, Salvatore Micali, Francesco Paolo Busardò, Carmen Di Giovanni, Gennaro Lettieri and Marina Piscopo
Biomolecules 2025, 15(9), 1279; https://doi.org/10.3390/biom15091279 - 4 Sep 2025
Viewed by 938
Abstract
Interactions between protamines and DNA are essential for the correct structure of human sperm chromatin. Reproductive health can be adversely affected by environmental pollutants like per- and polyfluoroalkyl substances (PFAS). We previously reported that exposure to PFAS in the Veneto region causes alterations [...] Read more.
Interactions between protamines and DNA are essential for the correct structure of human sperm chromatin. Reproductive health can be adversely affected by environmental pollutants like per- and polyfluoroalkyl substances (PFAS). We previously reported that exposure to PFAS in the Veneto region causes alterations in sperm nuclear basic proteins (SNBP), along with reduced seminal antioxidant activity and increased lipoperoxides. This study analysed the protamine-to-histone ratio in SNBP and quantified the extent of DNA damage induced by SNBP in subjects in Veneto with serum perfluorooctanoic acid (PFOA) levels above the reference threshold. We found that all individuals with serum PFOA above the threshold exhibited grade three DNA damage, regardless of the protamine–histone ratio, which was generally altered but consistently shifted toward protamines. This indicate that exposure to PFAS can alter the protamine–histone ratio in these subjects. Moreover, SNBPs from these individuals showed reduced DNA-protective capacity under pro-oxidant conditions, suggesting a role in oxidative damage. To rationalize these effects, in this cross sectional study, we investigated the potential interactions between PFAS and human protamines by molecular docking analyses which showed that PFAS can form stable complexes with DNA through hydrophobic and polar interactions, especially with thymine pyrimidine rings. Further, docking analyses revealed that fluorine atoms in PFAS may interact with guanidinium groups in protamine P1 via electrostatic and van der Waals forces, competing with DNA for binding sites and potentially disrupting chromatin organisation. A ternary PFAS–DNA–protamine adduct may underpin the observed DNA damage. These results suggest that PFAS induce oxidative stress, which could affect male fertility. Full article
Show Figures

Figure 1

16 pages, 6298 KB  
Article
Optimization and Preparation of Polysaccharide–Protamine Microspheres with Enhanced Hemostatic and Antibacterial Properties for Wound Healing
by Danling Mei, Feifan Cheng, Yifan Li, Suzhen Zhang, Xueqin Zhao and Yanyan Zhao
Mar. Drugs 2025, 23(4), 160; https://doi.org/10.3390/md23040160 - 6 Apr 2025
Viewed by 869
Abstract
This study employs layer-by-layer self-assembly technology to develop novel antibacterial hemostatic microspheres to tackle significant blood loss and related complications resulting from accidents, surgeries, and natural disasters. By measuring the zeta potential and particle size of protamine, carboxymethyl starch (CMS), and hydroxypropyl trimethyl [...] Read more.
This study employs layer-by-layer self-assembly technology to develop novel antibacterial hemostatic microspheres to tackle significant blood loss and related complications resulting from accidents, surgeries, and natural disasters. By measuring the zeta potential and particle size of protamine, carboxymethyl starch (CMS), and hydroxypropyl trimethyl ammonium chloride chitosan (HACC), the optimal assembly conditions were determined. The optimal pH for the monolayer assembly is 3.0, with a CMS concentration of 3 mg/mL and a mass ratio of 1:4 between protamine and CMS, and the assembly process lasts for 2 h. The optimal assembly conditions for the bilayer assembly are a pH of 4.0, an HACC concentration of 1 mg/mL, and a mass ratio of the one-layer assembly to HACC of 1:2. The performance of the assembled microspheres was analyzed via antibacterial and coagulation experiments, revealing excellent antibacterial and coagulation effects, with inhibition rates against Escherichia coli and Bacillus subtilis both exceeding 99%, and a coagulation index of 0%. Additionally, the bilayer assembled microspheres also exhibited strong adsorption capacity and good biocompatibility. In summary, this study provides important scientific evidence for the development of new hemostatic materials, demonstrating significant clinical application potential. Full article
(This article belongs to the Special Issue Marine Polysaccharide-Based Biomaterials)
Show Figures

Figure 1

12 pages, 772 KB  
Article
Effects of Protamine Reversal on Coagulation Parameters After High-Dose Heparin Administration in Percutaneous Hepatic Chemosaturation Intervention
by Michael Metze, Silke Zimmermann, Holger Kirsten, Robert Werdehausen, Rhea Veelken, Florian van Bömmel, Timm Denecke, Hans-Jonas Meyer, Sebastian Ebel and Manuel Florian Struck
Clin. Pract. 2025, 15(2), 38; https://doi.org/10.3390/clinpract15020038 - 17 Feb 2025
Viewed by 1832
Abstract
Background: Intravenous protamine administration for heparin reversal after percutaneous hepatic chemosaturation intervention is generally recommended, but its effectiveness on coagulation parameters remains unclear. Methods: In a single-center retrospective observational study, the effects of different postinterventional protamine doses on the activated partial thromboplastin time [...] Read more.
Background: Intravenous protamine administration for heparin reversal after percutaneous hepatic chemosaturation intervention is generally recommended, but its effectiveness on coagulation parameters remains unclear. Methods: In a single-center retrospective observational study, the effects of different postinterventional protamine doses on the activated partial thromboplastin time (aPTT), international normalized ratio (INR), prothrombin time (PT), fibrinogen, platelet count (PLT), and hemoglobin (Hb) were analyzed in consecutive patients who underwent high-dose heparin administration (>300 U/kg body weight) and extracorporeal circulation for chemosaturation treatment. Due to the multiple treatments of individual patients, linear mixed-effects models were applied. Results: Thirty-one patients underwent 90 chemosaturation interventions, 68 (75.6%) of which involved heparin reversal with protamine. All investigated variables showed significant postinterventional alterations, while protamine use was associated with significantly lower aPTT, lower INR, higher PT, and higher fibrinogen levels, whereas PLT and Hb levels were comparable to those in procedures without protamine use. After adjustment for aPTT, significant independent effects of protamine remained for the INR and PT. Dose-dependent effects of protamine were observed for reductions in aPTT and an increase in fibrinogen levels, which were confirmed after adjustment for the heparin dose. A 10% higher protamine dose resulted in a 3% decrease in aPTT and a 4% increase in fibrinogen. An increase of 0.1 in the protamine-to-heparin ratio was associated with an increase of 9% in fibrinogen. Conclusions: The present results suggest that protamine contributes to the normalization of the aPTT, INR, PT, and fibrinogen levels. Further prospective studies should be conducted to determine optimal dosing ratios. Full article
Show Figures

Figure 1

17 pages, 2866 KB  
Article
Development of a pH-Sensitive Nanoparticle via Self-Assembly of Fucoidan and Protamine for the Oral Delivery of Insulin
by Hongying Cai, Fanxing Yong, Rui Li, Jianping Chen, Xiaofei Liu, Bingbing Song, Zhuo Wang, Qiaoli Zhao and Saiyi Zhong
Pharmaceutics 2024, 16(10), 1323; https://doi.org/10.3390/pharmaceutics16101323 - 11 Oct 2024
Viewed by 2096
Abstract
Objectives: Oral insulin delivery has received much attention over the past 20 years due to its high compliance. The aim of this study is to prepare nanoparticles for the oral delivery of insulin; Methods: Fucoidan and protamine were used to prepare [...] Read more.
Objectives: Oral insulin delivery has received much attention over the past 20 years due to its high compliance. The aim of this study is to prepare nanoparticles for the oral delivery of insulin; Methods: Fucoidan and protamine were used to prepare a pH-sensitive nanoparticle via self-assembly. The secondary structure and in vitro stability of the nanoparticles were characterized using FTIR, XRD, ITC, and TEM. the nanoparticles had a controlled release effect on insulin in simulated intestinal fluid. The pre-liminary therapeutic effect on high-fat-fed type 2 diabetic mice; Results: When the fucoidan/protamine mass ratio was 10:3 (w/w), the particle size and zeta potential were 140.83 ± 1.64 nm and −48.13 ± 0.61 mV.The encapsulation efficiency of insulin was 62.97 ± 0.59%. The preliminary therapeutic effect on type 2 diabetic mice showed that the fasting blood glucose of diabetic mice decreased from 10.28 ± 0.88 mmol/L to 9.22 ± 0.64 mmol/L, the area under the curve value of oral glucose tolerance test was reduced by 11.70%, and the insulin se-cretion of diabetic mice was increased by 13.3%; Conclusions: The nanoparticles were prepared successfully by self-assembly. The empty and insulin-loaded nanoparticles remained stable in simulated gastric fluid, and the nanoparticles had a controlled release effect on insulin in simulated intestinal fluid. Moreover, insulin-loaded nanoparticles could relieve on type 2 diabetic mice. Full article
(This article belongs to the Topic Challenges and Opportunities in Drug Delivery Research)
Show Figures

Figure 1

18 pages, 2828 KB  
Article
Molecular Alterations and Severe Abnormalities in Spermatozoa of Young Men Living in the “Valley of Sacco River” (Latium, Italy): A Preliminary Study
by Pasquale Perrone, Gennaro Lettieri, Carmela Marinaro, Valentina Longo, Simonetta Capone, Angiola Forleo, Sebastiana Pappalardo, Luigi Montano and Marina Piscopo
Int. J. Environ. Res. Public Health 2022, 19(17), 11023; https://doi.org/10.3390/ijerph191711023 - 3 Sep 2022
Cited by 28 | Viewed by 3394
Abstract
The Valley of Sacco River (VSR) (Latium, Italy) is an area with large-scale industrial chemical production that has led over time to significant contamination of soil and groundwater with various industrial pollutants, such as organic pesticides, dioxins, organic solvents, heavy metals, and particularly, [...] Read more.
The Valley of Sacco River (VSR) (Latium, Italy) is an area with large-scale industrial chemical production that has led over time to significant contamination of soil and groundwater with various industrial pollutants, such as organic pesticides, dioxins, organic solvents, heavy metals, and particularly, volatile organic compounds (VOCs). In the present study, we investigated the potential impact of VOCs on the spermatozoa of healthy young males living in the VSR, given the prevalent presence of several VOCs in the semen of these individuals. To accomplish this, spermiograms were conducted followed by molecular analyses to assess the content of sperm nuclear basic proteins (SNBPs) in addition to the protamine-histone ratio and DNA binding of these proteins. We found drastic alterations in the spermatozoa of these young males living in the VSR. Alterations were seen in sperm morphology, sperm motility, sperm count, and protamine/histone ratios, and included significant reductions in SNBP–DNA binding capacity. Our results provide preliminary indications of a possible correlation between the observed alterations and the presence of specific VOCs. Full article
(This article belongs to the Special Issue Effects of Environmental Pollutants on Human Reproductive Health)
Show Figures

Figure 1

13 pages, 3873 KB  
Article
Cell-Permeable Oct4 Gene Delivery Enhances Stem Cell-like Properties of Mouse Embryonic Fibroblasts
by Da Hyeon Choi, Kyeong Eun Lee, Jiwon Park, Yoon Jeong Park, Jue-Yeon Lee and Yoon Shin Park
Int. J. Mol. Sci. 2021, 22(17), 9357; https://doi.org/10.3390/ijms22179357 - 28 Aug 2021
Cited by 2 | Viewed by 3058
Abstract
Direct conversion of one cell type into another is a trans-differentiation process. Recent advances in fibroblast research revealed that epithelial cells can give rise to fibroblasts by epithelial-mesenchymal transition. Conversely, fibroblasts can also give rise to epithelia by undergoing a mesenchymal to epithelial [...] Read more.
Direct conversion of one cell type into another is a trans-differentiation process. Recent advances in fibroblast research revealed that epithelial cells can give rise to fibroblasts by epithelial-mesenchymal transition. Conversely, fibroblasts can also give rise to epithelia by undergoing a mesenchymal to epithelial transition. To elicit stem cell-like properties in fibroblasts, the Oct4 transcription factor acts as a master transcriptional regulator for reprogramming somatic cells. Notably, the production of gene complexes with cell-permeable peptides, such as low-molecular-weight protamine (LMWP), was proposed to induce reprogramming without cytotoxicity and genomic mutation. We designed a complex with non-cytotoxic LMWP to prevent the degradation of Oct4 and revealed that the positively charged cell-permeable LMWP helped condense the size of the Oct4-LMWP complexes (1:5 N:P ratio). When the Oct4-LMWP complex was delivered into mouse embryonic fibroblasts (MEFs), stemness-related gene expression increased while fibroblast intrinsic properties decreased. We believe that the Oct4-LMWP complex developed in this study can be used to reprogram terminally differentiated somatic cells or convert them into stem cell-like cells without risk of cell death, improving the stemness level and stability of existing direct conversion techniques. Full article
(This article belongs to the Special Issue Peptide Based Smart Molecules in Regenerative Medicine)
Show Figures

Figure 1

16 pages, 2590 KB  
Article
Chronic Prostatitis/Chronic Pelvic Pain Syndrome Leads to Impaired Semen Parameters, Increased Sperm DNA Fragmentation and Unfavorable Changes of Sperm Protamine mRNA Ratio
by Elena Berg, Petr Houska, Nils Nesheim, Hans-Christian Schuppe, Adrian Pilatz, Monika Fijak, Marc Manthey, Klaus Steger, Florian Wagenlehner and Undraga Schagdarsurengin
Int. J. Mol. Sci. 2021, 22(15), 7854; https://doi.org/10.3390/ijms22157854 - 23 Jul 2021
Cited by 20 | Viewed by 7186
Abstract
Background: Chronic Prostatitis/Chronic Pelvic Pain Syndrome (CP/CPPS) is a frequent disease affecting men of every age and accounting for a great number of consultations at urology departments. Previous studies suggested a negative impact of CP/CPPS on fertility. As increasing attention has been attributed [...] Read more.
Background: Chronic Prostatitis/Chronic Pelvic Pain Syndrome (CP/CPPS) is a frequent disease affecting men of every age and accounting for a great number of consultations at urology departments. Previous studies suggested a negative impact of CP/CPPS on fertility. As increasing attention has been attributed to additional aspects, such as sperm DNA integrity and sperm protein alterations, besides the WHO standard semen analysis when assessing male fertility, in this prospective study, we aimed to further characterize the fertility status in CP/CPPS patients with a focus on these parameters. Methods: Sperm DNA fragmentation measured by sperm chromatin structure assay (SCSA) and protamine 1 to protamine 2 mRNA ratio assessed by RT-qPCR were analyzed along with conventional ejaculate parameters and inflammatory markers in 41 CP/CPPS patients and 22 healthy volunteers. Results: We found significant differences between the groups concerning multiple conventional ejaculate parameters. A significant increase in sperm DNA fragmentation was shown in CP/CPPS patients with association to other sperm parameters. The majority of CP/CPPS patients exhibited protamine mRNA ratios out of the range of regular fertility. Conclusions: This is a pioneering study with a strong practical orientation revealing that CP/CPPS leads to increased sperm DNA damage and changes in sperm protamine levels, emphasizing an unfavorable impact of CP/CPPS on fertility. Full article
Show Figures

Figure 1

19 pages, 4034 KB  
Article
Protamine Characterization by Top-Down Proteomics: Boosting Proteoform Identification with DBSCAN
by Gianluca Arauz-Garofalo, Meritxell Jodar, Mar Vilanova, Alberto de la Iglesia Rodriguez, Judit Castillo, Ada Soler-Ventura, Rafael Oliva, Marta Vilaseca and Marina Gay
Proteomes 2021, 9(2), 21; https://doi.org/10.3390/proteomes9020021 - 30 Apr 2021
Cited by 9 | Viewed by 5267
Abstract
Protamines replace histones as the main nuclear protein in the sperm cells of many species and play a crucial role in compacting the paternal genome. Human spermatozoa contain protamine 1 (P1) and the family of protamine 2 (P2) proteins. Alterations in protamine PTMs [...] Read more.
Protamines replace histones as the main nuclear protein in the sperm cells of many species and play a crucial role in compacting the paternal genome. Human spermatozoa contain protamine 1 (P1) and the family of protamine 2 (P2) proteins. Alterations in protamine PTMs or the P1/P2 ratio may be associated with male infertility. Top-down proteomics enables large-scale analysis of intact proteoforms derived from alternative splicing, missense or nonsense genetic variants or PTMs. In contrast to current gold standard techniques, top-down proteomics permits a more in-depth analysis of protamine PTMs and proteoforms, thereby opening up new perspectives to unravel their impact on male fertility. We report on the analysis of two normozoospermic semen samples by top-down proteomics. We discuss the difficulties encountered with the data analysis and propose solutions as this step is one of the current bottlenecks in top-down proteomics with the bioinformatics tools currently available. Our strategy for the data analysis combines two software packages, ProSight PD (PS) and TopPIC suite (TP), with a clustering algorithm to decipher protamine proteoforms. We identified up to 32 protamine proteoforms at different levels of characterization. This in-depth analysis of the protamine proteoform landscape of normozoospermic individuals represents the first step towards the future study of sperm pathological conditions opening up the potential personalized diagnosis of male infertility. Full article
(This article belongs to the Special Issue Latest Discoveries and Proteomics-Based Methods in Histone Biology)
Show Figures

Figure 1

17 pages, 4032 KB  
Article
Cold-Shock Test Is a Practical Method for Selecting Boar Ejaculates Yielding Appropriate Seminal Plasma for Post-Thawing Supplementation
by Estíbaliz Lacalle, Andrea Núñez, Estela Fernández-Alegre, Itxaso Crespo-Félez, Juan Carlos Domínguez, Marta Elena Alonso, Raúl González-Urdiales and Felipe Martínez-Pastor
Animals 2021, 11(3), 871; https://doi.org/10.3390/ani11030871 - 18 Mar 2021
Cited by 8 | Viewed by 3282
Abstract
Artificial insemination (AI) with cryopreserved semen is still unreliable for extensive pig industry application. Adding seminal plasma (SP) could improve post-thawing quality, but its suitability could vary. We applied a simple cold-shock test (CST, 5 min at 0 °C) on neat semen for [...] Read more.
Artificial insemination (AI) with cryopreserved semen is still unreliable for extensive pig industry application. Adding seminal plasma (SP) could improve post-thawing quality, but its suitability could vary. We applied a simple cold-shock test (CST, 5 min at 0 °C) on neat semen for classifying ejaculates (n = 63) as resistant or sensitive, obtaining two SP pools (CST-resistant: SPr, sensitive: SPs). Subsequently, frozen/thawed spermatozoa from six boars were incubated (37 °C) in MR-A® extender (control), 20% SPr, or 20% SPs, and analyzed at 0, 2, and 4 h. SP improved total and progressive motility, with a higher effect for SPr and STR (p < 0.05), decreasing kinematic parameters VCL and VAP, ALH, and BCF. Sperm viability was unaffected. SP increased apoptotic and membrane disorder ratios, and acrosomal damage, not affecting the chromatin structure (DNA fragmentation and immaturity by SCSA), protamination (CMA3), or disulfide levels (mBBr). However, the proportion of spermatozoa with elevated free thiols (disulfide bridges reduction) significantly increased. Results support a stimulatory role of SP on thawed semen, with additional benefits from SPr. The effect of SP and especially SPr after AI should be tested since CST could be a practical test for selecting suitable ejaculates in AI centers. Full article
(This article belongs to the Section Animal Reproduction)
Show Figures

Graphical abstract

23 pages, 8536 KB  
Article
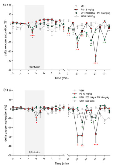
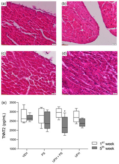
Cardiovascular and Respiratory Toxicity of Protamine Sulfate in Zebrafish and Rodent Models
by Joanna Miklosz, Bartlomiej Kalaska, Piotr Podlasz, Małgorzata Chmielewska-Krzesińska, Miłosz Zajączkowski, Adam Kosiński, Dariusz Pawlak and Andrzej Mogielnicki
Pharmaceutics 2021, 13(3), 359; https://doi.org/10.3390/pharmaceutics13030359 - 9 Mar 2021
Cited by 6 | Viewed by 3754
Abstract
Protamine sulfate (PS) is the only available option to reverse the anticoagulant activity of unfractionated heparin (UFH), however it can cause cardiovascular and respiratory complications. We explored the toxicity of PS and its complexes with UFH in zebrafish, rats, and mice. The involvement [...] Read more.
Protamine sulfate (PS) is the only available option to reverse the anticoagulant activity of unfractionated heparin (UFH), however it can cause cardiovascular and respiratory complications. We explored the toxicity of PS and its complexes with UFH in zebrafish, rats, and mice. The involvement of nitric oxide (NO) in the above effects was investigated. Concentration–dependent lethality, morphological defects, and decrease in heart rate (HR) were observed in zebrafish larvae. PS affected HR, blood pressure, respiratory rate, peak exhaled CO2, and blood oxygen saturation in rats. We observed hypotension, increase of HR, perfusion of paw vessels, and enhanced respiratory disturbances with increases doses of PS. We found no effects of PS on human hERG channels or signs of heart damage in mice. The hypotension in rats and bradycardia in zebrafish were partially attenuated by the inhibitor of endothelial NO synthase. The disturbances in cardiovascular and respiratory parameters were reduced or delayed when PS was administered together with UFH. The cardiorespiratory toxicity of PS seems to be charge–dependent and involves enhanced release of NO. PS administered at appropriate doses and ratios with UFH should not cause permanent damage of heart tissue, although careful monitoring of cardiorespiratory parameters is necessary. Full article
(This article belongs to the Section Pharmacokinetics and Pharmacodynamics)
Show Figures

Figure 1

18 pages, 3068 KB  
Article
Molecular Alterations in Spermatozoa of a Family Case Living in the Land of Fires—A First Look at Possible Transgenerational Effects of Pollutants
by Gennaro Lettieri, Federica Marra, Claudia Moriello, Marina Prisco, Tiziana Notari, Marco Trifuoggi, Antonella Giarra, Liana Bosco, Luigi Montano and Marina Piscopo
Int. J. Mol. Sci. 2020, 21(18), 6710; https://doi.org/10.3390/ijms21186710 - 13 Sep 2020
Cited by 58 | Viewed by 4245
Abstract
In our previous work, we reported alterations in protamines/histones ratio, in DNA binding of these proteins and their involvement in DNA oxidative damage in 84% of the young men living in the Land of Fires. In the present work, we extended our findings, [...] Read more.
In our previous work, we reported alterations in protamines/histones ratio, in DNA binding of these proteins and their involvement in DNA oxidative damage in 84% of the young men living in the Land of Fires. In the present work, we extended our findings, evaluating any alterations in spermatozoa of a family case, a father and son, living in this area, to also give a first look at the possibility of transgenerational inherited effects of environmental contaminants on the molecular alterations of sperm nuclear basic proteins (SNBP), DNA and semen parameters. In the father and son, we found a diverse excess of copper and chromium in the semen, different alterations in SNBP content and low DNA binding affinity of these proteins. In addition, DNA damage, in the presence of CuCl2 and H2O2, increased by adding both the father and son SNBP. Interestingly, son SNBP, unlike his father, showed an unstable DNA binding and were able to produce DNA damage even without external addition of CuCl2, in line with a lower seminal antioxidant activity than the father. The peculiarity of some characteristics of son semen could be a basis for possible future studies on transgenerational effects of pollutants on fertility. Full article
(This article belongs to the Section Molecular Biology)
Show Figures

Figure 1

17 pages, 2412 KB  
Article
Discovery of the Involvement in DNA Oxidative Damage of Human Sperm Nuclear Basic Proteins of Healthy Young Men Living in Polluted Areas
by Gennaro Lettieri, Giovanni D’Agostino, Elena Mele, Carolina Cardito, Rosa Esposito, Annalinda Cimmino, Antonella Giarra, Marco Trifuoggi, Salvatore Raimondo, Tiziana Notari, Ferdinando Febbraio, Luigi Montano and Marina Piscopo
Int. J. Mol. Sci. 2020, 21(12), 4198; https://doi.org/10.3390/ijms21124198 - 12 Jun 2020
Cited by 74 | Viewed by 5000
Abstract
DNA oxidative damage is one of the main concerns being implicated in severe cell alterations, promoting different types of human disorders and diseases. For their characteristics, male gametes are the most sensitive cells to the accumulation of damaged DNA. We have recently reported [...] Read more.
DNA oxidative damage is one of the main concerns being implicated in severe cell alterations, promoting different types of human disorders and diseases. For their characteristics, male gametes are the most sensitive cells to the accumulation of damaged DNA. We have recently reported the relevance of arginine residues in the Cu(II)-induced DNA breakage of sperm H1 histones. In this work, we have extended our previous findings investigating the involvement of human sperm nuclear basic proteins on DNA oxidative damage in healthy males presenting copper and chromium excess in their semen. We found in 84% of those males an altered protamines/histones ratio and a different DNA binding mode even for those presenting a canonical protamines/histones ratio. Furthermore, all the sperm nuclear basic proteins from these samples that resulted were involved in DNA oxidative damage, supporting the idea that these proteins could promote the Fenton reaction in DNA proximity by increasing the availability of these metals near the binding surface of DNA. In conclusion, our study reveals a new and unexpected behavior of human sperm nuclear basic proteins in oxidative DNA damage, providing new insights for understanding the mechanisms related to processes in which oxidative DNA damage is implicated. Full article
(This article belongs to the Section Molecular Biology)
Show Figures

Figure 1

15 pages, 6418 KB  
Article
Antimicrobial Activity of Protamine-Loaded Calcium Phosphates against Oral Bacteria
by Masashi Fujiki, Kodai Abe, Tohru Hayakawa, Takatsugu Yamamoto, Mana Torii, Keishi Iohara, Daisuke Koizumi, Rie Togawa, Mamoru Aizawa and Michiyo Honda
Materials 2019, 12(17), 2816; https://doi.org/10.3390/ma12172816 - 2 Sep 2019
Cited by 8 | Viewed by 3576
Abstract
Protamine is an antimicrobial peptide extracted from fish. In this study, we loaded protamine onto dicalcium phosphate anhydride (DCPA), a dental material. Protamine was loaded by stirring DCPA into a protamine solution. To explore the antimicrobial activity of the materials, we cultivated Streptococcus [...] Read more.
Protamine is an antimicrobial peptide extracted from fish. In this study, we loaded protamine onto dicalcium phosphate anhydride (DCPA), a dental material. Protamine was loaded by stirring DCPA into a protamine solution. To explore the antimicrobial activity of the materials, we cultivated Streptococcus mutans on fabricated discs for 24 h. When S. mutans was cultivated on the discs under no sucrose conditions, the loaded protamine was not released, and the ratio of dead bacteria increased on the surface of P (125) DCPA (half of the saturated level of protamine (125 ppm protamine) was loaded). Aside from P (500) DCPA (saturated level of protamine was loaded), some protamine was released, and the number of planktonic bacteria in the supernatant decreased. Using medium containing 1% sucrose, the release of protamine was promoted from P (125) DCPA due to lowered pH. However, lowering of the pH decreased the antimicrobial activity of protamine. On the other hand, P (500) DCPA released protamine before the pH was lowered, and biofilm formation was inhibited. The loaded protamine expressed antimicrobial activity, both on the surface of the materials and in the surrounding environment. The interaction of loaded protamine with calcium phosphates could promote the application of protamine in the dental field. Full article
(This article belongs to the Section Biomaterials)
Show Figures

Figure 1

15 pages, 1879 KB  
Article
Aqueous Liquid-Liquid Phase Separation of Natural and Synthetic Polyguanidiniums
by Leland J. Prather, G. Mahika Weerasekare, Monika Sima, Colette Quinn and Russell J. Stewart
Polymers 2019, 11(4), 649; https://doi.org/10.3390/polym11040649 - 9 Apr 2019
Cited by 21 | Viewed by 6174
Abstract
Protamines are natural polyguanidiniums, arginine(R)-rich proteins involved in the compaction of chromatin during vertebrate spermatogenesis. Salmine, a protamine isolated from salmon sperm, contains 65 mol% R residues, with positively charged guanidino (Gdm+) sidechains, and no other amino acids with ionizable or [...] Read more.
Protamines are natural polyguanidiniums, arginine(R)-rich proteins involved in the compaction of chromatin during vertebrate spermatogenesis. Salmine, a protamine isolated from salmon sperm, contains 65 mol% R residues, with positively charged guanidino (Gdm+) sidechains, and no other amino acids with ionizable or aromatic sidechains. Salmine sulfate solutions undergo liquid-liquid phase separation (LLPS) with a concentration-dependent upper critical solution temperature (UCST). The condensed liquid phase comprises 50 wt % water and >600 mg·mL−1 salmine with a constant 1:2 ratio of sulfate (SO42−) to Gdm+. Isothermal titration calorimetry, titrating Na2SO4 into salmine chloride above and below the UCST, allowed isolation of exothermic sulfate binding to salmine chloride from subsequent endothermic condensation and exothermic phase separation events. Synthetic random polyacrylate analogs of salmine, with 3-guanidinopropyl sidechains, displayed similar counterion dependent phase behavior, demonstrating that the LLPS of polyguanidiniums does not depend upon subunit sequence or polymer backbone chirality, and was due entirely to Gdm+ sidechain interactions. The results provide experimental evidence for like-charge pairing of Gdm+ sidechains, and an experimental approach for further characterizing these interactions. Full article
Show Figures

Figure 1

10 pages, 802 KB  
Communication
Effect of the Compaction and the Size of DNA on the Nuclear Transfer Efficiency after Microinjection in Synchronized Cells
by Hidetaka Akita, Dai Kurihara, Marco Schmeer, Martin Schleef and Hideyoshi Harashima
Pharmaceutics 2015, 7(2), 64-73; https://doi.org/10.3390/pharmaceutics7020064 - 9 Jun 2015
Cited by 23 | Viewed by 7437
Abstract
The nuclear transfer process is one of the critical rate-limiting processes in transgene expression. In the present study, we report on the effect of compaction and the size of the DNA molecule on nuclear transfer efficiency by microinjection. A DNA/protamine complex- or variously-sized [...] Read more.
The nuclear transfer process is one of the critical rate-limiting processes in transgene expression. In the present study, we report on the effect of compaction and the size of the DNA molecule on nuclear transfer efficiency by microinjection. A DNA/protamine complex- or variously-sized naked DNA molecules were injected into the cytoplasm or nucleus of synchronized HeLa cells. To evaluate the nuclear transfer process, a nuclear transfer score (NT score), calculated based on transgene expression after cytoplasmic microinjection divided by that after nuclear microinjection, was employed. The compaction of DNA with protamine decreased the NT score in comparison with the injection of naked DNA when the N/P ratio was increased to >2.0. Moreover, when naked DNA was microinjected, gene expression increased in parallel with the size of the DNA in the following order: minicircle DNA (MC07.CMV-EGFP; 2257 bp) > middle-sized plasmid DNA (pBS-EGFP; 3992 bp) > conventional plasmid DNA (pcDNA3.1-EGFP; 6172 bp), while the level of gene expression was quite comparable among them when the DNAs were injected into the nucleus. The above findings suggest that the intrinsic size of the DNA molecule is a major determinant for nuclear entry and that minicircle DNA has a great advantage in nuclear transfer. Full article
(This article belongs to the Special Issue New Paradigm of Gene Therapy)
Show Figures

Graphical abstract

Back to TopTop