Sign in to use this feature.

Years

Between: -

Subjects

remove_circle_outline
remove_circle_outline
remove_circle_outline

Journals

Article Types

Countries / Regions

Search Results (14)

Search Parameters:
Keywords = perineal biopsy

Order results
Result details
Results per page
Select all
Export citation of selected articles as:
48 pages, 1815 KB  
Systematic Review
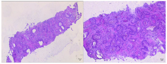
Metastatic Carcinomas at the Episiotomy Site: A Systematic Literature Review
by Andrea Palicelli, Gabriele Tonni, Federica Torricelli, Beatrice Melli, Vincenza Ylenia Cusenza, Sandra Martinelli, Eleonora Zanetti, Alessandra Bisagni, Magda Zanelli, Maria Paola Bonasoni, Teresa Rossi, Lucia Mangone, Venus Damaris Medina-Illueca, Maurizio Zizzo, Andrea Morini, Giuseppe Broggi, Rosario Caltabiano, Serena Salzano, Francesca Sanguedolce, Nektarios I. Koufopoulos, Ioannis Boutas, Aleksandra Asaturova, Chiara Casartelli, Sara Rubagotti, Matteo Crotti, Lorenzo Aguzzoli and Vincenzo Dario Mandatoadd Show full author list remove Hide full author list
Cancers 2025, 17(17), 2801; https://doi.org/10.3390/cancers17172801 - 27 Aug 2025
Viewed by 2270
Abstract
Background/Objectives: Rarely, primary (PriCs) or metastatic (metECs) carcinomas occur in the episiotomy site. Methods: A systematic literature review of metECs was carried out. We reviewed the PRISMA guidelines and the Scopus, Pubmed, and Web of Science databases. Results: We found [...] Read more.
Background/Objectives: Rarely, primary (PriCs) or metastatic (metECs) carcinomas occur in the episiotomy site. Methods: A systematic literature review of metECs was carried out. We reviewed the PRISMA guidelines and the Scopus, Pubmed, and Web of Science databases. Results: We found 21 carcinomas; all of them were cervical carcinomas (11 squamous, SCC; 6 adenocarcinomas; 3 adenosquamous; 1 SCC or adenocarcinoma) diagnosed during pregnancy (38%) or 0.25–8 months postpartum (57%). SCCs were larger (mean size: 4.8 cm). At presentation, only two cases were pN+, and no distant metastases were found, excluding four episiotomy metastases (one anticipating the cervical cancer diagnosis); the remaining episiotomy metastases (mean size: 3 cm; one multifocal) were found at follow-up (these were first metastases in 86% of cases). The time range from the episiotomy/last delivery to first episiotomy metastasis was 1–66 (mean, 12.3) months. Treatment was variable: hysterectomy (71%) ± lymphadenectomy (67%) and/or adjuvant treatment (19%); chemoradiation/radiotherapy alone (24%). A total of 90% of cases recurred after 18 days to 66 months (mean, 12 months). At last follow-up, ten patients (48%) were disease-free after 12–120 (mean, 63.5) months, two patients (10%) were alive with disease, and nine (42%) patients died of disease after 6–36 (mean, 12.5) months (including two never-cleared/progressing cases). Conclusions: PriCs and metECs are rare. Iatrogenic/obstetric implantation or vascular dissemination of cervical cancer at the site of episiotomy may occur. For episiotomy lesions, accurate gynecological/perineal examination is required, and biopsy can be considered. Larger studies are required in order to determine treatment guidelines. Compared to PriCs, metECs occurred in younger (premenopausal) patients, were not associated with endometriosis, and demonstrated slightly smaller size and shorter mean time from episiotomy to episiotomy metastases, with a higher likelihood of a less favorable prognosis. Full article
(This article belongs to the Special Issue Advancements in Surgical Approaches for Gynecological Cancers)
Show Figures

Figure 1

15 pages, 482 KB  
Review
Comparative Analysis of Diagnostic Accuracy and Complication Rate of Transperineal Versus Transrectal Prostate Biopsy in Prostate Cancer Diagnosis
by Salam Najjar, Cristian Mirvald, Alexandru Danilov, Apostolos Labanaris, Adrian George Vlaicu, Leonardo Giurca, Ioanel Sinescu and Cristian Surcel
Cancers 2025, 17(6), 1006; https://doi.org/10.3390/cancers17061006 - 17 Mar 2025
Cited by 7 | Viewed by 6139
Abstract
Introduction: Transperineal prostate (TP) biopsy has emerged as a substantial alternative to the conventional transrectal (TR) approach for prostate sampling by its ability to sample specific areas of the prostate more effectively. The objective of this review is to conduct a comparative analysis [...] Read more.
Introduction: Transperineal prostate (TP) biopsy has emerged as a substantial alternative to the conventional transrectal (TR) approach for prostate sampling by its ability to sample specific areas of the prostate more effectively. The objective of this review is to conduct a comparative analysis of the current literature regarding diagnostic accuracy, complication rate and clinical outcome of transrectal vs. transperineal approaches in prostate biopsy-naïve patients and in repeated biopsy scenarios. Materials and Methods: An extensive search of the literature in PubMed, Scopus, and Web of Science was conducted between September 2010 and September 2024. We utilized a robust and comprehensive retrieval strategy including phrasing the two approaches as follows: (perineal or transperineal) and (rectal or transrectal). Conclusions: The transperineal and transrectal approaches show similar results in the detection of PCa in biopsy-naïve men, similar rates of infection, urinary retention and effectiveness managing biopsy-associated pain. However, in the rebiopsy scenario, the TP approach has demonstrated increased accuracy compared to the TR approach. This has significant implications in decision making and patient counselling. Full article
(This article belongs to the Special Issue Contemporary Diagnosis and Management of Prostate Cancer)
Show Figures

Figure 1

11 pages, 763 KB  
Article
The Effect of Audio and Audiovisual Distraction on Pain and Anxiety in Patients Receiving Outpatient Perineal Prostate Biopsies: A Prospective Randomized Controlled Study
by Julia Carola Kaulfuss, Nicolas Hertzsprung, Henning Plage, Benedikt Gerdes, Sarah Weinberger, Thorsten Schlomm and Maximilian Reimann
Cancers 2025, 17(6), 959; https://doi.org/10.3390/cancers17060959 - 12 Mar 2025
Viewed by 1443
Abstract
Background/Objectives: Audio and audiovisual distraction can be effective additive tools to reduce anxiety and pain in patients receiving outpatient procedures (OP). Audiovisual distraction tools already showed positive effects on pain perception in some urological procedures. To identify the effects of audio and audiovisual [...] Read more.
Background/Objectives: Audio and audiovisual distraction can be effective additive tools to reduce anxiety and pain in patients receiving outpatient procedures (OP). Audiovisual distraction tools already showed positive effects on pain perception in some urological procedures. To identify the effects of audio and audiovisual distraction on pain and anxiety in patients receiving perineal prostate biopsy (PPB), we performed a prospective randomized controlled study. Methods: We recruited 168 male patients undergoing PPB which were randomized into three groups: a control group (CG), an audio distraction group (ADG) and an audiovisual distraction group (AVDG). The CG received no intervention, while the ADG received audio distraction and the AVDG received audiovisual distraction while PPB was performed. The primary endpoint was pain perception, measured in the Numeric Rating Scale (NRS) and Visual Analogue Scale (VAS). Secondary endpoints were subjective and objective procedure time (SPT/OPT), heart rate, blood pressure, cortisol blood levels and scores in the State-Trait Anxiety Inventory (STAI) questionnaire. Results: Demographics of each group were similar (CG = mean age (a) = 69.5; ADG a = 67 years; AVDG a = 67). We did not find any significant difference regarding our primary endpoint, pain perception (p = 0.384). In contrast, we examined a highly significant difference between SPT and OPT, comparing AVDG to CG (p < 0.001) and AVDG to ADG (p < 0.001), but not for ADG to CG (p = 0.348). There was no significant difference in the secondary endpoints, heart rate, blood pressure, STAI scores and willingness to repeat the procedure. Conclusions: Our study shows that audiovisual distraction can significantly shorten SPT for patients receiving PPB, which may represent their comfort throughout the procedure. To accelerate the wider implementation of audiovisual distraction as a cost-efficient tool in outpatient urological procedures, further studies should examine its effect on different OPs with a more heterogeneous patient group. Full article
Show Figures

Figure 1

17 pages, 1188 KB  
Article
Meeting Cancer Detection Benchmarks in MRI/Ultrasound Fusion Biopsy for Prostate Cancer: Insights from a Retrospective Analysis of Experienced Urologists
by Fabian Utzat, Stefanie Herrmann, Matthias May, Johannes Moersler, Ingmar Wolff, Johann Lermer, Mate Gregor, Katharina Fodor, Verena Groß, Anton Kravchuk, Thomas Elgeti, Stephan Degener and Christian Gilfrich
Cancers 2025, 17(2), 277; https://doi.org/10.3390/cancers17020277 - 16 Jan 2025
Viewed by 1710
Abstract
Background: The relationship between case volume and clinical outcomes is well established for most urological procedures but remains underexplored in prostate ultrasound/MRI fusion biopsy (UMFB). UMFB aims to detect clinically significant prostate cancer (csPCa) by adhering to cancer detection benchmarks for PI-RADS lesions [...] Read more.
Background: The relationship between case volume and clinical outcomes is well established for most urological procedures but remains underexplored in prostate ultrasound/MRI fusion biopsy (UMFB). UMFB aims to detect clinically significant prostate cancer (csPCa) by adhering to cancer detection benchmarks for PI-RADS lesions identified via multiparametric MRI (mpMRI). These benchmarks, defined by Ahmed et al., include cumulative cancer detection rate (C-CDR) targets of >80% for PI-RADS 5, >50% for PI-RADS 4, and <20% for PI-RADS 1–3. Methods: This retrospective, single-center study analyzed the case volumes required for two experienced urologists (U1 and U2, each with >15 years of practice) to consistently achieve the Ahmed-defined C-CDR benchmarks for csPCa (ISUP grade ≥ 2) using UMFB. Both transrectal and transperineal approaches were included to enable comprehensive learning curve analysis. Data from 2017 to 2023 were reviewed, encompassing 157 UMFBs performed by U1 and 242 by U2, with a transrectal-to-perineal ratio of 7:3. Results: Both urologists achieved Ahmed-defined C-CDR targets from the outset. Over a median follow-up of 30 months, patients with initial PI-RADS 4 or 5 ratings and negative primary biopsies remained prostate cancer-free in 77% of cases for U1 and 91.2% for U2 (p = 0.152). Conclusions: This study demonstrates that experienced urologists can achieve high diagnostic accuracy and maintain patient safety immediately upon implementing UMFB, meeting established benchmarks without requiring additional procedural learning. Full article
(This article belongs to the Special Issue Prostate Cancer Therapy: Supporting Strategies and Management Options)
Show Figures

Figure 1

10 pages, 897 KB  
Article
Oncological Outcomes of Partial Gland Ablation Using High-Intensity Focused Ultrasound After Additional Confirmatory Transperineal Mapping Biopsy in Men with Prostate Cancer
by Jihwan Lee and Wan Song
Biomedicines 2024, 12(11), 2487; https://doi.org/10.3390/biomedicines12112487 - 30 Oct 2024
Viewed by 1651
Abstract
Background/Objectives: To evaluate whether additional confirmatory transperineal mapping biopsy (TPMB) in men with localized prostate cancer (PCa) alters the treatment plan and outcome of partial gland ablation (PGA) using high-intensity focused ultrasound (HIFU). Methods: We retrospectively reviewed data from 96 patients who underwent [...] Read more.
Background/Objectives: To evaluate whether additional confirmatory transperineal mapping biopsy (TPMB) in men with localized prostate cancer (PCa) alters the treatment plan and outcome of partial gland ablation (PGA) using high-intensity focused ultrasound (HIFU). Methods: We retrospectively reviewed data from 96 patients who underwent PGA using HIFU between January 2020 and June 2022. After multiparametric magnetic resonance imaging (mpMRI), all men underwent transrectal ultrasound (TRUS)-guided, cognitive-targeted biopsy and systematic biopsy. Men eligible for PGA using HIFU first underwent confirmatory TPMB. Any changes in the treatment plan after TPMB were analyzed. Follow-up TRUS-guided biopsy was performed 1 year post-operatively to evaluate oncological outcomes. Clinically significant PCa (csPCa) was defined as Gleason grade (GG) ≥ 2. Results: Among all subjects, the median age (IQR) was 65.0 (60.0–72.0) years and the prostate-specific antigen level was 5.20 (3.71–7.81) ng/mL. The results of both TRUS-guided biopsy and TPMB led to a change in the treatment plan (from unilateral to bilateral PGA) for 13 (13.5%) patients. The 1-year follow-up TRUS-guided biopsy identified PCa in 13 (13.5%) patients, and csPCa in 7 (7.3%) patients. The infield- and outfield-positive rates were 8.3% (8/96) and 3.1% (3/96), respectively, for any PCa, and 3.1% (3/96) and 2.1% (2/96), respectively, for csPCa. Conclusions: Confirmatory TPMB results in better disease identification and localization, thereby affecting the treatment plan and improving oncological outcomes. Therefore, confirmatory TPMB should be considered to establish an appropriate strategy for patients with localized PCa eligible for PGA using HIFU. Full article
(This article belongs to the Section Cancer Biology and Oncology)
Show Figures

Figure 1

24 pages, 1743 KB  
Review
Role of Systematic Biopsy in the Era of Targeted Biopsy: A Review
by Wojciech Malewski, Tomasz Milecki, Omar Tayara, Sławomir Poletajew, Piotr Kryst, Andrzej Tokarczyk and Łukasz Nyk
Curr. Oncol. 2024, 31(9), 5171-5194; https://doi.org/10.3390/curroncol31090383 - 3 Sep 2024
Cited by 8 | Viewed by 5510
Abstract
Prostate cancer (PCa) is a major public health issue, as the second most common cancer and the fifth leading cause of cancer-related deaths among men. Many PCa cases are indolent and pose minimal risk, making active surveillance a suitable management approach. However, clinically [...] Read more.
Prostate cancer (PCa) is a major public health issue, as the second most common cancer and the fifth leading cause of cancer-related deaths among men. Many PCa cases are indolent and pose minimal risk, making active surveillance a suitable management approach. However, clinically significant prostate carcinoma (csPCa) can lead to serious health issues, including progression, metastasis, and death. Differentiating between insignificant prostate cancer (inPCa) and csPCa is crucial for determining appropriate treatment. Diagnosis of PCa primarily involves trans-perineal and transrectal systematic biopsies. Systematic transrectal prostate biopsy, which typically collects 10–12 tissue samples, is a standard method, but it can miss csPCa and is associated with some complications. Recent advancements, such as magnetic resonance imaging (MRI)-targeted biopsies, have been suggested to improve risk stratification and reduce overtreatment of inPCa and undertreatment of csPCa, thereby enhancing patient quality of life and treatment outcomes. Guided biopsies are increasingly recommended for their ability to better detect high-risk cancers while reducing identification of low-risk cases. MRI-targeted biopsies, especially when used as an initial biopsy in biopsy-naïve patients and those under active surveillance, have become more common. Utilization of MRI-TB alone can decrease septic complications; however, the combining of targeted biopsies with perilesional sampling is recommended for optimal detection of csPCa. Future advancements in imaging and biopsy techniques, including AI-augmented lesion detection and robotic-assisted sampling, promise to further improve the accuracy and effectiveness of PCa detection. Full article
(This article belongs to the Special Issue New Aspects in Prostate Cancer Imaging)
Show Figures

Figure 1

13 pages, 2790 KB  
Article
Single-Setting 3D MRI/US-Guided Frozen Sectioning and Cryoablation of the Index Lesion: Mid-Term Oncologic and Functional Outcomes from a Pilot Study
by Leonardo Misuraca, Franco Lugnani, Aldo Brassetti, Loris Cacciatore, Francesco Tedesco, Umberto Anceschi, Alfredo Maria Bove, Simone D’Annunzio, Mariaconsiglia Ferriero, Salvatore Guaglianone, Riccardo Mastroianni, Gabriele Tuderti, Valeria Panebianco, Steno Sentinelli and Giuseppe Simone
J. Pers. Med. 2023, 13(6), 978; https://doi.org/10.3390/jpm13060978 - 10 Jun 2023
Cited by 5 | Viewed by 2052
Abstract
Our study explored frozen section reliability in prostate cancer (PCa) diagnoses and described surgical steps of a 3D magnetic resonance imaging (MRI)–ultrasound (US)-guided prostate biopsy (PB) and focal cryoablation of the index lesion (IL) in a single-setting procedure. Patients with a suspicious prostatic [...] Read more.
Our study explored frozen section reliability in prostate cancer (PCa) diagnoses and described surgical steps of a 3D magnetic resonance imaging (MRI)–ultrasound (US)-guided prostate biopsy (PB) and focal cryoablation of the index lesion (IL) in a single-setting procedure. Patients with a suspicious prostatic specific antigen (PSA) value, with a PIRADS 4 or 5 single lesion, were enrolled for trans perineal 3D MRI–US-guided PB and TRUS-guided focal cryoablation. Three cores were taken from the IL, three cores from the surrounding area, while systematic sampling was performed for the rest of the gland. After confirmation of PCa in frozen sections, focal cryoablation was performed. The 1st-year follow-up schedule included a PSA test at a 3-month interval, MRI 3 months and 1 year postoperatively and PB of the treated area at 1 year. Following the follow-up schedule, an involved PSA test at a 3-month interval and yearly MRI were performed. The PCa diagnosis was histologically confirmed in all three patients with frozen sections. At final histology, a single Gleason score upgrade from 6 (3 + 3) to 7 (3 + 4) was observed. All patients were discharged on postoperative day 1. At the 3-month evaluation, mean PSA values decreased from 12.54 (baseline) to 1.73 ng/mL and MRI images showed complete ablation of the IL in all patients. Urinary continence and potency were preserved in all patients. At the 1-year follow-up, one patient had suspicious ipsilateral recurrence on MRI and underwent a new analogous procedure. Post follow-up was uneventful and PSA remained stable in all patients. Three-dimensional MRI–US-guided frozen sectioning and focal cryoablation of the IL is a step forward towards a “patient-tailored” minimally invasive approach to the diagnosis and cure of PCa. Full article
(This article belongs to the Section Personalized Therapy in Clinical Medicine)
Show Figures

Figure 1

2 pages, 139 KB  
Interesting Images
The Prostate Problem You Can’t Put Your Finger on the Normal Way: A Case of Perineal Prostate Cancer Post Transperineal Prostate Biopsy
by Kevin Yinkit Zhuo, James Kovacic, Amanda Chung, Thomas Eade and Venu Chalasani
Soc. Int. Urol. J. 2023, 4(3), 232-233; https://doi.org/10.48083/ZHVJ6978 - 16 May 2023
Cited by 1 | Viewed by 902
Abstract
Transperineal biopsy needle-tract tumour seeding is a rare complication [...] Full article
Show Figures

Figure 1

10 pages, 583 KB  
Article
Prostate Cancer Detection with mpMRI According to PI-RADS v2 Compared with Systematic MRI/TRUS-Fusion Biopsy: A Prospective Study
by Anja Sauck, Isabelle Keller, Nicolin Hainc, Denis Pfofe, Arash Najafi, Hubert John and Joachim Hohmann
Tomography 2022, 8(4), 2020-2029; https://doi.org/10.3390/tomography8040169 - 16 Aug 2022
Cited by 8 | Viewed by 3521
Abstract
Background: mpMRI assesses prostate lesions through their PI-RADS score. The primary goal of this prospective study was to demonstrate the correlation of PI-RADS v2 score and the volume of a lesion with the presence and clinical significance of prostate cancer (PCa). The secondary [...] Read more.
Background: mpMRI assesses prostate lesions through their PI-RADS score. The primary goal of this prospective study was to demonstrate the correlation of PI-RADS v2 score and the volume of a lesion with the presence and clinical significance of prostate cancer (PCa). The secondary goal was to determine the extent of additionally PCa in inconspicuous areas. Methods: All 157 patients underwent a perineal MRI/TRUS-fusion prostate biopsy. Targeted biopsies as well as a systematic biopsy were performed. The presence of PCa in the probes was specified by the ISUP grading system. Results: In total, 258 lesions were biopsied. Of the PI-RADS 3 lesions, 24% were neoplastic. This was also true for 36.9% of the PI-RADS 4 lesions and for 59.5% of the PI-RADS 5 lesions. Correlation between ISUP grades and lesion volume was significant (p < 0.01). In the non-suspicious mpMRI areas carcinoma was revealed in 19.7% of the patients. Conclusions: The study shows that the PI-RADS v2 score and the lesion volume correlate with the presence and clinical significance of PCa. However, there are two major points to consider: First, there is a high number of false positive findings. Second, inconspicuous mpMRI areas revealed PCa. Full article
(This article belongs to the Special Issue Tumor Diagnosis and Treatment: Imaging Assessment)
Show Figures

Figure 1

15 pages, 3430 KB  
Article
Accumulation of Sulforaphane and Alliin in Human Prostate Tissue
by Tracey L. Livingstone, Shikha Saha, Federico Bernuzzi, George M. Savva, Perla Troncoso-Rey, Maria H. Traka, Robert D. Mills, Richard Y. Ball and Richard F. Mithen
Nutrients 2022, 14(16), 3263; https://doi.org/10.3390/nu14163263 - 10 Aug 2022
Cited by 21 | Viewed by 6430
Abstract
Diets rich in cruciferous vegetables have been associated with a lower risk of incidence and progression of prostate cancer. Sulforaphane, an isothiocyanate derived from 4-methylsulphinylbutyl glucosinolate (glucoraphanin) that accumulates in certain of these vegetables, notably broccoli, has been implicated in their protective effects. [...] Read more.
Diets rich in cruciferous vegetables have been associated with a lower risk of incidence and progression of prostate cancer. Sulforaphane, an isothiocyanate derived from 4-methylsulphinylbutyl glucosinolate (glucoraphanin) that accumulates in certain of these vegetables, notably broccoli, has been implicated in their protective effects. Likewise, the consumption of garlic and its sulphur-containing compounds such as alliin have been associated with a reduction in risk of prostate cancer. In this study, we tested whether consuming glucoraphanin derived from broccoli seeds and alliin derived from garlic resulted in the occurrence of these potential bioactive compounds in the prostate, which may contribute to our understanding of the putative protective effects of these dietary components. We recruited 42 men scheduled for a trans-perineal prostate biopsy into a randomised, double-blinded, 2 × 2-factorial dietary supplement four-week intervention study, and 39 completed the study. The two active interventions were supplements providing glucoraphanin from broccoli (BroccoMax®) and alliin from garlic (Kwai Heartcare®). Following the intervention, prostate biopsy tissue was analysed for the presence of sulforaphane and its thiol conjugates and for alliin and associated metabolites. Sulforaphane occurred in significantly higher levels in the prostate tissue (both within the transition and peripheral zone) of men consuming the glucoraphanin containing supplements (p < 0.0001) compared to men not consuming these supplements. However, while alliin and alliin-derived metabolites were detected within the prostate, there was no significant difference in the concentrations of these compounds in the prostate of men consuming supplements derived from garlic compared to men not consuming these supplements. Full article
(This article belongs to the Special Issue Food and Botanical Derived Phytoextracts for Health Benefits)
Show Figures

Figure 1

15 pages, 648 KB  
Systematic Review
Prostate Cancer Diagnosis, Treatment and Outcomes in Patients with Previous or Synchronous Colorectal Cancer: A Systematic Review of Published Evidence
by Giuseppe Celentano, Massimiliano Creta, Luigi Napolitano, Marco Abate, Roberto La Rocca, Marco Capece, Claudia Mirone, Simone Morra, Francesco Di Bello, Luigi Cirillo, Francesco Mangiapia, Gianluigi Califano, Claudia Collà Ruvolo, Caterina Sagnelli, Antonello Sica, Armando Calogero, Fabrizio Iacono, Ferdinando Fusco, Vincenzo Mirone and Nicola Longo
Diagnostics 2022, 12(6), 1475; https://doi.org/10.3390/diagnostics12061475 - 15 Jun 2022
Cited by 14 | Viewed by 3525
Abstract
The management of patients with prostate cancer (PCa) and previous or synchronous colorectal cancer (CRC) represents a challenging issue. A systematic review was performed in May 2022 to summarize available evidence about the diagnosis, management, and outcomes of these patients. Twenty-seven studies involving [...] Read more.
The management of patients with prostate cancer (PCa) and previous or synchronous colorectal cancer (CRC) represents a challenging issue. A systematic review was performed in May 2022 to summarize available evidence about the diagnosis, management, and outcomes of these patients. Twenty-seven studies involving 252 patients were identified. Overall, 163 (64.7%) and 89 (35.3%) patients had synchronous and metachronous PCa and CRC, respectively. In patients with synchronous diseases, PCa treatment involved active surveillance in 1 patient, radical prostatectomy (RP) in 36 patients, radiotherapy (RT) in 60 patients, RP plus RT in 1 patient, proton beam therapy in 1 patient, and cryoablation in 1 patient. In patients with previous CRC treatment, prostate biopsy was mostly performed by transrectal approach (n = 24). The trans-perineal and suprapubic approaches were adopted in 12 and 6 cases, respectively. Surgical PCa treatment in these cases involved endoscopic extraperitoneal RP, robot-assisted RP, and not otherwise specified RP in 30, 15, and 2 cases, respectively. Biochemical recurrence rates ranged from 20% to 28%. Non-surgical PCa treatment options included brachytherapy, RT plus androgen deprivation therapy, and RT alone in 23, 2 and 4 patients, respectively. PCa specific survival was reported by one study and was 100%. Full article
(This article belongs to the Special Issue Advances in the Diagnosis and Management of Prostate Cancer)
Show Figures

Figure 1

3 pages, 416 KB  
Case Report
Constipation and Dilated Bowel: Hirschsprung’s Disease Is Not Always the Case
by Savas P. Deftereos, Soultana Foutzitzi, Georgios Karagiannakis, Maria Aggelidou, Dimitrios C. Cassimos and Katerina Kambouri
Clin. Pract. 2020, 10(4), 1270; https://doi.org/10.4081/cp.2020.1270 - 16 Oct 2020
Cited by 2 | Viewed by 1224
Abstract
A case of a 2-month-old boy with constipation and a localized abdominal distension in the right abdomen and hypogastrium is presented. Plain radiograph, ultrasound exam as well as a barium enema were suggestive of Hirschsprung’s disease (HD) (ultrashort segment disease). Nevertheless, rectal suction [...] Read more.
A case of a 2-month-old boy with constipation and a localized abdominal distension in the right abdomen and hypogastrium is presented. Plain radiograph, ultrasound exam as well as a barium enema were suggestive of Hirschsprung’s disease (HD) (ultrashort segment disease). Nevertheless, rectal suction biopsy was negative for neuronal abnormalities and unexpectedly on plain radiograph vertebral abnormalities were noticed. Subsequently magnetic resonance imaging of the spine and abdomen was performed, to evaluate possible spinal cord lesions and potential abnormalities of the perineal region musculature. A syringe throughout medullary cone was noted. The well-known issue, that the diagnosis of HD does not depend on the imaging (radiological) findings, was confirmed. The step-bystep diagnostic approach from the initial thought of ultrashort segment HD to the later imaging-based diagnosis of syringomyelia is discussed in this present paper. Full article
3 pages, 596 KB  
Case Report
Neonatal Sweet’s Syndrome Associated with Rectovestibular Fistula with Normal Anus
by Jun Shinozuka, Hideki Tomiyama, Shin-ichiro Tanak, Junko Tahara, Hitoshi Awaguni, Shigeru Makino, Rikken Maruyama and Shinsaku Imashuku
Pediatr. Rep. 2015, 7(2), 5858; https://doi.org/10.4081/pr.2015.5858 - 24 Jun 2015
Cited by 2 | Viewed by 751
Abstract
Sweet’s syndrome, characterized by fever and a painful erythematous rash with a dermal neutrophilic infiltrate, develops primarily due to paraneoplastic phenomena in adults. Sweet’s syndrome is very rare in neonates. We report a Japanese female neonate (age <2 months), who developed Sweet’s syndrome [...] Read more.
Sweet’s syndrome, characterized by fever and a painful erythematous rash with a dermal neutrophilic infiltrate, develops primarily due to paraneoplastic phenomena in adults. Sweet’s syndrome is very rare in neonates. We report a Japanese female neonate (age <2 months), who developed Sweet’s syndrome with episodes of perineal infection in association with congenital rectovestibular fistula with normal anus. Sweet’s syndrome was diagnosed basing on clinical features and histopathology of biopsied skin tissues. Rectovestibular fistula was confirmed after the signs of inflammation subsided and the rash disappeared. In the literature, we found another case of neonatal Sweet’s syndrome associated with rectovestibular fistula in a Japanese female neonate. The perineal region should be screened for anomalies following diagnosis of Sweet’s syndrome in neonates. Full article
5 pages, 198 KB  
Article
Mucinous adenocarcinoma arising in an anorectal fistula
by Linas Venclauskas, Žilvinas Saladžinskas, Algimantas Tamelis, Darius Pranys and Dainius Pavalkis
Medicina 2009, 45(4), 286; https://doi.org/10.3390/medicina45040037 - 7 Dec 2008
Cited by 11 | Viewed by 1197
Abstract
Mucinous adenocarcinoma in association with chronic anal fistula is a rare case in clinical practice. The aim of this article was to report a rare case of anal gland mucinous adenocarcinoma in a patient who was treated in the Hospital of Kaunas University [...] Read more.
Mucinous adenocarcinoma in association with chronic anal fistula is a rare case in clinical practice. The aim of this article was to report a rare case of anal gland mucinous adenocarcinoma in a patient who was treated in the Hospital of Kaunas University of Medicine. Case report. A 70-year-old male was treated for anorectal fistula in the surgical department. Four operations were performed for perineal abscess during the period of 15 years. During the period of 15 years, the patient complained of purulent secretion from the perineal abscess. After the last operation, anorectal fistula developed. Multiple biopsies and scrapings of the fistulous track were taken for histological examination. Histological examination revealed mucinous adenocarcinoma, G2. Subsequently, the patient underwent endoanal ultrasound, computed tomography scan, and colonoscopy. The computed tomography scan did not show pathology in the abdomen, but showed soft tissue induration at the site of anorectal fistula. Colonoscopy investigation did not show any pathology in the rectum and bowels. Endoanal ultrasound findings showed soft tissue induration at the site of anorectal fistula, no tumor in the rectum wall. The patient underwent abdominoperineal resection. Histological examination after abdominoperineal resection revealed anal duct mucinous adenocarcinoma pT2 N0 L0 V0 R0, G2. Metastases to the mesenteric lymph nodes were not detected. On the eight day after abdominoperineal resection, the patient was discharged from the hospital for follow-up. Summary. Mucinous adenocarcinoma in anorectal fistula is a rare condition. If surgical treatment for perineal abscess or anorectal fistula is not successful for a long time, mucinous adenocarcinoma should be suspected. Full article
Back to TopTop