Sign in to use this feature.

Years

Between: -

Subjects

remove_circle_outline
remove_circle_outline
remove_circle_outline
remove_circle_outline
remove_circle_outline
remove_circle_outline
remove_circle_outline
remove_circle_outline
remove_circle_outline

Journals

Article Types

Countries / Regions

Search Results (83)

Search Parameters:
Keywords = pediatric stroke

Order results
Result details
Results per page
Select all
Export citation of selected articles as:
8 pages, 2320 KB  
Case Report
Basal Ganglia Ischemic Stroke as Sentinel Sign for Pediatric Tuberculous Meningitis in an Immunocompetent Child: A Case Report
by Albina Ponosheci Biçaku, Kurtesh Sherifi, Ardian Biçaku and Sadije Namani
Pediatr. Rep. 2026, 18(2), 44; https://doi.org/10.3390/pediatric18020044 - 18 Mar 2026
Abstract
Background: Tuberculous meningitis (TBM) is the most severe manifestation of tuberculosis in children, with high mortality rates and long-term neurological sequelae. Early diagnosis is challenging due to its nonspecific symptoms and insidious onset. Case Presentation: An 8-year-old previously healthy male, fully vaccinated, presented [...] Read more.
Background: Tuberculous meningitis (TBM) is the most severe manifestation of tuberculosis in children, with high mortality rates and long-term neurological sequelae. Early diagnosis is challenging due to its nonspecific symptoms and insidious onset. Case Presentation: An 8-year-old previously healthy male, fully vaccinated, presented with a two-week history of fever, headache, vomiting, and abdominal pain. Cerebrospinal fluid (CSF) analysis revealed lymphocytic pleocytosis, elevated protein, and low glucose levels, while multiplex polymerase chain reaction (PCR) testing for bacteria and viruses yielded negative results. Brain computed tomography (CT) revealed mild ventricular dilation and pansinusitis. Empirical antibacterial and antiviral therapy were initiated; however, the patient subsequently experienced neurological deterioration, including cranial nerve deficits and hemiparesis. Brain magnetic resonance imaging (MRI) demonstrated acute infarctions of the basal ganglia, raising suspicion for TBM. Repeated CSF sampling and Xpert MTB/RIF assay confirmed infection with Mycobacterium tuberculosis. Anti-tuberculosis treatment was initiated in combination with adjunctive corticosteroids, anticonvulsant and anticoagulant therapies, and supportive care, including neurosurgical intervention for hydrocephalus. After 16 months of treatment, the patient showed clinical improvement but sustained left-sided hemiparesis, visual impairment, and cognitive deficits. Conclusions: This case highlights the diagnostic challenges of pediatric TBM in immunocompetent and Bacillus Calmette–Guérin (BCG)-vaccinated children, particularly in the presence of initially negative microbiological findings. It emphasizes the importance of maintaining a high index of clinical suspicion and the crucial supportive role of neuroimaging findings, as well as the earlier initiation of empirical TB therapy especially when epidemiological plausibility exists. Early recognition and intervention remain critical to reducing morbidity and mortality associated with this devastating disease. Full article
(This article belongs to the Special Issue Infectious Diseases in Children and Adolescents)
Show Figures

Figure 1

14 pages, 1782 KB  
Case Report
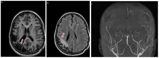
Neurological Complications in Children with Moyamoya Disease—Case Report and Literature Review
by Ioana Grigore, Lăcrămioara Ionela Butnariu, Thomas Gabriel Schreiner, Vasile Valeriu Lupu, Ancuta Lupu, Ludmila Darie, Elena Țarcă, Alexandra Vătămănelu, Raul Andrei Crețu and Ecaterina Grigore
J. Clin. Med. 2026, 15(6), 2242; https://doi.org/10.3390/jcm15062242 - 16 Mar 2026
Abstract
Background: Moyamoya disease (MMD) is a rare, progressive cerebrovascular arteriopathy characterized by stenosis and occlusion of the distal internal carotid arteries with the development of compensatory collateral networks. In children, MMD is a major cause of ischemic stroke; however, neurological morbidity frequently [...] Read more.
Background: Moyamoya disease (MMD) is a rare, progressive cerebrovascular arteriopathy characterized by stenosis and occlusion of the distal internal carotid arteries with the development of compensatory collateral networks. In children, MMD is a major cause of ischemic stroke; however, neurological morbidity frequently extends beyond cerebrovascular events to include epilepsy, headache, cognitive impairment, and psychiatric manifestations. Data regarding the long-term evolution of these complications in Caucasian pediatric patients remains limited. Case Report: We present the longitudinal case of a Caucasian female diagnosed with advanced MMD after an ischemic stroke at the age of 7 years, followed by indirect surgical revascularization (encephalo-duro-arterio-synangiosis) and chronic antiplatelet therapy. Four years later, she developed recurrent focal aware sensory–motor seizures associated with chronic post-ischemic cortical injury. Despite stable vascular imaging and absence of recurrent infarction, the patient experienced persistent neurological sequelae, including residual spastic hemiparesis, episodic tension-type headaches, and evolving neuropsychological complications. Cognitive assessment initially suggested mild neurocognitive impairment, with subsequent improvement during adolescence. In late follow-up, prominent anxiety symptoms emerged, and psychiatric evaluation confirmed panic disorder requiring psychological and pharmacological support. The patient remained neurologically stable into adulthood under continued multidisciplinary care. This case illustrates the broad spectrum of neurological and psychiatric complications that may accompany pediatric MMD, even in the absence of new ischemic events. The accompanying literature review emphasizes that epilepsy, headache, cognitive dysfunction, and psychiatric disorders represent clinically significant components of the long-term disease burden in children with MMD. Conclusions: Pediatric moyamoya disease should be regarded not only as a cause of childhood stroke, but also as a chronic condition with long-term epileptic, cognitive, and psychiatric sequelae that may evolve independently of recurrent ischemic injury. By providing longitudinal follow-up from childhood into adulthood in a Caucasian patient, this report underscores the importance of integrating neuropsychological and psychiatric surveillance into standard care pathways, alongside vascular and surgical management, to better address the full spectrum of morbidity and improve quality of life. Full article
(This article belongs to the Section Clinical Neurology)
Show Figures

Figure 1

4 pages, 596 KB  
Interesting Images
Stepwise Palatal Prosthetic Rehabilitation After Pediatric Ischemic Stroke
by Satoru Kusaka, Yuria Asao, Tatsuya Akitomo, Yuko Iwamoto and Ryota Nomura
Reports 2026, 9(1), 78; https://doi.org/10.3390/reports9010078 - 6 Mar 2026
Viewed by 133
Abstract
Pediatric ischemic stroke is rare but may result in severe oral dysfunction. Evidence for prosthetic oral rehabilitation is well established in adults, whereas pediatric data remains limited. We report a pediatric patient with persistent dysphagia and articulatory impairment following recurrent ischemic stroke who [...] Read more.
Pediatric ischemic stroke is rare but may result in severe oral dysfunction. Evidence for prosthetic oral rehabilitation is well established in adults, whereas pediatric data remains limited. We report a pediatric patient with persistent dysphagia and articulatory impairment following recurrent ischemic stroke who underwent stepwise palatal prosthetic intervention. Treatment began with a palatal augmentation prosthesis to establish tolerance and promote tongue–palate contact, followed by a palatal lift prosthesis providing gentle velopharyngeal support. Tongue pressure measurements, oral diadochokinesis, and speech intelligibility improved during appliance use, with gains largely maintained after discontinuation, suggesting motor relearning rather than transient mechanical assistance. This case illustrates the potential value of a tolerance-oriented, stepwise prosthetic strategy in pediatric stroke rehabilitation and underscores the need for individualized adjustment and cautious interpretation of functional metrics. Full article
Show Figures

Figure 1

34 pages, 1194 KB  
Review
Point-of-Care EEG for Non-Convulsive Seizure and Status Epilepticus: Advances, Limitations, and Future Directions
by Ana Leticia Fornari Caprara, Jamir Pitton Rissardo, Hana Rababeh, April Pivonka, Priya Shah, Kaitlyn Piotrowski, Matthew George Petruncio, Anusha Keshireddy, Zehra Jaffri, Arthur Gribachov, Ruchika Moturi, Haashim Khurram, Manisha Koneru and Evren Burakgazi-Dalkilic
J. Clin. Med. 2026, 15(4), 1643; https://doi.org/10.3390/jcm15041643 - 22 Feb 2026
Viewed by 385
Abstract
Point-of-care electroencephalography (POC-EEG) has emerged as a practical tool for the rapid detection of non-convulsive seizures (NCS) and non-convulsive status epilepticus (NCSE) in acute neurological settings where access to conventional EEG is often delayed. This narrative review synthesizes current evidence on the clinical [...] Read more.
Point-of-care electroencephalography (POC-EEG) has emerged as a practical tool for the rapid detection of non-convulsive seizures (NCS) and non-convulsive status epilepticus (NCSE) in acute neurological settings where access to conventional EEG is often delayed. This narrative review synthesizes current evidence on the clinical applications, tech-no-logical evolution, and limitations of POC-EEG systems across adult and pediatric populations. Available data suggest that POC-EEG is associated with earlier seizure identification, more timely antiseizure treatment decisions, and reduced dependence on inter-facility transfers in selected healthcare settings. Beyond seizure detection, POC-EEG has shown potential utility in the assessment of acute encephalopathy due to conditions such as stroke, traumatic brain injury, delirium, and post-cardiac arrest states. Recent advances in device portability and artificial intelligence-assisted interpretation have expanded accessibility, enabling use by non-specialist clinicians; however, reduced spatial resolution, artifact susceptibility, and variable performance in focal or low-burden epileptiform activity remain important limitations. Automated detection algorithms show high accuracy for sustained seizure burden but require cautious interpretation and further prospective validation. Ethical and health-system considerations, including equitable access, diagnostic stewardship, and data governance, are increasingly relevant as adoption grows. Overall, POC-EEG represents a promising adjunct to conventional EEG that may improve early diagnostic workflows in acute neurological care, while definitive impacts on long-term outcomes warrant further study. Full article
(This article belongs to the Section Clinical Neurology)
Show Figures

Figure 1

17 pages, 1952 KB  
Article
ABCC6 Heterozygosity as Genetic Predisposition to Cerebrovascular Disease Across Ages
by Giulia Amico, Mariasavina Severino, Marta Bertamino, Rosario Pascarella, Domenico Tortora, Sara Signa, Marta Rusmini, Andrea Rossi, Isabella Ceccherini and Marialuisa Zedde
Genes 2026, 17(2), 226; https://doi.org/10.3390/genes17020226 - 11 Feb 2026
Viewed by 395
Abstract
Background: Heterozygosity for pathogenic variants in the ABCC6 gene has been associated with an increased incidence of cerebrovascular diseases. This study aims to characterize the prevalence and clinical and neuroradiological phenotypes associated with monoallelic and biallelic ABCC6 variants in pediatric and adult [...] Read more.
Background: Heterozygosity for pathogenic variants in the ABCC6 gene has been associated with an increased incidence of cerebrovascular diseases. This study aims to characterize the prevalence and clinical and neuroradiological phenotypes associated with monoallelic and biallelic ABCC6 variants in pediatric and adult patients presenting with arterial ischemic stroke or cerebral small vessel disease (CSVD). Methods: We conducted a retrospective observational study on 143 consecutive patients (48 pediatric, 24 juvenile, 71 adult) diagnosed with ischemic stroke or CSVD of unknown etiology. Clinical and neuroradiological data were collected and analyzed in relation to the identified genetic variants through next-generation sequencing. Results: Among the patients, 16 (11.2%) tested positive for causative variants in the ABCC6 gene, with 11 subjects carrying monoallelic variants and 5 carrying biallelic variants. Patients with biallelic variants exhibited severe and complex vasculopathy, with a high incidence of early ischemic events. In contrast, monoallelic carriers predominantly presented with microvascular disease manifestations, including lacunar strokes and signs of CSVD. Conclusions: The results suggest a significant age-dependent phenotypic divergence in patients with ABCC6 variants, highlighting the impact of heterozygosity on cerebrovascular health. Identifying these variants may enhance risk stratification and inform management strategies in patients with traditional vascular risk factors. Full article
Show Figures

Figure 1

15 pages, 379 KB  
Article
Extracellular Matrix Tissue Patch for Pulmonary Artery Repair in Pediatric Cardiac Surgery: A Single-Center Experience
by Marcin Gładki, Paweł R. Bednarek, Anita Węclewska, Tomasz Urbanowicz, Anna Olasińska-Wiśniewska and Marek Jemielity
J. Clin. Med. 2026, 15(3), 1177; https://doi.org/10.3390/jcm15031177 - 3 Feb 2026
Viewed by 317
Abstract
Introduction: Congenital structural anomalies of the pulmonary artery in children, encompassing defects such as pulmonary atresia (PA), pulmonary stenosis (PS), pulmonary artery hypoplasia, and tetralogy of Fallot (ToF), pose significant challenges in pediatric cardiac surgery due to impaired blood flow in pulmonary [...] Read more.
Introduction: Congenital structural anomalies of the pulmonary artery in children, encompassing defects such as pulmonary atresia (PA), pulmonary stenosis (PS), pulmonary artery hypoplasia, and tetralogy of Fallot (ToF), pose significant challenges in pediatric cardiac surgery due to impaired blood flow in pulmonary circulation. Traditional options for conventional repair—including autologous materials such as the native pericardium and synthetic materials such as artificial patches—have limitations including a lack of growth potential and vulnerability to restenosis over time. ProxiCor® patches, based on the extracellular matrix (ECM), have emerged as biologically compatible substitutes capable of fostering tissue regeneration. The primary outcomes of this study were the safety (absence of patch-related complications such as restenosis, dilation, aneurysm, infection, or thrombosis) and feasibility (intraoperative handling and surgical success) of ProxiCor® for pulmonary artery and right ventricular outflow tract (RVOT) reconstruction in a single-center pediatric cohort. Secondary outcomes included mortality, postoperative complications (prolonged mechanical ventilation > 72 h, need for continuous renal replacement therapy (CRRT), and intensive care unit (ICU) and hospital stay), and qualitative echocardiographic assessment of vessel patency during follow-up. Patients and methods: A retrospective analysis was conducted in 25 consecutive pediatric patients who underwent pulmonary artery or RVOT reconstruction with ProxiCor® at the Department of Pediatric Cardiac Surgery in Poznań (Poland) between the years 2023 and 2024. Surgical techniques, clinical outcomes, and follow-up data were assessed using transthoracic echocardiography (TTE). Results: The median age was 224 (Q1–Q3: 124–362) days, and median weight was 4.2 (Q1–Q3: 2.8–8.5) kg. Procedures targeted repairs of the main pulmonary artery (MPA), right pulmonary artery (RPA), left pulmonary artery (LPA), and RVOT. Diagnoses included tetralogy of Fallot (ToF), pulmonary artery stenosis (PS), pulmonary atresia (PA), pulmonary artery hypoplasia, and anomalous left coronary artery from the pulmonary artery (ALCAPA). The mortality rate stood at 8% (2/25), stemming from multiorgan failure and hemorrhagic stroke, unrelated to the patch. Over a median observation period of 483 (Q1–Q3: 363–584) days, no patch-related complications (e.g., restenosis or dilation) arose. The median hospitalization time was 22 (Q1–Q3: 8.5–38.5) days. Conclusions: ProxiCor® ECM patches appear to be safe and feasible for use in pulmonary artery and RVOT reconstruction, with favorable early outcomes. However, the small cohort size, lack of a control group, and limited mid- to long-term echocardiographic data preclude definitive conclusions about long-term outcomes or comparative effectiveness. Full article
(This article belongs to the Special Issue Clinical Management of Pediatric Heart Diseases)
Show Figures

Figure 1

14 pages, 656 KB  
Review
Cardio-Metabolic Risk in Adults Born Preterm: A Narrative Review
by Benjamim Ficial, Leonardo Gottin and Claudio Maffeis
J. Clin. Med. 2026, 15(1), 256; https://doi.org/10.3390/jcm15010256 - 29 Dec 2025
Viewed by 949
Abstract
Preterm birth has evolved from being an acute neonatal challenge to a lifelong health determinant, as advances in neonatal care have markedly improved the survival of very and extremely preterm infants. This narrative review synthesizes epidemiological and mechanistic evidence linking preterm birth with [...] Read more.
Preterm birth has evolved from being an acute neonatal challenge to a lifelong health determinant, as advances in neonatal care have markedly improved the survival of very and extremely preterm infants. This narrative review synthesizes epidemiological and mechanistic evidence linking preterm birth with heightened cardiometabolic risk across the life course. In adulthood, individuals born preterm demonstrate increased rates of heart failure, ischemic heart disease, stroke, atrial fibrillation, and diabetes. Beneath these overt clinical outcomes lies a distinct phenotype characterized by increased adiposity, insulin resistance, dyslipidemia, hypertension, and atypical growth trajectories, with rapid catch-up growth amplifying long-term risk. Mechanistic pathways highlight adipose tissue maldevelopment, predisposing to metabolic syndrome, alongside cardiac maldevelopment with reduced ventricular size, impaired diastolic function, and diminished exercise capacity. Furthermore, vascular growth arrest, impaired elastin synthesis, and nephron deficiency contribute to sustained elevations in blood pressure, establishing an early substrate for hypertension and cardiovascular remodeling. These alterations reflect the developmental origins of health and disease, whereby early-life disruption of growth and maturation exerts lasting effects on organ structure and function. Collectively, the evidence identifies adults born preterm as a growing yet under-recognized patient population with a unique clinical and biochemical profile and accelerated vulnerability to non-communicable diseases. Greater awareness among pediatric and adult physicians, structured transition of care, and targeted prevention strategies are urgently needed to mitigate early cardiometabolic morbidity and optimize long-term health outcomes in this high-risk group. Full article
(This article belongs to the Special Issue New Insights in Neonatal Intensive Care)
Show Figures

Figure 1

18 pages, 1903 KB  
Systematic Review
Post-Varicella Arteriopathy as a Cause of Pediatric Arterial Ischemic Stroke: A Systematic Review and Case Report
by Martina Testaì, Silvia Marino, Giovanna Russo and Milena La Spina
Brain Sci. 2025, 15(12), 1333; https://doi.org/10.3390/brainsci15121333 - 15 Dec 2025
Viewed by 781
Abstract
Background/Objectives: Post-varicella arteriopathy (PVA) is a significant cause of pediatric arterial ischemic stroke (AIS) that typically involves previously healthy children within 12 months of primary varicella infection, mostly with a monophasic course. Diagnosis is based on clinical and imaging findings, and cerebrospinal fluid [...] Read more.
Background/Objectives: Post-varicella arteriopathy (PVA) is a significant cause of pediatric arterial ischemic stroke (AIS) that typically involves previously healthy children within 12 months of primary varicella infection, mostly with a monophasic course. Diagnosis is based on clinical and imaging findings, and cerebrospinal fluid analysis may confirm it; treatment is empirical and heterogeneous. We describe a typical case of PVA and present a systematic review of its clinical, radiological, therapeutic, and outcome features. Methods: Following PRISMA 2020 and AMSTAR-2 guidelines, data on demographics, clinical presentation, imaging, laboratory confirmation, treatment, and outcomes were extracted across databases (PubMed, Embase, Scopus). Results: Forty-seven studies, encompassing 312 pediatric patients, were included. Mean age was 4 years with a median latency of 3.82 months from varicella to neurologic symptoms. Common presentation included hemiparesis, language impairment, and seizures. Imaging findings showed unilateral focal involvement of anterior circulation arteries, basal ganglia infarctions, and, rarely, bilateral or posterior circulation involvement. CSF VZV-DNA PCR and anti-VZV IgG were positive in 39% and 48% of tested patients. Treatment included intravenous acyclovir (34%), corticosteroids (20%), and low-dose aspirin (77%); two patients underwent acute reperfusion therapy (rt-PA or thrombectomy). Outcomes tended to be moderately favorable: 43% achieved full recovery, 45% had residual deficit, and 11% experienced recurrence. Prothrombotic state was reported, and it may influence disease severity. Conclusions: PVA is a rare distinct cause of pediatric stroke, with a generally favorable prognosis quoad vitam. Standardized guidelines and prospective studies are needed to establish evidence-based management. Clinicians should maintain a high suspicion for its diagnosis. Full article
(This article belongs to the Special Issue Advances in Pediatric Neurological Disease Research)
Show Figures

Figure 1

9 pages, 266 KB  
Article
Berlin Heart EXCOR as a Bridge to Transplantation in Pediatric End-Stage Heart Failure: A Retrospective Cohort Study
by Mohannad Dawary, Dimpna Brotons and Felix W. Tsai
J. Cardiovasc. Dev. Dis. 2025, 12(12), 465; https://doi.org/10.3390/jcdd12120465 - 29 Nov 2025
Viewed by 617
Abstract
Background: Ventricular assist devices serve as a critical bridge to transplantation for pediatric patients with end-stage heart failure. This study evaluated the outcomes of pediatric patients who received Berlin Heart EXCOR support for end-stage heart failure. Methods: We retrospectively analyzed data from 11 [...] Read more.
Background: Ventricular assist devices serve as a critical bridge to transplantation for pediatric patients with end-stage heart failure. This study evaluated the outcomes of pediatric patients who received Berlin Heart EXCOR support for end-stage heart failure. Methods: We retrospectively analyzed data from 11 consecutive pediatric patients (63.64% male, median age 60 months) who underwent Berlin Heart implantation from November 2021 to April 2025. The majority (90.90%) had dilated cardiomyopathy, and 72.73% were INTERMACS class I. Results: Of the 11 patients, 54.54% received an LVAD only, 36.36% received a BiVAD, and 9.09% required an LVAD followed by an RVAD. The postoperative mean ICU stay was 140 ± 73 days, and total hospital stay was 192 ± 96 days. Significant post-implant complications included stroke (27.27%), bleeding requiring exploration (27.27%), and pneumonia (36.36%). Ten patients (90.91%) were successfully bridged to heart transplantation, with one pre-transplant mortality (9.09%) due to brain hemorrhage. The median time to transplantation was 88 days (interquartile range, IQR: 78–177). During a median follow-up of 17 months (IQR: 7–32), two patients died post-transplant, resulting in an overall survival rate of 67.50% at 3 years. Conclusions: Despite significant complications and prolonged hospitalization, the Berlin Heart demonstrated effectiveness as a mechanical circulatory support device for pediatric patients, with a high rate of successful bridging to transplantation and acceptable mid-term survival. These findings support its use as a viable bridge to transplantation in pediatric end-stage heart failure. Full article
Show Figures

Figure 1

16 pages, 1170 KB  
Article
3D Camera-Based Body Weight Estimation Using Artificial Intelligence in Emergency Care Settings
by Vivek Ganesh Sonar, Muhammad Tanveer Jan, Abhijit Pandya, Mike Wells, Gabriella Engstrom, Richard Shih and Borko Furht
Emerg. Care Med. 2025, 2(4), 55; https://doi.org/10.3390/ecm2040055 - 21 Nov 2025
Viewed by 1589
Abstract
Background/Objectives: Accurate patient weight estimation is critical for safe and effective drug dosing in emergency and critical care settings. Inaccurate estimates exceeding a 10% deviation from true weight can result in significant dosing errors in time-sensitive treatments such as thrombolysis for stroke or [...] Read more.
Background/Objectives: Accurate patient weight estimation is critical for safe and effective drug dosing in emergency and critical care settings. Inaccurate estimates exceeding a 10% deviation from true weight can result in significant dosing errors in time-sensitive treatments such as thrombolysis for stroke or urgent sedation. In situations where direct weight measurement is impractical, reliable alternative estimation methods are essential. Methods: We propose a three-dimensional (3D) depth-camera system that employs a convolutional neural network (CNN) pipeline to automatically estimate total body weight (TBW), ideal body weight (IBW), and lean body weight (LBW) from volumetric features derived from a single supine patient image. Our approach was evaluated in a prospective pilot study to assess feasibility and accuracy. CNNs were selected because of their ability to extract spatial features from complex image data, outperforming regression and tree-based models in preliminary comparisons. Results: The results demonstrated that our 3D camera system was more accurate than conventional techniques, including clinician visual estimation (Mean Absolute Percentage Error [MAPE]: 12%), tape-based methods (±8.5%), and anthropometric formulas (±9.2%), achieving a mean error of ±5.4%. Conclusions: Future work will extend this technology to pediatric populations, support integration with automated dosing systems, and explore prehospital applications to further reduce medication errors and enhance patient safety. Full article
Show Figures

Figure 1

9 pages, 2714 KB  
Case Report
Rare Pediatric Posterior Stroke Case Report with Discussion of Brainstem Lesions
by Lauren A. Gould, Matthew Carman, Gian Rossi and Jasvinder Dhillon
Neurol. Int. 2025, 17(11), 178; https://doi.org/10.3390/neurolint17110178 - 3 Nov 2025
Viewed by 832
Abstract
Introduction: The rates of pediatric ischemic stroke incidence have more than doubled over the past 3–4 decades; however, pediatric posterior circulation strokes are even more uncommon. These rising incidence rates have led to increasing awareness of pediatric strokes and the development of institutional [...] Read more.
Introduction: The rates of pediatric ischemic stroke incidence have more than doubled over the past 3–4 decades; however, pediatric posterior circulation strokes are even more uncommon. These rising incidence rates have led to increasing awareness of pediatric strokes and the development of institutional guidelines regarding these patients to optimize outcomes when possible. Case Report: We describe a rare case of acute ischemic posterior circulation stroke in a 14-year-old previously healthy adolescent boy who presented with right-sided facial droop, dysarthria, and right-sided hemiplegia. An MRI of the brain demonstrated an acute infarct in the brainstem, and an echocardiogram demonstrated a patent foramen ovale (PFO). We also discuss how to localize brainstem lesions to a specific location within the brainstem and associated blood supply using symptomatology. Conclusions: All stroke patients require evaluation for possible etiologies of stroke and possible underlying risk factors. Nearly half of patients who suffer from cryptogenic stroke are found to have a PFO, and adult studies have shown that PFO closure is associated with reduced recurrent cryptogenic strokes, although pediatric-specific data is lacking. If a posterior stroke is suspected, specifically in the brainstem, then the Brainstem Rules of Four may be utilized to localize these lesions and identify blood supply using simplified knowledge of the brainstem anatomy. Full article
(This article belongs to the Section Brain Tumor and Brain Injury)
Show Figures

Graphical abstract

11 pages, 2434 KB  
Article
Indirect Revascularization for Pediatric Moyamoya Angiopathy: Insights from a Brazilian Cohort
by Alexandre Mello Savoldi, Zeferino Demartini and Mara L. Cordeiro
J. Clin. Med. 2025, 14(21), 7739; https://doi.org/10.3390/jcm14217739 - 31 Oct 2025
Viewed by 873
Abstract
Background/Objectives: Moyamoya angiopathy is a progressive occlusive cerebrovascular disorder and a relevant cause of pediatric stroke. While most published data originate from Asian and North American populations, reports from South America remain scarce. This study aimed to characterize the clinical, angiographic, and [...] Read more.
Background/Objectives: Moyamoya angiopathy is a progressive occlusive cerebrovascular disorder and a relevant cause of pediatric stroke. While most published data originate from Asian and North American populations, reports from South America remain scarce. This study aimed to characterize the clinical, angiographic, and functional outcomes of pediatric patients with Moyamoya disease (MMD) or Moyamoya syndrome (MMS) who underwent indirect revascularization in a Brazilian cohort, and to contextualize these findings within the international literature. Methods: We retrospectively reviewed all patients under 18 years of age who underwent indirect bypass (EDAS/EDAMS) for MMD or MMS at a tertiary pediatric center in Curitiba, Brazil, between 2009 and 2023. Demographic, clinical, and angiographic data were analyzed, including postoperative Matsushima grading, and functional outcomes assessed by the modified Rankin Scale (mRS) and Glasgow Outcome Scale (GOS). All eligible patients received perioperative aspirin (3–5 mg/kg/day). Results: Fourteen patients (64% female; mean age 9.9 years) were included: 43% with MMD and 57% with MMS. Hemiparesis (86%), seizures (57%), and cognitive impairment (57%) were the most common symptoms. Most were classified as Suzuki stages II–III. All underwent indirect revascularization; 79% received bilateral procedures. Angiographic follow-up (14 hemispheres) showed good collateral formation (Matsushima grade A: 43%; B: 57%). Complications occurred in three patients (21%), and two (14%)—both MMD—developed new postoperative ischemic strokes despite receiving aspirin therapy. At 3.5 years of mean follow-up, the mean mRS was 1.9 ± 0.8 and the GOS was 4.0 ± 0.3. Conclusions: Indirect revascularization in this Brazilian pediatric cohort was feasible and safe, yielding outcomes comparable to international series. Collateral development correlated with functional improvement. These exploratory findings emphasize the importance of early diagnosis, standardized perioperative care, and long-term follow-up, and highlight the need for multicenter collaboration in Latin America. Full article
(This article belongs to the Section Clinical Pediatrics)
Show Figures

Figure 1

17 pages, 322 KB  
Review
From Fluid Responsiveness to Prognosis: The Emerging Role of Point-of-Care Echocardiography in Sepsis
by Andrea Piccioni, Gloria Rozzi, Giacomo Spaziani, Michela Novelli, Mariella Fuorlo, Marcello Candelli, Giulia Pignataro, Luca Santarelli, Marcello Covino, Antonio Gasbarrini and Francesco Franceschi
Diagnostics 2025, 15(20), 2612; https://doi.org/10.3390/diagnostics15202612 - 16 Oct 2025
Viewed by 1767
Abstract
Sepsis is a life-threatening condition that requires early recognition and intervention to improve patient outcomes. Optimizing hemodynamic management is crucial, and clinicians must utilize all available tools to guide therapy effectively. Echocardiography is a rapid, non-invasive, and repeatable method that has emerged as [...] Read more.
Sepsis is a life-threatening condition that requires early recognition and intervention to improve patient outcomes. Optimizing hemodynamic management is crucial, and clinicians must utilize all available tools to guide therapy effectively. Echocardiography is a rapid, non-invasive, and repeatable method that has emerged as a valuable tool in the management of septic patients. Studying its role can provide insights into both therapeutic guidance and prognostic assessment. The primary aim of this review is to highlight the importance of echocardiography in the hemodynamic management of patients with sepsis. The secondary objective is to assess its prognostic value, as echocardiography can inform both the immediate management of critically ill patients and their overall prognosis. A narrative review of the literature published in the last 15 years was conducted using PubMed, and references were managed with Mendeley. Articles focusing on adult and pediatric patients, as well as relevant animal studies, which evaluated echocardiographic assessment of cardiac function, fluid responsiveness, or hemodynamic management were included. Multiple studies demonstrate that echocardiography is a reliable, non-invasive, and easily repeatable tool for assessing fluid responsiveness in septic patients. It allows for dynamic monitoring of stroke volume, VTI, and other hemodynamic parameters, supporting tailored fluid and vasoactive therapy. Additionally, echocardiography provides prognostic insights, with right ventricular dysfunction emerging as a strong predictor of increased mortality. Other parameters, including global longitudinal strain and left ventricular diastolic function, further contribute to risk stratification. Echocardiography is an indispensable tool in the management of sepsis, offering both real-time guidance for hemodynamic optimization and valuable prognostic information. Its routine use can enhance personalized care and improve clinical outcomes in critically ill septic patients. Full article
(This article belongs to the Section Point-of-Care Diagnostics and Devices)
16 pages, 616 KB  
Systematic Review
Pediatric Coccidioidal Meningitis: A Systematic Review and Proportional Synthesis of Cases Reported in the Fluconazole Era (2000–2025)
by Maria F. De la Cerda-Vargas, Pedro Navarro-Dominguez, Elizabeth Meza-Mata, Melisa A. Muñoz-Hernandez, Fany Karina Segura-Lopez, Marisela Del Rocio Gonzalez-Martinez, Hector A. Delgado-Aguirre, Sergio Valente Flores-Miranda, David de Jesús Mercado-Rubio, Yair O. Adame-Martínez, Geovanni A. Valadez-Altamira and Jose Antonio Candelas-Rangel
J. Fungi 2025, 11(10), 713; https://doi.org/10.3390/jof11100713 - 1 Oct 2025
Viewed by 1285
Abstract
Coccidioidal meningitis (CM) is a rare but life-threatening complication of disseminated coccidioidomycosis, occurring in ~16% of cases, particularly among children in endemic regions such as the southwestern US and northern Mexico. Without timely diagnosis and antifungal therapy, pediatric CM is almost universally fatal [...] Read more.
Coccidioidal meningitis (CM) is a rare but life-threatening complication of disseminated coccidioidomycosis, occurring in ~16% of cases, particularly among children in endemic regions such as the southwestern US and northern Mexico. Without timely diagnosis and antifungal therapy, pediatric CM is almost universally fatal within the first year. Hydrocephalus develops in up to 50% of cases. In 2000, Galgiani et al. established fluconazole as first-line therapy for CM. Subsequent guidelines refined management but did not specifically address pediatric patients (>1 month–≤19 years). No studies in the fluconazole era have systematically evaluated risk factors for complications in this population. We therefore conducted a systematic review and proportional synthesis of pediatric CM cases, focusing on CNS complications and outcomes. PubMed/MEDLINE, Embase (Ovid), and Web of Science were systematically searched (2000–2025). PROSPERO registration ID (1130290). Inclusion criteria encompassed epidemiological studies, case series, and case reports that described at least one pediatric case of CM or CNS involvement, confirmed by diagnostic methods. Cases in adults, neonates (<1 month), congenital infections, teratogenicity studies, reviews, or incomplete reports were excluded. Only cases with complete individual data (n = 48) were included. Methodological rigor was ensured using JBI Critical Appraisal Tools. Of 1089 studies, 31 met the inclusion criteria, representing 3874 pediatric cases. CM/CNS involvement was confirmed in 165 cases (4.25%; 95% CI: 3.6–4.9%), with hydrocephalus in 62 (37.5%). Among 48 case reports with complete data, fluconazole was first-line therapy in 65%. Serum CF titers ≥ 1:16 were associated with hydrocephalus plus stroke (p = 0.027) and independently predicted adverse outcomes (relapse/death; OR = 4.5, p = 0.037), whereas lifelong azole therapy was associated with improved outcomes (overall survival mean, 82 vs. 32 months; p = 0.002). Pediatric CM remains highly lethal, with hydrocephalus a frequent and severe complication. High serum CF titers (≥1:16) predict poor outcomes, emphasizing the urgent need for standardized, pediatric-specific diagnosis and management guidelines. Full article
(This article belongs to the Special Issue Pediatric Fungal Infections, 2nd Edition)
Show Figures

Figure 1

15 pages, 843 KB  
Review
Age-Dependent Clinical Relevance of Lipoprotein(a): A Comprehensive Review from Childhood to Adulthood
by Athina Nasoufidou, Agni Glava, Maria Mavridou, Panagiotis Stachteas, Efstratios Karagiannidis, Dimitrios Patoulias, George Kassimis, Nikolaos Fragakis and Maria Kavga
J. Clin. Med. 2025, 14(17), 6018; https://doi.org/10.3390/jcm14176018 - 26 Aug 2025
Viewed by 2797
Abstract
Lipoprotein(a) [Lp(a)] has emerged as a significant independent risk factor for atherosclerotic cardiovascular disease (ASCVD). While plasma Lp(a) levels remain relatively stable throughout life, their clinical impact varies depending on age and concentration. This comprehensive review examines the age-dependent clinical relevance of Lp(a), [...] Read more.
Lipoprotein(a) [Lp(a)] has emerged as a significant independent risk factor for atherosclerotic cardiovascular disease (ASCVD). While plasma Lp(a) levels remain relatively stable throughout life, their clinical impact varies depending on age and concentration. This comprehensive review examines the age-dependent clinical relevance of Lp(a), from childhood through adulthood. In pediatric populations, elevated Lp(a) levels are associated with early indicators of vascular dysfunction and with conditions like familial hypercholesterolemia (FH). In adults, elevated Lp(a) is consistently linked to an increased risk of myocardial infarction (MI), stroke, and calcific aortic valve disease, particularly in those with additional cardiovascular risk factors. We also discuss emerging therapies targeting Lp(a) that may significantly alter long-term cardiovascular risk if implemented early. Understanding the lifelong implications of elevated Lp(a) highlights the need for age-specific strategies for screening, monitoring, and intervention. Future research should prioritize identifying high-risk pediatric populations, refining risk thresholds, and determining optimal timing for therapeutic initiation to improve long-term cardiovascular outcomes. Full article
(This article belongs to the Section Clinical Pediatrics)
Show Figures

Figure 1

Back to TopTop