Sign in to use this feature.

Years

Between: -

Subjects

remove_circle_outline
remove_circle_outline
remove_circle_outline
remove_circle_outline

Journals

Article Types

Countries / Regions

Search Results (50)

Search Parameters:
Keywords = pediatric oncology surgery

Order results
Result details
Results per page
Select all
Export citation of selected articles as:
11 pages, 1365 KB  
Case Report
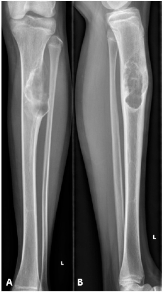
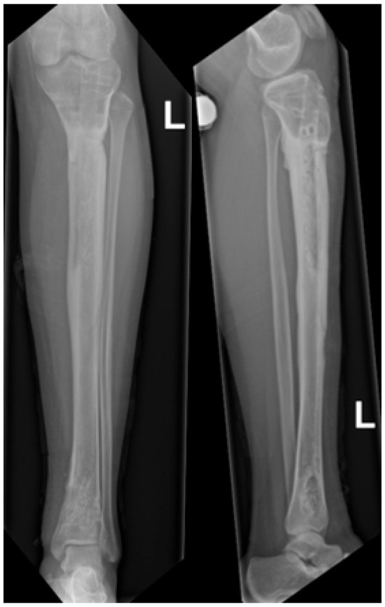
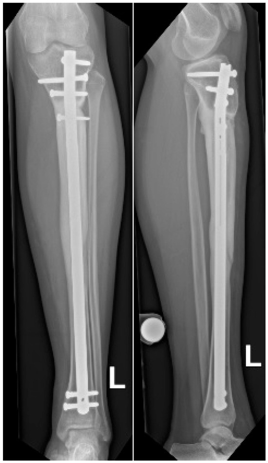
Motorized Intramedullary Bone Transport Nail for Reconstruction of a Large Diaphyseal Bone Defect after Tumor Resection in a Child—A Case Report
by Farah Selman, Valentine Schneebeli, Stijn de Joode, Daniel Müller and Thomas Dreher
Children 2026, 13(1), 26; https://doi.org/10.3390/children13010026 - 23 Dec 2025
Viewed by 134
Abstract
Background: Reconstructing large bone defects in pediatric patients after tumor resection is challenging, as conventional techniques are associated with high complication rates and morbidity. The Intramedullary Bone Transport Nail (IMBTN) may reduce these complications while preserving limb alignment and skeletal growth in pediatric [...] Read more.
Background: Reconstructing large bone defects in pediatric patients after tumor resection is challenging, as conventional techniques are associated with high complication rates and morbidity. The Intramedullary Bone Transport Nail (IMBTN) may reduce these complications while preserving limb alignment and skeletal growth in pediatric oncologic reconstruction. Methods: A 15-year-old female with an osteofibrous dysplasia-like adamantinoma of the tibial diaphysis underwent complete en-bloc resection, leaving a 9 cm bone defect. An IMBTN (Precice, NuVasive) was implanted for distraction osteogenesis, with distraction starting eight days post-surgery at 0.25 mm twice daily. Follow-up visits monitored bone healing, alignment, and limb length. Results: The 9 cm defect was successfully reconstructed, with complete bone healing at the distraction site. Complete consolidation was confirmed at 18 months. The transport nail was removed at two years, and no further revisions were necessary. At two-year follow-up, the patient reported minimal pain on the Visual Analog Scale 1/10, and no recurrence of the tumor was noted. Conclusions: The use of IMBTN for large bone defect reconstruction following tumor resection in pediatric patients is a safe and effective technique. It enables stable bone transport while preserving alignment, maintaining limb length, and is less invasive than traditional reconstructive approaches. Full article
(This article belongs to the Section Pediatric Orthopedics & Sports Medicine)
Show Figures

Figure 1

16 pages, 1268 KB  
Article
A Community Benchmark for the Automated Segmentation of Pediatric Neuroblastoma on Multi-Modal MRI: Design and Results of the SPPIN Challenge at MICCAI 2023
by Myrthe A. D. Buser, Dominique C. Simons, Matthijs Fitski, Marc H. W. A. Wijnen, Annemieke S. Littooij, Annemiek H. ter Brugge, Iris N. Vos, Markus H. A. Janse, Mathijs de Boer, Rens ter Maat, Junya Sato, Shoji Kido, Satoshi Kondo, Satoshi Kasai, Marek Wodzinski, Henning Müller, Jin Ye, Junjun He, Yannick Kirchhoff, Maximilian R. Rokkus, Gao Haokai, Matías Fernández-Patón, Diana Veiga-Canuto, David G. Ellis, Michele Aizenberg, Bas H. M. van der Velden, Hugo Kuijf, Alberto de Luca and Alida F. W. van der Steegadd Show full author list remove Hide full author list
Bioengineering 2025, 12(11), 1157; https://doi.org/10.3390/bioengineering12111157 - 26 Oct 2025
Viewed by 863
Abstract
Surgery plays a key role in treating neuroblastoma. To assist surgical planning, anatomical 3D models derived from the segmentation of anatomical structures on MRI scans are often used. Automation using deep learning can make segmentations less time-consuming and more reliable. We organized the [...] Read more.
Surgery plays a key role in treating neuroblastoma. To assist surgical planning, anatomical 3D models derived from the segmentation of anatomical structures on MRI scans are often used. Automation using deep learning can make segmentations less time-consuming and more reliable. We organized the Surgical Planning in PedIatric Neuroblastoma (SPPIN) challenge, to stimulate developments and benchmarking of automatic segmentation of neuroblastoma on MRI. SPPIN is the first segmentation challenge in extracranial pediatric oncology. Nine teams provided a valid submission. Evaluation was based on the Dice similarity coefficient (Dice score), the 95th percentile of the Hausdorff distance (HD95), and the volumetric similarity (VS). A combination of these scores determined the ranking of the teams. The spread in the median evaluation scores per team was large (Dice: 0.21–0.82; HD95: 63.31–7.69; VS: 0.31–0.91). The top-performing team achieved a median Dice score of 0.82 (with an HD95 of 7.69 mm and a VS of 0.91) using a large, pre-trained model. However, in the pre-operative segmentations, significantly lower evaluation scores were observed. Our results indicate that pre-training might be useful in small, pediatric datasets. Although the general results of the winning team were high, they were insufficient to use for surgical planning in small, pre-operative tumors. Full article
(This article belongs to the Special Issue Machine Learning and Artificial Intelligence in Pediatric Healthcare)
Show Figures

Figure 1

13 pages, 339 KB  
Conference Report
Advancing Preventive Medicine: Highlights from the First International Congress of Preventive Medicine
by Roxana-Elena Bohîlțea, Bianca Tache, Lavinia Găină, Mădălina Mitroiu, Bianca Margareta Salmen, Ioniță Ducu and Cristiana-Elena Durdu
Rom. J. Prev. Med. 2025, 3(1), 3; https://doi.org/10.3390/rjpm3010003 - 21 Oct 2025
Viewed by 525
Abstract
This article presents the report of the First International Congress of Preventive Medicine, organized by the Romanian Society of Preventive Medicine (SRMP) in March 2025, in Bucharest, Romania. The congress featured 11 discussion panels and workshops, bringing together over 85 experts from a [...] Read more.
This article presents the report of the First International Congress of Preventive Medicine, organized by the Romanian Society of Preventive Medicine (SRMP) in March 2025, in Bucharest, Romania. The congress featured 11 discussion panels and workshops, bringing together over 85 experts from a wide range of medical disciplines, including oncology, vaccination, cardiology, endocrinology, gynecology, gastroenterology, surgery, family medicine, physical therapy, pulmonology, epidemiology, pediatrics, dentistry, pathology, ENT, genetics, pediatric cardiology, psychiatry, dermatology, plastic surgery, urology, infectious diseases, regenerative medicine, and other key stakeholders in preventive healthcare. The event served as a comprehensive platform for addressing critical public health challenges, with a focus on cancer prevention, anti-aging, oral health, genetics in preventive medicine, preventive cardiology and neurology, the correlation between craniofacial dysfunctions and posture, vaccination strategies, management of congenital malformations, neonatal screening, and the prevention of lifestyle-related diseases such as obesity and tobacco addiction. Furthermore, the congress highlighted the importance of interdisciplinary collaboration and evidence-based interventions in improving population health outcomes. It emphasized the urgent need for coordinated actions to address preventable diseases both at the national and international levels. Full article
12 pages, 1534 KB  
Article
Evaluation of UNeXt for Automatic Bone Surface Segmentation on Ultrasound Imaging in Image-Guided Pediatric Surgery
by Jasper M. van der Zee, Aimon M. Rahman, Kevin Klein Gunnewiek, Marijn A. J. Hiep, Matthijs Fitski, Ilker Hacihaliloglu, Ahmed Z. Alsinan, Vishal M. Patel, Annemieke S. Littooij and Alida F. W. van der Steeg
Bioengineering 2025, 12(10), 1008; https://doi.org/10.3390/bioengineering12101008 - 23 Sep 2025
Viewed by 766
Abstract
Automatic bone surface segmentation represents an advanced alternative for conventional patient registration methods in surgical navigation technologies. In pediatrics, such technologies require tailored approaches to ensure optimal performance—specifically in patients under the age of ten, whose immature bones have less distinct bone characteristics. [...] Read more.
Automatic bone surface segmentation represents an advanced alternative for conventional patient registration methods in surgical navigation technologies. In pediatrics, such technologies require tailored approaches to ensure optimal performance—specifically in patients under the age of ten, whose immature bones have less distinct bone characteristics. In this study, we developed a segmentation model tailored for pediatric patients. We captured 4309 ultrasound images from the bones in the extremities, pelvis and thorax of 16 pediatric patients. The dataset was manually annotated by a technical physician and sample-wise validated by a pediatric radiologist. A UNeXt deep learning model was trained for automatic segmentation. The segmentation performance was evaluated using the mean centerline Dice score and the mean surface distance. A mean centerline Dice score of 0.85 (SD: 0.13) and a mean surface distance of 0.78 mm (SD: 1.15 mm) were achieved. No important differences in performance were observed for patients younger than the age of ten compared to older patients. Our results demonstrate that the segmentation model detects the bone surface with sufficient accuracy, enabling precise and effective patient registration. The model performs sufficiently across different pediatric age groups, making it a viable tool for integration into ultrasound-based patient registration in image-guided pediatric surgery. Full article
(This article belongs to the Special Issue Machine Learning and Artificial Intelligence in Pediatric Healthcare)
Show Figures

Figure 1

12 pages, 836 KB  
Systematic Review
Pediatric Spinal Solitary Fibrous Tumor: A Systematic Review of a Rare Condition
by Andrea Trezza, Chiara B. Rui, Stefano Chiaravalli, Veronica Biassoni, Elisabetta Schiavello, Sabina Vennarini, Ester Orlandi, Giorgio G. Carrabba, Maura Massimino and Carlo G. Giussani
Children 2025, 12(9), 1214; https://doi.org/10.3390/children12091214 - 10 Sep 2025
Viewed by 881
Abstract
Background: Spinal solitary fibrous tumors (SFTs) are a rare oncological entity, almost anecdotal in the pediatric population. They have a high relapse rate and represent an ongoing oncological challenge. Methods: In this article, we conducted a systematic review starting from a case report [...] Read more.
Background: Spinal solitary fibrous tumors (SFTs) are a rare oncological entity, almost anecdotal in the pediatric population. They have a high relapse rate and represent an ongoing oncological challenge. Methods: In this article, we conducted a systematic review starting from a case report to highlight the current state of the art in managing these tumors. Results: Spinal solitary fibrous tumors (SFTs) are rare, slow-growing neoplasms that can be either intra- or extramedullary. Only a limited number of studies focus on primary pediatric spinal cord localization. Five pediatric cases of spinal SFT have been documented in the literature. On MRI, they typically present as highly vascularized, contrast-enhancing masses. Histologically, they are composed of spindle-shaped cells within a collagenous stroma featuring staghorn-shaped blood vessels. More aggressive subtypes, such as dedifferentiated SFTs, resemble high-grade sarcomas. The NAB2–STAT6 fusion is a key marker, driving EGFR signaling, collagen production, and fibrosis. Additional diagnostic markers include CD34, CD99, and Bcl-2. Surgical resection remains the primary treatment. In metastatic cases, chemotherapy—mainly with anthracyclines, dacarbazine, or temozolomide—is employed, although no standardized pediatric protocols exist. Anti-angiogenic agents, including tyrosine kinase inhibitors, have shown promise. Radiotherapy is used postoperatively for local disease control, but its impact on survival is still under investigation. Conclusions: Surgery remains the cornerstone of treatment, significantly impacting the natural history of the disease and symptom control. While clinical trials exploring radiotherapy and chemotherapy are ongoing in adults, no specific treatment protocol has been established for pediatric patients. Full article
(This article belongs to the Section Pediatric Hematology & Oncology)
Show Figures

Figure 1

21 pages, 1337 KB  
Review
Clinical Impact of Patient-Specific 3D Models in Neonatal Surgery: A Case-Based Review of Applications and Future Directions
by Oscar Girón-Vallejo, Bernardo Garcia-Nuñez, Isidoro Narbona-Arias, Alexander Siles-Hinojosa, Francisco Javier Murcia-Pascual, Moutasem Azzubi, Ignacio Gorriti, Dario Garcia-Calderon, Antonio Piñero-Madrona and Lucas Krauel
Children 2025, 12(9), 1202; https://doi.org/10.3390/children12091202 - 9 Sep 2025
Viewed by 1454
Abstract
Three-dimensional (3D) modeling and printing technologies are increasingly used in pediatric surgery, offering improved anatomical visualization, surgical planning, and personalized approaches to complex conditions. Compared to standard imaging, patient-specific 3D models—virtual or printed—provide a more intuitive spatial understanding of congenital anomalies, tumors, and [...] Read more.
Three-dimensional (3D) modeling and printing technologies are increasingly used in pediatric surgery, offering improved anatomical visualization, surgical planning, and personalized approaches to complex conditions. Compared to standard imaging, patient-specific 3D models—virtual or printed—provide a more intuitive spatial understanding of congenital anomalies, tumors, and vascular anomalies. This review compiles evidence from pediatric surgical fields including oncology, abdominal, and thoracic surgery, highlighting the clinical relevance of 3D applications. The technological workflow—from image segmentation to computer-aided design (CAD) modeling and multimaterial printing—is described, emphasizing accuracy, reproducibility, and integration into hospital systems. Several clinical cases are presented: neuroblastoma, cloacal malformation, conjoined twins, and two cases of congenital diaphragmatic hernia (one with congenital pulmonary airway malformation, CPAM). In each, 3D modeling enhanced anatomical clarity, increased surgeon confidence, and supported safer intraoperative decision-making. Models also improved communication with families and enabled effective multidisciplinary planning. Despite these advantages, challenges remain, such as production time, cost variability, and lack of standardization. Future directions include artificial intelligence-based automation, expanded use of virtual and mixed reality, and prospective validation studies in pediatric cohorts. Overall, 3D modeling represents a significant advance in pediatric precision surgery, with growing evidence supporting its safety, clinical utility, and educational value. Full article
(This article belongs to the Section Pediatric Surgery)
Show Figures

Figure 1

10 pages, 705 KB  
Article
Introducing Holographic Surgical Navigation in Pediatric Wilms’ Tumor Patients: A Feasibility Study During Total Nephrectomy
by Nick T. de Groot, Jasper M. van der Zee, Guus M. J. Bökkerink, Annemieke S. Littooij, Caroline C. C. Hulsker, Cecilia E. J. Terwisscha van Scheltinga, Cornelis P. van de Ven, Ruud C. Wortel, Aart J. Klijn, Marc H. W. A. Wijnen, Matthijs Fitski and Alida F. W. van der Steeg
Bioengineering 2025, 12(8), 896; https://doi.org/10.3390/bioengineering12080896 - 21 Aug 2025
Viewed by 1074
Abstract
Wilms’ tumor is a common pediatric renal malignancy. In selected cases, nephron-sparing surgery (NSS) may be employed as part of the surgical approach. To prevent positive margins, optimal understanding of the tumor–kidney edge is essential. Augmented reality (AR) enables intraoperative visualization of patient-specific [...] Read more.
Wilms’ tumor is a common pediatric renal malignancy. In selected cases, nephron-sparing surgery (NSS) may be employed as part of the surgical approach. To prevent positive margins, optimal understanding of the tumor–kidney edge is essential. Augmented reality (AR) enables intraoperative visualization of patient-specific three-dimensional (3D) holograms. In this study, we aim to validate the clinical feasibility of a holographic landmark-based registration system in pediatric patients planned for a total nephrectomy (TN), to ensure that the holographic visualization will not influence surgical decision making. In a single-center prospective study, ten pediatric patients undergoing TN were included. Patient-specific 3D holograms were created from preoperative MRI, and intraoperatively landmark-based registration was performed using the HoloLens 2. Clinical feasibility was conducted using accuracy measurements, the System Usability Scale (SUS), and a self-developed questionnaire. Three out of ten patients had a successful registration with a median measured accuracy of 7.0 mm (Interquartile Range (IQR) 6–13.5) and a median SUS score of 75 (IQR 65–77.5). Surgeons reported improved depth perception and anatomical understanding. However, in seven out of ten patients, registration failed due to multiple reasons. The most important factors were large tumor volumes obstructing landmark placement and insufficient spatial distributions of the landmarks, causing rotational misalignment. Although AR showed potential in improving the depth perception and relation in anatomical structures, the landmark-based registration with the HoloLens 2 was currently deemed insufficient for clinical implementation in pediatric abdominal surgery. Full article
Show Figures

Graphical abstract

32 pages, 3916 KB  
Review
Advances in Fluorescent Adjuncts in Pediatric Surgery: A Comprehensive Review of Applications of Indocyanine Green Across Surgical Specialties
by Nicholas Jose Iglesias, Andres Mauricio Corona, Akshat Sanan, Eduardo Alfonso Perez and Carlos Theodore Huerta
Children 2025, 12(8), 1048; https://doi.org/10.3390/children12081048 - 9 Aug 2025
Cited by 1 | Viewed by 1837
Abstract
Introduction: Indocyanine green (ICG) dye is used in a myriad of medical and surgical applications and complications related to its use are exceedingly rare. ICG fluorescence can be detected in unique locations depending on route, dosage, and timing. Although ICG fluorescence is used [...] Read more.
Introduction: Indocyanine green (ICG) dye is used in a myriad of medical and surgical applications and complications related to its use are exceedingly rare. ICG fluorescence can be detected in unique locations depending on route, dosage, and timing. Although ICG fluorescence is used more commonly in the adult population, its adoption in pediatric surgery has been increasing more frequently. This comprehensive review aims to elucidate the myriad of ICG surgical applications within the pediatric population and important clinical considerations for administration. Methods: PubMed was queried for pediatric surgical applications of indocyanine green. Surgical application, route of administration, dosage, ICG-related complications, and surgical impact of ICG fluorescence were analyzed. Results: In the pediatric population, ICG is used in a multitude of hepatobiliary, gastrointestinal, cardiothoracic, lymphatic, urologic, gynecologic, plastic, ENT, ophthalmologic, and neurosurgical procedures. Applications range from oncologic resections to benign and congenital reconstructions. Administration can be intravenous, intralesional, subcutaneous, inhaled, or enteric. Timing, dosage, and route of administration are dependent on the pathology of interest. Conclusions: ICG is a safe and useful adjunct for a wide variety of pediatric surgical applications. This comprehensive review aims to highlight administration considerations and the efficacy of ICG fluorescence in various surgical subspecialty pathologies. Future studies should continue to focus on how to integrate pathology-specific ICG fluorescence into intraoperative decision-making. Full article
Show Figures

Figure 1

28 pages, 1032 KB  
Systematic Review
Oral and Dental Sequelae After Oncological Treatment in Children: A Systematic Review
by Lidia Torrecillas-Quiles, Inmaculada Gómez-Ríos, Irene Jiménez-García, Ildefonso Serrano-Belmonte, Antonio José Ortiz-Ruiz and Clara Serna-Muñoz
J. Clin. Med. 2025, 14(15), 5479; https://doi.org/10.3390/jcm14155479 - 4 Aug 2025
Viewed by 1265
Abstract
Background: Childhood cancer is considered one of the main causes of mortality and morbidity worldwide. There is strong evidence of the oral toxic effects of oncologic treatments, but their incidence is difficult to determine. The novel therapeutic strategies in Pediatric Oncology have [...] Read more.
Background: Childhood cancer is considered one of the main causes of mortality and morbidity worldwide. There is strong evidence of the oral toxic effects of oncologic treatments, but their incidence is difficult to determine. The novel therapeutic strategies in Pediatric Oncology have led to increased survival in this population, resulting in an increased incidence of long-term effects, which diminish the patient’s quality of life. Methods: The search for articles started on 5 November 2024 and ended on 5 December 2024. Following the PRISMA Statement, a total of 1266 articles were obtained, from which 13 were selected for review. All articles were considered to be of high quality. The antineoplastic treatments used in them were chemotherapy, radiotherapy, surgery and immune therapy. Results: Most articles were cohorts and case controls. Only one case report was obtained. The results revealed that the most prevalent sequelae in the pediatric population after antineoplastic treatment were enamel alterations, microdontia, dental caries, periodontal disease, gingivitis, hyposalivation, alteration of the oral microbiome, alteration of mandibular bone density and malocclusion. The lesions are different depending on the therapy used. Conclusions: Oncologic treatments in children with cancer cause multiple oral sequelae such as microdontia, dental caries, enamel alterations, salivary gland alterations, mucositis and root resorption. It cannot be concluded which therapy has the most detrimental effect as each has a different mechanism of action in the oral cavity. Full article
(This article belongs to the Section Dentistry, Oral Surgery and Oral Medicine)
Show Figures

Figure 1

17 pages, 451 KB  
Article
Primary and Recurrent Erysipelas—Epidemiological Patterns in a Single-Centre Retrospective Analysis
by Marta Matych, Agata Ciosek, Karol Miler, Marcin Noweta, Karolina Brzezińska, Małgorzata Sarzała, Joanna Narbutt and Aleksandra Lesiak
J. Clin. Med. 2025, 14(15), 5299; https://doi.org/10.3390/jcm14155299 - 27 Jul 2025
Cited by 1 | Viewed by 2304
Abstract
Background/Objectives: Erysipelas is an acute bacterial skin infection, particularly affecting the lower limbs, with a tendency to recur. Despite its clinical importance, data on demographic and epidemiological risk factors, as well as factors influencing hospitalization, remain limited. This study aimed to analyze the [...] Read more.
Background/Objectives: Erysipelas is an acute bacterial skin infection, particularly affecting the lower limbs, with a tendency to recur. Despite its clinical importance, data on demographic and epidemiological risk factors, as well as factors influencing hospitalization, remain limited. This study aimed to analyze the epidemiological and clinical characteristics of patients hospitalized with primary and recurrent erysipelas, focusing on risk factors contributing to disease onset, recurrence, and prolonged hospitalization. Methods: A retrospective single-center analysis was conducted on 239 patients hospitalized for erysipelas at the Department of Dermatology, Pediatric Dermatology, and Oncology at the Medical University of Lodz. Data collected included demographics, lesion location, laboratory markers, comorbidities, and hospitalization outcomes. Statistical analyses were performed to assess associations between risk factors, disease recurrence, and hospitalization duration. Results: The majority of erysipelas cases (85.4%) involved the lower limbs, with a higher prevalence in men. Upper extremities were mostly affected in women, especially those who had undergone breast cancer surgery. Recurrent erysipelas accounted for 75.7% of cases. Most patients (89.1%) had at least one comorbidity, with hypertension, diabetes type 2 (DM2), and obesity being the most common. Higher white blood cell (WBC) count, obesity, atrial fibrillation (AF), and the need for enoxaparin administration were independently associated with prolonged hospitalization. Dyslipidemia was significantly associated with erysipelas recurrence (p < 0.05). Conclusions: Both primary and recurrent erysipelas are associated with specific risk factors. Recurrent erysipelas may be linked to components of metabolic syndrome, particularly obesity and dyslipidemia, which emerged as a significant risk factor in this study. Hospitalization length may be prolonged by inflammation markers (WBC and CRP) and comorbidities such as AF, obesity, or the need for enoxaparin in patients with elevated thrombosis risk. Further multicenter studies with larger cohorts are needed to assess the impact of demographics, biomarkers, metabolic disorders, and treatment strategies on erysipelas recurrence and outcomes. Awareness of these risk factors is essential for effective prevention, management, and recurrence reduction. Full article
(This article belongs to the Special Issue Clinical Epidemiology of Skin Diseases: 3rd Edition)
Show Figures

Figure 1

12 pages, 221 KB  
Review
Comparative Analysis of 5-ALA and Fluorescent Techniques in High-Grade Glioma Treatment
by José E. Valerio, Guillermo de Jesús Aguirre Vera, Jorge Zumaeta, Noe Santiago Rea, Maria P. Fernandez Gomez, Penelope Mantilla-Farfan, Laurel Valente and Andrés M. Alvarez-Pinzon
Biomedicines 2025, 13(5), 1161; https://doi.org/10.3390/biomedicines13051161 - 10 May 2025
Cited by 6 | Viewed by 3763
Abstract
Background: 5-Aminolevulinic acid (5-ALA) serves as a precursor in the heme biosynthesis pathway, resulting in the selective accumulation of protoporphyrin IX (PpIX) within glioma cells. This property facilitates fluorescence-guided resection (FGR) in high-grade gliomas (HGGs), enhancing surgical precision and oncological results. Nonetheless, its [...] Read more.
Background: 5-Aminolevulinic acid (5-ALA) serves as a precursor in the heme biosynthesis pathway, resulting in the selective accumulation of protoporphyrin IX (PpIX) within glioma cells. This property facilitates fluorescence-guided resection (FGR) in high-grade gliomas (HGGs), enhancing surgical precision and oncological results. Nonetheless, its clinical implementation is restricted by factors such as accessibility, cost, and technical limitations. Methods: A systematic review of PubMed literature (2019–2024) was conducted to assess the efficacy of 5-ALA in HGG surgery compared to conventional white light microscopy. Studies focusing on non-neurosurgical applications, pediatric populations, and non-HGG indications were excluded. Results: Nineteen articles met the criteria. Recent studies indicate that 5-ALA-guided resection significantly enhances gross total resection (GTR) rates compared to white light surgery (75.4% vs. 54.3%, p < 0.001). Patients receiving 5-ALA-assisted resection exhibit enhanced progression-free survival (PFS) at 6 months (median 8.1 months compared to 5.4 months, p = 0.002) and overall survival (OS) (median 15.2 months versus 12.3 months, p = 0.008). The necessity for specialized neurosurgical microscopes equipped with blue light filters restricts accessibility, especially in low-resource environments. Recent advancements in fluorescence-enhancing technologies, particularly loupe-based systems, have demonstrated increases in fluorescence intensity by up to tenfold through direct emission. Sodium fluorescein, originally designed for ophthalmological use, has been adapted for enhancing contrast in intracranial tumors; however, its non-specific binding to serum albumin restricts its accuracy in glioma resection. Conclusions: Recent publications demonstrate that 5-ALA fluorescence-guided surgery significantly improves gross total resection rates and survival outcomes in patients with high-grade gliomas. Although it offers clinical advantages, cost and equipment constraints continue to pose substantial obstacles to broad implementation. Additional research is required to enhance fluorescence-guided techniques and increase accessibility in resource-constrained environments. Full article
(This article belongs to the Special Issue Advanced Cancer Diagnosis and Treatment: Second Edition)
9 pages, 707 KB  
Review
Bringing Clarity to Complex Pediatric Perioperative Care: Development of a Novel Pathway to Support Goal-Directed, Patient-Centered Care
by Tiffany Lin, Neveada Raventhiranathan, Myra Ahmad, Andrew L. Feit, Allison E. Hotze, Grace L. Ker, Robert P. Moore and Sergio D. Bergese
Cancers 2025, 17(9), 1452; https://doi.org/10.3390/cancers17091452 - 26 Apr 2025
Viewed by 1077
Abstract
Background: Advances in pediatric perioperative care have supported the safe provision of increasingly complex surgical care to patients with complicated diseases and abnormal physiology. This has led to the possible misalignment of the impact of potential surgical outcomes and goals of care. Methods [...] Read more.
Background: Advances in pediatric perioperative care have supported the safe provision of increasingly complex surgical care to patients with complicated diseases and abnormal physiology. This has led to the possible misalignment of the impact of potential surgical outcomes and goals of care. Methods / Objectives: We describe the development of a novel process that leverages the combination of longitudinal engagement of pediatric palliative care consultants and multidisciplinary care planning to ensure that perioperative care remains patient-centered and goal-directed for all children, especially children with complex baseline disease. Conclusions: Our novel process should be considered a solution to a crictial gap in pediatric perioperative care. Full article
(This article belongs to the Special Issue Quality of Life and Management of Pediatric Cancer)
Show Figures

Figure 1

14 pages, 488 KB  
Review
Tumor-Treating Fields and Related Treatments in the Management of Pediatric Brain Tumors
by Julien Rousseau, Sarah Lapointe and David Roberge
Curr. Oncol. 2025, 32(4), 185; https://doi.org/10.3390/curroncol32040185 - 21 Mar 2025
Cited by 3 | Viewed by 5807
Abstract
Pediatric primary brain tumors pose significant therapeutic challenges due to their aggressive nature and the critical environment of the developing brain. Traditional modalities like surgery, chemotherapy, and radiotherapy often achieve limited success in high-grade gliomas and embryonal tumors. Tumor-treating fields (TTfields), a non-invasive [...] Read more.
Pediatric primary brain tumors pose significant therapeutic challenges due to their aggressive nature and the critical environment of the developing brain. Traditional modalities like surgery, chemotherapy, and radiotherapy often achieve limited success in high-grade gliomas and embryonal tumors. Tumor-treating fields (TTfields), a non-invasive therapy delivering alternating electric fields, has emerged as a promising approach to disrupt tumor cell division through mechanisms such as mitotic disruption, DNA damage, and tumor microenvironment modulation. TTfields are thought to selectively target dividing tumor cells while sparing healthy, non-dividing cells. While TTfields therapy is FDA-approved for the management of glioblastoma and other cancers, its application in pediatric brain tumors remains under investigation. Preclinical studies reveal its potential in medulloblastoma and ependymoma models, while observational data suggest its safety and feasibility in children. Current research focuses on optimizing TTfields’ efficacy through advanced technologies, including high-intensity arrays, skull remodeling, and integration with immunotherapies such as immune checkpoint inhibitors. Innovative device-based therapies like magnetic field-based technologies further expand the treatment possibilities. As clinical trials progress, TTfields and related modalities offer hope for addressing unmet needs in pediatric neuro-oncology, especially for tumors in challenging locations. Future directions include biomarker identification, tailored protocols, and novel therapeutic combinations to enhance outcomes in pediatric brain tumor management. Full article
(This article belongs to the Special Issue Clinical Outcomes and New Treatments in Pediatric Brain Tumors)
Show Figures

Figure 1

11 pages, 1976 KB  
Article
Renal Autotransplantation for Resection of Bilateral Nephroblastoma and High-Risk Neuroblastoma in Children
by Benjamin F. B. Mayer, Matthias C. Schunn, Cristian Urla, Lea Weinpert, Ilias Tsiflikas, Martin Ebinger, Frank Fideler, Felix Neunhoeffer, Marcus Weitz, Silvio Nadalin, Steven W. Warmann and Jörg Fuchs
Cancers 2025, 17(6), 989; https://doi.org/10.3390/cancers17060989 - 15 Mar 2025
Viewed by 1304
Abstract
Background/Objectives: In bilateral nephroblastoma and high-risk neuroblastoma in children with extensive tumor involvement of the renal vessels or pedicle, complete tumor resection with preservation of healthy renal tissue is not feasible with in situ nephron-sparing surgery or vascular replacement. The aim of this [...] Read more.
Background/Objectives: In bilateral nephroblastoma and high-risk neuroblastoma in children with extensive tumor involvement of the renal vessels or pedicle, complete tumor resection with preservation of healthy renal tissue is not feasible with in situ nephron-sparing surgery or vascular replacement. The aim of this study was to present our experience with ante situ tumor resection and renal autotransplantation (RATX) in these children. Methods: A retrospective study of children with bilateral nephroblastoma and high-risk neuroblastoma who underwent tumor resection and RATX at an international referral center for pediatric surgical oncology between 2006 and 2024 was performed. RATX was performed by transection of renal vessels, ante situ mobilization, and perfusion of the kidney with Bretschneider’s solution. Tumor resection was performed on a bloodless kidney under hypothermia. Results: Ante situ tumor resection and RATX were performed at a median age of 36 months (range 13–62) in 4 children with bilateral nephroblastoma and 4 children with high-risk neuroblastoma. Complete tumor resection was achieved in all patients. One patient with neuroblastoma died of sepsis after 14 days. The 7 surviving patients showed no evidence of disease and normal to slightly decreased glomerulofiltration rates at a median follow-up of 20 months (range 3–155). Limitations include the retrospective design, small sample size, and heterogeneity of the study population due to very rare indication. Conclusions: Ante situ tumor resection and RATX is a feasible surgical approach for children with multifocal bilateral nephroblastoma or high-risk neuroblastoma who are ineligible for in situ nephron-sparing surgery or vascular reconstruction. Full article
Show Figures

Figure 1

34 pages, 1418 KB  
Review
Advances in the Repurposing and Blood–Brain Barrier Penetrance of Drugs in Pediatric Brain Tumors
by Julian S. Rechberger, Stephanie A. Toll, Subhasree Biswas, Hyo Bin You, William D. Chow, Nicholas Kendall, Pournima Navalkele and Soumen Khatua
Cancers 2025, 17(3), 439; https://doi.org/10.3390/cancers17030439 - 27 Jan 2025
Cited by 3 | Viewed by 5894
Abstract
Central nervous system (CNS) tumors are the leading cause of cancer-related mortality in children, with prognosis remaining dismal for some of these malignancies. Though the past two decades have seen advancements in surgery, radiation, and targeted therapy, major unresolved hurdles continue to undermine [...] Read more.
Central nervous system (CNS) tumors are the leading cause of cancer-related mortality in children, with prognosis remaining dismal for some of these malignancies. Though the past two decades have seen advancements in surgery, radiation, and targeted therapy, major unresolved hurdles continue to undermine the therapeutic efficacy. These include challenges in suboptimal drug delivery through the blood–brain barrier (BBB), marked intra-tumoral molecular heterogeneity, and the elusive tumor microenvironment. Drug repurposing or re-tasking FDA-approved drugs with evidence of penetration into the CNS, using newer methods of intracranial drug delivery facilitating optimal drug exposure, has been an area of intense research. This could be a valuable tool, as most of these agents have already gone through the lengthy process of drug development and the evaluation of safety risks and the optimal pharmacokinetic profile. They can now be used and tested in clinics with an accelerated and different approach. Conclusions: The next-generation therapeutic strategy should prioritize repurposing oncologic and non-oncologic drugs that have been used for other indication, and have demonstrated robust preclinical activity against pediatric brain tumors. In combination with novel drug delivery techniques, these drugs could hold significant therapeutic promise in pediatric neurooncology. Full article
(This article belongs to the Special Issue Advances in Drug Repurposing to Overcome Cancers)
Show Figures

Figure 1

Back to TopTop