Sign in to use this feature.

Years

Between: -

Subjects

remove_circle_outline
remove_circle_outline
remove_circle_outline
remove_circle_outline
remove_circle_outline
remove_circle_outline
remove_circle_outline
remove_circle_outline
remove_circle_outline

Journals

remove_circle_outline
remove_circle_outline
remove_circle_outline
remove_circle_outline
remove_circle_outline
remove_circle_outline
remove_circle_outline
remove_circle_outline
remove_circle_outline
remove_circle_outline
remove_circle_outline
remove_circle_outline
remove_circle_outline
remove_circle_outline
remove_circle_outline
remove_circle_outline
remove_circle_outline
remove_circle_outline
remove_circle_outline

Article Types

Countries / Regions

remove_circle_outline
remove_circle_outline
remove_circle_outline
remove_circle_outline
remove_circle_outline

Search Results (2,055)

Search Parameters:
Keywords = oxidative folding

Order results
Result details
Results per page
Select all
Export citation of selected articles as:
18 pages, 3985 KB  
Article
Green Coffee Extract Mitigates Fipronil-Induced Endocrine Disruption, Metabolic Disturbances and Oxidative Stress in Male Albino Rats
by Alaa Hlail Dahham, Mohamed Korish, Samir Mohamed El Rayes, Nadia A. El-Fahla, Ibrahim E. Helal and Heba M. A. Abdelrazek
Toxics 2026, 14(5), 383; https://doi.org/10.3390/toxics14050383 (registering DOI) - 30 Apr 2026
Abstract
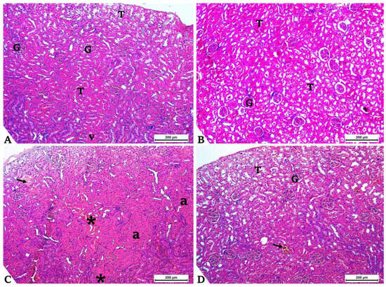
This study evaluated the protective effects of green coffee (Coffea arabica L.) extract (GCE) against metabolic and endocrine disturbances induced by fipronil (FIP) in male rats. Animals were randomly allocated into four groups (n = 6): control, GCE (100 mg/kg), FIP [...] Read more.
This study evaluated the protective effects of green coffee (Coffea arabica L.) extract (GCE) against metabolic and endocrine disturbances induced by fipronil (FIP) in male rats. Animals were randomly allocated into four groups (n = 6): control, GCE (100 mg/kg), FIP (4.85 mg/kg), and combined FIP + GCE, and treated orally for 90 days. FIP exposure significantly impaired glucose homeostasis, as indicated by a 14.8% increase in the oral glucose tolerance test (OGTT) response and a 2.4-fold increase in the homeostatic model assessment of insulin resistance (HOMA-IR). It also disrupted lipid metabolism, with marked elevations in triglycerides (74.10%) and total cholesterol (57.55%). Endocrine imbalance was evident, including increased resistin levels (113.86%) and reduced triiodothyronine (T3; −37.5%), adiponectin (−42.73%), and high-density lipoprotein (HDL; −9.31%). Oxidative stress and inflammation were significantly enhanced, as demonstrated by elevated malondialdehyde (MDA; +93.56%) and pro-inflammatory cytokines (IL-1β: +246.56%; IL-6: +275%), alongside a reduction in total antioxidant capacity (TAC; −45.24%). Additionally, serum albumin levels decreased markedly (−54%). Co-administration of GCE significantly improved metabolic, hormonal, and inflammatory parameters, including insulin resistance (HOMA-IR). Histopathological analysis further confirmed its protective effects on hepatic and renal tissues. Overall, GCE mitigates FIP-induced metabolic and endocrine dysfunction, likely through its antioxidant and anti-inflammatory properties. Full article
Show Figures

Graphical abstract

22 pages, 2963 KB  
Article
Effects of Microalgae-Based Nutraceuticals on Muscle Composition and Intestinal Function in Juvenile Gilthead Seabream Fed Plant Protein-Based Diets
by Alba Galafat, Isabel del Carmen Ruiz-Rodríguez, Alejandro Morcillo-Guillén, Anyell Caderno, Milagrosa Oliva, María Isabel Sáez, Antonio Jesús Vizcaíno, Tomás F. Martínez, Juan Antonio Martos-Sitcha and Francisco Javier Alarcón-López
Animals 2026, 16(9), 1350; https://doi.org/10.3390/ani16091350 - 28 Apr 2026
Abstract
This study evaluated the effects of dietary fortification of high plant protein aquafeeds with two microalgae-based functional ingredients on growth, muscle composition, oxidative status, digestive function, and intestinal morphology in juvenile Sparus aurata with an average body weight of 28.4 g. Four diets [...] Read more.
This study evaluated the effects of dietary fortification of high plant protein aquafeeds with two microalgae-based functional ingredients on growth, muscle composition, oxidative status, digestive function, and intestinal morphology in juvenile Sparus aurata with an average body weight of 28.4 g. Four diets were tested: a control with high fishmeal and fish oil (CTF), a plant-based diet containing 5% fishmeal and 5% fish oil (CTV), and two CTV diets supplemented with 1% LB-IMMUNOboost (IB10) or 1% LB-LIVERprotect (LP10). Fish fed CTV and LP10 showed reduced growth compared to CTF, while IB10 partially mitigated these effects. High plant dietary inclusion reduced muscle protein and increased lipid content, except in IB10-fed fish. Reduction in fishmeal and fish oil decreased muscle saturated fatty acids, EPA, and DHA. Despite similar HUFA levels in the plant-based diets, IB10 and LP10 significantly reduced lipid peroxidation, indicating a direct antioxidant effect of the functional ingredients. Digestive enzyme activities were impaired in CTV-fed fish but partially recovered in IB10 and LP10, particularly IB10. Histology revealed shorter intestinal folds and more goblet cells in high plant protein diets, especially LP10, potentially impairing absorption. Overall, microalgae-based functional ingredients, particularly LB-IMMUNOboost, partially alleviated these adverse effects, supporting their use in more sustainable aquafeed formulations. Full article
(This article belongs to the Section Aquatic Animals)
19 pages, 15794 KB  
Article
Enhanced Ethanol Sensing Performance and Humidity Tolerance of Ce/ZnO-Incorporated In2O3 Nanocubes
by Yijun Yang, Dong Geon Jung and Daewoong Jung
Micromachines 2026, 17(5), 539; https://doi.org/10.3390/mi17050539 - 28 Apr 2026
Abstract
This work presents the design and evaluation of cerium and zinc oxide-incorporated indium oxide (Ce/ZnO-In2O3) nanocube composites synthesized via a hydrothermal process for advanced ethanol gas sensing. The incorporation of Ce and ZnO effectively modified the surface chemistry and [...] Read more.
This work presents the design and evaluation of cerium and zinc oxide-incorporated indium oxide (Ce/ZnO-In2O3) nanocube composites synthesized via a hydrothermal process for advanced ethanol gas sensing. The incorporation of Ce and ZnO effectively modified the surface chemistry and electronic structure of In2O3 without causing significant morphological degradation. Compared with pristine In2O3, the Ce/ZnO-In2O3 sensor exhibited a significantly enhanced response of 33.2 toward 100 ppm ethanol at 300 °C, corresponding to an 8.7-fold improvement, along with a low detection limit of 0.8 ppm. In addition, the composite sensor demonstrated stable and reversible sensing behavior, excellent repeatability over 100 cycles, and long-term operational stability. Notably, improved humidity tolerance was achieved, with approximately 77% of the initial response retained at 80% relative humidity. The enhanced sensing performance is attributed to the combined effects of heterojunction formation between ZnO and In2O3 and Ce-induced lattice distortion, which promote oxygen adsorption and facilitate charge transfer during gas reactions. Principal component analysis (PCA) further confirmed the improved discrimination of ethanol against interfering gases. These results underscore the synergistic effects of Ce and ZnO incorporation in tailoring electronic structures and surface chemistry, thereby emphasizing the potential of this strategy for reliable ethanol detection in environmental and industrial applications. Full article
Show Figures

Figure 1

21 pages, 3938 KB  
Article
Reduction Processes in Thin-Film Vanadium Oxides for Application in Optoelectronic Devices
by Dmitriy P. Sudas, Vasily O. Yapaskurt, Valery A. Luzanov, Galina G. Yakushcheva, Kirill Kuznetsov and Petr I. Kuznetsov
Nanomaterials 2026, 16(9), 528; https://doi.org/10.3390/nano16090528 - 27 Apr 2026
Viewed by 71
Abstract
This article describes a study on the synthesis and annealing processes of thin-film coatings of vanadium oxide on flat, parallel substrates made of quartz glass, sapphire, and silicon, as well as optical fibers using an organometallic precursor, triisopropoxy vanadium (V) oxide. For the [...] Read more.
This article describes a study on the synthesis and annealing processes of thin-film coatings of vanadium oxide on flat, parallel substrates made of quartz glass, sapphire, and silicon, as well as optical fibers using an organometallic precursor, triisopropoxy vanadium (V) oxide. For the first time, optical constants of nanomaterials were estimated in real time during synthesis and subsequent annealed using the lossy-mode resonance effect. The coatings produced in an inert atmosphere after deposition were amorphous, comprising a mixture of VO2, V2O5, V6O13, and V3O5. This method allowed for accurate determination of the threshold temperature for the transformation of oxide mixtures into a monocomponent phase. Optimal conditions for synthesis and annealing were determined for the production of vanadium dioxide (VO2) and pentoxide (V2O5). Morphological changes in coated surfaces were observed as a result of heat treatment. The composition and properties of these samples were studied using optical, terahertz and Raman spectroscopy, as well as temperature-dependent analysis of electrical resistance. The morphology of the coating surface was determined using a scanning electron microscope and an atomic force microscope. The reduction of VOx to VO2 was studied in an atmosphere of hydrogen and argon during annealing after deposition, with its effectiveness being compared. It was shown for the first time that the reduction of higher vanadium oxides is due to the presence of elemental carbon in the volume of the material formed from a metalorganic precursor during growth of vanadium oxide. Coatings obtained by annealing in hydrogen had a smaller hysteresis loop width (~5 °C) during phase transition compared to coatings obtained by argon annealing (~9 °C). Both types of coatings demonstrated a 50–60% increase in transmission at 1 THz frequency and in the IR region, accompanied by a 103–104-fold change in electrical resistance. Full article
(This article belongs to the Section Synthesis, Interfaces and Nanostructures)
Show Figures

Figure 1

25 pages, 4630 KB  
Article
Multi-Omics Integration Identifies a Six-Gene Diagnostic Signature for Ankylosing Spondylitis via Metabolic–Immune Crosstalk
by Xuejian Dan, Xiangyuan Guan, Hangjian Hu, Wei Liu, Zhourui Wu, Xiao Hu, Wei Xu, Yunfei Zhao and Bin Ma
Int. J. Mol. Sci. 2026, 27(9), 3860; https://doi.org/10.3390/ijms27093860 - 27 Apr 2026
Viewed by 93
Abstract
Ankylosing spondylitis (AS) is a chronic immune-mediated inflammatory disease affecting the axial skeleton, characterized by progressive structural damage and functional impairment. Although biologic therapies targeting tumor necrosis factor and interleukin-17 have improved clinical outcomes, a substantial proportion of patients fail to achieve sustained [...] Read more.
Ankylosing spondylitis (AS) is a chronic immune-mediated inflammatory disease affecting the axial skeleton, characterized by progressive structural damage and functional impairment. Although biologic therapies targeting tumor necrosis factor and interleukin-17 have improved clinical outcomes, a substantial proportion of patients fail to achieve sustained disease control. Emerging evidence suggests that metabolic alterations may contribute to AS pathogenesis; however, systematic characterization of metabolism-related biomarkers and their regulatory networks remains limited, and the interplay between metabolic dysfunction and immune dysregulation in AS is poorly understood. Two whole-blood GEO datasets (GSE25101, GSE73754; n = 104) were integrated as the primary analytical cohort. A third dataset (GSE11886, n = 18; monocyte-derived macrophages) was included for exploratory cross-tissue analysis. Differential expression analysis identified 847 DEGs, which were refined to 16 metabolism-related genes through weighted gene co-expression network analysis (WGCNA) and GeneCards database filtering. Eleven machine learning algorithms with 5-fold cross-validation were applied to construct diagnostic models and identify hub genes. Validation analyses included immune cell infiltration estimation using CIBERSORT, metabolic pathway activity assessment via ssGSEA, single-cell transcriptomics from GSE268839, functional enrichment through GSEA/GSVA, and chromosomal localization analysis. A competing endogenous RNA (ceRNA) regulatory network was constructed to map post-transcriptional regulation. Natural compounds from 66 AS-treating traditional Chinese medicines were screened against hub genes using deep learning-based binding prediction. Multiple machine learning algorithms achieved comparable cross-validated performance (CV AUC range 0.741–0.836; top five models: 0.805–0.836) using the six hub genes (MFN2, SLC27A3, RHOB, SMG7, AKR1B1, LCOR) identified through SHAP-based feature importance analysis of the PLS model. Leave-one-dataset-out validation between the two whole-blood cohorts showed that all algorithms exceeded an AUC of 0.77 in Round 1 (validate: GSE73754, n = 72; best AUC 0.861), while Round 2 (validate: GSE25101, n = 32) yielded more modest performance (best AUC, 0.715) reflecting the smaller validation sample. Exploratory application to GSE11886 (macrophage-derived samples) showed near-chance performance, consistent with the tissue-source discrepancy. AS patients exhibited significant downregulation of oxidative phosphorylation, TCA cycle, and glycolysis pathways (p < 0.01), accompanied by elevated glutathione metabolism (p < 0.001). Immune cell deconvolution revealed reduced CD8+ T cell proportions correlating with MFN2 downregulation, and increased neutrophil frequencies correlating with SLC27A3 upregulation. Exploratory single-cell analysis indicated that RHOB expression was relatively enriched in border-associated macrophages and fibroblasts, while AKR1B1 was more prominently expressed in vascular endothelial cells and plasmacytoid dendritic cells. The ceRNA network identified 21 miRNAs and 65 lncRNAs forming 86 regulatory interactions, with four key regulatory axes (SATB1-AS1/miR-539-5p/LCOR, FAM95B1/miR-223-3p/RHOB, LINC01106/miR-106a-5p/MFN2, AATBC/miR-185-5p/SMG7) predicted to regulate hub gene expression. Compound screening identified betaine, pyruvic acid, citric acid, etc., as top-ranking candidates, with MFN2 showing the highest binding capacity among hub genes. This study provides an integrative framework linking metabolic reprogramming with immune dysfunction in AS. The six-gene diagnostic signature showed preliminary discriminatory ability in the available datasets, while the ceRNA regulatory network and natural compound screening results prioritize candidate regulatory pathways and compounds for future validation. These findings advance our understanding of AS pathogenesis and may guide future biomarker development and targeted intervention strategies. Full article
(This article belongs to the Section Molecular Pathology, Diagnostics, and Therapeutics)
Show Figures

Figure 1

17 pages, 5265 KB  
Article
Purification, Biochemical Characterization, and Inhibition Studies of Polyphenol Oxidase from Tea (Camellia sinensis L.) Flowers
by Ayşe Türkhan and Elif Duygu Kaya
Foods 2026, 15(9), 1511; https://doi.org/10.3390/foods15091511 - 27 Apr 2026
Viewed by 58
Abstract
Tea (Camellia sinensis L.) flowers have recently gained attention due to their bioactive composition, similar to that of tea leaves. They are used in food and cosmetic applications and show potential for medicinal use. However, catechins in tea flowers are highly susceptible [...] Read more.
Tea (Camellia sinensis L.) flowers have recently gained attention due to their bioactive composition, similar to that of tea leaves. They are used in food and cosmetic applications and show potential for medicinal use. However, catechins in tea flowers are highly susceptible to oxidation by polyphenol oxidase (PPO), leading to enzymatic browning. This process alters the phenolic profile and results in losses in appearance, nutritional value, and overall product quality. In this study, PPO from tea flowers was purified using affinity chromatography with a yield of 11.31% and a 91.90-fold purification. The molecular weight was determined to be approximately 42.67 kDa by SDS–PAGE. Substrate specificity studies revealed the highest activity toward catechin. Optimum pH and temperature were determined to be 5.0 and 40 °C, respectively. Km and Vmax values for catechin were 0.42 mM and 8333.3 EU·mL−1·min−1, respectively. The enzyme showed high stability at pH 5.0–7.0 and remained active for 60 min at 30 °C and 40 °C. L-cysteine was found to be the most effective of the inhibitors studied. These findings contribute to the understanding of the enzymatic browning mechanism of tea flower PPO and provide important data for enzyme control in food, cosmetic, and medical applications. Full article
(This article belongs to the Section Food Nutrition)
Show Figures

Figure 1

15 pages, 984 KB  
Article
Photocatalytic Hydrogen Production Driven by Solar Energy: Performance Under Central European Climatic Conditions
by Wiktoria Kluba, Karol Hauza and Anna Lewandowska-Andralojc
Int. J. Mol. Sci. 2026, 27(9), 3822; https://doi.org/10.3390/ijms27093822 - 25 Apr 2026
Viewed by 109
Abstract
Photocatalytic hydrogen production represents a promising approach for sustainable fuel generation, particularly when driven by solar irradiation. In this study, a photocatalytic system composed of eosin Y, cobalt sulfate, triethanolamine, and graphene oxide was investigated for hydrogen evolution. The optical and structural properties [...] Read more.
Photocatalytic hydrogen production represents a promising approach for sustainable fuel generation, particularly when driven by solar irradiation. In this study, a photocatalytic system composed of eosin Y, cobalt sulfate, triethanolamine, and graphene oxide was investigated for hydrogen evolution. The optical and structural properties of the system components were characterized using UV–Vis spectroscopy, FT-IR spectroscopy, Raman spectroscopy, and atomic force microscopy. Photocatalytic activity was evaluated under both artificial light sources (halogen lamp, xenon lamp, and LED 505 nm) and natural sunlight in order to assess system performance under realistic environmental conditions. The addition of graphene oxide significantly enhanced hydrogen production, resulting in an approximately 4-fold increase compared to the three-component system without graphene oxide. Solar-driven experiments conducted over one year demonstrated efficient hydrogen evolution under a wide range of weather and irradiance conditions. Importantly, based on combined experimental and meteorological data, it is shown that high photocatalytic performance is achievable for a substantial fraction of the year, with approximately 55% of days expected to provide at least 80% of the maximum hydrogen production efficiency under Central European climatic conditions. These findings highlight the strong potential of the investigated four-component system for efficient hydrogen generation using low amounts of catalytic material and without external electrical energy input. Overall, the system shows promising performance for solar-driven hydrogen production under real-world solar irradiation conditions. Full article
(This article belongs to the Section Materials Science)
21 pages, 3217 KB  
Article
Transitioning Deammonification from Sidestream to Main-Stream Treatment: Long-Term Comparison of Integrated Fixed Film Activated Sludge and Moving Bed Biofilm Reactors with Polyurethane Foam Carriers at Lab-Scale
by Hanna Jagenteufel, Vanessa Parravicini, Norbert Kreuzinger, Ernis Saracevic, Karl Svardal and Jörg Krampe
Water 2026, 18(9), 1021; https://doi.org/10.3390/w18091021 - 24 Apr 2026
Viewed by 672
Abstract
Deammonification, which is based on partial nitritation and anammox (PN/A), is a well-established sidestream treatment for nitrogen removal. However, transferring deammonification to mainstream wastewater treatment remains challenging due to low temperatures, the need to retain slow-growing anammox bacteria (AnAOB), and their competition for [...] Read more.
Deammonification, which is based on partial nitritation and anammox (PN/A), is a well-established sidestream treatment for nitrogen removal. However, transferring deammonification to mainstream wastewater treatment remains challenging due to low temperatures, the need to retain slow-growing anammox bacteria (AnAOB), and their competition for nitrite with nitrite-oxidizing bacteria (NOB) and heterotrophic denitrifiers. This work investigates cubic polyurethane foam carriers to promote growth and retention of AnAOB. A moving bed biofilm reactor (MBBR) and an integrated fixed-film activated sludge (IFAS) reactor were compared over a three-year experimental period at lab-scale. The feasibility of the biofilm carriers for deammonification was first evaluated under sidestream conditions, followed by a stepwise transition to mainstream operational conditions. The impact of operational parameters, including dissolved oxygen concentration, pH value, and aeration strategy, was evaluated with respect to the activity of aerobic ammonium-oxidizing bacteria (AOB), NOB, and AnAOB, as well as nitrogen removal rates. Deammonification reached nitrogen removal rates of 0.04–0.12 kg N m−3 d−1 (IFAS reactor) and 0.02–0.28 kg N m−3 d−1 (MBBR) at subphases with reactor bulk concentrations above 60 mg NH4-N L−1. Highest nitrogen removal degrees of 77 ± 6% (IFAS) and 76 ± 5% (MBBR) were achieved at reactor bulk concentrations of 96 mg NH4 L−1 and 97 mg NH4 L−1, respectively. Lower concentrations triggered NOB activity in both reactors, leading to an increase in nitrate concentration up to 22 mg NO3-N L−1. AOB and AnAOB activities were on average 6-fold higher on the carriers compared to suspended biomass throughout all experimental phases, demonstrating the feasibility of using cubic polyurethane foam carriers for deammonification. This was also confirmed by fluorescence in-situ hybridization (FISH) measurements. Median nitrogen removal rates over all experimental phases of 0.07 kg N m−3 d−1 for the IFAS reactor and 0.05 kg N m−3 d−1 for the MBBR were achieved, which are comparable to conventional activated sludge systems performing nitrogen removal via nitrification–denitrification. While at lower nitrogen concentrations, the IFAS reactor yielded superior nitrogen removal rates, peak nitrogen removal rates of 0.28 kg N m−3 d−1 were measured in the MBBR configuration. However, controlling NOB activity at lower temperatures and concentrations remains a challenge in MBBR and IFAS configurations. In our study, in the IFAS reactor NOB activities were visible on fewer days than in MBBR. At mainstream-like conditions, higher nitrogen removal rates of IFAS (0.09–0.12 kg N m−3 d−1) were achieved compared to the MBBR (0.06–0.09 kg N m−3 d−1). This demonstrates the advantage of the IFAS reactor in treating mainstream wastewater via deammonification. As an autotrophic nitrogen removal process, the implementation of deammonification in the mainstream of municipal wastewater treatment plants enables enhanced recovery of biogas from sewage organic matter. The latter would otherwise be consumed during the conventional nitrification-denitrification pathway. Consequently, the overall energy balance for wastewater treatment can be improved, contributing to a more environmentally sustainable process. Full article
(This article belongs to the Special Issue Advanced Biological Wastewater Treatment and Nutrient Removal)
Show Figures

Graphical abstract

28 pages, 1118 KB  
Article
Ex Vivo Characterization and In Vivo Nasal Delivery of Ropinirole-Loaded PEO-b-PCL/Tween 80/β-Cyclodextrin Systems in C57BL/6J Mice
by Elmina-Marina Saitani, Paraskevi Papakyriakopoulou, Evangelos Balafas, Dimitrios E. Damalas, Nikolaos Kostomitsopoulos, Stergios Pispas, Natassa Pippa, Nikolaos Thomaidis and Georgia Valsami
Molecules 2026, 31(9), 1405; https://doi.org/10.3390/molecules31091405 - 23 Apr 2026
Viewed by 222
Abstract
Intranasal administration is a promising drug delivery route enabling precise and rapid central nervous system targeting. In our previous work, twelve hybrid colloidal dispersions were developed, consisting of synthetic poly(ethylene-oxide)-b-poly(ε-caprolactone) (PEO-b-PCL) block copolymers with an increasing proportion of the hydrophobic PCL segment, Tween [...] Read more.
Intranasal administration is a promising drug delivery route enabling precise and rapid central nervous system targeting. In our previous work, twelve hybrid colloidal dispersions were developed, consisting of synthetic poly(ethylene-oxide)-b-poly(ε-caprolactone) (PEO-b-PCL) block copolymers with an increasing proportion of the hydrophobic PCL segment, Tween 80 (Tw80) and β-cyclodextrin derivatives (βCD), either methyl-β-CD (MβCD) or hydroxy-propyl-β-CD (HPβCD) for IN delivery of ropinirole hydrochloride (RH). Colloidal dispersions were prepared at different weight ratios (system/RH equal to 10:1 and 10:5), characterized and evaluated in vitro. The aim of this study is to evaluate the ex vivo permeation through rabbit nasal mucosa and determine the pharmacokinetic parameters of RH, when administered intranasally as a colloidal dispersion, compared with oral and intranasal RH solutions in C57BL/6J mice. Ex vivo permeation studies showed that all formulations significantly enhanced RH permeation compared to the pure RH solution (0.5 mg/mL, pH 5.6). Among them, F4 [(PEO-b-PCL1/Tw80/HPβCD)/RH 10:5] was selected for further investigation. Pharmacokinetic analysis showed that F4 significantly enhanced both systemic and brain exposure of RH, achieving higher serum AUC and Cmax values, despite a 3-fold lower administered dose compared to the oral dose. It showed high systemic (Frel(Serum) = 1815%) and brain (Frel(Brain) = 363%) relative bioavailability compared with oral administration, underscoring its potential as an intranasal delivery system for efficient CNS targeting. Full article
18 pages, 1876 KB  
Article
From By-Product to Bioactive: New Antioxidant and Bioavailable Peptides Derived from Milk Permeate Targeting the Nrf2/Keap1 Pathway in Intestinal Cell Models
by Valeria Scalcon, Alessandro Grinzato, Federico Fiorese, Alessandra Folda, Stefania Ferro, Gianfranco Betti, Marco Bellamio, Emiliano Feller, Oriano Marin and Maria Pia Rigobello
Antioxidants 2026, 15(5), 527; https://doi.org/10.3390/antiox15050527 - 22 Apr 2026
Viewed by 246
Abstract
This study investigates the antioxidant properties of several synthetic peptides derived from milk proteins previously identified in milk permeate, a by-product of the dairy industry. The aim of the research is to identify which peptides present in milk permeate are responsible for its [...] Read more.
This study investigates the antioxidant properties of several synthetic peptides derived from milk proteins previously identified in milk permeate, a by-product of the dairy industry. The aim of the research is to identify which peptides present in milk permeate are responsible for its antioxidant activity. A comprehensive experimental strategy was employed to evaluate their antioxidant potential, including in silico selection, in vitro free radical scavenging assays and cellular models using Caco-2 and HCT116 cell lines. The peptides were screened using a molecular docking approach for their potential interaction with the Kelch-like ECH-associated protein 1/nuclear factor erythroid 2-related factor 2 (Keap1/Nrf2) pathway, and eight out of twenty-eight were selected and synthesized for further analyses. In vitro, six of the selected peptides demonstrated significant direct antioxidant activity in the DPPH scavenging assay, and two in the ABTS scavenging test. In cellular environments, three peptides (LPAPELGPRQA, LPIIQKLEPQI and NGQVWEESLKRL) effectively protect cells from oxidative stress induced by tert-butyl hydroperoxide, reducing reactive oxygen species production and partially mitigating lipid peroxidation. Further investigation showed that two of them (LPAPELGPRQA and LPIIQKLEPQI) effectively induce the Keap1/Nrf2 pathway, as evidenced by a ∼1.5-fold increase in Nrf2 levels and overexpression of downstream proteins. Permeability studies revealed that these peptides can cross the intestinal monolayer (2–3% in 2 h), suggesting potential systemic effects. Overall, these findings highlight the multifunctional antioxidant properties of the investigated peptides and support their potential application as nutraceuticals or therapeutic agents for oxidative stress-related conditions. Full article
(This article belongs to the Special Issue Antioxidant Peptides)
Show Figures

Figure 1

24 pages, 2104 KB  
Article
ERα-Independent Activity of Tamoxifen-Based Transition Metal Hybrids in Triple-Negative Breast Cancer Models In Vitro and In Vivo
by Blagoje Murganić, Tamara Krajnović, Duško Dunđerović, Aleksandr Kazimir, Nasta Tanić, Nikola Tanić, Evamarie Hey-Hawkins, Danijela Maksimović-Ivanić and Sanja Mijatović
Molecules 2026, 31(9), 1376; https://doi.org/10.3390/molecules31091376 - 22 Apr 2026
Viewed by 362
Abstract
Multiple studies have demonstrated that the conjugation of various metal cores to a modified tamoxifen vector amplifies its antitumor activity, rendering such engineered structures effective even in triple-negative breast cancer (TNBC), a tumor subtype traditionally considered irrelevant for endocrine therapy. With a focus [...] Read more.
Multiple studies have demonstrated that the conjugation of various metal cores to a modified tamoxifen vector amplifies its antitumor activity, rendering such engineered structures effective even in triple-negative breast cancer (TNBC), a tumor subtype traditionally considered irrelevant for endocrine therapy. With a focus on TNBC cell line, this study shows that hybrids with Pd- and Cu- in comparison to Pt-based counterparts exerted an advanced cytotoxic profile in terms of sustained cytotoxicity throughout all tested periods, well synchronized with an intensive and prolonged oxidative burst measured by 4-amino-5-methylamino-2′,7′-difluorofluorescein diacetate (DAF-FM), dihydroethidium (DHE), and dihydrorhodamine 123 (DHR-123) in the background. Translation to the orthotopic syngeneic mouse in vivo model confirmed their superiority toward Pt-based conjugates, as well as tamoxifen alone, with a more profound tumor-reducing potential of Cu-tamoxifen, which was finally restricted by its toxicity. Surprisingly, the tamoxifen vector per se, with an approx. 2-fold lower cytotoxic potential than Pt- and Cu-hybrids in vitro, showed exceptional tumor-reducing potential in vivo, profiled in the last days of the treatment period. Intensive infiltration of immune cells, preferentially lymphocytes, was observed in tumor samples from animals exposed to the tamoxifen vector, underscoring the ligand’s immune potential and again suggesting that cytotoxicity is not a measure of successful treatment. Full article
(This article belongs to the Special Issue Transition Metal Complexes with Bioactive Ligands)
Show Figures

Graphical abstract

21 pages, 1890 KB  
Article
Sodium Stearate-Assisted Optimization of a Cannabidiol Dry Powder Inhaler for Enhanced Dissolution and Aerosol Performance
by Jin-Hyuk Jeong, Jae Seok Jeong, Hyeon-Seo Moon, Jae Woon Son, Kyung Hyun Min, Dong-Wook Kim, Chang-Soo Han, Wonwoong Lee, Chun-Woong Park and Ji-Hyun Kang
Pharmaceutics 2026, 18(4), 512; https://doi.org/10.3390/pharmaceutics18040512 - 21 Apr 2026
Viewed by 716
Abstract
Background/Objectives: Cannabidiol (CBD) has emerged as a potential therapeutic agent for respiratory disorders, including asthma and chronic obstructive pulmonary disease. However, its clinical translation via pulmonary delivery is limited by poor aqueous solubility, chemical instability, and low local bioavailability. This study aimed [...] Read more.
Background/Objectives: Cannabidiol (CBD) has emerged as a potential therapeutic agent for respiratory disorders, including asthma and chronic obstructive pulmonary disease. However, its clinical translation via pulmonary delivery is limited by poor aqueous solubility, chemical instability, and low local bioavailability. This study aimed to develop and optimize a sodium stearate (NaSt)-based spray-dried dry powder inhaler (DPI) formulation to enhance the aerosol performance, dissolution, and storage stability of CBD. Methods: CBD microparticles were prepared by spray drying using NaSt as the primary excipient. The feed preparation method, spray-drying parameters, and CBD:NaSt ratios were systematically optimized. The resulting powders were evaluated for aerodynamic properties using cascade impaction, dissolution behavior in simulated lung fluid, solid-state characteristics, and accelerated stability under stress conditions. Results: The optimized formulation, SD-4, a spray-dried CBD:NaSt formulation prepared at a 20:80 weight ratio using Process B, demonstrated excellent aerosolization performance, with a fine particle fraction (FPF) exceeding 50% and a mass median aerodynamic diameter (MMAD) of 5.08 ± 0.1 μm. Dissolution testing revealed more than a three-fold increase in drug release compared with raw CBD, attributed to amorphous dispersion within the NaSt matrix and surfactant-induced micellization. Accelerated stability studies confirmed improved retention of the amorphous state and drug content, while antioxidant incorporation further reduced oxidative degradation. Conclusions: The NaSt-based spray-dried formulation significantly improved aerosol deposition efficiency, dissolution rate, and physicochemical stability of CBD. This formulation strategy may provide a promising platform for pulmonary delivery of poorly water-soluble compounds. Full article
(This article belongs to the Special Issue Microparticle Platforms for Respiratory Delivery)
Show Figures

Graphical abstract

16 pages, 3556 KB  
Article
Degradation Pathways and Energy Efficiency on Non-Thermal Plasma for Sulfonamide Antibiotics Removal: A Comparative Study
by Hee-Jun Kim, Donggwan Lee, Sanghoon Han, Jae-Cheol Lee and Hyun-Woo Kim
Processes 2026, 14(8), 1312; https://doi.org/10.3390/pr14081312 - 20 Apr 2026
Viewed by 323
Abstract
The non-thermal plasma (NTP) process is a promising advanced oxidation process (AOP) for removing non-biodegradable organics from wastewater, owing to the efficient formation of reactive chemicals. Despite its effective oxidizing capability, the decomposition mechanism of organic pollutants is not well understood. This study [...] Read more.
The non-thermal plasma (NTP) process is a promising advanced oxidation process (AOP) for removing non-biodegradable organics from wastewater, owing to the efficient formation of reactive chemicals. Despite its effective oxidizing capability, the decomposition mechanism of organic pollutants is not well understood. This study evaluates NTP for two representative sulfonamides (SMZ and STZ) and reports on (i) time-resolved removal to the method detection limit, (ii) transformation mapping using LC-ESI/MS/MS, which confirmed previously proposed hydroxylation and bond-cleavage pathways and further identified additional hydroxylated intermediates formed on the thiazole and benzene rings under NTP conditions, and (iii) energy evaluation through energy per order (EEO) within a single, reproducible operating window. The EEO values for SMZ and STZ degradation via NTP were calculated at 22.4 and 7.5 kWh/m3/order, respectively. These values are up to 37- and 118-fold lower than those reported for comparable AOPs, quantitatively confirming that the proposed NTP process achieves superior energy efficiency for sulfonamide degradation. Degradation is primarily attributed to reactive oxygen species (ROS) generated by plasma, which initiate the breakdown of the antibiotic structure. Overall, this study demonstrates that NTP is a highly effective AOP for driving the rapid primary degradation and intermediate structural transformation of recalcitrant sulfonamide antibiotics. Full article
Show Figures

Figure 1

21 pages, 1891 KB  
Article
Transcriptional Reprogramming of Cancer Metabolism: Tricholoma terreum Inhibits Nucleotide Biosynthesis and Energy Flux in MCF-7 Cells by Downregulating DHFR, TK1, and ENO1
by Levent Gülüm, Emrah Güler, Emir Çapkınoğlu, Ayşe Büşranur Çelik and Yusuf Tutar
Int. J. Mol. Sci. 2026, 27(8), 3626; https://doi.org/10.3390/ijms27083626 - 18 Apr 2026
Viewed by 181
Abstract
Tricholoma terreum, a mushroom rich in bioactive compounds, exhibits notable antioxidant and anticancer properties. Despite its traditional use, its effects on breast cancer metabolism remain underexplored. Here, we conducted comprehensive phytochemical and volatile organic compound profiling of T. terreum extracts and evaluated [...] Read more.
Tricholoma terreum, a mushroom rich in bioactive compounds, exhibits notable antioxidant and anticancer properties. Despite its traditional use, its effects on breast cancer metabolism remain underexplored. Here, we conducted comprehensive phytochemical and volatile organic compound profiling of T. terreum extracts and evaluated their cytotoxicity against MCF-7 breast cancer cells. Using SPME–GC–MS and HPLC, we identified a complex chemical matrix dominated by organic acids (acetic acid, 43.85%) and nitrogen-containing heterocyclics (2-acetylpyridine, 15.19%), alongside significant phenolic acids such as gallic acid and syringic acid. Biological assays indicated that the ethanol extract showed notable cytotoxic effects, reducing MCF-7 cell viability to 3.64% after 72 h, while higher viability was preserved in healthy CCD-1072sk fibroblast cells. Using cell viability assays, flow cytometry, and gene expression analysis, we found that ethanol extracts selectively reduced cancer cell viability, induced G0/G1 cell cycle arrest (71.92%), and promoted apoptosis. Mechanistically, treatment downregulated key nucleotide biosynthesis genes (DHFR, TK1) and the glycolytic enzyme gene (ENO1), while upregulating the oxidative stress response gene SLC7A11 (18.32-fold), suggesting disruption of cancer metabolic pathways. These findings reveal a metabolic reprogramming effect of T. terreum extracts, highlighting their potential as metabolism-targeted agents in breast cancer therapy. Further studies are warranted to validate these effects in vivo and isolate active constituents. Full article
Show Figures

Figure 1

22 pages, 14178 KB  
Article
Design of a High Dynamic Range Acquisition System for Airborne VNIR Push-Broom Hyperspectral Camera
by Haoyang Feng, Yueming Wang, Daogang He, Changxing Zhang and Chunlai Li
Sensors 2026, 26(8), 2474; https://doi.org/10.3390/s26082474 - 17 Apr 2026
Viewed by 182
Abstract
Achieving a high frame rate and high dynamic range (HDR) under complex illumination remains a significant challenge for airborne push-broom visible-near-infrared (VNIR) hyperspectral cameras. Problematic scenarios typically include high-contrast scenes, such as ocean whitecaps alongside deep water or concurrently sunlit and shadowed urban [...] Read more.
Achieving a high frame rate and high dynamic range (HDR) under complex illumination remains a significant challenge for airborne push-broom visible-near-infrared (VNIR) hyperspectral cameras. Problematic scenarios typically include high-contrast scenes, such as ocean whitecaps alongside deep water or concurrently sunlit and shadowed urban surfaces. To address this, a real-time HDR acquisition system based on a dual-gain complementary metal–oxide–semiconductor (CMOS) image sensor is proposed. Specifically, a four-pixel HDR fusion method is developed, utilizing an optical calibration setup to accurately determine the fusion parameters and configure the spectral region of interest (ROI) for reduced data volume. The complete workflow, encompassing spectral–spatial four-pixel binning and piecewise dual-gain fusion, is implemented on a field-programmable gate array (FPGA) using a dual-port RAM-based buffering strategy and a low-latency five-stage pipeline. Experimental results demonstrate a minimal processing latency of 0.0183 ms and a maximum frame rate of 290 frames/s. By extending the output bit depth from 11 to 15 bits, the system achieves a digital dynamic range of the final output of 2.03 × 104:1, representing a 9.58-fold improvement over the original low-gain data. The fused HDR data maintain high linearity and good spectral fidelity, with spectral angle mapper (SAM) values at the 10−3 level. Featuring a compact and low-power design, this system provides a practical engineering solution for efficient airborne VNIR hyperspectral acquisition. Full article
(This article belongs to the Section Sensing and Imaging)
Show Figures

Figure 1

Back to TopTop