Sign in to use this feature.

Years

Between: -

Subjects

remove_circle_outline
remove_circle_outline
remove_circle_outline
remove_circle_outline
remove_circle_outline
remove_circle_outline
remove_circle_outline

Journals

Article Types

Countries / Regions

Search Results (33)

Search Parameters:
Keywords = non-lamellar lipids

Order results
Result details
Results per page
Select all
Export citation of selected articles as:
18 pages, 2572 KB  
Article
Stimuli-Responsive Cationic Lyotropic Liquid Crystalline Nanoparticles: Formulation Process, Physicochemical and Morphological Evaluation
by Maria Chountoulesi, Natassa Pippa, Varvara Chrysostomou, Aleksander Forys, Barbara Trzebicka, Stergios Pispas and Costas Demetzos
Pharmaceutics 2025, 17(9), 1199; https://doi.org/10.3390/pharmaceutics17091199 - 15 Sep 2025
Viewed by 354
Abstract
Background/Objectives: Lyotropic liquid crystalline nanoparticles are promising drug delivery nanocarriers, exhibiting significant technological advantages, such as their extended internal morphology. In this study, cationic non-lamellar lyotropic–lipidic liquid crystalline nanoparticles were formulated by phytantriol lipid. Methods: The poly(2-(dimethylamino)ethyl methacrylate)-b-poly(lauryl methacrylate) block copolymer [...] Read more.
Background/Objectives: Lyotropic liquid crystalline nanoparticles are promising drug delivery nanocarriers, exhibiting significant technological advantages, such as their extended internal morphology. In this study, cationic non-lamellar lyotropic–lipidic liquid crystalline nanoparticles were formulated by phytantriol lipid. Methods: The poly(2-(dimethylamino)ethyl methacrylate)-b-poly(lauryl methacrylate) block copolymer carrying tri-phenyl-phosphine cations (TPP-QPDMAEMA-b-PLMA), was employed as a stabilizer co-assisted by other polymeric guests. The exact qualitative and quantitative formulation of the systems was investigated. Their physicochemical profile was depicted from a variety of light scattering techniques, while their microenvironmental parameters were determined by fluorescence spectroscopy using adequate probe molecules. The effect of environmental conditions was monitored, confirming stimuli-responsiveness properties. Their morphology was illustrated by cryo-TEM, revealing expanded internal assemblies. Resveratrol was incorporated into the nanoparticles and the entrapment efficiency was calculated. Results: Their properties were found to be dependent on the formulation characteristics, such as the lipid used, as well as the architecture of the polymeric stabilizer, also being found to be stealth toward proteins, exhibiting stimuli responsiveness and high entrapment efficiency. Conclusions: The studied liquid crystalline nanoparticles, being stimuli-responsive, with high cationic potential, high loading capacity and showing intriguing 3D structures, are suitable for pharmaceutical applications. Full article
Show Figures

Graphical abstract

16 pages, 5759 KB  
Article
Mechanisms of Self-Assembly of Giant Unilamellar Vesicles in the Army Liposome Formulation (ALF) Family of Vaccine Adjuvants
by Calin Nicolescu, Essie Komla, Mangala Rao, Gary R. Matyas and Carl R. Alving
Pharmaceutics 2025, 17(9), 1092; https://doi.org/10.3390/pharmaceutics17091092 - 22 Aug 2025
Viewed by 684
Abstract
Background/Objectives: Army Liposome Formulation with QS21 (ALFQ) is a vaccine adjuvant formulation consisting of liposomes that contain saturated zwitterionic and anionic phospholipids, 55 mol% cholesterol, and small molar amounts of monophosphoryl lipid A (MPLA) and QS21 saponin as adjuvants. A unique aspect of [...] Read more.
Background/Objectives: Army Liposome Formulation with QS21 (ALFQ) is a vaccine adjuvant formulation consisting of liposomes that contain saturated zwitterionic and anionic phospholipids, 55 mol% cholesterol, and small molar amounts of monophosphoryl lipid A (MPLA) and QS21 saponin as adjuvants. A unique aspect of ALFQ is that after addition of QS21 to nanoliposomes (<100 nm), the liposomes self-assemble through fusion to form giant (≥1000 nm) unilamellar vesicles (GUVs). The purpose of this study was to introduce and investigate new intermediate structures in the fusion process that we term tethered incomplete microspheres (TIMs), which were discovered by us incidentally as structures that were visible by phase contrast microscopy. Methods: Differential centrifugation; phase contrast microscopy; confocal microscopy of vesicles or TIMs which contain fluorescent chromophores linked to phospholipids or cholesterol; ultra-performance liquid chromatography-tandem mass spectrometry (UPLC-MS/MS) analysis of lipid components of liposomes and TIMs; and dynamic light scattering were all used for the characterization of TIMS. Results and Conclusions: (A) Sizes of TIMs range from overall aggregated structural sizes of ~1 µm to mega sizes of ≥200 µm. (B) Stable TIM structures occur when a fusion process is stopped by depletion of a fusogenic lipid during an evolving fusing of a lipid bilayer membrane. (C) TIMs consist of long-term stable (>2 years), but also metastable, tightly aggregated tear-drop or spherical incomplete GUVs tethered to visible masses of underlying vesicles that are not individually visible. (D) The TIMs and GUVs all contain phospholipid and cholesterol (when present) as bulk lipids. (E) Lyophilized liposomes lacking QS21 saponin, but which still contain MPLA (ALF55lyo), also self-assemble to form GUVs and TIMs. (F) Cholesterol is a required component in nanoliposomes for generation of GUVs and TIMs by addition of QS21. (G) Cholesterol is not required for production of GUVs and TIMs in ALFlyo, but cholesterol greatly reduces and narrows the polydisperse vesicle distribution. Full article
(This article belongs to the Special Issue Advanced Liposomes for Drug Delivery, 2nd Edition)
Show Figures

Graphical abstract

24 pages, 6488 KB  
Review
Inverse Bicontinuous and Discontinuous Phases of Lipids, and Membrane Curvature
by John M. Seddon
Cells 2025, 14(10), 716; https://doi.org/10.3390/cells14100716 - 14 May 2025
Viewed by 1082
Abstract
In this review article I briefly describe lipid self-assembly, interfacial curvature, and lyotropic phase diagrams. I then go on to describe how the phase behaviour can be controlled, and the structure of lyotropic phases can be tuned, by various parameters such as temperature, [...] Read more.
In this review article I briefly describe lipid self-assembly, interfacial curvature, and lyotropic phase diagrams. I then go on to describe how the phase behaviour can be controlled, and the structure of lyotropic phases can be tuned, by various parameters such as temperature, hydrostatic pressure, or the addition of amphiphilic molecules such as fatty acids, diacylglycerols, and cholesterol. I then give a few illustrations of how such structures/phases may play roles in lipid-based biotechnologies, and in biomembrane systems. Full article
(This article belongs to the Special Issue Advances in Biophysics of Cellular Membranes)
Show Figures

Graphical abstract

13 pages, 6837 KB  
Article
Cationic Serine-Based Gemini Surfactant:Monoolein Aggregates as Viable and Efficacious Agents for DNA Complexation and Compaction: A Cytotoxicity and Physicochemical Assessment
by Isabel S. Oliveira, Sandra G. Silva, Andreia C. Gomes, M. Elisabete C. D. Real Oliveira, M. Luísa C. do Vale and Eduardo F. Marques
J. Funct. Biomater. 2024, 15(8), 224; https://doi.org/10.3390/jfb15080224 - 13 Aug 2024
Viewed by 1801
Abstract
Cationic gemini surfactants have emerged as potential gene delivery agents as they can co-assemble with DNA due to a strong electrostatic association. Commonly, DNA complexation is enhanced by the inclusion of a helper lipid (HL), which also plays a key role in transfection [...] Read more.
Cationic gemini surfactants have emerged as potential gene delivery agents as they can co-assemble with DNA due to a strong electrostatic association. Commonly, DNA complexation is enhanced by the inclusion of a helper lipid (HL), which also plays a key role in transfection efficiency. The formation of lipoplexes, used as non-viral vectors for transfection, through electrostatic and hydrophobic interactions is affected by various physicochemical parameters, such as cationic surfactant:HL molar ratio, (+/−) charge ratio, and the morphological structure of the lipoplexes. Herein, we investigated the DNA complexation ability of mixtures of serine-based gemini surfactants, (nSer)2N5, and monoolein (MO) as a helper lipid. The micelle-forming serine surfactants contain long lipophilic chains (12 to 18 C atoms) and a five CH2 spacer, both linked to the nitrogen atoms of the serine residues by amine linkages. The (nSer)2N5:MO aggregates are non-cytotoxic up to 35–90 µM, depending on surfactant and surfactant/MO mixing ratio, and in general, higher MO content and longer surfactant chain length tend to promote higher cell viability. All systems efficaciously complex DNA, but the (18Ser)2N5:MO one clearly stands as the best-performing one. Incorporating MO into the serine surfactant system affects the morphology and size distribution of the formed mixed aggregates. In the low concentration regime, gemini–MO systems aggregate in the form of vesicles, while at high concentrations the formation of a lamellar liquid crystalline phase is observed. This suggests that lipoplexes might share a similar bilayer-based structure. Full article
Show Figures

Graphical abstract

10 pages, 1763 KB  
Article
The Distinctive Role of Gluconic Acid in Retarding Percutaneous Drug Permeation: Formulation of Lidocaine-Loaded Chitosan Nanoparticles
by Amnon C. Sintov
Pharmaceutics 2024, 16(6), 831; https://doi.org/10.3390/pharmaceutics16060831 - 19 Jun 2024
Viewed by 1407
Abstract
The objective of the present investigation was to evidence the skin retardation phenomenon of lidocaine by gluconic acid as an inactive ingredient involved in citrate-crosslinking chitosan nanoparticles. Lidocaine hydrochloride was loaded in nanoparticles based on chitosan, fabricated by using a water-in-oil microemulsion as [...] Read more.
The objective of the present investigation was to evidence the skin retardation phenomenon of lidocaine by gluconic acid as an inactive ingredient involved in citrate-crosslinking chitosan nanoparticles. Lidocaine hydrochloride was loaded in nanoparticles based on chitosan, fabricated by using a water-in-oil microemulsion as a template and citric acid as an ionic cross-linker. Gluconic acid (pentahydroxy hexanoic acid) was added during the fabrication and compared with caproic acid, a non-hydroxy hexanoic acid. The chitosan nanoparticulate systems were characterized for mean particle size, particle size distribution, and zeta potential. The pentahydroxy hexanoic acid decreased the zeta potential to a significantly lower value than those obtained from both plain citrate and citrate–hexanoic acid formulations. The relatively lower value implies that gluconate ions are partly attached to the nanoparticle’s surface and mask its positively charged groups. It was also noted that the in vitro percutaneous permeation flux of lidocaine significantly decreased when gluconate-containing chitosan nanoparticles were applied, i.e., 6.1 ± 1.5 μg‧cm−2‧h−1 without gluconic acid to 3.4 ± 2.3 μg‧cm−2‧h−1 with gluconic acid. According to this result, it is suggested that gluconate ions played a role in retarding drug permeation through the skin, probably by calcium chelation in the stratum granulosum, which in turn stimulated lamellar body secretion, lipid synthesis, and intracellular release of Ca2+ from the endoplasmic reticulum. Full article
Show Figures

Figure 1

18 pages, 1852 KB  
Article
Thermodynamic and Structural Study of Budesonide—Exogenous Lung Surfactant System
by Atoosa Keshavarzi, Ali Asi Shirazi, Rastislav Korfanta, Nina Královič, Mária Klacsová, Juan Carlos Martínez, José Teixeira, Sophie Combet and Daniela Uhríková
Int. J. Mol. Sci. 2024, 25(5), 2990; https://doi.org/10.3390/ijms25052990 - 4 Mar 2024
Cited by 3 | Viewed by 1763
Abstract
The clinical benefits of using exogenous pulmonary surfactant (EPS) as a carrier of budesonide (BUD), a non-halogenated corticosteroid with a broad anti-inflammatory effect, have been established. Using various experimental techniques (differential scanning calorimetry DSC, small- and wide- angle X-ray scattering SAXS/WAXS, small- angle [...] Read more.
The clinical benefits of using exogenous pulmonary surfactant (EPS) as a carrier of budesonide (BUD), a non-halogenated corticosteroid with a broad anti-inflammatory effect, have been established. Using various experimental techniques (differential scanning calorimetry DSC, small- and wide- angle X-ray scattering SAXS/WAXS, small- angle neutron scattering SANS, fluorescence spectroscopy, dynamic light scattering DLS, and zeta potential), we investigated the effect of BUD on the thermodynamics and structure of the clinically used EPS, Curosurf®. We show that BUD facilitates the Curosurf® phase transition from the gel to the fluid state, resulting in a decrease in the temperature of the main phase transition (Tm) and enthalpy (ΔH). The morphology of the Curosurf® dispersion is maintained for BUD < 10 wt% of the Curosurf® mass; BUD slightly increases the repeat distance d of the fluid lamellar phase in multilamellar vesicles (MLVs) resulting from the thickening of the lipid bilayer. The bilayer thickening (~0.23 nm) was derived from SANS data. The presence of ~2 mmol/L of Ca2+ maintains the effect and structure of the MLVs. The changes in the lateral pressure of the Curosurf® bilayer revealed that the intercalated BUD between the acyl chains of the surfactant’s lipid molecules resides deeper in the hydrophobic region when its content exceeds ~6 wt%. Our studies support the concept of a combined therapy utilising budesonide—enriched Curosurf®. Full article
(This article belongs to the Section Molecular Biophysics)
Show Figures

Figure 1

21 pages, 3559 KB  
Article
Dimeric Tubulin Modifies Mechanical Properties of Lipid Bilayer, as Probed Using Gramicidin A Channel
by Tatiana K. Rostovtseva, Michael Weinrich, Daniel Jacobs, William M. Rosencrans and Sergey M. Bezrukov
Int. J. Mol. Sci. 2024, 25(4), 2204; https://doi.org/10.3390/ijms25042204 - 12 Feb 2024
Cited by 4 | Viewed by 1681
Abstract
Using the gramicidin A channel as a molecular probe, we show that tubulin binding to planar lipid membranes changes the channel kinetics—seen as an increase in the lifetime of the channel dimer—and thus points towards modification of the membrane’s mechanical properties. The effect [...] Read more.
Using the gramicidin A channel as a molecular probe, we show that tubulin binding to planar lipid membranes changes the channel kinetics—seen as an increase in the lifetime of the channel dimer—and thus points towards modification of the membrane’s mechanical properties. The effect is more pronounced in the presence of non-lamellar lipids in the lipid mixture used for membrane formation. To interpret these findings, we propose that tubulin binding redistributes the lateral pressure of lipid packing along the membrane depth, making it closer to the profile expected for lamellar lipids. This redistribution happens because tubulin perturbs the lipid headgroup spacing to reach the membrane’s hydrophobic core via its amphiphilic α-helical domain. Specifically, it increases the forces of repulsion between the lipid headgroups and reduces such forces in the hydrophobic region. We suggest that the effect is reciprocal, meaning that alterations in lipid bilayer mechanics caused by membrane remodeling during cell proliferation in disease and development may also modulate tubulin membrane binding, thus exerting regulatory functions. One of those functions includes the regulation of protein–protein interactions at the membrane surface, as exemplified by VDAC complexation with tubulin. Full article
(This article belongs to the Special Issue Modulation of Protein Structure and Function by Lipids)
Show Figures

Figure 1

26 pages, 1972 KB  
Review
Recent Advances in the Development of Liquid Crystalline Nanoparticles as Drug Delivery Systems
by Jassica S. L. Leu, Jasy J. X. Teoh, Angel L. Q. Ling, Joey Chong, Yan Shan Loo, Intan Diana Mat Azmi, Noor Idayu Zahid, Rajendran J. C. Bose and Thiagarajan Madheswaran
Pharmaceutics 2023, 15(5), 1421; https://doi.org/10.3390/pharmaceutics15051421 - 6 May 2023
Cited by 25 | Viewed by 6688
Abstract
Due to their distinctive structural features, lyotropic nonlamellar liquid crystalline nanoparticles (LCNPs), such as cubosomes and hexosomes, are considered effective drug delivery systems. Cubosomes have a lipid bilayer that makes a membrane lattice with two water channels that are intertwined. Hexosomes are inverse [...] Read more.
Due to their distinctive structural features, lyotropic nonlamellar liquid crystalline nanoparticles (LCNPs), such as cubosomes and hexosomes, are considered effective drug delivery systems. Cubosomes have a lipid bilayer that makes a membrane lattice with two water channels that are intertwined. Hexosomes are inverse hexagonal phases made of an infinite number of hexagonal lattices that are tightly connected with water channels. These nanostructures are often stabilized by surfactants. The structure’s membrane has a much larger surface area than that of other lipid nanoparticles, which makes it possible to load therapeutic molecules. In addition, the composition of mesophases can be modified by pore diameters, thus influencing drug release. Much research has been conducted in recent years to improve their preparation and characterization, as well as to control drug release and improve the efficacy of loaded bioactive chemicals. This article reviews current advances in LCNP technology that permit their application, as well as design ideas for revolutionary biomedical applications. Furthermore, we have provided a summary of the application of LCNPs based on the administration routes, including the pharmacokinetic modulation property. Full article
Show Figures

Figure 1

19 pages, 3699 KB  
Article
pH-Responsive Hybrid Nanoassemblies for Cancer Treatment: Formulation Development, Optimization, and In Vitro Therapeutic Performance
by Patrícia V. Teixeira, Filomena Adega, Paula Martins-Lopes, Raul Machado, Carla M. Lopes and Marlene Lúcio
Pharmaceutics 2023, 15(2), 326; https://doi.org/10.3390/pharmaceutics15020326 - 18 Jan 2023
Cited by 11 | Viewed by 3298
Abstract
Current needs for increased drug delivery carrier efficacy and specificity in cancer necessitate the adoption of intelligent materials that respond to environmental stimuli. Therefore, we developed and optimized pH-triggered drug delivery nanoassemblies that exhibit an increased release of doxorubicin (DOX) in acidic conditions [...] Read more.
Current needs for increased drug delivery carrier efficacy and specificity in cancer necessitate the adoption of intelligent materials that respond to environmental stimuli. Therefore, we developed and optimized pH-triggered drug delivery nanoassemblies that exhibit an increased release of doxorubicin (DOX) in acidic conditions typical of cancer tissues and endosomal vesicles (pH 5.5) while exhibiting significantly lower release under normal physiological conditions (pH 7.5), indicating the potential to reduce cytotoxicity in healthy cells. The hybrid (polymeric/lipid) composition of the lyotropic non-lamellar liquid crystalline (LNLCs) nanoassemblies demonstrated high encapsulation efficiency of the drug (>90%) and high drug loading content (>7%) with colloidal stability lasting at least 4 weeks. Confocal microscopy revealed cancer cellular uptake and DOX-loaded LNLCs accumulation near the nucleus of human hepatocellular carcinoma cells, with a large number of cells appearing to be in apoptosis. DOX-loaded LNLCs have also shown higher citotoxicity in cancer cell lines (MDA-MB 231 and HepG2 cell lines after 24 h and in NCI-H1299 cell line after 48 h) when compared to free drug. After 24 h, free DOX was found to have higher cytotoxicity than DOX-loaded LNLCs and empty LNLCs in the normal cell line. Overall, the results demonstrate that DOX-loaded LNLCs have the potential to be explored in cancer therapy. Full article
(This article belongs to the Special Issue Lipid Nanosystems for Local Drug Delivery)
Show Figures

Figure 1

18 pages, 2604 KB  
Article
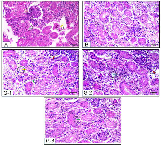
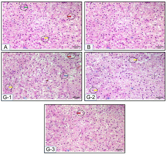
Ameliorative Hematological and Histomorphological Effects of Dietary Trigonella foenum-graecum Seeds in Common Carp (Cyprinus carpio) Exposed to Copper Oxide Nanoparticles
by Aasma Noureen, Giuseppe De Marco, Nagina Rehman, Farhat Jabeen and Tiziana Cappello
Int. J. Environ. Res. Public Health 2022, 19(20), 13462; https://doi.org/10.3390/ijerph192013462 - 18 Oct 2022
Cited by 16 | Viewed by 2827
Abstract
Different types of metal oxide nanoparticles (NPs) are being used for wastewater treatment worldwide but concerns have been raised regarding their potential toxicities, especially toward non-targeted aquatic organisms including fishes. Therefore, the present study aimed to evaluate the toxicity of copper oxide (CuO) [...] Read more.
Different types of metal oxide nanoparticles (NPs) are being used for wastewater treatment worldwide but concerns have been raised regarding their potential toxicities, especially toward non-targeted aquatic organisms including fishes. Therefore, the present study aimed to evaluate the toxicity of copper oxide (CuO) NPs (1.5 mg/L; positive control group) in a total of 130 common carp (Cyprinus carpio), as well as the potential ameliorative effects of fenugreek (Trigonella foenum-graecum) seed extracts (100 mg/L as G-1 group, 125 mg/L as G-2 group, and 150 mg/L as G-3 group) administered to fish for 28 days. Significant changes were observed in the morphometric parameters: the body weight and length of the CuO-NP-treated fish respectively decreased from 45.28 ± 0.34 g and 14.40 ± 0.56 cm at day one to 43.75 ± 0.41 g and 13.57 ± 0.67 cm at day 28. Conversely, fish treated with T. foenum-graecum seed extract showed significant improvements in body weight and length. After exposure to CuO NPs, a significant accumulation of Cu was recorded in the gills, livers, and kidneys (1.18 ± 0.006 µg/kg ww, 1.38 ± 0.006 µg/kg ww, and 0.05 ± 0.006 µg/kg ww, respectively) of the exposed common carp, and significant alterations in fish hematological parameters and oxidative stress biomarkers (lipid peroxidation (LPO), glutathione (GSH), and catalase (CAT)) were also observed. However, supplementing diets with fenugreek extracts modulated the blood parameters and the oxidative stress enzymes. Similarly, histological observations revealed that sub-lethal exposure to CuO NPs caused severe histomorphological changes in fish gills (i.e., degenerative epithelium, fused lamellae, necrotic lamellae, necrosis of primary lamellae, complete degeneration, and complete lamellar fusion), liver (i.e., degenerative hepatocytes, vacuolization, damaged central vein, dilated sinusoid, vacuolated degeneration, and complete degeneration), and kidney (i.e., necrosis and tubular degeneration, abnormal glomerulus, swollen tubules, and complete degeneration), while the treatment with the fenugreek extract significantly decreased tissue damage in a dose-dependent manner by lowering the accumulation of Cu in the selected fish tissues. Overall, this work demonstrated the ameliorative effects of dietary supplementation with T. foenum-graecum seed extract against the toxicity of NPs in aquatic organisms. The findings of this study therefore provided evidence of the promising nutraceutical value of fenugreek and enhanced its applicative potential in the sector of fish aquaculture, as it was shown to improve the growth performance and wellness of organisms. Full article
(This article belongs to the Section Biosafety)
Show Figures

Figure 1

15 pages, 2157 KB  
Article
Structuring and De-Structuring of Nanovectors from Algal Lipids: Simulated Digestion, Preliminary Antioxidant Capacity and In Vitro Tests
by Ilaria Clemente, Stefania Lamponi, Gabriella Tamasi, Liliana Rodolfi, Claudio Rossi and Sandra Ristori
Pharmaceutics 2022, 14(9), 1847; https://doi.org/10.3390/pharmaceutics14091847 - 1 Sep 2022
Cited by 5 | Viewed by 2277
Abstract
Biocompatible nanocarriers can be obtained by lipid extraction from natural sources such as algal biomasses, which accumulate different lipid classes depending on the employed culture media. Lipid aggregates can be distinguished according to supramolecular architecture into lamellar and nonlamellar structures. This distinction is [...] Read more.
Biocompatible nanocarriers can be obtained by lipid extraction from natural sources such as algal biomasses, which accumulate different lipid classes depending on the employed culture media. Lipid aggregates can be distinguished according to supramolecular architecture into lamellar and nonlamellar structures. This distinction is mainly influenced by the lipid class and molecular packing parameter, which determine the possible values of interfacial curvature and thus the supramolecular symmetries that can be obtained. The nanosystems prepared from bio-sources are able to self-assemble into different compartmentalized structures due to their complex composition. They also present the advantage of increased carrier-target biocompatibility and are suitable to encapsulate and vehiculate poorly water-soluble compounds, e.g., natural antioxidants. Their functional properties stem from the interplay of several parameters. Following previous work, here the functionality of two series of structurally distinct lipid nanocarriers, namely liposomes and cubosomes deriving from algal biomasses with different lipid composition, is characterized. In the view of their possible use as pharmaceutical or nutraceutical formulations, both types of nanovectors were loaded with three well-known antioxidants, i.e., curcumin, α-tocopherol and piperine, and their carrier efficacy was compared considering their different structures. Firstly, carrier stability in biorelevant conditions was assessed by simulating a gastrointestinal tract model. Then, by using an integrated chemical and pharmacological approach, the functionality in terms of encapsulation efficiency, cargo bioaccessibility and kinetics of antioxidant capacity by UV-Visible spectroscopy was evaluated. Subsequently, in vitro cytotoxicity and viability tests after administration to model cell lines were performed. As a consequence of this investigation, it is possible to conclude that nanovectors from algal lipids, i.e., cubosomes and liposomes, can be efficient delivery agents for lipophilic antioxidants, being able to preserve and enhance their activity toward different targets while promoting sustained release. Full article
(This article belongs to the Special Issue Advances in Characterization Methods for Drug Delivery Systems)
Show Figures

Figure 1

18 pages, 3629 KB  
Article
Structural Entities Associated with Different Lipid Phases of Plant Thylakoid Membranes—Selective Susceptibilities to Different Lipases and Proteases
by Ondřej Dlouhý, Václav Karlický, Uroš Javornik, Irena Kurasová, Ottó Zsiros, Primož Šket, Sai Divya Kanna, Kinga Böde, Kristýna Večeřová, Otmar Urban, Edward S. Gasanoff, Janez Plavec, Vladimír Špunda, Bettina Ughy and Győző Garab
Cells 2022, 11(17), 2681; https://doi.org/10.3390/cells11172681 - 28 Aug 2022
Cited by 7 | Viewed by 2708
Abstract
It is well established that plant thylakoid membranes (TMs), in addition to a bilayer, contain two isotropic lipid phases and an inverted hexagonal (HII) phase. To elucidate the origin of non-bilayer lipid phases, we recorded the 31P-NMR spectra of isolated [...] Read more.
It is well established that plant thylakoid membranes (TMs), in addition to a bilayer, contain two isotropic lipid phases and an inverted hexagonal (HII) phase. To elucidate the origin of non-bilayer lipid phases, we recorded the 31P-NMR spectra of isolated spinach plastoglobuli and TMs and tested their susceptibilities to lipases and proteases; the structural and functional characteristics of TMs were monitored using biophysical techniques and CN-PAGE. Phospholipase-A1 gradually destroyed all 31P-NMR-detectable lipid phases of isolated TMs, but the weak signal of isolated plastoglobuli was not affected. Parallel with the destabilization of their lamellar phase, TMs lost their impermeability; other effects, mainly on Photosystem-II, lagged behind the destruction of the original phases. Wheat-germ lipase selectively eliminated the isotropic phases but exerted little or no effect on the structural and functional parameters of TMs—indicating that the isotropic phases are located outside the protein-rich regions and might be involved in membrane fusion. Trypsin and Proteinase K selectively suppressed the HII phase—suggesting that a large fraction of TM lipids encapsulate stroma-side proteins or polypeptides. We conclude that—in line with the Dynamic Exchange Model—the non-bilayer lipid phases of TMs are found in subdomains separated from but interconnected with the bilayer accommodating the main components of the photosynthetic machinery. Full article
(This article belongs to the Section Plant, Algae and Fungi Cell Biology)
Show Figures

Figure 1

14 pages, 7481 KB  
Article
Lipid–Inorganic Hybrid Particles with Non-Lamellar Structures
by Benjamin Schmidbauer, Frank Uhlig and Angela Chemelli
Nanomanufacturing 2022, 2(3), 98-111; https://doi.org/10.3390/nanomanufacturing2030008 - 2 Aug 2022
Cited by 1 | Viewed by 2606
Abstract
Nanostructured non-lamellar lipid particles are widely studied in various fields of application, although their self-assembled structure is sensitive to internal and external conditions, which may limit their applicability. The aim of this study was to overcome these limitations and create particles with non-lamellar [...] Read more.
Nanostructured non-lamellar lipid particles are widely studied in various fields of application, although their self-assembled structure is sensitive to internal and external conditions, which may limit their applicability. The aim of this study was to overcome these limitations and create particles with non-lamellar nanostructures which are stable over time, upon drying and heating. This was achieved by the combination of two approaches: self-assembly of lipids and polymerization of alkoxysilanes. Precursors containing one or two unsaturated acyl chains were functionalized with trialkoxysilane headgroups. Contrarily to previous studies, the use of unsaturated acyl chains led to the formation of hybrid particles with non-lamellar internal nanostructures. These particles showed a sponge or a hexagonal arrangement and were named spongosomes and hexosomes. Due to the covalent linking of the precursors, durable structures were obtained. The particles were stable for at least several months and maintained their nanostructures even when they were dried or exposed to high temperatures. The inorganic functionalization of lipids enabled the fixation of the self-assembled nanostructures. Full article
(This article belongs to the Special Issue Feature Papers for Nanomanufacturing)
Show Figures

Graphical abstract

25 pages, 3520 KB  
Article
Order vs. Disorder: Cholesterol and Omega-3 Phospholipids Determine Biomembrane Organization
by Augusta de Santis, Ernesto Scoppola, Maria Francesca Ottaviani, Alexandros Koutsioubas, Lester C. Barnsley, Luigi Paduano, Gerardino D’Errico and Irene Russo Krauss
Int. J. Mol. Sci. 2022, 23(10), 5322; https://doi.org/10.3390/ijms23105322 - 10 May 2022
Cited by 11 | Viewed by 2992
Abstract
Lipid structural diversity strongly affects biomembrane chemico-physical and structural properties in addition to membrane-associated events. At high concentrations, cholesterol increases membrane order and rigidity, while polyunsaturated lipids are reported to increase disorder and flexibility. How these different tendencies balance in composite bilayers is [...] Read more.
Lipid structural diversity strongly affects biomembrane chemico-physical and structural properties in addition to membrane-associated events. At high concentrations, cholesterol increases membrane order and rigidity, while polyunsaturated lipids are reported to increase disorder and flexibility. How these different tendencies balance in composite bilayers is still controversial. In this study, electron paramagnetic resonance spectroscopy, small angle neutron scattering, and neutron reflectivity were used to investigate the structural properties of cholesterol-containing lipid bilayers in the fluid state with increasing amounts of polyunsaturated omega-3 lipids. Either the hybrid 1-stearoyl-2-docosahexaenoyl-sn-glycero-3-phosphocholine or the symmetric 1,2-docosahexaenoyl-sn-glycero-3-phosphocholine were added to the mixture of the naturally abundant 1-palmitoyl-2-oleyl-sn-glycero-3-phosphocholine and cholesterol. Our results indicate that the hybrid and the symmetric omega-3 phospholipids affect the microscopic organization of lipid bilayers differently. Cholesterol does not segregate from polyunsaturated phospholipids and, through interactions with them, is able to suppress the formation of non-lamellar structures induced by the symmetric polyunsaturated lipid. However, this order/disorder balance leads to a bilayer whose structural organization cannot be ascribed to either a liquid ordered or to a canonical liquid disordered phase, in that it displays a very loose packing of the intermediate segments of lipid chains. Full article
(This article belongs to the Special Issue Lipids: From the Structure, Function and Evolution to Applications)
Show Figures

Figure 1

14 pages, 5448 KB  
Article
Development of Self-Administered Formulation to Improve the Bioavailability of Leuprorelin Acetate
by Akie Okada, Rina Niki, Yutaka Inoue, Junki Tomita, Hiroaki Todo, Shoko Itakura and Kenji Sugibayashi
Pharmaceutics 2022, 14(4), 785; https://doi.org/10.3390/pharmaceutics14040785 - 3 Apr 2022
Viewed by 2271
Abstract
In recent years, the development of self-injectable formulations has attracted much attention, and the development of formulations to control pharmacokinetics, as well as drug release and migration in the skin, has become an active research area. In the present study, the development of [...] Read more.
In recent years, the development of self-injectable formulations has attracted much attention, and the development of formulations to control pharmacokinetics, as well as drug release and migration in the skin, has become an active research area. In the present study, the development of a lipid-based depot formulation containing leuprorelin acetate (LA) as an easily metabolizable drug in the skin was prepared with a novel non-lamellar liquid-crystal-forming lipid of mono-O-(5,9,13-trimethyl-4-tetradecenyl) glycerol ester (MGE). Small-angle X-ray scattering, cryo-transmission electron microscopy, and nuclear magnetic resonance observations showed that the MGE-containing formulations had a face-centered cubic packed micellar structure. In addition, the bioavailability (BA) of LA after subcutaneous injection was significantly improved with the MGE-containing formulation compared with the administration of LA solution. Notably, higher Cmax and faster Tmax were obtained with the MGE-containing formulation, and the BA increased with increasing MGE content in the formulation, suggesting that LA migration into the systemic circulation and its stability might be enhanced by MGE. These results may support the development of self-administered formulations of peptide drugs as well as nucleic acids, which are easily metabolized in the skin. Full article
(This article belongs to the Section Drug Delivery and Controlled Release)
Show Figures

Graphical abstract

Back to TopTop