Ameliorative Hematological and Histomorphological Effects of Dietary Trigonella foenum-graecum Seeds in Common Carp (Cyprinus carpio) Exposed to Copper Oxide Nanoparticles
Abstract
1. Introduction
2. Materials and Methods
2.1. Procurement and Acclimatization of Fish
2.2. Preparation of CuO NP Suspensions
2.3. Identification and Preparation of the Fenugreek Extract
2.4. Evaluation of 96 h LC50 of Fenugreek for C. carpio
2.5. Experimental Design
2.6. Biochemical Parameters
2.6.1. Tissue Metal Analysis
2.6.2. Hematological Analysis
2.6.3. Histological Analysis
2.6.4. Analysis of Oxidative Stress Enzymes
2.7. Statistical Analysis
3. Results
3.1. LC50 of T. foenum-graecum
3.2. Phytochemical and Proximate Composition of T. foenum-graecum
3.3. Effects on Fish Body Weight and Length
3.4. Bioaccumulation of Cu in Fish Tissues
3.5. Hematological Profile
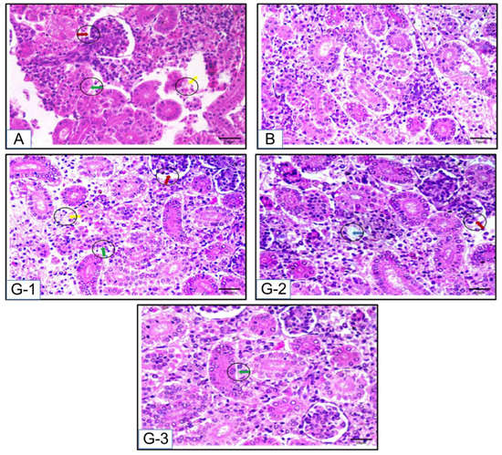
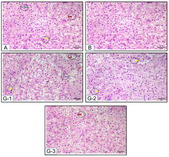
3.6. Histological Observations
3.6.1. Gills
3.6.2. Liver
3.6.3. Kidney
3.7. Oxidative Stress Enzymes
4. Discussion
5. Conclusions
Author Contributions
Funding
Institutional Review Board Statement
Informed Consent Statement
Data Availability Statement
Conflicts of Interest
References
- Bundschuh, M.; Filser, J.; Luderwald, S.; McKee, M.S.; Metreveli, G.; Schaumann, G.E.; Schulz, R.; Wagner, S. Nanoparticles in the environment: Where do we come from, where do we go to? Environ. Sci. Eur. 2018, 30, 6. [Google Scholar] [CrossRef]
- Yalsuyi, A.M.; Vajargah, M.F. Acute toxicity of silver nanoparticles in roach (Rutilus rutilus) and goldfish (Carassius auratus). J. Environ. Treat. Tech. 2017, 5, 1–4. [Google Scholar]
- De Marchi, L.; Neto, V.; Pretti, C.; Figueira, E.; Chiellini, F.; Soares, A.M.V.M.; Freitas, R. The impacts of emergent pollutants on Ruditapes philippinarum: Biochemical responses to carbon nanoparticles exposure. Aquat. Toxicol. 2017, 187, 38–47. [Google Scholar] [CrossRef] [PubMed]
- Gupta, N.; Siddique, R. Utilization of Copper Slag in Self-compacting Concrete–Strength and Permeation Properties. In Natural Fibres: Advances in Science and Technology towards Industrial Applications; Springer: Berlin/Heidelberg, Germany, 2019; pp. 544–551. [Google Scholar]
- Mitrea, S.; Oprina, G.; Radu, E.; Marinescu, V.; Voina, A.; Lingvay, I. Corrosion of copper and carbon steel in some electrical purposes oils. Rev. Chim. 2016, 67, 1707–1712. [Google Scholar]
- Lennox, A.J.J.; Bartels, P.; Pohl, M.-M.; Junge, H.; Beller, M. In situ photodeposition of copper nanoparticles on TiO2: Novel catalysts with facile light-induced redox cycling. J. Catal. 2016, 340, 177–183. [Google Scholar] [CrossRef]
- Dugal, S.; Mascarenhas, S. Chemical synthesis of copper nanoparticles and its antibacterial effect against gram negative pathogens. J. Adv. Sci. Res. 2015, 6, 1–4. [Google Scholar]
- Kalatehjari, P.; Yousefian, M.; Khalilzadeh, M.A. Assessment of antifungal effects of copper nanoparticles on the growth of the fungus Saprolegnia sp. on white fish (Rutilus frisii kutum) eggs. Egypt. J. Aquat. Res. 2015, 41, 303–306. [Google Scholar] [CrossRef]
- Montes, M.; Pierce, C.G.; Lopez-Ribot, J.L.; Bhalla, A.; Guo, R. Properties of silver and copper nanoparticle containing aqueous suspensions and evaluation of their in vitro activity against Candida albicans and Staphylococcus aureus biofilms. J. Nano Res. 2015, 37, 109–121. [Google Scholar] [CrossRef]
- Woźniak-Budych, M.J.; Langer, K.; Peplińska, B.; Przysiecka, Ł.; Jarek, M.; Jarzębski, M.; Jurga, S. Copper-gold nanoparticles: Fabrication, characteristic and application as drug carriers. Mater. Chem. Phys. 2016, 179, 242–253. [Google Scholar] [CrossRef]
- Ma, W.; Soroush, A.; Luong, T.V.A.; Brennan, G.; Rahaman, S.; Asadishad, B.; Tufenkji, N. Spray- and spin-assisted layer-by-layer assembly of copper nanoparticles on thin-film composite reverse osmosis membrane for biofouling mitigation. Water Res. 2016, 99, 188–199. [Google Scholar] [CrossRef] [PubMed]
- Ighalo, J.O.; Sagboye, P.A.; Umenweke, G.; Ajala, O.J.; Omoarukhe, F.O.; Adeyanju, C.A.; Ogunniyi, S.; Adeniyi, A.G. CuO nanoparticles (CuO NPs) for water treatment: A review of recent advances. Environ. Nanotechnol. Monit. Manag. 2021, 15, 100443. [Google Scholar] [CrossRef]
- Abdel-Latif, H.M.R.; Dawood, M.A.O.; Mahmoud, S.F.; Shukry, M.; Noreldin, A.E.; Ghetas, H.A.; Khallaf, M.A. Copper oxide nanoparticles alter serum biochemical indices, induce histopathological alterations, and modulate transcription of cytokines, HSP70, and oxidative stress genes in Oreochromis niloticus. Animals 2021, 11, 652. [Google Scholar] [CrossRef]
- Blaise, C.; Gagné, F.; Férard, J.F.; Eullaffroy, P. Ecotoxicity of selected nano-materials to aquatic organisms. Environ. Toxicol. 2008, 23, 591–598. [Google Scholar] [CrossRef]
- Iftikhar, M.; Noureen, A.; Uzair, M.; Jabeen, F.; Abdel-Daim, M.; Cappello, T. Perspectives of nanoparticles in male infertility: Evidence for induced abnormalities in sperm production. Int. J. Environ. Res. Public Health 2021, 18, 1758. [Google Scholar] [CrossRef] [PubMed]
- Malhotra, N.; Ger, T.-R.; Uapipatanakul, B.; Huang, J.-C.; Chen, K.H.-C.; Hsiao, C.-D. Review of copper and copper nanoparticle toxicity in fish. Nanomaterials 2020, 10, 1126. [Google Scholar] [CrossRef]
- Giese, B.; Klaessig, F.; Park, B.; Kaegi, R.; Steinfeldt, M.; Wigger, H.; von Gleich, A.; Gottschalk, F. Risks, release and concentrations of engineered nanomaterial in the environment. Sci. Rep. 2018, 8, 1565. [Google Scholar] [CrossRef] [PubMed]
- El Nemr, A.; Khaled, A.; Moneer, A.A.; El Sikaily, A. Risk probability due to heavy metals in bivalve from Egyptian Mediterranean coast. Egypt. J. Aquat. Res. 2012, 28, 67–75. [Google Scholar] [CrossRef]
- Muhammad, S.; Shah, M.T.; Khan, S. Health risk assessment of heavy metals and their source apportionment in drinking water of Kohistan region, northern Pakistan. Microchem. J. 2011, 98, 334–343. [Google Scholar] [CrossRef]
- Islam, M.D.; Tanaka, M. Impacts of pollution on coastal and marine ecosystems including coastal and marine fisheries and approach for management: A review and synthesis. Mar. Pollut. Bull. 2004, 48, 624–649. [Google Scholar] [CrossRef] [PubMed]
- Maisano, M.; Cappello, T.; Catanese, E.; Vitale, V.; Natalotto, A.; Giannetto, A.; Barreca, D.; Brunelli, E.; Mauceri, A.; Fasulo, S. Developmental abnormalities and neurotoxicological effects of CuO NPs on the black sea urchin Arbacia lixula by embryotoxicity assay. Mar. Environ. Res. 2015, 111, 121–127. [Google Scholar] [CrossRef]
- Cappello, T.; Vitale, V.; Oliva, S.; Villari, V.; Mauceri, A.; Fasulo, S.; Maisano, M. Alteration of neurotransmission and skeletogenesis in sea urchin Arbacia lixula embryos exposed to copper oxide nanoparticles. Comp. Biochem. Physiol. C 2017, 199, 20–27. [Google Scholar] [CrossRef]
- Giannetto, A.; Cappello, T.; Oliva, S.; Parrino, V.; De Marco, G.; Fasulo, S.; Mauceri, A.; Maisano, M. Copper oxide nanoparticles induce the transcriptional modulation of oxidative stress-related genes in Arbacia lixula embryos. Aquat. Toxicol. 2018, 201, 187–197. [Google Scholar] [CrossRef]
- Kakakhel, M.A.; Wu, F.; Sajjad, W.; Zhang, Q.; Khan, I.; Ullah, K.; Wang, W. Long-term exposure to high-concentration silver nanoparticles induced toxicity, fatality, bioaccumulation, and histological alteration in fish (Cyprinus carpio). Environ. Sci. Eur. 2021, 33, 14. [Google Scholar] [CrossRef]
- Noureen, A.; Jabeen, F.; Tabish, T.A.; Yaqub, S.; Ali, M.; Chaudhry, A.S. Assessment of copper nanoparticles (Cu-NPs) and copper (II) oxide (CuO) induced hemato- and hepatotoxicity in Cyprinus carpio. Nanotechnology 2018, 29, 144003. [Google Scholar] [CrossRef]
- Noureen, A.; Jabeen, F.; Tabish, T.A.; Zahoor, M.K.; Ali, M.; Iqbal, R.; Yaqub, S.; Chaudhry, A.S. Ameliorative effects of Moringa oleifera on copper nanoparticle induced toxicity in Cyprinus carpio assessed by histology and oxidative stress markers. Nanotechnology 2018, 29, 464003. [Google Scholar] [CrossRef] [PubMed]
- Forouhar Vajargah, M.; Mohamadi Yalsuyi, A.; Sattari, M.; Prokic, M.D.; Faggio, C. Effects of copper oxide nanoparticles (CuO-NPs) on parturition time, survival rate and reproductive success of guppy fish, Poecilia reticulata. J. Clust. Sci. 2020, 31, 499–506. [Google Scholar] [CrossRef]
- Khosla, P.; Gupta, D.D.; Nagpal, R.K. Effect of Trigonella foenum graecum (fenugreek) on blood glucose in normal and diabetic rats. Ind. J. Physiol. Pharmacol. 1995, 39, 173–174. [Google Scholar]
- Pradeepkiran, J.A.; Nandyala, V.S.; Bhaskar, M. Trigonella foenum-graecum seeds extract plays a beneficial role on brain antioxidant and oxidative status in alloxan-induced Wistar rats. Food Qual. Saf. 2020, 4, 83–89. [Google Scholar] [CrossRef]
- Vats, V.; Yadav, S.P.; Biswas, N.R.; Grover, J.K. Anti-cataract activity of Pterocarpus marsupium bark and Trigonella foenum-graecum seeds extract in alloxan diabetic rats. J. Ethnopharmacol. 2004, 93, 289–294. [Google Scholar] [CrossRef]
- Kumar, P.; Bhandari, U.; Jamadagni, S. Fenugreek seed extract inhibit fat accumulation and ameliorates dyslipidemia in high fat diet-induced obese rats. Biomed. Res. Int. 2014, 2014, 606021. [Google Scholar] [CrossRef] [PubMed]
- Abdel-Daim, M.M.; Abd Eldaim, M.A.; Hassan, A.G. Trigonella foenum-graecum ameliorates acrylamide-induced toxicity in rats: Roles of oxidative stress, proinflammatory cytokines, and DNA damage. Biochem. Cell Biol. 2015, 93, 192–198. [Google Scholar] [CrossRef] [PubMed]
- Awad, E.; Cerezuela, R.; Esteban, M.A. Effects of fenugreek (Trigonella foenum graecum) on gilthead seabream (Sparus aurata L.) immune status and growth performance. Fish Shellfish Immunol. 2015, 45, 454–464. [Google Scholar] [CrossRef] [PubMed]
- Waffa, T.A.; Mohammad, M.N.A.; Doaa, A.D.; Amany, M.K.; Iman, M.K.A.; Taghreed, B.I. Cadmium toxicity-induced oxidative stress and genotoxic effects on Nile tilapia (Oreochromis niloticus L.) fish: The protective role of fenugreek (Trigonella foenum-graecum) seeds. Egypt. J. Aquat. Biol. Fish. 2019, 23, 193–215. [Google Scholar]
- Thaakur, S.R.; Saraswathy, G.R.; Maheswari, E.; Kumar, N.S.; Hazarathiah, T.; Sowmya, K.; Reddy, P.D.; Kumar, B.R. Inhibition of CCl4-induced liver fibrosis by Trigonella foenum-graecum Linn. Nat. Prod. Radiance 2007, 6, 11–17. [Google Scholar]
- Albasha, M.O.; Azab, E.S.A. Effect of cadmium on the liver and amelioration by aqueous extracts of fenugreek seeds, rosemary, and cinnamon in Guinea pigs: Histological and biochemical study. Cell Biol. 2014, 2, 34–44. [Google Scholar] [CrossRef]
- Belaïd-Nouira, Y.; Bakhta, H.; Haouas, Z.; Flehi-Slim, I.; Ben Cheikh, H. Fenugreek seeds reduce aluminum toxicity associated with renal failure in rats. Nutr. Res. Pract. 2013, 7, 466–474. [Google Scholar] [CrossRef]
- Abdel-Daim, M.M.; Abd Eldaim, M.A.; Mahmoud, M.M. Trigonella foenum-graecum protection against deltamethrin-induced toxic effects on haematological, biochemical, and oxidative stress parameters in rats. Can. J. Physiol. Pharmacol. 2014, 92, 679–685. [Google Scholar] [CrossRef]
- Rahman, M.M. Role of common carp (Cyprinus carpio) in aquaculture production systems. Front. Life Sci. 2015, 8, 399–410. [Google Scholar] [CrossRef]
- Bongers, A.B.; Sukkel, M.; Gort, G.; Komen, J.; Richter, C.J. Development and use of genetically uniform strains of common carp in experimental animal research. Lab. Anim. 1998, 32, 349–363. [Google Scholar] [CrossRef]
- Khan, R.A.; Khan, M.R.; Sahreen, S. Protective effect of Sonchus asper extracts against experimentally induced lung injuries in rats: A novel study. Exp. Toxicol. Pathol. 2012, 64, 725–731. [Google Scholar] [CrossRef]
- AOAC. Official Method of Analysis: Association of Analytical Chemists, 19th ed.; AOAC: Washington, DC, USA, 2012; pp. 121–130. [Google Scholar]
- Obadoni, B.O.; Ochuko, P.O. Phytochemical studies and comparative efficacy of the crude extract of some homeostatic plants in Edo and Delta states of Nigeria. Global J. Pure Appl. Sci. 2001, 8, 203–208. [Google Scholar]
- Van-Burden, T.P.; Robinson, T. The Biochemistry of Alkaloids, 2nd ed; Springer: Berlin/Heidelberg, Germany; New York, NY, USA, 1981. [Google Scholar]
- Bohm, B.A.; Kocipai-Abyazan, R. Flavonoid and condensed tannins from the leaves of Vaccinum raticulation and Vaccinum calcyimium. Pacific Sci. 1994, 48, 458–463. [Google Scholar]
- AOAC. International Official Methods of Analysis, 17th ed.; AOAC: Gaithersburg, MD, USA, 2005. [Google Scholar]
- Hikasa, Y.; Takase, K.; Ogasawara, T.; Ogasawara, S. Anesthesia and recovery with tricaine methanesulfonate, eugenol and thiopental sodium in the carp, Cyprinus carpio. Nihon. Juigaku Zasshi. 1986, 48, 341–351. [Google Scholar] [CrossRef] [PubMed]
- Javahery, S.; Nekoubin, H.; Moradlu, A.H. Effect of anaesthesia with clove oil in fish (review). Fish Physiol. Biochem. 2012, 38, 1545–1552. [Google Scholar] [CrossRef]
- Maisano, M.; Trapani, M.R.; Parrino, V.; Parisi, M.G.; Cappello, T.; D’Agata, A.; Benenati, G.; Natalotto, A.; Mauceri, A.; Cammarata, M. Haemolytic activity and characterization of nematocyst venom from Pelagia noctiluca (Cnidaria, Scyphozoa). It. J. Zool. 2013, 80, 168–176. [Google Scholar] [CrossRef]
- Parrino, V.; Cappello, T.; Costa, G.; Cannavà, C.; Sanfilippo, M.; Fazio, F.; Fasulo, S. Comparative study of haematology of two teleost fish (Mugil cephalus and Carassius auratus) from different environments and feeding habits. Eur. J. Zool. 2018, 85, 194–200. [Google Scholar] [CrossRef]
- Parrino, V.; De Marco, G.; Minutoli, R.; Lo Paro, G.; Giannetto, A.; Cappello, T.; De Plano, L.M.; Cecchini, S.; Fazio, F. Effects of pesticides on Chelon labrosus (Risso, 1827) evaluated by enzymatic activities along the north eastern Sicilian coastlines (Italy). Eur. J. Zool. 2021, 88, 540–548. [Google Scholar] [CrossRef]
- Jabeen, F.; Chaudhry, A.S. Histopathological and metal profiles of gills and liver of Oreochromis mossambicus as indicator of freshwater pollution. Egypt J. Aquat. Biol. Fish. 2011, 15, 131–137. [Google Scholar]
- Abouda, S.; Missawi, O.; Cappello, T.; Boughattas, I.; De Marco, G.; Maisano, M.; Banni, M. Toxicological impact of environmental microplastics and benzo[a]pyrene in the seaworm Hediste diversicolor under environmentally relevant exposure conditions. Environ. Pollut. 2022, 310, 119856. [Google Scholar] [CrossRef]
- Afsa, S.; De Marco, G.; Giannetto, A.; Parrino, V.; Cappello, T.; ben Mansour, H.; Maisano, M. Histological endpoints and oxidative stress transcriptional responses in the Mediterranean mussel Mytilus galloprovincialis exposed to realistic doses of salicylic acid. Environ. Toxicol. Pharmacol. 2022, 92, 103855. [Google Scholar] [CrossRef]
- De Marco, G.; Oliveri Conti, G.; Giannetto, A.; Cappello, T.; Galati, M.; Iaria, C.; Pulvirenti, E.; Capparucci, F.; Mauceri, A.; Ferrante, M.; et al. Embryotoxicity of polystyrene microplastics in zebrafish Danio rerio. Environ. Res. 2022, 208, 112552. [Google Scholar] [CrossRef] [PubMed]
- Ohkawa, H.; Ohishi, N.; Yagi, K. Assay for lipid peroxides in animal tissues by thiobarbituric acid reaction. Anal. Biochem. 1979, 95, 351–358. [Google Scholar] [CrossRef]
- Sedlak, J.; Lindsay, R.H. Estimation of total, protein-bound, and nonprotein sulfhydryl groups in tissue with Ellman’s reagent. Anal. Biochem. 1968, 25, 192–205. [Google Scholar] [CrossRef]
- Aebi, H. Catalases Methods of Enzymatic Analysis; Bergmeyer, H.U., Ed.; New York Academic: New York, NY, USA, 1974; pp. 673–684. [Google Scholar]
- De Marco, G.; Afsa, S.; Galati, M.; Billè, B.; Parrino, V.; ben Mansour, H.; Cappello, T. Comparison of cellular mechanisms induced by pharmaceutical exposure to caffeine and its combination with salicylic acid in mussel Mytilus galloprovincialis. Environ. Toxico. Pharmacol. 2022, 93, 103888. [Google Scholar] [CrossRef]
- De Marco, G.; Afsa, S.; Galati, M.; Guerriero, G.; Mauceri, A.; ben Mansour, H.; Cappello, T. Time- and dose-dependent biological effects of a sub-chronic exposure to realistic doses of salicylic acid in the gills of mussel Mytilus galloprovincialis. Environ. Sci. Pollu. Res. 2022, in press. [Google Scholar] [CrossRef]
- Ellman, G.L. Tissue sulphydryl groups. Arch. Biochem. 1959, 82, 70–77. [Google Scholar] [CrossRef]
- Wink, M. Modes of action of herbal medicines and plant secondary metabolites. Medicines 2015, 2, 251–286. [Google Scholar] [CrossRef]
- Ekor, M. The growing use of herbal medicines: Issues relating to adverse reactions and challenges in monitoring safety. Front. Pharmacol. 2013, 4, 177. [Google Scholar] [CrossRef]
- Lourenço, S.C.; Moldao-Martins, M.; Alves, V.D. Antioxidants of natural plant origins: From sources to food industry applications. Molecules 2019, 24, 4132. [Google Scholar] [CrossRef]
- Chauhan, S.M.; Kharkwal, H.; Varma, A. An international journal of pharmaceutical sciences pharmacognostic, preliminary phytochemical studies and anticancerous potential of Trigonella foenum-graecum. J. Indian Chem. Soc. 2011, 64, 776–777. [Google Scholar]
- Sumayya, A.R.; Sivagami, S.; Nabeelah, A. Screening and biochemical quantification of phytochemicals in fenugreek (Trigonella foenum graecum). Res. J. Pharm. Biol. Chem. Sci. 2012, 3, 165. [Google Scholar]
- Mbarki, S.; Alimi, H.; Bouzenna, H.; Elfeki, A.; Hfaiedh, N. Phytochemical study and protective effect of Trigonella foenum graecum (fenugreek seeds). Biomed. Pharmacother. 2017, 88, 19–26. [Google Scholar] [CrossRef] [PubMed]
- Benziane, M.N.A.; Acem, K.; Aggad, H.; Abdali, M. Phytochemistry, HPLC profile and antioxidant activity of aqueous extracts of fenugreek (Trigonella foenum graecum L.) seeds grown in arid zones of Algeria. Acta Sci. Nat. 2019, 6, 71–87. [Google Scholar] [CrossRef]
- Hwa, C.Y.; Perveen, N.; Paliwal, N.; Khan, N.H. Phytochemcial screening, antimicrobial and antioxidant activity determination of Trigonella foenum-graecum seeds. Pharm. Pharmacol. Int. J. 2019, 71, 2379–6367. [Google Scholar]
- Erhirhie, E.O.; Ihekwereme, C.P.; Ilodigwe, E.E. Advances in acute toxicity testing: Strengths, weaknesses and regulatory acceptance. Interdiscip. Toxicol. 2018, 11, 5–12. [Google Scholar] [CrossRef]
- Vaithiyanathan, V.; Mirunalini, S. Assessment of antioxidant potential and acute toxicity studies of whole plant extract of Pergularia daemia (forsk). Toxicol. Int. 2015, 22, 54–60. [Google Scholar]
- Raj, J.; Chandra, M.; Dogra, T.D.; Pahuja, M.; Raina, A. Determination of median lethal dose of combination of endosulfan and cypermethrin in wistar rat. Toxicol. Int. 2013, 20, 1–5. [Google Scholar] [PubMed]
- Kumar, A.; Prasad, M.; Mishra, D.; Srivastav, S.K.; Srivastav, A.K. Toxicity of aqueous extract of Euphorbia tirucalli latex on catfish, Heteropneustes fossilis. Ecotoxicol. Environ. Saf. 2010, 73, 1671–1673. [Google Scholar] [CrossRef]
- Kavitha, C.; Ramesh, M.; Kumaran, S.S.; Lakshmi, S.A. Toxicity of Moringa oleifera seed extract on some hematological and biochemical profiles in a freshwater fish, Cyprinus carpio. Exp. Toxicol. Pathol. 2012, 64, 681–687. [Google Scholar] [CrossRef]
- Syngai, G.G.; Dey, S.; Bharali, R. Evaluation of toxicity levels of the aqueous extract of Allium sativum and its effects on the behavior of juvenile common carp (Cyprinus carpio L., 1758). Asian J. Pharm. Clin. Res. 2016, 9, 417–421. [Google Scholar]
- Kaviarasan, S.; Ramamurty, N.; Gunasekaran, P.; Varalakshmi, E.; Anuradha, C.V. Fenugreek (Trigonella foenum graecum) seed extract prevents ethanol-induced toxicity and apoptosis in Chang liver cells. Alcohol Alcohol. 2006, 41, 267–273. [Google Scholar] [CrossRef] [PubMed]
- Kaviarasan, S.; Anuradha, C.V. Fenugreek (Trigonella foenum graecum) seed polyphenols protect liver from alcohol toxicity: A role on hepatic detoxification system and apoptosis. Pharmazie 2007, 62, 299–304. [Google Scholar] [PubMed]
- Kaviarasan, S.; Sundarapandiyan, R.; Anuradha, C.V. Protective action of fenugreek (Trigonella foenum graecum) seed polyphenols against alcohol-induced protein and lipid damage in rat liver. Cell Biol. Toxicol. 2008, 24, 391–400. [Google Scholar] [CrossRef] [PubMed]
- Alloui, N.; Ben Aksa, S.; Alloui, M.N.; Ibrir, F. Utilization of fenugreek (Trigonella Foenum-Graecum) as growth promoter for broiler chickens. J. World’s Poult. Res. 2012, 2, 25–27. [Google Scholar]
- Kaviarasan, S.; Naik, G.; Gangabhagirathi, R.; Anuradha, C.; Priyadarsini, K. In vitro studies on antiradical and antioxidant activities of fenugreek (Trigonella foenum graecum) seeds. Food Chem. 2007, 103, 31–37. [Google Scholar] [CrossRef]
- Gupta, S.K.; Kalaiselvan, V.; Srivastava, S.; Saxena, R.; Agrawal, S.S. Trigonella foenum-graecum (Fenugreek) protects against selenite-induced oxidative stress in experimental cataractogenesis. Biol. Trace Elem. Res. 2010, 136, 258–268. [Google Scholar] [CrossRef]
- Elseed, A.M.A.F.; Danil, T.; Elmanan, B.A.A.; Ali, O.H.A. Effects of fenugreek (Trigonella foenum-graecum) seeds saponin on digestibility, n-retention, hematological parameters and blood metabolites in rabbits. World’s Vet. J. 2013, 3, 65–73. [Google Scholar] [CrossRef]
- Cappello, T.; Giannetto, A.; Parrino, V.; De Marco, G.; Mauceri, A.; Maisano, M. Food safety using NMR-based metabolomics: Assessment of the Atlantic bluefin tuna, Thunnus thynnus, from the Mediterranean Sea. Food Chem. Toxicol. 2018, 115, 391–397. [Google Scholar] [CrossRef]
- Cappello, T.; Pereira, P.; Maisano, M.; Mauceri, A.; Pacheco, M.; Fasulo, S. Advances in understanding the mechanisms of mercury toxicity in wild golden grey mullet (Liza aurata) by 1H NMR-based metabolomics. Environ. Pollut. 2016, 219, 139–148. [Google Scholar] [CrossRef]
- De Marco, G.; Brandão, F.; Pereira, P.; Pacheco, M.; Cappello, T. Organ-specific metabolome deciphering cell pathways to cope with mercury in wild fish (golden grey mullet Chelon auratus). Animals 2022, 12, 79. [Google Scholar] [CrossRef]
- Zitouni, N.; Cappello, T.; Missawi, O.; Boughattas, I.; De Marco, G.; Belbekhouche, S.; Mokni, M.; Alphonse, V.; Guerbej, H.; Bousserrhine, N.; et al. Metabolomic disorders unveil hepatotoxicity of environmental microplastics in wild fish Serranus scriba (Linnaeus 1758). Sci. Total Environ. 2022, 838 Pt 1, 155872. [Google Scholar] [CrossRef] [PubMed]
- Pereira, P.; Korbas, M.; Pereira, V.; Cappello, T.; Maisano, M.; Canario, J.; Almeida, A.; Pacheco, M. A multidimensional concept for mercury neuronal and sensory toxicity in fish—From toxicokinetics and biochemistry to morphometry and behavior. BBA Gen. Subj. 2019, 1863, 129298. [Google Scholar] [CrossRef] [PubMed]
- Uslu, G.A.; Uslu, H.; Adali, Y. Hepatoprotective and nephroprotective effects of Trigonella foenum-graecum L. (fenugreek) seed extract against sodium nitrate toxicity in rats. Biomed. Res. Ther. 2019, 6, 3142–3150. [Google Scholar]
- Wani, S.A.; Kumar, P. Fenugreek: A review on its nutraceutical properties and utilization in various food products. J. Saudi Soc. Agric. Sci. 2018, 17, 97–106. [Google Scholar] [CrossRef]
- Lohvina, H.; Sandor, M.; Wink, M. Effect of ethanol solvents on total phenolic content and antioxidant properties of seed extracts of fenugreek (Trigonella foenum-graecum L.) varieties and determination of phenolic composition by HPLC-ESI-MS. Diversity 2022, 14, 7. [Google Scholar] [CrossRef]




| Groups | Concentration of CuO NPs (mg/L) | Concentration of Fenugreek Extract (mg/L) | Initial Weight (g) | Final Weight (g) | Initial Length (cm) | Final Length (cm) |
|---|---|---|---|---|---|---|
| C-positive | 1.50 | 0.00 | 45.28 ± 0.34 | 43.75 ± 0.41 c | 14.40 ± 0.56 | 13.57 ± 0.67 c |
| G-1 | 1.50 | 100.00 | 45.96 ± 0.21 | 47.09 ± 0.67 a | 14.90 ± 0.30 | 15.97 ± 0.49 a |
| G-2 | 1.50 | 125.00 | 46.25 ± 0.90 | 49.03 ± 0.50 a | 15.30 ± 0.95 | 18.10 ± 0.62 a |
| G-3 | 1.50 | 150.00 | 45.43 ± 0.62 | 47.98 ± 0.43 b | 14.17 ± 1.05 | 17.00 ± 0.36 b |
| C-negative | 0.00 | 0.00 | 44.99 ± 0.24 | 49.33 ± 0.56 a | 14.38 ± 0.55 | 18.99 ± 0.66 a |
| Groups | Concentration of CuO NPs (mg/L) | Concentration of the Fenugreek Extract (mg/L) | Level of Cu (µg/kg ww) in Gills | Level of Cu (µg/kg ww) in Liver | Level of Cu (µg/kg ww) in Kidney |
|---|---|---|---|---|---|
| C-positive | 1.50 | 0.00 | 1.18 ± 0.006 | 1.38 ± 0.006 | 0.05 ± 0.006 |
| G-1 | 1.50 | 100.00 | 1.17 ± 0.010 | 1.36 ± 0.010 | 0.04 ± 0.010 |
| G-2 | 1.50 | 125.00 | 1.12 ± 0.010 | 1.28 ± 0.010 | 0.03 ± 0.010 |
| G-3 | 1.50 | 150.00 | 1.09 ± 0.010 | 1.19 ± 0.010 | 0.03 ± 0.010 |
| C-negative | 0.00 | 0.00 | 0.12 ± 0.01 | 0.09 ± 0.02 | 0.11 ± 0.04 |
| Groups | Concentration of CuO NPs (mg/L) | Concentration of Fenugreek Extract (mg/L) | Hb (g/dL) | Hct (%) | RBC (×106/M) | WBC (×103/µL) | MCV (fl) | MCH (pg) | MCHC (g/dL) | Platelet Count (×103/µL) |
|---|---|---|---|---|---|---|---|---|---|---|
| C-positive | 1.50 | 0.00 | 5.6 | 18.16 | 1.083 | 68.987 | 129.4 | 34.03 | 26.96 | 1272.3 |
| G-1 | 1.50 | 100.00 | 7.067 | 22.73 | 1.807 | 3.497 | 140.4 | 40.12 | 33.57 | 209.7 |
| G-2 | 1.50 | 125.00 | 7 | 22.5 | 1.823 | 2.57 | 145.9 | 40.35 | 34.27 | 207.5 |
| G-3 | 1.50 | 150.00 | 6.967 | 23.73 | 1.79 | 1.497 | 146.4 | 41.96 | 34.34 | 206.4 |
| C-negative | 0.00 | 0.00 | 9.21 | 24.62 | 2.82 | 3.34 | 139.41 | 42.31 | 34.11 | 181.20 |
| Histological Alterations in Gills | Control | C-Positive | G-1 | G-2 | G-3 |
|---|---|---|---|---|---|
| Degenerative secondary lamellae (DSL) | - | ++ | + | - | - |
| Degenerative epithelium (DE) | - | +++ | ++ | + | + |
| Fused lamellae (FL) | - | +++ | ++ | + | + |
| Necrotic lamella (NL) | - | +++ | + | + | - |
| Necrosis of primary lamella (NPL) | - | ++ | - | - | - |
| Complete degeneration (CD) | - | +++ | + | - | - |
| Complete lamellar fusion (CLF) | - | ++ | + | - | - |
| Histological Alterations in Liver | Control | C-Positive | G-1 | G-2 | G-3 |
|---|---|---|---|---|---|
| Hepatocytes (DH) | - | ++ | + | + | + |
| Vacuolization (V) | - | +++ | + | - | + |
| Damaged central vein (DCV) | - | +++ | ++ | + | - |
| Dilated sinusoid (DS) | - | +++ | + | - | - |
| Vacuolated degeneration (VD) | - | ++ | - | - | - |
| Complete degeneration (CD) | - | +++ | - | - | - |
| Histological Alterations in Kidney | Control | C-Positive | G-1 | G-2 | G-3 |
|---|---|---|---|---|---|
| Necrosis and tubular degeneration (NTD) | - | ++ | + | + | + |
| Abnormal glomerulus (AG) | - | +++ | - | + | - |
| Swollen tubules (ST) | - | +++ | + | + | + |
| Complete degeneration (CD) | - | +++ | + | - | - |
| Groups | Concentration of CuO NPs (mg/L) | Concentration of Fenugreek Extract (mg/L) | LPO | GSH | CAT | |||
|---|---|---|---|---|---|---|---|---|
| Liver | Gills | Liver | Gills | Liver | Gills | |||
| C-positive | 1.50 | 0.00 | 545.80 ± 20.09 | 759.4 ± 22.05 | 2040 ± 31.04 | 8007 ± 56.11 | 2.11 ± 0.21 | 1.43 ± 0.05 |
| G-1 | 1.50 | 100.00 | 382.40 ± 17.03 | 337.3 ± 15.04 | 1340 ± 23.06 | 2246 ± 35.82 | 2.47 ± 0.34 | 2.78 ± 0.12 |
| G-2 | 1.50 | 125.00 | 364.90 ± 15.04 | 350 ± 15.08 | 1343 ± 23.09 | 2269 ± 35.32 | 2.39 ± 0.26 | 2.62 ± 0.16 |
| G-3 | 1.50 | 150.00 | 385.40 ± 16.01 | 366.6 ± 16.04 | 1455 ± 25.01 | 2294 ± 36.12 | 2.34 ± 0.22 | 2.46 ± 0.11 |
| C-negative | 0.00 | 0.00 | 319.11 ± 5.11 | 423.1 ± 3.14 | 1235 ± 8.15 | 2239 ± 8.55 | 2.37 ± 0.02 | 2.54 ± 0.01 |
Publisher’s Note: MDPI stays neutral with regard to jurisdictional claims in published maps and institutional affiliations. |
© 2022 by the authors. Licensee MDPI, Basel, Switzerland. This article is an open access article distributed under the terms and conditions of the Creative Commons Attribution (CC BY) license (https://creativecommons.org/licenses/by/4.0/).
Share and Cite
Noureen, A.; De Marco, G.; Rehman, N.; Jabeen, F.; Cappello, T. Ameliorative Hematological and Histomorphological Effects of Dietary Trigonella foenum-graecum Seeds in Common Carp (Cyprinus carpio) Exposed to Copper Oxide Nanoparticles. Int. J. Environ. Res. Public Health 2022, 19, 13462. https://doi.org/10.3390/ijerph192013462
Noureen A, De Marco G, Rehman N, Jabeen F, Cappello T. Ameliorative Hematological and Histomorphological Effects of Dietary Trigonella foenum-graecum Seeds in Common Carp (Cyprinus carpio) Exposed to Copper Oxide Nanoparticles. International Journal of Environmental Research and Public Health. 2022; 19(20):13462. https://doi.org/10.3390/ijerph192013462
Chicago/Turabian StyleNoureen, Aasma, Giuseppe De Marco, Nagina Rehman, Farhat Jabeen, and Tiziana Cappello. 2022. "Ameliorative Hematological and Histomorphological Effects of Dietary Trigonella foenum-graecum Seeds in Common Carp (Cyprinus carpio) Exposed to Copper Oxide Nanoparticles" International Journal of Environmental Research and Public Health 19, no. 20: 13462. https://doi.org/10.3390/ijerph192013462
APA StyleNoureen, A., De Marco, G., Rehman, N., Jabeen, F., & Cappello, T. (2022). Ameliorative Hematological and Histomorphological Effects of Dietary Trigonella foenum-graecum Seeds in Common Carp (Cyprinus carpio) Exposed to Copper Oxide Nanoparticles. International Journal of Environmental Research and Public Health, 19(20), 13462. https://doi.org/10.3390/ijerph192013462

