Sign in to use this feature.

Years

Between: -

Subjects

remove_circle_outline
remove_circle_outline
remove_circle_outline
remove_circle_outline
remove_circle_outline
remove_circle_outline
remove_circle_outline
remove_circle_outline
remove_circle_outline

Journals

remove_circle_outline
remove_circle_outline
remove_circle_outline
remove_circle_outline
remove_circle_outline
remove_circle_outline
remove_circle_outline
remove_circle_outline
remove_circle_outline
remove_circle_outline
remove_circle_outline
remove_circle_outline
remove_circle_outline
remove_circle_outline
remove_circle_outline
remove_circle_outline
remove_circle_outline
remove_circle_outline
remove_circle_outline
remove_circle_outline
remove_circle_outline
remove_circle_outline
remove_circle_outline
remove_circle_outline
remove_circle_outline
remove_circle_outline
remove_circle_outline

Article Types

Countries / Regions

remove_circle_outline
remove_circle_outline
remove_circle_outline
remove_circle_outline
remove_circle_outline

Search Results (1,633)

Search Parameters:
Keywords = neurological complications

Order results
Result details
Results per page
Select all
Export citation of selected articles as:
13 pages, 1047 KB  
Article
Clinical Outcomes and Correction Rates of Valgus and Varus Deformities Treated with Temporary Hemiepiphysiodesis Using Tension Plates: A Retrospective Cohort Study
by Manuel Gahleitner, Tobias Gotterbarm and Lorenz Pisecky
Medicina 2026, 62(1), 165; https://doi.org/10.3390/medicina62010165 - 14 Jan 2026
Abstract
Background and Objectives: Coronal plane deformities of the knee, particularly genu valgum and varum, represent common indications for guided growth in pediatric orthopedics. This study evaluates the clinical and radiographic outcomes of temporary hemiepiphysiodesis using tension-band plates in skeletally immature patients and [...] Read more.
Background and Objectives: Coronal plane deformities of the knee, particularly genu valgum and varum, represent common indications for guided growth in pediatric orthopedics. This study evaluates the clinical and radiographic outcomes of temporary hemiepiphysiodesis using tension-band plates in skeletally immature patients and identifies factors associated with successful correction. Materials and Methods: A retrospective review was conducted on patients treated with tension-band plate hemiepiphysiodesis for knee valgus or varus deformities between 2012 and 2023. Inclusion required open physes, pre- and postoperative full-length radiographs, and follow-up until implant removal or skeletal maturity. Mechanical axis parameters (mLDFA, mMPTA) were compared pre- and postoperatively, and correction rates were calculated. Idiopathic cases were analyzed separately from those with neurological or osteological disorders. Results: Sixty-six limbs were included (51 valgus, 15 varus). In the idiopathic subgroup, significant correction was achieved, with mLDFA improving by +5.19° and mMPTA by −1.88°, corresponding to annual correction rates of 4.75°/year and −1.74°/year, respectively (p < 0.001). Regression analysis showed no significant predictive value of age or treatment duration for total correction. Patients with pathological physes demonstrated inconsistent outcomes, often requiring additional procedures. No major complications occurred. Conclusions: Temporary hemiepiphysiodesis using tension-band plates is a safe, minimally invasive, and highly effective method for correcting idiopathic valgus deformities in growing children, with correction rates comparable to the existing literature. Outcomes in patients with neurological or osteological comorbidities remain less predictable, underscoring the need for individualized planning and close follow-up. Full article
Show Figures

Figure 1

15 pages, 613 KB  
Review
Tracking Preeclampsia: The Role of Cerebral Biomarkers—A Narrative Review
by Sakina Mustafa Vakhariya, Arshiya Shajahan, Rajani Dube, Subhranshu Sekhar Kar, Bellary Kuruba Manjunatha Goud and Swayam Siddha Kar
Int. J. Mol. Sci. 2026, 27(2), 806; https://doi.org/10.3390/ijms27020806 - 13 Jan 2026
Abstract
Preeclampsia (PE) is the onset of hypertension in pregnancy with systemic involvement; PE poses significant risks of cerebral complications, including eclampsia and long-term cognitive impairment. This review explores the potential of neurological biomarkers—neurofilament light chain (NfL), neuron-specific enolase (NSE), S100 Calcium Binding Protein [...] Read more.
Preeclampsia (PE) is the onset of hypertension in pregnancy with systemic involvement; PE poses significant risks of cerebral complications, including eclampsia and long-term cognitive impairment. This review explores the potential of neurological biomarkers—neurofilament light chain (NfL), neuron-specific enolase (NSE), S100 Calcium Binding Protein B (S100B), and tau—as indicators of cerebral injury in PE. A literature search identified studies comparing biomarker levels in preeclamptic and healthy pregnancies. Findings reveal elevated plasma levels of NfL, NSE, S100B, and Tau in PE, with NfL showing the strongest association with blood–brain barrier dysfunction, cognitive symptoms, and disease severity. Variations between plasma and cerebrospinal fluid levels suggest impaired BBB integrity rather than increased central nervous system production. Despite promising correlations, limitations include small sample sizes, lack of standardized thresholds, and limited CSF data. While NfL emerges as a particularly promising marker for risk stratification, further research is needed to validate the clinical utility of these biomarkers in routine PE management. Full article
(This article belongs to the Special Issue From Molecular Insights to Novel Therapies: Neurological Diseases)
16 pages, 2114 KB  
Article
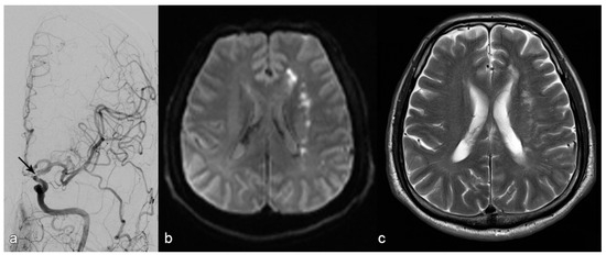
Percutaneous Transluminal Angioplasty and Stenting for Symptomatic Intracranial Stenosis After SAMMPRIS: Patient Selection and Clinical Outcomes
by Leonhard Mann, Patrick Felix Samp, Jan Hendrik Schaefer, Elke Hattingen, Joachim Berkefeld, Dimah Hasan and Fee C. Keil
J. Clin. Med. 2026, 15(2), 633; https://doi.org/10.3390/jcm15020633 - 13 Jan 2026
Abstract
Background/Objectives: After the negative results of the SAMMPRIS trial, the indication for endovascular treatment of atherosclerotic intracranial artery stenosis (ICAS) was widely restricted. It was the aim of our study to report whether intracranial arterial percutaneous transluminal angioplasty and stenting (PTAS) as ultima [...] Read more.
Background/Objectives: After the negative results of the SAMMPRIS trial, the indication for endovascular treatment of atherosclerotic intracranial artery stenosis (ICAS) was widely restricted. It was the aim of our study to report whether intracranial arterial percutaneous transluminal angioplasty and stenting (PTAS) as ultima ratio therapy is still effective and safe enough. Methods: Between February 2011 and June 2019, 63 consecutive patients with and without emergent large vessel occlusion (ELVO) who received PTAS for symptomatic ICAS in the anterior or vertebrobasilar circulation were included in our study. Results: A total of 32 patients had ELVO. In the remaining 31 patients, a known ICAS was treated with PTAS either because of recurrent stroke despite aggressive medical therapy with dual antiplatelet inhibition (n = 24) or due to progressive hemodynamic ischemia (n = 7). Stenting was successful in all 63 cases. Successful reperfusion was achieved in 94% of ELVO patients. Complications with new neurologic deficits, including dissection, subarachnoid hemorrhage, intracerebral hemorrhage (PH2), and stent thrombosis, were seen in five ELVO patients (16%). At discharge, neurological status improved in 16 patients (50%) and deteriorated in 7 patients (22%). In-hospital mortality happened in 5 of 32 ELVO cases (16%), and all of them had lesions in the vertebrobasilar circulation. Regarding non-ELVO cases, two patients (6%) developed new neurologic deficits due to perforator strokes. There was no in-hospital mortality in this group. Conclusions: Even in unfavorable situations with acute atherothrombotic occlusions or recurrent strokes under aggressive medical therapy of known ICAS, PTAS remains a treatment option with reasonable effectiveness. This should be balanced against other treatment options, taking into account the complication rate, which is not negligible. Full article
Show Figures

Figure 1

15 pages, 4088 KB  
Case Report
Candida albicans Meningoencephalitis After Vestibular Schwannoma Surgery: An Autopsy-Confirmed Case Report
by Jessika Camatti, Matteo Tudini, Maria Paola Bonasoni, Anna Laura Santunione, Rossana Cecchi, Erjon Radheshi and Edoardo Carretto
Diagnostics 2026, 16(2), 228; https://doi.org/10.3390/diagnostics16020228 - 11 Jan 2026
Viewed by 118
Abstract
Background and Clinical Significance: Cerebral candidiasis (Candida albicans meningoencephalitis) is a rare but severe central nervous system (CNS) infection, usually associated with neurosurgical procedures or indwelling devices. Diagnosis is challenging due to frequent negativity of cerebrospinal fluid (CSF) cultures, and mortality remains [...] Read more.
Background and Clinical Significance: Cerebral candidiasis (Candida albicans meningoencephalitis) is a rare but severe central nervous system (CNS) infection, usually associated with neurosurgical procedures or indwelling devices. Diagnosis is challenging due to frequent negativity of cerebrospinal fluid (CSF) cultures, and mortality remains high despite antifungal therapy. Case Presentation: We describe a 64-year-old woman who underwent retrosigmoid resection of a left vestibular schwannoma. The early postoperative course was complicated by fever, neurological deterioration, and hydrocephalus requiring external CSF drainage. Multiple lumbar punctures revealed inflammatory CSF profiles but persistently negative cultures. One month post-surgery, intraoperative samples from mastoid repair material grew Candida albicans, prompting antifungal therapy. Despite treatment, the patient experienced fluctuating neurological status and required multiple external ventricular drains. Three months after surgery, she clinically deteriorated and died. Autopsy showed diffuse meningeal thickening and purulent exudates at the brain base and posterior fossa. Histopathology confirmed chronic lympho-histiocytic meningitis with necrotizing foci containing Candida albicans. Conclusions: This case underscores the diagnostic and therapeutic challenges of post-neurosurgical Candida CNS infections. Repeatedly negative CSF cultures delayed diagnosis, emphasizing the value of ancillary tests such as β-d-glucan and molecular assays. Even with antifungal therapy, prognosis is poor. Autopsy remains essential for uncovering fatal healthcare-associated fungal infections and informing clinical vigilance and medico-legal assessment. Full article
(This article belongs to the Special Issue Diagnostic Methods in Forensic Pathology, Third Edition)
Show Figures

Figure 1

23 pages, 1085 KB  
Review
Pathogenesis and Research Models of Acute Influenza-Associated Encephalitis/Encephalopathy: An Update
by Jintian Wei, Haoying Huang, Xiaohuan Wu, Yi Xu and Xiaohui Wang
Viruses 2026, 18(1), 95; https://doi.org/10.3390/v18010095 - 9 Jan 2026
Viewed by 150
Abstract
Influenza-associated encephalitis/encephalopathy (IAE) is a severe neurological complication characterized by central nervous system dysfunction and structural damage following influenza virus infection. Predominantly affecting infants and young children, IAE exhibits its highest incidence in those under five years of age. Key clinical manifestations of [...] Read more.
Influenza-associated encephalitis/encephalopathy (IAE) is a severe neurological complication characterized by central nervous system dysfunction and structural damage following influenza virus infection. Predominantly affecting infants and young children, IAE exhibits its highest incidence in those under five years of age. Key clinical manifestations of IAE include acute seizures, sudden high fever, and impaired consciousness, frequently progressing to coma. Neuroimaging, particularly magnetic resonance imaging (MRI), often reveals multifocal brain lesions involving multiple brain regions, including the cerebellum, brainstem, and corpus callosum. The prognosis of IAE is poor, with a mortality rate reaching 30%. Current diagnosis relies heavily on clinical presentation and characteristic neuroimaging findings, as the precise pathogenesis of IAE remains elusive. While various research models, including cell lines, brain organoids, and animal models, have been developed to recapitulate IAE features, significant limitations persist in modeling the core clinical pathophysiology observed in pediatric patients, necessitating further model refinement. This review synthesizes the clinical spectrum of IAE, summarizes progress in understanding its pathogenesis, and critically evaluates existing research models. We aim to provide a foundation for utilizing experimental approaches to elucidate IAE mechanisms and identify potential therapeutic strategies. Full article
(This article belongs to the Special Issue Extrapulmonary Manifestations of Respiratory Viruses in Children)
Show Figures

Figure 1

36 pages, 5330 KB  
Review
Doppler Assessment of the Fetal Brain Circulation
by Maria Isabel Sá, Miriam Illa and Luís Guedes-Martins
Diagnostics 2026, 16(2), 214; https://doi.org/10.3390/diagnostics16020214 - 9 Jan 2026
Viewed by 220
Abstract
Doppler assessment of fetal cerebral circulation has become a cornerstone of modern fetal medicine. It is used to evaluate cerebral vascular malformations, brain anomalies, fetal growth restriction due to placental insufficiency, fetal anemia, and hemodynamic complications arising from placental vascular anastomoses in monochorionic [...] Read more.
Doppler assessment of fetal cerebral circulation has become a cornerstone of modern fetal medicine. It is used to evaluate cerebral vascular malformations, brain anomalies, fetal growth restriction due to placental insufficiency, fetal anemia, and hemodynamic complications arising from placental vascular anastomoses in monochorionic pregnancies. Emerging research also explores the predictive value of Doppler parameters for perinatal outcomes and long-term neurodevelopment. To review the anatomy and physiology of fetal cerebral vessels accessible to Doppler evaluation, outline key technical aspects, and summarize current obstetric applications. A PubMed search identified 113 relevant publications, published between 1984 and 2025. Three book chapters by authors recognized internationally within the scientific community were included. A total of 116 publications were critically analyzed in this narrative review. Strong evidence supports the use of Doppler ultrasound in obstetrics, particularly for evaluating fetal cerebral hemodynamics, where it contributes to reducing fetal morbidity and mortality. Doppler assessment of fetal brain circulation is a valuable tool for evaluating brain vascular malformations, other structural abnormalities, and for assessing fetuses with growth restriction, anemia, and twin-to-twin transfusion syndrome. It allows targeted fetal monitoring and timely interventions, providing critical prognostic information and aiding parental counseling. Ongoing advances in Doppler technology and understanding of fetal brain physiology are likely to broaden its clinical uses, improving both perinatal outcomes and long-term neurological health. Full article
(This article belongs to the Special Issue Advances in Fetal Diagnosis and Therapy)
Show Figures

Figure 1

42 pages, 3072 KB  
Review
Mumps Virus: Replication, Immune Response, and the Changing Landscape of Vaccine Effectiveness
by Jacquline Risalvato
Pathogens 2026, 15(1), 72; https://doi.org/10.3390/pathogens15010072 - 9 Jan 2026
Viewed by 258
Abstract
Mumps virus (MuV) is a single-stranded, negative-sense RNA virus of the Family Paramyxoviridae. MuV is a highly contagious human pathogen that causes primarily mild symptoms, including hallmark swelling of the parotid glands. Severe cases can occur, leading to neurological complications, including deafness, [...] Read more.
Mumps virus (MuV) is a single-stranded, negative-sense RNA virus of the Family Paramyxoviridae. MuV is a highly contagious human pathogen that causes primarily mild symptoms, including hallmark swelling of the parotid glands. Severe cases can occur, leading to neurological complications, including deafness, meningitis, and encephalitis. The mumps vaccine, now included in combination with measles and rubella vaccines (MMR), was first made available in the 1960s. After its introduction, mumps incidence dropped dramatically to less than 500 cases annually in the US. However, even with long-standing vaccination programs, MuV continues to challenge the landscape of public health due to a resurgence of cases in the past several decades and a still present lack of approved antiviral drugs and treatments available for the disease. This review will explore the biology of MuV, focusing on how MuV replicates and interacts with the host immune system. Recent studies have also shed light on the role of protein phosphorylation in regulating viral RNA synthesis—particularly the dynamic interactions between the nucleoprotein (NP) and phosphoprotein (P)—offering new insights into how the virus controls its replication machinery both mechanistically and through utilizing host cell advantages. We also examine how the immune system responds to mumps infection and vaccination, and how those responses may vary across viral genotypes. Although the Jeryl Lynn vaccine strain has played a key role in controlling mumps for decades, outbreaks among vaccinated individuals have raised questions about the present vaccine’s efficacy against circulating and emerging genotypes and if novel strategies will be required to prevent future outbreaks. We review current epidemiological data, highlighting shifts in MuV transmission and genotype distribution, and discuss the need for updated or genotype-matched vaccines. By connecting molecular virology with real-world trends in disease spread and vaccine performance, this review aims to support ongoing efforts to strengthen mumps control strategies and inform the development of next-generation vaccines. Full article
(This article belongs to the Special Issue Emerging/Re-Emerging Viruses and Antiviral Drug Design)
Show Figures

Figure 1

10 pages, 483 KB  
Case Report
Persistent Vomiting and Epigastric Pain in an Adolescent: A Case of Superior Mesenteric Artery Syndrome Unmasked
by Maria Rogalidou, Georgios Papagiannis, Konstantina Dimakou, Paraskevi Galina, Stavroula-Zoe Siska and Alexandra Papadopoulou
Reports 2026, 9(1), 20; https://doi.org/10.3390/reports9010020 - 9 Jan 2026
Viewed by 156
Abstract
Background and Clinical Significance: Superior mesenteric artery syndrome (SMAS) is a rare and often underdiagnosed cause of proximal intestinal obstruction, resulting from compression of the third portion of the duodenum between the SMA and the aorta. It typically occurs in individuals with significant [...] Read more.
Background and Clinical Significance: Superior mesenteric artery syndrome (SMAS) is a rare and often underdiagnosed cause of proximal intestinal obstruction, resulting from compression of the third portion of the duodenum between the SMA and the aorta. It typically occurs in individuals with significant weight loss due to mesenteric fat depletion. CasePresentation: We report the case of a 14.5-year-old female presented with a 6-day history of intractable vomiting and epigastric pain, on a background of intermittent vomiting over the preceding six months associated with a 7 kg unintentional weight loss, culminating in inability to tolerate oral intake. Her clinical course was complicated by a transient episode of blurred vision, numbness, and incoherent speech, initially suspected to be a neurological event. Extensive gastrointestinal and neurological investigations were inconclusive. Elevated fecal calprotectin levels raised suspicion for inflammatory bowel disease, given her family history, though endoscopy and histopathology were unremarkable. Advanced imaging ultimately demonstrated a markedly reduced aortomesenteric angle (6°) and distance (4 mm), confirming the diagnosis of SMAS. The patient was initially managed conservatively with total parenteral nutrition (TPN), achieving partial weight gain of 5 kg after 8 weeks of TPN. Due to persistent duodenal compression, surgical intervention was required. At 7-month follow-up, the patient remained symptom-free with restored nutritional status and a good weight gain. Conclusions: This case highlights the importance of considering SMAS in adolescents with chronic upper gastrointestinal symptoms and significant weight loss. Early recognition and appropriate imaging are essential to diagnosis, and timely surgical management can lead to excellent outcomes when conservative treatment is insufficient. Full article
(This article belongs to the Section Gastroenterology)
Show Figures

Figure 1

10 pages, 2746 KB  
Case Report
Intraoperative Suction-Assisted Kyphoplasty for Immediate Removal of Posterior PMMA Extravasation in Decompressed Vertebral Compression Fractures
by Yu-Chuan Tsuei, Hsin-Tzu Lu, Yung-Fu Hsu, Shih-Hao Cheng, William Chu and Woei-Chyn Chu
J. Clin. Med. 2026, 15(2), 481; https://doi.org/10.3390/jcm15020481 - 7 Jan 2026
Viewed by 115
Abstract
Background: Vertebral compression fractures are prevalent in elderly patients with osteoporosis. While the vertebral augmentation procedure is often used for symptom control and improving life quality, cement leakage is still a significant complication of vertebral augmentation procedures. This case report describes a 92-year-old [...] Read more.
Background: Vertebral compression fractures are prevalent in elderly patients with osteoporosis. While the vertebral augmentation procedure is often used for symptom control and improving life quality, cement leakage is still a significant complication of vertebral augmentation procedures. This case report describes a 92-year-old man with a T8 compression fracture who underwent kyphoplasty with low-viscosity bone cement after failed conservative treatment. Methods: A previously developed decompressed kyphoplasty technique using dual portals was employed to reduce intravertebral pressure; however, fluoroscopy revealed posterior leakage toward the spinal canal. A case-specific intraoperative modification of this established technique was then applied, converting the injection portal into a suction channel to aspirate extravasated cement before it hardened. Results: This approach averted spinal cord compromise, obviated the need for additional decompression surgery, and preserved neurological function. The patient achieved rapid pain relief and early mobilization. Conclusions: This case demonstrates how a suction-assisted intraoperative maneuver may be used to manage posterior cement leakage during decompressed kyphoplasty. Full article
(This article belongs to the Section Orthopedics)
Show Figures

Figure 1

13 pages, 1309 KB  
Case Report
Left Atrial Thrombus and Cardioembolic Stroke in Chagas Cardiomyopathy Presenting with Atrial Flutter: A Case Report
by Mauricio Sebastián Moreno-Bejarano, Israel Silva-Patiño, Andrea Cristina Aragón-Jácome, Juan Esteban Aguilar, Ana Sofía Cepeda-Zaldumbide, Angela Velez-Reyes, Camila Salazar-Santoliva, Jorge Vasconez-Gonzalez, Juan S. Izquierdo-Condoy and Esteban Ortiz-Prado
J. Clin. Med. 2026, 15(2), 456; https://doi.org/10.3390/jcm15020456 - 7 Jan 2026
Viewed by 160
Abstract
Background: Chagas disease, caused by Trypanosoma cruzi, remains endemic throughout Latin America but is increasingly reported in urban areas due to migration and vector adaptation. The cardiac form is the most severe manifestation, associated with arrhythmia, mural thrombus formation, and a [...] Read more.
Background: Chagas disease, caused by Trypanosoma cruzi, remains endemic throughout Latin America but is increasingly reported in urban areas due to migration and vector adaptation. The cardiac form is the most severe manifestation, associated with arrhythmia, mural thrombus formation, and a high risk of cardioembolic events. Stroke secondary to Chagas cardiomyopathy is uncommon and poses diagnostic and therapeutic challenges. Case Presentation: A 58-year-old woman with serologic evidence of T. cruzi infection presented with sudden-onset dyspnea, oppressive chest pain, and left-sided weakness. Neurological examination revealed left brachiocrural hemiparesis and mild dysarthria (NIHSS = 9). Non-contrast cranial CT showed an acute infarct in the right middle cerebral artery territory (ASPECTS = 7). Electrocardiography demonstrated typical atrial flutter with variable conduction, and transthoracic echocardiography revealed a markedly dilated left atrium containing a mural thrombus and a left ventricular ejection fraction of 45%. Intravenous thrombolysis with alteplase (0.9 mg/kg) was administered within 4.5 h of symptom onset. Pharmacologic rhythm control was achieved using intravenous and oral amiodarone, followed by oral anticoagulation with warfarin (target INR 2.0–3.0) after excluding hemorrhagic transformation. The patient showed rapid neurological improvement (NIHSS reduction from 9 to 2) and was discharged on day 10 with minimal residual deficit (mRS = 1), sinus rhythm, and stable hemodynamics. Conclusions: This case highlights the rare coexistence of Chagas cardiomyopathy, atrial flutter, and cardioembolic stroke due to left atrial thrombus. Early recognition, adherence to evidence-based guidelines, and multidisciplinary management were key to achieving a favorable outcome. Timely diagnosis and intervention remain crucial to preventing severe complications in patients with Chagas disease. Full article
(This article belongs to the Section Cardiovascular Medicine)
Show Figures

Figure 1

25 pages, 960 KB  
Review
Neuroinflammation and Neurological Sequelae of COVID-19: Insights from Clinical and Experimental Evidence
by Md. Aktaruzzaman, Farazi Abinash Rahman, Ayesha Akter, Md. Hasan Jafre Shovon, Al Riyad Hasan, Md Mohaimenul Islam Tareq, Md. Imtiaz, Md. Ali Ahasan Setu, Md. Tarikul Islam, Nusrat Mahjabin Maha, Nazmul Hossain, Sabekun Nahar Sezin, Rifat Rayhan, Sohel Rana, Mohammad Jashim Uddin, Mohammad Newaz and Md. Obayed Raihan
Neuroglia 2026, 7(1), 4; https://doi.org/10.3390/neuroglia7010004 - 6 Jan 2026
Viewed by 758
Abstract
COVID-19 has raised significant concern regarding its neurological impact, particularly during the early pandemic waves when severe systemic inflammation and neuroimmune dysregulation were more common. Although SARS-CoV-2 has been extensively studied, the precise mechanisms underlying its neurological effects remain incompletely understood, and much [...] Read more.
COVID-19 has raised significant concern regarding its neurological impact, particularly during the early pandemic waves when severe systemic inflammation and neuroimmune dysregulation were more common. Although SARS-CoV-2 has been extensively studied, the precise mechanisms underlying its neurological effects remain incompletely understood, and much of the available evidence is derived from early variants with higher pathogenicity. Current research indicates that neuroinflammatory processes—driven primarily by systemic cytokine elevation, microglial activation, and blood–brain barrier dysfunction—contribute to a wide range of neurological symptoms. Severe complications such as encephalopathy, stroke, and cognitive impairment were predominantly reported in critically ill patients infected with the Wuhan, Alpha, or Delta variants, while such manifestations are considerably less frequent in the Omicron era. Most proposed mechanisms, including ACE2-mediated viral entry into the central nervous system, are supported mainly by experimental or preclinical studies rather than definitive human evidence. Biomarkers such as IL-6 and TNF-α, along with neuroimaging modalities including MRI and PET, offer useful but indirect indicators of neuroinflammation. Therapeutic approaches continue to focus on controlling systemic inflammation through immunomodulatory agents, complemented by targeted non-pharmacological strategies—such as physical rehabilitation, cognitive support, and psychological interventions—for the minority of patients with persistent neurological deficits. Overall, current evidence supports a variant-dependent neuroinflammatory profile and underscores the need for longitudinal, mechanism-focused studies to better characterize long-term neurological outcomes and refine therapeutic strategies. Full article
Show Figures

Figure 1

15 pages, 1351 KB  
Review
A Rare Intruder: Neonatal Meningoencephalitis by Edwardsiella tarda Requiring Systemic and Intrathecal Antibiotics and Repeated Neurosurgery
by Domenico Umberto De Rose, Ludovica Martini, Francesca Campi, Daniela Longo, Alessia Guarnera, Giulia Lucignani, Marta Conti, Alessandra Santisi, Carlotta Ginevra Nucci, Giacomo Esposito, Lorenza Romani, Paola Bernaschi, Bianca Maria Goffredo, Gianfranco Scarpelli, Laura Lancella, Andrea Dotta and Maria Paola Ronchetti
Antibiotics 2026, 15(1), 59; https://doi.org/10.3390/antibiotics15010059 - 5 Jan 2026
Viewed by 178
Abstract
Background/Objectives: Edwardsiella tarda is a rare Gram-negative pathogen that uncommonly infects humans. Neonatal infections are extremely rare but often severe, with a high incidence of central nervous system (CNS) complications. Case presentation: We report a term neonate born via spontaneous vaginal [...] Read more.
Background/Objectives: Edwardsiella tarda is a rare Gram-negative pathogen that uncommonly infects humans. Neonatal infections are extremely rare but often severe, with a high incidence of central nervous system (CNS) complications. Case presentation: We report a term neonate born via spontaneous vaginal delivery who developed systemic signs of infection within 18 h of life. Blood and cerebrospinal fluid (CSF) cultures grew Edwardsiella tarda. CSF analysis revealed severe meningoencephalitis. Maternal stool culture was also positive for E. tarda, suggesting vertical transmission. Despite initial systemic antibiotic therapy with ampicillin, gentamicin, and ceftriaxone, neuroimaging revealed progressive multifocal brain abscesses. The infant underwent a series of neurosurgical procedures, including bilateral drainage of abscesses, Rickham reservoir placement and ventriculoperitoneal shunting. A revised antibiotic regimen, including systemic meropenem and trimethoprim-sulfamethoxazole plus intrathecal gentamicin, was administered. At six months, the infant showed mild motor delay with lower limb hypertonia and was under close neurosurgical and developmental follow-up. Methods: We conducted a literature review of 12 published neonatal E. tarda infections, including our case. Results: Most infected infants presented within 72 h of life and exhibited CNS involvement. Mortality was 25%, and 44% of survivors experienced long-term neurologic sequelae. Conclusions: Edwardsiella tarda infection in neonates is rare but potentially devastating. Early suspicion, culture confirmation, aggressive antibiotic therapy, and multidisciplinary care, including neurosurgical management, are essential for improving outcomes. Full article
(This article belongs to the Special Issue Neonatal Infection: Antibiotics for Prevention and Treatment)
Show Figures

Figure 1

14 pages, 1148 KB  
Systematic Review
Administration of Sodium Bicarbonate in Critically Ill Newborns: A Systematic Review and Meta-Analysis
by Giovanni Boscarino, Susanna Esposito and Gianluca Terrin
J. Pers. Med. 2026, 16(1), 26; https://doi.org/10.3390/jpm16010026 - 5 Jan 2026
Viewed by 207
Abstract
Background: Metabolic acidosis is a frequent and serious complication in critically ill neonates, particularly preterm infants, and is associated with an increased risk of mortality, intraventricular hemorrhage, and long-term neurodevelopmental impairment. Despite limited evidence, sodium bicarbonate (SB) is widely administered in neonatal [...] Read more.
Background: Metabolic acidosis is a frequent and serious complication in critically ill neonates, particularly preterm infants, and is associated with an increased risk of mortality, intraventricular hemorrhage, and long-term neurodevelopmental impairment. Despite limited evidence, sodium bicarbonate (SB) is widely administered in neonatal intensive care units (NICUs) to correct acidosis, largely extrapolated from adult and pediatric practice. However, concerns have been raised about its potential adverse effects, including paradoxical intracellular acidosis, impaired cerebral autoregulation, and increased risk of neurological injury. Given the uncertainty regarding both its efficacy and safety, we conducted a systematic review and meta-analysis to evaluate the role of SB administration in the neonatal population. Methods: MEDLINE, Scopus, and the Cochrane Library were searched using specific medical subject headings and terms. We included all study published up to July 2025 that involved newborns treated with SB. The primary outcome was positive response to treatment, while secondary outcomes included mortality, morbidity, and long-term impairment. Results: We analyzed 10 studies (9 randomized and 1 unrandomized study, including 660 neonates). Pooled results from the randomized controlled studies showed no efficacy of SB in newborns. Data from one unrandomized study showed an increased risk for mortality (OR 13.1 p = 0.02), clinical seizures (OR 2.8, p = 0.01), and a combined outcome of death or neurological damage (OR 3.1 p < 0.01) for neonates treated with SB. Conclusions: Current evidence is insufficient to support the routine administration of SB in NICUs. Neonatologists have the responsibility to administer only drugs of proven efficacy, personalizing therapy on the basis of a pathology’s etiology, in order to reduce risk and optimize benefits. In the absence of robust, statistically significant data, the indiscriminate use of SB should be discouraged in current clinical practice. PROSPERO registration number: CRD420251132502. Full article
(This article belongs to the Special Issue Precision Care in Pediatric and Neonatal Intensive Care)
Show Figures

Figure 1

23 pages, 1229 KB  
Review
Effects of Photobiomodulation on Metabolic, Inflammatory, and Neurological Outcomes in Type 2 Diabetes: A Systematic Review and Meta-Analysis
by Anne Wevers, Silvia San Roman-Mata, Santiago Navarro-Ledesma and Leo Pruimboom
Int. J. Mol. Sci. 2026, 27(1), 440; https://doi.org/10.3390/ijms27010440 - 31 Dec 2025
Viewed by 473
Abstract
Type 2 diabetes mellitus (T2DM) is a global health burden characterized by hyperglycemia, oxidative stress, and systemic inflammation, which leads to complications that remain insufficiently managed by standard therapies. Photobiomodulation therapy (PBMT) has been proposed to be a complementary approach, but its effects [...] Read more.
Type 2 diabetes mellitus (T2DM) is a global health burden characterized by hyperglycemia, oxidative stress, and systemic inflammation, which leads to complications that remain insufficiently managed by standard therapies. Photobiomodulation therapy (PBMT) has been proposed to be a complementary approach, but its effects in T2DM are unclear. We conducted a systematic review and meta-analysis of randomized controlled trials to evaluate the effects of PBMT on metabolic, inflammatory, and neurological outcomes in adults with T2DM. Five databases were searched until June 2025 (PROSPERO CRD420251083550) for relevant studies. Metabolic, inflammatory, and neurological outcomes were defined a priori as primary outcomes and were synthesized narratively due to substantial heterogeneity and incomplete reporting that precluded valid quantitative pooling. Although periodontal outcomes were not predefined as primary outcomes, they were reported in multiple trials; thus, these were analyzed quantitatively as secondary outcomes where sufficient homogeneity enabled meta-analysis. The narrative synthesis of primary outcomes showed inconsistent and largely short-term effects on glycemic control, systemic inflammation, and neurological function. In contrast, meta-analysis of secondary periodontal outcomes demonstrated modest but statistically significant improvements in clinical attachment level (−0.21 mm) and probing depth (−0.25 mm), with no effect on plaque index. Overall, the certainty of the evidence was low. PBMT may offer statistically significant but small adjunctive periodontal effects in adults with T2DM. However, the certainty of evidence is low, and these effects are unlikely to be clinically meaningful in isolation. Evidence for systemic metabolic, inflammatory, and neurological outcomes is preliminary and requires confirmation in larger, standardized RCTs. Full article
(This article belongs to the Special Issue New Insights into the Treatment of Metabolic Syndrome and Diabetes)
Show Figures

Figure 1

18 pages, 1110 KB  
Review
Gut Microbiome and Myalgic Encephalomyelitis/Chronic Fatigue Syndrome (ME/CFS): Insights into Disease Mechanisms
by Ralitsa Nikolova, Deyan Donchev, Katya Vaseva and Ivan N. Ivanov
Int. J. Mol. Sci. 2026, 27(1), 425; https://doi.org/10.3390/ijms27010425 - 31 Dec 2025
Viewed by 823
Abstract
Myalgic Encephalomyelitis/Chronic Fatigue Syndrome (ME/CFS) is a disabling clinical condition, whose hallmark characteristic is post-exertional malaise (PEM). It can affect many organs and systems, leading to severe impairment of patients’ quality of life. Although numerous post-infectious, immunological, neurological, metabolic, and endocrine alterations have [...] Read more.
Myalgic Encephalomyelitis/Chronic Fatigue Syndrome (ME/CFS) is a disabling clinical condition, whose hallmark characteristic is post-exertional malaise (PEM). It can affect many organs and systems, leading to severe impairment of patients’ quality of life. Although numerous post-infectious, immunological, neurological, metabolic, and endocrine alterations have been documented, neither a definitive diagnostic marker nor approved treatments are available. The etiology and pathophysiology remain incompletely understood; however, emerging evidence suggests that the gut microbiome plays a role in immune responses and the development of ME/CFS. It is hypothesized that specific disturbances in gut microbiome composition, known as dysbiosis, may compromise the integrity of the intestinal barrier. This consequently leads to translocation of microbial components, which further triggers an immune response and systemic inflammation complicating the clinical presentation of ME/CFS. Furthermore, in terms of the so-called gut–brain axis, microbiome changes may lead to distinct neurocognitive impairments observed in ME/CFS patients. This review offers the readers a broad perspective on the topic on ME/CFS, with a particular emphasis on the interplay between the gut microbiome and disease mechanisms. Last but not least, recent data on potential treatment strategies for intestinal dysbiosis in ME/CFS patients have been included. Full article
Show Figures

Figure 1

Back to TopTop