Next Article in Journal
Cowden Syndrome in Childhood: Gastrointestinal Involvement in a Multisystem Genetic Disorder—A Case Report
Previous Article in Journal
Unusually Extensive Furuncular Myiasis in a Returning Traveller from Rural Ethiopia Complicated by Streptococcus Pyogenes Secondary Infection Following Albendazole Therapy
 
 
Font Type:
Arial Georgia Verdana
Font Size:
Aa Aa Aa
Line Spacing:
Column Width:
Background:
Case Report

Persistent Vomiting and Epigastric Pain in an Adolescent: A Case of Superior Mesenteric Artery Syndrome Unmasked

by
Maria Rogalidou
1,*,
Georgios Papagiannis
2,
Konstantina Dimakou
3,
Paraskevi Galina
4,
Stavroula-Zoe Siska
2 and
Alexandra Papadopoulou
1,3
1
Division of Gastroenterology & Hepatology, First Department of Paediatrics, National and Kapodistrian University of Athens, ‘Agia Sophia’ Children’s Hospital, 11527 Athens, Greece
2
First Department of Paediatrics, National and Kapodistrian University of Athens, ‘Agia Sophia’ Children’s Hospital, 11527 Athens, Greece
3
Gastroenterology Department, “Agia Sofia” Children’s Hospital, 11527 Athens, Greece
4
Radiology Department, “Agia Sofia” Children’s Hospital, 11527 Athens, Greece
*
Author to whom correspondence should be addressed.
Reports 2026, 9(1), 20; https://doi.org/10.3390/reports9010020
Submission received: 12 November 2025 / Revised: 25 December 2025 / Accepted: 29 December 2025 / Published: 9 January 2026
(This article belongs to the Section Gastroenterology)

Abstract

Background and Clinical Significance: Superior mesenteric artery syndrome (SMAS) is a rare and often underdiagnosed cause of proximal intestinal obstruction, resulting from compression of the third portion of the duodenum between the SMA and the aorta. It typically occurs in individuals with significant weight loss due to mesenteric fat depletion. Case Presentation: We report the case of a 14.5-year-old female presented with a 6-day history of intractable vomiting and epigastric pain, on a background of intermittent vomiting over the preceding six months associated with a 7 kg unintentional weight loss, culminating in inability to tolerate oral intake. Her clinical course was complicated by a transient episode of blurred vision, numbness, and incoherent speech, initially suspected to be a neurological event. Extensive gastrointestinal and neurological investigations were inconclusive. Elevated fecal calprotectin levels raised suspicion for inflammatory bowel disease, given her family history, though endoscopy and histopathology were unremarkable. Advanced imaging ultimately demonstrated a markedly reduced aortomesenteric angle (6°) and distance (4 mm), confirming the diagnosis of SMAS. The patient was initially managed conservatively with total parenteral nutrition (TPN), achieving partial weight gain of 5 kg after 8 weeks of TPN. Due to persistent duodenal compression, surgical intervention was required. At 7-month follow-up, the patient remained symptom-free with restored nutritional status and a good weight gain. Conclusions: This case highlights the importance of considering SMAS in adolescents with chronic upper gastrointestinal symptoms and significant weight loss. Early recognition and appropriate imaging are essential to diagnosis, and timely surgical management can lead to excellent outcomes when conservative treatment is insufficient.

1. Introduction and Clinical Significance

Superior Mesenteric Artery Syndrome (SMAS), also known as Wilkie’s Syndrome, is a rare and potentially life-threatening condition caused by compression of the third portion of the duodenum between the superior mesenteric artery and the abdominal aorta. The syndrome has a reported prevalence of 0.013–0.3% in the general population based on radiologic and autopsy studies [1]. In healthy individuals, the normal aortomesenteric angle ranges from 38° to 65°, and the aortomesenteric distance is typically 10 to 28 mm. It occurs most often in adolescents and young adults, particularly during rapid growth spurts, and shows a female predominance (female-to-male ratio ~3:2–4:1) [1,2].
This condition leads to extrinsic compression leading to partial or complete duodenal obstruction. It often presents with non-specific gastrointestinal symptoms like postprandial epigastric pain, nausea, early satiety, and vomiting, which may mimic more common causes of abdominal pain, particularly in adolescents.
This case report presents a teenage patient with recurrent vomiting and epigastric pain, ultimately diagnosed with SMAS after a delay, highlighting the importance of considering this rare diagnosis in adolescents with persistent gastrointestinal symptoms especially after significant weight loss.

2. Case Presentation

A 14.5-year-old adolescent female was admitted to our hospital with a 6-day history of vomiting and epigastric pain. She had lost 7 kg over the preceding six months, prior to the onset of symptoms. She had been previously hospitalized for 4 days at two regional hospitals without improvement. On the day of her transfer, she experienced an acute episode characterized by blurred vision, numbness of the right upper extremity and lips, and incoherent speech.
Her past medical history was largely unremarkable. Lately she developed, mild dyspeptic symptoms including bloating, belching, and constipation. At age 12, she was hospitalized due to a prolonged episode of epigastric pain accompanied by multiple vomiting episodes lasting 18 days. A comprehensive workup at that time—including a gastrointestinal transit study, brain MRI, and upper endoscopy—revealed no significant abnormalities.
Her family history was notable for inflammatory bowel disease: her sister had ulcerative colitis and underwent colectomy at the age of 18, while her paternal grandmother also had ulcerative colitis and passed away at the age of 47. Her mother has a history of hypertension and migraine.

2.1. Physical Examination

On admission, the patient appeared in moderate general condition. Her weight was 46.5 kg (23rd percentile), height 169 cm (90th percentile), and body mass index (BMI) was 16.3 kg/m2 (5th percentile). Vital signs were within normal limits: blood pressure 125/74 mmHg, heart rate 76 beats per minute, and temperature 37.2 °C.
Physical examination revealed a mildly erythematous and coated tongue. Pulmonary auscultation demonstrated normal vesicular breath sounds bilaterally. Cardiac examination showed clear and rhythmic heart sounds (S1 and S2) with a grade I/VI systolic murmur. The abdomen was soft and non-distended, with mild tenderness in the epigastric region and positive bowel sounds (++). No organomegaly or palpable masses were detected. Secondary sexual characteristics were consistent with Tanner stage IV for both breast and pubic hair development. Neurological examination was unremarkable; the patient was fully alert, oriented, and scored 15/15 on the Glasgow Coma Scale (GCS). No focal neurological deficits were noted.

2.2. Laboratory and Initial Diagnostic Workup

Initial investigations were directed toward identifying potential gastrointestinal and neurological causes of the patient’s symptoms.
Screening for celiac disease was negative. Stool antigen testing for Helicobacter pylori, stool cultures, Clostridium difficile toxin, and stool parasitology were all negative. Fecal occult blood tests were negative on multiple occasions, with the exception of one positive result. A lactose tolerance test was positive, consistent with lactose intolerance. Fecal calprotectin levels were markedly elevated, measured at 660 μg/g and 363 μg/g on two separate occasions (normal <50 μg/g), suggesting the presence of intestinal inflammation. A neurological examination was unremarkable. Brain computed tomography (CT) and fundoscopy revealed no abnormalities. The acute episode of blurred vision, numbness, and slurred speech was interpreted as consistent with a complicated migraine. Abdominal and pelvic ultrasound showed no pathological findings. Upper and lower gastrointestinal endoscopy, including histologic evaluation, was unremarkable.

2.3. Advanced Imaging

An upper GI contrast study demonstrated an incomplete fixed stenosis due to an apparent extrinsic pressure effect on the second portion of the duodenum, which impeded the passage of contrast medium. No intrinsic strictures or obstructive lesions were identified. Additional findings included antral dyskinesia and antiperistalsis, evidenced by delayed passage of contrast material into the duodenal bulb. A folding of the gastric fundus was also noted Figure 1.
An initial abdominal ultrasound revealed no pathological findings. The major abdominal vessels, including the abdominal aorta, inferior vena cava, celiac trunk, renal, and iliac arteries, demonstrated normal patency. However, the aortomesenteric angle was measured at 20–22°, significantly reduced from the normal range (38–56°). The aortomesenteric distance was 8 mm—technically within the lower limit of normal, but considered pathological in the clinical context.
A Doppler ultrasound (U/S triplex) of the mesenteric vessels and abdominal aorta provided further detail. In the sagittal view, the angle between the aorta and the superior mesenteric artery (SMA) could not be measured due to the overlapping origin of the vessels. In the transverse view, the aortomesenteric distance was found to be only 3–4 mm, a clearly pathological finding. Additionally, the superior mesenteric vein (SMV) appeared to be abnormally positioned to the left of the SMA. The head of the pancreas could not be clearly visualized.
Subsequent MRI of the upper and lower abdomen and MR enterography revealed no abnormal findings.
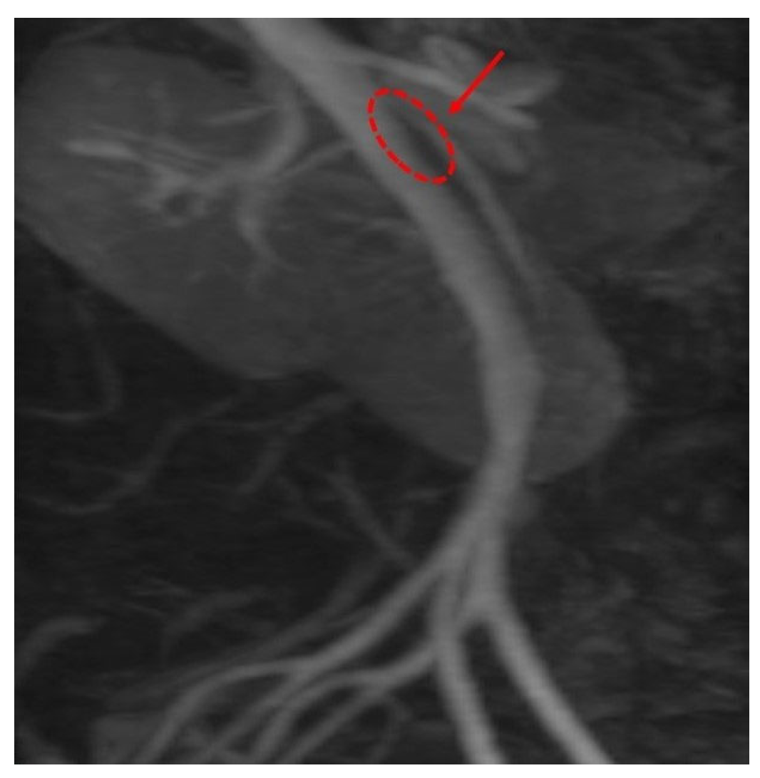
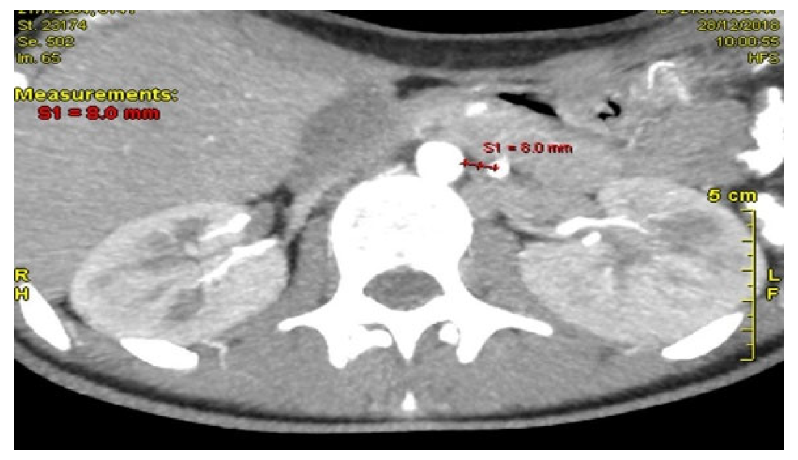
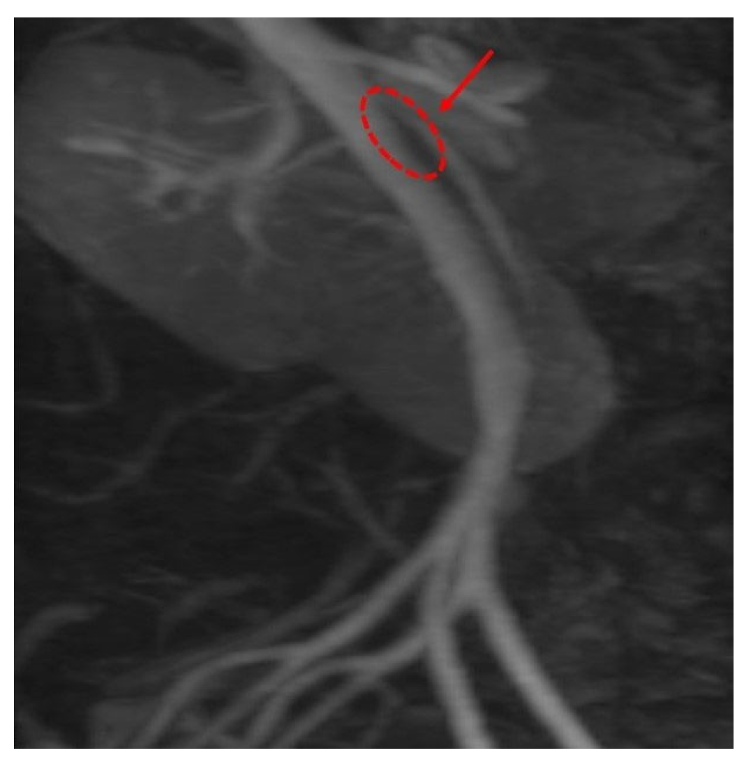
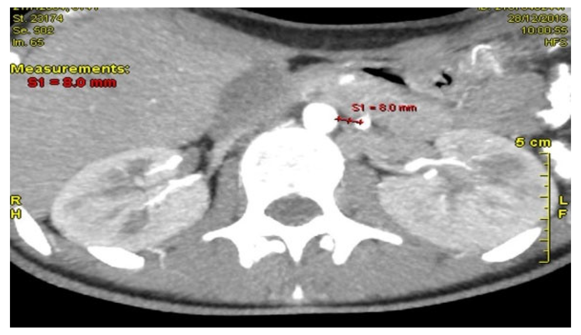
Computed Tomography Angiography (CTA) Figure 2, provided definitive anatomical correlation. At the level where the third portion of the duodenum crosses between the abdominal aorta and the SMA, the aortomesenteric angle was significantly reduced to 6° (normal: 38–56°), Figure 3 and the aortomesenteric distance measured 4 mm (normal: >10 mm, with <8 mm considered pathological). Figure 4 These findings were consistent with SMAS, a rare condition caused by vascular compression of the third portion of the duodenum between the SMA and the aorta.

2.4. Management and Outcome

Initially, a nasogastric tube was placed, resulting in some improvement. However, after a few days, she began vomiting again, was unable to tolerate even continuous feeding, and continued to lose weight. Consequently, the patient was managed conservatively with central parenteral nutrition for 8 weeks. During this period, she demonstrated clinical improvement and gained 5 kg, reaching a body weight of 51.4 kg. Due to persistent anatomical findings and failure of conservative therapy to restore normal duodenal patency, surgical intervention was performed. The STRONG (Strong’s procedure) was performed in our patient. It involves division of the ligament of Treitz and repositioning of the duodenum to reduce the extrinsic vascular compression. At seven months postoperatively, the patient remained symptom-free, with a total weight gain of 11 kg since initial presentation, with an improvement in her body weight 58 kg and BMI to 20.7. Her nutritional status and gastrointestinal function had normalised, with no recurrence of vomiting or abdominal pain.

3. Discussion

The present case highlights a classic yet often-underrecognized scenario of SMAS—an adolescent with significant weight loss, persistent vomiting and epigastric pain, and imaging evidence of marked reduction in aortomesenteric angle and distance. Several key issues merit discussion: pathophysiology, diagnosis and imaging, conservative versus surgical management, and special considerations in adolescents.

3.1. Pathophysiology and Risk Factors

SMAS results from compression of the third portion of the duodenum between the Superior Mesenteric Artery (SMA) and the Abdominal Aorta, typically when the intervening fat pad is depleted and the aortomesenteric angle narrows (often <25–30°) and the distance reduces (often <8–10 mm) [1,2]. Common precipitants include rapid weight loss, catabolic states, prolonged bed rest, scoliosis correction or other surgery, and psychiatric eating disorders. In one systematic review of SMAS post-scoliosis surgery (mean age ~15.8 years, mean BMI ~16.5) the authors emphasized the adolescent population with low BMI as being high-risk [3].
In our patient, the 7 kg weight loss over six months (BMI ~16) likely led to fat pad depletion and thus narrowed the angle/distance (6° angle, 4 mm distance), consistent with the mechanism of duodenal compression.

3.2. Clinical Presentation and Diagnostic Challenges

SMAS often presents with non-specific upper gastrointestinal (GI) symptoms: postprandial epigastric pain, nausea, recurrent vomiting, early satiety, bloating—all of which may mimic more common GI pathologies [2].
In adolescents, this can be even more difficult to diagnose, as features overlap those of eating disorders, functional GI disorders or other obstructive/neurological causes. For instance, one review of SMAS in anorexia nervosa emphasizes the challenge of distinguishing symptoms of the eating disorder from those of duodenal compression [4].
Across recent pediatric reports from the last five years of (SMAS, most patients were adolescents, with a smaller proportion of younger children affected. Clinical presentation was dominated by chronic or recurrent abdominal pain, vomiting, and weight loss, frequently with delayed diagnosis, and one case reported an association with IgA vasculitis. Radiologic confirmation of duodenal compression was central to diagnosis in all cases. Initial conservative management, including nutritional support and gastrointestinal decompression, was attempted when feasible and was successful in a minority of patients, particularly those with a shorter duration of symptoms. However, most patients ultimately required surgical intervention—most commonly laparoscopic duodenojejunostomy—which was associated with high rates of symptom resolution, favorable outcomes, minimal long-term morbidity, and rare postoperative complications [5,6,7,8,9,10]. The details of pediatric case series and case reports published within the last five years are summarized in Table 1.
In our case, the work-up included normal endoscopy/histology, raised calprotectin (which complicated the picture and initially steered toward IBD), and a neurologic event (blurred vision/numbness) causing further diagnostic uncertainty. This underscores the point that SMAS is a diagnosis of exclusion and requires high clinical suspicion.
This case differs from most SMAS reports in several ways. Unlike many pediatric cases triggered by scoliosis surgery or rapid postoperative weight loss, our patient developed SMAS gradually, without surgical risk factors, and with non-specific gastrointestinal symptoms. The elevated fecal calprotectin and strong family history of IBD—features rarely described in SMAS—initially suggested an inflammatory pathology and contributed to diagnostic delay. The transient neurological episode further complicated the presentation. Additionally, the patient showed unusually severe anatomical compression (aortomesenteric angle 6°, distance 4 mm) despite the absence of structural precipitating factors. Her excellent postoperative recovery and substantial weight gain contrast with reports describing longer-term nutritional dependence in some patients.

3.3. Imaging and Diagnostic Criteria

Imaging is central to diagnosis. Typical modalities include upper GI contrast studies (showing delayed contrast passage or duodenal dilatation with obstruction at the third part of the duodenum) and cross-sectional imaging (CT or MR angiography) showing reduced aortomesenteric angle and/or distance [11].
Recent literature emphasises that point-of-care ultrasound (POCUS) may assist initial screening (e.g., measuring aortomesenteric distance) though its sensitivity/specificity remains limited. In our patient, the CT angiography with angle of 6° and distance 4 mm provided a clear anatomical correlate, consistent with published pathologic thresholds (angle often <25°, distance <8–10 mm) [12].
It is worth emphasizing that imaging findings must be interpreted in the clinical context—many individuals may have reduced aortomesenteric angle without symptoms; thus, correlation with gastrointestinal obstruction symptoms is key.

3.4. Management: Conservative Versus Surgical

Current consensus suggests that conservative management should be the first-line approach in stable patients, especially those with weight loss as the precipitant. Weight restoration (via high-calorie diet, enteral or parenteral nutrition), bowel decompression (nasogastric tube), fluid/electrolyte correction, and postural/feeding modifications (e.g., left lateral/prone positioning) are recommended [13]. A suggested Stepwise Management Approach for Pediatric SMAS appears in Table 2.
For instance, studies emphasize that weight restoration remains the primary goal and that concomitant psychiatric/behavioural factors (especially in eating-disorder patients) must be addressed [2,13].
However, when conservative measures fail (persistent vomiting/obstruction, nutritional deterioration, inability to restore weight, or ongoing anatomical compression), surgical intervention is indicated. Surgical options include duodenojejunostomy (open or laparoscopic) [14,15], gastrojejunostomy, Strong’s procedure (division of the ligament of Treitz). A systematic review found that for SMAS the failure-to-treat rate after surgery was ~21% (i.e., persistent symptoms) and that careful pre-operative selection is important [14].
More recently, a meta-analysis in 2024 comparing duodenojejunostomy versus Roux-en-Y gastrojejunostomy found pooled efficacy of duodenojejunostomy ~0.84 (95% CI 0.74–0.90) and safety ~0.89 (95% CI 0.81–0.94) in SMAS [16].
In our case, after ~8 weeks of parenteral nutrition and modest weight gain, the decision to proceed to surgery was appropriate given persistent anatomical compression and incomplete response. The favourable outcome at 7-month follow-up (11 kg weight gain, symptom-free) aligns with published outcomes of surgical management in the adolescent/young adult population.

3.5. Special Considerations in Adolescents and Diagnostic Delays

Adolescents with SMAS may present in the context of weight loss from eating disorders, scoliosis correction, or other catabolic states. The finding in the systematic review of SMAS after scoliosis surgery underscores that adolescents are vulnerable [3].
In our patient, earlier suspicion of SMAS—given the significant weight loss and recurrent vomiting with epigastric pain—might have shortened the diagnostic delay. The diagnostic process was further complicated by additional findings, including elevated fecal calprotectin and a family history of inflammatory bowel disease (IBD), which initially suggested alternative gastrointestinal pathology.
Persistent vomiting and weight loss in an adolescent should prompt consideration of SMAS (among other causes) once more common etiologies have been excluded. In addition, interdisciplinary collaboration (gastroenterology, nutrition, surgery, psychiatry) is beneficial, particularly if an eating-behaviour component is present.

3.6. Lessons from This Case and Implications for Practice

Early measurement of aortomesenteric angle/distance (via CT/MR or dedicated imaging) in adolescents with weight loss + upper GI obstructive symptoms can shorten time to diagnosis. Conservative nutrition-first strategies remain cornerstone but require close monitoring; if no improvement within ~2–4 weeks (as most literature suggests), surgical referral should be considered [15,17]. Because surgical outcomes are generally good (but not perfect) and failure rate ~20–25% in selected series, preoperative counselling and postoperative follow-up are essential [8]. The interplay of other GI/inflammatory findings (e.g., raised fecal calprotectin) may distract from the primary mechanical problem; hence SMAS remains a diagnosis of exclusion and requires multidisciplinary evaluation. Nutritional rehabilitation in adolescents must account for ongoing growth and development; the weight gain of 11 kg in 7 months in your case is an excellent outcome and likely contributed to durable resolution.
This case highlights that SMAS should remain in the differential diagnosis even when inflammatory markers or family history point toward IBD. Early cross-sectional imaging is essential when symptoms persist despite normal endoscopy. The use of prolonged parenteral nutrition as initial therapy—followed by timely surgery when obstruction persisted—illustrates an effective stepwise approach. Finally, the multidisciplinary coordination across gastroenterology, neurology, radiology, nutrition, and surgery was crucial in resolving a misleading and atypical presentation.

3.7. Limitations and Future Directions

The literature on SMAS remains limited by its rarity: many reports are case series or case reports. There is no large-scale prospective study in adolescents. Future research should address: (1) thresholds of aortomesenteric angle/distance that predict symptomatic obstruction; (2) optimal duration of conservative therapy before surgery; (3) long-term outcomes of adolescents who undergo surgery (growth, nutritional status, quality of life); (4) the role of novel imaging modalities (ultrasound, dynamic MRI) and minimally invasive surgical approaches (laparoscopic duodenojejunostomy, robotic surgery). Additionally, the psychological and behavioural context (especially in adolescents with disordered eating) is critical and should be incorporated into management algorithms.

4. Conclusions

Superior Mesenteric Artery syndrome (SMAS), though rare, should be considered in adolescents presenting with persistent upper gastrointestinal symptoms and significant weight loss, especially when common causes have been excluded. This case highlights the diagnostic complexity when non-specific symptoms are accompanied by misleading findings such as elevated fecal calprotectin and a family history of inflammatory bowel disease. Early recognition through targeted imaging—particularly measurement of the aortomesenteric angle and distance—is crucial for timely diagnosis. While conservative management remains first-line, surgical intervention may be necessary in cases with persistent obstruction. Multidisciplinary collaboration and close nutritional follow-up are essential to ensure full recovery and long-term wellbeing in affected adolescents.

Author Contributions

M.R.: Conceptualized and designed the study, drafted the initial manuscript, and contributed to its review and revision. G.P.: Collected the data from the medical file and summarized the history. P.G.: Collected the data and wrote the legends of radiological images. K.D.: Collected the data and wrote the legends of endoscopical images. S.-Z.S.: Supervised and coordinated data collection related with patients’ history and differential diagnosis while also critically reviewing the manuscript. A.P.: Developed the data collection instruments, oversaw and coordinated data collection, and provided a critical review of the manuscript. All authors have approved the final version of the manuscript as submitted and take full responsibility for all aspects of the work. All authors have read and agreed to the published version of the manuscript.

Funding

This research received no external funding.

Institutional Review Board Statement

Ethical review and approval of this study were not required by the Institutional Review Board/Ethics Committee of “Agia Sofia” Children’s Hospital, Athens, Greece] because case reports are not considered research.

Informed Consent Statement

Written informed Consent form from parents was obtained for anonymized publication of the patient’s history, photos, and images of histological and radiologcal findings.

Data Availability Statement

The original contributions presented in this study are included in the article. Further inquiries can be directed to the corresponding author.

Conflicts of Interest

The authors declare no conflicts of interest.

Abbreviations

The following abbreviations are used in this manuscript:
SMASuperior mesenteric artery
SMASSuperior mesenteric artery syndrome
BMIBody mass index
GCSGlasgow Coma Scale
CTComputed Tomography
GIGastrointestinal
U/SUltrasound
SMVSuperior mesenteric vein
MRIMagnetic Resonance imaging
MRAMagnetic resonance angiography

References

  1. England, J.; Li, N. Superior mesenteric artery syndrome: A review of the literature. J. Am. Coll. Emerg. Physicians Open 2021, 2, e12454. [Google Scholar] [CrossRef] [PubMed]
  2. Oka, A.; Awoniyi, M.; Hasegawa, N.; Yoshida, Y.; Tobita, H.; Ishimura, N.; Ishihara, S. Superior mesenteric artery syndrome: Diagnosis and management. World J. Clin. Cases 2023, 11, 3369–3384. [Google Scholar] [CrossRef] [PubMed]
  3. Pappalardo, G.; Pola, E.; Bertini, F.A.; Nasto, L.A.; Eschweiler, J.; Schäfer, L.; Migliorini, F. Superior mesenteric artery syndrome following spine surgery in idiopathic adolescent scoliosis: A systematic review. Eur. J. Med. Res. 2024, 29, 410. [Google Scholar] [CrossRef] [PubMed]
  4. Bozzola, E.; Irrera, M.; Cirillo, F.; Zanna, V.; Petrelli, I.; Diamanti, A.; Scire, Y.; Park, J.; Marchesi, A.; Marchili, M.R.; et al. Superior Mesenteric Artery Syndrome in Anorexia Nervosa: A Case Report and a Systematic Revision of the Literature. Nutrients 2024, 16, 541. [Google Scholar] [CrossRef] [PubMed]
  5. Aldagher, A.; Almasri, R.; Mahmoud, J. Superior mesenteric artery syndrome in an 8-year-old boy: A case report. J. Med. Case Rep. 2023, 17, 343. [Google Scholar] [CrossRef] [PubMed]
  6. Gharti, S.B.; Shrestha, N.; Thapa, K.S.; Shah, R.; Khanal, P.; Shah, R.K.; Gharti, S.B.; Tiwari, U. Superior Mesenteric Artery Syndrome in an 11-Year-Old Boy: A Case Report. Clin. Med. Insights Case Rep. 2024, 17, 11795476241257036. [Google Scholar] [CrossRef] [PubMed]
  7. Menalled, G.S.; Colombo, H.; Montero, S.; Poeta Casalis, L.D.V. Superior mesenteric artery syndrome in a 12-year-old adolescent. Clin. Case Arch. Argent. Pediatr. 2019, 117, e648–e650. [Google Scholar] [CrossRef]
  8. Shayah, Y.; Almadhoun, O.; Pierce, D.; Lillvis, J.H.; Abdul-Aziz, R. Rare Superior Mesenteric Artery Syndrome in an Eight-Year-Old Girl with Henoch-Schönlein Purpura: A Case Report. Cureus 2024, 16, e69389. [Google Scholar] [CrossRef] [PubMed]
  9. Tewari, S.; Sharma, R.D.; Bangar, A.; Redkar, R. Unusual presentation of superior mesenteric artery syndrome in a child. BMJ Case Rep. 2022, 15, e246041. [Google Scholar] [CrossRef] [PubMed]
  10. Bohanon, F.J.; Nunez Lopez, O.; Graham, B.M.; Griffin, L.W.; Radhakrishnan, R.S. A Case Series of Laparoscopic Duodenojejunostomy for the Treatment of Pediatric Superior Mesenteric Artery Syndrome. Int. J. Surg. Res. 2016, 2016, 1–5. [Google Scholar] [CrossRef] [PubMed]
  11. Bloomberg, L.I.; Hoscheit, M.; Hendler, S.; Abegunde, A.T. Superior Mesenteric Artery Syndrome in an Adolescent Female with Anorexia Nervosa. Am. J. Gastroenterol. 2021, 116, S1263–S1264. [Google Scholar] [CrossRef]
  12. Le, D.; Stirparo, J.J.; Magdaleno, T.F.; Paulson, C.L.; Roth, K.R. Point-of-care ultrasound findings in the diagnosis and management of Superior Mesenteric Artery (SMA) syndrome. Am. J. Emerg. Med. 2022, 55, 233.e1–233.e4. [Google Scholar] [CrossRef] [PubMed]
  13. Gibson, D.; Plotkin, M.; Foster, M.; Mehler, P.S. Predictors of Successful Weight Restoration in the Treatment of Superior Mesenteric Artery Syndrome: A Systematic Review. Nutrients 2025, 17, 2998. [Google Scholar] [CrossRef] [PubMed]
  14. Jonas, J.P.; Rössler, F.; Ghafoor, S.; Kobe, A.; Pfammatter, T.; Schlag, C.; Gutschow, C.A.; Petrowsky, H.; Müller, P.C.; Oberkofler, C.E. Surgical therapy of celiac axis and superior mesenteric artery syndrome. Langenbecks Arch. Surg. 2023, 408, 59. [Google Scholar] [CrossRef] [PubMed]
  15. Tang, J.; Zhang, M.; Zhou, Y.; Cao, G.; Li, S.; Zhang, X.; Tang, S. Laparoscopic lateral duodenojejunostomy for pediatric superior mesenteric artery compression syndrome: A cohort retrospective study. BMC Surg. 2023, 23, 365. [Google Scholar] [CrossRef] [PubMed]
  16. Abadeer, A.F.; Abdelmniem, A.H.; Elbahnas, M.A.F.; Ibrahim, A.M.A. Study between Duodenojejunostomy and Roux-en-Y Gastrojejunostomy for Treatment of Superior Mesenteric Artery Syndrome: Meta-Analysis. Med. J. Cairo Univ. 2024, 92, 1433–1449. [Google Scholar] [CrossRef]
  17. Alsaleh, N.; Yaseen, W.; Alshamat, R.A.; Aljurushi, R.; Alshareef, B. Superior mesenteric artery syndrome following colorectal surgery: A systematic review. Ann. Med. Surg. 2025, 87, 2763–2773. [Google Scholar] [CrossRef] [PubMed]
Figure 1. Upper GI contrast study: incomplete fixed stenosis due to an apparent extrinsic pressure effect on the second portion of the duodenum. (A): Delayed progression of contrast material into the duodenum; (B): Gastric cascade configuration.
Figure 1. Upper GI contrast study: incomplete fixed stenosis due to an apparent extrinsic pressure effect on the second portion of the duodenum. (A): Delayed progression of contrast material into the duodenum; (B): Gastric cascade configuration.
Reports 09 00020 g001
Figure 2. CTA: The aortomesenteric angle was significantly reduced to 6°.
Figure 2. CTA: The aortomesenteric angle was significantly reduced to 6°.
Reports 09 00020 g002
Figure 3. CTA: The aortomesenteric distance measured 4 mm.
Figure 3. CTA: The aortomesenteric distance measured 4 mm.
Reports 09 00020 g003
Figure 4. CTA: Findings consistent with superior mesenteric artery SMAS.
Figure 4. CTA: Findings consistent with superior mesenteric artery SMAS.
Reports 09 00020 g004
Table 1. Case reports and case series of pediatric patients with SMAS reported in the last five years.
Table 1. Case reports and case series of pediatric patients with SMAS reported in the last five years.
Study TypeAge RangeKey Clinical FeaturesManagementOutcomes
Case series
(N = 8)
[10]
Adolescents (median ~16 yrs)Chronic abdominal pain, vomiting, weight loss; multiple comorbidities; radiologic SMASLaparoscopic duodenojejunostomy (after failed conservative therapy)Most had symptom resolution; one postop SBO; no long-term need for supplemental nutrition
Case report
[5]
8 yrsChronic abdominal pain and vomiting since early childhoodSurgical duodenojejunostomyComplete symptom resolution
Case report
[6]
11 yrsAbdominal pain, intermittent vomiting, short symptom durationConservative (nutritional support, decompression)Clinical improvement without surgery
Case report
[7]
12 yrsAcute persistent vomiting, abdominal painSurgery after failed conservative therapySymptom resolution
Case report
[8]
13 yrsSMAS associated with IgA vasculitis (HSP), bilious vomitingSurgical managementClinical improvement
Case report
[9]
10 yrsChronic abdominal pain, duodenal obstructionSurgical bypassGood recovery
Table 2. Suggested Stepwise Management Approach for Pediatric SMAS.
Table 2. Suggested Stepwise Management Approach for Pediatric SMAS.
StepInterventionIndication/Notes
1Initial conservative measuresNutritional support (oral/enteral if tolerated), NG decompression
2Nutritional optimizationTPN if oral/enteral intake insufficient; monitor for weight gain and symptomatic improvement
3Repeat dynamic imagingAssess aortomesenteric angle/distance and persistence of duodenal compression
4Evaluate response to therapyIf symptoms persist despite weight gain and improved nutrition
5Surgical interventionIndicated for refractory cases or ongoing TPN dependence despite adequate conservative management
6Post-operative rehabilitationGradual reintroduction of feeding, nutritional follow-up, symptom monitoring
Disclaimer/Publisher’s Note: The statements, opinions and data contained in all publications are solely those of the individual author(s) and contributor(s) and not of MDPI and/or the editor(s). MDPI and/or the editor(s) disclaim responsibility for any injury to people or property resulting from any ideas, methods, instructions or products referred to in the content.

Share and Cite

MDPI and ACS Style

Rogalidou, M.; Papagiannis, G.; Dimakou, K.; Galina, P.; Siska, S.-Z.; Papadopoulou, A. Persistent Vomiting and Epigastric Pain in an Adolescent: A Case of Superior Mesenteric Artery Syndrome Unmasked. Reports 2026, 9, 20. https://doi.org/10.3390/reports9010020

AMA Style

Rogalidou M, Papagiannis G, Dimakou K, Galina P, Siska S-Z, Papadopoulou A. Persistent Vomiting and Epigastric Pain in an Adolescent: A Case of Superior Mesenteric Artery Syndrome Unmasked. Reports. 2026; 9(1):20. https://doi.org/10.3390/reports9010020

Chicago/Turabian Style

Rogalidou, Maria, Georgios Papagiannis, Konstantina Dimakou, Paraskevi Galina, Stavroula-Zoe Siska, and Alexandra Papadopoulou. 2026. "Persistent Vomiting and Epigastric Pain in an Adolescent: A Case of Superior Mesenteric Artery Syndrome Unmasked" Reports 9, no. 1: 20. https://doi.org/10.3390/reports9010020

APA Style

Rogalidou, M., Papagiannis, G., Dimakou, K., Galina, P., Siska, S.-Z., & Papadopoulou, A. (2026). Persistent Vomiting and Epigastric Pain in an Adolescent: A Case of Superior Mesenteric Artery Syndrome Unmasked. Reports, 9(1), 20. https://doi.org/10.3390/reports9010020

Article Metrics

Back to TopTop