Sign in to use this feature.

Years

Between: -

Subjects

remove_circle_outline
remove_circle_outline
remove_circle_outline
remove_circle_outline

Journals

Article Types

Countries / Regions

Search Results (20)

Search Parameters:
Keywords = nerve transposition

Order results
Result details
Results per page
Select all
Export citation of selected articles as:
9 pages, 511 KB  
Article
Computer-Assisted CBCT Evaluation of Inferior Alveolar Nerve Canal Regeneration One Year Following Nerve Transposition
by Fares Kablan, Shadi Daoud, Amjad Shhadeh and Samer Srouji
J. Clin. Med. 2026, 15(3), 985; https://doi.org/10.3390/jcm15030985 - 26 Jan 2026
Viewed by 94
Abstract
Background: Rehabilitation of the severely atrophic posterior mandible remains surgically challenging, and inferior alveolar nerve (IAN) repositioning is a well-established technique that enables implant placement in anatomically compromised cases. Although neurosensory outcomes following nerve relocation have been extensively investigated, the regenerative capacity [...] Read more.
Background: Rehabilitation of the severely atrophic posterior mandible remains surgically challenging, and inferior alveolar nerve (IAN) repositioning is a well-established technique that enables implant placement in anatomically compromised cases. Although neurosensory outcomes following nerve relocation have been extensively investigated, the regenerative capacity of the mandibular canal itself has not been previously evaluated. This study presents the first computer-assisted, cone-beam computed tomography (CBCT)-based assessment of bony canal regeneration after IAN transposition. Methods: Twenty-two patients who underwent unilateral IAN transposition were evaluated using standardized CBCT one year postoperatively. A semi-manual segmentation workflow was performed using Mimics Core Medical software version 27.0 (Materialise), and regenerated canal walls were identified according to four strict criteria: (1) canal continuity across sequential CBCT sections, (2) defined canal walls demonstrating high-density bone (>800 HU, or >400 HU), (3) ≥270° circumferential bony enclosure, and (4) morphology consistent with the native mandibular canal. Regeneration was quantified as the proportion of the surgically disrupted canal segment exhibiting a fully, or near fully, reconstructed canal. Results: Mandibular canal regeneration was observed in all patients. The mean regeneration at one year was 72.7% ± 13% when applying strict >800 HU criteria, with 20 patients demonstrating substantial (>70%) reformation and 2 patients showing partial regeneration (<40%). When a lower density threshold (>400 HU) was applied to include early or less mineralized bone, the mean regeneration increased to 78.1% ± 11%, indicating the presence of maturing bone structures that did not yet meet full-density criteria. Conclusions: Computer-assisted CBCT analysis demonstrates that partial to extensive regeneration of the mandibular canal occurs within one year following IAN transposition. This study provides the first quantitative evidence of this phenomenon, highlighting the intrinsic regenerative potential of the mandibular canal and suggesting a possible association with postoperative neurosensory recovery. Full article
(This article belongs to the Special Issue Dentistry and Oral Surgery: Current Status and Future Prospects)
Show Figures

Figure 1

11 pages, 1018 KB  
Article
Routine Transposition or In Situ Decompression? Rethinking Ulnar Nerve Strategy in Distal Humerus Fractures
by Tahir Öztürk, Mete Gedikbaş, Fırat Erpala and Murat Aşçi
J. Clin. Med. 2025, 14(20), 7233; https://doi.org/10.3390/jcm14207233 - 14 Oct 2025
Cited by 1 | Viewed by 899
Abstract
Background: Fractures of the distal humerus (DHFs) represent challenging intra-articular injuries that are often followed by postoperative complications, most notably ulnar neuropathy. There is still debate regarding the best method of handling the ulnar nerve during open reduction and internal fixation (ORIF). [...] Read more.
Background: Fractures of the distal humerus (DHFs) represent challenging intra-articular injuries that are often followed by postoperative complications, most notably ulnar neuropathy. There is still debate regarding the best method of handling the ulnar nerve during open reduction and internal fixation (ORIF). Objective: The primary objective was to evaluate the incidence of postoperative ulnar neuropathy (UN) in patients who underwent open reduction and internal fixation (ORIF) for DHFs, comparing anterior transposition (AT) with in situ decompression (ISD) of the ulnar nerve. Additionally, we investigated the influence of AT on individuals presenting with preoperative UN. Methods: A retrospective review was conducted on 68 patients (26 females and 42 males; mean age: 46.3 years) who underwent ORIF for intra-articular DHF between 2018 and 2022. Patients were divided into two groups: anterior transposition (n = 14) and in situ decompression (n = 54). Ulnar neuropathy was evaluated using the modified McGowan classification, and radiographic outcomes were assessed with AO/OTA fracture classification. Results: Sixty-eight patients (26F/42M) were included. The mean age was 46.3 years (20–77 years) and the mean follow-up time was 53 months (36–76 months). The postoperative UN incidence was 30.8% (21/68). Neuropathy was significantly higher in the transposition group compared to in situ decompression (57.1% vs. 24%; p = 0.012). Olecranon osteotomy (36.3% vs. 20%; p = 0.042) and parallel plate configuration (33.3% vs. 12.5%; p = 0.037) were also associated with increased neuropathy risk. Among patients with preoperative ulnar neuropathy (n = 12), functional recovery was more favorable with transposition, where 71% experienced full resolution compared to 60% in the in situ group. Conclusions: Routine anterior transposition of the ulnar nerve during ORIF for DHF is associated with an increased risk of postoperative neuropathy and should be avoided in patients without preoperative symptoms. However, transposition appears beneficial in patients with pre-existing ulnar neuropathy. Surgeons should individualize ulnar nerve management to balance surgical risks and neurological outcomes. Full article
(This article belongs to the Section Orthopedics)
Show Figures

Figure 1

25 pages, 1137 KB  
Systematic Review
Neurosensory Disturbances Following Inferior Alveolar Nerve Relocation and Implant Placement: A Systematic Review and Meta-Analysis
by Raffaele Vinci, Saverio Cosola, Korath Varkey M, Sowndarya Gunasekaran, Jaibin George and Ugo Covani
J. Clin. Med. 2025, 14(16), 5741; https://doi.org/10.3390/jcm14165741 - 14 Aug 2025
Cited by 3 | Viewed by 2885
Abstract
Background: Rehabilitation of atrophic posterior mandibles using dental implants is often complicated by anatomical limitations, particularly the proximity of the inferior alveolar nerve (IAN). Techniques such as IAN lateralization and transposition enable implant placement but are associated with neurosensory disturbances (NSDs). This systematic [...] Read more.
Background: Rehabilitation of atrophic posterior mandibles using dental implants is often complicated by anatomical limitations, particularly the proximity of the inferior alveolar nerve (IAN). Techniques such as IAN lateralization and transposition enable implant placement but are associated with neurosensory disturbances (NSDs). This systematic review and meta-analysis aimed to assess the incidence, duration, and predictors of NSDs following IAN repositioning for implant placement and to evaluate the effectiveness of adjunctive methods like piezo-surgery and platelet-rich fibrin (PRF) in minimizing complications. Methods: Following PRISMA 2020 guidelines, a comprehensive search of electronic databases and gray literature identified 20 studies, including randomized controlled trials, prospective cohorts, and retrospective analyses published between 2009 and 2024. Outcomes analyzed included incidence of NSDs, recovery rates, implant stability quotient (ISQ), marginal bone loss, and implant success rates. Meta-analysis was performed using RevMan 5.3 software, with heterogeneity and publication bias assessed using standard Cochrane tools. Results: Transient NSDs occurred in 15–40% of cases, with higher rates observed in transposition techniques. Most patients experienced recovery within 6 months. Piezoelectric surgery significantly reduced the incidence and duration of NSDs compared to rotary instruments. Meta-analysis revealed no statistically significant differences between lateralization and transposition techniques in ISQ, marginal bone loss, success rate, or NSDs at 3 months (p > 0.05). PRF was associated with accelerated nerve recovery. IAN repositioning is effective for implant placement in atrophic mandibles with a risk of transient NSDs. Conclusions: Lateralization combined with piezo-surgery and PRF shows favorable outcomes in minimizing nerve injury and optimizing implant success. The PROSPERO registration code is as follows: CRD420251086835. Full article
Show Figures

Figure 1

11 pages, 788 KB  
Article
Short-Term Outcomes of a Novel Fascio-Aponeurotic Flap Technique for Ulnar Nerve Instability at the Elbow
by Rocco De Vitis, Marco D’Orio, Adriano Cannella, Eve Michel Gabriel, Giuseppe Taccardo, Luciana Marzella, Vitale Cilli, Giulia Maria Sassara and Marco Passiatore
Surgeries 2025, 6(3), 49; https://doi.org/10.3390/surgeries6030049 - 24 Jun 2025
Cited by 1 | Viewed by 1215
Abstract
Background: Cubital tunnel syndrome is the second most common compressive neuropathy of the upper limb, and it is characterized by ulnar nerve compression at the elbow. Traditional surgical options, including simple decompression and anterior transposition, have limitations in addressing ulnar nerve instability. This [...] Read more.
Background: Cubital tunnel syndrome is the second most common compressive neuropathy of the upper limb, and it is characterized by ulnar nerve compression at the elbow. Traditional surgical options, including simple decompression and anterior transposition, have limitations in addressing ulnar nerve instability. This study introduces and evaluates the short-term outcomes of a novel surgical technique, the fascio-aponeurotic epicondylar flap (FAEF), for stabilizing the ulnar nerve and managing its instability. Materials and methods: A retrospective study was conducted on ten patients with longstanding cubital tunnel syndrome and confirmed ulnar nerve dislocation or instability. All patients underwent surgical intervention using the FAEF technique, which involves creating a quadrangular fascial flap from the epicondylar fascia to stabilize the ulnar nerve within the retrocondylar groove. Outcomes were assessed using clinical follow-ups, the Michigan Hand Outcomes Questionnaire (MHQ), VAS, and qDASH scores over a 90-day postoperative period. Results: All ten patients experienced complete resolution of neurological symptoms, including paresthesia, pain, and nerve clicking, by the final follow-up. Postoperative recovery was uneventful, with no complications such as infections or hematomas. Grip strength and hand functionality were fully restored, with significant improvements in MHQ scores (mean: 94). Dynamic elbow mobilization initiated on the first postoperative day resulted in full recovery of elbow range of motion. No recurrence of ulnar nerve dislocation was observed. Discussion: The FAEF technique effectively stabilizes the ulnar nerve, alleviates symptoms, and restores function while minimizing risks associated with traditional procedures, such as nerve trauma and elbow instability. By preserving the anatomical integrity of the medial epicondyle and enhancing nerve mobility, this approach represents a less invasive alternative to anterior transposition and medial epicondylectomy. Conclusions: The FAEF technique is a viable and effective surgical option for managing ulnar nerve instability in cubital tunnel syndrome. It offers a less invasive solution with excellent short-term outcomes, making it a promising addition to the surgical armamentarium for this condition. Further studies are warranted to evaluate long-term efficacy and broader applicability. Full article
(This article belongs to the Section Hand Surgery and Research)
Show Figures

Figure 1

11 pages, 222 KB  
Article
Post-Surgical Ulnar Nerve Neuropathy in Distal Humerus Fractures: Comparison Between In Situ Decompression and Anterior Subcutaneous Transposition
by Ignacio García-Cepeda, Ana-Elena Sanz-Peñas, Inés de Blas-Sanz, Clarisa Simón-Pérez, Emilio-Javier Frutos-Reoyo and Ignacio Aguado-Maestro
J. Clin. Med. 2025, 14(7), 2490; https://doi.org/10.3390/jcm14072490 - 5 Apr 2025
Cited by 3 | Viewed by 2307
Abstract
Postoperative ulnar neuropathy is a common complication in patients undergoing surgery for distal humerus fractures, particularly when open reduction and internal fixation (ORIF) is performed. Objectives: This study aims to compare the rates of ulnar nerve neuropathy following classic in situ decompression [...] Read more.
Postoperative ulnar neuropathy is a common complication in patients undergoing surgery for distal humerus fractures, particularly when open reduction and internal fixation (ORIF) is performed. Objectives: This study aims to compare the rates of ulnar nerve neuropathy following classic in situ decompression versus ulnar nerve subcutaneous anterior transposition. Methods: A retrospective study was conducted, including 51 patients treated for distal humerus fractures with precontoured locking plates in our institution between 2009 and 2023, according to specific inclusion and exclusion criteria. Age, sex, ulnar neuropathy, range of motion (ROM), complications, surgical approach, and Mayo Elbow Performance Score (MEPS) were evaluated. Ulnar nerve function was graded according to modified McGowan classification. Results: Ulnar neuropathy was observed in 17 (33.3%) patients, with a higher risk in those who underwent anterior ulnar nerve transposition compared to in situ decompression (58% vs. 26%, p = 0.042). In the modified McGowan classification, 14 patients had grade 1 and 3 had grade 2 neuropathy. The overall complication rate was 49%, and the functional outcomes according to the MEPS scale showed a mean score of 81.6 (SD 17.29). The mean flexion–extension was 100.56°, and 94% of patients retained complete pronosupination. Conclusions: Our results demonstrate that routine intraoperative ulnar nerve transposition should not be performed for these fractures. Full article
(This article belongs to the Special Issue Clinical Management of Elbow and Shoulder Surgery)
12 pages, 1289 KB  
Article
Ulnar Nerve Management in Complex Elbow Dislocations: A Retrospective Monocentric Study
by Carlotta Faccenda, Elisa Dutto, Francesco Bosco, Alessandro Dario Lavia and Bruno Battiston
J. Pers. Med. 2024, 14(11), 1076; https://doi.org/10.3390/jpm14111076 - 26 Oct 2024
Cited by 1 | Viewed by 3785
Abstract
Background/Objectives: The ulnar nerve’s unique anatomy makes it vulnerable to complex elbow dislocations. Depending on the nature of the injury, the clinical treatment and outcomes related to the nerve may vary. Unfortunately, the current literature provides limited and fragmented information on managing the [...] Read more.
Background/Objectives: The ulnar nerve’s unique anatomy makes it vulnerable to complex elbow dislocations. Depending on the nature of the injury, the clinical treatment and outcomes related to the nerve may vary. Unfortunately, the current literature provides limited and fragmented information on managing the ulnar nerve and the incidence of neuropathy in complex elbow dislocations. This study aimed to determine the occurrence of ulnar nerve pain and its relationship with transposition. Methods: A retrospective evaluation was conducted on a consecutive series of 44 patients who underwent surgery for complex elbow dislocations. The average follow-up period was 29 months. Patients were categorized based on their condition (trans-olecranon fracture–dislocation, Terrible Triad, Monteggia-like lesions, and injuries not falling into the previous categories). The study assessed whether the ulnar nerve was released from the cubital tunnel and underwent transposition. Additionally, the study examined the number of patients experiencing ulnar pain in the postoperative period and its duration over time. All patients were also evaluated using the Mayo Elbow Performance Score (MEPS), Disabilities of Arm, Shoulder, and Hand (DASH) score, and Oxford Elbow Score (OES). Results: Patients who underwent simultaneous ulnar nerve transposition surgery with complex elbow dislocation showed a higher incidence of neuropathy. In these patients, the symptoms were less severe but lasted longer. MEPS, DASH, and OES did not show statistically significant differences between the two groups; however, they were slightly better for the group without ulnar nerve transposition. Conclusions: Surgeons should refrain from routinely transposing the ulnar nerve in complex elbow dislocations. However, further studies involving larger populations are necessary. Full article
(This article belongs to the Special Issue Precision Medicine in Plastic Surgery and Reconstruction)
Show Figures

Figure 1

15 pages, 2494 KB  
Review
Microvascular Decompression for Trigeminal Neuralgia Secondary to Vertebrobasilar Dolichoectasia: Review of the Literature and Illustrative Case
by Massimiliano Visocchi, Fabio Zeoli and Francesco Signorelli
J. Clin. Med. 2024, 13(21), 6342; https://doi.org/10.3390/jcm13216342 - 23 Oct 2024
Cited by 9 | Viewed by 2506
Abstract
Classical trigeminal neuralgia (TN) is a chronic pain disorder characterized by severe, unilateral facial pain, often resulting from vasculonervous conflict. A less common cause of TN is vertebrobasilar dolichoectasia (VBD). Microvascular decompression (MVD) is the preferred surgical intervention for TN, but in case [...] Read more.
Classical trigeminal neuralgia (TN) is a chronic pain disorder characterized by severe, unilateral facial pain, often resulting from vasculonervous conflict. A less common cause of TN is vertebrobasilar dolichoectasia (VBD). Microvascular decompression (MVD) is the preferred surgical intervention for TN, but in case of VBD, the surgical procedure is more complex due to the aberrant vascular anatomy. This study aims to review the evidence on MVD for VBD-induced TN, and analyze operative challenges, efficacy, and postoperative outcomes. An illustrative case is also presented. We report on the case of a 62-year-old male with a 7-year history of right-sided TN affecting the maxillary (V2) and mandibular (V3) territories. The patient underwent MVD using the interposition technique, where Teflon sponges were placed between the basilar artery and the nerve. Postoperatively, the patient experienced complete pain relief without neurological deficits. At 12 months follow-up, the patient remained pain-free and off medications. We performed an extensive literature review using PubMed, Scopus, and Web of Sciences, highlighting the most relevant studies and findings on the topic. The literature review showed that, while MVD is effective in providing long-term pain relief in VBD-induced TN, the choice between interposition and transposition techniques remains debated. Interposition is easier to perform but may inadvertently increase nerve compression in some cases, whereas transposition offers more definitive decompression but carries higher technical risks. Our case and the available literature highlight the importance of individualized treatment planning in achieving optimal outcomes for patients with VBD-induced TN. Further research is needed to refine surgical techniques and minimize complications in this subset of TN patients. Full article
Show Figures

Figure 1

11 pages, 741 KB  
Review
Dynamic Repair Surgery for Late-Stage Facial Paralysis: Advances in Restoring Movement and Function
by Qing Sun, Xing Li, Zhihui Zhu, Xiting Xiang and Tao Zhang
J. Clin. Med. 2024, 13(16), 4955; https://doi.org/10.3390/jcm13164955 - 22 Aug 2024
Cited by 3 | Viewed by 3892
Abstract
Purpose: Facial paralysis results from congenital or acquired facial nerve damage, leading to significant cosmetic and functional deficits. Surgical resection of parotid and midface tumors can cause facial paralysis, necessitating effective treatment strategies. This review addresses the challenge of restoring movement and function [...] Read more.
Purpose: Facial paralysis results from congenital or acquired facial nerve damage, leading to significant cosmetic and functional deficits. Surgical resection of parotid and midface tumors can cause facial paralysis, necessitating effective treatment strategies. This review addresses the challenge of restoring movement and function in late-stage facial paralysis, focusing on dynamic repair techniques involving nerve and muscle transplantation. Methods: The review encompasses studies on dynamic repair surgery for late facial paralysis, including techniques such as local muscle flap with pedicle transfer, vascularized nerve flap with pedicle transfer, and multiple muscle flap procedures. A systematic literature search was conducted using PubMed, Web of Science, and Google Scholar, covering studies from 2000 to 2024. Keywords included “dynamic repair”, “late-stage facial paralysis”, “nerve and muscle transplantation”, “muscle flap”, and “tendon transposition”. Included were clinical studies, systematic reviews, and meta-analyses reporting surgical outcomes. Exclusion criteria included studies with insufficient data and non-peer-reviewed articles. Results: Dynamic repair techniques involving nerve and muscle transplantation are essential for treating late-stage facial paralysis. Each surgical method has strengths and limitations. The masseter muscle flap demonstrates high success rates, although it can cause horizontal tension and jaw contour issues. The temporalis muscle flap is effective for smile restoration but may lead to temporal concavity. The gracilis muscle flap is widely used, especially with dual nerve innervation, showing high success in spontaneous smiles but requiring a longer recovery period. The latissimus dorsi flap is effective but can cause edema and shoulder issues. The serratus anterior free flap offers flexibility with precise vector positioning but may not achieve adequate lip elevation and can cause cheek swelling. Combined multi-flap surgeries provide more natural facial expressions but increase surgical complexity and require advanced microsurgical skills. Conclusions: Dual nerve innervation shows promise for restoring spontaneous smiles. One-stage surgery offers faster recovery and reduced financial burden. Comprehensive patient evaluation is crucial to select the most suitable surgical method. Dynamic repair techniques involving nerve and muscle transplantation provide effective solutions for restoring function and aesthetics in late-stage facial paralysis. Future research should focus on long-term outcomes, patient satisfaction, and standardizing surgical protocols to optimize treatment strategies. Full article
(This article belongs to the Special Issue Craniofacial and Reconstructive Plastic Surgery)
Show Figures

Figure 1

5 pages, 1933 KB  
Interesting Images
Elbow Reconstruction with Megaprosthesis: An Effective Strategy for Salvage Surgery in Trauma Patients
by Serban Dragosloveanu, Mihnea-Alexandru Petre, Mihai Emanuel Gherghe, Radu Octavian Baz, Romica Cergan and Cristian Scheau
Diagnostics 2024, 14(7), 724; https://doi.org/10.3390/diagnostics14070724 - 29 Mar 2024
Cited by 2 | Viewed by 2026
Abstract
Delayed fracture healing can have devastating functional consequences, including pseudoarthrosis. Many factors can contribute to delayed healing, including decreased vascularity, micro-motion at the fracture site, large fracture gaps, multiple traumas at the same site, compromised metabolic status, surgical complications, and other conditions. A [...] Read more.
Delayed fracture healing can have devastating functional consequences, including pseudoarthrosis. Many factors can contribute to delayed healing, including decreased vascularity, micro-motion at the fracture site, large fracture gaps, multiple traumas at the same site, compromised metabolic status, surgical complications, and other conditions. A 61-year-old female patient was referred to our hospital with left distal humeral pseudarthrosis, accompanied by chronic pain and disability. Two years prior, the patient suffered a traumatic incident. At another medical facility, the patient underwent open reduction and internal fixation surgery with simultaneous ulnar nerve transposition. She showed favorable postoperative recovery. Unfortunately, approximately one year later, the patient sustained a second trauma to the same arm. This led to peri-implant fracture and post-traumatic aseptic degradation of the osteosynthesis system which was subsequently removed. Twelve months after the last surgery, the patient was referred to our hospital and, after thorough consideration of the therapeutic options, we decided to perform left elbow arthroplasty with left distal humeral reconstruction by using Zimmer’s Comprehensive Segmental Revision System. This approach is generally reserved for tumors, and only a handful of cases of megaprostheses for non-tumoral indications have been previously reported. The surgery and perioperative care of our patient were optimal, there were no complications, and the patient recovered arm functionality following rehabilitation. Full article
(This article belongs to the Section Medical Imaging and Theranostics)
Show Figures

Figure 1

24 pages, 6640 KB  
Review
The Unpredictable Ulnar Nerve—Ulnar Nerve Entrapment from Anatomical, Pathophysiological, and Biopsychosocial Aspects
by Erika Nyman and Lars B. Dahlin
Diagnostics 2024, 14(5), 489; https://doi.org/10.3390/diagnostics14050489 - 24 Feb 2024
Cited by 17 | Viewed by 14295
Abstract
Peripheral nerves consist of delicate structures, including a rich microvascular system, that protect and nourish axons and associated Schwann cells. Nerves are sensitive to internal and external trauma, such as compression and stretching. Ulnar nerve entrapment, the second most prevalent nerve entrapment disorder [...] Read more.
Peripheral nerves consist of delicate structures, including a rich microvascular system, that protect and nourish axons and associated Schwann cells. Nerves are sensitive to internal and external trauma, such as compression and stretching. Ulnar nerve entrapment, the second most prevalent nerve entrapment disorder after carpal tunnel syndrome, appears frequently at the elbow. Although often idiopathic, known risk factors, including obesity, smoking, diabetes, and vibration exposure, occur. It exists in all adult ages (mean age 40–50 years), but seldom affects individuals in their adolescence or younger. The patient population is heterogeneous with great co-morbidity, including other nerve entrapment disorders. Typical early symptoms are paresthesia and numbness in the ulnar fingers, followed by decreased sensory function and muscle weakness. Pre- and postoperative neuropathic pain is relatively common, independent of other symptom severity, with a risk for serious consequences. A multimodal treatment strategy is necessary. Mild to moderate symptoms are usually treated conservatively, while surgery is an option when conservative treatment fails or in severe cases. The decision to perform surgery might be difficult, and the outcome is unpredictable with the risk of complications. There is no consensus on the choice of surgical method, but simple decompression is relatively effective with a lower complication rate than transposition. Full article
Show Figures

Figure 1

23 pages, 8232 KB  
Article
Chitin Conduits with Different Inner Diameters at Both Ends Combined with Dual Growth Factor Hydrogels Promote Nerve Transposition Repair in Rats
by Fengshi Zhang, Bo Ma, Qicheng Li, Meng Zhang and Yuhui Kou
J. Funct. Biomater. 2023, 14(9), 442; https://doi.org/10.3390/jfb14090442 - 28 Aug 2023
Cited by 6 | Viewed by 2209
Abstract
Severe peripheral nerve injuries, such as deficits over long distances or proximal nerve trunk injuries, pose complex reconstruction challenges that often result in unfavorable outcomes. Innovative techniques, such as nerve transposition repair with conduit suturing, can be employed to successfully treat severe peripheral [...] Read more.
Severe peripheral nerve injuries, such as deficits over long distances or proximal nerve trunk injuries, pose complex reconstruction challenges that often result in unfavorable outcomes. Innovative techniques, such as nerve transposition repair with conduit suturing, can be employed to successfully treat severe peripheral nerve damage. However, cylindrical nerve guides are typically unsuitable for nerve transposition repair. Furthermore, angiogenic and neurotrophic factors are necessary to stimulate the emergence of axonal lateral sprouts, proximal growth, and the rehabilitation of neuron structures and functions. In the current study, we used chitosan to make chitin conduits with different inner diameters at both ends, combined with gelatin methacrylate hydrogels that can continuously release dual growth factors, namely, the vascular endothelial growth factor (VEGF) and the nerve growth factor (NGF), and evaluated its impact on nerve transposition repair in rats. At 16 weeks after the operation, our findings showed that the conduit combined with the dual growth factor hydrogel significantly improved the restoration of both motor and conduction functions of the nerve. In addition, histological analysis showed significant recovery of nerve fibers, target muscles, and neurons. In conclusion, the combination of chitin conduits with different inner diameters and dual growth factor hydrogels can significantly improve the effect of nerve transposition repair, which has important potential clinical value. Full article
(This article belongs to the Special Issue Functionalized Polymeric Biomaterials: Design and Applications)
Show Figures

Figure 1

20 pages, 6362 KB  
Article
Cardiac Fibrosis and Innervation State in Uncorrected and Corrected Transposition of the Great Arteries: A Postmortem Histological Analysis and Systematic Review
by Leo J. Engele, Roel L. F. van der Palen, Anastasia D. Egorova, Margot M. Bartelings, Lambertus J. Wisse, Claire A. Glashan, Philippine Kiès, Hubert W. Vliegen, Mark G. Hazekamp, Barbara J. M. Mulder, Marco C. De Ruiter, Berto J. Bouma and Monique R. M. Jongbloed
J. Cardiovasc. Dev. Dis. 2023, 10(4), 180; https://doi.org/10.3390/jcdd10040180 - 20 Apr 2023
Cited by 8 | Viewed by 2746
Abstract
In the transposition of the great arteries (TGA), alterations in hemodynamics and oxygen saturation could result in fibrotic remodeling, but histological studies are scarce. We aimed to investigate fibrosis and innervation state in the full spectrum of TGA and correlate findings to clinical [...] Read more.
In the transposition of the great arteries (TGA), alterations in hemodynamics and oxygen saturation could result in fibrotic remodeling, but histological studies are scarce. We aimed to investigate fibrosis and innervation state in the full spectrum of TGA and correlate findings to clinical literature. Twenty-two human postmortem TGA hearts, including TGA without surgical correction (n = 8), after Mustard/Senning (n = 6), and arterial switch operation (ASO, n = 8), were studied. In newborn uncorrected TGA specimens (1 day–1.5 months), significantly more interstitial fibrosis (8.6% ± 3.0) was observed compared to control hearts (5.4% ± 0.8, p = 0.016). After the Mustard/Senning procedure, the amount of interstitial fibrosis was significantly higher (19.8% ± 5.1, p = 0.002), remarkably more in the subpulmonary left ventricle (LV) than in the systemic right ventricle (RV). In TGA-ASO, an increased amount of fibrosis was found in one adult specimen. The amount of innervation was diminished from 3 days after ASO (0.034% ± 0.017) compared to uncorrected TGA (0.082% ± 0.026, p = 0.036). In conclusion, in these selected postmortem TGA specimens, diffuse interstitial fibrosis was already present in newborn hearts, suggesting that altered oxygen saturations may already impact myocardial structure in the fetal phase. TGA-Mustard/Senning specimens showed diffuse myocardial fibrosis in the systemic RV and, remarkably, in the LV. Post-ASO, decreased uptake of nerve staining was observed, implicating (partial) myocardial denervation after ASO. Full article
(This article belongs to the Special Issue Congenital Heart Defects: Diagnosis, Management, and Treatment)
Show Figures

Figure 1

10 pages, 4212 KB  
Article
Comparison of Pedicled Adductor Longus and Pedicled Sartorius Flap in Inguinal Reconstruction, a Fresh Cadaver Study
by Hong Zhang, Zhenfeng Li, Jianmin Li, Binghong Zhu and Qingjia Xu
J. Pers. Med. 2023, 13(1), 143; https://doi.org/10.3390/jpm13010143 - 11 Jan 2023
Cited by 1 | Viewed by 3114
Abstract
Reconstruction surgeries in the inguinal area are challenging for vascular surgeons, oncologists, orthopedists, and others. The pedicled sartorius flap is the most commonly used flap for reconstruction. The pedicled adductor longus is reported as a new method to reconstruct the inguinal region. The [...] Read more.
Reconstruction surgeries in the inguinal area are challenging for vascular surgeons, oncologists, orthopedists, and others. The pedicled sartorius flap is the most commonly used flap for reconstruction. The pedicled adductor longus is reported as a new method to reconstruct the inguinal region. The related anatomic study is rare. This work aims to make a comparison of pedicled adductor longus and pedicled sartorius on cadavers for better use. Out of the 12 thighs in the 6 cadavers analyzed, the author compares two surgical methods in terms of surgical details, exposure of vascular and nerve pedicle, flap harvesting, flap transposition and flap volume, etc. Through the course of this study, it is showed that the adductor longus flap had a sizable advantage over the sartorius flap in terms of exposure, harvesting, and flap volume. Full article
(This article belongs to the Special Issue Recent Advances in Orthopaedic Surgery and Pathogenesis)
Show Figures

Figure 1

24 pages, 20469 KB  
Article
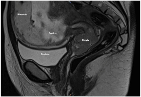
Approach to Radical Hysterectomy for Cervical Cancer in Pregnancy: Surgical Pathway and Ethical Considerations
by Rocco Guerrisi, Sarah Louise Smyth, Lamiese Ismail, Amanda Horne, Federico Ferrari and Hooman Soleymani majd
J. Clin. Med. 2022, 11(24), 7352; https://doi.org/10.3390/jcm11247352 - 10 Dec 2022
Cited by 5 | Viewed by 3831
Abstract
Introduction. Cervical cancer is currently the fourth most common cancer in women and in the poorest countries this neoplasia still represents a widespread and potentially lethal disease. We present a rare case of cervical cancer in pregnancy, analyzing the historical changes behind the [...] Read more.
Introduction. Cervical cancer is currently the fourth most common cancer in women and in the poorest countries this neoplasia still represents a widespread and potentially lethal disease. We present a rare case of cervical cancer in pregnancy, analyzing the historical changes behind the procedure of radical hysterectomy for cervical cancer and discussing variations in surgical techniques and anatomical definitions that have since been proposed. Results. We present the case of a 33-year-old patient who attended with vaginal bleeding in the second trimester of pregnancy. Examination revealed an abnormal looking cervix, with investigations concluding stage IIb squamous cell carcinoma. Following extensive discussion regarding management options, the patient went on to have a peripartum foetocidal type III nerve sparing radical Wertheim hysterectomy at 18 weeks gestation with conservation and transposition of the ovaries above the level of the pelvic brim. The patient recovered well without significant morbidity and received further input from fertility and psychological medical teams in addition to adjuvant treatment within the department of clinical oncology. Discussion. This case represents several elements of great interest and learning. Notably, we highlight this both due to the surgical challenges that a gravid uterus presents in the execution of a radical hysterectomy; and regarding the compassionate care demonstrated by the team - not only in supporting the patient and her partner in a period of profound turmoil in terms of the management of their cancer diagnosis and unborn child, but also regarding the uncertainty in consideration of the oncological and fertility related outcomes. Conclusion. This manuscript adds to the growing literature on the appropriate use of radical surgery for cervical cancer, more specifically during pregnancy and in consideration of such ethical dilemma, where management guidelines do not exist to aid clinicians further in their provision of treatment. Full article
(This article belongs to the Section Oncology)
Show Figures

Figure 1

25 pages, 1230 KB  
Review
A Comprehensive Approach to Facial Reanimation: A Systematic Review
by Milosz Pinkiewicz, Karolina Dorobisz and Tomasz Zatoński
J. Clin. Med. 2022, 11(10), 2890; https://doi.org/10.3390/jcm11102890 - 20 May 2022
Cited by 41 | Viewed by 8648
Abstract
Purpose: To create a systematic overview of the available reconstructive techniques, facial nerve grading scales, physical evaluation, the reversibility of paralysis, non-reconstructive procedures and medical therapy, physical therapy, the psychological aspect of facial paralysis, and the prevention of facial nerve injury in order [...] Read more.
Purpose: To create a systematic overview of the available reconstructive techniques, facial nerve grading scales, physical evaluation, the reversibility of paralysis, non-reconstructive procedures and medical therapy, physical therapy, the psychological aspect of facial paralysis, and the prevention of facial nerve injury in order to elucidate the gaps in the knowledge and discuss potential research aims in this area. A further aim was to propose an algorithm simplifying the selection of reconstructive strategies, given the variety of available reconstructive methods and the abundance of factors influencing the selection. Methodological approach: A total of 2439 papers were retrieved from the Medline/Pubmed and Cochrane databases and Google Scholar. Additional research added 21 articles. The primary selection had no limitations regarding the publication date. We considered only papers written in English. Single-case reports were excluded. Screening for duplicates and their removal resulted in a total of 1980 articles. Subsequently, we excluded 778 articles due to the language and study design. The titles or abstracts of 1068 articles were screened, and 134 papers not meeting any exclusion criterion were obtained. After a full-text evaluation, we excluded 15 papers due to the lack of information on preoperative facial nerve function and the follow-up period. This led to the inclusion of 119 articles. Conclusions: A thorough clinical examination supported by advanced imaging modalities and electromyographic examination provides sufficient information to determine the cause of facial palsy. Considering the abundance of facial nerve grading scales, there is an evident need for clear guidelines regarding which scale is recommended, as well as when the postoperative evaluation should be carried out. Static procedures allow the restoral of facial symmetry at rest, whereas dynamic reanimation aims to restore facial movement. The modern approach to facial paralysis involves neurotization procedures (nerve transfers and cross-facial nerve grafts), muscle transpositions, and microsurgical free muscle transfers. Rehabilitation provides patients with the possibility of effectively controlling their symptoms and improving their facial function, even in cases of longstanding paresis. Considering the mental health problems and significant social impediments, more attention should be devoted to the role of psychological interventions. Given that each technique has its advantages and pitfalls, the selection of the treatment approach should be individualized in the case of each patient. Full article
Show Figures

Figure 1

Back to TopTop