Sign in to use this feature.

Years

Between: -

Subjects

remove_circle_outline
remove_circle_outline
remove_circle_outline
remove_circle_outline
remove_circle_outline
remove_circle_outline
remove_circle_outline
remove_circle_outline

Journals

remove_circle_outline
remove_circle_outline
remove_circle_outline
remove_circle_outline
remove_circle_outline
remove_circle_outline
remove_circle_outline
remove_circle_outline
remove_circle_outline
remove_circle_outline
remove_circle_outline
remove_circle_outline
remove_circle_outline
remove_circle_outline
remove_circle_outline
remove_circle_outline
remove_circle_outline

Article Types

Countries / Regions

remove_circle_outline
remove_circle_outline
remove_circle_outline
remove_circle_outline
remove_circle_outline
remove_circle_outline

Search Results (2,414)

Search Parameters:
Keywords = neoadjuvance

Order results
Result details
Results per page
Select all
Export citation of selected articles as:
6 pages, 3663 KB  
Interesting Images
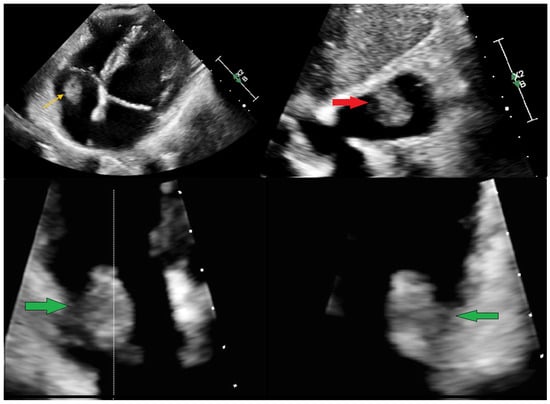
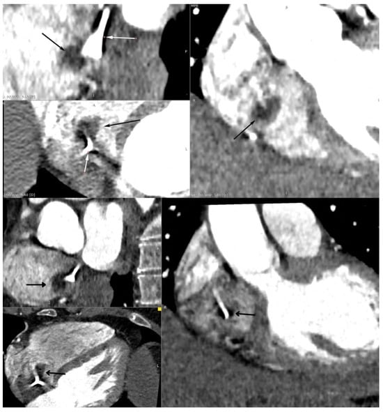
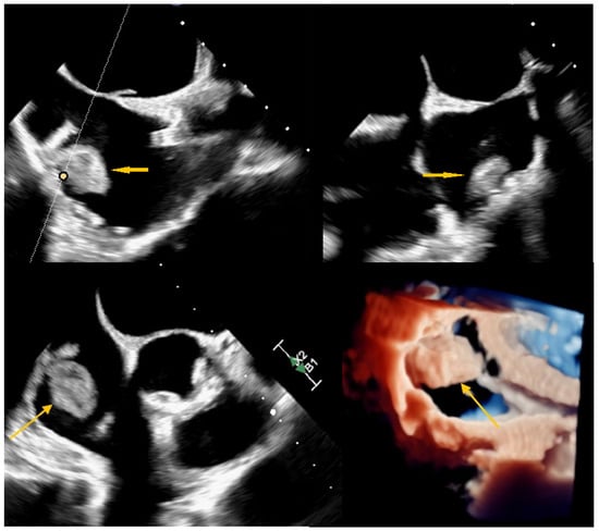
A Multi-Modality Approach to the Assessment of a Right Atrium Mass in a Female Patient with Breast Cancer Undergoing Neoadjuvant Chemotherapy
by Małgorzata Chlabicz, Paweł Muszyński, Joanna Kruszyńska, Piotr Kazberuk, Magdalena Róg-Makal, Magdalena Lipowicz, Urszula Matys, Anna Tomaszuk-Kazberuk, Marcin Kożuch and Sławomir Dobrzycki
Diagnostics 2025, 15(21), 2683; https://doi.org/10.3390/diagnostics15212683 - 23 Oct 2025
Abstract
Echocardiography remains a vital part of the initial assessment and monitoring of oncological patients. It allows for proper treatment selection but can also reveal life-threatening complications, including impaired left ventricular function or thromboembolism. It can rarely detect intracardiac masses that require further investigation. [...] Read more.
Echocardiography remains a vital part of the initial assessment and monitoring of oncological patients. It allows for proper treatment selection but can also reveal life-threatening complications, including impaired left ventricular function or thromboembolism. It can rarely detect intracardiac masses that require further investigation. In the presented case, a 51-year-old female patient with left-sided breast cancer, who had undergone neoadjuvant chemotherapy, was hospitalised due to a right atrial mass identified via routine transthoracic echocardiography (TTE). Initial anticoagulation therapy showed no clinical improvement. Follow-up TTE revealed a 12 × 19 mm hyperechogenic, mobile mass in the right atrium (RA). Computed tomography angiography (CTA) ruled out pulmonary embolism and revealed that the mass was located close to the tip of the vascular access port. Transoesophageal echocardiography showed that the lesion was not connected to the vascular port. Based on location and mobility, the lesion was most consistent with a cardiac myxoma. After the Heart Team made a decision, endovascular intervention using a vacuum-assisted device was performed without complications. Histopathological examination excluded thrombosis and myxoma, revealing a fibro-inflammatory lesion. A multimodality approach is necessary to assess RA masses. However, even an extensive evaluation could be misleading, so treatment options should always be subject to the Heart Team’s decision. Full article
(This article belongs to the Special Issue The Future of Cardiac Imaging in the Diagnosis, 2nd Edition)
Show Figures

Figure 1

14 pages, 548 KB  
Review
New Frontier in Cancer Immunotherapy: Sexual Dimorphism of Immune Response
by Nadeem Bilani, Nicole Charbel, Joe Rizkallah, Sam Sater and Firas Kreidieh
Metabolites 2025, 15(11), 686; https://doi.org/10.3390/metabo15110686 - 23 Oct 2025
Abstract
Sexual dimorphism influences immune responses, cancer progression, and therapeutic outcomes, yet its metabolic underpinnings remain underexplored. Metabolomics enables the comprehensive profiling of biochemical pathways that shape sex-based differences in immune function and immunotherapy efficacy. Meta-analytic data indicate that men achieve a larger overall [...] Read more.
Sexual dimorphism influences immune responses, cancer progression, and therapeutic outcomes, yet its metabolic underpinnings remain underexplored. Metabolomics enables the comprehensive profiling of biochemical pathways that shape sex-based differences in immune function and immunotherapy efficacy. Meta-analytic data indicate that men achieve a larger overall survival benefit from immune checkpoint inhibitors than women (pooled hazard ratio 0.72, 95% CI 0.65–0.79 vs. 0.86, 95% CI 0.79–0.93), while women may experience higher major pathologic response rates in neoadjuvant settings. At the biomarker level, elevated kynurenine-to-tryptophan ratios—reflecting indoleamine 2,3-dioxygenase activity—and distinct lipidomic signatures associate with reduced immunotherapy efficacy and may vary by sex. Sex-specific differences in microbiome-derived metabolites, including short-chain fatty acids, further modulate systemic immunity and treatment response. Ongoing clinical investigations combine hormone modulation with immune checkpoint blockade and increasingly integrate metabolomic profiling to identify predictors of benefit and toxicity. This review will synthesize meta-analytic and mechanistic evidence on sex differences in immunotherapy outcomes, highlight metabolomic biomarkers linked to response, and summarize ongoing clinical trials that incorporate metabolomics to guide sex-aware precision oncology. Understanding sex-specific metabolic pathways can refine patient stratification and optimize immunotherapeutic strategies. Full article
Show Figures

Figure 1

27 pages, 1843 KB  
Article
Oncological Outcomes of De-Escalation of Axillary Surgery in Breast Cancer Patients at a Referral Cancer Center in Colombia
by Sandra Esperanza Díaz-Casas, Andres Augusto Reyes-Agudelo, Oscar Alberto Vergara-Gamarra, Ximena Briceño-Morales, Luis Guzmán-AbiSaab, Daniel Contreras-Perez, Carlos Lehmann-Mosquera, Javier Ángel-Aristizábal, Mauricio García-Mora, Carlos Duarte-Torres, Iván Mariño-Lozano, Raúl Suárez-Rodríguez and Marcela Núñez-Lemus
Cancers 2025, 17(21), 3396; https://doi.org/10.3390/cancers17213396 - 22 Oct 2025
Viewed by 54
Abstract
Background/Objectives: De-escalation of axillary surgery with sentinel lymph node biopsy (SLNB) has been shown to decrease morbidity in breast cancer patients without affecting oncological outcomes. However, there are very few reports on its applicability in real-world clinical practice, especially in middle-income countries. [...] Read more.
Background/Objectives: De-escalation of axillary surgery with sentinel lymph node biopsy (SLNB) has been shown to decrease morbidity in breast cancer patients without affecting oncological outcomes. However, there are very few reports on its applicability in real-world clinical practice, especially in middle-income countries. Methods: A retrospective historical cohort study was conducted, including 787 patients with clinical stage I–IIIA breast cancer treated from 2013 to 2023 at the INC in Colombia. Two groups were analyzed based on the timing of the axillary procedure: patients undergoing SLNB as initial surgery (Upfront SLNB) and those receiving neoadjuvant chemotherapy (Post-NACT SLNB). Results: The overall sentinel lymph node (SLN) identification rate was 99.3%. SLN positivity was 32% in Upfront SLNB and 13.1% in Post-NACT SLNB. Axillary lymph node dissection (ALND) was omitted in 56% of patients with node-positive Upfront SLNB; it was avoided in 86.8% of the Post-NACT group with complete axillary response (ypN0). Regional recurrence rates were 2.33%. In multivariate analysis, the main factors linked to recurrence and mortality were triple-negative and luminal B HER2-negative biological subtypes, histological grade 2, and tumor size ≥ 2 cm. At 60 months of follow-up, 91.4% (95% CI: 88.9–93.9) of patients remained recurrence-free (time-recurrence (TR)), and overall survival (OS) was 96.1% (95% CI: 94.5–97.7), with no differences observed based on the axillary surgical strategy. Conclusions: Sentinel lymph node biopsy (SLNB) is an oncologically safe procedure for patients with early-stage and locally advanced breast cancer with an adequate response to neoadjuvant systemic treatment. Full article
(This article belongs to the Section Cancer Therapy)
Show Figures

Figure 1

18 pages, 2025 KB  
Article
A Priori Prediction of Neoadjuvant Chemotherapy Response in Breast Cancer Using Deep Features from Pre-Treatment MRI and CT
by Deok Hyun Jang, Laurentius O. Osapoetra, Lakshmanan Sannachi, Belinda Curpen, Ana Pejović-Milić and Gregory J. Czarnota
Cancers 2025, 17(20), 3394; https://doi.org/10.3390/cancers17203394 - 21 Oct 2025
Viewed by 204
Abstract
Background: Response to neoadjuvant chemotherapy (NAC) is a key prognostic indicator in breast cancer, yet current assessment relies on postoperative pathology. This study investigated the use of deep features derived from pre-treatment MRI and CT scans, in conjunction with clinical variables, to [...] Read more.
Background: Response to neoadjuvant chemotherapy (NAC) is a key prognostic indicator in breast cancer, yet current assessment relies on postoperative pathology. This study investigated the use of deep features derived from pre-treatment MRI and CT scans, in conjunction with clinical variables, to predict treatment response a priori. Methods: Two response endpoints were analyzed: pathologic complete response (pCR) versus non-pCR, and responders versus non-responders, with response defined as a reduction in tumor size of at least 30%. Intratumoral and peritumoral segmentations were generated on contrast-enhanced T1-weighted (CE-T1) and T2-weighted MRI, as well as contrast-enhanced CT images of tumors. Deep features were extracted from these regions using ResNet10, ResNet18, ResNet34, and ResNet50 architectures pre-trained with MedicalNet. Handcrafted radiomic features were also extracted for comparison. Feature selection was conducted with minimum redundancy maximum relevance (mRMR) followed by recursive feature elimination (RFE), and classification was performed using XGBoost across ten independent data partitions. Results: A total of 177 patients were analyzed in this study. ResNet34-derived features achieved the highest overall classification performance under both criteria, outperforming handcrafted features and deep features from other ResNet architectures. For distinguishing pCR from non-pCR, ResNet34 achieved a balanced accuracy of 81.6%, whereas handcrafted radiomics achieved 77.9%. For distinguishing responders from non-responders, ResNet34 achieved a balanced accuracy of 73.5%, compared with 70.2% for handcrafted radiomics. Conclusions: Deep features extracted from routinely acquired MRI and CT, when combined with clinical information, improve the prediction of NAC response in breast cancer. This multimodal framework demonstrates the value of deep learning-based approaches as a complement to handcrafted radiomics and provides a basis for more individualized treatment strategies. Full article
(This article belongs to the Special Issue CT/MRI/PET in Cancer)
Show Figures

Figure 1

14 pages, 1202 KB  
Article
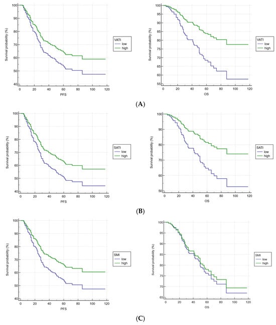
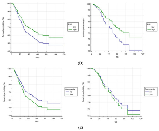
Body Composition and Survival in Locally Advanced Rectal Cancer Patients Treated with Neoadjuvant Radiochemotherapy
by Piotr Kolenda, Marcin Mardas, Piotr Radomyski, Maciej Trojanowski, Maria Litwiniuk, Wojciech Warchoł and Marta Stelmach-Mardas
Nutrients 2025, 17(20), 3309; https://doi.org/10.3390/nu17203309 - 21 Oct 2025
Viewed by 97
Abstract
Background: Nutritional status is a recognized determinant of treatment tolerance and clinical outcomes in oncology. This study aimed to assess body composition using computed tomography (CT) and to evaluate its association with progression-free survival (PFS) and overall survival (OS) in patients with locally [...] Read more.
Background: Nutritional status is a recognized determinant of treatment tolerance and clinical outcomes in oncology. This study aimed to assess body composition using computed tomography (CT) and to evaluate its association with progression-free survival (PFS) and overall survival (OS) in patients with locally advanced rectal cancer (LARC) undergoing curative multimodal therapy. Methods: A total of 216 patients with LARC who underwent neoadjuvant chemoradiotherapy (CRT) were retrospectively assessed. Two radiochemotherapy protocols were used: long-course chemoradiotherapy (lcCRT) (radiation therapy administered daily at doses of 1.8 or 2.0 Gy, for a total dose of 50.4–55.8 Gy) with concurrent chemotherapy: either 5-FU with leucovorin or capecitabine and total neoadjuvant chemoradiotherapy (tnCRT)—short-course radiotherapy (5 × 5 Gy) followed by sequential chemotherapy with CAPOX or FOLFOX. Surgery was performed 6.5 weeks after completing CRT. Radiotherapy was delivered using linear accelerators based on the Intensity-Modulated Radiation Therapy technique. CT scans were used to assess nutritional status. Survival analyses were performed. Data on food consumption frequency were collected using the Dietary Habits and Nutrition Beliefs Questionnaire (KomPAN®). Non-Healthy-Diet-Index-14 (nHDI-14) was calculated. Results: Median observation time was 58 months (range 4–118 months). VATI level and OS (HR: 0.4618 95% CI: 0.2194–0.9719, p = 0.0419), as well as SATI and OS (HR: 0.4707 95% CI: 0.2286–0.9693, p = 0.0409) were significantly associated. This association was not significant for PFS (VATI: HR: 0.7084 95% CI: 0.4055–1.2376, p = 0.2259; SATI: HR: 0.6864 95% CI: 0.3932–1.1981, p = 0.1855). SMI and PMI values were not significantly related either PFS (SMI-HR: 0.6728, 95% CI: 0.4031–1.1231, p = 0.1295; PMI-HR: 0.7385, 95% CI: 0.4628–1.1785, p = 0.2036) or OS (SMI-HR: 0.9128, 95% CI: 0.4703–1.7720, p = 0.7876; PMI-HR: 0.6592 95% CI: 0.3684–1.1794, p = 0.1603). No significant association was found between sarcopenia development and PFS (HR: 1.2733 CI: 0.7589–2.1363; p = 0.3602) or OS (HR: 1.1207; CI: 0.5681–2.2107; p = 0.7424). Significant differences between men and women in alcohol intake and nHDI-14 were observed. Conclusions: Low visceral and subcutaneous adipose tissue index were significantly associated with worse OS in patients with LARC undergoing multimodal treatment. The nHDI-14 was negatively correlated with the duration of observation and patients’ age. Full article
(This article belongs to the Special Issue Advances in Nutrition and Dietetics in Gastroenterology)
Show Figures

Figure 1

15 pages, 1175 KB  
Article
The Impact of Local Ablative Therapies as Bridging Treatment on Overall Survival Following Liver Transplantation in Patients with HCC
by Laura Schwenk, Felix Dondorf, Oliver Rohland, Aladdin Ali-Deeb, Utz Settmacher and Falk Rauchfuß
Cancers 2025, 17(20), 3393; https://doi.org/10.3390/cancers17203393 - 21 Oct 2025
Viewed by 138
Abstract
Background: The use of neoadjuvant therapies in patients with hepatocellular carcinoma prior to liver transplantation has gained increasing popularity in recent years. To date, there are only limited data investigating the impact of neoadjuvant therapy on post-transplant survival. Methods: In this retrospective study, [...] Read more.
Background: The use of neoadjuvant therapies in patients with hepatocellular carcinoma prior to liver transplantation has gained increasing popularity in recent years. To date, there are only limited data investigating the impact of neoadjuvant therapy on post-transplant survival. Methods: In this retrospective study, we evaluated patients with hepatocellular carcinoma who underwent deceased donor or living donor liver transplantation at Jena University Hospital between 2019 and 2023. Comprehensive clinical and pathological variables were systematically analyzed, including correlations between neoadjuvant therapy use, tumor burden and overall survival. Survival outcomes were estimated using the Kaplan–Meier method. Results: A total of 107 patients were included in the analysis, of whom 90 received neoadjuvant therapy prior to transplantation. Treatment modalities comprised SIRT, TACE, liver resection and combined SIRT and TACE. The 1-, 3-, and 5-year OS rates following transplantation were 93.5%, 82.2%, and 79.4%, respectively. Recurrence-free survival at 1, 3, and 5 years was 91.6%, 85.0%, and 83.2%, respectively. Among the various neoadjuvant strategies, SIRT and TACE yielded the highest OS rates. Patients listed outside the transplantation criteria (Milan, UCSF, up-to-seven) at the time of initial diagnosis who underwent SIRT had significantly better OS than those outside the criteria who underwent TACE. In contrast, among patients within the Milan, UCSF and up-to-seven criteria, TACE was associated with superior OS compared with SIRT. Conclusion: The use of neoadjuvant therapies confers a significant survival benefit following liver transplantation in patients with HCC. TACE appears to be most suitable for patients listed within established transplantation criteria, who consequently have a lower tumor burden. In contrast, SIRT is more beneficial for patients with a higher tumor burden and those beyond standard transplantation criteria. A limitation of our study, however, is that the included SIRT cohort comprised only 24 patients, and TACE was preferentially performed in patients with a lower tumor burden, which means that a selection bias cannot be fully excluded. Overall, further studies are required to define the optimal bridging strategies. Full article
(This article belongs to the Special Issue Surgical Treatment of Hepatocellular Carcinoma)
Show Figures

Figure 1

22 pages, 847 KB  
Article
The Inflammatory Footprint of Anti-Breast Cancer Treatments and Psychosocial Factors in Women Undergoing Chemotherapy
by Magda A. Oliveira, Susana S. Almeida, Gabriela Martins, Inês Godinho, Carlos Palmeira, Maria Emília Sousa, Lia Fernandes, Rui Medeiros and Marina Prista Guerra
Biomedicines 2025, 13(10), 2563; https://doi.org/10.3390/biomedicines13102563 - 21 Oct 2025
Viewed by 198
Abstract
Background/Objectives: Despite the well-recognized role of inflammation in breast cancer course, the biological mechanisms involved in its pathophysiology are complex, heterogeneous, and still unclear. However, evidence shows that cancer treatments and stress system responses impact the patient’s inflammatory status. We aim to [...] Read more.
Background/Objectives: Despite the well-recognized role of inflammation in breast cancer course, the biological mechanisms involved in its pathophysiology are complex, heterogeneous, and still unclear. However, evidence shows that cancer treatments and stress system responses impact the patient’s inflammatory status. We aim to analyze the inflammatory footprint of anti-breast cancer treatments and psychosocial factors by observing the evolution of inflammatory and psychosocial markers pre- and post-chemotherapy; to examine the associations between pro- and anti-inflammatory cytokines with psychosocial factors after chemotherapy; and to identify vulnerability/resilience variables that may improve patients’ referral for psycho-oncological interventions before/after chemotherapy. Methods: We performed a well-controlled cohort study of premenopausal women diagnosed with stage I to III breast cancer undergoing chemotherapy. Patients were longitudinally evaluated at pre-chemotherapy (post-surgery in the adjuvant cohort) and post-chemotherapy. Both evaluations included clinical, immunological, and psychosocial data. Results: A significant decrease in TNF-α (p = 0.001) was observed in the adjuvant cohort compared to the neoadjuvant cohort. After chemotherapy, we found a significant decline in IL-17a, TNF-α, and IL-10 (p = 0.000, 0.000, 0.020), reinforcing the influence of chemotherapy on immunocompetence. Significant relations (p < 0.01) were found between the inflammatory biomarkers that decreased post-chemotherapy and psychosocial factors. Venting and instrumental/emotional support coping played the greatest role in immunological–psychological interactions. Conclusions: The findings confirm an inflammatory footprint, linking the complex interplay between breast tumors, anti-breast cancer treatments, and psychosocial factors. By supporting the immunoregulatory role of biological and psychosocial factors in immunocompetence, our findings bring potential insights into a biopsychosocial approach that targets both survival and psychological adjustment outcomes. Full article
(This article belongs to the Special Issue Women’s Special Issue Series: Biomedicines (2nd Edition))
Show Figures

Figure 1

20 pages, 2387 KB  
Article
Prognostic Value of Dynamic Changes in Immune-Inflammatory and Tumor Biomarkers Following Chemoradiotherapy in Locally Advanced Rectal Cancer
by Mahmoud Al-Masri, Yasmin Safi, Mohammad Almasri, Ramiz Kardan, Daliana Mustafa, Osama Alayyan, Bilal Kahalah and Rama AlMasri
Cancers 2025, 17(20), 3383; https://doi.org/10.3390/cancers17203383 - 20 Oct 2025
Viewed by 251
Abstract
Background: The prognostic utility of inflammatory and tumor biomarkers, including neutrophil-to-lymphocyte ratio (NLR), platelet-to-lymphocyte ratio (PLR), and carcinoembryonic antigen (CEA), in rectal cancer has been increasingly studied, but results remain inconsistent. This study evaluates the prognostic significance of pre- and post-chemoradiotherapy (CRT) levels [...] Read more.
Background: The prognostic utility of inflammatory and tumor biomarkers, including neutrophil-to-lymphocyte ratio (NLR), platelet-to-lymphocyte ratio (PLR), and carcinoembryonic antigen (CEA), in rectal cancer has been increasingly studied, but results remain inconsistent. This study evaluates the prognostic significance of pre- and post-chemoradiotherapy (CRT) levels and dynamic changes in NLR, PLR, and CEA for predicting overall survival (OS) and disease-free survival (DFS) in locally advanced rectal cancer (LARC). Methods: This retrospective study included 261 LARC patients treated with neoadjuvant CRT followed by curative surgery. Pre- and post-CRT NLR, PLR, and CEA were collected. Survival analyses were performed using Kaplan–Meier curves and Cox proportional hazards models. ROC curves assessed predictive performance, and patients were stratified by cut-offs and biomarker changes (delta values). Results: The cohort had a mean age of 55.5 years; 55.9% were male, and 93.5% had clinical stage III disease. Post-CRT NLR (HR: 1.05, p = 0.007) and CEA (HR: 1.00, p < 0.001) were independently associated with OS, while post-CRT CEA and AJCC stage III were predictors of DFS (HR: 4.12, p = 0.009). ROC analysis showed improved accuracy when combining NLR (AUC = 0.66) and CEA (AUC = 0.70), yielding a combined AUC of 0.84 for OS. Patients with decreases in both NLR and CEA had the most favorable outcomes, whereas increases in both markers indicated poor prognosis (OS p < 0.0001; DFS p = 0.00019). Conclusions: Post-CRT levels and dynamic changes in NLR and CEA are independent prognostic markers in rectal cancer. Their combined assessment enhances survival prediction and may guide personalized postoperative surveillance and treatment strategies. Full article
Show Figures

Figure 1

14 pages, 978 KB  
Review
Neoadjuvant Strategies for Patients with Resectable Biliary Tract Cancers: A Review
by Chelsea R. Olson, Gabriela L. Aitken, Michael W. Spinrad and Evan S. Glazer
Curr. Oncol. 2025, 32(10), 584; https://doi.org/10.3390/curroncol32100584 - 20 Oct 2025
Viewed by 152
Abstract
Cholangiocarcinoma (CC) is a rare and aggressive malignancy that arises from the epithelial cells (cholangiocytes) of the biliary tree. Biliary tract cancers (BTC) include both CC and gall bladder cancer. Surgical resection is considered the only curative treatment. Recently, however, a fundamental shift [...] Read more.
Cholangiocarcinoma (CC) is a rare and aggressive malignancy that arises from the epithelial cells (cholangiocytes) of the biliary tree. Biliary tract cancers (BTC) include both CC and gall bladder cancer. Surgical resection is considered the only curative treatment. Recently, however, a fundamental shift in the understanding of the molecular profiles of these tumors has led to a molecular-targeted approach with improved survival rates in some patients with these tumors. In patients with local or limited regional disease, neoadjuvant therapies offer a way to downstage tumors, assess tumor biology, potentially achieve R0 resection, and potentially prevent both locoregional and distant recurrence by treating occult micrometastatic disease. Because BTC are rare and surgery is the standard of care for patients with non-metastatic disease, there is very little data evaluating neoadjuvant strategies in resectable disease. Immunotherapies and molecularly targeted agents originally developed for advanced disease in the adjuvant or palliative settings are now being considered for neoadjuvant use. This review aims to summarize the data and provide a rationale for the role of neoadjuvant treatment in patients with resectable BTC. While there is no high-level evidence, studies show that neoadjuvant therapy that incorporates targeted treatments and immunotherapies under multidisciplinary oversight benefits select patients and is a valuable tool in the treatment of BTC. We favor molecular testing to guide neoadjuvant therapy for patients with BTC, when feasible, to prevent unnecessary operations and minimize the risk of recurrence or metastasis. Full article
(This article belongs to the Special Issue Biliary Tract Cancer Updates: Advancements and Insights)
Show Figures

Figure 1

12 pages, 728 KB  
Article
Neoadjuvant Chemotherapy for Early Breast Cancer: A Study on Response Rate and Toxicity
by Matt Galloway, Paula Barlow, Jody Jordan and Edward Lo
J. Clin. Med. 2025, 14(20), 7362; https://doi.org/10.3390/jcm14207362 - 17 Oct 2025
Viewed by 164
Abstract
Background: Neoadjuvant chemotherapy (NACT) is widely used in patients with high-risk HER2-amplified (HER2+) or triple negative early breast cancer (TNBC). Advantages of NACT include allowing less extensive surgery, assessing response to treatment and guiding adjuvant therapy. NACT-related toxicities are common and can [...] Read more.
Background: Neoadjuvant chemotherapy (NACT) is widely used in patients with high-risk HER2-amplified (HER2+) or triple negative early breast cancer (TNBC). Advantages of NACT include allowing less extensive surgery, assessing response to treatment and guiding adjuvant therapy. NACT-related toxicities are common and can result in treatment alterations and hospitalisation, which may adversely impact outcomes. Aim: To assess NACT treatment in Hawke’s Bay (HB), New Zealand, by evaluating pathologic complete response (pCR) rates and toxicities of different regimens. Method: Data were retrospectively obtained from medical records of NACT patients. pCR rates were compared to results from the previous literature. Toxicity was assessed by recording severe (grade 3 or above) toxicities, treatment-limiting toxicities (those leading to dose reductions, dose delays or early cessation) and hospitalisations for different NACT regimens. Results: A total of 71 NACT patients were included. pCR rates for HER2+ disease and TNBC were 19/45 (42%) and 8/24 (33%), respectively. The most common severe toxicities were diarrhoea, anaemia and febrile neutropaenia (all 16%) in FEC-D (5-fluorouracil/epirubicin/cyclophosphamide + docetaxel +/− carboplatin +/− immunotherapy) patients, neutropaenia (50%) in FEC-DH (FEC-D + trastuzumab +/− pertuzumab) patients and diarrhoea (38%) in TCH (docetaxel/carboplatin/trastuzumab +/− pertuzumab) patients. Comparing treatment-limiting toxicity in FEC-DH vs. TCH, 9/16 (56%) vs. 13/21 (62%) had dose reduction, 2/16 (13%) vs. 8/21 (38%) had dose delay, 1/16 (6%) vs. 5/21(24%) had early cessation and 6/16 (38%) vs. 13/21 (62%) were hospitalised, respectively. Conclusions: NACT was associated with high rates of severe and treatment-limiting toxicity. Despite this, pCR rates were consistent with the previous literature. With the caveat of small patient numbers, FEC-DH-based therapy was associated with fewer dosing delays, early cessations and hospitalisations compared with TCH-based therapy. Full article
(This article belongs to the Special Issue Breast Cancer: Advances in Clinical and Personalized Practices)
Show Figures

Figure 1

17 pages, 2473 KB  
Article
Comparative Prognostic Roles of β-Catenin Expression and Tumor–Stroma Ratio in Pancreatic Cancer: Neoadjuvant Chemotherapy vs. Upfront Surgery
by Shu Oikawa, Hiroyuki Mitomi, So Murai, Akihiro Nakayama, Seiya Chiba, Shigetoshi Nishihara, Yu Ishii, Toshiko Yamochi and Hitoshi Yoshida
Curr. Oncol. 2025, 32(10), 578; https://doi.org/10.3390/curroncol32100578 - 17 Oct 2025
Viewed by 142
Abstract
The benefit of neoadjuvant chemotherapy (NAC) over upfront surgery (UFS) for resectable pancreatic ductal adenocarcinoma (PDAC) is increasingly recognized, yet prognostic biomarkers remain undefined. We evaluated tumor–stroma ratio (TSR), β-catenin (β-CTN) expression, and tumor budding (TB) in 84 resected PDACs (35 NAC, 49 [...] Read more.
The benefit of neoadjuvant chemotherapy (NAC) over upfront surgery (UFS) for resectable pancreatic ductal adenocarcinoma (PDAC) is increasingly recognized, yet prognostic biomarkers remain undefined. We evaluated tumor–stroma ratio (TSR), β-catenin (β-CTN) expression, and tumor budding (TB) in 84 resected PDACs (35 NAC, 49 UFS) using digital image analysis of multi-cytokeratin (m-CK) and β-CTN immunohistochemistry. TSR was defined as the proportion of malignant epithelial area within the tumor, and the β-CTN/m-CK index as the ratio of β-CTN to m-CK immunoreactivity in tumor tissue relative to intralobular ducts. TB was significantly less frequent in NAC than UFS (p = 0.003), suggesting that NAC may indirectly modulate epithelial–mesenchymal transition, with TB regarded as its morphological correlate. In the NAC cohort, low TSR was associated with more favorable histological response (Evans IIa/IIb, median 7%; Evans I, 16%; p = 0.009), likely reflecting NAC-induced tumor shrinkage with relative stromal predominance. In multivariable analysis, low β-CTN/m-CK index (<0.5) predicted shorter relapse-free survival in both NAC (HR = 2.516, p = 0.043) and UFS (HR = 2.230, p = 0.025) subgroups. High TSR (≥13%) was associated with shorter cancer-specific survival (HR = 2.414, p = 0.034) in the overall cohort, indicating prognostic value complementing its association with NAC response. These results identify the β-CTN/m-CK index and TSR as prognostic biomarkers in PDAC. Full article
(This article belongs to the Special Issue Histological and Molecular Subtype of Pancreatic Cancer)
Show Figures

Figure 1

23 pages, 896 KB  
Review
Neoadjuvant 177Lutetium-PSMA-617 Radioligand Therapy for High-Risk Localized Prostate Cancer: Rationale, Early Clinical Evidence, and Future Directions
by Whi-An Kwon and Jae Young Joung
Cancers 2025, 17(20), 3330; https://doi.org/10.3390/cancers17203330 - 15 Oct 2025
Viewed by 470
Abstract
Men with high-risk localized prostate cancer (PCa) often have poor long-term outcomes, underscoring the need for improved neoadjuvant strategies beyond the current standard of care. Radioligand therapy with 177Lutetium-PSMA-617 (177Lu-PSMA-617) has emerged as a promising method to eliminate occult micrometastases [...] Read more.
Men with high-risk localized prostate cancer (PCa) often have poor long-term outcomes, underscoring the need for improved neoadjuvant strategies beyond the current standard of care. Radioligand therapy with 177Lutetium-PSMA-617 (177Lu-PSMA-617) has emerged as a promising method to eliminate occult micrometastases while enhancing immune-mediated clearance of the primary tumor. Initial trials have affirmed the treatment’s feasibility and safety; however, they have consistently reported a lack of pathological complete response. This absence of profound initial tumor reduction necessitates further therapeutic advancements. The underlying rationale for future strategies is clear, as 177Lu-PSMA-617 promotes immunogenic cell death, potentially sensitizing immunologically “cold” tumors to checkpoint inhibitors. However, caution is warranted. The synergy observed between these therapies in advanced, metastatic castration-resistant PCa stems from a different biological context, and similar outcomes cannot be presumed in treatment-naïve, localized disease without rigorous validation. Continued progress hinges on developing improved metrics for success and patient selection. Simple prostate-specific antigen reductions have demonstrated minimal correlation with significant pathological outcomes in this setting, underscoring the critical need for validated surrogate endpoints and predictive biomarkers. Ultimately, large-scale randomized trials are essential to determine whether this investigational approach impacts key clinical outcomes—namely, metastasis-free and overall survival. While the strategy is theoretically sound, its capacity to enhance cure rates for high-risk localized PCa remains unverified. Full article
(This article belongs to the Special Issue Novel Diagnostic and Therapeutic Approaches in Urologic Oncology)
Show Figures

Figure 1

12 pages, 256 KB  
Article
Inflammatory and Nutritional Markers Predicting Pathological Complete Response to Neoadjuvant Therapy in HER2-Positive Breast Cancer: A Multicenter Real-World Study
by Zeliha Birsin, İsmail Nazlı, Onur Alkan, Hülya Odabaşı Bükün, Murat Günaltılı, Emir Çerme, Vali Aliyev, Selin Cebeci, Seda Jeral, Hamza Abbasov, Türkkan Evrensel, Çiğdem Papila, Berrin Papila, Ceyda Sönmez Wetherilt, Nebi Serkan Demirci and Özkan Alan
J. Clin. Med. 2025, 14(20), 7271; https://doi.org/10.3390/jcm14207271 - 15 Oct 2025
Viewed by 276
Abstract
Background: Pathological complete response (pCR) following neoadjuvant therapy (NAT) is a key surrogate marker for long-term outcomes in HER2-positive breast cancer. Identifying clinical and biological predictors of pCR, including systemic inflammatory and nutritional markers such as the neutrophil-to-lymphocyte ratio (NLR), platelet-to-lymphocyte ratio (PLR), [...] Read more.
Background: Pathological complete response (pCR) following neoadjuvant therapy (NAT) is a key surrogate marker for long-term outcomes in HER2-positive breast cancer. Identifying clinical and biological predictors of pCR, including systemic inflammatory and nutritional markers such as the neutrophil-to-lymphocyte ratio (NLR), platelet-to-lymphocyte ratio (PLR), lymphocyte-to-monocyte ratio (LMR), neutrophil-to-albumin ratio (NAR), C-reactive protein-to-albumin ratio (CAR), systemic immune-inflammation index (SII), and prognostic nutritional index (PNI), may help refine treatment strategies and improve patient outcomes. Methods: We retrospectively analyzed 174 patients with stage II–III HER2-positive breast cancer who received neoadjuvant anti-HER2-based regimens at multiple centers between 2010 and 2025. Demographic, clinicopathological, and laboratory data were collected, and inflammatory and nutritional indices (NLR, PLR, LMR, NAR, CAR, SII, PNI) were calculated. Predictors of pCR were evaluated using univariate and multivariate logistic regression analyses. Results: Overall, 49% of patients achieved pCR. In multivariate analysis, independent predictors of pCR were hormone receptor negativity, smaller tumor size, HER2 IHC 3+ expression, dual HER2 blockade, and a higher prognostic nutritional index (PNI ≥ 55). In contrast, systemic inflammatory indices such as NLR, PLR, LMR, NAR, CAR, and SII were not significantly associated with pCR. Conclusions: This multicenter real-world study demonstrates that conventional inflammatory markers have limited predictive value, whereas the PNI emerges as a simple and practical biomarker reflecting nutritional and immune status. Integrating PNI with clinicopathological factors may enhance risk stratification and help guide individualized neoadjuvant treatment strategies in HER2-positive breast cancer. Full article
(This article belongs to the Section Oncology)
8 pages, 233 KB  
Entry
Non-Operative Management (NOM) in Rectal Cancer: Current Evidence and Future Directions
by Vincenzo Schiavone, Gabriella Teresa Capolupo, Gianluca Mascianà, Filippo Carannante, Gianluca Costa, Valentina Miacci and Marco Caricato
Encyclopedia 2025, 5(4), 165; https://doi.org/10.3390/encyclopedia5040165 - 13 Oct 2025
Viewed by 361
Definition
Rectal cancer has become a significant health concern in current years, but there are very effective current neo-adjuvant treatment modalities which can result in the complete disappearance of the disease without surgery, which is often associated with severe post-surgical sequelae. Therefore, a significant [...] Read more.
Rectal cancer has become a significant health concern in current years, but there are very effective current neo-adjuvant treatment modalities which can result in the complete disappearance of the disease without surgery, which is often associated with severe post-surgical sequelae. Therefore, a significant effort has been made to identify the subset of patients who can avoid surgery and to investigate the long-term oncologic and functional results associated with the Non-Operative Management of such a disease. Full article
(This article belongs to the Section Medicine & Pharmacology)
29 pages, 1601 KB  
Review
Roles of Tumor-Infiltrating Lymphocytes and Antitumor Immune Responses as Predictive and Prognostic Markers in Patients with Breast Cancer Receiving Neoadjuvant Chemotherapy
by Ryungsa Kim, Takanori Kin and Koji Arihiro
Int. J. Mol. Sci. 2025, 26(20), 9959; https://doi.org/10.3390/ijms26209959 - 13 Oct 2025
Viewed by 363
Abstract
Tumor-infiltrating lymphocytes (TILs) are thought to play important roles in tumor shrinkage and survival prolongation in patients with breast cancer receiving neoadjuvant chemotherapy (NAC). TILs are mononuclear immune cells such as lymphocytes and plasma cells, including CD4+ and CD8+ T cells, natural killer [...] Read more.
Tumor-infiltrating lymphocytes (TILs) are thought to play important roles in tumor shrinkage and survival prolongation in patients with breast cancer receiving neoadjuvant chemotherapy (NAC). TILs are mononuclear immune cells such as lymphocytes and plasma cells, including CD4+ and CD8+ T cells, natural killer cells, B cells, macrophages, regulatory T cells (Tregs), and myeloid/dendritic cells. The pre-NAC presence of more T cells and fewer Tregs in biopsy samples of primary breast tumors is known to contribute to tumor shrinkage and prolonged survival. This review was conducted to elucidate these roles in patients with breast cancer treated with NAC. Publications selected for inclusion in this review were identified by a PubMed search for articles published in English, performed using the terms “breast cancer”, “neoadjuvant chemotherapy”, “tumor-infiltrating lymphocyte”, “pathological complete response”, and “immune response”. The search was completed in July 2024. The functional roles of TILs in the achievement of these outcomes may vary by tumor subtype; increases and decreases in TIL levels before and after NAC have been shown to have conflicting effects. Biomarkers have been reported to predict local responses in the tumor microenvironment (e.g., immune-related gene signatures) and systemic immune responses (e.g., neutrophil-to-lymphocyte and platelet-to-lymphocyte ratios). Immune gene signatures and immune cell infiltration do not appear to be universally associated with tumor response or outcome in patients with breast cancer treated with NAC. The functional roles of TILs in breast tumor response and breast cancer survival may vary by tumor subtype, and conflicting results for the same subtypes may be due to differences in NAC regimens, immune responses, tumor heterogeneity, sample size, and the technical methods used to evaluate TILs in tumor samples. Full article
(This article belongs to the Section Molecular Immunology)
Show Figures

Figure 1

Back to TopTop