Sign in to use this feature.

Years

Between: -

Subjects

remove_circle_outline
remove_circle_outline
remove_circle_outline
remove_circle_outline
remove_circle_outline

Journals

Article Types

Countries / Regions

Search Results (7)

Search Parameters:
Keywords = mitochondrial clouds

Order results
Result details
Results per page
Select all
Export citation of selected articles as:
23 pages, 3093 KB  
Article
Conservation Genetics of the Endangered Danube Clouded Yellow Butterfly Colias myrmidone (Esper, 1780) in the Last Central European Stronghold: Diversity, Wolbachia Infection and Balkan Connections
by Aleksandra Gwiazdowska, Robert Rutkowski and Marcin Sielezniew
Insects 2025, 16(2), 220; https://doi.org/10.3390/insects16020220 - 17 Feb 2025
Cited by 2 | Viewed by 2673
Abstract
The Danube Clouded Yellow (Colias myrmidone) has experienced one of the most dramatic declines among European butterflies. To estimate genetic diversity in the last population in Poland that has survived in the Knyszyn Forest (KF), we analyzed mitochondrial (COI) [...] Read more.
The Danube Clouded Yellow (Colias myrmidone) has experienced one of the most dramatic declines among European butterflies. To estimate genetic diversity in the last population in Poland that has survived in the Knyszyn Forest (KF), we analyzed mitochondrial (COI) and nuclear (EF-1α) polymorphisms in individuals sampled in 2014 and 2022. The results were compared with genetic data obtained in 2014 from a recently extirpated nearby population (Czerwony Bór, CB). Because mtDNA polymorphisms in insects can be modulated by endosymbionts, the samples were screened for Wolbachia. The polymorphism of EF-1α indicated that diversity was gradually decreasing. The KF experienced rapid demographic processes, manifested by a significant change in allele frequency. The small differentiation in nuclear markers between the KF and CB in 2014 suggests that the regional population used to be genetically uniform. Four COI haplotypes that were identified in this study probably belong to two different haplogroups. Wolbachia was detected only in individuals with one specific haplotype, and the prevalence was female-biased, suggesting the induction of two reproductive manipulations. The most common COI haplotype found in Poland was the same as that reported from other parts of Europe, not only for C. myrmidone but also C. caucasica. These results allow us to question the distinctiveness of each taxa. Full article
(This article belongs to the Collection Butterfly Diversity and Conservation)
Show Figures

Figure 1

23 pages, 4738 KB  
Article
Synchrospora gen. nov., a New Peronosporaceae Genus with Aerial Lifestyle from a Natural Cloud Forest in Panama
by Thomas Jung, Yilmaz Balci, Kirk D. Broders, Ivan Milenković, Josef Janoušek, Tomáš Kudláček, Biljana Đorđević and Marilia Horta Jung
J. Fungi 2023, 9(5), 517; https://doi.org/10.3390/jof9050517 - 27 Apr 2023
Cited by 4 | Viewed by 3833
Abstract
During a survey of Phytophthora diversity in Panama, fast-growing oomycete isolates were obtained from naturally fallen leaves of an unidentified tree species in a tropical cloud forest. Phylogenetic analyses of sequences from the nuclear ITS, LSU and ßtub loci and the mitochondrial cox1 [...] Read more.
During a survey of Phytophthora diversity in Panama, fast-growing oomycete isolates were obtained from naturally fallen leaves of an unidentified tree species in a tropical cloud forest. Phylogenetic analyses of sequences from the nuclear ITS, LSU and ßtub loci and the mitochondrial cox1 and cox2 genes revealed that they belong to a new species of a new genus, officially described here as Synchrospora gen. nov., which resided as a basal genus within the Peronosporaceae. The type species S. medusiformis has unique morphological characteristics. The sporangiophores show determinate growth, multifurcating at the end, forming a stunted, candelabra-like apex from which multiple (8 to >100) long, curved pedicels are growing simultaneously in a medusa-like way. The caducous papillate sporangia mature and are shed synchronously. The breeding system is homothallic, hence more inbreeding than outcrossing, with smooth-walled oogonia, plerotic oospores and paragynous antheridia. Optimum and maximum temperatures for growth are 22.5 and 25–27.5 °C, consistent with its natural cloud forest habitat. It is concluded that S. medusiformis as adapted to a lifestyle as a canopy-dwelling leaf pathogen in tropical cloud forests. More oomycete explorations in the canopies of tropical rainforests and cloud forests are needed to elucidate the diversity, host associations and ecological roles of oomycetes and, in particular, S. medusiformis and possibly other Synchrospora taxa in this as yet under-explored habitat. Full article
Show Figures

Figure 1

22 pages, 1972 KB  
Review
MicroRNAs as the Sentinels of Redox and Hypertrophic Signalling
by Filip Kolodziej, Brian McDonagh, Nicole Burns and Katarzyna Goljanek-Whysall
Int. J. Mol. Sci. 2022, 23(23), 14716; https://doi.org/10.3390/ijms232314716 - 25 Nov 2022
Cited by 10 | Viewed by 4245
Abstract
Oxidative stress and inflammation are associated with skeletal muscle function decline with ageing or disease or inadequate exercise and/or poor diet. Paradoxically, reactive oxygen species and inflammatory cytokines are key for mounting the muscular and systemic adaptive responses to endurance and resistance exercise. [...] Read more.
Oxidative stress and inflammation are associated with skeletal muscle function decline with ageing or disease or inadequate exercise and/or poor diet. Paradoxically, reactive oxygen species and inflammatory cytokines are key for mounting the muscular and systemic adaptive responses to endurance and resistance exercise. Both ageing and lifestyle-related metabolic dysfunction are strongly linked to exercise redox and hypertrophic insensitivity. The adaptive inability and consequent exercise intolerance may discourage people from physical training resulting in a vicious cycle of under-exercising, energy surplus, chronic mitochondrial stress, accelerated functional decline and increased susceptibility to serious diseases. Skeletal muscles are malleable and dynamic organs, rewiring their metabolism depending on the metabolic or mechanical stress resulting in a specific phenotype. Endogenous RNA silencing molecules, microRNAs, are regulators of these metabolic/phenotypic shifts in skeletal muscles. Skeletal muscle microRNA profiles at baseline and in response to exercise have been observed to differ between adult and older people, as well as trained vs. sedentary individuals. Likewise, the circulating microRNA blueprint varies based on age and training status. Therefore, microRNAs emerge as key regulators of metabolic health/capacity and hormetic adaptability. In this narrative review, we summarise the literature exploring the links between microRNAs and skeletal muscle, as well as systemic adaptation to exercise. We expand a mathematical model of microRNA burst during adaptation to exercise through supporting data from the literature. We describe a potential link between the microRNA-dependent regulation of redox-signalling sensitivity and the ability to mount a hypertrophic response to exercise or nutritional cues. We propose a hypothetical model of endurance exercise-induced microRNA “memory cloud” responsible for establishing a landscape conducive to aerobic as well as anabolic adaptation. We suggest that regular aerobic exercise, complimented by a healthy diet, in addition to promoting mitochondrial health and hypertrophic/insulin sensitivity, may also suppress the glycolytic phenotype and mTOR signalling through miRNAs which in turn promote systemic metabolic health. Full article
Show Figures

Figure 1

18 pages, 4952 KB  
Article
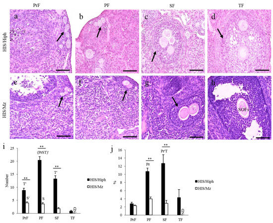
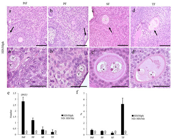
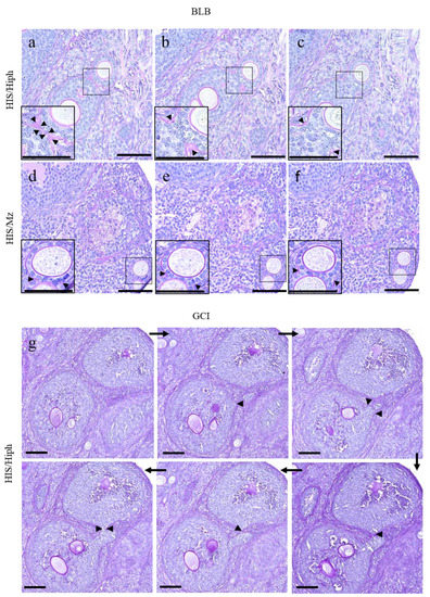
Comparison of Ovarian Morphology and Follicular Disturbances between Two Inbred Strains of Cotton Rats (Sigmodon hispidus)
by Md Rashedul Islam, Osamu Ichii, Teppei Nakamura, Takao Irie, Akio Shinohara, Md Abdul Masum, Yuki Otani, Takashi Namba, Tsolmon Chuluunbaatar, Yaser Hosny Ali Elewa and Yasuhiro Kon
Animals 2021, 11(6), 1768; https://doi.org/10.3390/ani11061768 - 12 Jun 2021
Cited by 3 | Viewed by 7400
Abstract
Most mammalian ovarian follicles contain only a single oocyte having a single nucleus. However, two or more oocytes and nuclei are observed within one follicle and one oocyte, respectively, in several species, including cotton rat (CR, Sigmodon hispidus). The present study compared [...] Read more.
Most mammalian ovarian follicles contain only a single oocyte having a single nucleus. However, two or more oocytes and nuclei are observed within one follicle and one oocyte, respectively, in several species, including cotton rat (CR, Sigmodon hispidus). The present study compared ovarian histology, focusing on folliculogenesis, between two inbred CR strains, HIS/Hiph and HIS/Mz. At 4 weeks of age, ovarian sections from both the strains were analyzed histologically. Multi-oocyte follicles (MOFs) and double-nucleated oocytes (DNOs) were observed in all stages of developing follicles in HIS/Hiph, whereas HIS/Mz had MOFs up to secondary stages and lacked DNOs. The estimated total follicles in HIS/Mz were almost half that of HIS/Hiph, but interstitial cells were well developed in HIS/Mz. Furthermore, immunostaining revealed no clear strain differences in the appearance of oocytes positive for Ki67, PCNA, and p63 in MOF or DNOs; no cell death was observed in these oocytes. Ultrastructural analysis revealed more abundant mitochondrial clouds in oocytes of HIS/Hiph than HIS/Mz. Thus, we clarified the strain differences in the CR ovary. These findings indicate that early events during folliculogenesis affect the unique ovarian phenotypes found in CRs, including MOFs or DNOs, and their strain differences. Full article
(This article belongs to the Section Animal Reproduction)
Show Figures

Figure 1

36 pages, 7988 KB  
Review
2,4 Dinitrophenol as Medicine
by John G. Geisler
Cells 2019, 8(3), 280; https://doi.org/10.3390/cells8030280 - 23 Mar 2019
Cited by 93 | Viewed by 37398
Abstract
In the sanctity of pure drug discovery, objective reasoning can become clouded when pursuing ideas that appear unorthodox, but are spot on physiologically. To put this into historical perspective, it was an unorthodox idea in the 1950’s to suggest that warfarin, a rat [...] Read more.
In the sanctity of pure drug discovery, objective reasoning can become clouded when pursuing ideas that appear unorthodox, but are spot on physiologically. To put this into historical perspective, it was an unorthodox idea in the 1950’s to suggest that warfarin, a rat poison, could be repositioned into a breakthrough drug in humans to protect against strokes as a blood thinner. Yet it was approved in 1954 as Coumadin® and has been prescribed to billions of patients as a standard of care. Similarly, no one can forget the horrific effects of thalidomide, prescribed or available without a prescription, as both a sleeping pill and “morning sickness” anti-nausea medication targeting pregnant women in the 1950’s. The “thalidomide babies” became the case-in-point for the need of strict guidelines by the U.S. Food & Drug Administration (FDA) or full multi-species teratogenicity testing before drug approval. More recently it was found that thalidomide is useful in graft versus host disease, leprosy and resistant tuberculosis treatment, and as an anti-angiogenesis agent as a breakthrough drug for multiple myeloma (except for pregnant female patients). Decades of diabetes drug discovery research has historically focused on every possible angle, except, the energy-out side of the equation, namely, raising mitochondrial energy expenditure with chemical uncouplers. The idea of “social responsibility” allowed energy-in agents to be explored and the portfolio is robust with medicines of insulin sensitizers, insulin analogues, secretagogues, SGLT2 inhibitors, etc., but not energy-out medicines. The primary reason? It appeared unorthodox, to return to exploring a drug platform used in the 1930s in over 100,000 obese patients used for weight loss. This is over 80-years ago and prior to Dr Peter Mitchell explaining the mechanism of how mitochondrial uncouplers, like 2,4-dinitrophenol (DNP) even worked by three decades later in 1961. Although there is a clear application for metabolic disease, it was not until recently that this platform was explored for its merit at very low, weight-neutral doses, for treating insidious human illnesses and completely unrelated to weight reduction. It is known that mitochondrial uncouplers specifically target the entire organelle’s physiology non-genomically. It has been known for years that many neuromuscular and neurodegenerative diseases are associated with overt production of reactive oxygen species (ROSs), a rise in isoprostanes (biomarker of mitochondrial ROSs in urine or blood) and poor calcium (Ca2+) handing. It has also been known that mitochondrial uncouplers lower ROS production and Ca2+ overload. There is evidence that elevation of isoprostanes precedes disease onset, in Alzheimer’s Disease (AD). It is also curious, why so many neurodegenerative diseases of known and unknown etiology start at mid-life or later, such as Multiple Sclerosis (MS), Huntington Disease (HD), AD, Parkinson Disease, and Amyotrophic Lateral Sclerosis (ALS). Is there a relationship to a buildup of mutations that are sequestered over time due to ROSs exceeding the rate of repair? If ROS production were managed, could disease onset due to aging be delayed or prevented? Is it possible that most, if not all neurodegenerative diseases are manifested through mitochondrial dysfunction? Although DNP, a historic mitochondrial uncoupler, was used in the 1930s at high doses for obesity in well over 100,000 humans, and so far, it has never been an FDA-approved drug. This review will focus on the application of using DNP, but now, repositioned as a potential disease-modifying drug for a legion of insidious diseases at much lower and paradoxically, weight neutral doses. DNP will be addressed as a treatment for “metabesity”, an emerging term related to the global comorbidities associated with the over-nutritional phenotype; obesity, diabetes, nonalcoholic steatohepatitis (NASH), metabolic syndrome, cardiovascular disease, but including neurodegenerative disorders and accelerated aging. Some unexpected drug findings will be discussed, such as DNP’s induction of neurotrophic growth factors involved in neuronal heath, learning and cognition. For the first time in 80’s years, the FDA has granted (to Mitochon Pharmaceutical, Inc., Blue Bell, PA, USA) an open Investigational New Drug (IND) approval to begin rigorous clinical testing of DNP for safety and tolerability, including for the first ever, pharmacokinetic profiling in humans. Successful completion of Phase I clinical trial will open the door to explore the merits of DNP as a possible treatment of people with many truly unmet medical needs, including those suffering from HD, MS, PD, AD, ALS, Duchenne Muscular Dystrophy (DMD), and Traumatic Brain Injury (TBI). Full article
(This article belongs to the Section Intracellular and Plasma Membranes)
Show Figures

Figure 1

27 pages, 12519 KB  
Article
Effects of Reduced Graphene Oxides on Apoptosis and Cell Cycle of Glioblastoma Multiforme
by Jaroslaw Szczepaniak, Barbara Strojny, Ewa Sawosz Chwalibog, Slawomir Jaworski, Joanna Jagiello, Magdalena Winkowska, Maciej Szmidt, Mateusz Wierzbicki, Malwina Sosnowska, Jasmina Balaban, Anna Winnicka, Ludwika Lipinska, Olga Witkowska Pilaszewicz and Marta Grodzik
Int. J. Mol. Sci. 2018, 19(12), 3939; https://doi.org/10.3390/ijms19123939 - 7 Dec 2018
Cited by 36 | Viewed by 7457
Abstract
Graphene (GN) and its derivatives (rGOs) show anticancer properties in glioblastoma multiforme (GBM) cells in vitro and in tumors in vivo. We compared the anti-tumor effects of rGOs with different oxygen contents with those of GN, and determined the characteristics of rGOs useful [...] Read more.
Graphene (GN) and its derivatives (rGOs) show anticancer properties in glioblastoma multiforme (GBM) cells in vitro and in tumors in vivo. We compared the anti-tumor effects of rGOs with different oxygen contents with those of GN, and determined the characteristics of rGOs useful in anti-glioblastoma therapy using the U87 glioblastoma line. GN/ExF, rGO/Term, rGO/ATS, and rGO/TUD were structurally analysed via transmission electron microscopy, Raman spectroscopy, FTIR, and AFM. Zeta potential, oxygen content, and electrical resistance were determined. We analyzed the viability, metabolic activity, apoptosis, mitochondrial membrane potential, and cell cycle. Caspase- and mitochondrial-dependent apoptotic pathways were investigated by analyzing gene expression. rGO/TUD induced the greatest decrease in the metabolic activity of U87 cells. rGO/Term induced the highest level of apoptosis compared with that induced by GN/ExF. rGO/ATS induced a greater decrease in mitochondrial membrane potential than GN/ExF. No significant changes were observed in the cytometric study of the cell cycle. The effectiveness of these graphene derivatives was related to the presence of oxygen-containing functional groups and electron clouds. Their cytotoxicity mechanism may involve electron clouds, which are smaller in rGOs, decreasing their cytotoxic effect. Overall, cytotoxic activity involved depolarization of the mitochondrial membrane potential and the induction of apoptosis in U87 glioblastoma cells. Full article
(This article belongs to the Special Issue Graphene: Biological Applications)
Show Figures

Figure 1

17 pages, 3241 KB  
Article
Hermes (Rbpms) is a Critical Component of RNP Complexes that Sequester Germline RNAs during Oogenesis
by Tristan Aguero, Yi Zhou, Malgorzata Kloc, Patrick Chang, Evelyn Houliston and Mary Lou King
J. Dev. Biol. 2016, 4(1), 2; https://doi.org/10.3390/jdb4010002 - 19 Jan 2016
Cited by 22 | Viewed by 7842
Abstract
The germ cell lineage in Xenopus is specified by the inheritance of germ plasm that assembles within the mitochondrial cloud or Balbiani body in stage I oocytes. Specific RNAs, such as nanos1, localize to the germ plasm. nanos1 has the essential germline [...] Read more.
The germ cell lineage in Xenopus is specified by the inheritance of germ plasm that assembles within the mitochondrial cloud or Balbiani body in stage I oocytes. Specific RNAs, such as nanos1, localize to the germ plasm. nanos1 has the essential germline function of blocking somatic gene expression and thus preventing Primordial Germ Cell (PGC) loss and sterility. Hermes/Rbpms protein and nanos RNA co-localize within germinal granules, diagnostic electron dense particles found within the germ plasm. Previous work indicates that nanos accumulates within the germ plasm through a diffusion/entrapment mechanism. Here we show that Hermes/Rbpms interacts with nanos through sequence specific RNA localization signals found in the nanos-3′UTR. Importantly, Hermes/Rbpms specifically binds nanos, but not Vg1 RNA in the nucleus of stage I oocytes. In vitro binding data show that Hermes/Rbpms requires additional factors that are present in stage I oocytes in order to bind nanos1. One such factor may be hnRNP I, identified in a yeast-2-hybrid screen as directly interacting with Hermes/Rbpms. We suggest that Hermes/Rbpms functions as part of a RNP complex in the nucleus that facilitates selection of germline RNAs for germ plasm localization. We propose that Hermes/Rbpms is required for nanos RNA to form within the germinal granules and in this way, participates in the germline specific translational repression and sequestration of nanos RNA. Full article
(This article belongs to the Special Issue Cell Fate Decisions in Development and Disease)
Show Figures

Figure 1

Back to TopTop