Sign in to use this feature.

Years

Between: -

Subjects

remove_circle_outline
remove_circle_outline
remove_circle_outline
remove_circle_outline
remove_circle_outline
remove_circle_outline
remove_circle_outline

Journals

Article Types

Countries / Regions

Search Results (224)

Search Parameters:
Keywords = melanocytic lesion

Order results
Result details
Results per page
Select all
Export citation of selected articles as:
11 pages, 2242 KB  
Article
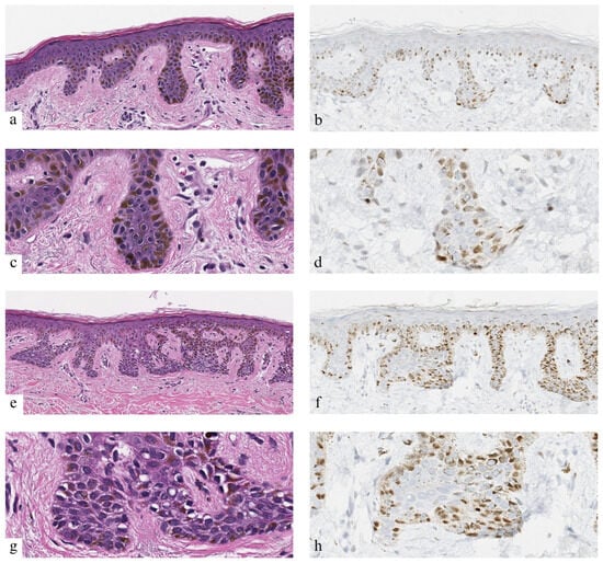
The Need for Standardization of PRAME Immunohistochemistry in Melanocytic Neoplasms
by Calla M. Sullivan, Dominick DiMaio, Scott Lauer, Dinesh Pradhan, Julie Youngs, Kaeli Samson and Corey J. Georgesen
Dermatopathology 2026, 13(1), 5; https://doi.org/10.3390/dermatopathology13010005 (registering DOI) - 31 Dec 2025
Abstract
Accurate diagnosis of melanomas is crucial for proper evaluation and treatment. One immunohistochemical stain frequently utilized is PRAME (PReferentially expressed Antigen in MElanoma), a tumor-associated antigen expressed in most melanomas. This study aims to evaluate the reproducibility of PRAME scoring performed by dermatopathologists [...] Read more.
Accurate diagnosis of melanomas is crucial for proper evaluation and treatment. One immunohistochemical stain frequently utilized is PRAME (PReferentially expressed Antigen in MElanoma), a tumor-associated antigen expressed in most melanomas. This study aims to evaluate the reproducibility of PRAME scoring performed by dermatopathologists at an academic tertiary referral medical center. A blinded survey was designed featuring 21 melanocytic neoplasms stained with PRAME and H&E. For each case, five dermatopathologists provided a PRAME score from 0–4+, percent PRAME positivity, values for H-score, and a descriptive interpretation. Absolute agreement across raters was assessed using a Kappa statistic for PRAME score and intraclass correlations (ICCs) for H-score and PRAME percentage. Statistical analysis indicated poor inter-rater reliability for PRAME score (Kappa = 0.16), percent PRAME positivity (ICC = 0.31), and H-score (ICC = 0.40). Reporting language varied among pathologists. Our study demonstrated that the interpretation of PRAME immunohistochemistry lacks reproducibility, especially for challenging lesions. This suggests that a more rigorous, defined, and reproducible scoring method should be investigated for equivocal cases. Future studies may explore the utility of artificial intelligence software in the interpretation of PRAME for borderline lesions to improve reliability and standardize scoring. Full article
Show Figures

Figure 1

11 pages, 945 KB  
Proceeding Paper
Self-Supervised Learning for Complex Pattern Interpretation in Vitiligo Skin Imaging
by Priyanka Pawar, Anagha Kulkarni, Bhavana Pansare, Prajakta Pawar, Prachi Bahekar and Madhavi Kapre
Comput. Sci. Math. Forum 2025, 12(1), 9; https://doi.org/10.3390/cmsf2025012009 - 18 Dec 2025
Viewed by 62
Abstract
Depigmented patches are the result of vitiligo, a skin condition brought on by the slow breakdown of melanocytes. High variability, complex lesion morphology, and subtle differences between affected and unaffected skin make accurate diagnosis difficult. In these situations, conventional supervised image analysis techniques [...] Read more.
Depigmented patches are the result of vitiligo, a skin condition brought on by the slow breakdown of melanocytes. High variability, complex lesion morphology, and subtle differences between affected and unaffected skin make accurate diagnosis difficult. In these situations, conventional supervised image analysis techniques have trouble generalizing. By allowing models to acquire significant representations from unlabeled data, self-supervised learning (SSL) presents a viable substitute. The new SSL-based framework for vitiligo skin image analysis proposed in this study uses contrastive learning with augmentation-based pretext tasks to capture complex visual patterns such as patch distribution, texture loss, and border irregularity. The SSL-enhanced model achieved a validation accuracy of 0.83 after fine-tuning on a small, labeled subset. This suggests that SSL could support accurate and labeled efficient vitiligo assessment in clinical and research settings. Direct comparisons with existing supervised model were not performed and were left for future research. Full article
Show Figures

Figure 1

27 pages, 3096 KB  
Article
B Cells Can Trigger the T-Cell-Mediated Autoimmune Response Against Melanocytes in Psoriasis
by Mengwen He, Melissa Bernhardt, Akiko Arakawa, Song-Min Kim, Sigrid Vollmer, Burkard Summer, Yukiyasu Arakawa, Tatsushi Ishimoto, Andreas Schlosser and Jörg Christoph Prinz
Cells 2025, 14(24), 2002; https://doi.org/10.3390/cells14242002 - 16 Dec 2025
Viewed by 463
Abstract
Psoriasis vulgaris is a T-cell-mediated skin disease that may involve an autoimmune response against melanocytes. It develops through still unexplained pathomechanisms. Streptococcal tonsillopharyngitis is a major trigger of psoriasis onset and relapses. HLA-C*06:02 is the main psoriasis risk gene. Here we find that [...] Read more.
Psoriasis vulgaris is a T-cell-mediated skin disease that may involve an autoimmune response against melanocytes. It develops through still unexplained pathomechanisms. Streptococcal tonsillopharyngitis is a major trigger of psoriasis onset and relapses. HLA-C*06:02 is the main psoriasis risk gene. Here we find that B cells isolated from streptococci-infected tonsils or peripheral blood of HLA-C*06:02+ psoriasis patients stimulate an HLA-C*06:02-restricted melanocyte-reactive Vα3S1/Vβ13S1 T-cell receptor (TCR) from a lesional psoriatic CD8+ T cell clone in an IFN-γ-enhanced manner. Patients’ B cells furthermore induce proliferation of autologous blood CD8+ T cells. We identify several HLA-C*06:02-presented self-peptides in the immunopeptidomes we had isolated from four HLA-C*06:02 homozygous B-cell lines that stimulate the Vα3S1/Vβ13S1 TCR and differ from the melanocyte autoantigen recognized by this TCR. These data suggest that the proinflammatory environment of streptococcal tonsillopharyngitis may enable B cells to activate autoreactive CD8+ T cells that, owing to the polyspecificity of T-cell receptors, recognize several B-cell self-peptides presented by HLA-C*06:02 and subsequently cross-react against melanocytes in the skin, thereby triggering psoriasis. The capacity of B cells to stimulate a cross-reactive autoimmune response through HLA class I-presented B-cell peptides is a previously unknown mechanism in the induction of autoimmunity that could explain psoriasis onset and persistence. Full article
(This article belongs to the Special Issue Genetic and Cellular Basis of Autoimmune Diseases)
Show Figures

Graphical abstract

14 pages, 232 KB  
Review
Is Radiotherapy a Risk Factor for Melanoma?
by Sumeyye Ozer, Priya Agarwal, Noah Musolff, Brendan Plann-Curley, Gizem Cosgun, Helen Yanyu Sun and Babar Rao
Dermatopathology 2025, 12(4), 43; https://doi.org/10.3390/dermatopathology12040043 - 17 Nov 2025
Viewed by 560
Abstract
Melanoma is a highly aggressive skin cancer primarily linked to ultraviolet (UV) radiation. However, the potential role of ionizing radiation from radiotherapy in melanoma development remains unclear. This review synthesizes data from epidemiologic studies and case reports on melanoma after radiation exposure. Evidence [...] Read more.
Melanoma is a highly aggressive skin cancer primarily linked to ultraviolet (UV) radiation. However, the potential role of ionizing radiation from radiotherapy in melanoma development remains unclear. This review synthesizes data from epidemiologic studies and case reports on melanoma after radiation exposure. Evidence indicates that childhood radiotherapy, even at low doses, is associated with an increased melanoma risk, plausibly reflecting the heightened radiosensitivity of developing melanocytes. Occupational radiation exposure, particularly in earlier eras with insufficient shielding, also appears to elevate risk. In patients exposed to radiation in adulthood, findings are mixed: large population datasets suggest a modest increase in melanoma following therapeutic radiation, whereas some case–control analyses do not demonstrate a clear dose–response relationship. UV radiation promotes melanomagenesis through direct DNA photoproducts driving characteristic C>T transitions at dipyrimidine sites, alongside oxidative stress and local immune modulation that facilitate malignant transformation. Collectively, individuals with prior radiotherapy, especially those irradiated in childhood, should be considered at increased melanoma risk and may benefit from long-term, targeted surveillance of irradiated fields. Awareness of this association between radiation exposure and melanoma may also support clinicopathologic correlation during the diagnostic evaluation of melanocytic lesions. Future work should define dose–response relationships in contemporary radiotherapy methods, characterize molecular signatures of ionizing radiation-associated melanomas, and establish evidence-based surveillance strategies for high-risk cohorts. Full article
(This article belongs to the Section Experimental Dermatopathology)
13 pages, 3193 KB  
Article
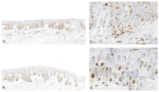
Diagnostic Utility of PRAME Expression in Melanocytic Lesions: Cut-Off Threshold Analysis
by Beste Noyan Mod and Cem Leblebici
Diagnostics 2025, 15(20), 2595; https://doi.org/10.3390/diagnostics15202595 - 15 Oct 2025
Viewed by 1023
Abstract
Background/Objectives: PRAME (Preferentially Expressed Antigen in Melanoma) is a promising immunohistochemical marker for distinguishing melanoma from benign melanocytic lesions, though optimal thresholds remain uncertain. This study evaluated PRAME expression in melanocytic lesions and compared diagnostic accuracy using two thresholds. Methods: We [...] Read more.
Background/Objectives: PRAME (Preferentially Expressed Antigen in Melanoma) is a promising immunohistochemical marker for distinguishing melanoma from benign melanocytic lesions, though optimal thresholds remain uncertain. This study evaluated PRAME expression in melanocytic lesions and compared diagnostic accuracy using two thresholds. Methods: We retrospectively assessed PRAME expression in 145 melanocytic lesions diagnosed between 2016 and 2021 at Istanbul Training and Research Hospital: 52 melanomas, 27 dysplastic nevi, 23 Spitz nevi, 15 compound nevi, 23 blue nevi, and 5 congenital nevi. Immunohistochemical staining (PRAME EP461, Cell Marque) was scored semi-quantitatively based on nuclear positivity: 0 (negative), 1 (1–24%), 2 (25–49%), 3 (50–74%), and 4 (≥75%). Diagnostic accuracy was evaluated at 50% and 75% thresholds. Results: PRAME expression at both thresholds was significantly higher in melanomas than nevi (p < 0.05). Sensitivity and specificity were 92.3% and 96.8% at 50%, and 82.7% and 98.9% at 75%. Lowering the threshold to 50% improved sensitivity with minimal specificity loss, particularly differentiating melanoma from dysplastic, compound, and blue nevi. Occasional positivity was observed in Spitz and dysplastic nevi; one melanoma was PRAME-negative. Conclusions: PRAME is an effective marker for melanoma diagnosis. A 50% threshold optimizes sensitivity while preserving specificity; however, histopathological evaluation remains the gold standard, and PRAME should be used only as an adjunct to avoid potential overdiagnosis, particularly in borderline lesions. Full article
(This article belongs to the Special Issue Advances in the Diagnosis of Skin Disease)
Show Figures

Figure 1

17 pages, 7304 KB  
Article
Subtype- and Site-Specific Innervation of Melanocytic Nevi as Revealed by PGP 9.5 and CGRP Expression
by Bruno Minigo, Marin Ogorevc, Nela Kelam, Ante Čizmić, Sandra Zekić Tomaš, Katarina Vukojević, Sandra Kostić, Dubravka Vuković and Snježana Mardešić
Medicina 2025, 61(10), 1828; https://doi.org/10.3390/medicina61101828 - 13 Oct 2025
Viewed by 817
Abstract
Background and objectives: Melanocytic nevi are among the most common skin lesions, yet their relationship with the peripheral nervous system has remained understudied. Given the neural crest origin of melanocytes and Schwann cells, and the neurotrophic signaling capabilities of pigment cells, this study [...] Read more.
Background and objectives: Melanocytic nevi are among the most common skin lesions, yet their relationship with the peripheral nervous system has remained understudied. Given the neural crest origin of melanocytes and Schwann cells, and the neurotrophic signaling capabilities of pigment cells, this study aimed to investigate the density of nerve fibers within nevi and assess how it varies with respect to histological subtype and anatomical location. Materials and Methods: A total of 90 nevi were analyzed, including junctional, compound, and intradermal types, distributed across the head, trunk, and limbs. Immunofluorescence staining for the pan-neuronal marker PGP 9.5 and for CGRP were performed and nerve fiber density was quantified. Statistical evaluation using two-way ANOVA revealed that both nevus type and anatomical site significantly influenced the degree of total innervation. Results: Junctional nevi demonstrated the highest total nerve fiber density, significantly exceeding that of compound and intradermal nevi. Likewise, nevi located on the head exhibited a significantly greater density of PGP 9.5-positive nerve fibers compared to those on the trunk and limbs. No significant correlation was observed between nevus type and location, suggesting that both factors contribute independently to the differences in innervation. CGRP-positive innervation was uniform regardless of the histological type of nevus and anatomical location. Conclusions: These findings likely reflect the facts that junctional nevi reside at the dermo-epidermal junction, where nerve fibers are most abundant, while the skin of the head and neck is well known to be more richly innervated than other regions. In contrast, analysis of CGRP-positive fibers suggests that the heterogeneity detected with PGP 9.5 is primarily driven by other neuronal populations. The results support the hypothesis of a dynamic relationship between nevi and the peripheral nervous system, potentially mediated by neurotrophic factors. Understanding this interaction may provide insight into nevus biology, sensory symptoms reported in some lesions, and the evolving role of nerves in the tumor microenvironment. Full article
(This article belongs to the Section Dermatology)
Show Figures

Figure 1

25 pages, 1200 KB  
Review
Unraveling Melasma: From Epidermal Pigmentation to Microenvironmental Dysregulation
by Fang Miao, Jing Wan, Youwen Zhou and Ying Shi
Biology 2025, 14(10), 1402; https://doi.org/10.3390/biology14101402 - 13 Oct 2025
Viewed by 3401
Abstract
Melasma is a chronic, acquired hyperpigmentation disease that occurs on light-exposed skin, especially in women of childbearing age. This common dyschromic disorder significantly impairs quality of life, yet treatments are unsatisfactory due to an incomplete understanding of its etiology. Its pathogenesis is multifactorial: [...] Read more.
Melasma is a chronic, acquired hyperpigmentation disease that occurs on light-exposed skin, especially in women of childbearing age. This common dyschromic disorder significantly impairs quality of life, yet treatments are unsatisfactory due to an incomplete understanding of its etiology. Its pathogenesis is multifactorial: ultraviolet (UV) radiation exposure, sex hormone fluctuations, and familial genetics are known triggers. Meanwhile, the persistence of focal hyperpigmentation suggests additional mechanisms beyond enhanced melanocyte activity. Emerging evidence highlights that melasma skin exhibits features of chronic photoaging: solar elastosis, basement membrane (BM) disruption and increased vascularity can be seen in the skin lesions. Senescent dermal fibroblasts under UV stress secrete melanogenic cytokines (e.g., SCF, HGF) that further stimulate melanocytes. In addition, melasma lesions harbor subclinical inflammation: infiltrates of CD4+ T cells, macrophages, and mast cells are visible, accompanied by elevated IL-17 and COX-2, implying an immune-driven component sustains pigment production. Collectively, these observations suggest that melasma behaves as a chronic inflammatory disorder of the skin microenvironment, rather than an isolated pigmentary defect. Concurrently, epidermal alterations such as barrier dysfunction and abnormal melanosome transport exacerbate melanin retention. In this review, by integrating these emerging insights into a unified pathogenic framework, we recognize melasma as a disorder of epidermal–dermal crosstalk and immune modulation, offering novel therapeutic perspectives for this recalcitrant condition. Full article
(This article belongs to the Section Biochemistry and Molecular Biology)
Show Figures

Graphical abstract

12 pages, 1170 KB  
Article
Demographic, Morphological, and Histopathological Characteristics of Melanoma and Nevi: Insights from Statistical Analysis and Machine Learning Models
by Blagjica Lazarova, Gordana Petrushevska, Zdenka Stojanovska and Stephen C. Mullins
Diagnostics 2025, 15(19), 2499; https://doi.org/10.3390/diagnostics15192499 - 1 Oct 2025
Viewed by 646
Abstract
Background: Early and accurate differentiation between melanomas and benign nevi is essential for making proper clinical decisions. This study aimed to identify clinical, morphological, and histopathological variables most strongly associated with melanoma, using both statistical and machine learning approaches. Methods: This study [...] Read more.
Background: Early and accurate differentiation between melanomas and benign nevi is essential for making proper clinical decisions. This study aimed to identify clinical, morphological, and histopathological variables most strongly associated with melanoma, using both statistical and machine learning approaches. Methods: This study evaluated 184 melanocytic lesions using clinical, morphological, and histopathological parameters. Univariable analyses were performed in XLStat statistical software, version 2014.5.03, while multivariable machine learning models were developed in Jamovi (version 2.4). Five supervised algorithms (random forest, partial least squares, elastic net regression, conditional inference trees, and k-nearest neighbors) were compared using repeated cross-validation, with performance evaluated by accuracy, Kappa, sensitivity, specificity, F1 score, and calibration. Results: Univariable analysis identified significant differences between melanomas and nevi in age, horizontal diameter, gender, lesion location, and selected histopathological features (cytological and extracellular matrix changes, epidermal interactions). However, several associations weakened in multivariable analysis due to collinearity and overlapping effects. Using glmnet, the most influential independent predictors were cytological changes, horizontal diameter, epidermal interactions, and extracellular matrix features, alongside age, gender, and lesion location. The model achieved high discrimination (AUC = 0.97, 95% CI: 0.93–0.99) and accuracy (training: 95.3%; test: 92.6%), confirming robustness. Conclusions: Structured demographic, morphological, and histopathological data—particularly age, lesion size, cytological and extracellular matrix changes, and epidermal interactions—can effectively support classification of melanocytic lesions. Machine learning approaches (the glmnet model in our study) provide a reliable framework to evaluate such predictors and offer practical diagnostic support in dermatopathology. Full article
(This article belongs to the Special Issue Artificial Intelligence in Dermatology)
Show Figures

Figure 1

16 pages, 1867 KB  
Article
Serum Granulysin Levels in Vitiligo and Alopecia Areata: A Potential Biomarker for Disease Activity and Dermoscopic Evaluation
by Hayam Ali AlRasheed, Amira Aboelmakarem Korkor, Yasmina Ahmed El Attar, Rowida Raafat Yousef, Mostafa M. Bahaa and Zainab Abdel Samad Ibrahim
J. Clin. Med. 2025, 14(19), 6894; https://doi.org/10.3390/jcm14196894 - 29 Sep 2025
Viewed by 681
Abstract
Background: Vitiligo is a chronic, progressive skin disorder characterized by the development of sharply demarcated depigmented patches due to the loss of melanocytes. Alopecia areata (AA) is an autoimmune condition that presents with sudden, non-scarring hair loss affecting the scalp or other body [...] Read more.
Background: Vitiligo is a chronic, progressive skin disorder characterized by the development of sharply demarcated depigmented patches due to the loss of melanocytes. Alopecia areata (AA) is an autoimmune condition that presents with sudden, non-scarring hair loss affecting the scalp or other body areas. Objective: To evaluate serum granulysin (GNLY) levels in patients with vitiligo and AA to explore its potential role in the pathogenesis and activity of both diseases. Methods: A total of 80 participants were included: 65 patients and 15 healthy controls. Patients were divided into four groups: active vitiligo (n = 25), stable vitiligo (n = 25), active AA (n = 15), and a control group (n = 15). Serum GNLY levels were measured and analyzed in relation to clinical and dermoscopic features. Results: No significant correlation was found between GNLY levels and either age or Vitiligo Area Scoring Index in vitiligo patients. However, serum GNLY levels showed a significant association with the Vitiligo Disease Activity score. GNLY levels did not correlate with sex or the starburst pattern. In contrast, significant associations were found between elevated GNLY levels and dermoscopic signs of activity, including ill-defined lesion borders, satellite lesions, perifollicular pigmentation, and loss of pigment network. Both vitiligo and AA patients exhibited significantly higher GNLY levels than controls, with the highest concentrations observed in the active vitiligo group. Conclusions: The significant rise in serum GNLY levels in vitiligo and AA suggests a pathogenic role, with higher levels in active vitiligo indicating its potential utility as a biomarker for monitoring disease activity. Full article
(This article belongs to the Special Issue Skin Disease and Inflammation: Current Treatment and Future Options)
Show Figures

Figure 1

12 pages, 789 KB  
Article
Melanoma Clues Beyond Dermoscopic Patterns: Lesion Orientation to Langer’s Lines as a Predictor on the Trunk
by Umberto Santaniello, Francesco Cavallo, Sara Diana, Silvia Giordano, Orsola Crespi, François Rosset, Andrea Agostini, Giovenale Moirano, Paolo Fava, Pietro Quaglino, Simone Ribero and Paolo Broganelli
Cancers 2025, 17(18), 3064; https://doi.org/10.3390/cancers17183064 - 19 Sep 2025
Viewed by 604
Abstract
Background/Objectives: The diagnosis of melanocytic lesions on the trunk is challenging due to a high frequency of atypical features in benign nevi, leading to a high rate of unnecessary excisions. This study aimed to identify robust dermoscopic predictors of cutaneous melanoma on the [...] Read more.
Background/Objectives: The diagnosis of melanocytic lesions on the trunk is challenging due to a high frequency of atypical features in benign nevi, leading to a high rate of unnecessary excisions. This study aimed to identify robust dermoscopic predictors of cutaneous melanoma on the trunk and to evaluate a novel diagnostic criterion: the orientation of lesions relative to Langer’s skin tension lines. Methods: We conducted a retrospective analysis of 321 melanocytic lesions (227 nevi and 94 melanomas) excised from the trunk. Dermoscopic features were systematically evaluated. A chi-square test and an age- and sex-adjusted multivariate logistic regression were performed to calculate odds ratios (OR) and identify independent predictors of malignancy. A subgroup analysis was also conducted on “critical” versus “non-critical” anatomical sites. Results: Non-adherence to Langer’s lines was the most powerful predictor of melanoma (OR 5.55, 95% CI 3.22–9.81; p < 0.001). Other significant predictors included blue-white veil (OR 5.09) and polymorphous vessels (OR 4.06). Notably, 70% of melanomas did not align with Langer’s lines, whereas 72% of nevi did. Classic features such as scar-like regression were not statistically significant predictors in this cohort. In the subgroup analysis, color asymmetry was a significant predictor of melanoma only in non-critical sites (p for interaction = 0.026). Conclusions: The orientation of a melanocytic lesion relative to Langer’s lines is a powerful and independent predictor of melanoma on the trunk. This simple morphological feature, which may reflect differences in growth patterns between malignant and benign lesions, could serve as an additional clinical cue to support decision-making and improve diagnostic accuracy in this challenging anatomical location. Full article
(This article belongs to the Special Issue Dermoscopy in Skin Cancer)
Show Figures

Figure 1

21 pages, 2172 KB  
Article
The Epidemiological and Histopathological Profiling of Basal Cell Carcinoma: Insights from a 4-Year Institutional Cohort in a Romanian Clinical County Hospital
by Iuliu-Gabriel Cocuz, Martin Manole, Maria-Cătălina Popelea, Raluca Niculescu, Maria Elena Cocuz, Adrian Horațiu Sabău, Andreea Cătălina Tinca, Andreea Raluca Cozac-Szőke, Diana Maria Chiorean, Alexandru Constantin Ioniță, Eugenia Corina Budin, Georgian-Nicolae Radu, Emoke Andrea Szasz and Ovidiu Simion Cotoi
Diagnostics 2025, 15(18), 2377; https://doi.org/10.3390/diagnostics15182377 - 18 Sep 2025
Viewed by 770
Abstract
Background/Objectives: Basal cell carcinoma (BCC) of the skin is a type of non-melanocytic skin cancer. The European incidence of non-melanocytic skin cancers is 14.2 per 100,000 people, with a mortality rate of 0.5, thus ranking Europe third in the world in terms [...] Read more.
Background/Objectives: Basal cell carcinoma (BCC) of the skin is a type of non-melanocytic skin cancer. The European incidence of non-melanocytic skin cancers is 14.2 per 100,000 people, with a mortality rate of 0.5, thus ranking Europe third in the world in terms of incidence and mortality rate, according to the WHO Global Cancer Observatory. The objective of this study was to highlight the histological, epidemiological, and clinicopathological aspects of BCCs diagnosed in the Clinical Pathology Department of the Mures Clinical County Hospital between January 2021 and December 2024. Methods: We performed a retrospective, descriptive, observational study between January 2021 and December 2024 in the Mureș Clinical County Hospital, Targu Mureș, Romania, by analysing data from histopathological reports and histological slides from patients with a positive diagnosis of BCC. The inclusion criteria for this study consisted of patients who presented a histopathological diagnosis of BCCs during the study period. Lesions were divided into two study cohorts—a general cohort and head and neck cohort. The collected data included epidemiological data, macroscopic features, and microscopical characteristics. Results: A total of 540 lesions were included in this study (general cohort), of which 395 were included in the head and neck cohort. This study revealed a higher incidence of BCC in 2024, affecting mostly urban patients (p < 0.001), with more aggressive forms (p < 0.001). The tumours found among males (p = 0.0189) and in rural patients (p = 0.0126) were bigger, but the tumoural volumes decreased over time (p < 0.001). The mixed form of BCC was associated with more aggressive histological subtypes (p < 0.001). Conclusions: BCC presents variability depending on age, gender, environment of origin, and topography, as well as histological subtype and aggressiveness, thus highlighting the need for a personalised approach in terms of diagnostics and treatment. Full article
(This article belongs to the Special Issue Advances in the Diagnosis of Skin Disease)
Show Figures

Figure 1

14 pages, 3326 KB  
Case Report
Multifocal Oral Mucosal Melanoma with an Atypical Clinical Presentation
by Klaudia Podlińska, Monika Monist, Magdalena Sławińska and Wojciech Popowski
Dent. J. 2025, 13(9), 432; https://doi.org/10.3390/dj13090432 - 18 Sep 2025
Cited by 2 | Viewed by 1125
Abstract
Background: Oral mucosal melanoma (oral malignant melanoma—OMM) is a rare malignant neoplasm. It arises from the proliferation of atypical melanocytes—cells derived from the neural crest that produce melanin. Unlike cutaneous melanomas, which are etiologically linked to ultraviolet (UV) radiation exposure, the risk [...] Read more.
Background: Oral mucosal melanoma (oral malignant melanoma—OMM) is a rare malignant neoplasm. It arises from the proliferation of atypical melanocytes—cells derived from the neural crest that produce melanin. Unlike cutaneous melanomas, which are etiologically linked to ultraviolet (UV) radiation exposure, the risk factors for mucosal melanomas remain poorly defined. According to the World Health Organization (WHO), these tumors predominantly affect older individuals, with peak incidence occurring in the seventh decade of life and are rarely observed in the first three decades. The primary treatment modality for patients with mucosal melanoma is radical surgical excision with clear margins. The 5-year overall survival rate for OMM ranges from 20% to 50%. Case Presentation: This article reports an atypical clinical manifestation of oral mucosal melanoma in a 99-year-old patient who presented to the Department of Oral Surgery at the University Dental Center, Medical University of Warsaw. The nonspecific clinical appearance did not initially suggest a melanocytic lesion. A definitive diagnosis was established through histopathological examination, which subsequently guided the treatment plan. Conclusions: This report highlights the necessity of performing microscopic evaluation even for lesions with a nonspecific or non-suspicious appearance, underlines the importance of regular dental check-ups, and stresses the need to strengthen oncological vigilance among dental practitioners. Full article
(This article belongs to the Special Issue Dental Oncology)
Show Figures

Figure 1

14 pages, 3809 KB  
Article
Nested Melanoma and Superficial Spreading Melanoma with Prominent Nests—A Retrospective Study on Clinical Characteristics and PRAME Expression
by Daniela Lenders, Valentin Aebischer, Maximilian Gassenmaier, Matthias Hahn, Gisela Metzler and Stephan Forchhammer
Diagnostics 2025, 15(17), 2279; https://doi.org/10.3390/diagnostics15172279 - 8 Sep 2025
Viewed by 734
Abstract
Background: Nested melanoma is a rare subtype of superficial spreading melanoma. Due to its typical histology, characterized by the predominance of large melanocytic nests in an extensive horizontal spread, it is challenging to distinguish it from other benign nested melanocytic lesions. There is [...] Read more.
Background: Nested melanoma is a rare subtype of superficial spreading melanoma. Due to its typical histology, characterized by the predominance of large melanocytic nests in an extensive horizontal spread, it is challenging to distinguish it from other benign nested melanocytic lesions. There is a need to identify additional histopathological parameters that can support the diagnosis of nested melanoma. Methods: In this retrospective case-control study, we analyzed immunohistochemical staining for PRAME in 10 cases of superficial spreading melanoma with prominent nests and 26 nested melanomas. Dysplastic melanocytic nevi were used as the control group. Results: We found a diffuse PRAME positivity (>75% of melanocytes) in 60% of superficial spreading melanoma with prominent nests and 19% of nested melanoma cases, whereas the control group showed no diffuse PRAME positivity. Furthermore, using Melan A immunohistochemistry, we found an absence of pagetoid spread in 31% of nested melanoma and single cells in suprabasal epidermal layers in 69% of cases. All cases with no pagetoid spread were PRAME negative, whereas 28% of cases with a mild pagetoid spread demonstrated diffuse PRAME positivity. Conclusions: We found lower PRAME positivity in nested melanoma compared to superficial spreading melanoma with prominent nests. Particularly in cases without pagetoid intraepidermal spread of melanocytes, negative PRAME staining does not rule out the possibility of nested melanoma. The diagnosis should be made based on typical histomorphological and clinical criteria. Full article
(This article belongs to the Section Pathology and Molecular Diagnostics)
Show Figures

Figure 1

14 pages, 2002 KB  
Article
Linking IFN-γ-Mediated Pathogenesis to ROCK-Targeted Therapy in a Scalable iPSCs-Based Vitiligo Model
by Toshiro Komatsu, Yupeng Dong, Takaharu Ikeda and Tamihiro Kawakami
Int. J. Mol. Sci. 2025, 26(16), 8069; https://doi.org/10.3390/ijms26168069 - 21 Aug 2025
Viewed by 1792
Abstract
Vitiligo is a chronic autoimmune dermatosis defined by selective melanocyte depletion and patchy depigmentation. IFN–γ-driven recruitment of autoreactive CD8+ T cells and induction of melanocyte apoptosis are central to its pathogenesis. Current therapies—including UVB phototherapy, tacrolimus, vitamin D3 analogs, and surgical methods—show [...] Read more.
Vitiligo is a chronic autoimmune dermatosis defined by selective melanocyte depletion and patchy depigmentation. IFN–γ-driven recruitment of autoreactive CD8+ T cells and induction of melanocyte apoptosis are central to its pathogenesis. Current therapies—including UVB phototherapy, tacrolimus, vitamin D3 analogs, and surgical methods—show limited and inconsistent efficacy. Emerging treatments like JAK inhibitors and WNT activators offer potential but require further validation. Translational progress is hindered by a lack of scalable human models. Here, we describe a tunable in vitro vitiligo platform in which human iPSC-derived melanocytes (iMc) are co-cultured with keratinocytes on Matrigel and exposed to precise graded IFN-γ concentrations. Our data revealed dose-dependent decreases in iMc survival and dendritic structure, faithfully mirroring derived melanocyte pathology. Leveraging this platform, we first evaluated the short-term efficacy of the ROCK inhibitor Y27632 under early-stage patient IFN-γ concentrations representative of patient lesional thresholds. At three days, Y27632 significantly upregulated adhesion molecules E-cadherin and DDR1, and two central factors—ET1 and bFGF. Importantly, ROCK inhibition reversed dendritic retraction and improved overall viability of iMc-keratinocytes. These findings position ROCK blockade as a promising adjunctive strategy and establish a pre-clinical platform for evaluating combination therapies for durable pigment restoration. Full article
Show Figures

Graphical abstract

25 pages, 877 KB  
Review
Therapeutic Opportunities in Melanoma Through PRAME Expression
by Mislav Mokos, Ivana Prkačin, Klara Gaćina, Ana Brkić, Nives Pondeljak and Mirna Šitum
Biomedicines 2025, 13(8), 1988; https://doi.org/10.3390/biomedicines13081988 - 15 Aug 2025
Cited by 2 | Viewed by 3048
Abstract
Background: Melanoma is one of the most aggressive types of skin cancer. Its diagnosis appears to be challenging due to morphological similarities to benign melanocytic lesions. Even though histopathological evaluation is the diagnostic gold standard, immunohistochemistry (IHC) proves to be useful in challenging [...] Read more.
Background: Melanoma is one of the most aggressive types of skin cancer. Its diagnosis appears to be challenging due to morphological similarities to benign melanocytic lesions. Even though histopathological evaluation is the diagnostic gold standard, immunohistochemistry (IHC) proves to be useful in challenging cases. Preferentially Expressed Antigen in Melanoma (PRAME) has emerged as a promising diagnostic, prognostic, and therapeutic marker in melanoma. Methods: This review critically examines the role of PRAME across clinical domains. It presents an evaluation of PRAME’s diagnostic utility in differentiating melanomas from benign nevi, its prognostic significance across melanoma subtypes, and therapeutic applications in emerging immunotherapy strategies. An extensive analysis of the current literature was conducted, with a focus on PRAME expression patterns in melanocytic lesions and various malignancies, along with its integration into IHC protocols and investigational therapies. Results: PRAME demonstrates high specificity and sensitivity in distinguishing melanoma from benign melanocytic proliferations, particularly in challenging subtypes such as acral, mucosal, and spitzoid lesions. Its overexpression correlates with poor prognosis in numerous malignancies. Therapeutically, PRAME’s HLA class I presentation enables T-cell-based targeting. Early-phase trials show promising results using PRAME-directed TCR therapies and bispecific ImmTAC agents. However, immune evasion mechanisms (i.e., heterogeneous antigen expression, immune suppression in the tumor microenvironment, and HLA downregulation) pose significant challenges to therapy. Conclusions: PRAME is a valuable biomarker for melanoma diagnosis and a promising target for immunotherapy. Its selective expression in malignancies supports its clinical utility in diagnostic precision, prognostic assessment, and precision oncology. Ongoing research aimed at overcoming immunological barriers will be essential for optimizing PRAME-directed therapies and establishing their place in the personalized management of melanoma. Full article
(This article belongs to the Special Issue Skin Diseases and Cell Therapy)
Show Figures

Figure 1

Back to TopTop