The Need for Standardization of PRAME Immunohistochemistry in Melanocytic Neoplasms
Simple Summary
Abstract
1. Introduction
2. Materials and Methods
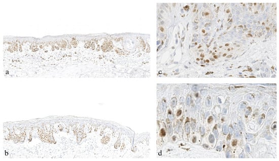
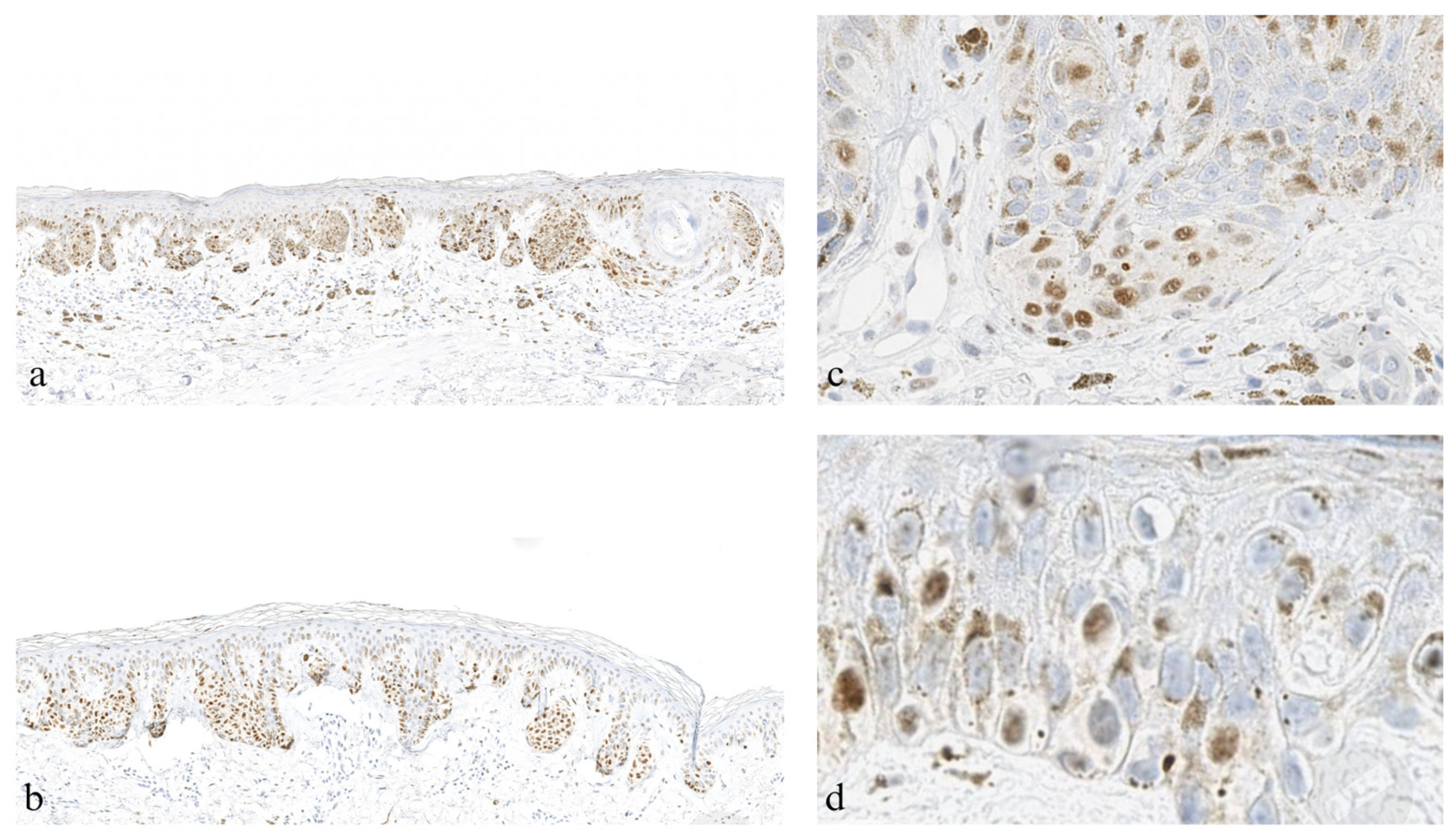
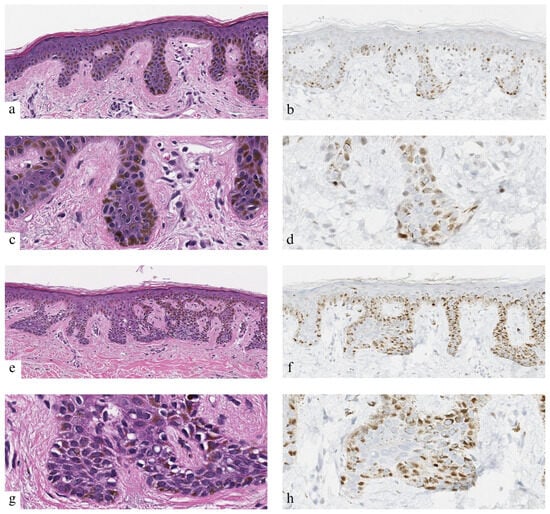
3. Results
4. Discussion
Author Contributions
Funding
Institutional Review Board Statement
Informed Consent Statement
Data Availability Statement
Conflicts of Interest
Abbreviations
| PRAME | Peeferentially Expressed Antigen in Melanoma |
| H&E | Hematoxylin and eosin |
| IHC | Immunohistochemistry |
| DAB | 3,3′-Diaminobenzidine |
| CC1 | Cell Conditioning 1 |
| H-score | Histo-score |
| ICC | Intraclass correlation |
| ER/PR | Estrogen receptor/progesterone receptor |
| AI | Artificial intelligence |
References
- Heistein, J.B.; Acharya, U.; Mukkamalla, S.K.R. Malignant Melanoma. In StatPearls; StatPearls Publishing: Treasure Island, FL, USA, 2025. [Google Scholar]
- Farmer, E.R.; Gonin, R.; Hanna, M.P. Discordance in the histopathologic diagnosis of melanoma and melanocytic nevi between expert pathologists. Hum. Pathol. 1996, 27, 528–531. [Google Scholar] [CrossRef] [PubMed]
- Lezcano, C.; Jungbluth, A.A.; Nehal, K.S.; Hollmann, T.J.; Busam, K.J. PRAME Expression in Melanocytic Tumors. Am. J. Surg. Pathol. 2018, 42, 1456–1465. [Google Scholar] [CrossRef] [PubMed]
- Innocenti, L.; Scarpitta, R.; Corraro, S. Shedding Light on PRAME Expression in Dysplastic Nevi: A Cohort Study. Virchows Arch. 2023, 485, 97–104. [Google Scholar] [CrossRef] [PubMed]
- Lezcano, C.; Jungbluth, A.A.; Busam, K.J. PRAME Immunohistochemistry as an Ancillary Test for the Assessment of Melanocytic Lesions. Surg. Pathol. Clin. 2021, 14, 165–175. [Google Scholar] [CrossRef] [PubMed]
- Turner, N.; Ko, C.; McNiff, J.M.; Galan, A. Pitfalls of PRAME Immunohistochemistry in a Large Series of Melanocytic and Nonmelanocytic Lesions With Literature Review. Am. J. Dermatopathol. 2024, 46, 21–30. [Google Scholar] [CrossRef] [PubMed]
- Wen, Z.; Luo, D.; Wang, S.; Rong, R.; Evers, B.M.; Jia, L.; Fang, Y.; Daoud, E.V.; Yang, S.; Gu, Z.; et al. Deep Learning-Based H-Score Quantification of Immunohistochemistry-Stained Images. Mod. Pathol. 2024, 37, 100398. [Google Scholar] [CrossRef] [PubMed] [PubMed Central]
- Shrout, P.E.; Fleiss, J.L. Intraclass correlations: Uses in assessing rater reliability. Psychol. Bull. 1979, 86, 420. [Google Scholar] [CrossRef] [PubMed]
- McHugh, M.L. Interrater reliability: The kappa statistic. Biochem. Med. 2012, 22, 276–282. [Google Scholar] [CrossRef] [PubMed] [PubMed Central]
- Koo, T.K.; Li, M.Y. A Guideline of Selecting and Reporting Intraclass Correlation Coefficients for Reliability Research. J. Chiropr. Med. 2016, 15, 155–163, Erratum in J. Chiropr. Med. 2017, 16, 346. [Google Scholar] [CrossRef] [PubMed] [PubMed Central]
- Rizzardi, A.E.; Johnson, A.T.; Vogel, R.I.; Pambuccian, S.E.; Henriksen, J.; Skubitz, A.P.; Metzger, G.J.; Schmechel, S.C. Quantitative comparison of immunohistochemical staining measured by digital image analysis versus pathologist visual scoring. Diagn. Pathol. 2012, 7, 42. [Google Scholar] [CrossRef] [PubMed] [PubMed Central]
- Valenstein, P.N. Formatting pathology reports: Applying four design principles to improve communication and patient safety. Arch. Pathol. Lab. Med. 2008, 132, 84–94. [Google Scholar] [CrossRef] [PubMed]
- O’Connor, M.K.; Dai, H.; Fraga, G.R. PRAME immunohistochemistry for melanoma diagnosis: A STARD-compliant diagnostic accuracy study. J. Cutan. Pathol. 2022, 49, 780–786. [Google Scholar] [CrossRef] [PubMed]
- Zboraș, I.; Ungureanu, L.; Șenilă, S.; Petrushev, B.; Zamfir, P.; Crișan, D.; Zaharie, F.A.; Vesa, Ș.C.; Cosgarea, R. PRAME Immunohistochemistry in Thin Melanomas Compared to Melanocytic Nevi. Diagnostics 2024, 14, 2015. [Google Scholar] [CrossRef] [PubMed]
- Allison, K.H.; Hammond, M.E.H.; Dowsett, M.; McKernin, S.E.; Carey, L.A.; Fitzgibbons, P.L.; Hayes, D.F.; Lakhani, S.R.; Chavez-MacGregor, M.; Perlmutter, J.; et al. Estrogen and Progesterone Receptor Testing in Breast Cancer: American Society of Clinical Oncology/College of American Pathologists Guideline Update. Arch. Pathol. Lab. Med. 2020, 144, 545–563. [Google Scholar] [CrossRef] [PubMed]
- Goldsmith, J.D.; Troxell, M.L.; Roy-Chowdhuri, S.; Colasacco, C.F.; Edgerton, M.E.; Fitzgibbons, P.L.; Fulton, R.; Haas, T.; Kandalaft, P.L.; Kalicanin, T.; et al. Principles of Analytic Validation of Immunohistochemical Assays: Guideline Update. Arch. Pathol. Lab. Med. 2024, 148, e111–e153. [Google Scholar] [CrossRef] [PubMed]
- Tomasini, C.F.; Michelerio, A.; Isoletta, E.; Barruscotti, S.; Wade, B.; Muzzi, A. A Clinico-Pathological Multidisciplinary Team Increases the Efficacy of Skin Biopsy and Reduces Clinical Risk in Dermatology. Dermatopathology 2023, 10, 153–167. [Google Scholar] [CrossRef] [PubMed]
- Price, P.M.; Ganugapati, U.; Gatalica, Z.; Kakadekar, A.; Macpherson, J.; Quenneville, L.; Rees, H.; Slodkowska, E.; Suresh, J.; Hon, Y.D.; et al. Reinventing Nuclear Histo-score Utilizing Inherent Morphologic Cutoffs: Blue-brown Color H-score (BBC-HS). Appl. Immunohistochem. Mol. Morphol. 2023, 31, 500–506. [Google Scholar] [CrossRef] [PubMed]
- Tinca, A.C.; Szoke, A.R.; Lazar, B.A.; Szász, E.A.; Tomuț, A.N.; Sabău, A.H.; Cocuz, I.-G.; Cotoi, T.-C.; Niculescu, R.; Chiorean, D.M.; et al. H-VISTA Immunohistochemistry Score Is Associated with Advanced Stages in Cutaneous and Ocular Melanoma. Int. J. Mol. Sci. 2024, 25, 4335. [Google Scholar] [CrossRef] [PubMed]
- Ram, S.; Vizcarra, P.; Whalen, P.; Deng, S.; Painter, C.L.; Jackson-Fisher, A.; Pirie-Shepherd, S.; Xia, X.; Powell, E.L. Pixelwise H-score: A novel digital image analysis-based metric to quantify membrane biomarker expression from immunohistochemistry images. PLoS ONE 2021, 16, e0245638. [Google Scholar] [CrossRef] [PubMed]


| Path A | Path B | Path C | Path D | Path E | Average | Range | Original Dx | |
|---|---|---|---|---|---|---|---|---|
| Case 1 | 4 | 1 | 3 | 2 | 2 | 2.4 | 3 | Melanoma in situ |
| Case 2 | 3 | 2 | 2 | 2 | 3 | 2.4 | 1 | Melanoma in situ |
| Case 3 | 4 | 4 | 4 | 4 | 4 | 4 | 0 | Melanoma |
| Case 4 | 2 | 2 | 2 | 1 | 1 | 1.6 | 1 | Nevus |
| Case 5 | 2 | 3 | 1 | 1 | 3 | 2 | 2 | Nevus |
| Case 6 | 3 | 2 | 3 | 2 | 4 | 2.8 | 2 | Nevus |
| Case 7 | 2 | 2 | 3 | 1 | 1 | 1.8 | 2 | Melanoma in situ |
| Case 8 | 4 | 4 | 3 | 2 | 1 | 2.8 | 3 | Nevus |
| Case 9 | 2 | 3 | 4 | 2 | 4 | 3 | 2 | Melanoma in situ |
| Case 10 | 2 | 3 | 2 | 2 | 4 | 2.6 | 2 | Nevus |
| Case 11 | 2 | 3 | 2 | 1 | 4 | 2.4 | 3 | Melanoma |
| Case 12 | 4 | 2 | 1 | 2 | 1 | 2 | 3 | Melanoma |
| Case 13 | 4 | 4 | 4 | 4 | 4 | 4 | 0 | Melanoma in situ |
| Case 14 | 3 | 4 | 2 | 1 | 1 | 2.2 | 3 | Nevus |
| Case 15 | 2 | 4 | 3 | 3 | 4 | 3.2 | 2 | Melanoma |
| Case 16 | 4 | 2 | 3 | 1 | 1 | 2.2 | 3 | Nevus |
| Case 17 | 2 | 1 | 2 | 1 | 1 | 1.4 | 1 | Nevus |
| Case 18 | 4 | 1 | 1 | 1 | 1 | 1.6 | 3 | Nevus |
| Case 19 | 3 | 1 | 3 | 1 | 1 | 1.8 | 2 | Nevus |
| Case 20 | 3 | 1 | 3 | 1 | 1 | 1.8 | 2 | Melanoma |
| Case 21 | 4 | 4 | 4 | 4 | 4 | 4 | 0 | Nevus |
| Path A | Path B | Path C | Path D | Path E | Average | Range | |
|---|---|---|---|---|---|---|---|
| Case 1 | 80 | 20 | 65 | 40 | 40 | 49 | 60 |
| Case 2 | 60 | 50 | 40 | 30 | 70 | 50 | 40 |
| Case 3 | 80 | 80 | 95 | 80 | 95 | 86 | 15 |
| Case 4 | 70 | 30 | 40 | 20 | 10 | 34 | 60 |
| Case 5 | 60 | 65 | 20 | 20 | 60 | 45 | 45 |
| Case 6 | 70 | 40 | 70 | 50 | 90 | 64 | 50 |
| Case 7 | 60 | 45 | 65 | 20 | 10 | 40 | 55 |
| Case 8 | 80 | 75 | 65 | 40 | 20 | 56 | 60 |
| Case 9 | 40 | 65 | 95 | 40 | 90 | 66 | 55 |
| Case 10 | 60 | 70 | 20 | 30 | 90 | 54 | 70 |
| Case 11 | 0 | 55 | 25 | 30 | 90 | 40 | 90 |
| Case 12 | 90 | 40 | 10 | 40 | 20 | 40 | 80 |
| Case 13 | 80 | 95 | 95 | 90 | 95 | 91 | 15 |
| Case 14 | 60 | 80 | 60 | 20 | 20 | 48 | 60 |
| Case 15 | 60 | 75 | 65 | 60 | 90 | 70 | 30 |
| Case 16 | 90 | 30 | 0 | 20 | 5 | 29 | 90 |
| Case 17 | 50 | 15 | 50 | 5 | 5 | 25 | 45 |
| Case 18 | 80 | 25 | 20 | 25 | 20 | 34 | 60 |
| Case 19 | 70 | 20 | 75 | 10 | 25 | 40 | 65 |
| Case 20 | 50 | 15 | 75 | 25 | 20 | 37 | 60 |
| Case 21 | 80 | 80 | 95 | 80 | 85 | 84 | 15 |
| Path A | Path B | Path C | Path D | Path E | Average | Range | |
|---|---|---|---|---|---|---|---|
| Case 1 | 190 | 60 | 190 | 90 | 110 | 128 | 130 |
| Case 2 | 130 | 150 | 110 | 60 | 200 | 130 | 140 |
| Case 3 | 210 | 240 | 285 | 210 | 290 | 247 | 80 |
| Case 4 | 130 | 70 | 90 | 30 | 10 | 66 | 120 |
| Case 5 | 130 | 145 | 35 | 30 | 170 | 102 | 140 |
| Case 6 | 160 | 100 | 180 | 80 | 260 | 156 | 180 |
| Case 7 | 160 | 125 | 115 | 42 | 20 | 92.4 | 140 |
| Case 8 | 150 | 200 | 125 | 70 | 20 | 113 | 180 |
| Case 9 | 110 | 190 | 280 | 60 | 260 | 180 | 220 |
| Case 10 | 120 | 120 | 110 | 60 | 270 | 136 | 210 |
| Case 11 | 110 | 165 | 75 | 75 | 270 | 139 | 195 |
| Case 12 | 120 | 65 | 10 | 60 | 100 | 71 | 110 |
| Case 13 | 220 | 285 | 290 | 270 | 285 | 270 | 70 |
| Case 14 | 170 | 240 | 155 | 50 | 120 | 147 | 190 |
| Case 15 | 150 | 225 | 195 | 150 | 270 | 198 | 120 |
| Case 16 | 200 | 90 | 170 | 42 | 10 | 102.4 | 190 |
| Case 17 | 140 | 45 | 170 | 10 | 10 | 75 | 160 |
| Case 18 | 210 | 75 | 50 | 50 | 60 | 89 | 160 |
| Case 19 | 170 | 60 | 225 | 50 | 75 | 116 | 175 |
| Case 20 | 130 | 45 | 230 | 55 | 60 | 104 | 185 |
| Case 21 | 230 | 240 | 290 | 230 | 255 | 249 | 60 |
| Descriptive Language | # of Uses | Pathologist(s) | PRAME Score(s) |
|---|---|---|---|
| Positive | 21 | A, B, E | 4+ |
| Diffuse strong positive | 3 | C | 4+ |
| Strongly and diffusely positive in lesional melanocytes | 3 | D | 4+ |
| Weakly positive in the majority of lesional cells | 1 | A | 4+ |
| Diffuse strong intensity positive staining in the junctional melanocytes; Negative in dermal melanocytes | 1 | C | 4+ |
| Negative | 22 | A, D, E | 3+, 2+, 1+ |
| Patchy | 12 | B | 3+, 2+, 1+ |
| Non-diffuse | 6 | C | 3+, 2+ |
| Positive in scattered lesional cells, interpreted as overall negative | 5 | A | 3+, 2+ |
| Indeterminate, or other | 3 | D, E | 3+, 1+ |
| Non-diffuse moderate to strong intensity staining in the majority of the junctional melanocytes | 4 | C | 3+ |
| Patchy (positive in epidermal) | 2 | B | 3+ |
| Diffuse positive strong intensity staining in the majority of the junctional melanocytes | 1 | C | 3+ |
| Strong intensity, near diffuse positive staining | 1 | C | 3+ |
| Weak, patchy staining in a minor subset of lesional melanocytes (<75%) | 10 | D | 2+, 1+ |
| Patchy positivity in a minor subset of lesional melanocytes (<75%) | 4 | D | 2+, 1+ |
| Strong positive in a subset of junctional melanocytes, weak to negative in dermal melanocytes, suggestive of MIS with nevus | 2 | C | 2+ |
| Very focally positive | 1 | B | 1+ |
| Focal non-diffuse | 1 | C | 1+ |
| Focal weak intensity staining (negative) | 1 | C | 1+ |
| (Non-diffuse) patchy staining in a minority of junctional melanocytes | 1 | C | 1+ |
Disclaimer/Publisher’s Note: The statements, opinions and data contained in all publications are solely those of the individual author(s) and contributor(s) and not of MDPI and/or the editor(s). MDPI and/or the editor(s) disclaim responsibility for any injury to people or property resulting from any ideas, methods, instructions or products referred to in the content. |
© 2025 by the authors. Published by MDPI on behalf of the European Society of Dermatopathology. Licensee MDPI, Basel, Switzerland. This article is an open access article distributed under the terms and conditions of the Creative Commons Attribution (CC BY) license.
Share and Cite
Sullivan, C.M.; DiMaio, D.; Lauer, S.; Pradhan, D.; Youngs, J.; Samson, K.; Georgesen, C.J. The Need for Standardization of PRAME Immunohistochemistry in Melanocytic Neoplasms. Dermatopathology 2026, 13, 5. https://doi.org/10.3390/dermatopathology13010005
Sullivan CM, DiMaio D, Lauer S, Pradhan D, Youngs J, Samson K, Georgesen CJ. The Need for Standardization of PRAME Immunohistochemistry in Melanocytic Neoplasms. Dermatopathology. 2026; 13(1):5. https://doi.org/10.3390/dermatopathology13010005
Chicago/Turabian StyleSullivan, Calla M., Dominick DiMaio, Scott Lauer, Dinesh Pradhan, Julie Youngs, Kaeli Samson, and Corey J. Georgesen. 2026. "The Need for Standardization of PRAME Immunohistochemistry in Melanocytic Neoplasms" Dermatopathology 13, no. 1: 5. https://doi.org/10.3390/dermatopathology13010005
APA StyleSullivan, C. M., DiMaio, D., Lauer, S., Pradhan, D., Youngs, J., Samson, K., & Georgesen, C. J. (2026). The Need for Standardization of PRAME Immunohistochemistry in Melanocytic Neoplasms. Dermatopathology, 13(1), 5. https://doi.org/10.3390/dermatopathology13010005

