Sign in to use this feature.

Years

Between: -

Subjects

remove_circle_outline
remove_circle_outline
remove_circle_outline
remove_circle_outline
remove_circle_outline
remove_circle_outline
remove_circle_outline
remove_circle_outline
remove_circle_outline

Journals

remove_circle_outline
remove_circle_outline
remove_circle_outline
remove_circle_outline
remove_circle_outline
remove_circle_outline
remove_circle_outline
remove_circle_outline
remove_circle_outline
remove_circle_outline
remove_circle_outline
remove_circle_outline
remove_circle_outline
remove_circle_outline
remove_circle_outline
remove_circle_outline
remove_circle_outline
remove_circle_outline
remove_circle_outline
remove_circle_outline
remove_circle_outline
remove_circle_outline
remove_circle_outline
remove_circle_outline
remove_circle_outline
remove_circle_outline

Article Types

Countries / Regions

remove_circle_outline
remove_circle_outline
remove_circle_outline
remove_circle_outline
remove_circle_outline
remove_circle_outline
remove_circle_outline
remove_circle_outline

Search Results (2,618)

Search Parameters:
Keywords = left area

Order results
Result details
Results per page
Select all
Export citation of selected articles as:
7 pages, 724 KB  
Case Report
Deeply Pigmented Reticulated Acanthoma with Sebaceous Differentiation Mimicking Cutaneous Malignancy: A Case Report and Review of the Literature
by Padol Chamninawakul, Xiaotian Wu and Joyce S. S. Lee
Dermatopathology 2026, 13(1), 4; https://doi.org/10.3390/dermatopathology13010004 (registering DOI) - 30 Dec 2025
Abstract
Reticulated acanthoma with sebaceous differentiation (RASD) is a rare, benign cutaneous neoplasm. Its variable clinical presentation frequently mimics both benign and malignant entities, posing a significant diagnostic challenge. We report a case of pigmented RASD in a 78-year-old Malay male of Fitzpatrick skin [...] Read more.
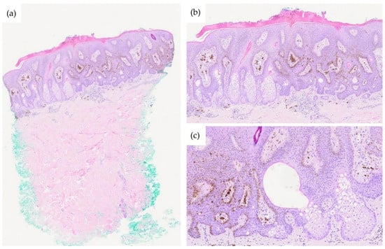
Reticulated acanthoma with sebaceous differentiation (RASD) is a rare, benign cutaneous neoplasm. Its variable clinical presentation frequently mimics both benign and malignant entities, posing a significant diagnostic challenge. We report a case of pigmented RASD in a 78-year-old Malay male of Fitzpatrick skin type IV who presented with a 5-year history of an 8 × 5 mm deeply pigmented, asymmetrical nodule on the left upper back, with a 2 mm central raised area showing less pigmentation. The lesion was clinically suspicious for malignant melanoma. Histopathological examination revealed characteristic features of RASD: a broad, plate-like, reticulated and pigmented epidermal proliferation with clusters of mature sebocytes at the bases of anastomosing rete ridges. Following biopsy confirmation, the residual lesion is being managed conservatively with observation. This case demonstrates an unusual heavily pigmented clinical presentation that completely obscured the typical yellowish hue associated with sebaceous differentiation, highlighting pigmented RASD as an important diagnostic pitfall in patients with skin of color. In conclusion, RASD should be included in the differential diagnosis of pigmented cutaneous lesions, especially in patients with skin of color. Recognition of this benign entity can prevent unnecessary aggressive surgical intervention. Full article
Show Figures

Figure 1

16 pages, 504 KB  
Article
The Clinical Safety and Efficacy of Sodium Channel Blocker Therapy for Rhythm Control in Atrial Fibrillation: Insights from the REGUEIFA Registry
by Javier García-Seara, Laila González Melchor, María Vázquez Caamaño, Emilio Fernández-Obanza Windcheid, Raquel Marzoa, Miriam Piñeiro Portela, Eva González Babarro, Pilar Cabanas Grandío, Olga Durán Bobín, Óscar Prada Delgado, Juliana Elices Teja, Evaristo Freire, Mario Gutiérrez Feijoo, Javier Muñiz, Francisco Gude, Carlos Minguito Carazo, Eduardo Barge-Caballero and Carlos González-Juanatey
Med. Sci. 2026, 14(1), 16; https://doi.org/10.3390/medsci14010016 (registering DOI) - 30 Dec 2025
Abstract
Background: The aim of this study is to assess the safety of sodium channel blocker (SCB) therapy in patients with atrial fibrillation (AF). Methods: The REGUEIFA registry is a prospective, observational, multicenter registry from a Community Health Area in Spain that recruited patients [...] Read more.
Background: The aim of this study is to assess the safety of sodium channel blocker (SCB) therapy in patients with atrial fibrillation (AF). Methods: The REGUEIFA registry is a prospective, observational, multicenter registry from a Community Health Area in Spain that recruited patients with AF, whom it followed for 2 years. Results: From the 997 patients, 632 were assigned to a rhythm control strategy and analyzed. Patients exposed to SCBs demonstrated a risk ratio (RR) of 0.38 (95% CI: 0.18–0.79; p = 0.007) for worsening heart failure (HF), and 0.40 (95% CI: 0.21–0.78; p = 0.005) for the composite endpoint (death, ischemic stroke, or worsening HF), with no significant differences in all-cause mortality, cardiovascular (CV) mortality, ischemic stroke, or bleeding compared with patients not exposed to SCBs. In the subgroup of patients with structural heart disease, no differences were observed between those exposed and those not exposed to SCBs across all the clinical outcomes analyzed (all-cause mortality, CV mortality, ischemic stroke, bleeding and composite event). However, a lower event trend was observed across all these variables. The rate of sinus rhythm at 2 years follow-up was significantly higher in the SCB group (81.8% vs. 63.9%; p < 0.001). During Cox regression analysis for all-cause mortality, SCB exposure was not identified as an independent factor (HR: 0.82; 95% CI 0.17–3.87; p = 0.802). Age (HR: 1.10; 95% CI: 1.04–1.17; p < 0.001) and HF (HR: 4.23; 95% CI: 1.63–11.00; p = 0.003) were the only predictors of mortality. Conclusions: SCB therapy appears to be safe and effective, both in the overall cohort and in the patient subgroup with AF and structural heart disease. These agents may play a role in AF management in patients with revascularized coronary heart disease, left ventricular hypertrophy, and HF with preserved left ventricular ejection fraction. Full article
Show Figures

Graphical abstract

15 pages, 524 KB  
Article
Conduction System Pacing Improved Cardiac Functions, Myocardial Work and Functional Capacity in Heart Failure with Reduced Ejection Fraction and Right Bundle Branch Block
by Anna Zsófia Tóth, László Nagy, Csaba Jenei, Arnold Péter Ráduly, Gábor Sándorfi, Krisztina Mária Szabó, Alexandra Kiss, László Tibor Nagy, Gergő István Szilágyi and Zoltán Csanádi
J. Clin. Med. 2026, 15(1), 232; https://doi.org/10.3390/jcm15010232 (registering DOI) - 27 Dec 2025
Viewed by 116
Abstract
Background/Objectives: Conduction system pacing (CSP) is a potential alternative to biventricular pacing (BVP) in heart failure with reduced ejection fraction (HFrEF) and left bundle branch block (LBBB) or non-LBBB. Available data also suggest that unlike BVP, CSP may improve clinical outcome in patients [...] Read more.
Background/Objectives: Conduction system pacing (CSP) is a potential alternative to biventricular pacing (BVP) in heart failure with reduced ejection fraction (HFrEF) and left bundle branch block (LBBB) or non-LBBB. Available data also suggest that unlike BVP, CSP may improve clinical outcome in patients with right bundle branch block (RBBB), although its effects on cardiac mechanics and energetics are ill-defined. Herein, we report on echocardiographic and clinical outcomes of CSP in this patient cohort. Methods: CSP either with His bundle pacing or LBB area pacing was attempted as a primary strategy in patients with RBBB, QRS duration ≥ 130 ms, LVEF < 35% and NYHA II-IV symptoms after optimized medical therapy for 6 months. Data on functional status, NT-proBNP and echocardiographic parameters were collected at baseline and 6 months after CSP. Results: CSP performed in 16 patients reduced QRS duration from 155.3 ± 12.8 ms to 130 ± 16.5 ms (p < 0.001), increased LVEF from 27 ± 7% to 33 ± 9% (p = 0.01), improved LV global longitudinal strain from −7 ± 3% to −10 ± 4% (p = 0.004) and improved LV peak strain dispersion from 126 ± 28 ms to 96 ± 23 ms (p = 0.004). Global myocardial work index increased from 582 ± 277 mmHg% to 840 ± 306 mmHg% (p = 0.003), as did global constructive work (900 ± 374 mmHg% to 1203 ± 393 mmHg%; p = 0.006) and global work efficiency (from 71 ± 7% to 77 ± 8%; p = 0.004). NYHA class (12.5% with NYHA II, 87.5% with NYHA III before vs. 25% with NYHA I, 50% with NYHA II and 25% with NYHA III at 6 months; p = 0.002) and 6 min walk distance (from 354 ± 88 m to 411 ± 95 m; p = 0.003) improved, while NT-proBNP decreased (from 4093 ± 7215 ng/L to 2087 ± 2872 ng/L, p = 0.003). Conclusions: CSP improved functional capacity and echocardiographic parameters related to cardiac functions and myocardial work in HFrEF patients with RBBB. Nevertheless, these results await further confirmation by large-scale, multi-center randomized trials. Full article
(This article belongs to the Special Issue Advances in Arrhythmia Diagnosis and Management)
Show Figures

Figure 1

16 pages, 1753 KB  
Article
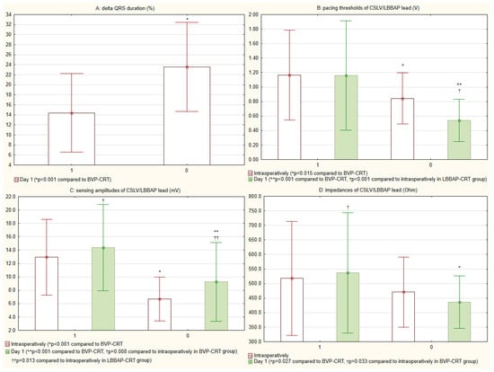
Left Bundle Branch Area Pacing in Cardiac Resynchronization Therapy: How Does It Compare to Biventricular Pacing in Terms of Electrocardiographic Parameters and Procedural Outcomes?
by Tariel Atabekov, Sergey Krivolapov, Roman Batalov and Sergey Popov
J. Clin. Med. 2026, 15(1), 200; https://doi.org/10.3390/jcm15010200 - 26 Dec 2025
Viewed by 68
Abstract
Background/Objectives: Biventricular pacing (BVP) to deliver cardiac resynchronization therapy (CRT) is a standard intervention for heart failure, yet suboptimal response remains common due to challenges in left ventricular (LV) lead placement. Left bundle branch area pacing (LBBAP) has emerged as a promising [...] Read more.
Background/Objectives: Biventricular pacing (BVP) to deliver cardiac resynchronization therapy (CRT) is a standard intervention for heart failure, yet suboptimal response remains common due to challenges in left ventricular (LV) lead placement. Left bundle branch area pacing (LBBAP) has emerged as a promising alternative, offering physiological activation via direct conduction system engagement. However, comparative data on electrocardiographic (ECG) and procedural outcomes between LBBAP-CRT and BVP-CRT are limited. Methods: This retrospective, single-center study compared LBBAP-CRT and BVP-CRT in 114 patients with left bundle branch block and LV ejection fraction ≤ 35%. LBBAP-CRT was performed using a Medtronic SelectSecure™ 3830 lead via a fixed-curve sheath Medtronic C315HIS, with successful capture confirmed by ECG criteria (Qr/qR in V1, LV activation time < 100 ms). BVP-CRT involved coronary sinus LV lead placement. Outcomes included QRS duration, pacing thresholds, complications, and procedural metrics. Statistical analysis employed logistic regression to identify predictors of optimal pacing thresholds (≤1.0 V at 0.5 ms). Results: LBBAP-CRT yielded greater degree of QRS narrowing than BVP-CRT (136.7 ± 13.5 ms vs. 147.2 ± 14.6 ms, p < 0.001) and lower pacing thresholds (p < 0.05). Complications occurred in 18.1% of BVP-CRT patients (phrenic nerve stimulation, lead dislocation) versus none in LBBAP-CRT (p = 0.011). According to the multivariable analysis LBBAP-CRT was associated with an optimal thresholds (p = 0.007), alongside lower E/e′ ratio and lead impedance. Conclusions: LBBAP-CRT was associated with superior electrical resynchronization, fewer complications, and better pacing thresholds compared to BVP, suggesting its potential as a preferred CRT strategy. Larger randomized trials are needed to validate long-term outcomes. Full article
Show Figures

Figure 1

13 pages, 1801 KB  
Case Report
A Ruptured Tri-Lobulated ICA–PCom Aneurysm Presenting with Preserved Neurological Function: Case Report and Clinical–Anatomical Analysis
by Stefan Oprea, Cosmin Pantu, Alexandru Breazu, Octavian Munteanu, Adrian Vasile Dumitru, Mugurel Petrinel Radoi, Daniel Costea and Andra Ioana Baloiu
Diagnostics 2026, 16(1), 73; https://doi.org/10.3390/diagnostics16010073 - 25 Dec 2025
Viewed by 134
Abstract
Background and Clinical Significance: Although rupture of aneurysms at the internal carotid-posterior communicating artery (ICA-PCom) junction accounts for a small percentage of all ruptured intracranial aneurysms, they are clinically relevant due to their proximity to perforator-rich cisterns, the optic-carotid-oculomotor pathways and flow-diverting zones, [...] Read more.
Background and Clinical Significance: Although rupture of aneurysms at the internal carotid-posterior communicating artery (ICA-PCom) junction accounts for a small percentage of all ruptured intracranial aneurysms, they are clinically relevant due to their proximity to perforator-rich cisterns, the optic-carotid-oculomotor pathways and flow-diverting zones, as well as their high likelihood for causing early neurological instability. Additionally, ruptured ICA-PCom aneurysms that have multiple lobulations are associated with increased variability in wall shear stress, local inflammatory remodeling and higher propensity for rupture at smaller sizes compared to other types of aneurysms. Due to the rapidity of early physiological destabilization in most patients with ruptured ICA-PCom aneurysms, clinical–anatomical correlations in these cases are often obscured by neurological deterioration; therefore, the presentation of this patient provides a unique opportunity to correlate the minimal early symptoms, tri-lobulation of the aneurysm and confined cisternal hemorrhage, to better understand rupture behavior, surgical decision-making in an anatomically challenging area, and postoperative recovery. Case Presentation: A 48-year-old hypertensive female experienced an acute “thunderclap” headache accompanied by intense photophobia and focal meningeal irritation, but, unexpectedly, retained a normal neurologic examination. She did exhibit some minor ocular motor micro-latencies, early cortical attentional strain and lateralized pain sensation that suggested localized cisternal involvement despite lack of generalized neurologic impairment. Digital subtraction angiography and three-dimensional CT angiography revealed a ruptured, tri-lobulated aneurysm originating from the communicating portion of the left internal carotid artery proximal to its origin from the posterior communicating artery, oriented toward the perimesencephalic cisterns. The aneurysm was surgically clipped using a standard left pterional craniotomy with direct visualization, after careful dissection through the carotid and optic windows to preserve the anterior choroidal artery, oculomotor nerve, and surrounding perforators. The neck of the aneurysm was reconstructed with a single straight clip, without compromise to the parent vessel lumen. The patient had an uneventful postoperative course without vasospasm or neurologic deficit. At both 3 and 9 months postoperatively the patient remained free of clinical neurologic deficit, and imaging demonstrated continued aneurysm exclusion, preserved ICA-PCom anatomy, and no evidence of delayed ischemic injury or hydrocephalus. Conclusions: The goal of this report is to demonstrate how a ruptured, morphologically complex ICA-PCom aneurysm may present with preserved neurologic function, thereby enabling the study of clinical–anatomical associations before secondary injury mechanisms intervene. The relationship between the configuration of the patient’s symptoms, geometry of the aneurysm and pattern of hemorrhage within the cisterns offers insight into a rare rupture pattern observed during routine clinical experience. Through complete anatomical analysis, timely microsurgical reconstruction and consistent follow-up, the authors were able to achieve long-term recovery of this particular patient. Continued advancements in vascular imaging techniques, aneurysmal wall modeling, and postoperative monitoring will likely help clarify the underlying mechanism(s) responsible for such presentations. Full article
(This article belongs to the Special Issue Cerebrovascular Lesions: Diagnosis and Management, 2nd Edition)
Show Figures

Figure 1

28 pages, 4191 KB  
Article
The Role of Aluminum-Based Compounds as Buffer Materials in Deep and Symmetric Geological Repositories: Experimental and Modeling Studies
by Esra Güneri and Selin Baş
Symmetry 2026, 18(1), 35; https://doi.org/10.3390/sym18010035 - 24 Dec 2025
Viewed by 158
Abstract
Depending on the factors to which the soils are exposed, many properties and engineering parameters may change. In particular, the temperature parameter affects the strength of the soils, the degree of compressibility, permeability, void ratio, Atterberg limits, and many other parameters. In areas [...] Read more.
Depending on the factors to which the soils are exposed, many properties and engineering parameters may change. In particular, the temperature parameter affects the strength of the soils, the degree of compressibility, permeability, void ratio, Atterberg limits, and many other parameters. In areas where high temperatures occur, such as heat piles and nuclear waste storage areas, alternative soil mixtures are needed that can stabilize or better optimize the behavior of the soils. For this purpose, additives with high heat transfer capacity and symmetry can be used. In this study, aluminum additive, which is known to have high conductivity, was used together with zeolite–bentonite mixtures. Aluminum-added mixtures were kept at different temperatures, and their thermal conductivity values were measured at the end of different periods. Measurements were first carried out at room temperature for all mixtures. Then, measurements were repeated at the end of 1, 3, and 10 days for 55 °C and 80 °C temperature values. At the end of the heating periods, the samples were left to cool to room temperature, and the thermal conductivity values were examined at the end of the heating–cooling cycle. Experimental results showed that thermal conductivity increased as temperature increased when the same period was taken as a basis, but an increase was observed for 1 and 3 day heating periods, while the thermal conductivity values for the 10th day decreased. The initial increase is attributed to the densification of the material due to the removal of free and weakly bound water or to the improvement of solid–solid contact paths. The subsequent decrease is due to microstructural deterioration, such as increased air-filled porosity, drying shrinkage, and microcracking due to thermal stresses, and material degradation caused by prolonged heating. In addition, thermal conductivity values of the mixtures under high temperature were estimated for days 100 and 365 using the DeepSeek method. The results showed that the thermal conductivity coefficients symmetrically decreased with increasing time. Full article
(This article belongs to the Section Engineering and Materials)
Show Figures

Figure 1

22 pages, 1807 KB  
Article
Quantification of Cardiovascular Disease Risk Among Hypertensive Subjects in Active Romanian Population Using New Echocardiographic, Biological and Atherogenic Markers
by Calin Daniel Popa, Rodica Dan, Iosef Haidar, Cristina Popescu, Roxana Dan, Tabita Popa and Lucian Petrescu
Medicina 2026, 62(1), 32; https://doi.org/10.3390/medicina62010032 - 24 Dec 2025
Viewed by 191
Abstract
Background and Objectives: The objective of this study is to assess the efficacy of a novel software risk score, PulsIn, in predicting cardiovascular diseases within an independent study conducted on subjects from the western region of Romania. Accurate prediction of cardiovascular events in [...] Read more.
Background and Objectives: The objective of this study is to assess the efficacy of a novel software risk score, PulsIn, in predicting cardiovascular diseases within an independent study conducted on subjects from the western region of Romania. Accurate prediction of cardiovascular events in hypertensive patients remains challenging when relying solely on traditional risk scores. This study proposes PulsIn, a composite risk score that integrates classical, echocardiographic, inflammatory, renal, and metabolic markers, combined with machine learning, to refine cardiovascular risk stratification. Materials and Methods: In a prospective cohort of 300 hypertensive adults without prior major cardiovascular events, we collected demographic and clinical data, standard risk factors, laboratory biomarkers (including homocysteine, paraoxonase-1 activity, microalbuminuria, and lipid profile), and advanced echocardiographic parameters (3D left ventricular ejection fraction, diastolic function, global longitudinal strain, and left atrial strain). PulsIn was constructed as an extended composite score and used as input to machine learning models (random forest, XGBoost, and other tree-based algorithms) to predict incident major cardiovascular events. Model performance was assessed by receiver operating characteristic curves, discrimination, calibration, and feature importance and compared with established risk scores (SCORE2, Framingham, QRISK, and others). Results: PulsIn-based models showed improved predictive performance compared with traditional scores, with XGBoost and random forest achieving area under the curve values up to approximately 0.85–0.88, versus 0.60–0.78 for conventional scores. Echocardiographic indices of subclinical cardiac damage, microalbuminuria, homocysteine, and paraoxonase-1 activity emerged as key predictors, particularly enhancing reclassification in patients at intermediate risk by traditional tools. Conclusions: The PulsIn composite risk score, integrating multimodal clinical, echocardiographic, and biomarker data within a machine learning framework, offers more accurate cardiovascular risk prediction than conventional algorithms in hypertensive patients. External validation in larger, independent, and more diverse populations is required before routine clinical implementation. Full article
(This article belongs to the Special Issue New Insights into Heart Failure)
Show Figures

Figure 1

33 pages, 7028 KB  
Article
Semantic-Vertex-Based Topological Detection for Automatic Dimension Generation in Building Information Modeling (BIM) with Industry Foundation Classes (IFC)
by Jaeho Cho
Appl. Sci. 2026, 16(1), 139; https://doi.org/10.3390/app16010139 - 22 Dec 2025
Viewed by 140
Abstract
In this study, a topological matching algorithm is introduced for semantic vertex detection to automate dimension generation in a building information modeling (BIM) environment based on the Industry Foundation Classes (IFC) standard. Conventional IFC-based quantity take-off (QTO) methods provide only standardized attributes, such [...] Read more.
In this study, a topological matching algorithm is introduced for semantic vertex detection to automate dimension generation in a building information modeling (BIM) environment based on the Industry Foundation Classes (IFC) standard. Conventional IFC-based quantity take-off (QTO) methods provide only standardized attributes, such as height, length, width, and area; therefore, user-defined custom dimensions—such as net opening sizes or parameter lengths—must be calculated manually. This study proposes a method for fully automating the dimensions required by users by automatically tagging and visualizing semantic vertices for geometrically identical IFC objects. These semantic vertices correspond to representative topological feature points (e.g., left–bottom–origin, left–top–front, left–bottom–back, and right–bottom–front). Based on these defined semantic vertices, the method automatically establishes vertex correspondence among objects to generate dimensions. The proposed workflow comprises four main stages: (1) geometry normalization of IFC objects, (2) semantic vertex definition, (3) automatic detection of semantic vertices, and (4) dimension generation and visualization. The experimental results demonstrate that the proposed approach successfully enables the computation of dimensions for geometrically identical objects, thereby significantly improving the efficiency of QTO processes. Full article
Show Figures

Figure 1

13 pages, 2737 KB  
Case Report
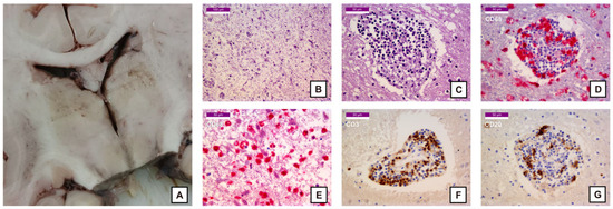
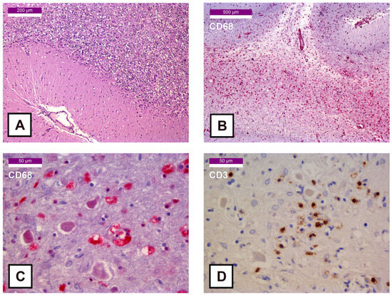
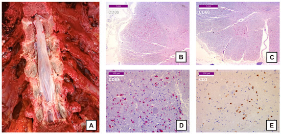
Fatal West Nile Encephalomyelitis in a Young Woman with Hypoparathyroidism and Sjögren’s Syndrome. Molecular Insights into Viral Neuro-Invasivity
by Pasquale Padalino, Laura Secco, Eva Grosso, Giorgia Franchetti, Stefano Palumbi, Renzo Giordano and Guido Viel
Int. J. Mol. Sci. 2026, 27(1), 104; https://doi.org/10.3390/ijms27010104 - 22 Dec 2025
Viewed by 127
Abstract
West Nile virus (WNV) is an arthropod-borne flavivirus first identified in 1937. Over time, WNV has spread globally and is now endemic in Italy. Although most human WNV infections are asymptomatic (80%), less than 1% progress to a neuroinvasive disease with high mortality [...] Read more.
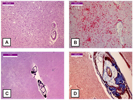
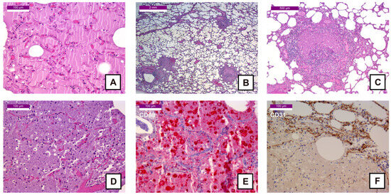
West Nile virus (WNV) is an arthropod-borne flavivirus first identified in 1937. Over time, WNV has spread globally and is now endemic in Italy. Although most human WNV infections are asymptomatic (80%), less than 1% progress to a neuroinvasive disease with high mortality rates. This case involves a 45-year-old woman with post-surgical hypoparathyroidism and Sjögren’s syndrome who developed severe encephalomyelitis linked to WNV, leading to ventilator-associated pneumonia and death. Neuropathological findings revealed a bilaterally cribriform thalamus and reddish punctate lesions near the dentate nucleus of the cerebellum. The trachea and bronchial hilum branches contained whitish foamy liquid. The left lung showed multiple brownish-violet areas, with whitish regions at dissection. The heart appeared unremarkable. A detailed neuropathological examination focused on areas involved in motor control pathways. Tissue samples were stained with hematoxylin and eosin and trichrome techniques, and immunohistochemistry was performed using CD68, CD3, and CD20. A significant damage was observed in the lenticular nucleus and motor thalamus, with prominent concentric vascular calcifications. The cerebellar cortex showed near-total depletion of Purkinje cells. In the spinal cord, CD68 and CD3 positivity was noted in the lateral funiculi, anterior horns, and Clarke’s column. Lung findings showed pulmonary edema, chronic emphysema, and bronchopneumonia. The observed CD3 and CD68 positivity confirms that WNV spreads trans-synaptically along motor control pathways. We speculate on the potential molecular mechanisms by which hypoparathyroidism and Sjögren’s syndrome may have played a role in the neuroinvasive progression of the disease. Full article
(This article belongs to the Special Issue Molecular Forensics at Trial)
Show Figures

Figure 1

11 pages, 3297 KB  
Case Report
A Case Report of Discoid Lupus Erythematosus Mimicking Skin Infection
by Zhenya Stoyanova, Elitsa Hinkova, Filka Georgieva, Hristo Popov and George Stoyanov
Reports 2026, 9(1), 4; https://doi.org/10.3390/reports9010004 - 22 Dec 2025
Viewed by 217
Abstract
Background and Clinical Significance: Cutaneous lupus erythematosus (CLE) is an autoimmune condition characterized by a wide range of cutaneous manifestations, classified into three major subtypes—chronic (CCLE), subacute (SCLE), and acute (ACLE)—based on clinical morphology and lesion duration. Discoid lupus erythematosus (DLE), the [...] Read more.
Background and Clinical Significance: Cutaneous lupus erythematosus (CLE) is an autoimmune condition characterized by a wide range of cutaneous manifestations, classified into three major subtypes—chronic (CCLE), subacute (SCLE), and acute (ACLE)—based on clinical morphology and lesion duration. Discoid lupus erythematosus (DLE), the most common form of CCLE, predominantly affects sun-exposed areas and presents as erythematous macules that progress to well-demarcated, disc-shaped plaques. If left untreated, DLE may lead to scarring and permanent alopecia. Diagnosis is primarily clinical, with skin biopsy performed when indicated. Management includes photoprotection and topical corticosteroids, with systemic immunosuppressive therapy reserved for severe cases. Case Presentation: We report a case of a 38-year-old female patient presenting with confluent lesions with indurated borders and multiple pustules, initially raising suspicion of cutaneous infection. A broad differential diagnosis was considered, including fungal and bacterial infections, demodicosis, and cutaneous tuberculosis, all of which were excluded through comprehensive clinical and laboratory investigations. Ultimately, DLE was diagnosed based on serologic and histopathologic findings. During the course of immunosuppressive therapy, her condition deteriorated, and she developed pulmonary tuberculosis. Conclusions: The presented case underlines the rarity and broad differential diagnosis of DLE as well as the possibility of complications. Full article
Show Figures

Figure 1

20 pages, 7063 KB  
Article
Effective Brain Connectivity Analysis During Endogenous Selective Attention Based on Granger Causality
by Walter Escalante Puente de la Vega and Alexander N. Pisarchik
Appl. Sci. 2026, 16(1), 101; https://doi.org/10.3390/app16010101 - 22 Dec 2025
Viewed by 416
Abstract
Endogenous selective attention, the cognitive process of selectively attending to non-literal, ambiguous, or multistable interpretations of sensory input, remains poorly understood at the network level. To address this gap, we applied Granger causality (GC) analysis to electroencephalographic (EEG) recordings to characterize effective connectivity [...] Read more.
Endogenous selective attention, the cognitive process of selectively attending to non-literal, ambiguous, or multistable interpretations of sensory input, remains poorly understood at the network level. To address this gap, we applied Granger causality (GC) analysis to electroencephalographic (EEG) recordings to characterize effective connectivity during sustained attention to ambiguous visual stimuli. Participants viewed the Necker cube, whose left and right faces were modulated at 6.67 Hz and 8.57 Hz, respectively, enabling objective tracking of perceptual dominance via steady-state visually evoked potentials (SSVEPs). GC analysis revealed robust directed connectivity between frontal and occipito-parietal areas during sustained perception of a specific cube orientation. We found that the magnitude of the GC-derived F-statistics correlated positively with attention performance indices during the left-face orientation task and negatively during the right-face orientation task, indicating that interregional causal influence scales with cognitive engagement in ambiguous interpretation. These results establish GC as a sensitive and reliable approach for characterizing dynamic, directional neural interactions during perceptual ambiguity, and, most notably, reveal, for the first time, an occipito-frontal effective connectivity architecture specifically recruited in support of endogenous selective attention. The methodology and findings hold translational potential for applications in neuroadaptive interfaces, cognitive diagnostics, and the study of disorders involving impaired symbolic processing. Full article
Show Figures

Figure 1

15 pages, 1332 KB  
Article
Sex Differences in Preoperative Risk Profiles and 1-Year Mortality Following Elective Cardiac Surgery: A Retrospective Single-Centre Cohort Study
by Caitlin Bozic, Magnus Strypet, Floor J. Mansvelder, Evert K. Jansen, Jennifer S. Breel, Henning Hermanns and Susanne Eberl
J. Clin. Med. 2026, 15(1), 59; https://doi.org/10.3390/jcm15010059 - 21 Dec 2025
Viewed by 209
Abstract
Background: Sex-related differences in outcomes following cardiac surgery are well documented, with females generally experiencing higher postoperative mortality rates than males. However, the underlying factors driving this disparity remain incompletely understood. This study aimed to compare the preoperative risk characteristics of female and [...] Read more.
Background: Sex-related differences in outcomes following cardiac surgery are well documented, with females generally experiencing higher postoperative mortality rates than males. However, the underlying factors driving this disparity remain incompletely understood. This study aimed to compare the preoperative risk characteristics of female and male patients who died within one year after elective cardiac surgery with those who survived, in order to identify sex-specific risk profiles associated with postoperative mortality. Methods: In this retrospective single-centre cohort study, data were derived from a prospective quality assurance database at Amsterdam University Medical Centres (Amsterdam UMC), The Netherlands, covering January 2001 to December 2020. All adult patients (≥18 years) undergoing elective cardiac surgery were included. Descriptive and comparative analyses were performed to characterise sex-specific preoperative differences between survivors and non-survivors. Results: The study cohort comprised 10,614 patients, including 2804 females (26%; median age 72 years [IQR 65–77]) and 7810 males (74%; median age 67 years [IQR 59–73]). In both sexes, non-survivors more frequently had major comorbidities, including atrial fibrillation, history of reoperation, pulmonary hypertension, chronic obstructive pulmonary disease, cerebrovascular disease, and kidney dysfunction. Within one year post-surgery, 143 (5.1%) females and 299 (3.8%) males had died. Among females, non-survivors within one year of surgery more frequently had several preoperative risk factors compared with survivors, including moderately impaired left ventricular function (16% vs. 11%), pulmonary hypertension (12% vs. 3%), extracardiac arteriopathy (25% vs. 9%), and kidney dysfunction (46% vs. 21%) dependent on the type of surgery (combined valve + coronary artery bypass grafting (CABG) (29% vs. 15%) or aortic surgery (14% vs. 4%)). In male patients, however, different risk factors such as higher age (median 73 years [IQR 66–77] vs. 67 [59–73]), lower Body Surface Area (mean 1.96 m2 (SD ± 0.19) vs. 2.02 ± 0.18), hypercholesterolaemia (35% vs. 44%), severely impaired left ventricular function (14% vs. 6%), myocardial infarction (31% vs. 22%), and type of surgery (aortic surgery (9% vs. 3%), or combined valve + CABG (22% vs. 12%)) were preoperative predictors of mortality compared to non-survivors. Conclusions: Our study demonstrates that one-year mortality following elective cardiac surgery is driven by distinct preoperative risk profiles in females and males. Recognising that mortality in females is associated with systemic disease and males by direct cardiac damage is a critical step toward developing more equitable, precise, and effective perioperative management strategies. Full article
(This article belongs to the Section General Surgery)
Show Figures

Figure 1

18 pages, 4883 KB  
Article
Study on Construction Mechanical Characteristics and Offset Optimization of Double Side Drift Method for Large-Span Tunnels in Argillaceous Soft Rock
by Wei He, Tengyu Wang, Yangyu Zhang and Feng Wang
Buildings 2026, 16(1), 23; https://doi.org/10.3390/buildings16010023 - 20 Dec 2025
Viewed by 196
Abstract
This study focuses on a large-span highway tunnel in argillaceous soft rock. Numerical simulations were conducted to investigate the mechanical characteristics of the tunnel, constructed using the Double Side Drift Method (DSDM), and the effects of the offset distance between drift faces. Subsequently, [...] Read more.
This study focuses on a large-span highway tunnel in argillaceous soft rock. Numerical simulations were conducted to investigate the mechanical characteristics of the tunnel, constructed using the Double Side Drift Method (DSDM), and the effects of the offset distance between drift faces. Subsequently, field monitoring was performed to analyze the deformation patterns of the primary support at typical cross-sections. The results indicate the following: (1) During DSDM construction in argillaceous soft rock, the crown settlement of the left drift is the largest, while that of the central drift is the smallest. The left and right drifts converge inward, whereas the central drift expands outward, resulting in overall inward convergence of the tunnel section, with the left drift exhibiting a larger convergence. The crown settlement and horizontal convergence induced by excavation of the upper benches of each drift are greater than those caused by the lower benches. (2) The stresses in the primary support increase rapidly after excavation of each segment and then tend to stabilize. The maximum tensile stress occurs at the left haunch, reaching 0.41 MPa, while the maximum compressive stress occurs at the left arch waist, reaching 14.56 MPa. After the tunnel excavation is completed and the section is enclosed, the stress on the left side is significantly higher than that on the right, indicating an eccentric stress state. The plastic zones in the surrounding rock exhibit a butterfly-shaped distribution, mainly concentrated at the haunches and arch springings on both sides. (3) As the offset distance decreases, the deformation of the primary support reduces, whereas the stress and the area of the surrounding rock plastic zones increase. When the offset distance is less than 15 m, both the stress in the primary support and the plastic zone area increase sharply, suggesting that the drift face offset distance should not be less than 15 m. (4) Field monitoring shows that the maximum cumulative crown settlement of the primary support reaches 30.2 mm, and the cumulative horizontal convergence of the section is 35.6 mm, both of which are below the reserved deformation allowance. Full article
Show Figures

Figure 1

14 pages, 577 KB  
Article
Serum Trimethylamine N-Oxide Levels Are Associated with Peripheral Artery Disease in Patients with Type 2 Diabetes Mellitus
by Cing-Yu Liang, Jer-Chuan Li, Chin-Hung Liu, Du-An Wu and Bang-Gee Hsu
Medicina 2025, 61(12), 2243; https://doi.org/10.3390/medicina61122243 - 18 Dec 2025
Viewed by 231
Abstract
Background and Objectives: Peripheral arterial disease (PAD), frequently observed in individuals with type 2 diabetes mellitus (T2DM), is associated with diminished life quality, increased cardiovascular risk, and higher mortality rates. Similarly, trimethylamine N-oxide (TMAO), a uremic toxin produced by gut microbiota, has [...] Read more.
Background and Objectives: Peripheral arterial disease (PAD), frequently observed in individuals with type 2 diabetes mellitus (T2DM), is associated with diminished life quality, increased cardiovascular risk, and higher mortality rates. Similarly, trimethylamine N-oxide (TMAO), a uremic toxin produced by gut microbiota, has been linked to hypertension, cardiovascular disease, and increased overall mortality. In this study, we aimed to investigate whether serum TMAO levels are related to PAD in T2DM cases. Materials and Methods: In this cross-sectional investigation performed at one medical center, 120 patients with type 2 diabetes mellitus (T2DM) were included. High-performance liquid chromatography–mass spectrometry and an automated oscillometric device were used to measure serum TMAO levels and ankle–brachial index (ABI) values, respectively. Individuals exhibiting an ABI of less than 0.9 were classified as belonging to the low-ABI group. Results: Of the 120 participants, 23 (19.2%) had low ABI. Compared with the normal-ABI group, the low-ABI group was older (p = 0.017) and exhibited higher levels of urine albumin-to-creatinine ratio (UACR, p < 0.001), C-reactive protein (CRP, p < 0.001), and TMAO (p < 0.001). After adjusting for age, UACR, and CRP, multivariable logistic regression analysis identified serum TMAO concentration as an independent predictor of PAD in T2DM patients (odds ratio [OR]: 1.051; 95% confidence interval [CI]: 1.017–1.086; p = 0.003). In Spearman’s rank correlation analyses, log-transformed left ABI (log-left ABI, p = 0.017) and log-right ABI (p = 0.001) negatively correlated with log-TMAO. In patients with T2DM, the predictive performance of serum TMAO levels for PAD yielded an area under the receiver operating characteristic (ROC) curve of 0.812 (95% CI: 0.701–0.923; p < 0.001). Conclusions: Among individuals with T2DM, higher serum TMAO levels were associated with lower left and right ABI values and an increased likelihood of PAD. Full article
Show Figures

Figure 1

20 pages, 4447 KB  
Article
Pericardial Fat Radiomics to Predict Left Ventricular Involvement and Provide Incremental Prognostic Value in ARVC
by Mengqi Guo, Jinyu Zheng, Weihui Xie, Binghua Chen, Dongaolei An, Ruoyang Shi, Jinyi Xiang and Lianming Wu
Diagnostics 2025, 15(24), 3240; https://doi.org/10.3390/diagnostics15243240 - 18 Dec 2025
Viewed by 159
Abstract
Background/Objectives: To explore the predictive value of pericardial fat tissue (PFT) radiomics for left ventricular (LV) involvement and major adverse cardiac events (MACE) in arrhythmogenic right ventricular cardiomyopathy (ARVC). Methods: In this retrospective multicenter study, LV involvement was assessed using cardiac magnetic [...] Read more.
Background/Objectives: To explore the predictive value of pericardial fat tissue (PFT) radiomics for left ventricular (LV) involvement and major adverse cardiac events (MACE) in arrhythmogenic right ventricular cardiomyopathy (ARVC). Methods: In this retrospective multicenter study, LV involvement was assessed using cardiac magnetic resonance (CMR). A radiomic score (RS) derived from PFT was developed to predict LV involvement. The predictive accuracy of the RS was evaluated through receiver operating characteristic (ROC) analysis. Additionally, multivariable Cox regression analysis was employed to assess the prognosis across the entire dataset. Kaplan–Meier survival curves were used to evaluate the association between RS and MACE. Results: A total of 122 patients (mean age, 44 years ± 17; 76 male) were included, 90 for a development set and 32 for an external test set. The RS demonstrated good predictive performance for LV involvement in both the development and external test sets, with area under the curve (AUC) values of 0.771 and 0.785, respectively. Moreover, a high RS (≥−0.38) was independently associated with MACE during a median follow-up of 5 years (hazard ratio, 3.452; p < 0.001). Based on the right ventricular ejection fraction (RVEF) and RS, a simplified risk score was developed to categorize patients into three groups: high-risk (RVEF ≤ 40%, RS ≥ −0.38), intermediate-risk (RVEF ≤ 40%, RS < −0.38 or RVEF > 40%, RS ≥ −0.38), and low-risk (RVEF > 40%, RS < −0.38). Conclusions: The PFT radiomics can predict LV involvement and be associated with MACE in ARVC patients. Full article
(This article belongs to the Section Medical Imaging and Theranostics)
Show Figures

Figure 1

Back to TopTop