Sign in to use this feature.

Years

Between: -

Subjects

remove_circle_outline
remove_circle_outline
remove_circle_outline
remove_circle_outline
remove_circle_outline
remove_circle_outline
remove_circle_outline
remove_circle_outline
remove_circle_outline

Journals

remove_circle_outline
remove_circle_outline
remove_circle_outline
remove_circle_outline
remove_circle_outline
remove_circle_outline
remove_circle_outline
remove_circle_outline
remove_circle_outline
remove_circle_outline
remove_circle_outline
remove_circle_outline
remove_circle_outline
remove_circle_outline
remove_circle_outline
remove_circle_outline
remove_circle_outline
remove_circle_outline
remove_circle_outline
remove_circle_outline
remove_circle_outline
remove_circle_outline
remove_circle_outline
remove_circle_outline
remove_circle_outline
remove_circle_outline
remove_circle_outline
remove_circle_outline

Article Types

Countries / Regions

remove_circle_outline
remove_circle_outline
remove_circle_outline
remove_circle_outline
remove_circle_outline
remove_circle_outline
remove_circle_outline
remove_circle_outline
remove_circle_outline

Search Results (4,028)

Search Parameters:
Keywords = immunity status

Order results
Result details
Results per page
Select all
Export citation of selected articles as:
16 pages, 3762 KB  
Article
Multi-Pathway Mechanisms of Beef in Ameliorating Spleen Deficiency Syndrome: Insights from Digestive Function, Immunity, and Gut Microbiota
by Ying Zhang, Ang Ru, Xinghui Wang, Ke Wang, Xueyuan Bai, Xinjun Zhang, Chaozhi Zhu and Gaiming Zhao
Foods 2026, 15(3), 488; https://doi.org/10.3390/foods15030488 (registering DOI) - 1 Feb 2026
Abstract
Beef and yam are valued as functional foods, yet their synergistic effects on gastrointestinal health and immunity remain underexplored. This study investigated the effects of beef and yam on the spleen and stomach. In the present study, a rat model of spleen deficiency [...] Read more.
Beef and yam are valued as functional foods, yet their synergistic effects on gastrointestinal health and immunity remain underexplored. This study investigated the effects of beef and yam on the spleen and stomach. In the present study, a rat model of spleen deficiency was established by poor diet and exhaustive swimming. The weight, food intake, gastrointestinal and immune indexes, and the intestinal flora of the rats were examined. The results showed that the levels of gastrin, motilin, and four cytokines improved. Specifically, the beef group exhibited marked recovery in gastrointestinal hormones, with serum gastrin and motilin levels increasing to approximately 60 pg/mL and 70 pg/mL, respectively, close to the normal control levels, and significantly higher than the model group. The beef and yam effectively restored the balance of intestinal flora, which significantly increased the diversity of intestinal microorganisms. In addition, the tissue structure of the spleen, stomach, small intestine, and colon was also effectively improved. Additionally, yam increased gut microbial diversity and optimized the microbial community structure, consequently enhancing the overall health status. This study elucidates the multi-pathway mechanisms by which beef and yam ameliorate spleen deficiency, providing a scientific basis for their application in functional foods. Full article
(This article belongs to the Section Nutraceuticals, Functional Foods, and Novel Foods)
Show Figures

Figure 1

27 pages, 348 KB  
Review
Immune Checkpoint Blockade in Hematological Malignancies: Current Status and Future Directions
by Hiu-Ching Lau and Yok-Lam Kwong
Cancers 2026, 18(3), 485; https://doi.org/10.3390/cancers18030485 (registering DOI) - 31 Jan 2026
Abstract
Immune checkpoint proteins including PD-1, CTLA-4, LAG-3, TIM-3, and TIGIT regulate T-cell functions, which are essential for anti-tumor immunity. Over-expression of these immune checkpoint proteins leads to T-cell exhaustion and a significant impairment of anti-tumor immunity. Rejuvenation of effector T-cell function with immune [...] Read more.
Immune checkpoint proteins including PD-1, CTLA-4, LAG-3, TIM-3, and TIGIT regulate T-cell functions, which are essential for anti-tumor immunity. Over-expression of these immune checkpoint proteins leads to T-cell exhaustion and a significant impairment of anti-tumor immunity. Rejuvenation of effector T-cell function with immune checkpoint inhibitors (ICI) restores anti-tumor immunity, which translates into clinical efficacy in the frontline and salvage treatment of various hematological malignancies. Efficacy of ICIs is highest in classical Hodgkin lymphoma, primary mediastinal large B-cell lymphoma, and NK/T-cell lymphomas, and modest in immune-privileged-site lymphomas and cutaneous T-cell lymphoma. However, in myeloid malignancies and multiple myeloma, the efficacy of ICIs remains doubtful. In addition to being used as single agents, ICIs have also been combined with other ICIs; as well as chemotherapy, antibody drug conjugates, and epigenetic agents (histone deacetylase inhibitors and hypomethylating agents). More innovative strategies include the use of ICIs in the context of allogeneic haematopoietic stem cell transplantation and chimeric antigen receptor T-cell therapy. This review synthesizes current evidence for the use of ICI in different haematological malignancies, and highlights future directions toward biomarker-driven, rationally designed therapeutic combinations. Full article
(This article belongs to the Section Cancer Immunology and Immunotherapy)
18 pages, 1865 KB  
Article
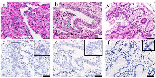
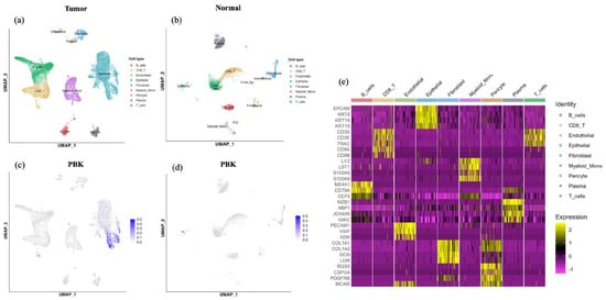
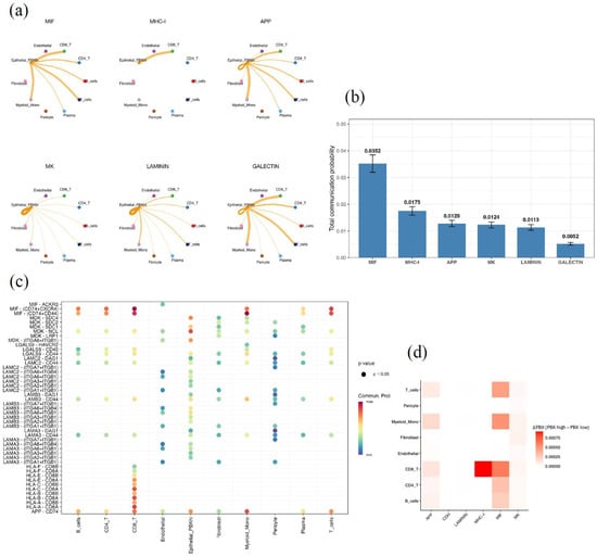
The Correlation of PBK Expression with an Immune-Activated Tumor Microenvironment and Outcome in Colorectal Cancer
by Hiroshi Sawaguchi, Takeshi Uehara, Mai Iwaya, Shiho Asaka, Tomoyuki Nakajima, Shotaro Komamura, Shunsuke Imamura, Yugo Iwaya, Shinsuke Sugenoya, Masato Kitazawa, Yuji Soejima, Hiroyoshi Ota and Tadanobu Nagaya
Cancers 2026, 18(3), 482; https://doi.org/10.3390/cancers18030482 (registering DOI) - 31 Jan 2026
Abstract
Background/Objectives: PDZ-binding kinase (PBK) regulates mitosis, but its clinical significance and cellular localization in colorectal cancer (CRC) remain unclear. We evaluated PBK expression in CRC tissues and examined its association with clinicopathological features, immune contexture, and outcomes. Methods: PBK expression was [...] Read more.
Background/Objectives: PDZ-binding kinase (PBK) regulates mitosis, but its clinical significance and cellular localization in colorectal cancer (CRC) remain unclear. We evaluated PBK expression in CRC tissues and examined its association with clinicopathological features, immune contexture, and outcomes. Methods: PBK expression was assessed by RNA in situ hybridization in tumors from 246 CRC patients. Associations with TNM stage, vascular invasion, MMR status (dMMR/pMMR), immune cell infiltration, and stromal programmed death-ligand 1 (PD-L1) were analyzed. Overall survival (OS) and recurrence-free survival (RFS) were evaluated using Kaplan–Meier and Cox models. Public single-cell RNA sequencing datasets were analyzed to identify PBK-expressing cell populations. Results: Among 246 cases, 75 (30.5%) showed high PBK expression. High PBK expression was associated with lower TNM stage, absence of vascular invasion, and dMMR status. High-PBK tumors showed an immune-activated microenvironment, including increased CD4+, CD8+, and FOXP3+ T-cell infiltration, higher stromal PD-L1 expression, and higher tumor-infiltrating lymphocyte scores. Single-cell analysis indicated that PBK expression was enriched mainly in proliferative tumor epithelial cell populations. High PBK expression was associated with longer OS and RFS and remained an independent favorable prognostic factor in multivariate analysis. Conclusions: PBK expression in CRC is linked to proliferative tumor epithelial states, an immune-activated microenvironment, and favorable outcomes, supporting its utility as a prognostic biomarker. Full article
Show Figures

Figure 1

13 pages, 2692 KB  
Article
The Role of Tumor Immune Microenvironment and Clinical Factors in Head and Neck Cancer Prognosis Among African American Men and Women
by Shaynie Segal, Jianhong An, Matan Berkovsky, Geena Jung, Ashley Stone, Vicky Yau, Juan Lin, Richard V. Smith and Shanye Yin
Cancers 2026, 18(3), 481; https://doi.org/10.3390/cancers18030481 (registering DOI) - 31 Jan 2026
Abstract
Background: Head and Neck Squamous Cell Carcinoma (HNSCC) causes half a million deaths each year; therefore, it is essential to understand the factors that affect patient prognosis. Many studies fail to investigate the biological drivers behind survival disparities, especially sex-specific differences within [...] Read more.
Background: Head and Neck Squamous Cell Carcinoma (HNSCC) causes half a million deaths each year; therefore, it is essential to understand the factors that affect patient prognosis. Many studies fail to investigate the biological drivers behind survival disparities, especially sex-specific differences within racial groups. This study serves as a foundational project to begin elucidating biological differences in the tumor microenvironment between male and female African American HNSCC patients. Methods: A total of 111 patients who were diagnosed with HNSCC and identify as African American were grouped by sex. Analyses of socioeconomic status, co-morbidities, tumor characteristics, and treatment were conducted. Spatial transcriptomic analysis was performed on four randomly selected primary HNSCC tumor tissues. Results: No sex-based differences were observed in socioeconomic measures, treatments, tumor stage, follow-up, recurrence, or cause of death (all p > 0.15), though females had higher median income than males (p = 0.035). Comorbidity profiles were also largely comparable between males and females. Evaluating tumor microenvironments, we found that male tumors were dominated by malignant cells and fibroblasts, with limited adaptive immune infiltration. By contrast, female tumors displayed markedly higher proportions of immune cells, including T cells and B cells. Male tumors harbored sparse T cells, largely skewed toward exhausted phenotypes while female tumors displayed abundant T cell infiltration consistent with immunologically active tumor microenvironment. Conclusions: Clinical and demographic factors showed minimal sex-based differences among African American HNSCC patients, spatial transcriptomic profiling revealed strikingly distinct immune microenvironments by sex. These findings suggest that biological, rather than simply clinical, differences may drive survival disparities. This project serves as a novel and foundational study promoting the use of spatial transcriptomics to evaluate possible survival disparities within HNSCC populations to alleviate survival disparities. Full article
(This article belongs to the Special Issue Genetic Alterations and the Tumor Microenvironment)
Show Figures

Figure 1

23 pages, 1011 KB  
Article
PD-L1/CD274 and miR-155/MIR155HG Genetic Variants as Prognostic and Risk Biomarkers in Diffuse Large B-Cell Lymphoma
by Marija Elez, Debora Misic, Gordana Velikic, Jelena Karajovic, Lavinika Atanaskovic and Gordana Supic
Cancers 2026, 18(3), 469; https://doi.org/10.3390/cancers18030469 - 30 Jan 2026
Abstract
Background/Objectives: Diffuse large B-cell lymphoma (DLBCL) is an aggressive and heterogeneous malignancy, for which predicting clinical outcomes remains challenging. Although immune-checkpoint pathways are known to influence tumor biology, the impact of their germline variants on DLBCL susceptibility and prognosis has not been [...] Read more.
Background/Objectives: Diffuse large B-cell lymphoma (DLBCL) is an aggressive and heterogeneous malignancy, for which predicting clinical outcomes remains challenging. Although immune-checkpoint pathways are known to influence tumor biology, the impact of their germline variants on DLBCL susceptibility and prognosis has not been fully elucidated. Methods: Variants in PD-L1 gene CD274 (rs4143815, rs822336), and miR-155 gene MIR155HG (rs767649, rs1893650), assessed by TaqMan assays in 99 DLBCL patients and 113 age- and sex-matched healthy controls, were associated with clinicopathological features, treatment response, overall survival (OS), relapse-free survival (RFS), and disease susceptibility. Results: The PD-L1 variant rs822336 was significantly associated with relapse status (p = 0.005) and RFS (p = 0.008), with the wild-type GG genotype showing the poorest RFS that remained independent in the multivariate Cox analysis (HR = 2.387, p = 0.003). Conversely, rs4143815 showed a nominal association with treatment resistance (p = 0.026), while patients carrying the GG genotype had worse OS (p = 0.006). In susceptibility analyses, miR-155 variant rs767649 showed a nominal association with DLBCL risk, with the rare AA genotype showing an increased risk of DLBCL (OR = 5.234, p = 0.045), which did not remain significant after Bonferroni correction. Conclusions: In a hypothesis-generating manner, these findings suggest that PD-L1 genetic variants may predominantly influence disease progression and outcomes, while miR-155 variation may contribute to DLBCL susceptibility. These findings highlight germline immunogenetic variants as stable, treatment-independent markers that may inform future studies on risk stratification and prognosis in DLBCL. Full article
(This article belongs to the Special Issue Advances in B-Cell Lymphoma: From Diagnostics to Cure)
Show Figures

Graphical abstract

13 pages, 591 KB  
Article
Association of IL6 Gene Polymorphisms with COVID-19 Susceptibility and Inflammation in Pregnant Women
by Imene Ben Dhifallah, Kaouther Ayouni, Ghassen Kharroubi, Zeineb Belaiba, Majdi Ben Ameur, Henda Touzi, Walid Hammemi, Nesrine Abderahmane, Amel Sadraoui, Khaoula Magdoud, Hiba Mkadmi, Samia Kacem, Myriam Cheour, Hajer Chourou, Rim Ben Hmid, Youssef Atef, Khaled Neji, Mohamed Bedis Channoufi, Emna Barkaoui, Dalenda Chelli, Henda Triki and Mariem Gdouraadd Show full author list remove Hide full author list
Diseases 2026, 14(2), 48; https://doi.org/10.3390/diseases14020048 - 30 Jan 2026
Viewed by 93
Abstract
Background/Objectives: Pregnancy is characterized by complex immunological adaptations that may increase susceptibility to infections, including SARS-CoV-2. Interleukin-6 (IL-6), a key pro-inflammatory cytokine, plays a crucial role in the immune response and has been strongly implicated in the pathogenesis of COVID-19. Genetic variations in [...] Read more.
Background/Objectives: Pregnancy is characterized by complex immunological adaptations that may increase susceptibility to infections, including SARS-CoV-2. Interleukin-6 (IL-6), a key pro-inflammatory cytokine, plays a crucial role in the immune response and has been strongly implicated in the pathogenesis of COVID-19. Genetic variations in the IL6 gene, particularly single-nucleotide polymorphisms (SNPs) in the promoter region, can modulate IL-6 expression and potentially influence individual susceptibility to viral infections. This study aimed to evaluate the relationship between promoter region IL6 gene polymorphisms and COVID-19 susceptibility, as well as the inflammatory response, in pregnant women. Methods: We enrolled in this study 204 pregnant women with evidence of SARS-CoV-2 infection in pregnancy and 134 pregnant women with no evidence of SARS-CoV-2 infection in the past. Genotyping was conducted for the two functional SNPs in the IL6 promoter region, rs1800796 and rs1800797, via Sanger sequencing, and for associations with COVID-19 susceptibility and IL-6 levels were analyzed. Results: No significant association was found between IL6 polymorphisms and COVID-19, IL-6 levels, age, or immunization status. IL-6 levels > 5 pg/mL were more frequent in SARS-CoV-2-negative pregnant women than in SARS-CoV-2-positive pregnant women (p = 0.032). Among vaccinated participants, IL-6 levels were significantly higher in SARS-CoV-2-negative pregnant women (p = 0.044), while no difference was observed in the unvaccinated group. Conclusions:IL6 polymorphisms rs1800797 and rs1800796 were not associated with infection susceptibility or IL-6 levels. These results highlight the complex immunological interplay between pregnancy, infection, and genetic background and support the need for further research in larger cohorts. Full article
(This article belongs to the Section Infectious Disease)
Show Figures

Figure 1

10 pages, 1028 KB  
Communication
Molecular and Phylogenetic Characterization of Parvovirus B19 Strains Detected in the Pediatric Population of the Greater Thessaloniki Region in Greece During March–April 2024
by Evangelia Giosi, Ifigeneia Dimopoulou, Enada Leshi, Maria Christoforidi, Andigoni Malousi, Theano Georgakopoulou, Christakis Chatzichristodoulou, Dimitris Hatzigeorgiou, Stella Vorre, Dimitris Paraskevis, Cleo Anastassopoulou, Maria Exindari and Georgia Gioula
Acta Microbiol. Hell. 2026, 71(1), 4; https://doi.org/10.3390/amh71010004 - 30 Jan 2026
Viewed by 40
Abstract
Parvovirus B19 is a DNA virus. Most parvoviruses infect animals; Parvovirus B19 infects humans. Parvovirus B19 is mainly transmitted through respiratory droplets during close contact, but additional routes such as transmission through contaminated blood products and vertical transmission from mother to fetus have [...] Read more.
Parvovirus B19 is a DNA virus. Most parvoviruses infect animals; Parvovirus B19 infects humans. Parvovirus B19 is mainly transmitted through respiratory droplets during close contact, but additional routes such as transmission through contaminated blood products and vertical transmission from mother to fetus have also been documented. Infections occur throughout the year, with a seasonal increase between late winter and early summer. Clinical symptoms depend on age, and on patients’ immune status. Healthy, immunocompetent individuals experience asymptomatic or mild infections including a febrile rash; serious complications rarely appear, such as rheumatoid-like arthritis or acute myocarditis. Clusters of myocarditis cases following Parvovirus B19 infections appeared in a daycare in Thessaloniki in 2024. To molecularly and phylogenetically characterize Parvovirus B19 strains detected during a pediatric outbreak associated with elevated troponin levels and myocarditis in Northern Greece, and to compare these strains with isolates from adult cases with mild symptoms in order to explore potential associations between viral genetic variability and cardiac involvement. MinION sequencing protocol was performed for nine whole blood samples, seven belonging to children with myocarditis, and two to adults presenting mild symptoms. Statistical analysis was performed with QualiMap 2.3 and relevant tools. Phylogenetic analysis identified distinct viral groups originating from the samples investigated. A distinct branch was formed by the reference genome and the ones of the adults’ samples, while samples from children with myocarditis provided discrete branches differing from the reference one. The findings demonstrate a clear association between Parvovirus B19 infection and myocarditis in the pediatric cases analyzed. The detected viral strains, including variants identified in several samples, support the role of Parvovirus B19 as a contributing factor in post-infectious cardiac involvement. Although these results reinforce the clinical relevance of Parvovirus B19 in childhood myocarditis, expanding the sample size would allow for a more robust characterization of circulating strains and confirmation of the observed patterns. Full article
Show Figures

Figure 1

10 pages, 368 KB  
Article
Rotavirus Vaccine Coverage and Surveillance of Adverse Events Following Immunization in a Birth Cohort of Children (2017–2023) in Suzhou, China
by Jinling Gao, Kunpeng Zhu, Lin Luan, Benfeng Zheng, Juan Xu, Yiheng Zhu, Xianquan Fan, Haitao Wang and Na Liu
Vaccines 2026, 14(2), 139; https://doi.org/10.3390/vaccines14020139 - 29 Jan 2026
Viewed by 104
Abstract
Objectives: To analyze the changes in the proportion of the rotavirus vaccine among children born in the 2017–2023 cohort and to assess the current status of rotavirus vaccination coverage in Suzhou, China. To monitor adverse events following immunization (AEFIs) so as to [...] Read more.
Objectives: To analyze the changes in the proportion of the rotavirus vaccine among children born in the 2017–2023 cohort and to assess the current status of rotavirus vaccination coverage in Suzhou, China. To monitor adverse events following immunization (AEFIs) so as to provide data for scientific guidance regarding the rotavirus vaccine. Methods: The basic information of children born between 1 January 2017 and 31 December 2023 in Suzhou and information regarding rotavirus vaccination were collected through the child module of Jiangsu Province Vaccination Integrated Service Management Information System. Information on AEFI case reports was collected from the AEFI monitoring system of the China Information System for Disease Control and Prevention. Descriptive epidemiological methods were used to analyze the rotavirus vaccine characteristics and AEFI classification, and the Mann–Whitney U test was used for comparative analysis. Results: The proportion of children born in the 2017–2023 cohort who received the first dose of the rotavirus vaccine was 14.65%. The reassortant rotavirus vaccine, live, oral, pentavalent (RV5) proportion gradually increased, and the vaccine proportion of children in the 2023 birth cohort reached the highest. The peak age for rotavirus vaccination was between 2 and 8 months. A total of 49,507 children (99.88%) received the first dose of RV5 at the age of 6–12 weeks in this birth cohort, and there was a statistically significant difference in the median duration of the first dose of RV5 among children of different age groups (p < 0.001). A total of 89 cases of AEFIs were reported, and the reported incidence of AEFIs was 3.47/10,000 doses. Among them, 86 cases of general reactions were reported, with a reported incidence of 3.35/10,000 doses, and three cases of abnormal reactions were reported, with a reported incidence of 0.12/10,000 doses. Conclusions: The rotavirus vaccine proportion of children born in Suzhou from 2017 to 2023 was not high. The incidence of AEFI reports from the rotavirus vaccine is relatively low, indicating a favorable safety profile. Efforts should prioritize strengthening health education on rotavirus gastroenteritis to enhance public confidence in vaccination, thereby ensuring the effective prevention and control of rotavirus gastroenteritis. Full article
(This article belongs to the Special Issue Vaccine Efficacy and Disease Burden Evaluation)
Show Figures

Figure 1

40 pages, 2561 KB  
Review
LncRNAs at the Crossroads of Precision Nutrition and Cancer Chemoprevention
by Camelia Munteanu, Revathy Nadhan, Sabina Turti, Eftimia Prifti, Larisa Achim, Sneha Basu, Alessandra Ferraresi, Ji Hee Ha, Ciro Isidoro and Danny N. Dhanasekaran
Cancers 2026, 18(3), 430; https://doi.org/10.3390/cancers18030430 - 29 Jan 2026
Viewed by 269
Abstract
Cancer remains a leading cause of morbidity and mortality worldwide, and effective strategies for cancer prevention are urgently needed to complement therapeutic advances. While dietary factors are known to influence cancer risk, the molecular mechanisms that mediate inter-individual responses to nutritional exposures remain [...] Read more.
Cancer remains a leading cause of morbidity and mortality worldwide, and effective strategies for cancer prevention are urgently needed to complement therapeutic advances. While dietary factors are known to influence cancer risk, the molecular mechanisms that mediate inter-individual responses to nutritional exposures remain poorly defined. Emerging evidence identifies long non-coding RNAs (lncRNAs) as pivotal regulators of gene expression, chromatin organization, metabolic homeostasis, immune signaling, and cellular stress responses, the core processes that drive cancer initiation and progression and are highly sensitive to nutritional status. In parallel, advances in precision nutrition have highlighted how variability in genetics, metabolism, microbiome composition, and epigenetic landscapes shape dietary influences on cancer susceptibility. This review integrates these rapidly evolving fields by positioning lncRNAs as molecular conduits that translate dietary exposures into transcriptional and epigenetic programs governing cancer development, progression, and therapeutic vulnerability. We provide mechanistic evidence demonstrating how dietary bioactive compounds and micronutrients, including polyphenols [such as curcumin, resveratrol, epigallocatechin gallate (EGCG)], flavonoids, alkaloids such as berberine, omega-3 (ω-3) fatty acids, folate, vitamin D, probiotic metabolites (such as butyrate and propionate), and trace elements (such as selenium and zinc), modulate oncogenic and tumor-suppressive lncRNAs. These nutrient–lncRNA interactions influence cancer-relevant pathways controlling proliferation, epithelial–mesenchymal transition (EMT), inflammation, oxidative stress, and metabolic rewiring. We further discuss emerging lncRNA signatures that reflect nutritional and metabolic states, their potential utility as biomarkers for individualized dietary interventions, and their integration into liquid biopsy platforms. Leveraging multi-omics datasets and systems biology, we outline AI-driven frameworks to map nutrient–lncRNA regulatory networks and identify targetable nodes for cancer chemoprevention. Finally, we address translational challenges, including compound bioavailability, inter-individual variability, and limited clinical validation, and propose future directions for incorporating lncRNA profiling into precision nutrition-guided cancer prevention trials. Together, these insights position lncRNAs at the nexus of diet and cancer biology and establish a foundation for mechanistically informed precision nutrition strategies in cancer chemoprevention. Full article
(This article belongs to the Special Issue Cancer Causes and Control)
Show Figures

Graphical abstract

25 pages, 3229 KB  
Systematic Review
Major Advances in Gynecologic Oncology in 2025: Systematic Review and Synthesis of Conference and Published Evidence
by Nabil Ismaili
Biomedicines 2026, 14(2), 295; https://doi.org/10.3390/biomedicines14020295 - 28 Jan 2026
Viewed by 176
Abstract
Background: The year 2025 witnessed paradigm-shifting advances in gynecologic oncology, with pivotal clinical trial results redefining therapeutic standards across cervical, ovarian, endometrial, and vulvar cancers. Objectives: This systematic review aimed to comprehensively identify, synthesize, and critically evaluate pivotal phase II and [...] Read more.
Background: The year 2025 witnessed paradigm-shifting advances in gynecologic oncology, with pivotal clinical trial results redefining therapeutic standards across cervical, ovarian, endometrial, and vulvar cancers. Objectives: This systematic review aimed to comprehensively identify, synthesize, and critically evaluate pivotal phase II and III randomized controlled trials and major studies presented at the major annual meetings, alongside significant peer-reviewed publications from 2025 that introduce innovative therapeutic strategies across gynecologic malignancies. Methods: Conducted in accordance with the Preferred Reporting Items for Systematic Reviews and Meta-Analyses (PRISMA) 2020 guidelines, this review involved exhaustive searches of electronic databases (PubMed/MEDLINE, Embase), conference proceedings (ASCO 2025, ESMO 2025), and major oncology journals for records from January to December 2025. Inclusion criteria encompassed: (1) Phase II or III randomized controlled trials (RCTs) and (2) Non-randomized studies (including phase I and II trials), reporting on novel therapeutic approaches in gynecologic oncology. All studies were required to report primary survival endpoints (overall survival or progression-free survival) or key efficacy outcomes. Study selection, data extraction, and methodological quality assessment were performed independently by two reviewers, with disagreements resolved through consensus or third-party adjudication. Results: From 1842 records, 23 studies met inclusion criteria (17 phase-III RCTs and 6 non-phase III RCTs/early-phase studies), distributed as follows: cervical cancer (9 studies, 39%), ovarian cancer (9 studies, 39%), endometrial cancer (4 studies, 17.5%), and vulvar cancer (1 study, 4.5%). The major advances identified include: (1) In cervical cancer, the KEYNOTE-A18 trial established pembrolizumab combined with chemoradiotherapy as a new standard for high-risk locally advanced disease, while the PHENIX trial validated sentinel lymph node biopsy as a safe surgical de-escalation strategy. (2) In ovarian cancer, the ENGOT-ov65/KEYNOTE-B96 trial demonstrated the first statistically significant overall survival improvement with an immune checkpoint inhibitor in platinum-resistant recurrent disease, establishing pembrolizumab plus weekly paclitaxel as a new standard of care. Novel therapeutic mechanisms, including glucocorticoid receptor modulation (ROSELLA trial) and cadherin-6-targeted antibody-drug conjugates (REJOICE-Ovarian01), showed remarkable efficacy. (3) In endometrial cancer, updated analyses from NRG GY018 and RUBY trials solidified the role of first-line immuno-chemotherapy, with differential benefits according to mismatch repair status. (4) In vulvar cancer, a pivotal phase II study demonstrated meaningful clinical activity of anti-PD-1 therapy in advanced disease. (5) The extensive circulating tumor DNA analysis from the CALLA trial provided crucial insights into biomarker dynamics in cervical cancer. Conclusions: The convergence of high-impact data from 2025 established multiple new standards of care, emphasizing biomarker-driven approaches, immunotherapy integration across disease stages, and novel mechanisms to overcome resistance, while highlighting challenges in treatment sequencing and global access. Full article
(This article belongs to the Special Issue Women’s Special Issue Series: Biomedicines (2nd Edition))
Show Figures

Graphical abstract

23 pages, 1668 KB  
Article
Impact of Selenium and Vitamin E Deficiency on Zika Virus Pathogenesis and Immune Response in Mice
by Olukunle O. Oluwasemowo, Monica E. Graham, James B. Thissen, Aram Avila-Herrera, Jeffrey A. Kimbrel, Deepa K. Murugesh, Dina R. Weilhammer, Tanya Tanner, Nicole M. Collette and Monica K. Borucki
Viruses 2026, 18(2), 177; https://doi.org/10.3390/v18020177 - 28 Jan 2026
Viewed by 172
Abstract
Micronutrient status is recognized to influence host susceptibility to viral infections, yet its impact on Zika virus (ZIKV) pathogenesis remains incompletely understood. We investigated the effects of dietary selenium and combined selenium plus vitamin E deficiency on ZIKV infection outcomes in a type [...] Read more.
Micronutrient status is recognized to influence host susceptibility to viral infections, yet its impact on Zika virus (ZIKV) pathogenesis remains incompletely understood. We investigated the effects of dietary selenium and combined selenium plus vitamin E deficiency on ZIKV infection outcomes in a type I interferon α/β receptor knockout (Ifnar1−/−) murine model. Mice maintained on deficient diets exhibited significantly lower neutralizing antibody titers and reduced levels of key antiviral cytokines (IFN-γ, TNF-α, IFN-α, IFN-β, IL-12p70, CCL5) compared to controls. Correspondingly, higher viral RNA loads were detected in the brains of double-deficient mice, which also experienced greater weight loss and increased mortality. Deep sequencing revealed no major differences in overall viral genome diversity across diet groups; however, specific mutations, including V330L and D67E in the E gene, and V360I in the NS3 gene, were enriched or detected in nutritionally deficient animals. These findings suggest that antioxidant micronutrient deficiency impairs both humoral and cellular immune responses to ZIKV, potentially facilitating enhanced neuroinvasion. While the functional consequences of the identified mutations warrant further investigation, our results underscore the importance of adequate micronutrient intake for optimal antiviral defense. Further studies are needed to clarify the epidemiological significance of these observations. Full article
(This article belongs to the Section Human Virology and Viral Diseases)
20 pages, 1244 KB  
Article
Prognostic Value of Systemic Inflammatory Markers in Locally Advanced or Metastatic Melanoma: A Real-World Analysis
by Burçin Çakan Demirel, Semra Taş, Taliha Güçlü Kantar, Melek Özdemir, Tolga Doğan, Canan Karan, Burcu Yapar Taşköylü, Atike Gökçen Demiray, Serkan Değirmencioğlu, Ahmet Bilici, Gamze Gököz Doğu and Arzu Yaren
Cancers 2026, 18(3), 420; https://doi.org/10.3390/cancers18030420 - 28 Jan 2026
Viewed by 129
Abstract
Background/Objectives: Malignant melanoma remains a highly aggressive malignancy with substantial mortality despite advances in systemic therapy. Identifying simple and reproducible prognostic biomarkers is essential for improving risk stratification. Inflammation- and nutrition-based indices—including the Systemic Immune–Inflammation Index (SII), Systemic Inflammatory Response Index (SIRI), dynamic [...] Read more.
Background/Objectives: Malignant melanoma remains a highly aggressive malignancy with substantial mortality despite advances in systemic therapy. Identifying simple and reproducible prognostic biomarkers is essential for improving risk stratification. Inflammation- and nutrition-based indices—including the Systemic Immune–Inflammation Index (SII), Systemic Inflammatory Response Index (SIRI), dynamic SIRI, and the Controlling Nutritional Status (CONUT) score—have shown prognostic value in various cancers. This study assessed the prognostic significance of these indices in patients with locally advanced or metastatic melanoma using real-world data. Methods: A retrospective cohort of 138 patients treated between 2010 and 2023 was analyzed. Baseline demographic, clinical, nutritional, and inflammatory parameters were collected. Optimal cut-off values for SII, SIRI, 6-month SIRI, and dynamic SIRI were determined using receiver operating characteristic analysis. Overall survival (OS) and progression-free survival (PFS) were evaluated using the Kaplan–Meier method, and independent predictors were identified with multivariate Cox regression. Results: Elevated baseline SII and SIRI were significantly associated with shorter overall survival. Both 6-month SIRI and dynamic SIRI demonstrated strong prognostic value, emphasizing the importance of longitudinal inflammatory changes. In multivariate analysis, response to first-line therapy emerged as the only independent predictor of disease progression. Patients with a CONUT score ≥ 3 showed significantly shorter OS and PFS in univariate analyses, underscoring the prognostic relevance of nutritional status. Conclusions: SII, SIRI, 6-month SIRI, dynamic SIRI, and CONUT are practical, accessible, and reproducible biomarkers with meaningful prognostic value in advanced melanoma. Incorporating these indices into routine clinical assessment may enhance risk stratification and support more personalized treatment decision-making. Full article
(This article belongs to the Section Cancer Biomarkers)
Show Figures

Figure 1

14 pages, 1893 KB  
Article
Gut Microbiota Response in Meagre (Argyrosomus regius) Subjected to a Plant-Based Nutritional Challenge
by Joana Oliveira, Marisa Barata, Rafaela Santos, Cláudia Serra, Florbela Soares, Pedro Pousão-Ferreira, Aires Oliva-Teles and Ana Couto
Animals 2026, 16(3), 407; https://doi.org/10.3390/ani16030407 - 28 Jan 2026
Viewed by 103
Abstract
The gut plays a central role in fish nutrition, immunity, and overall health, making it key in aquaculture research. The microbiota, crucial to gut function, is increasingly studied as an indicator of health and nutritional status. This study characterized the gut microbiota of [...] Read more.
The gut plays a central role in fish nutrition, immunity, and overall health, making it key in aquaculture research. The microbiota, crucial to gut function, is increasingly studied as an indicator of health and nutritional status. This study characterized the gut microbiota of juvenile meagre (Argyrosomus regius) (initial weight 4.6 ± 0.4 g) fed for seven weeks on diets in which fishmeal (FM) and fish oil (FO) were replaced by increased proportions of plant-based ingredients, with the aim of identifying microbial profiles associated with nutritional challenge. Fish were fed a FM/FO control diet (CTRL; 55.1% FM, 11.3% FO), a low FM/FO diet (CD; 15% FM, 7% FO), or a very low FM/FO diet (ED; 5% FM, 5% FO). Next-generation sequencing analysis of gut mucosa and digesta revealed no significant differences in alpha or beta diversity among different dietary groups. Firmicutes dominated all samples, particularly Bacilli, Mycoplasmatales, Mycoplasmataceae, and Mycoplasma. Significant differences were only observed in low-abundance taxa (<1%), with higher abundance of Thermoactinomycetales (p = 7.71 × 10−4), Thermoactinomycetaceae (p = 7.71 × 10−4), Kroppenstedtia (p = 1.70 × 10−3), and Pseudogracilibacillus (p = 0.039) in challenged groups. This study highlights the potential of low-abundance microbial groups as targets to establish gut health biomarkers in fish. Full article
Show Figures

Figure 1

14 pages, 376 KB  
Article
Clinical, Laboratory, and Therapeutic Characteristics of Visceral Leishmaniasis with Emphasis on Immune Status: A Multicentre Cohort Study in Greece
by Aristos Aristodimou, Achilleas Gikas, Maria Antoniou, Karolina Akinosoglou, Nikolaos Partalis, Angelos Pefanis, Periklis Panagopoulos, Charalambos Christofidis and Evangelos I. Kritsotakis
Pathogens 2026, 15(2), 141; https://doi.org/10.3390/pathogens15020141 - 28 Jan 2026
Viewed by 151
Abstract
Visceral leishmaniasis (VL) is an endemic zoonotic disease in southern Europe with increasing clinical relevance among immunocompromised populations; however, detailed clinical data remain scarce. This retrospective multicentre cohort study analysed patients with confirmed VL treated at seven hospitals in Greece over a 26-year [...] Read more.
Visceral leishmaniasis (VL) is an endemic zoonotic disease in southern Europe with increasing clinical relevance among immunocompromised populations; however, detailed clinical data remain scarce. This retrospective multicentre cohort study analysed patients with confirmed VL treated at seven hospitals in Greece over a 26-year period. Clinical, treatment, and outcome data were collected with a minimum follow-up of 18 months to assess cure, treatment failure, relapse, and mortality. A total of 144 patients were enrolled (59% male; mean age 41.8 years, range 0.1–84 years), most of whom were Greek nationals (85%) and resided in rural areas (61%). Fever was the primary reason for hospital admission in 95% of patients. At diagnosis, 42 patients (29%) were immunocompromised. These patients were significantly older than immunocompetent individuals and more likely to present with diarrhoea and arthralgia, whereas hepatomegaly was less frequent. Liposomal amphotericin B was administered to 90% of patients. Treatment failure occurred in 14 patients (10%) and was significantly associated with immunosuppression and leukaemia. Relapse within 18 months occurred in 5.5% of patients. Overall mortality was relatively low (7 patients, 5%), with one death directly attributable to VL. This study demonstrates that VL remains endemic in Greece, affects patients across all age groups, and is primarily autochthonous. Immunosuppression is associated with distinct clinical features and poorer treatment outcomes in VL, underscoring the need for heightened clinical vigilance, combined diagnostic approaches, and extended follow-up in vulnerable populations. Full article
(This article belongs to the Section Parasitic Pathogens)
Show Figures

Figure 1

17 pages, 683 KB  
Review
Unexpected Therapeutic Implications: The Abscopal Effect in the Management of Hepatocellular Carcinoma
by Lucia Cerrito, Maria Pallozzi, Ilaria Urbani, Sebastiano Archilei, Sara Miliani, Elisabetta Creta, Leonardo Stella, Antonio Gasbarrini and Francesca Romana Ponziani
Cancers 2026, 18(3), 408; https://doi.org/10.3390/cancers18030408 - 28 Jan 2026
Viewed by 84
Abstract
Hepatocellular carcinoma (HCC) is the sixth most diagnosed cancer worldwide and represents the second cause of cancer-related death worldwide, according to the estimates by Global Cancer Observatory in 2020. Its prognosis is strictly associated with neoplastic stage and liver function. Several treatments are [...] Read more.
Hepatocellular carcinoma (HCC) is the sixth most diagnosed cancer worldwide and represents the second cause of cancer-related death worldwide, according to the estimates by Global Cancer Observatory in 2020. Its prognosis is strictly associated with neoplastic stage and liver function. Several treatments are involved in the management of HCC, according to its stage and the patients’ performance status. The abscopal effect is a particular phenomenon taking place in locally advanced or in metastatic cancer, as a positive off-target result of ionizing radiation at a certain distance from the irradiated zone determining a systemic effect due to the increase in tumor immune response, and resulting in the shrinkage of neoplastic lesions with a subsequent increase in tumor prognosis. If future studies will allow one to master its etiological mechanisms and deliberately trigger them, it could represent a notable weapon in the treatment of hepatocellular carcinoma, particularly at advanced stages, in which sometimes it is able to positively modify the patients’ prognosis. The aim of this review is to evaluate the literature available on this intriguing topic and the characteristics of the mechanisms that originate the abscopal effect, the treatments that can elicit this phenomenon, and the possible relevant therapeutic implications. Full article
(This article belongs to the Section Methods and Technologies Development)
Show Figures

Figure 1

Back to TopTop