Due to scheduled maintenance work on our servers, there may be short service disruptions on this website between 11:00 and 12:00 CEST on March 28th.
Sign in to use this feature.

Years

Between: -

Subjects

remove_circle_outline
remove_circle_outline
remove_circle_outline
remove_circle_outline
remove_circle_outline
remove_circle_outline
remove_circle_outline
remove_circle_outline
remove_circle_outline

Journals

remove_circle_outline
remove_circle_outline
remove_circle_outline
remove_circle_outline
remove_circle_outline
remove_circle_outline
remove_circle_outline
remove_circle_outline
remove_circle_outline
remove_circle_outline
remove_circle_outline
remove_circle_outline
remove_circle_outline
remove_circle_outline
remove_circle_outline
remove_circle_outline
remove_circle_outline
remove_circle_outline
remove_circle_outline

Article Types

Countries / Regions

remove_circle_outline
remove_circle_outline
remove_circle_outline
remove_circle_outline

Search Results (1,309)

Search Parameters:
Keywords = hyperthermia

Order results
Result details
Results per page
Select all
Export citation of selected articles as:
22 pages, 9597 KB  
Article
Testicular Photohyperthermia Mediated by Magnetic Nanoparticles: Implications for Male Fertility Control
by Vanessa N. Lima, Juliana Lis M. Brito, Ana Bárbara R. Silva, Aline R. M. Marangon, Felipe M. Pimentel, Breno C. P. Coelho, Marcelo H. Sousa, Rodrigo B. Nunes, Paulo Eduardo N. Souza, Raquel Pazos, Sergio E. Moya and Carolina M. Lucci
Molecules 2026, 31(7), 1064; https://doi.org/10.3390/molecules31071064 - 24 Mar 2026
Viewed by 142
Abstract
In search of a non-surgical alternative for male animal sterilization, this study investigated the use of gold-coated maghemite nanoparticles (γ-Fe2O3@Au) functionalized with citrate to produce testicular photohyperthermia (PHT). Wistar rats received an intratesticular injection of the fluid containing the [...] Read more.
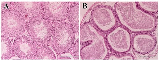
In search of a non-surgical alternative for male animal sterilization, this study investigated the use of gold-coated maghemite nanoparticles (γ-Fe2O3@Au) functionalized with citrate to produce testicular photohyperthermia (PHT). Wistar rats received an intratesticular injection of the fluid containing the nanoparticles (150 µL/testicle) followed by testicular irradiation with an LED light (808 nm). Testicular temperature was maintained at ~45 °C for 15 min. The results demonstrated a significant reduction in testicular volume and weight and sperm motility and normal morphology in PHT-treated animals, together with histopathological degeneration of seminiferous tubules. No treatment-related side effects or signs of systemic toxicity were observed. The biodistribution of the gold (Au) and iron (Fe) from the nanoparticles showed that the testes were the primary site of nanoparticle accumulation until day 56 post-treatment with possible renal excretion of Au. These findings support the prospect of testicular PHT mediated by γ-Fe2O3@Au nanoparticles as a neutering method for male animals. Full article
(This article belongs to the Special Issue Multifunctional Nanomaterials for Bioapplications, 2nd Edition)
Show Figures

Graphical abstract

8 pages, 1389 KB  
Proceeding Paper
Impact of Hyperthermia on Gut Microbial Adaptation: Role of Thermophilic Bacteria in Host Physiology
by Sugandha Jaiswal, Vinod Kumar Nigam and Rakesh Kumar Sinha
Eng. Proc. 2026, 124(1), 85; https://doi.org/10.3390/engproc2026124085 - 20 Mar 2026
Viewed by 52
Abstract
Heat stress (HS) is one of the most challenging environmental conditions, responsible for impaired growth and reproduction in living systems. It also leads to altering the release of different biochemicals responsible for controlling the metabolic pathway. Five White Wistar rats were exposed at [...] Read more.
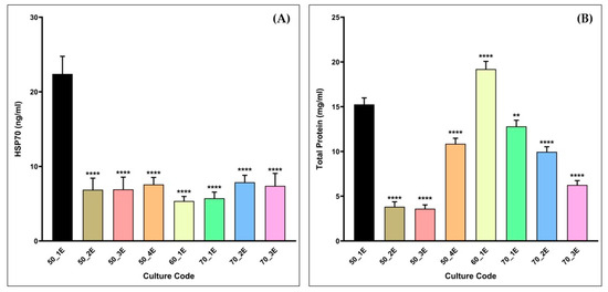
Heat stress (HS) is one of the most challenging environmental conditions, responsible for impaired growth and reproduction in living systems. It also leads to altering the release of different biochemicals responsible for controlling the metabolic pathway. Five White Wistar rats were exposed at 42 ± 1 °C inside a closed chamber for the induction of hyperthermia. Their rectal temperature was recorded before and after heat exposure. The semi-digested food from the gut (colon) of sacrificed rats was collected under sterilized conditions for the isolation of gut bacteria on a nutrient agar plate at 50 °C, 60 °C, and 70 °C. The sample was incubated for 24 h and isolates were further purified. The proteolytic, amylolytic, cellulolytic, and xylanolytic activities were measured via plate assay and the enzymatic index was calculated. Total protein and estimation of heat shock protein 70 (HSP70) were also quantified. Initially, the rectal temperature of the animal was 37.1 ± 0.2 °C, but after exposure to heat, the temperature was 40.8 ± 0.2 °C. The number of purified isolates was recorded, i.e., at 50 °C (04), at 60 °C (01), and at 70 °C (03). Among eight isolates, Bacillus licheniformis (50 °C) showed all four enzymatic activities with a higher enzymatic index. Further, this novel isolate also exhibited a maximum concentration of HSP70. This preliminary study reveals the survival of a bacterium (B. licheniformis) capable of producing key metabolites, highlighting its significance in supporting host physiology and other pathophysiological conditions. As a probiotic, it may serve as a potential therapeutic bridge connecting HSP70, host physiological function, and gut health. Full article
(This article belongs to the Proceedings of The 6th International Electronic Conference on Applied Sciences)
Show Figures

Graphical abstract

8 pages, 733 KB  
Case Report
A Fatal Case of Puumala Virus Infection with Pulmonary and Renal Syndrome in Moscow Region, Russia
by Ekaterina Blinova, Tamara Dzagurova, Galina Gopatsa, Natalya Pshenichnaya, Evgeny Morozkin and Vasiliy Akimkin
Pathogens 2026, 15(3), 321; https://doi.org/10.3390/pathogens15030321 - 17 Mar 2026
Viewed by 219
Abstract
Hemorrhagic fever with renal syndrome (HFRS) is the most common zoonotic disease in Russia, with about a 98% abundance of Puumala virus in all HFRS cases. We report clinical manifestations and genomic characteristics of the Puumala virus strain that caused an unconventional course [...] Read more.
Hemorrhagic fever with renal syndrome (HFRS) is the most common zoonotic disease in Russia, with about a 98% abundance of Puumala virus in all HFRS cases. We report clinical manifestations and genomic characteristics of the Puumala virus strain that caused an unconventional course of HFRS with sudden death. The patient was admitted to the hospital on the third day from fever onset with hyperthermia, cough, shortness of breath, and severe weakness, and died 28 h after hospitalization despite intensive care. Further analyses of autopsy samples led to Puumala virus detection. The viral genome was sequenced, followed by phylogenetic and similarity plot analyses. The genomic sequences of three viral segments were identified as endemic for the Moscow region strain. Phylogenetic and similarity plot analysis revealed the reassortant origin of the strain via M segment exchange. This finding increases the explored molecular diversity of Puumala virus in the Central Federal District and underscores the need for heightened awareness of HFRS manifestations that deviate from regular clinical presentation. Full article
(This article belongs to the Section Viral Pathogens)
Show Figures

Figure 1

24 pages, 84390 KB  
Review
Magnetic Nanoparticles in Theranostics: From Controlled Synthesis and Surface Engineering to Biological Performance and Clinical Translation
by Gabriel Tolardo Colombo, Ruan Rompato Vieira, Gustavo Sanguino Dias, Marcia Edilaine Lopes Consolaro, Ivair Aparecido dos Santos, Raquel Dosciatti Bini and Luiz Fernando Cotica
J. Nanotheranostics 2026, 7(1), 7; https://doi.org/10.3390/jnt7010007 - 11 Mar 2026
Viewed by 201
Abstract
The usage of magnetic nanoparticles (MNPs), particularly iron oxide-based systems such as magnetite (Fe3O4) and maghemite (γ-Fe2O3), has significantly advanced the field of theranostics. These nanoparticles unite therapeutic and diagnostic capabilities [...] Read more.
The usage of magnetic nanoparticles (MNPs), particularly iron oxide-based systems such as magnetite (Fe3O4) and maghemite (γ-Fe2O3), has significantly advanced the field of theranostics. These nanoparticles unite therapeutic and diagnostic capabilities due to their favorable magnetic properties and surface engineering potential. However, the path from synthesis to clinical application poses substantial challenges, including optimization of structure–property–function relationships, biocompatibility issues, and effective surface functionalization. Various synthesis methods, such as co-precipitation and thermal decomposition, aim to achieve specific nanoparticle characteristics, although they encounter obstacles related to scalability and reproducibility. Furthermore, characterizing these systems through structural, microstructural and spectroscopic techniques is vital to determine their functional efficacy and ensure their safe biomedical usage. This review comprehensively examines recent advancements and identifies existing challenges in the clinical translation of MNPs, highlighting the need for refined methods and standardized protocols to effectively exploit their theranostic potential. It outlines future directions, emphasizing the importance of green synthesis and robust characterization frameworks to enhance the integration of MNPs in personalized medicine. Full article
(This article belongs to the Special Issue Feature Review Papers in Nanotheranostics)
Show Figures

Graphical abstract

26 pages, 2782 KB  
Article
Effect of Different Magnetite Nanoparticle Coatings on Blood Circulation, Biodistribution, Tumor Accumulation and Penetration
by Elizaveta N. Mochalova, Maria A. Yurchenko, Tatiana S. Vorobeva, Darina A. Maedi, Nikita O. Chernov, Olga A. Kolesnikova, Ekaterina D. Tereshina, Victoria O. Shipunova, Maria N. Yakovtseva, Petr I. Nikitin and Maxim P. Nikitin
Pharmaceutics 2026, 18(3), 345; https://doi.org/10.3390/pharmaceutics18030345 - 11 Mar 2026
Viewed by 572
Abstract
Background/Objectives: Magnetite nanoparticles represent promising candidates for a broad spectrum of biomedical applications, ranging from in vitro diagnostic assays to in vivo imaging, hyperthermia, and targeted drug and gene delivery, with some nanoagents already approved for clinical use. A critical determinant of their [...] Read more.
Background/Objectives: Magnetite nanoparticles represent promising candidates for a broad spectrum of biomedical applications, ranging from in vitro diagnostic assays to in vivo imaging, hyperthermia, and targeted drug and gene delivery, with some nanoagents already approved for clinical use. A critical determinant of their functionality is the nanoparticle coating, which facilitates beneficial interactions within biological systems. In the context of tumor-targeted therapeutic delivery, key design parameters—particularly surface coatings—can be optimized to enhance treatment efficacy by modulating blood circulation kinetics, biodistribution, and other critical properties. However, current preclinical screening methods primarily rely on cell culture models to identify potential nanocarriers, yet these systems often poorly correlate with actual in vivo performance. This discrepancy highlights the necessity of incorporating more biologically relevant testing platforms, such as high-throughput in vivo assays. Methods: In this work, we employed an original magnetic particle quantification (MPQ) technology to systematically evaluate the blood circulation kinetics and biodistribution patterns for magnetite nanoparticles with 17 different coatings across multiple organs and tissues, including the liver, spleen, lungs, kidneys, heart, tumor, brain, peripheral blood, muscle, and bone. This methodology offers high sensitivity, user-friendly operation, and provides quantitative measurements across a broad dynamic range of nanoparticle concentrations. These advantages enabled high-throughput acquisition of precise blood circulation and biodistribution data. In addition, histological analysis was conducted to evaluate nanoparticle penetration depth within tumor tissue. Results: Here we conducted a comprehensive study of the effect of 17 different polymer-, lectin-, and small molecule-based coatings on the behavior of magnetite nanoparticles in vivo. For each type of obtained nanoparticles, we implemented passive targeting as well as magnetic targeting, the latter using an external magnetic field localized in the tumor area. Conclusions: The collected dataset provides critical insights into how surface modifications influence nanoparticle performance in complex biological systems, offering valuable guidance for optimizing therapeutic nanocarrier design. Full article
(This article belongs to the Section Nanomedicine and Nanotechnology)
Show Figures

Graphical abstract

15 pages, 4002 KB  
Article
Radiofrequency-Induced Disassembly of Insulin Fibrillar Structures Using Functionalized Magnetic Nanoparticles
by Natália Andrýsková, Veronika Benková, Melánia Babincová, Peter Babinec and Štefan Durdík
Appl. Sci. 2026, 16(5), 2473; https://doi.org/10.3390/app16052473 - 4 Mar 2026
Viewed by 235
Abstract
Amyloidosis is characterized by the deposition of misfolded proteins as highly stable, insoluble β-sheet-rich fibrils, posing a major therapeutic challenge due to their resistance to degradation. Insulin-derived amyloidosis at subcutaneous injection sites is a clinically significant complication in patients with diabetes, leading to [...] Read more.
Amyloidosis is characterized by the deposition of misfolded proteins as highly stable, insoluble β-sheet-rich fibrils, posing a major therapeutic challenge due to their resistance to degradation. Insulin-derived amyloidosis at subcutaneous injection sites is a clinically significant complication in patients with diabetes, leading to impaired insulin absorption, unpredictable glycemic control, substantially increased insulin dose requirements, and localized masses (amyloidomas) that may require surgical excision when symptomatic. In this study, we evaluated sodium oleate-functionalized magnetic nanoparticles (MNs) with a hydrodynamic diameter of 50 nm with a magnetite (iron oxide—Fe3O4) core as a targeted physical intervention to disrupt preformed insulin amyloid fibrils. The strategy exploits localized nanoscale hyperthermia generated by MNs under a high-frequency radiofrequency (RF) field (1.65 MHz). Fibril integrity and disassembly kinetics were assessed using Thioflavin T (ThT) fluorescence assays and fluorescence microscopy. RF-activated MNs induced rapid, concentration-dependent fibril disruption; notably, at 2 mg/mL MNs, near-complete disassembly was achieved within 15 min—a timeframe compatible with clinical procedures. Neither RF nor MNs alone produced significant effects, confirming a synergistic magnetothermal mechanism. These results provide a proof of concept for a minimally invasive, externally triggered approach to clear localized insulin amyloid deposits, offering promising potential as a novel therapeutic strategy for managing injection-site amyloidosis in diabetic patients, where current options remain limited and often inadequate. Full article
(This article belongs to the Special Issue Application of Magnetic Nanoparticles)
Show Figures

Figure 1

15 pages, 4873 KB  
Article
Repurposing Conventional Magnetic Functional Agents: A Novel Strategy for Long-Acting, Safe, Magnetically Mediated Precision Oncology
by Zihan Lv, Yue Wang, Yimin Su, Albert Yu, Rouye He, Zhongjian Xie and Yao Zhu
Pharmaceutics 2026, 18(3), 319; https://doi.org/10.3390/pharmaceutics18030319 - 2 Mar 2026
Viewed by 452
Abstract
Background: Although conventional magnetic functional agents provide a material basis for magnetically mediated tumor therapy, they have long been restricted by the application framework of magnetic resonance imaging (MRI) or magnetic thermal ablation. Methods: This study proposed a repurposing strategy of [...] Read more.
Background: Although conventional magnetic functional agents provide a material basis for magnetically mediated tumor therapy, they have long been restricted by the application framework of magnetic resonance imaging (MRI) or magnetic thermal ablation. Methods: This study proposed a repurposing strategy of two mature magnetic functional agents, Fe3O4 nanoparticles and gadopentetic acid (GA), by applying their unique magnetic response properties to enhance magnetic field therapy for glioma. Results: Both magnetic materials, when combined with an external magnetic field (MF), showed a synergistic effect to amplify the therapeutic effect. In the CT-2A glioma-bearing mice model, it resulted in marked suppression of tumor growth, with the growth inhibition (TGI) rate increasing from ~27% after MF therapy alone to 64% and 55% after the Fe3O4- and GA-potentiated MF therapy, respectively. It was proposed that the MF effect on impairing tumor angiogenesis was enhanced, as evidenced by significant reductions in CD31 expression and microvessel density. It disrupted nutrient supply to the tumor, augmenting the tumor suppression efficiency. The reduced infiltration of CD4+ and CD8+ T cells into tumors further confirmed the effective blockade of tumor perfusion. Conclusions: This study established a new paradigm of conventional magnetic materials to enhance the non-thermal physical effects and biological regulatory effects of magnetic field for glioma therapy, instead of only as the imaging agents or magnetic hyperthermia agents. Full article
(This article belongs to the Special Issue Magnetic Materials for Biomedical Applications)
Show Figures

Figure 1

14 pages, 976 KB  
Article
The Association Between Early Postoperative Temperature Trajectories and Severe Acute Kidney Injury After Valvular Heart Surgery: A Retrospective Cohort Study
by Jin Sun Cho, Sungmin Suh, Jae-Kwang Shim, Hye Sun Lee, Hee Won Choi, Hyejin Yang and Young-Lan Kwak
J. Clin. Med. 2026, 15(5), 1887; https://doi.org/10.3390/jcm15051887 - 1 Mar 2026
Viewed by 353
Abstract
Background/Objectives: Postoperative body temperature abnormalities are common yet underrecognized, and their association with acute kidney injury (AKI) remains unclear. In this study, we aimed to identify early postoperative temperature trajectories and evaluate their associations with AKI. Methods: This retrospective cohort study included [...] Read more.
Background/Objectives: Postoperative body temperature abnormalities are common yet underrecognized, and their association with acute kidney injury (AKI) remains unclear. In this study, we aimed to identify early postoperative temperature trajectories and evaluate their associations with AKI. Methods: This retrospective cohort study included 3274 adults undergoing valvular heart surgery with cardiopulmonary bypass. The patients’ temperatures were continuously measured using a pulmonary artery catheter for 12 postoperative hours, and temperature trajectories were identified using data-driven latrend class modeling. The primary outcome was severe AKI (KDIGO stage ≥ 2), and the secondary outcome was non-recovery AKI (≥72 h). Multivariable logistic regression and E-value sensitivity analysis were performed. Results: Four distinct temperature trajectories were identified: Class 1 (32.8%), initial normothermia progressing to mild hyperthermia (37.5–38.0 °C); Class 2 (27.4%), mild hypothermia (36.0–36.5 °C) with rapid normalization; Class 3 (24.4%), stable normothermia; and Class 4 (15.4%), lower-range mild hypothermia (35.5–36.0 °C) with delayed recovery. Severe AKI and non-recovery AKI occurred most frequently in Class 4 patients (15.1% vs. 2.9%, 3.9%, and 4.8% in Classes 1–3, p < 0.001; 15.1% vs. 1.7%, 4.0%, and 4.4%, p < 0.001, respectively). After adjusting for key clinical variables, Class 4 remained independently associated with severe AKI (OR 2.44, 95% CI: 1.69–3.57; E-value 4.33) and non-recovery AKI (OR 2.78, 95% CI: 1.89–4.00; E-value 4.97). Conclusions: Early postoperative temperature trajectories were significantly associated with severe AKI, with the highest risks in patients exhibiting lower-range mild hypothermia with delayed recovery. These findings suggest that early postoperative temperature patterns may be useful for risk stratification for severe AKI after cardiac surgery. Full article
Show Figures

Figure 1

13 pages, 1412 KB  
Article
Gold Nanorods Embedded in Mesoporous Silica for Photothermal Therapy and SERS Monitoring in T47D Breast Cancer Cells
by Annel Armenta-Gamez, Alejandro Pedroza-Montero, Alejandra Tapia-Villasenor, Erika Silva-Campa, Hector Loro, Rodrigo Melendrez, Sergio A. Aguila and Karla Santacruz-Gomez
Pharmaceutics 2026, 18(3), 310; https://doi.org/10.3390/pharmaceutics18030310 - 28 Feb 2026
Viewed by 465
Abstract
Background: The development of plasmonic photothermal therapy (PPTT) to trigger cancer cells is often hindered by uncontrolled overheating and the lack of real-time feedback. Methods: In this study, we report the synthesis of gold nanorod-embedded mesoporous silica nanoshells (AuNR@Si) as a multifunctional theranostic [...] Read more.
Background: The development of plasmonic photothermal therapy (PPTT) to trigger cancer cells is often hindered by uncontrolled overheating and the lack of real-time feedback. Methods: In this study, we report the synthesis of gold nanorod-embedded mesoporous silica nanoshells (AuNR@Si) as a multifunctional theranostic platform designed for controlled hyperthermia and surface-enhanced Raman spectroscopy (SERS) monitoring. Using a layer-by-layer templating strategy, AuNRs were successfully obtained within a hollow silica architecture. Results: While AuNRs alone exhibited rapid photothermal spikes reaching 64 °C, the AuNR@Si platform moderated the photothermal response, maintaining a stable therapeutic window (41–45 °C). In vitro assays using T47D breast cancer cells demonstrated a 33% reduction in viability following irradiation. Furthermore, the structural stability of the AuNR@Si platform enabled SERS monitoring of cellular damage, identifying specific biochemical fingerprints of protein denaturation, cytochrome c release and DNA fragmentation. Conclusions: These results suggest that AuNR@Si nanoshells provide a safer, regulated approach to photothermal ablation with the added benefit of molecular detection, demonstrating proof-of-concept theranostic functionality in a luminal breast cancer model. Full article
(This article belongs to the Special Issue Multifunctional Nanoparticles: Diagnostics, Therapy, and Beyond)
Show Figures

Graphical abstract

24 pages, 23823 KB  
Article
Multiphysical Characterization of a Tissue-Mimicking Phantom: Composition, Thermal Behavior, and Broadband Electromagnetic Properties from Visible to Terahertz and Microwave Frequencies
by Erick Reyes-Vera, Carlos Furnieles, Camilo Zapata Hernandez, Jorge Montoya-Cardona, Paula Ortiz-Santana, Juan Botero-Valencia and Javier Araque
Materials 2026, 19(5), 931; https://doi.org/10.3390/ma19050931 - 28 Feb 2026
Viewed by 233
Abstract
A water-rich muscle-equivalent tissue-mimicking phantom within a polymeric matrix was experimentally evaluated through a multimodal characterization methodology to determine whether it reproduces the coupled dielectric–thermal behavior of hydrated biological tissue under exposure to electromagnetic waves. The material was analyzed using thermogravimetric analysis, microwave [...] Read more.
A water-rich muscle-equivalent tissue-mimicking phantom within a polymeric matrix was experimentally evaluated through a multimodal characterization methodology to determine whether it reproduces the coupled dielectric–thermal behavior of hydrated biological tissue under exposure to electromagnetic waves. The material was analyzed using thermogravimetric analysis, microwave dielectric spectroscopy from 1.5 to 4.0 GHz, VIS–NIR spectroscopy between 350 and 1200 nm, and terahertz time-domain reflection. The thermogravimetric results confirmed dominant water content, with primary mass loss below 200 °C, establishing hydration as the governing factor of its thermal response. Next, the microwave dielectric measurements show that the phantom exhibits a relative permittivity of 37.4 and an electrical conductivity of 2.4 S/m. On the other hand, the VIS–NIR spectra show smooth broadband absorption with limited spatial variability, and principal component analysis reveals macroscopic optical homogeneity without structural spectral distortion. In the THz regime, strong broadband attenuation characteristic of water-rich matrices is observed, and reflection-mode measurements enable robust assessment of temporal stability through time- and frequency-domain signatures. Finally, a microwave thermal validation demonstrates stable behavior under low-power excitation, whereas under hyperthermia-level irradiation, a significant thermal drift of −3.985 °C/h was reached under non-adiabatic conditions, identifying hydration-mediated moisture redistribution as the principal limitation during prolonged high-power exposure. Collectively, these results demonstrate cross-regime dielectric–thermal consistency while explicitly defining the hydration-driven constraints governing long-term stability, providing a validated reference material for broadband electromagnetic and thermal biomedical experimentation. Full article
Show Figures

Figure 1

13 pages, 1234 KB  
Article
Survival Difference in Advanced-Stage Cervical and Ovarian Cancer Patients Treated with Concomitant Modulated Electro-Hyperthermia in Comparison to Classic Treatment Modalities: Results of a Pilot Study and Meta-Analysis
by Ivan Panczel, Magdolna Herold, Erika Borbenyi, Daniel Horanyi, Zoltan Novak, Magdolna Dank, Attila Marcell Szasz and Zoltan Herold
Med. Sci. 2026, 14(1), 105; https://doi.org/10.3390/medsci14010105 - 22 Feb 2026
Viewed by 311
Abstract
Background: Modulated electro-hyperthermia (mEHT) is one of the latest advancements in the field of oncological hyperthermia. Previous studies investigating mEHT revealed that it is safe and effective; however, no meta-analysis was conducted either in cervical or ovarian cancer. Methods: A single-institute pilot case [...] Read more.
Background: Modulated electro-hyperthermia (mEHT) is one of the latest advancements in the field of oncological hyperthermia. Previous studies investigating mEHT revealed that it is safe and effective; however, no meta-analysis was conducted either in cervical or ovarian cancer. Methods: A single-institute pilot case series and a meta-analysis were conducted. Advanced stage cervical and ovarian cancer cases were included. In the pilot study, mEHT treatments were conducted using the Oncotherm EHY-2000+ and the EHY-2030 devices with 2–3 treatment sessions per week. Results: For the meta-analysis, a total of five studies were identified, with 160 and 31 cervical and ovarian cancer patients, respectively. In addition, 175 standard-of-care-treated cervical cancer patients were also identified as controls. The 1- and 2-year survival rate of the cervical cancer patients treated with mEHT was 87.61% [95% confidence interval (CI): 71.31–100%] and 78.13% (95% CI: 53.02–100%). Compared to the controls, the 2-year survival rates (78.13% vs. 58.86%) were significantly better in the mEHT-treated cohorts (odds ratio: 0.4143, p = 0.0441; hazard rate: 0.6607, p = 0.0103). The 1- and 2-year survival rates of ovarian cancer patients were 45.46% (95% CI: 5.97–84.95%) and 32.83% (95% CI: 0–79.57%), respectively. The result of our institutional data strengthened the results of the meta-analysis. Conclusions: Using mEHT, a significantly higher 2-year survival rate can be achieved in cervical cancer. In this setting, a wider testing/application of the modality is warranted. In the case of ovarian tumors, the available knowledge is minimal, and applicability and efficacy studies are urgently needed. Full article
(This article belongs to the Section Cancer and Cancer-Related Research)
Show Figures

Figure 1

15 pages, 2663 KB  
Article
Self-Heating Performance of Magnetite Doped with Cobalt/Zinc Nanoparticles: Impact of Magnetic Field, Coating Agent, and Dispersing Solvent
by Enaam A. Al-Harthi, Ghaida H. Munshi, Jamilah M. Al-Ahmari and Mohamed S. A. Darwish
Chemistry 2026, 8(2), 28; https://doi.org/10.3390/chemistry8020028 - 16 Feb 2026
Viewed by 441
Abstract
Fabrication of magnetic materials via a facile and environmentally favorable process with high self-heating performance is quite favored for biomedical applications. To tackle this challenge, magnetic ferrite nanoparticles were developed through an ultrasonic-assisted coprecipitation process. Magnetite (Fe3O4), magnetite doped [...] Read more.
Fabrication of magnetic materials via a facile and environmentally favorable process with high self-heating performance is quite favored for biomedical applications. To tackle this challenge, magnetic ferrite nanoparticles were developed through an ultrasonic-assisted coprecipitation process. Magnetite (Fe3O4), magnetite doped with cobalt nanoparticles (Co0.4Fe2.6O4), and magnetite doped with cobalt/zinc nanoparticles (Zn0.15Co0.25Fe2.6O4) were synthesized using ultrasonic-assisted coprecipitation techniques. Specific loss power (SLP) was estimated to optimize the heating influence under varied magnetic fields, coating agents, and dispersing solvents. Magnetite doped with cobalt/zinc nanoparticles demonstrated elevated SLP 110 W/g with preferable hyperthermic performance, where AMF conditions did not surpass the safety border for human exposure. The self-heating performance of magnetite doped with cobalt/zinc nanoparticles increased with increasing strength at a constant frequency. The self-heating performance of magnetite nanoparticles increased with increasing frequency at constant strength. Hence, the prepared magnetite doped with cobalt/zinc nanoparticles by the ultrasonic-assisted coprecipitation process can be appropriate for biomedical applications. Full article
Show Figures

Figure 1

11 pages, 284 KB  
Article
Intensive Care Management and Outcomes of Neuroleptic Malignant Syndrome: A Single-Center Retrospective Study
by Fatma Özdemir, Dicle Birtane, Nurdan Yılmaz and Zafer Çukurova
Medicina 2026, 62(2), 378; https://doi.org/10.3390/medicina62020378 - 14 Feb 2026
Viewed by 540
Abstract
Background and Objectives: Neuroleptic malignant syndrome (NMS) is a rare but high-mortality clinical condition. The aim of this study was to describe the demographic characteristics, clinical and laboratory findings, management strategies, and clinical outcomes of adult patients with NMS treated in an adult [...] Read more.
Background and Objectives: Neuroleptic malignant syndrome (NMS) is a rare but high-mortality clinical condition. The aim of this study was to describe the demographic characteristics, clinical and laboratory findings, management strategies, and clinical outcomes of adult patients with NMS treated in an adult intensive care unit. Materials and Methods: This retrospective descriptive study included adult patients admitted to a tertiary care ICU with a diagnosis of NMS. Data were obtained from medical records and included demographic characteristics, suspected NMS-related drug exposures, clinical and laboratory findings at ICU admission, disease severity indicators, treatments administered, and clinical outcomes. Continuous variables were expressed as median and interquartile range (IQR), and categorical variables as number and percentage. Results: A total of 42 patients were included. The median age was 48 years (IQR: 24.1–75.5), and 61.9% were male. Atypical antipsychotics were the most frequently implicated agents (69.0%). Altered mental status was observed in 92.9% of patients, tachycardia in 61.9%, and hyperthermia in 47.6%. Creatine kinase levels >1000 U/L were present in 57.1%, and leukocytosis in 71.4%. Mechanical ventilation was required in 59.5% of patients. Acute kidney injury developed in 31%, and continuous renal replacement therapy (CRRT) was initiated in 21.4%. Bromocriptine was administered in 54.8% of cases, dantrolene in 4.8%, and amantadine in 11.9%. The ICU mortality rate was 9.5%. Conclusions: Patients with neuroleptic malignant syndrome often present with a severe clinical course requiring advanced organ support in the intensive care unit. However, with early diagnosis and appropriate intensive care management, mortality can be maintained at acceptable levels. Full article
(This article belongs to the Section Intensive Care/ Anesthesiology)
21 pages, 907 KB  
Systematic Review
Squash Under Strain: A Systematic Review and Meta-Analysis of Injuries and Illnesses in Squash Players
by Rachel Victoria McCartney, Thomas Fallon and Neil Heron
Sports 2026, 14(2), 79; https://doi.org/10.3390/sports14020079 - 11 Feb 2026
Viewed by 604
Abstract
Background: Squash, a high-intensity sport with growing global popularity and an upcoming 2028 Olympic debut, is known to pose a wide range of potential health risks. However, epidemiological research of squash-related injuries and illnesses lacks consistency regarding reporting metrics and methodological standardisation. Therefore, [...] Read more.
Background: Squash, a high-intensity sport with growing global popularity and an upcoming 2028 Olympic debut, is known to pose a wide range of potential health risks. However, epidemiological research of squash-related injuries and illnesses lacks consistency regarding reporting metrics and methodological standardisation. Therefore, this study aimed to systematically review the global literature to identify the incidence, prevalence, and anatomical distribution of reported squash-related health issues, calculate a pooled injury rate, and highlight research gaps. Methods: Following PRISMA guidelines (PROSPERO ID: CRD420251081709), a search conducted across MEDLINE, Embase, and Web of Science (from inception to 12 June 2025) yielded 12 studies, and a random-effects model estimated the pooled injury rate. Results: The pooled injury rate approximated 0.74 injuries per 365 athlete-days (95% CI: 0.26–2.07) and 2.01 injuries per 1000 athlete-days (95% CI: 0.72–5.67); however, extremely high heterogeneity (I2 = 99.65%) revealed significant methodological inconsistencies. Lower limb soft tissue injuries were most common, though regional patterns varied substantially. Additionally, risks from cardiovascular strain and hyperthermia were noted within the literature, alongside a generally poor uptake of protective equipment and a significant research gap on squash-related illnesses. Conclusions: Lack of standardisation hinders risk assessment and prevention within squash; therefore, future research requires an international consensus on injury surveillance, particularly as squash enters its Olympic era. Full article
Show Figures

Figure 1

16 pages, 992 KB  
Article
The Clinical, Histological, and Genetic Spectrum of RYR1 Variants—A Multi-Center Israeli Cohort Study
by Mira Ginsberg, Marina Michelson, Sharon Aharoni, Liora Sagie, Yael Michaeli, Ditza Rotenberg, Vitaly Finkelshtein, Keren Yosovich, Zohar Argov, Andrea Nissenkorn, Dorit Lev, Menachem Sadeh and Ron Dabby
J. Clin. Med. 2026, 15(4), 1388; https://doi.org/10.3390/jcm15041388 - 10 Feb 2026
Viewed by 537
Abstract
Background: Variants in the ryanodine receptor 1 (RYR1) gene have been linked to a range of disorders, from congenital myopathy to adult-onset manifestations, with phenotypes varying from mild to severe. Methods: A retrospective review was conducted on an Israeli [...] Read more.
Background: Variants in the ryanodine receptor 1 (RYR1) gene have been linked to a range of disorders, from congenital myopathy to adult-onset manifestations, with phenotypes varying from mild to severe. Methods: A retrospective review was conducted on an Israeli cohort of 36 individuals with RYR1 variants, identified through genetic testing as part of a national collaboration among multiple pediatric and adult neuromuscular clinics. Clinical features, molecular data, laboratory results, electromyographic findings, and muscle histology were analyzed. Each variant was classified according to its respective domain within the RYR1 gene. Results: Thirty-six cases were included in the analysis; 31 were from 11 unrelated families, and 5 were sporadic. Nine individuals were asymptomatic with normal CK levels. Most of the 27 affected patients presented with variable degrees of perinatal weakness, often accompanied by respiratory impairment or arthrogryposis. Weakness was predominantly proximal, with clinical courses that included deterioration, improvement, or stabilization. Three cases of King–Denborough syndrome were identified. Additional presentations included malignant hyperthermia and, in isolated cases, periodic paralysis. Muscle biopsies demonstrated considerable histologic heterogeneity, including fiber-size variation, internal nuclei, multiminicores, and fibrosis or dystrophic features. The pathogenic RYR1 variants included five compound-heterozygous genotypes, two homozygous variants, and two heterozygous variants. There was a positive correlation between variants located in the Bsol domain and disease severity. Conclusions: This cohort confirms and expands the clinical and histological diversity associated with RYR1 variants in Israel. Variants in the Bsol domain appear to be indicative of disease severity. Full article
(This article belongs to the Section Clinical Neurology)
Show Figures

Figure 1

Back to TopTop