Sign in to use this feature.

Years

Between: -

Subjects

remove_circle_outline
remove_circle_outline
remove_circle_outline
remove_circle_outline
remove_circle_outline
remove_circle_outline
remove_circle_outline

Journals

Article Types

Countries / Regions

Search Results (13)

Search Parameters:
Keywords = hepatic oval cells

Order results
Result details
Results per page
Select all
Export citation of selected articles as:
16 pages, 3010 KB  
Article
A Protocol for the Isolation of Oval Cells without Preconditioning
by Rocío Olivera-Salazar, Aránzazu Sánchez, Blanca Herrera, Juan García-Sáez, Luz Vega-Clemente, Pedro Villarejo Campos, Damián García-Olmo and Mariano García-Arranz
Int. J. Mol. Sci. 2024, 25(19), 10497; https://doi.org/10.3390/ijms251910497 - 29 Sep 2024
Cited by 1 | Viewed by 1953
Abstract
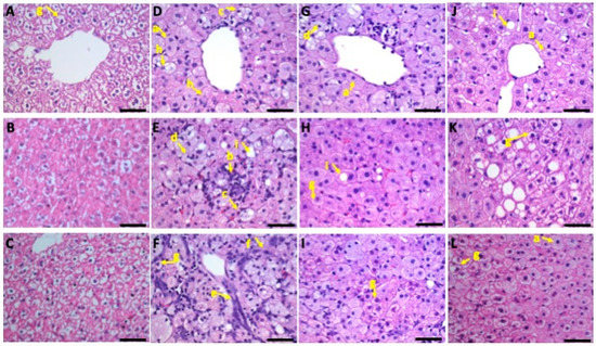
Oval cells (OCs) is the name of hepatic progenitor cells (HPCs) in rodents. They are a small population of cells in the liver with the remarkable ability to proliferate and regenerate hepatocytes and cholangiocytes in response to acute liver damage. Isolating OCs generally [...] Read more.
Oval cells (OCs) is the name of hepatic progenitor cells (HPCs) in rodents. They are a small population of cells in the liver with the remarkable ability to proliferate and regenerate hepatocytes and cholangiocytes in response to acute liver damage. Isolating OCs generally requires a pretreatment with special diets, chemicals, and/or surgery to induce hepatic damage and OC proliferation in mice. Unfortunately, these pretreatments are not only painful for the mice but also increase the cost of the assays, and the effects on the different organs as well as on various liver cells are still unclear. Therefore, the search for a protocol to obtain OCs without prior liver damage is mandatory. In our study, we present a protocol to isolate murine OCs from healthy liver (HL-OCs) and compare them with OCs isolated from mice pretreated with 3,5-diethoxycarbonyl-1,4-dihydrocollidine (DDC-OCs). Our results demonstrated that cells derived from untreated mice exhibited similar behavior to those from treated mice in terms of surface marker expression, proliferation, and differentiation capacity. Therefore, given the impracticability of isolating human cells with prior hepatotoxic treatment, our model holds promise for enabling the isolation of progenitor cells from human tissue in the future. This advancement could prove invaluable for translational medicine in the understanding and treatment of liver diseases. Full article
(This article belongs to the Special Issue Chronic Liver Disease and Hepatocellular Carcinoma)
Show Figures

Figure 1

8 pages, 2192 KB  
Case Report
Primary Bone Lymphoma of the Scapula
by Josip Lovaković, Inga Mandac Smoljanović, Andro Matković and Tomislav Smoljanović
Hematol. Rep. 2024, 16(1), 106-113; https://doi.org/10.3390/hematolrep16010011 - 28 Feb 2024
Cited by 1 | Viewed by 3119
Abstract
Primary bone lymphoma of the scapula is a rare tumor that usually causes local pain. The presented patient suffered for two years from paresthesia, tingling, numbness, and edema of the little and ring fingers. The 45-year-old man underwent several radiological and neurological assessments [...] Read more.
Primary bone lymphoma of the scapula is a rare tumor that usually causes local pain. The presented patient suffered for two years from paresthesia, tingling, numbness, and edema of the little and ring fingers. The 45-year-old man underwent several radiological and neurological assessments of the palm, elbow, and neck before radiographs revealed a tumor of the left shoulder. Once diffuse large B-cell lymphoma was confirmed, immunochemotherapy with rituximab, cyclophosphamide, doxorubicin, vincristine, and methylprednisolone (R-CHOP) started. The treatment was accompanied by antiviral treatment with lamivudine due to positive hepatitis B virus serology, specifically anti-HBs (hepatitis B surface) antibody, total anti-HBc (hepatitis B core) antibody, and anti-HBe (hepatitis B e antigen) antibody, together with bisphosphonate treatment for the prevention of bone resorption. Once immunochemotherapy was finished, the treatment was supplemented by radiotherapy of the shoulder. After more than three years of remission, the patient had an ischemic stroke manifesting with right-sided hemiparesis. Following physical therapy, the patient is currently in the process of evaluation for thrombophilia, as well as further cardiac assessment due to the positive transcranial Doppler bubble test, setting high suspicion for the presence of patent foramen ovale. Full article
Show Figures

Figure 1

19 pages, 8380 KB  
Article
Cetacean Intracytoplasmic Eosinophilic Globules: A Cytomorphological, Histological, Histochemical, Immunohistochemical, and Proteomic Characterization
by Antonio Fernández, Nakita Câmara, Eva Sierra, Manuel Arbelo, Yara Bernaldo de Quirós, Paul D. Jepson, Rob Deaville, Josué Díaz-Delgado, Cristian Suárez-Santana, Ayoze Castro, Julia N. Hernández and Ana Godinho
Animals 2023, 13(13), 2130; https://doi.org/10.3390/ani13132130 - 27 Jun 2023
Cited by 2 | Viewed by 3224
Abstract
The nature, etiopathogenesis, and clinicopathologic relevance of the prevalent intracytoplasmic eosinophilic globules (IEGs) within hepatocytes of cetaceans are unknown. This study aims to evaluate the presence and characterize the IEGs in the hepatocytes of cetaceans using histochemical and immunohistochemical electron microscopy, Western blot, [...] Read more.
The nature, etiopathogenesis, and clinicopathologic relevance of the prevalent intracytoplasmic eosinophilic globules (IEGs) within hepatocytes of cetaceans are unknown. This study aims to evaluate the presence and characterize the IEGs in the hepatocytes of cetaceans using histochemical and immunohistochemical electron microscopy, Western blot, lectin histochemistry, and matrix-assisted laser desorption/ionization time-of-flight mass spectrometry techniques. A total of 95/115 (83%) animals (16 species) exhibited histologically evident intracytoplasmic round to oval, single to multiple, hyaline eosinophilic globules within the hepatocytes. These globules were largely PAS-positive, diastase resistant, and were immunopositive for fibrinogen (FB, 97%), albumin (Alb, 85%), and α1-antitrypsine (A1AT, 53%). The IEG positivity for FB and A1AT were correlated with live-stranding, hepatic congestion and a good nutritional status. The cetaceans lacking IEGs were consistently dead stranded and had poor body conditions. The IEGs in 36 bycaught cetaceans were, all except one, FB-positive and A1AT-negative. The IEGs exhibited morphologic and compositional variations at the ultrastructural level, suggesting various stages of development and/or etiopathogenesis(es). The glycocalyx analysis suggested an FB- and A1AT-glycosylation pattern variability between cetaceans and other animals. The proteomic analyses confirmed an association between the IEGs and acute phase proteins, suggesting a relationship between acute stress (i.e., bycatch), disease, and cellular protective mechanisms, allowing pathologists to correlate this morphological change using the acute hepatocytic cell response under certain stress conditions. Full article
(This article belongs to the Special Issue Wildlife Diseases: Pathology and Diagnostic Investigation)
Show Figures

Figure 1

13 pages, 4635 KB  
Article
High-Dose Primaquine Induces Proximal Tubular Degeneration and Ventricular Cardiomyopathy Linked to Host Cells Mitochondrial Dysregulation
by Atthasit Rabiablok, Borimas Hanboonkunupakarn, Khwanchanok Tuentam, Kamonpan Fongsodsri, Tapanee Kanjanapruthipong and Sumate Ampawong
Toxics 2023, 11(2), 146; https://doi.org/10.3390/toxics11020146 - 2 Feb 2023
Cited by 3 | Viewed by 2524
Abstract
Primaquine (PQ) is the only antimalarial medication used to eradicate many species of Plasmodium gametocytes and prevent relapse in vivax and ovale malarias. PQ metabolites induce oxidative stress and impair parasitic mitochondria, leading to protozoal growth retardation and death. Collateral damage is also [...] Read more.
Primaquine (PQ) is the only antimalarial medication used to eradicate many species of Plasmodium gametocytes and prevent relapse in vivax and ovale malarias. PQ metabolites induce oxidative stress and impair parasitic mitochondria, leading to protozoal growth retardation and death. Collateral damage is also presented in mammalian host cells, particularly erythrocytes, resulting in hemolysis and tissue destruction. However, the underlying mechanisms of these complications, particularly the mitochondria-mediated cell death of the host, are poorly understood. In the present study, toxicopathological studies were conducted on a rat model to determine the effect of PQ on affected tissues and mitochondrial toxicity. The results indicated that the LD50 for PQ is 200 mg/kg. A high dose of PQ induced hemolytic anemia, elevated a hepatic enzyme (SGPT), and induced proximal tubular degeneration, ventricular cardiomyopathy, and mitochondrial dysregulation. In addition, PQ induced the upregulation of apoptosis-related proteins Drp-1 and caspase-3, with a positive correlation, as well as the pro-apoptotic mitochondrial gene expression of Bax, reflecting the toxic effect of high doses of PQ on cellular damage and mitochondrial apoptosis in terms of hepatotoxicity, nephrotoxicity, and cardiotoxicity. Regarding the risk/benefit ratio of drug administration, our research provides caution for the use of PQ in the treatment of malaria based on its toxicopathological effects. Full article
(This article belongs to the Section Drugs Toxicity)
Show Figures

Graphical abstract

11 pages, 2011 KB  
Article
Redox-Dependent Modulation of Human Liver Progenitor Cell Line Fate
by Francesco Bellanti, Domenica Mangieri, Giorgia di Bello, Aurelio Lo Buglio, Giuseppe Pannone, Maria Carmela Pedicillo, Alberto Fersini, Michał Dobrakowski, Aleksandra Kasperczyk, Sławomir Kasperczyk and Gianluigi Vendemiale
Int. J. Mol. Sci. 2023, 24(3), 1934; https://doi.org/10.3390/ijms24031934 - 18 Jan 2023
Cited by 1 | Viewed by 2337
Abstract
Redox homeostasis is determinant in the modulation of quiescence/self-renewal/differentiation of stem cell lines. The aim of this study consisted of defining the impact of redox modifications on cell fate in a human hepatic progenitor line. To achieve this, the HepaRG cell line, which [...] Read more.
Redox homeostasis is determinant in the modulation of quiescence/self-renewal/differentiation of stem cell lines. The aim of this study consisted of defining the impact of redox modifications on cell fate in a human hepatic progenitor line. To achieve this, the HepaRG cell line, which shows oval ductular bipotent characteristics, was used. The impact of redox status on the balance between self-renewal and differentiation of HepaRG cells was investigated using different methodological approaches. A bioinformatic analysis initially proved that the trans-differentiation of HepaRG toward bipotent progenitors is associated with changes in redox metabolism. We then exposed confluent HepaRG (intermediate differentiation phase) to oxidized (H2O2) or reduced (N-acetylcysteine) extracellular environments, observing that oxidation promotes the acquisition of a mature HepaRG phenotype, while a reduced culture medium stimulates de-differentiation. These results were finally confirmed through pharmacological modulation of the nuclear factor (erythroid-derived 2)-like 2 (NRF2), a principal modulator of the antioxidant response, in confluent HepaRG. NRF2 inhibition led to intracellular pro-oxidative status and HepaRG differentiation, while its activation was associated with low levels of reactive species and de-differentiation. In conclusion, this study shows that both intra- and extracellular redox balance are crucial in the determination of HepaRG fate. The impact of redox status in the differentiation potential of HepaRG cells is significant on the utilization of this cell line in pre-clinical studies. Full article
(This article belongs to the Special Issue Stem Cells in Health and Disease)
Show Figures

Figure 1

10 pages, 1530 KB  
Case Report
Syphilis, the Great Imitator—Clinical and Dermoscopic Features of a Rare Presentation of Secondary Syphilis
by Carmen Cantisani, Federica Rega, Luca Ambrosio, Teresa Grieco, Norbert Kiss, Fanni Adél Meznerics, András Bánvölgyi, Giordano Vespasiani, Francesca Arienzo, Giovanni Rossi, Giuseppe Soda and Giovanni Pellacani
Int. J. Environ. Res. Public Health 2023, 20(2), 1339; https://doi.org/10.3390/ijerph20021339 - 11 Jan 2023
Cited by 15 | Viewed by 12163
Abstract
Syphilis is characterized by a wide range of variable clinical symptoms; therefore, it is often referred to as “The Great Imitator”. Here, we report the case of a 69-year-old hepatitis-C-positive MSM patient, who was admitted to our clinic due to a solitary firm [...] Read more.
Syphilis is characterized by a wide range of variable clinical symptoms; therefore, it is often referred to as “The Great Imitator”. Here, we report the case of a 69-year-old hepatitis-C-positive MSM patient, who was admitted to our clinic due to a solitary firm painless erythematous maculopapular lesion with a central crater-like crust on the upper right thigh that occurred two months prior. The dermoscopy showed an erythematous, copper-colored, oval lesion with diffuse monomorphic dotted and glomerular vessels, central crust, and circular scaling (Biett’s sign). The histological findings ruled out neoplasia and described a plasma cell infiltrate and endothelial swelling. Finally, the combination of the dermoscopic image, histological findings and the additionally acquired knowledge about the sexual history of the patient at the second visit led to the diagnosis, which was then confirmed with serological tests. Dermoscopy may become a supportive tool to facilitate the recognition of secondary syphilis; however, the reporting of these atypical cases is crucial to highlight the many faces of the disease so that clinicians consider syphilis as part of the differential diagnosis of non-specific lesions. Full article
(This article belongs to the Special Issue Prevention and Digital Health in Dermatology)
Show Figures

Figure 1

7 pages, 3226 KB  
Interesting Images
Primary Clear Cell Carcinoma of the Pancreas: A Rare Case Report
by Yoo-Na Kang
Diagnostics 2022, 12(9), 2046; https://doi.org/10.3390/diagnostics12092046 - 24 Aug 2022
Cited by 7 | Viewed by 4071
Abstract
Most pancreatic carcinoma is ductal adenocarcinoma. Primary pancreatic clear cell carcinomas composed almost entirely of clear tumor cells are very rare. We present a case of a 72-year-old man with a pancreatic mass, which was detected on abdominal computed tomography (CT). He had [...] Read more.
Most pancreatic carcinoma is ductal adenocarcinoma. Primary pancreatic clear cell carcinomas composed almost entirely of clear tumor cells are very rare. We present a case of a 72-year-old man with a pancreatic mass, which was detected on abdominal computed tomography (CT). He had no symptoms and no abnormal findings on physical examination; however, he had a history of hepatitis B, hepatitis C, and hepatocellular carcinoma. He had received anti-viral treatment and radiofrequency ablation twice until 2 years prior. One year prior, follow-up contrast-enhanced abdominal CT revealed a newly developed pancreatic mass. Laparoscopic radical antegrade modular pancreato-splenectomy was performed. An ill-defined white-to-tan firm solid mass was observed in the pancreas, approximately 4.3 cm in diameter. The tumor cells showed >95% clear cell features, with a large round to oval nuclei and abundant clear cytoplasms, and well-defined cell membranes. Immunohistochemical staining revealed that the tumor cells were positive for cytokeratin 7, cytokeratin 19, HNF-1β, MUC-1, and p53. We excluded the possibility of metastatic clear renal cell carcinoma, neuroendocrine carcinoma, perivascular epithelioid cell tumor, malignant melanoma, and sarcoma because of the negativity for vimentin, chromogranin, synaptophysin, and HMB45. Consequently, he was diagnosed as having primary clear cell carcinoma of the pancreas and was treated with postoperative radiotherapy. Two months later, abdominal CT was suspicious for local recurrence at the resection margin. Additional adjuvant FOLFIRINOX chemotherapy was carried out 12 times. The patient is still alive after his third radiofrequency ablation for the newly-developed hepatic mass. Immunohistochemical staining for MUC-1 and HNF-1β, as well as histologic feature is very helpful for the diagnosis of primary pancreatic clear cell carcinoma with imaging methods for metastasis exclusion. Full article
(This article belongs to the Special Issue Diagnosis and Management of Gastrointestinal Disorders)
Show Figures

Figure 1

17 pages, 1929 KB  
Article
BMP9 Promotes an Epithelial Phenotype and a Hepatocyte-like Gene Expression Profile in Adult Hepatic Progenitor Cells
by Annalisa Addante, Carlos González-Corralejo, Cesáreo Roncero, Nerea Lazcanoiturburu, Juan García-Sáez, Blanca Herrera and Aránzazu Sánchez
Cells 2022, 11(3), 365; https://doi.org/10.3390/cells11030365 - 21 Jan 2022
Cited by 5 | Viewed by 3778
Abstract
Bone morphogenetic protein 9 (BMP9), a member of the TGF-β superfamily, has emerged as a new player in chronic liver diseases (CLDs). Its levels increase in the fibrotic liver where it promotes fibrogenesis. It also regulates hepatic progenitor cells (oval cells in rodents), [...] Read more.
Bone morphogenetic protein 9 (BMP9), a member of the TGF-β superfamily, has emerged as a new player in chronic liver diseases (CLDs). Its levels increase in the fibrotic liver where it promotes fibrogenesis. It also regulates hepatic progenitor cells (oval cells in rodents), a cell population that contributes to repopulate the liver and recover functionality upon severe damage, but it can also be pro-fibrogenic, depending upon the hepatic microenvironment. Here we analyze the effect of chronic exposure to BMP9 in oval cells. We show that cells chronically treated with BMP9 (B9T-OC) display a more epithelial and hepatocyte-like phenotype while acquiring proliferative and survival advantages. Since our previous studies had revealed a functional crosstalk between BMP9 and the HGF/c-Met signaling pathways in oval cells, we analyzed a possible role for HGF/c-Met in BMP9-induced long-term effects. Data evidence that active c-Met signaling is necessary to obtain maximum effects in terms of BMP9-triggered hepatocytic differentiation potential, further supporting functionally relevant cooperation between these pathways. In conclusion, our work reveals a novel action of BMP9 in liver cells and helps elucidate the mechanisms that serve to increase oval cell regenerative potential, which could be therapeutically modulated in CLD. Full article
(This article belongs to the Special Issue Bone Morphogenetic Protein (BMP) Signaling in Health and Diseases)
Show Figures

Figure 1

9 pages, 1848 KB  
Article
First Report and 3D Reconstruction of a Presumptive Microscopic Liver Lipoma in a Black Barbel (Barbus balcanicus) from the River Bregalnica in the Republic of North Macedonia
by Katerina Rebok, Maja Jordanova, Júlia Azevedo and Eduardo Rocha
Appl. Sci. 2021, 11(18), 8392; https://doi.org/10.3390/app11188392 - 10 Sep 2021
Cited by 3 | Viewed by 3078
Abstract
A lipoma is a benign tumour of mature adipocytes which may appear in various species, including marine and freshwater fish. It usually occurs in isolated locations, such as a superficial or deep mass, mainly in the skin and seldom in other organs. In [...] Read more.
A lipoma is a benign tumour of mature adipocytes which may appear in various species, including marine and freshwater fish. It usually occurs in isolated locations, such as a superficial or deep mass, mainly in the skin and seldom in other organs. In non-mammalian vertebrates, there is no agreed minimal size for the mass to be considered a lipoma. This study histologically describes a case proposed to be a microlipoma in the liver of Barbus balcanicus. The structure was an oval-shaped mass of well-differentiated adipocytes, surrounded by hepatic parenchyma. The adipocyte cluster did not contact with major vascular or biliary tracts, the liver capsule, or the hilum. The cell mass reached a maximal linear length and width of ~0.5 mm and ~0.4 mm. A three-dimensional and software-assisted reconstruction of the adipocytic mass showed that it had the shape of a flattened prolate spheroid (~0.01 mm3). Given the histological criteria currently used in the literature, we consider the mass as a lipoma, or, better, a microlipoma because it was tiny. We interpret this structure as an early growing lipoma. This work is the second description of a liver lipoma in a fish to the best of our knowledge. Full article
(This article belongs to the Special Issue Histopathology of Aquatic Animals)
Show Figures

Graphical abstract

14 pages, 2177 KB  
Article
A Signaling Crosstalk between BMP9 and HGF/c-Met Regulates Mouse Adult Liver Progenitor Cell Survival
by Annalisa Addante, Cesáreo Roncero, Nerea Lazcanoiturburu, Rebeca Méndez, Laura Almalé, María García-Álvaro, Peter ten Dijke, Isabel Fabregat, Blanca Herrera and Aránzazu Sánchez
Cells 2020, 9(3), 752; https://doi.org/10.3390/cells9030752 - 19 Mar 2020
Cited by 13 | Viewed by 5865
Abstract
During chronic liver disease, hepatic progenitor cells (HPC, oval cells in rodents) become activated, proliferate, and differentiate into cholangiocytes and/or hepatocytes contributing to the final outcome of the regenerative process in a context-dependent fashion. Here, we analyze the crosstalk between the hepatocyte growth [...] Read more.
During chronic liver disease, hepatic progenitor cells (HPC, oval cells in rodents) become activated, proliferate, and differentiate into cholangiocytes and/or hepatocytes contributing to the final outcome of the regenerative process in a context-dependent fashion. Here, we analyze the crosstalk between the hepatocyte growth factor (HGF)/c-Met signaling axis, key for liver regeneration, and bone morphogenetic protein (BMP)9, a BMP family ligand that has emerged as a critical regulator of liver pathology. Our results show that HGF/c-Met signaling blocks BMP9-mediated apoptotic cell death, while it potentiates small mothers against decapentaplegic (SMAD)1 signaling triggered by BMP9 in oval cells. Interestingly, HGF-induced overactivation of SMAD1, -5, -8 requires the upregulation of TGF-β type receptor activin receptor-like kinase (ALK)1, and both ALK1 and SMAD1 are required for the counteracting effect of HGF on BMP9 apoptotic activity. On the other hand, we also prove that BMP9 triggers the activation of p38MAPK in oval cells, which drives BMP9-apoptotic cell death. Therefore, our data support a model in which BMP9 and HGF/c-Met signaling axes establish a signaling crosstalk via ALK1 that modulates the balance between the two pathways with opposing activities, SMAD1 (pro-survival) and p38 mitogen-activated protein kinases (p38MAPK; pro-apoptotic), which determines oval cell fate. These data help delineate the complex signaling network established during chronic liver injury and its impact on the oval cell regenerative response. Full article
(This article belongs to the Special Issue TGF-beta/BMP Signaling Pathway)
Show Figures

Graphical abstract

15 pages, 921 KB  
Article
Dietary Supplementation with Hazelnut Oil Reduces Serum Hyperlipidemia and Ameliorates the Progression of Nonalcoholic Fatty Liver Disease in Hamsters Fed a High-Cholesterol Diet
by Jen-Her Lu, Kai Hsia, Chih-Hsun Lin, Chien-Chin Chen, Hsin-Yu Yang and Ming-Huei Lin
Nutrients 2019, 11(9), 2224; https://doi.org/10.3390/nu11092224 - 14 Sep 2019
Cited by 18 | Viewed by 6288
Abstract
Objective: Hazelnut oil (HO) is rich in monounsaturated fatty acids and polyunsaturated fatty acids. This study intended to analyze the effects of hazelnut oil supplementation on the serum lipid profile and nonalcoholic fatty liver disease in hamsters fed a high-cholesterol (HC) diet. [...] Read more.
Objective: Hazelnut oil (HO) is rich in monounsaturated fatty acids and polyunsaturated fatty acids. This study intended to analyze the effects of hazelnut oil supplementation on the serum lipid profile and nonalcoholic fatty liver disease in hamsters fed a high-cholesterol (HC) diet. Methods: Hamsters were fed a basic diet (control group) and an HC diet (HC group) for 16 weeks (n = 10 in each group). Hamsters were fed an HC diet for four weeks to induce hyperlipidemia and were then fed an HC diet enriched with 5% (low-dose HC + HO group; n = 10) and 10% HO (high-dose HC + HO group; n = 10) for 12 weeks. Serum lipid levels, hepatic changes (including steatosis, inflammation, and fibrosis), and hepatic prooxidant-antioxidant status (malondialdehyde (MDA), superoxide dismutase (SOD), glutathione peroxidase (GPx), and glutathione S-transferase (GST)) were evaluated after the treatment period. Results: Hamsters in the control group showed normal serum lipid profiles, normal liver function, and moderate glycogen storage without hepatic steatosis. Hamsters in the HC group showed severe hyperlipidemia, severe hepatic steatosis, and moderate steatohepatitis (mononuclear cell and neutrophil infiltration, oval cell hyperplasia, and fibrosis). Compared to the HC group, both the low-dose and the high-dose HC + HO groups showed a significant reduction of hyperlipidemia (serum triglyceride (TG), total cholesterol (TC), low-density lipoprotein cholesterol (LDL-C), and very-low-density lipoprotein cholesterol (VLDL-C levels)) and improved liver function (serum glutamic-oxaloacetic transaminase (SGOT) and serum glutamic pyruvic transaminase (SGPT)). Additionally, compared to the HC group, intrahepatic triglyceride accumulation (IHTC) was significantly higher in the HC + HO group, while the incidence of steatohepatitis was significantly lower. The intake of the HC diet was associated with a higher level of lipid peroxidation (malondialdehyde, MDA) and a lower concentration of hepatic antioxidant enzymes (SOD, GPx, and GST), and all these factors were partially improved in the low-dose and high-dose HC + HO groups. Conclusions: Our findings indicate that the intake of HO reduced serum hyperlipidemia and oxidative stress and ameliorated the progression of nonalcoholic fatty liver disease in hamsters fed a high-cholesterol diet. Full article
Show Figures

Graphical abstract

11 pages, 2792 KB  
Article
Embedded Disposable Functionalized Electrochemical Biosensor with a 3D-Printed Flow Cell for Detection of Hepatic Oval Cells (HOCs)
by Samar Damiati, Martin Peacock, Stefan Leonhardt, Laila Damiati, Mohammed A. Baghdadi, Holger Becker, Rimantas Kodzius and Bernhard Schuster
Genes 2018, 9(2), 89; https://doi.org/10.3390/genes9020089 - 14 Feb 2018
Cited by 44 | Viewed by 7041
Abstract
Hepatic oval cells (HOCs) are considered the progeny of the intrahepatic stem cells that are found in a small population in the liver after hepatocyte proliferation is inhibited. Due to their small number, isolation and capture of these cells constitute a challenging task [...] Read more.
Hepatic oval cells (HOCs) are considered the progeny of the intrahepatic stem cells that are found in a small population in the liver after hepatocyte proliferation is inhibited. Due to their small number, isolation and capture of these cells constitute a challenging task for immunosensor technology. This work describes the development of a 3D-printed continuous flow system and exploits disposable screen-printed electrodes for the rapid detection of HOCs that over-express the OV6 marker on their membrane. Multiwall carbon nanotube (MWCNT) electrodes have a chitosan film that serves as a scaffold for the immobilization of oval cell marker antibodies (anti-OV6-Ab), which enhance the sensitivity of the biomarker and makes the designed sensor specific for oval cells. The developed sensor can be easily embedded into the 3D-printed flow cell to allow cells to be exposed continuously to the functionalized surface. The continuous flow is intended to increase capture of most of the target cells in the specimen. Contact angle measurements were performed to characterize the nature and quality of the modified sensor surface, and electrochemical measurements (cyclic voltammetry (CV) and square wave voltammetry (SWV)) were performed to confirm the efficiency and selectivity of the fabricated sensor to detect HOCs. The proposed method is valuable for capturing rare cells and could provide an effective tool for cancer diagnosis and detection. Full article
(This article belongs to the Special Issue From the Lab-on-a-Chip to the Organ-on-a-Chip)
Show Figures

Figure 1

12 pages, 606 KB  
Article
HBx Protein Promotes Oval Cell Proliferation by Up-Regulation of Cyclin D1 via Activation of the MEK/ERK and PI3K/Akt Pathways
by Heng-Yi Wang, Sheng-Li Yang, Hui-Fang Liang and Chang-Hai Li
Int. J. Mol. Sci. 2014, 15(3), 3507-3518; https://doi.org/10.3390/ijms15033507 - 26 Feb 2014
Cited by 50 | Viewed by 7088
Abstract
Growing evidence has shown that hepatic oval cells, also named liver progenitor cells, play an important role in the process of liver regeneration in various liver diseases. Oval cell proliferation has been reported in hepatitis B virus (HBV)-associated hepatocellular carcinoma (HCC) and chronic [...] Read more.
Growing evidence has shown that hepatic oval cells, also named liver progenitor cells, play an important role in the process of liver regeneration in various liver diseases. Oval cell proliferation has been reported in hepatitis B virus (HBV)-associated hepatocellular carcinoma (HCC) and chronic liver disease. Studies have found expression of HBV surface and core antigens in oval cells in the livers of patients with HCC, suggesting that HBV infection of oval cells could be a mechanism of human hepatocarcinogenesis. In addition, there is evidence of multiplication of HBV in oval cell culture. However, little research has been performed to explore the role of HBV-encoded proteins in the proliferation of hepatic oval cells. Previously, we successfully transfected the HBV x (HBx) gene, one of the four genes in the HBV genome, into a rat LE/6 oval cell line. In this study, we tested whether or not the transfected HBx gene could affect oval cell proliferation in vitro. Our results show that overexpression of HBx promotes the proliferation of oval cells and increases cyclin D1 expression, assessed at both the mRNA and protein levels. We also found that HBx activated the PI-3K/Akt and MEK/ERK1/2 pathways in HBx-transfected oval cells. Furthermore, the HBx-induced increases in cyclin D1 expression and oval cell proliferation were completely abolished by treatment with either MEK inhibitor PD184352 or PI-3K inhibitor LY294002. These results demonstrated that HBx has the ability to promote oval cell proliferation in vitro, and its stimulatory effects on cell proliferation and expression of cyclin D1 depend on the activation of the MEK/ERK and PI3K/Akt signaling pathways in cultured oval cells. Full article
(This article belongs to the Section Biochemistry)
Show Figures

Back to TopTop