Sign in to use this feature.

Years

Between: -

Subjects

remove_circle_outline
remove_circle_outline
remove_circle_outline
remove_circle_outline
remove_circle_outline
remove_circle_outline
remove_circle_outline

Journals

Article Types

Countries / Regions

Search Results (29)

Search Parameters:
Keywords = glucagon dynamics

Order results
Result details
Results per page
Select all
Export citation of selected articles as:
8 pages, 222 KB  
Brief Report
Comparison of Glucagon Stimulation Test and Insulin Tolerance Test for Assessment of an Anterior Pituitary Function—A Cross-Over Study
by Krzysztof C. Lewandowski, Joanna Kawalec, Paulina Lewandowska, Wojciech Horzelski and Małgorzata Karbownik-Lewińska
J. Clin. Med. 2025, 14(18), 6567; https://doi.org/10.3390/jcm14186567 - 18 Sep 2025
Viewed by 210
Abstract
Background: The insulin tolerance test (ITT) and glucagon stimulation test (GST) are commonly used for assessment of anterior pituitary function, but there are few direct comparisons of these tests, i.e., where both tests were performed on the same individuals. Methods: We designed [...] Read more.
Background: The insulin tolerance test (ITT) and glucagon stimulation test (GST) are commonly used for assessment of anterior pituitary function, but there are few direct comparisons of these tests, i.e., where both tests were performed on the same individuals. Methods: We designed a cross-over study, where we compared concentrations of glucose, cortisol, and GH during ITT and standard fixed-dose GST in 19 subjects (five males), with a mean age of 33.8 years (range 19–60) and a mean BMI of 27.8 kg/m2 (range 16.5–47.6). Results: Optimal fall in glucose concentrations during ITT (i.e., <40 mg/dL) was obtained in all study participants. During ITT we obtained lower minimal glucose concentrations (glucose nadir), i.e., 29.7 ± 7.67 mg/dL at 30 min of ITT, than during GST, i.e., 73.6 ± 9.67 mg/dL at 180 min of GST, p < 0.01. In contrast, glucose fluctuations (ΔGlucose) were higher during GST (77.8 ± 22.6 mg/dL versus 56.7 ± 10.9 mg/dL, p = 0.002, for GST and ITT, respectively). There was, however, no difference in degree of stimulation of either cortisol or GH release during both tests: ΔCortisol 9.28 ± 3.79 µg/dL for GST versus 8.49 ± 3.46 µg/dL for ITT, p = 0.4, and ΔGH 10.23 ± 10.36 ng/mL for GST versus 10.52 ± 9.67 ng/mL for ITT, p = 1.0. Conclusions: Although hypoglycaemia is not observed during GST in contrast to ITT, it appears that both tests lead to similar increments in cortisol and growth hormone secretion. We, therefore, conclude that GST should not be automatically considered as an “inferior” option in comparison to ITT. Full article
(This article belongs to the Section Endocrinology & Metabolism)
12 pages, 1231 KB  
Article
Leptin, Nesfatin-1, Glucagon-like Peptide 1, and Short-Chain Fatty Acids in Colon Cancer and Inflammatory Bowel Disease
by Tamás Ilyés, Paul Grama, Simona R. Gheorghe, Vlad Anton, Ciprian N. Silaghi and Alexandra M. Crăciun
Gastroenterol. Insights 2025, 16(3), 32; https://doi.org/10.3390/gastroent16030032 - 27 Aug 2025
Viewed by 472
Abstract
Background: Short-chain fatty acids (SCFAs) are produced by the colon microbiome and bind to specific G-protein coupled receptors GPR 41 and GPR 43. Leptin and glucagon-like peptide 1 (GLP-1) are produced mainly in the intestinal lumen as a result of SCFAs binding to [...] Read more.
Background: Short-chain fatty acids (SCFAs) are produced by the colon microbiome and bind to specific G-protein coupled receptors GPR 41 and GPR 43. Leptin and glucagon-like peptide 1 (GLP-1) are produced mainly in the intestinal lumen as a result of SCFAs binding to their receptors at this level. Inflammatory bowel diseases (IBD) such as Crohn’s disease (CD) and ulcerative colitis (UC), and their major complication, colorectal cancer (CRC), can disturb the dynamics of the colonic microenvironment thus influencing SCFAs production and effects. Our study aimed to investigate serum levels of SCFAs and SCFAs-mediated production of circulating leptin, GLP-1, and Nesfatin-1 in patients with IBD and CRC. Methods: A total of 88 subjects (29 with CRC, 29 with IBD, and 30 controls) were included in this pilot study. Serum SCFAs, leptin, Nesfatin-1, and GLP-1 levels were analyzed. Results: Nesfatin-1 levels were significantly higher in CRC patients (p < 0.05) compared to IBD and controls. Leptin levels were positively correlated with Nesfatin-1 levels in CRC, IBD, and control groups (CRC: R2 = 0.6585, p < 0.01; IBD: R2 = 0.2984, p < 0.01; Control: R2 = 0.2087, p < 0.05). Serum SCFAs levels were negatively correlated with GLP-1 levels in CRC and IBD (CRC: R2 = 0.3324, p < 0.01; IBD: R2 = 0.1756, p < 0.05) and negatively correlated with Nesfatin-1 levels in CRC (R2 = 0.2375, p < 0.05). Conclusions: These findings suggest that alterations in gut microenvironment may influence systemic metabolic regulators involved in appetite control and inflammation, potentially influencing IBD and CRC pathogenesis. This is the first study to evaluate the relationships between Nesfatin-1, leptin, GLP-1, and SCFAs in CRC and IBD patients; further research is needed to clarify their mechanistic links and therapeutic potential. Full article
(This article belongs to the Section Gastrointestinal Disease)
Show Figures

Figure 1

21 pages, 9952 KB  
Article
Exploring Conformational Transitions in Biased and Balanced Ligand Binding of GLP-1R
by Marc Xu, Horst Vogel and Shuguang Yuan
Molecules 2025, 30(15), 3216; https://doi.org/10.3390/molecules30153216 - 31 Jul 2025
Viewed by 1741
Abstract
The glucagon-like peptide-1 receptor (GLP-1R), which belongs to the class B1 G protein-coupled receptor (GPCR) family, is an important target for treatment of metabolic disorders, including type 2 diabetes and obesity. The growing interest in GLP-1R-based therapies is driven by the development of [...] Read more.
The glucagon-like peptide-1 receptor (GLP-1R), which belongs to the class B1 G protein-coupled receptor (GPCR) family, is an important target for treatment of metabolic disorders, including type 2 diabetes and obesity. The growing interest in GLP-1R-based therapies is driven by the development of various functional agonists as well as the huge commercial market. Thus, understanding the structural details of ligand-induced signaling are important for developing improved GLP-1R drugs. Here, we investigated the conformational dynamics of the receptor in complex with a selection of prototypical functional agonists, including CHU-128 (small molecule-biased), danuglipron (small molecule balanced), and Peptide 19 (peptide balanced), which exhibit unique, distinct binding modes and induced helix packing. Furthermore, our all-atom molecular dynamics (MD) simulations revealed atomic feature how different those ligands led to signaling pathway preference. Our findings offer valuable insights into the mechanistic principle of GLP-1R activation, which are helpful for the rational design of next-generation GLP-1R drug molecules. Full article
(This article belongs to the Section Computational and Theoretical Chemistry)
Show Figures

Figure 1

23 pages, 18738 KB  
Article
Interaction Between Glucagon-like Peptide 1 and Its Analogs with Amyloid-β Peptide Affects Its Fibrillation and Cytotoxicity
by Ekaterina A. Litus, Marina P. Shevelyova, Alisa A. Vologzhannikova, Evgenia I. Deryusheva, Alina V. Chaplygina, Victoria A. Rastrygina, Andrey V. Machulin, Valeria D. Alikova, Aliya A. Nazipova, Maria E. Permyakova, Victor V. Dotsenko, Sergei E. Permyakov and Ekaterina L. Nemashkalova
Int. J. Mol. Sci. 2025, 26(9), 4095; https://doi.org/10.3390/ijms26094095 - 25 Apr 2025
Viewed by 1770
Abstract
Clinical data as well as animal and cell studies indicate that certain antidiabetic drugs, including glucagon-like peptide 1 receptor agonists (GLP-1RAs), exert therapeutic effects in Alzheimer’s disease (AD) by modulating amyloid-β peptide (Aβ) metabolism. Meanwhile, the direct interactions between GLP-1RAs and Aβ and [...] Read more.
Clinical data as well as animal and cell studies indicate that certain antidiabetic drugs, including glucagon-like peptide 1 receptor agonists (GLP-1RAs), exert therapeutic effects in Alzheimer’s disease (AD) by modulating amyloid-β peptide (Aβ) metabolism. Meanwhile, the direct interactions between GLP-1RAs and Aβ and their functional consequences remain unexplored. In this study, the interactions between monomeric Aβ40/Aβ42 of GLP-1(7-37) and its several analogs (semaglutide (Sema), liraglutide (Lira), exenatide (Exen)) were studied using biolayer interferometry and surface plasmon resonance spectroscopy. The quaternary structure of GLP-1RAs was investigated using dynamic light scattering. The effects of GLP-1RAs on Aβ fibrillation were assessed using the thioflavin T assay and electron microscopy. The impact of GLP-1RAs on Aβ cytotoxicity was evaluated via the MTT assay. Monomeric Aβ40 and Aβ42 directly bind to GLP-1(7-37), Sema, Lira, and Exen, with the highest affinity for Lira (the lowest estimates of equilibrium dissociation constants were 42–60 nM). GLP-1RAs are prone to oligomerization, which may affect their binding to Aβ. GLP-1(7-37) and Exen inhibit Aβ40 fibrillation, whereas Sema promotes it. GLP-1 analogs decrease Aβ cytotoxicity toward SH-SY5Y cells, while GLP-1(7-37) enhances Aβ40 cytotoxicity without affecting the cytotoxic effect of Aβ42. Overall, GLP-1RAs interact with Aβ and differentially modulate its fibrillation and cytotoxicity, suggesting the need for further studies of our observed effects in vivo. Full article
Show Figures

Figure 1

17 pages, 300 KB  
Review
A Narrative Review of the Interplay Between Carbohydrate Intake and Diabetes Medications: Unexplored Connections and Clinical Implications
by Mabitsela Hezekiel Mphasha and Rajesh Vagiri
Int. J. Mol. Sci. 2025, 26(2), 624; https://doi.org/10.3390/ijms26020624 - 13 Jan 2025
Cited by 1 | Viewed by 4249
Abstract
This narrative review examines the dynamic interplay between carbohydrate intake and diabetes medications, highlighting their combined molecular and clinical effects on glycemic control. Carbohydrates, a primary energy source, significantly influence postprandial glucose regulation and necessitate careful coordination with pharmacological therapies, including insulin, metformin, [...] Read more.
This narrative review examines the dynamic interplay between carbohydrate intake and diabetes medications, highlighting their combined molecular and clinical effects on glycemic control. Carbohydrates, a primary energy source, significantly influence postprandial glucose regulation and necessitate careful coordination with pharmacological therapies, including insulin, metformin, glucagon-like peptide (GLP-1) receptor agonists, and sodium-glucose cotransporter-2 (SGLT2) inhibitors. Low-glycemic-index (GI) foods enhance insulin sensitivity, stabilize glycemic variability, and optimize medication efficacy, while high-GI foods exacerbate glycemic excursions and insulin resistance. Continuous glucose monitoring (CGM) offers real-time insights to tailor dietary and pharmacological interventions, improving glycemic outcomes and reducing complications. Despite advancements, gaps persist in understanding nutrient–drug interactions, particularly with emerging antidiabetic agents. This review underscores the need for integrating carbohydrate-focused dietary strategies with pharmacotherapy to enhance diabetes management. Future research should prioritize clinical trials leveraging CGM technology to explore how glycemic index, glycemic load, and carbohydrate quality interact with newer diabetes medications. Such studies can refine evidence-based recommendations, support individualized care plans, and improve long-term outcomes. Addressing systemic barriers, such as limited access to dietitians and CGM technology in underserved regions, is critical for equitable care. Expanding the roles of community health workers and training healthcare providers in basic nutrition counseling can bridge gaps, promoting sustainable and inclusive diabetes management strategies. These efforts are essential for advancing personalized, effective, and equitable care for individuals with diabetes. Full article
(This article belongs to the Section Molecular Pathology, Diagnostics, and Therapeutics)
32 pages, 9784 KB  
Article
Discovery of Non-Peptide GLP-1 Positive Allosteric Modulators from Natural Products: Virtual Screening, Molecular Dynamics, ADMET Profiling, Repurposing, and Chemical Scaffolds Identification
by Mohamed S. Gomaa, Mansour S. Alturki, Nada Tawfeeq, Dania A. Hussein, Faheem H. Pottoo, Abdulaziz H. Al Khzem, Mohammad Sarafroz and Samar Abubshait
Pharmaceutics 2024, 16(12), 1607; https://doi.org/10.3390/pharmaceutics16121607 - 17 Dec 2024
Cited by 3 | Viewed by 2463
Abstract
Background/Objectives: Glucagon-like peptide-1 (GLP-1) receptor is currently one of the most explored targets exploited for the management of diabetes and obesity, with many aspects of its mechanisms behind cardiovascular protection yet to be fully elucidated. Research dedicated towards the development of oral GLP-1 [...] Read more.
Background/Objectives: Glucagon-like peptide-1 (GLP-1) receptor is currently one of the most explored targets exploited for the management of diabetes and obesity, with many aspects of its mechanisms behind cardiovascular protection yet to be fully elucidated. Research dedicated towards the development of oral GLP-1 therapy and non-peptide ligands with broader clinical applications is crucial towards unveiling the full therapeutic capacity of this potent class of medicines. Methods: This study describes the virtual screening of a natural product database consisting of 695,133 compounds for positive GLP-1 allosteric modulation. The database, obtained from the Coconut website, was filtered according to a set of physicochemical descriptors, then was shape screened against the crystal ligand conformation. This filtered database consisting of 26,325 compounds was used for virtual screening against the GLP-1 allosteric site. Results: The results identified ten best hits with the XP score ranging from −9.6 to −7.6 and MM-GBSA scores ranging from −50.8 to −32.4 and another 58 hits from docked pose filter and a second round of XP docking and MM-GBSA calculation followed by molecular dynamics. The analysis of results identified hits from various natural products (NPs) classes, to whom attributed antidiabetic and anti-obesity effects have been previously reported. The results also pointed to β-lactam antibiotics that may be evaluated in drug repurposing studies for off-target effects. The calculated ADMET properties for those hits revealed suitable profiles for further development in terms of bioavailability and toxicity. Conclusions: The current study identified several NPs as potential GLP-1 positive allosteric modulators and revealed common structural scaffolds including peptidomimetics, lactams, coumarins, and sulfonamides with peptidomimetics being the most prominent especially in indole and coumarin cores. Full article
(This article belongs to the Special Issue Computer-Aided Development: Recent Advances and Expectations)
Show Figures

Figure 1

19 pages, 4246 KB  
Article
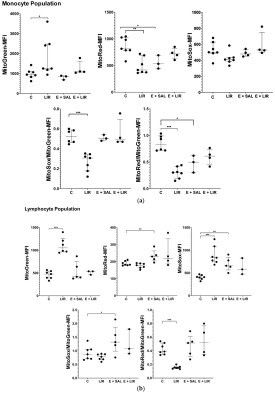
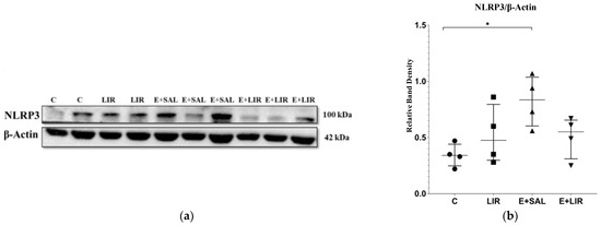
Exploring Liraglutide in Lithium–Pilocarpine-Induced Temporal Lobe Epilepsy Model in Rats: Impact on Inflammation, Mitochondrial Function, and Behavior
by Fatma Merve Antmen, Zeynep Fedaioglu, Dilan Acar, Ahmed Kerem Sayar, Ilayda Esma Yavuz, Ece Ada, Bengisu Karakose, Lale Rzayeva, Sevcan Demircan, Farah Kardouh, Simge Senay, Meltem Kolgazi, Guldal Suyen and Devrim Oz-Arslan
Biomedicines 2024, 12(10), 2205; https://doi.org/10.3390/biomedicines12102205 - 27 Sep 2024
Cited by 3 | Viewed by 2165
Abstract
Background/Objectives: Glucagon-like peptide-1 receptor agonists such as liraglutide are known for their neuroprotective effects in neurodegenerative disorders, but their role in temporal lobe epilepsy (TLE) remains unclear. We aimed to investigate the effects of liraglutide on several biological processes, including inflammation, antioxidant [...] Read more.
Background/Objectives: Glucagon-like peptide-1 receptor agonists such as liraglutide are known for their neuroprotective effects in neurodegenerative disorders, but their role in temporal lobe epilepsy (TLE) remains unclear. We aimed to investigate the effects of liraglutide on several biological processes, including inflammation, antioxidant defense mechanisms, mitochondrial dynamics, and function, as well as cognitive and behavioral changes in the TLE model. Methods: Low-dose, repeated intraperitoneal injections of lithium chloride–pilocarpine hydrochloride were used to induce status epilepticus (SE) in order to develop TLE in rats. Fifty-six male Sprague Dawley rats were subjected and allocated to the groups. The effects of liraglutide on inflammatory markers (NLRP3, Caspase-1, and IL-1β), antioxidant pathways (Nrf-2 and p-Nrf-2), and mitochondrial dynamics proteins (Pink1, Mfn2, and Drp1) were evaluated in hippocampal tissues via a Western blot. Mitochondrial function in peripheral blood mononuclear cells (PBMCs) was examined using flow cytometry. Cognitive-behavioral outcomes were assessed using the open-field, elevated plus maze, and Morris water maze tests. Results: Our results showed that liraglutide modulates NLRP3-mediated inflammation, reduces oxidative stress, and triggers antioxidative pathways through Nrf2 in SE-induced rats. Moreover, liraglutide treatment restored Pink1, Mfn2, and Drp1 levels in SE-induced rats. Liraglutide treatment also altered the mitochondrial function of PBMCs in both healthy and epileptic rats. This suggests that treatment can modulate mitochondrial dynamics and functions in the brain and periphery. Furthermore, in the behavioral aspect, liraglutide reversed the movement-enhancing effect of epilepsy. Conclusions: This research underscores the potential of GLP-1RAs as a possibly promising therapeutic strategy for TLE. Full article
(This article belongs to the Section Endocrinology and Metabolism Research)
Show Figures

Graphical abstract

16 pages, 9827 KB  
Article
The Transcriptome Characterization of the Hypothalamus and the Identification of Key Genes during Sexual Maturation in Goats
by Qing Li, Tianle Chao, Yanyan Wang, Rong Xuan, Yanfei Guo, Peipei He, Lu Zhang and Jianmin Wang
Int. J. Mol. Sci. 2024, 25(18), 10055; https://doi.org/10.3390/ijms251810055 - 19 Sep 2024
Cited by 5 | Viewed by 1702
Abstract
Sexual maturation in goats is a dynamic process regulated precisely by the hypothalamic–pituitary–gonadal axis and is essential for reproduction. The hypothalamus plays a crucial role in this process and is the control center of the reproductive activity. It is significant to study the [...] Read more.
Sexual maturation in goats is a dynamic process regulated precisely by the hypothalamic–pituitary–gonadal axis and is essential for reproduction. The hypothalamus plays a crucial role in this process and is the control center of the reproductive activity. It is significant to study the molecular mechanisms in the hypothalamus regulating sexual maturation in goats. We analyzed the serum hormone profiles and hypothalamic mRNA expression profiles of female goats during sexual development (1 day old (neonatal, D1, n = 5), 2 months old (prepuberty, M2, n = 5), 4 months old (sexual maturity, M4, n = 5), and 6 months old (breeding period, M6, n = 5)). The results indicated that from D1 to M6, serum hormone levels, including FSH, LH, progesterone, estradiol, IGF1, and leptin, exhibited an initial increase followed by a decline, peaking at M4. Furthermore, we identified a total of 508 differentially expressed genes in the hypothalamus, with a total of four distinct expression patterns. Nuclear receptor subfamily 1, group D, member 1 (NR1D1), glucagon-like peptide 1 receptor (GLP1R), and gonadotropin-releasing hormone 1 (GnRH-1) may contribute to hormone secretion, energy metabolism, and signal transduction during goat sexual maturation via circadian rhythm regulation, ECM receptor interactions, neuroactive ligand–receptor interactions, and Wnt signaling pathways. This investigation offers novel insights into the molecular mechanisms governing the hypothalamic regulation of goat sexual maturation. Full article
Show Figures

Figure 1

19 pages, 5381 KB  
Article
The Inferential Binding Sites of GCGR for Small Molecules Using Protein Dynamic Conformations and Crystal Structures
by Mengru Wang, Xulei Fu, Limin Du, Fan Shi, Zichong Huang and Linlin Yang
Int. J. Mol. Sci. 2024, 25(15), 8389; https://doi.org/10.3390/ijms25158389 - 1 Aug 2024
Cited by 1 | Viewed by 1685
Abstract
Glucagon receptor (GCGR) is a class B1 G-protein-coupled receptor that plays a crucial role in maintaining human blood glucose homeostasis and is a significant target for the treatment of type 2 diabetes mellitus (T2DM). Currently, six small molecules (Bay 27-9955, MK-0893, MK-3577, LY2409021, [...] Read more.
Glucagon receptor (GCGR) is a class B1 G-protein-coupled receptor that plays a crucial role in maintaining human blood glucose homeostasis and is a significant target for the treatment of type 2 diabetes mellitus (T2DM). Currently, six small molecules (Bay 27-9955, MK-0893, MK-3577, LY2409021, PF-06291874, and LGD-6972) have been tested or are undergoing clinical trials, but only the binding site of MK-0893 has been resolved. To predict binding sites for other small molecules, we utilized both the crystal structure of the GCGR and MK-0893 complex and dynamic conformations. We docked five small molecules and selected the best conformation based on binding mode, docking score, and binding free energy. We performed MD simulations to verify the binding mode of the selected small molecules. Moreover, when selecting conformations, results of competitive binding were referred to. MD simulation indicated that Bay 27-9955 exhibits moderate binding stability in Pocket 3. MK-3577, LY2409021, and PF-06291874 exhibited highly stable binding to Pocket 2, consistent with experimental results. However, LY2409021 may also bind to Pocket 5. Additionally, LGD-6972 exhibited relatively stable binding in Pocket 5. We also conducted structural modifications of LGD-6972 based on the results of MD simulations and predicted its analogues’ bioavailability, providing a reference for the study of GCGR small molecules. Full article
(This article belongs to the Section Molecular Pharmacology)
Show Figures

Figure 1

14 pages, 2493 KB  
Article
Acute Effects of Dietary Protein Consumption on the Postprandial Metabolic Response, Amino Acid Levels and Circulating MicroRNAs in Patients with Obesity and Insulin Resistance
by Karla G. Hernández-Gómez, Laura A. Velázquez-Villegas, Omar Granados-Portillo, Azalia Avila-Nava, Luis E. González-Salazar, Aurora E. Serralde-Zúñiga, Berenice Palacios-González, Edgar Pichardo-Ontiveros, Rocio Guizar-Heredia, Adriana M. López-Barradas, Mónica Sánchez-Tapia, Violeta Larios-Serrato, Viridiana Olin-Sandoval, Andrea Díaz-Villaseñor, Isabel Medina-Vera, Lilia G. Noriega, Gabriela Alemán-Escondrillas, Victor M. Ortiz-Ortega, Nimbe Torres, Armando R. Tovar and Martha Guevara-Cruzadd Show full author list remove Hide full author list
Int. J. Mol. Sci. 2024, 25(14), 7716; https://doi.org/10.3390/ijms25147716 - 14 Jul 2024
Cited by 4 | Viewed by 2486
Abstract
The post-nutritional intervention modulation of miRNA expression has been previously investigated; however, post-acute dietary-ingestion-related miRNA expression dynamics in individuals with obesity and insulin resistance (IR) are unknown. We aimed to determine the acute effects of protein ingestion from different dietary sources on the [...] Read more.
The post-nutritional intervention modulation of miRNA expression has been previously investigated; however, post-acute dietary-ingestion-related miRNA expression dynamics in individuals with obesity and insulin resistance (IR) are unknown. We aimed to determine the acute effects of protein ingestion from different dietary sources on the postprandial metabolic response, amino acid levels, and circulating miRNA expression in adults with obesity and IR. This clinical trial included adults with obesity and IR who consumed (1) animal-source protein (AP; calcium caseinate) or (2) vegetable-source protein (VP; soy protein isolate). Glycaemic, insulinaemic, and glucagon responses, amino acid levels, and exosomal microRNAs isolated from plasma were analysed. Post-AP ingestion, the area under the curve (AUC) of insulin (p = 0.04) and the plasma concentrations of branched-chain (p = 0.007) and gluconeogenic (p = 0.01) amino acids increased. The effects of different types of proteins on the concentration of miRNAs were evaluated by measuring their plasma circulating levels. Compared with the baseline, the AP group presented increased circulating levels of miR-27a-3p, miR-29b-3p, and miR-122-5p (p < 0.05). Subsequent analysis over time at 0, 30, and 60 min revealed the same pattern and differences between treatments. We demonstrated that a single dose of dietary protein has acute effects on hormonal and metabolic regulation and increases exosomal miRNA expression in individuals with obesity and IR. Full article
(This article belongs to the Special Issue Role of MicroRNAs in Human Diseases)
Show Figures

Graphical abstract

24 pages, 2446 KB  
Article
Molecular Dynamics Simulation of Kir6.2 Variants Reveals Potential Association with Diabetes Mellitus
by Mohamed E. Elangeeb, Imadeldin Elfaki, Ali M. S. Eleragi, Elsadig Mohamed Ahmed, Rashid Mir, Salem M. Alzahrani, Ruqaiah I. Bedaiwi, Zeyad M. Alharbi, Mohammad Muzaffar Mir, Mohammad Rehan Ajmal, Faris Jamal Tayeb and Jameel Barnawi
Molecules 2024, 29(8), 1904; https://doi.org/10.3390/molecules29081904 - 22 Apr 2024
Cited by 8 | Viewed by 2752
Abstract
Diabetes mellitus (DM) represents a problem for the healthcare system worldwide. DM has very serious complications such as blindness, kidney failure, and cardiovascular disease. In addition to the very bad socioeconomic impacts, it influences patients and their families and communities. The global costs [...] Read more.
Diabetes mellitus (DM) represents a problem for the healthcare system worldwide. DM has very serious complications such as blindness, kidney failure, and cardiovascular disease. In addition to the very bad socioeconomic impacts, it influences patients and their families and communities. The global costs of DM and its complications are huge and expected to rise by the year 2030. DM is caused by genetic and environmental risk factors. Genetic testing will aid in early diagnosis and identification of susceptible individuals or populations using ATP-sensitive potassium (KATP) channels present in different tissues such as the pancreas, myocardium, myocytes, and nervous tissues. The channels respond to different concentrations of blood sugar, stimulation by hormones, or ischemic conditions. In pancreatic cells, they regulate the secretion of insulin and glucagon. Mutations in the KCNJ11 gene that encodes the Kir6.2 protein (a major constituent of KATP channels) were reported to be associated with Type 2 DM, neonatal diabetes mellitus (NDM), and maturity-onset diabetes of the young (MODY). Kir6.2 harbors binding sites for ATP and phosphatidylinositol 4,5-diphosphate (PIP2). The ATP inhibits the KATP channel, while the (PIP2) activates it. A Kir6.2 mutation at tyrosine330 (Y330) was demonstrated to reduce ATP inhibition and predisposes to NDM. In this study, we examined the effect of mutations on the Kir6.2 structure using bioinformatics tools and molecular dynamic simulations (SIFT, PolyPhen, SNAP2, PANTHER, PhD&SNP, SNP&Go, I-Mutant, MuPro, MutPred, ConSurf, HOPE, and GROMACS). Our results indicated that M199R, R201H, R206H, and Y330H mutations influence Kir6.2 structure and function and therefore may cause DM. We conclude that MD simulations are useful techniques to predict the effects of mutations on protein structure. In addition, the M199R, R201H, R206H, and Y330H variant in the Kir6.2 protein may be associated with DM. These results require further verification in protein–protein interactions, Kir6.2 function, and case-control studies. Full article
(This article belongs to the Special Issue Molecular Dynamics Simulations of Biomacromolecules)
Show Figures

Figure 1

31 pages, 4651 KB  
Review
The Importance of Intra-Islet Communication in the Function and Plasticity of the Islets of Langerhans during Health and Diabetes
by Thomas G. Hill and David J. Hill
Int. J. Mol. Sci. 2024, 25(7), 4070; https://doi.org/10.3390/ijms25074070 - 6 Apr 2024
Cited by 8 | Viewed by 4676
Abstract
Islets of Langerhans are anatomically dispersed within the pancreas and exhibit regulatory coordination between islets in response to nutritional and inflammatory stimuli. However, within individual islets, there is also multi-faceted coordination of function between individual beta-cells, and between beta-cells and other endocrine and [...] Read more.
Islets of Langerhans are anatomically dispersed within the pancreas and exhibit regulatory coordination between islets in response to nutritional and inflammatory stimuli. However, within individual islets, there is also multi-faceted coordination of function between individual beta-cells, and between beta-cells and other endocrine and vascular cell types. This is mediated partly through circulatory feedback of the major secreted hormones, insulin and glucagon, but also by autocrine and paracrine actions within the islet by a range of other secreted products, including somatostatin, urocortin 3, serotonin, glucagon-like peptide-1, acetylcholine, and ghrelin. Their availability can be modulated within the islet by pericyte-mediated regulation of microvascular blood flow. Within the islet, both endocrine progenitor cells and the ability of endocrine cells to trans-differentiate between phenotypes can alter endocrine cell mass to adapt to changed metabolic circumstances, regulated by the within-islet trophic environment. Optimal islet function is precariously balanced due to the high metabolic rate required by beta-cells to synthesize and secrete insulin, and they are susceptible to oxidative and endoplasmic reticular stress in the face of high metabolic demand. Resulting changes in paracrine dynamics within the islets can contribute to the emergence of Types 1, 2 and gestational diabetes. Full article
(This article belongs to the Special Issue Pancreatic Disease: From Molecular Basis to Novel Therapies)
Show Figures

Figure 1

13 pages, 2456 KB  
Article
Semaglutide as a Possible Calmodulin Binder: Ligand-Based Computational Analyses and Relevance to Its Associated Reward and Appetitive Behaviour Actions
by Giuseppe Floresta, Davide Arillotta, Valeria Catalani, Gabriele Duccio Papanti Pelletier, John Martin Corkery, Amira Guirguis and Fabrizio Schifano
Sci. Pharm. 2024, 92(2), 17; https://doi.org/10.3390/scipharm92020017 - 22 Mar 2024
Cited by 1 | Viewed by 4195
Abstract
Semaglutide, a glucagon-like peptide-1 (GLP-1) receptor agonist, has gained considerable attention as a therapeutic agent for type 2 diabetes mellitus and obesity. Despite its clinical success, the precise mechanisms underlying its pharmacological effects remain incompletely understood. In this study, we employed ligand-based drug [...] Read more.
Semaglutide, a glucagon-like peptide-1 (GLP-1) receptor agonist, has gained considerable attention as a therapeutic agent for type 2 diabetes mellitus and obesity. Despite its clinical success, the precise mechanisms underlying its pharmacological effects remain incompletely understood. In this study, we employed ligand-based drug design strategies to investigate potential off-target interactions of semaglutide. Through a comprehensive in silico screening of semaglutide’s structural properties against a diverse panel of proteins, we have identified calmodulin (CaM) as a putative novel target of semaglutide. Molecular docking simulations revealed a strong interaction between semaglutide and CaM, characterized by favourable binding energies and a stable binding pose. Further molecular dynamics simulations confirmed the stability of the semaglutide–CaM complex, emphasizing the potential for a physiologically relevant interaction. In conclusion, our ligand-based drug design approach has uncovered calmodulin as a potential novel target of semaglutide. This discovery sheds light on the complex pharmacological profile of semaglutide and offers a promising direction for further research into the development of innovative therapeutic strategies for metabolic disorders. The CaM, and especially so the CaMKII, system is central in the experience of both drug- and natural-related reward. It is here hypothesized that, due to semaglutide binding, the reward pathway-based calmodulin system may be activated, and/or differently regulated. This may result in the positive semaglutide action on appetitive behaviour. Further studies are required to confirm these findings. Full article
(This article belongs to the Topic Bioinformatics in Drug Design and Discovery—2nd Edition)
Show Figures

Figure 1

16 pages, 8584 KB  
Article
Study on the Mechanism of Interaction between Dipeptidyl Peptidase 4 and Inhibitory Peptides Based on Gaussian Accelerated Molecular Dynamic Simulation
by Yuyang Liu, Wencheng Zhao, Yongxin Jiang, Shu Xing and Wannan Li
Int. J. Mol. Sci. 2024, 25(2), 839; https://doi.org/10.3390/ijms25020839 - 10 Jan 2024
Cited by 4 | Viewed by 2421
Abstract
Dipeptidyl peptidase 4 (DPP4) inhibitors can effectively inhibit the activity of DPP4, increasing the concentrations of glucagon-like peptide-1 (GLP-1) and glucose-dependent insulinotropic polypeptide (GIP), which allows for them to effectively contribute to the reduction of blood sugar levels. Leu-Pro-Ala-Val-Thr-Ile-Arg (LPAVTIR) and Leu-Pro-Pro-Glu-His-Asp-Trp-Arg (LPPEHDWR) [...] Read more.
Dipeptidyl peptidase 4 (DPP4) inhibitors can effectively inhibit the activity of DPP4, increasing the concentrations of glucagon-like peptide-1 (GLP-1) and glucose-dependent insulinotropic polypeptide (GIP), which allows for them to effectively contribute to the reduction of blood sugar levels. Leu-Pro-Ala-Val-Thr-Ile-Arg (LPAVTIR) and Leu-Pro-Pro-Glu-His-Asp-Trp-Arg (LPPEHDWR) were the two peptides with the strongest inhibitory activity against DPP4 selected from silkworm pupa proteins. In this study, four systems were established: Apo (ligand-free DPP4), IPI (IPI-bound DPP4), LPAVTIR (LPAVTIR-bound DPP4), LPPEHDWR (LPPEHDWR-bound DPP4), and Gaussian accelerated molecular dynamic (GaMD) simulation was conducted to investigate the mechanism of action of two inhibitory peptides binding to DPP4. Our study revealed that the LPAVTIR peptide possessed a more stable structure and exhibited a tighter binding to the Ser630 active site in DPP4, thus exhibiting a favorable competitive inhibition effect. In contrast, the LPPEHDWR peptide caused the horizontal α-helix (residues 201–215) composed of Glu205 and Glu206 residues in DPP4 to disappear. The spatial arrangement of active sites Ser630 relative to Glu205 and Glu206 was disrupted, resulting in enzyme inactivation. Moreover, the size of the substrate channel and cavity volume was significantly reduced after the binding of the inhibitory peptide to the protein, which was an important factor in the inhibition of the enzyme activity. A similar effect was also found from IPI (our positive control). By stabilizing the active site of DPP4, the IPI peptide induced the disappearance of the horizontal α-helix and a notable reduction in the active cavity volume. In conclusion, our study provided a solid theoretical foundation for the inhibitory mechanisms of IPI, LPAVTIR, and LPPEHDWR on DPP4, offering valuable insights for advancing the development of drug targets for type 2 diabetes. Full article
Show Figures

Figure 1

24 pages, 3693 KB  
Article
Regulation of Human Sortilin Alternative Splicing by Glucagon-like Peptide-1 (GLP1) in Adipocytes
by Ashley Lui, Rekha S. Patel, Meredith Krause-Hauch, Robert P. Sparks and Niketa A. Patel
Int. J. Mol. Sci. 2023, 24(18), 14324; https://doi.org/10.3390/ijms241814324 - 20 Sep 2023
Cited by 1 | Viewed by 2374
Abstract
Type 2 diabetes mellitus is a chronic metabolic disease with no cure. Adipose tissue is a major site of systemic insulin resistance. Sortilin is a central component of the glucose transporter -Glut4 storage vesicles (GSV) which translocate to the plasma membrane to uptake [...] Read more.
Type 2 diabetes mellitus is a chronic metabolic disease with no cure. Adipose tissue is a major site of systemic insulin resistance. Sortilin is a central component of the glucose transporter -Glut4 storage vesicles (GSV) which translocate to the plasma membrane to uptake glucose from circulation. Here, using human adipocytes we demonstrate the presence of the alternatively spliced, truncated sortilin variant (Sort_T) whose expression is significantly increased in diabetic adipose tissue. Artificial-intelligence-based modeling, molecular dynamics, intrinsically disordered region analysis, and co-immunoprecipitation demonstrated association of Sort_T with Glut4 and decreased glucose uptake in adipocytes. The results show that glucagon-like peptide-1 (GLP1) hormone decreases Sort_T. We deciphered the molecular mechanism underlying GLP1 regulation of alternative splicing of human sortilin. Using splicing minigenes and RNA-immunoprecipitation assays, the results show that GLP1 regulates Sort_T alternative splicing via the splice factor, TRA2B. We demonstrate that targeted antisense oligonucleotide morpholinos reduces Sort_T levels and improves glucose uptake in diabetic adipocytes. Thus, we demonstrate that GLP1 regulates alternative splicing of sortilin in human diabetic adipocytes. Full article
(This article belongs to the Special Issue Adipose Tissue and Gene Expression)
Show Figures

Figure 1

Back to TopTop