Sign in to use this feature.

Years

Between: -

Subjects

remove_circle_outline
remove_circle_outline
remove_circle_outline
remove_circle_outline
remove_circle_outline
remove_circle_outline
remove_circle_outline

Journals

Article Types

Countries / Regions

Search Results (14)

Search Parameters:
Keywords = gaster

Order results
Result details
Results per page
Select all
Export citation of selected articles as:
13 pages, 4784 KB  
Article
Three New Species of Aphelinus (Hymenoptera: Aphelinidae) from China, with a Note on the japonicus Group
by Zhigang Dong, Junqing Ge, Jian Huang and Zhuhong Wang
Insects 2025, 16(12), 1205; https://doi.org/10.3390/insects16121205 - 27 Nov 2025
Viewed by 583
Abstract
In this paper, three new species of Aphelinus (Hymenoptera: Aphelinidae), Aphelinus jinshanensis Wang & Huang, sp.n., Aphelinus albimaculatus Wang & Huang, sp.n. and Aphelinus varius Wang & Huang, sp.n. are described and illustrated. Additionally, the japonicus group of Aphelinus is reviewed. The [...] Read more.
In this paper, three new species of Aphelinus (Hymenoptera: Aphelinidae), Aphelinus jinshanensis Wang & Huang, sp.n., Aphelinus albimaculatus Wang & Huang, sp.n. and Aphelinus varius Wang & Huang, sp.n. are described and illustrated. Additionally, the japonicus group of Aphelinus is reviewed. The japonicus group is differentiated from all the known groups of these three subgenera by having a 3-segmented flagellum in the male. It is characterized by the following combination of features: antenna 6-segmented in the female, and 5-segmented in the male; body yellow, partly dark brown to black; the numerous setae on mid-lobe not arranged in symmetry; ovipositor short, and hypopygium not reaching to the apex of the gaster. Aphelinus varius Wang & Huang, sp.n. described here represents the second species assigned to the japonicus group. An identification key to the species of this group is provided. The relationships among these three new species are analyzed using a maximum likelihood phylogenetic tree based on cox1 sequences. While the evolutionary relationships of some species or groups remain uncertain due to weak statistical support for the relevant branches. Full article
(This article belongs to the Section Insect Systematics, Phylogeny and Evolution)
Show Figures

Figure 1

11 pages, 21934 KB  
Article
Morphology of External Genitalia in the Genus Acanthoponera Mayr, with Redescription of A. mucronata (Roger) Male (Hymenoptera: Formicidae: Ectatomminae)
by Stefano Cantone and Andrea Di Giulio
Insects 2025, 16(4), 436; https://doi.org/10.3390/insects16040436 - 21 Apr 2025
Viewed by 1456
Abstract
In this study, using scanning electron microscope (SEM) and optical microscopy, we give a detailed description of the Acanthoponera mucronata male, supplementing the former male-based genus diagnoses. In particular, we described for the first time the following characters: the morphology of the external [...] Read more.
In this study, using scanning electron microscope (SEM) and optical microscopy, we give a detailed description of the Acanthoponera mucronata male, supplementing the former male-based genus diagnoses. In particular, we described for the first time the following characters: the morphology of the external genitalia, the peculiar antennal cleaning and the absence of the metapleural gland orifice. In addition, we show the pretarsal claws and the ventral excavation in the gaster that represent diagnostic male features of all Acanthoponera species, never imaged before. The use of modern taxonomic standards is particularly important in order to make these data available to future comparative analyses. Full article
(This article belongs to the Section Social Insects and Apiculture)
Show Figures

Figure 1

21 pages, 10981 KB  
Case Report
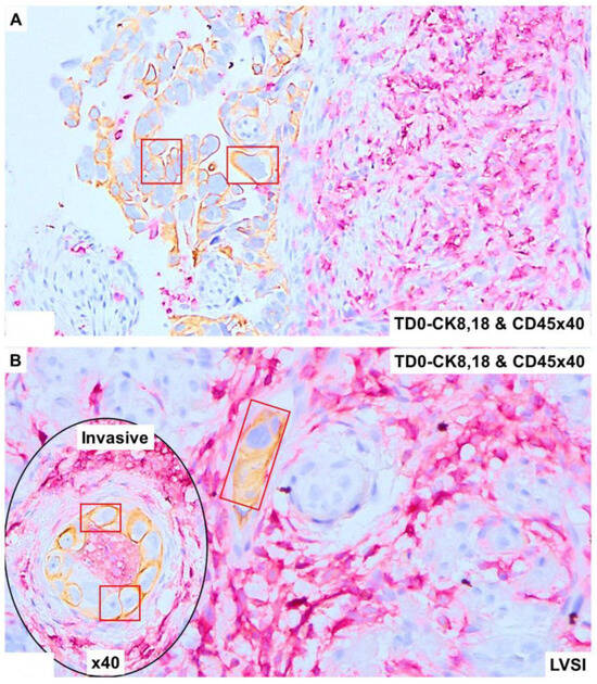
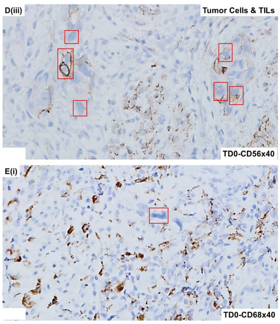
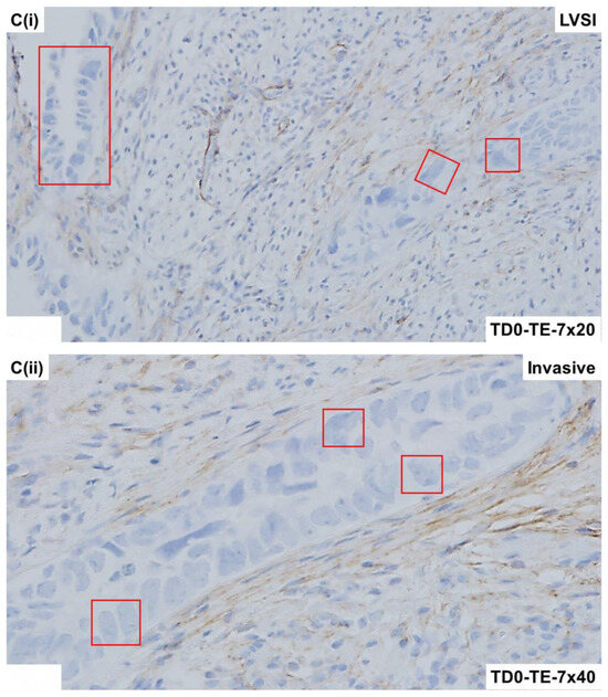
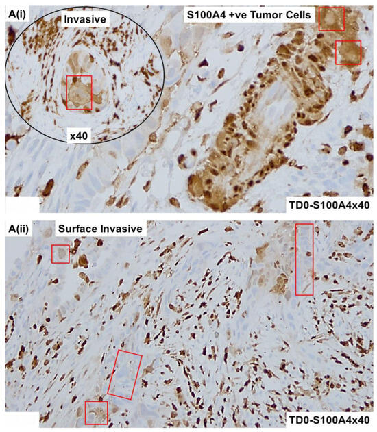
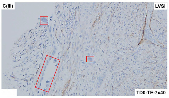
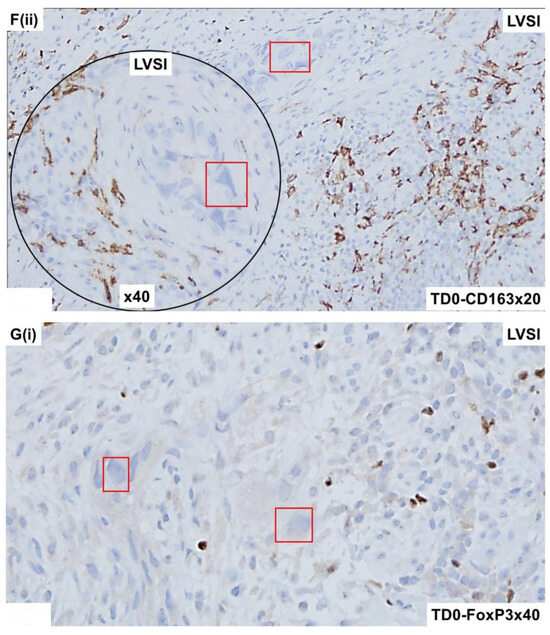
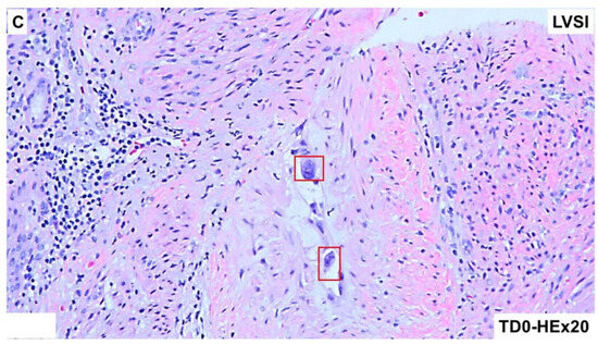
Atlas of Tumor and Tumor Microenvironment Cells of Lymphovascular Space Invasion (LVSI) in High-Grade Serous Endometrial Adenocarcinoma: A Case Study
by Raed Sulaiman, Adam Dale, Xiaoqian Lin, Jennifer C. Aske, Kris Gaster, David Starks, Luis Rojas Espaillat, Pradip De and Nandini Dey
Int. J. Mol. Sci. 2024, 25(6), 3441; https://doi.org/10.3390/ijms25063441 - 19 Mar 2024
Viewed by 3171
Abstract
Lymphovascular invasion (LVSI) is defined as the presence of tumor cells within a definite endothelial-lined space (lymphatics or blood vessels) in the organ surrounding invasive carcinoma. The presence of LVI is associated with an increased risk of lymph nodes and distant metastases. Lymphovascular [...] Read more.
Lymphovascular invasion (LVSI) is defined as the presence of tumor cells within a definite endothelial-lined space (lymphatics or blood vessels) in the organ surrounding invasive carcinoma. The presence of LVI is associated with an increased risk of lymph nodes and distant metastases. Lymphovascular invasion is described as cancer within blood or lymph vessels and is an independent risk factor for metastasis, recurrence, and mortality. This study aims to present the marker-based immunohistological characterization of cells around LVSI in a high-grade adenocarcinoma of the endometrium to build a cellular atlas of cells of LVSI. A cellular characterization of the cells around lymphovascular space invasion in a 67-year-old female patient with invasive high-grade serous endometrial adenocarcinomas is presented. Resected tumor tissue from a consented patient with invasive high-grade serous endometrial adenocarcinoma was obtained within an hour of surgery. The expressions of the epithelial markers (CK8, 18, and EpCAM), LCA (leukocyte common antigen) marker (CD45), proliferation marker (Ki67), apoptosis markers (cleaved PARP and cleaved caspase3), immune cell markers (CD3, CD4, CD8, CD56, CD68, CD163, FoxP3, PD-1, PD-L1), pro-inflammatory marker (IL-12-RB2), and fibroblast/mesenchyme markers (S100A7, SMA, and TE-7) of the resected tissue on the IHC stains were evaluated and scored by a pathologist. Acknowledging the deterministic role of LVSI in a high-grade adenocarcinoma of the endometrium, our study presents the first marker-based immunohistological atlas of the tumor and TME compartments in the context of epithelial cell markers, proliferation markers, apoptosis markers, macrophage markers, and fibroblast markers. Our study demonstrates that an aggressive disease like a high-grade adenocarcinoma of the endometrium inflicts the pro-metastatic event of LVSI by involving the immune landscape of both tumor and TME. This study demonstrates, for the first time, that the tumor cells within LVSI are positive for IL-12R-B2 and S100A4. Full article
(This article belongs to the Section Molecular Pathology, Diagnostics, and Therapeutics)
Show Figures

Figure 1

42 pages, 22943 KB  
Article
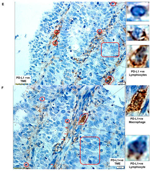
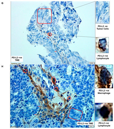
Tumor-TME Bipartite Landscape of PD-1/PD-L1 in Endometrial Cancers
by Raed Sulaiman, Pradip De, Jennifer C. Aske, Xiaoqian Lin, Adam Dale, Nischal Koirala, Kris Gaster, Luis Rojas Espaillat, David Starks and Nandini Dey
Int. J. Mol. Sci. 2023, 24(13), 11079; https://doi.org/10.3390/ijms241311079 - 4 Jul 2023
Cited by 5 | Viewed by 2751
Abstract
The bipartite landscape of tumor cells and stromal cells determines a tumor’s response to treatment during disease management. In endometrial cancers (ECs), the mechanistic contribution of PD-L1/L2 and PD-1 signaling of the host’s tumor microenvironment (TME) (CAF and immune cells) in the context [...] Read more.
The bipartite landscape of tumor cells and stromal cells determines a tumor’s response to treatment during disease management. In endometrial cancers (ECs), the mechanistic contribution of PD-L1/L2 and PD-1 signaling of the host’s tumor microenvironment (TME) (CAF and immune cells) in the context of the tumor cells is elusive. To understand the tumor–stroma-immune crosstalk, we studied the compartmental pattern of PD-L1/L2 and PD-1 expression in EC tissues and their matched CAFs. Over 116 surgically resected tumors (T) and the tumor-adjacent normal tissues (N) were obtained from consented unselected consecutive patients. IHC was performed in T, N-epi-thelium, and the stromal mesenchymal environment (SME; mesenchyme) in the T and N tissues. The staining intensity and distribution patterns of PD-L1/L2 and PD-1 in the FFPE sections of T and N were evaluated by a pathologist using a standard scoring system of TPS and CPS. We tested the PD-L1/L2 and PD-1 immune landscape of tumor-TME pair and normal epithelial-stromal mesenchyme pairs from patients with different grades of disease vis-à-vis their CAF PD-L1 levels. We used qRT-PCR to determine the expressions of mRNAs, while the flow cytometry and ICC determined the level of expression of proteins. We observed higher levels of PD-L1 mRNA and protein expression in primary CAFs from the resected tumor tissue compared to the tumor-adjacent normal tissues. We also determined the expression of patients’ soluble PD-L1/L2 as peripheral readouts of PD-L1/L2 and PD-1. As we evaluated the results in the context of their pathological parameters, such as grades, stages, lymphovascular invasion, percentage of myometrial invasion, and dMMR in patients, the dominance of PD-L1 expression in TME was positively correlated to the higher pathological grades of tumors, and its relationship with the dMMR. Since the neutralization of CD8-positive cytotoxic T-cells is PD-L1-dependent, our data indicate that irrespective of the PD-L1 positivity of tumor cells, the PD-L1-positive CAFs can play a critical role in bringing out an additional load of PD-L1 for an effective engagement of PD-1 within a tumor mass. Full article
(This article belongs to the Section Molecular Pharmacology)
Show Figures

Figure 1

16 pages, 2438 KB  
Article
Bioaccumulation of Trace Elements along the Body Longitudinal Axis in Honey Bees
by Enzo Goretti, Matteo Pallottini, Gianandrea La Porta, Antonia Concetta Elia, Tiziano Gardi, Chiara Petroselli, Paola Gravina, Federica Bruschi, Roberta Selvaggi and David Cappelletti
Appl. Sci. 2023, 13(12), 6918; https://doi.org/10.3390/app13126918 - 7 Jun 2023
Cited by 11 | Viewed by 2602
Abstract
We present a survey on the environmental contamination of the Alviano Lake territory (Central Italy) based on Apis mellifera ligustica samples collected in two annual samplings (2019–2020). Concentrations of 30 elements were determined in the whole bees, in the gaster, and in the [...] Read more.
We present a survey on the environmental contamination of the Alviano Lake territory (Central Italy) based on Apis mellifera ligustica samples collected in two annual samplings (2019–2020). Concentrations of 30 elements were determined in the whole bees, in the gaster, and in the body without the gaster. The study generally revealed a low level of contamination of the bee tissues. However, As showed higher concentrations than in other rural areas, although lower than in samples from urban and productive areas. On the other hand, despite the environmental context, Hg showed limited contamination levels, with the exception of a single sample. Elemental analysis along the longitudinal axis of the bees’ bodies showed greater and statistically significant presences of V, Al, Be, Pb, Cd, Co, Mn, Ba, and Sr in the gaster. The only exceptions concerned As and S (and to a lesser extent Hg), with higher concentrations found in the body without the gaster. We hypothesise that this selectivity maybe due to the affinity of these elements with S, which is abundant in the proteins of the flight muscles in the insect thorax, which are rich in amino acids containing the –SH group. Full article
(This article belongs to the Special Issue Advances in Heavy Metal Pollution in the Environment)
Show Figures

Figure 1

18 pages, 15207 KB  
Article
A CAF-Based Two-Cell Hybrid Co-Culture Model to Test Drug Resistance in Endometrial Cancers
by Raed Sulaiman, Pradip De, Jennifer C. Aske, Xiaoqian Lin, Adam Dale, Kris Gaster, Luis Rojas Espaillat, David Starks and Nandini Dey
Biomedicines 2023, 11(5), 1326; https://doi.org/10.3390/biomedicines11051326 - 29 Apr 2023
Cited by 3 | Viewed by 3554
Abstract
The management of advanced or recurrent endometrial cancers presents a challenge due to the development of resistance to treatments. The knowledge regarding the role of the tumor microenvironment (TME) in determining the disease’s progression and treatment outcome has evolved in recent years. As [...] Read more.
The management of advanced or recurrent endometrial cancers presents a challenge due to the development of resistance to treatments. The knowledge regarding the role of the tumor microenvironment (TME) in determining the disease’s progression and treatment outcome has evolved in recent years. As a TME component, cancer-associated fibroblasts (CAFs) are essential in developing drug-induced resistance in various solid tumors, including endometrial cancers. Hence, an unmet need exists to test the role of endometrial CAF in overcoming the roadblock of resistance in endometrial cancers. We present a novel tumor–TME two-cell ex vivo model to test CAF’s role in resisting the anti-tumor drug, paclitaxel. Endometrial CAFs, both NCAFs (tumor-adjacent normal-tissue-derived CAFs) and TCAFs (tumor-tissue-derived CAFs) were validated by their expression markers. Both TCAFs and NCAFs expressed positive markers of CAF, including SMA, FAP, and S100A4, in varying degrees depending on the patients, while they consistently lacked the negative marker of CAF, EpCAM, as tested via flow cytometry and ICC. CAFs expressed TE-7 and immune marker, PD-L1, via ICC. CAFs better resisted the growth inhibitory effect of paclitaxel on endometrial tumor cells in 2D and 3D formats compared to the resistance of the tumoricidal effect of paclitaxel in the absence of CAFs. TCAF resisted the growth inhibitory effect of paclitaxel on endometrial AN3CA and RL-95-2 cells in an HyCC 3D format. Since NCAF similarly resisted the growth inhibitor action of paclitaxel, we tested NCAF and TCAF from the same patient to demonstrate the protective action of NCAF and TCAF in resisting the tumoricidal effect of paclitaxel in AN3CA in both 2D and 3D matrigel formats. Using this hybrid co-culture CAF and tumor cells, we established a patient-specific, laboratory-friendly, cost-effective, and time-sensitive model system to test drug resistance. The model will help test the role of CAFs in developing drug resistance and contribute to understanding tumor cell-CAF dialogue in gynecological cancers and beyond. Full article
Show Figures

Figure 1

29 pages, 5996 KB  
Article
Characterization and Clinical Relevance of Endometrial CAFs: Correlation between Post-Surgery Event and Resistance to Drugs
by Raed Sulaiman, Pradip De, Jennifer C. Aske, Xiaoqian Lin, Adam Dale, Kris Gaster, Luis Rojas Espaillat, David Starks and Nandini Dey
Int. J. Mol. Sci. 2023, 24(7), 6449; https://doi.org/10.3390/ijms24076449 - 29 Mar 2023
Cited by 5 | Viewed by 3199
Abstract
Cancer-associated fibroblasts (CAFs) within a solid tumor can support the progression of cancer. We studied the identification and characterization of patient-derived endometrial CAFs in the context of their clinical relevance in endometrial cancers. We established patient-derived primary cultures of CAFs from surgically resected [...] Read more.
Cancer-associated fibroblasts (CAFs) within a solid tumor can support the progression of cancer. We studied the identification and characterization of patient-derived endometrial CAFs in the context of their clinical relevance in endometrial cancers. We established patient-derived primary cultures of CAFs from surgically resected tumors (TCAF) and tumor-adjacent normal (NCAF) tissues in 53 consented patients with success rates of 97.7% and 75%, respectively. A passage of CAF was qualified by the (1) absence of CK 8,18,19, EpCAM, CD45, and CD31, and (2) presence of SMAalpha, S100A4, CD90, FAP, TE-7, CD155, PD-L1, TGFB, PDGFRA (qRT-PCR, flow cytometry, Western blot, ICC). Out of the 44 established CAFs, 31 were aggressive (having an early, i.e., 4–7 week, establishment time and/or >3 passages) compared to 13 which were non-aggressive. A post-surgery-event (PSE) was observed in 7 out of 31 patients bearing aggressive CAFs, 2 of whom were also positive for CTCs, while none of the 13 patients bearing non-aggressive CAFs had events. A positive correlation was found between patients with grade 3 (p = 0.025) as well as stage 3/4 diseases (p = 0.0106) bearing aggressive CAFs and the PSE. Finally, aggressive TCAFs from patients with PSE resisted the effects of paclitaxel and lenvatinib on the growth of HUVEC and endometrial tumor cells. Our study is the first to report a correlation between the PSE and the aggressive nature of CAFs in endometrial cancers and provides an undeniable reason to study the in-depth mechanism of CAF function towards the development of treatment resistance in endometrial cancers. Full article
(This article belongs to the Special Issue Cancer Prevention with Molecular Target Therapies 4.0)
Show Figures

Figure 1

10 pages, 12658 KB  
Communication
Evidence of Seasonal Variation in Body Color in Adults of the Parasitoid Cirrospilus pictus (Hymenoptera: Eulophidae) in Sicily, Italy
by Mirella Lo Pinto, Salvatore Guarino and Alfonso Agrò
Insects 2023, 14(1), 90; https://doi.org/10.3390/insects14010090 - 13 Jan 2023
Cited by 2 | Viewed by 3108
Abstract
As part of the studies on the morphological color variation of insects, a case study on the seasonal body color variation of Cirrospilus pictus (Nees) (Hymenoptera: Eulophidae: Eulophinae) parasitoid of leafminers is reported. Observations were made from January 2000 to December 2003 in [...] Read more.
As part of the studies on the morphological color variation of insects, a case study on the seasonal body color variation of Cirrospilus pictus (Nees) (Hymenoptera: Eulophidae: Eulophinae) parasitoid of leafminers is reported. Observations were made from January 2000 to December 2003 in north-western Sicily (Italy), in relation to sex, body regions of adults and seasonal periods. Wasps parasitizing Phyllocnistis citrella Stainton (Lepidoptera: Gracillariidae) were collected from organic citrus orchards (Citrus limon L., var. “Femminello zagara bianca” and “Femminello comune”). Adults were grouped in classes: yellow males, black males, yellow females, yellow–black females and black females. The results highlighted a phenotypic pigmentation variation in the head, thorax, gaster and legs of individuals influenced by the season of sampling. Adults were yellow–green in summer months, whereas individuals with dark pigmentation were found in autumn and winter months. A correlation between color patterns and seasonal temperatures was found for both females and males. This work provides a contribution to the description of the intraspecific variability of this species, improving its identification. Full article
(This article belongs to the Special Issue Diversity and Abundance of Predators and Parasitoids of Insect Pests)
Show Figures

Figure 1

33 pages, 11363 KB  
Article
Patient-Derived Primary Cancer-Associated Fibroblasts Mediate Resistance to Anti-Angiogenic Drug in Ovarian Cancers
by Raed Sulaiman, Pradip De, Jennifer C. Aske, Xiaoqian Lin, Adam Dale, Nischal Koirala, Kris Gaster, Luis Rojas Espaillat, David Starks and Nandini Dey
Biomedicines 2023, 11(1), 112; https://doi.org/10.3390/biomedicines11010112 - 1 Jan 2023
Cited by 21 | Viewed by 6048
Abstract
Ovarian cancers rank first in both aggressiveness and dismal prognosis among gynecological neoplasms. The poor outcome is explained by the fact that most patients present with late-stage disease and progress through the first line of treatment. Ovarian neoplasms, especially epithelial ovarian cancers, are [...] Read more.
Ovarian cancers rank first in both aggressiveness and dismal prognosis among gynecological neoplasms. The poor outcome is explained by the fact that most patients present with late-stage disease and progress through the first line of treatment. Ovarian neoplasms, especially epithelial ovarian cancers, are diagnosed at advanced/metastatic stages, often with a high angiogenesis index, one of the hallmarks of ovarian cancers with rapid progression and poor outcome as resistance to anti-angiogenic therapy develops. Despite therapy, the metastatic progression of aggressive ovarian cancer is a spectacularly selective function of tumor cells aided and abetted by the immune, mesenchymal and angiogenic components of the tumor microenvironment (TME) that enforces several pro-metastatic event(s) via direct and indirect interactions with stromal immune cells, cancer-associated fibroblasts (CAFs), and vascular endothelial cells. Since transdifferentiation of tumor endothelium is one of the major sources of CAFs, we hypothesized that ovarian CAF plays a critical role in resisting anti-angiogenic effects via direct crosstalk with endothelium and hence plays a direct role in the development of resistance to anti-angiogenic drugs. To test the hypothesis, we set up a hybrid ex vivo model for co-culture comprising Patient-Derived ex vivo primary CAFs from ovarian tumor samples and human umbilical vein endothelial cells (HUVEC). Patient-Derived CAFs were characterized by the mRNA and protein expression of positive (SMA, S100A4, TE-7, FAP-A, CD90/THY1), negative (EpCAM, CK 8,18, CD31, CD44, CD45), functional (PDGFRA, TGFB1, TGFB2, TGFRA) and immunological markers (PD-L1, PD-L2, PD-1) associated with CAFs by qRT-PCR, flow cytometry, Western blot, and ICC. Data from our HUVEC-on-CAF ex vivo Hybrid Co-Culture (HyCC) study demonstrate the pro-angiogenic effect of Patient-Derived ovarian CAFs by virtue of their ability to resist the effect of anti-angiogenic drugs, thereby aiding the development of resistance to anti-angiogenic drugs. Ascertaining direct experimental proof of the role of CAFs in developing resistance to specific anti-angiogenic drugs will provide an opportunity to investigate new drugs for counteracting CAF resistance and "normalizing/re-educating" TME in aggressive ovarian cancers. Our data provide a unique experimental tool for the personalized testing of anti-angiogenic drugs, positively predicting the development of future resistance to anti-angiogenic drugs well before it is clinically encountered in patients. Full article
(This article belongs to the Special Issue Arteriogenesis and Angiogenesis: Molecular Mechanisms and Therapies)
Show Figures

Figure 1

26 pages, 13906 KB  
Article
Identification and Morphological Characterization of Features of Circulating Cancer-Associated Macrophage-like Cells (CAMLs) in Endometrial Cancers
by Raed Sulaiman, Pradip De, Jennifer C. Aske, Xiaoqian Lin, Adam Dale, Ethan Vaselaar, Cheryl Ageton, Kris Gaster, Luis Rojas Espaillat, David Starks and Nandini Dey
Cancers 2022, 14(19), 4577; https://doi.org/10.3390/cancers14194577 - 21 Sep 2022
Cited by 12 | Viewed by 2318
Abstract
The blood of patients with solid tumors contains circulating tumor-associated cells, including epithelial cells originating from the tumor mass, such as circulating tumor cells (CTCs), or phagocytic myeloid cells (differentiated monocytes), such as circulating cancer-associated macrophage-like cells (CAMLs). We report for the first [...] Read more.
The blood of patients with solid tumors contains circulating tumor-associated cells, including epithelial cells originating from the tumor mass, such as circulating tumor cells (CTCs), or phagocytic myeloid cells (differentiated monocytes), such as circulating cancer-associated macrophage-like cells (CAMLs). We report for the first time the identification and in-depth morphologic characterization of CAMLs in patients with endometrial cancers. We isolated CAMLs by size-based filtration on lithographically fabricated membranes followed by immunofluorescence, using a CD45+/CK 8,18,19+/EpCAM+/CD31+/macrophage-like nuclear morphology, from > 70 patients. Irrespective of the histological and pathological parameters, 98% of patients were positive for CAMLs. Two size-based subtypes of CAMLs, <20 µm (tiny) and >20 µm (giant) CAMLs, of distinctive polymorphic morphologies with mononuclear or fused polynuclear structures in several morphological states were observed, including apoptotic CAMLs, CAML–WBC doublets, conjoined CAMLs, CAML–WBC clusters, and CTC–CAML–WBC clusters. In contrast, CAMLs were absent in patients with non-neoplastic/benign tumors, healthy donors, and leucopaks. Enumerating CTCs simultaneously from the same patient, we observed that CTC-positive patients are positive for CAMLs, while 55% out of all CAML-positive patients were found positive for CTCs. Our study demonstrated for the first time the distinctive morphological characteristics of endometrial CAMLs in the context of the presence of CTCs in patients. Full article
(This article belongs to the Section Cancer Therapy)
Show Figures

Figure 1

23 pages, 1089 KB  
Article
Electrohydrodynamic Liquid Sheet Instability of Moving Viscoelastic Couple-Stress Dielectric Fluid Surrounded by an Inviscid Gas through Porous Medium
by Mohamed Fahmy El-Sayed and Agaeb Mahal Alanzi
Fluids 2022, 7(7), 247; https://doi.org/10.3390/fluids7070247 - 18 Jul 2022
Cited by 4 | Viewed by 2625
Abstract
Viscoelastic liquid sheet of couple-stress type streaming with relative motion into an inviscid gas through porous molium is studied theoretically and quantitatively in this project. To derive the differential equations that describe liquids, gases, and the electric field, we linearized the governing equations [...] Read more.
Viscoelastic liquid sheet of couple-stress type streaming with relative motion into an inviscid gas through porous molium is studied theoretically and quantitatively in this project. To derive the differential equations that describe liquids, gases, and the electric field, we linearized the governing equations of motion and continuity, Maxwell’s equations in quasi-static approximation, and the appropriate boundary conditions at the two interfaces. Then we used the normal mode method. It was demonstrated analytically that the solutions to these differential equations can be found for both symmetric and antisymmetric disturbances, respectively. We could not obtain an explicit form of the growth rates since we could not solve the dispersion relations for both situations because they were obtained in highly complex forms. The Mathematica program is used to solve the dimensionless forms of the dispersion relations numerically using Gaster’s theorem. Various influences on the stability analysis of the considered system have been studied in detail, and it is determined that the system in the presence of a porous material is more unstable than it would be otherwise. In a two-dimensional system, the antisymmetric disturbance case is found to be more unstable than the corresponding symmetric disturbance situation. Some characteristics, such as Wabe number, Ohnesorge number, and electric field, have destabilizing effects, whereas others, such as porosity, medium permeability, viscoelasticity parameter, gas-to-liquid viscosity ratio, and dielachic constants, have stabilizing effects. Finally, it is discovered that the gas-to-liquid velocity ratio plays a dual role in the stability condition depending on whether the gas-to-liquid velocity ratio U ≶ 1. In the past, we have only found evidence of very few previous studies. Full article
(This article belongs to the Topic Fluid Mechanics)
Show Figures

Figure 1

29 pages, 4323 KB  
Article
A Laboratory-Friendly CTC Identification: Comparable Double-Immunocytochemistry with Triple-Immunofluorescence
by Raed Sulaiman, Pradip De, Jennifer C. Aske, Xiaoqian Lin, Adam Dale, Ethan Vaselaar, Nischal Koirala, Cheryl Ageton, Kris Gaster, Joshua Plorde, Benjamin Solomon, Bradley Thaemert, Paul Meyer, Luis Rojas Espaillat, David Starks and Nandini Dey
Cancers 2022, 14(12), 2871; https://doi.org/10.3390/cancers14122871 - 10 Jun 2022
Cited by 10 | Viewed by 3563
Abstract
The source of circulating tumor cells (CTC) in the peripheral blood of patients with solid tumors are from primary cancer, metastatic sites, and a disseminated tumor cell pool. As 90% of cancer-related deaths are caused by metastatic progression and/or resistance-associated treatment failure, the [...] Read more.
The source of circulating tumor cells (CTC) in the peripheral blood of patients with solid tumors are from primary cancer, metastatic sites, and a disseminated tumor cell pool. As 90% of cancer-related deaths are caused by metastatic progression and/or resistance-associated treatment failure, the above fact justifies the undeniable predictive and prognostic value of identifying CTC in the bloodstream at stages of the disease progression and resistance to treatment. Yet enumeration of CTC remains far from a standard routine procedure either for post-surgery follow-ups or ongoing adjuvant therapy. The most compelling explanation for this paradox is the absence of a convenient, laboratory-friendly, and cost-effective method to determine CTC. We presented a specific and sensitive laboratory-friendly parallel double-detection format method for the simultaneous isolation and identification of CTC from peripheral blood of 91 consented and enrolled patients with various malignant solid tumors of the lung, endometrium, ovary, esophagus, prostate, and liver. Using a pressure-guided method, we used the size-based isolation to capture CTC on a commercially available microfilter. CTC identification was carried out by two expression marker-based independent staining methods, double-immunocytochemistry parallel to standard triple-immunofluorescence. The choice of markers included specific markers for epithelial cells, EpCAM and CK8,18,19, and exclusion markers for WBC, CD45. We tested the method’s specificity based on the validation of the staining method, which included positive and negative spiked samples, blood from the healthy age-matched donor, healthy age-matched leucopaks, and blood from metastatic patients. Our user-friendly cost-effective CTC detection technique may facilitate the regular use of CTC detection even in community-based cancer centers for prognosis, before and after surgery. Full article
(This article belongs to the Special Issue Precision Medicine in Solid Tumors)
Show Figures

Figure 1

25 pages, 5390 KB  
Article
Analysing and Applying Stakeholder Perceptions to Improve Protected Area Governance in Ugandan Conservation Landscapes
by James Omoding, Gretchen Walters, Edward Andama, Salete Carvalho, Julien Colomer, Marina Cracco, Gerald Eilu, Gaster Kiyingi, Chetan Kumar, Council Dickson Langoya, Barbara Nakangu Bugembe, Florian Reinhard and Celina Schelle
Land 2020, 9(6), 207; https://doi.org/10.3390/land9060207 - 25 Jun 2020
Cited by 26 | Viewed by 6506
Abstract
Given the diversity of active institutions and stakeholders in a landscape, and the difficulties in ensuring inclusive decision-making, evaluating landscape governance can help surface and address underlying issues. In the context of two protected area landscapes in Uganda, where landscape approaches are being [...] Read more.
Given the diversity of active institutions and stakeholders in a landscape, and the difficulties in ensuring inclusive decision-making, evaluating landscape governance can help surface and address underlying issues. In the context of two protected area landscapes in Uganda, where landscape approaches are being implemented through a wider project on landscape governance, we analyse stakeholder perceptions of inclusive decision-making and then use this evaluation to stimulate dialogue amongst stakeholder groups in each landscape. We ask, how can capturing, analysing, and collaboratively applying people’s perceptions address inclusive decision-making in landscape governance? We collected and analysed perceptions using SenseMaker®, a software package that enables analysis of micronarratives (stories) from the field based on how respondents classify their own stories, using triads, dyads, stones, and multiple-choice questions. This self-categorisation by the respondent reduces bias in the analysis and allows the micronarrative to be cross-examined in a variety of ways when analysed using Sensemaker. This analysis created an integrated view of the stakeholder’s perceptions about inclusive decision-making in landscape governance. The results show large portions of the respondents feel their voices are neglected, and management of the landscape is poor in Mount Elgon, while in Agoro-Agu, it is the opposite trend. During a community feedback process, reasons for these trends were discussed and solutions proposed. Some of the underlying factors include historical relationships with park authorities and displacement during park creation. To more precisely answer our research question, one could have extended stays in the communities studied in these landscapes, using ethnographic methods including interviews and participant observation; nonetheless, our method, including the feedback process, was an innovative and important way to confront our findings with the informants directly and foster collaborative action. We conclude that understanding people’s perceptions, including through participatory feedback, can significantly inform and improve management decisions, help resolve conflicts, and facilitate dialogue between different stakeholders in the landscape. Full article
Show Figures

Figure 1

15 pages, 380 KB  
Article
Cyclin D1 Expression and the Inhibitory Effect of Celecoxib on Ovarian Tumor Growth in Vivo
by Wei Li, Hong-Ru Jiang, Xiao-Li Xu, Jie Wang, Jun Zhang, Mei-Lin Liu and Ling-Yun Zhai
Int. J. Mol. Sci. 2010, 11(10), 3999-4013; https://doi.org/10.3390/ijms11103999 - 19 Oct 2010
Cited by 12 | Viewed by 10315
Abstract
The report aims to investigate the relationship between the expression of cyclin D1 and Cyclooxgenase-2 (COX-2), thus to explore the molecular mechanisms of the antitumor efficacy of Celecoxib, a COX-2 inhibitor. Human ovarian SKOV-3 carcinoma cell xenograft-bearing mice were treated with Celecoxib by [...] Read more.
The report aims to investigate the relationship between the expression of cyclin D1 and Cyclooxgenase-2 (COX-2), thus to explore the molecular mechanisms of the antitumor efficacy of Celecoxib, a COX-2 inhibitor. Human ovarian SKOV-3 carcinoma cell xenograft-bearing mice were treated with Celecoxib by infusing gaster (i.g.) twice/day for 21 days. The mRNA levels of COX-2 and cyclin D1 were determined by RT-PCR. The expression of cyclin D1 at the protein level was detected by immunohistochemistry, while COX-2 protein expression was determined by Western blot. A high-dose of Celecoxib (100 mg/kg) significantly inhibited tumor growth (P < 0.05), and the expression of cyclin D1 was reduced by 61%. Celecoxib decreased the proliferation cell index by 40% (P < 0.001) and increased apoptotic index by 52% (P < 0.05) in high-dose Celecoxib treated group. Our results suggest that the antitumor efficacy of Celecoxib against ovarian cancer in mice may in part be mediated through suppression of cyclin D1, which may contribute to its ability to suppress proliferation. Full article
(This article belongs to the Section Biochemistry)
Show Figures

Back to TopTop