Sign in to use this feature.

Years

Between: -

Subjects

remove_circle_outline
remove_circle_outline
remove_circle_outline
remove_circle_outline
remove_circle_outline
remove_circle_outline
remove_circle_outline

Journals

Article Types

Countries / Regions

Search Results (11)

Search Parameters:
Keywords = filtration artifacts

Order results
Result details
Results per page
Select all
Export citation of selected articles as:
45 pages, 7117 KB  
Article
Topology-Based Machine Learning and Regime Identification in Stochastic, Heavy-Tailed Financial Time Series
by Prosper Lamothe-Fernández, Eduardo Rojas and Andriy Bayuk
Mathematics 2026, 14(7), 1098; https://doi.org/10.3390/math14071098 - 24 Mar 2026
Viewed by 216
Abstract
Classic machine learning and regime identification methods applied to financial time series lack theoretical guarantees and exhibit systematic failure modes: heavy-tails invalidate moment-based geometry, rendering distances and centroids dominated by extremes or unstable; jumps violate smoothness, destabilizing local regressions, kernel methods, and gradient-based [...] Read more.
Classic machine learning and regime identification methods applied to financial time series lack theoretical guarantees and exhibit systematic failure modes: heavy-tails invalidate moment-based geometry, rendering distances and centroids dominated by extremes or unstable; jumps violate smoothness, destabilizing local regressions, kernel methods, and gradient-based learning; and non-stationarity disrupts neighborhood relations, so distances in classical feature spaces no longer reflect meaningful proximity. To address these challenges, we propose a topology-based machine-learning framework grounded on probabilistic reconstruction of state-space geometry, which replaces moment- and smoothness-dependent representations with deformation-stable summaries of state-space geometry, preserving neighborhoods, adjacency, and topology. The finite-sample validity of homeomorphic state-space reconstruction, required for topology-based machine learning, is assessed through numerical studies on synthetic data with heavy tails, jumps, and known ground-truth regimes. Further diagnostics of local invertibility and bounded geometric distortion quantify when embedding windows are consistent with local diffeomorphic behavior, enabling metric-sensitive, geometry-aware learning. Clustering of Hilbert-space summaries accurately recovers underlying market tail-risk regimes with robust results across selected filtrations. Temporal, feature-space, and cluster-label null tests confirm that topology-based clustering captures genuine topological structure rather than noise or artifacts, and encodes temporal dependencies at local, mesoscopic, and network levels associated with market regimes. Full article
(This article belongs to the Section E: Applied Mathematics)
Show Figures

Figure 1

14 pages, 4248 KB  
Article
Effect of Additional Aluminum Filtration on the Image Quality in Cone Beam Computed Tomographic Studies of Equine Distal Limbs Using Visual Grading Characteristics Analysis: A Pilot Study
by Luca Papini, Mathieu de Preux, Frederik Pauwels, Joris Missotten and Elke Van der Vekens
Vet. Sci. 2025, 12(11), 1051; https://doi.org/10.3390/vetsci12111051 - 2 Nov 2025
Viewed by 662
Abstract
(1) Background: Cone beam computed tomography (CBCT) is increasingly used in equine practice to diagnose musculoskeletal injuries, including fractures in the distal limb. However, limited detail in the thick cortical bone of the metacarpus/metatarsus hinders accurate diagnosis. In human medicine, the addition of [...] Read more.
(1) Background: Cone beam computed tomography (CBCT) is increasingly used in equine practice to diagnose musculoskeletal injuries, including fractures in the distal limb. However, limited detail in the thick cortical bone of the metacarpus/metatarsus hinders accurate diagnosis. In human medicine, the addition of aluminum filters (AF) enhanced image quality while reducing radiation exposure. This study aimed to evaluate the effect of AF on image quality in CBCT scans of equine distal limbs. (2) Methods: Adult equine cadaver limbs were scanned with a mobile CBCT unit using varying tube currents (10–100 mA) and AF (13–25 mm). Two independent experts assessed the image quality using a four-point visual grading scale, focusing on cortical bone detail and artifacts. (3) Results: Higher tube currents generally improved image quality, but no filter was beneficial for the metacarpal/metatarsal regions. For the proximal phalanx, thicker AF (19–25 mm) improved image quality without significantly increasing the required tube current. (4) Conclusions: The optimal balance between image quality and radiation exposure using the O-arm® CBCT system for equine distal limbs was a tube current of 50 or 64 mA without filtration for the metacarpus/metatarsus, while a tube current of 50 mA with a 19–25 mm AF provided the best image quality for the proximal phalanx. Full article
Show Figures

Figure 1

11 pages, 2074 KB  
Article
The Influence of Filtration on the Results of Measurements Made with Optical Coordinate Systems
by Wiesław Zaborowski, Adam Gąska, Wiktor Harmatys and Jerzy A. Sładek
Appl. Sci. 2025, 15(13), 7475; https://doi.org/10.3390/app15137475 - 3 Jul 2025
Cited by 1 | Viewed by 679
Abstract
This article presents research and a discussion on the proper use of filtration in optical measurements. Measurements were taken using a Werth multisensory machine using a Werth Zoom optical sensor. During optical measurements, the filtration option can be used. The manufacturer defines filters [...] Read more.
This article presents research and a discussion on the proper use of filtration in optical measurements. Measurements were taken using a Werth multisensory machine using a Werth Zoom optical sensor. During optical measurements, the filtration option can be used. The manufacturer defines filters as “Dust”. They allow the machine operator to define the appropriate size depending on the type of inclusions or artifacts created in the production process. They can occur in processes such as punching on presses or production in the injection molding process of plastics. The presented research results and statistical analyses confirm the assumptions regarding the validity of using filters and their values. The use of filters with a higher value significantly affects the obtained results and forces the machine user to make a reasonable choice. Full article
(This article belongs to the Special Issue Advanced Studies in Coordinate Measuring Technique)
Show Figures

Figure 1

11 pages, 2725 KB  
Article
Methods for Reducing Ring Artifacts in Tomographic Images Using Wavelet Decomposition and Averaging Techniques
by Paweł Lipowicz, Marta Borowska and Agnieszka Dardzińska-Głębocka
Appl. Sci. 2024, 14(16), 7292; https://doi.org/10.3390/app14167292 - 19 Aug 2024
Cited by 3 | Viewed by 2901
Abstract
Computed tomography (CT) is one of the fundamental imaging modalities used in medicine, allowing for the acquisition of accurate cross-sectional images of internal body tissues. However, during the acquisition and reconstruction process, various artifacts can arise, and one of them is ring artifacts. [...] Read more.
Computed tomography (CT) is one of the fundamental imaging modalities used in medicine, allowing for the acquisition of accurate cross-sectional images of internal body tissues. However, during the acquisition and reconstruction process, various artifacts can arise, and one of them is ring artifacts. These artifacts result from the inherent limitations of CT scanner components and the properties of the scanned material, such as detector defects, non-uniform distribution of radiation from the source, or the presence of metallic elements within the scanning region. The purpose of this study was to identify and reduce ring artifacts in tomographic images using image decomposition and average filtering methods. In this study, tests were conducted on the effectiveness of identifying ring artifacts using wavelet decomposition methods for images. The test was performed on a Shepp–Logan phantom with implemented artifacts of different intensity levels. The analysis was performed using different wavelet families, and linear approximation methods were used to filter the image in the identified areas. Additional filtering was performed using moving average methods and empirical mode decomposition (EMD) techniques. Image comparison methods, i.e., RMSE, SSIM and MS-SSIM, were used to evaluate performance. The results of this study showed a significant improvement in the quality of tomographic phantom images. The authors obtained more than 50% improvement in image quality with reference to the image without any filtration. The different wavelet families had different efficiencies with relation to the identification of the induction regions of ring artifacts. The Haar wavelet and Coiflet 1 showed the best performance in identifying artifact induction regions, with comparative RMSE values for these wavelets of 0.1477 for Haar and 0.1469 for Coiflet 1. The applied additional moving average filtering and EMD permitted us to improve image quality, which is confirmed by the results of the image comparison. The obtained results allow us to assess how the used methods affect the reduction in ring artifacts in phantom images with induced artifacts. Full article
(This article belongs to the Special Issue Novel Research on Image and Video Processing Technology)
Show Figures

Figure 1

19 pages, 26173 KB  
Article
Multi-Modal Image Registration Based on Phase Exponent Differences of the Gaussian Pyramid
by Xiaohu Yan, Yihang Cao, Yijun Yang and Yongxiang Yao
Remote Sens. 2023, 15(24), 5764; https://doi.org/10.3390/rs15245764 - 17 Dec 2023
Cited by 1 | Viewed by 2833
Abstract
In multi-modal images (MMI), the differences in their imaging mechanisms lead to large signal-to-noise ratio differences, which means that the matching of geometric invariance and the matching accuracy of the matching algorithms often cannot be balanced. Therefore, how to weaken the signal-to-noise interference [...] Read more.
In multi-modal images (MMI), the differences in their imaging mechanisms lead to large signal-to-noise ratio differences, which means that the matching of geometric invariance and the matching accuracy of the matching algorithms often cannot be balanced. Therefore, how to weaken the signal-to-noise interference of MMI, maintain good scale and rotation invariance, and obtain high-precision matching correspondences becomes a challenge for multimodal remote sensing image matching. Based on this, a lightweight MMI alignment of the phase exponent of the differences in the Gaussian pyramid (PEDoG) is proposed, which takes into account the phase exponent differences of the Gaussian pyramid with normalized filtration, i.e., it achieves the high-precision identification of matching correspondences points while maintaining the geometric invariance of multi-modal matching. The proposed PEDoG method consists of three main parts, introducing the phase consistency model into the differential Gaussian pyramid to construct a new phase index. Then, three types of MMI (multi-temporal image, infrared–optical image, and map–optical image) are selected as the experimental datasets and compared with the advanced matching methods, and the results show that the NCM (number of correct matches) of the PEDoG method displays a minimum improvement of 3.3 times compared with the other methods, and the average RMSE (root mean square error) is 1.69 pixels, which is the lowest value among all the matching methods. Finally, the alignment results of the image are shown in the tessellated mosaic mode, which shows that the feature edges of the image are connected consistently without interlacing and artifacts. It can be seen that the proposed PEDoG method can realize high-precision alignment while taking geometric invariance into account. Full article
Show Figures

Figure 1

10 pages, 506 KB  
Article
Effects of Renin–Angiotensin Blockade on the Components of Early Interstitial Expansion in Patients with Type 1 Diabetes
by Zahrah Khan, Michael Mauer and Maria Luiza Caramori
Endocrines 2023, 4(3), 548-557; https://doi.org/10.3390/endocrines4030039 - 28 Jul 2023
Cited by 1 | Viewed by 1860
Abstract
Interstitial expansion is associated with glomerular filtration rate (GFR) loss in many renal diseases, including diabetic nephropathy. The Renin–Angiotensin System Study (RASS) tested whether a 5-year renin–angiotensin system (RAS) blockade with enalapril or losartan versus placebo slowed progression of early diabetic nephropathy lesions [...] Read more.
Interstitial expansion is associated with glomerular filtration rate (GFR) loss in many renal diseases, including diabetic nephropathy. The Renin–Angiotensin System Study (RASS) tested whether a 5-year renin–angiotensin system (RAS) blockade with enalapril or losartan versus placebo slowed progression of early diabetic nephropathy lesions in 285 normoalbuminuric, normotensive, normal/high GFR patients with type 1 diabetes. RASS found no benefit to the RAS blockade on diabetic glomerular lesions but observed an unexpected 50% increase in the fractional volume of the renal cortex which is the interstitium. The effects of the RAS blockade on individual interstitial components––striated collagen, interstitial cells, and peritubular capillaries––were not assessed. We evaluated by electron microscopy changes in fractional volume of each component in seven patients from each group between baseline and five years. At baseline, 49% of the interstitium was collagen, 12% cells, 26% peritubular capillaries, 7% space, and 2% artifact. There was no overall change in the interstitial composition during the RASS. There were no statistically significant effects of treatment group on any interstitial components. Renal volume remained stable in all groups. The RAS blockade affected neither the approximately 50% increase in interstitium fractional volume per cortex nor the parallel increase in all interstitial components that occurred over the five years of the RASS. Full article
(This article belongs to the Special Issue Advances in Diabetes Care)
Show Figures

Figure 1

21 pages, 2231 KB  
Article
A Computationally Efficient Distributed Framework for a State Space Adaptive Filter for the Removal of PLI from Cardiac Signals
by Inam ur Rehman, Hasan Raza, Nauman Razzaq, Jaroslav Frnda, Tahir Zaidi, Waseem Abbasi and Muhammad Shahid Anwar
Mathematics 2023, 11(2), 350; https://doi.org/10.3390/math11020350 - 9 Jan 2023
Cited by 2 | Viewed by 2247
Abstract
The proliferation of cardiac signals, such as high-resolution electrocardiograms (HRECGs), ultra-high-frequency ECGs (UHF–ECGs), and intracardiac electrograms (IEGMs) assist cardiologists in the prognosis of critical cardiac diseases. However, the accuracies of such diagnoses depend on the signal qualities, which are often corrupted by artifacts, [...] Read more.
The proliferation of cardiac signals, such as high-resolution electrocardiograms (HRECGs), ultra-high-frequency ECGs (UHF–ECGs), and intracardiac electrograms (IEGMs) assist cardiologists in the prognosis of critical cardiac diseases. However, the accuracies of such diagnoses depend on the signal qualities, which are often corrupted by artifacts, such as the power line interference (PLI) and its harmonics. Therefore, state space adaptive filters are applied for the effective removal of PLI and its harmonics. Moreover, the state space adaptive filter does not require any reference signal for the extraction of desired cardiac signals from the observed noisy signal. Nevertheless, the state space adaptive filter inherits high computational complexity; therefore, filtration of the increased number of PLI harmonics bestows an adverse impact on the execution time of the algorithm. In this paper, a parallel distributed framework for the state space least mean square with adoptive memory (PD–SSLMSWAM) is introduced, which runs the computationally expensive SSLMSWAM adaptive filter parallelly. The proposed architecture efficiently removes the PLI along with its harmonics even if the time alignment among the contributing nodes is not the same. Furthermore, the proposed PD-SSLMSWAM scheme provides less computational costs as compared to the sequentially operated SSLMSWAM algorithm. A comparison was drawn among the proposed PD–SSLMSWAM, sequentially operated SSLMSWAM, and state space normalized least mean square (SSNLMS) adaptive filters in terms of qualitative and quantitative performances. The simulation results show that the proposed PD–SSLMSWAM architecture provides almost the same qualitative and quantitative performances as those of the sequentially operated SSLMSWAM algorithm with less computational costs. Moreover, the proposed PD–SSLMSWAM achieves better qualitative and quantitative performances as compared to the SSNLMS adaptive filter. Full article
Show Figures

Figure 1

8 pages, 2878 KB  
Article
The Clinical Utility of Dual-Energy Computed Tomography in the Diagnosis of Gout—A Cross-Sectional Study
by Maria Sotniczuk, Anna Nowakowska-Płaza, Jakub Wroński, Małgorzata Wisłowska and Iwona Sudoł-Szopińska
J. Clin. Med. 2022, 11(17), 5249; https://doi.org/10.3390/jcm11175249 - 5 Sep 2022
Cited by 7 | Viewed by 5960
Abstract
Dual-energy computed tomography (DECT) is an imaging technique that detects monosodium urate (MSU) deposits. This study aimed to assess the clinical utility of DECT in the diagnosis of gout. A total of 120 patients with clinical suspicion of gout who underwent DECT were [...] Read more.
Dual-energy computed tomography (DECT) is an imaging technique that detects monosodium urate (MSU) deposits. This study aimed to assess the clinical utility of DECT in the diagnosis of gout. A total of 120 patients with clinical suspicion of gout who underwent DECT were retrospectively enrolled. The sensitivity and specificity of DECT alone, American College of Rheumatology (ACR)/European Alliance of Associations for Rheumatology (EULAR) classification criteria without DECT, and ACR/EULAR criteria with DECT were assessed. Additionally, an analysis of gout risk factors was performed. When artifacts were excluded, any MSU volume provided the best diagnostic value of DECT (AUC = 0.872, 95% CI 0.806–0.938). DECT alone had a sensitivity of 90.4% and specificity of 74.5%. Although ACR/EULAR criteria without DECT provided better diagnostic accuracy than DECT alone (AUC = 0.926, 95% CI 0.878–0.974), the best value was obtained when combing both (AUC = 0.957, 95% CI 0.924–0.991), with 100% sensitivity and 76.6% specificity. In univariate analysis, risk factors for gout were male sex, presence of tophi, presence of MSU deposits on DECT, increased uric acid in serum (each p < 0.001), and decreased glomerular filtration rate (GFR) (p = 0.029). After logistic regression, only increased serum uric acid (p = 0.034) and decreased GFR (p = 0.018) remained independent risk factors for gout. Our results suggest that DECT significantly increases the sensitivity of the ACR/EULAR criteria in the diagnosis of gout. Full article
(This article belongs to the Special Issue Diagnostic Imaging of Arthritis)
Show Figures

Figure 1

19 pages, 5013 KB  
Article
Influence of Clogging at the Filtration on Analysis of Dissolved and Particulate Forms of Chemical Elements in Boreal Rivers of the Russian Far East
by Vladimir Shulkin, Natalia Bogdanova and Evgeniy Elovskiy
Minerals 2022, 12(6), 773; https://doi.org/10.3390/min12060773 - 17 Jun 2022
Cited by 5 | Viewed by 3710
Abstract
Clogging is inevitable when membranes with 0.45 µm pore size are used for the separation of particulates from dissolved/colloidal forms in river water. This can lead to a shift in water quality assessment and evaluation of geochemical fluxes. We studied the influence of [...] Read more.
Clogging is inevitable when membranes with 0.45 µm pore size are used for the separation of particulates from dissolved/colloidal forms in river water. This can lead to a shift in water quality assessment and evaluation of geochemical fluxes. We studied the influence of clogging on the concentration of trace elements, major anions, nitrate, and dissolved organic carbon (DOC) in the filtrates after a sequential pass from 0.1 to 0.5 L of river water samples through the same 47 mm membrane with 0.45 µm pore size. These experiments were carried out for the typical boreal rivers of the Russian Far East, including the biggest one, Amur R., with different quantities of suspended solids (SS) and anthropogenic load. The concentration of the major anions, nitrate, Si, DOC, and such trace elements as Li, B, Ni, Cu, As, Sr, Rb, Mo, Ba, U did not depend on the water volume filtered. However, filterable Al, Fe, Ti, Pb, Mn, Co, and most REEs showed a notable decrease in concentration at an increase in volume filtered, at more than 100–200 mL of river water. Clogging membranes with retention of colloids <0.45 µm was suggested as a reason for such a decrease. The quantity of suspended solids and their grain size are the major factors that control clogging itself. Still, the influence of clogging on the concentration of filterable forms depends on the share of coarse colloidal forms. Moreover, retention of colloids <0.45 µm by the clogged membrane can bias the assessment of particulate forms. Surpluses of particulate Fe, Al, Mn, Co due to clogging decline from 13–26% to 2–6% of suspended forms of these metals at the growth of SS in river waters from 10 mg/L to more than 50 mg/L. For particulate REEs, the share due to membrane clogging varies non-linearly from 2–9% to 23–39%, depending on the initial concentration of filterable forms of REEs in the river waters. Full article
Show Figures

Figure 1

10 pages, 2258 KB  
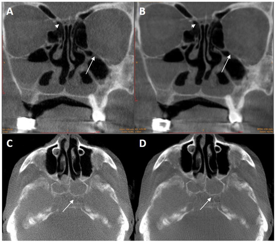
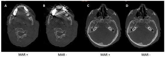
Article
Cone Beam CT Imaging of the Paranasal Region with a Multipurpose X-ray System—Image Quality and Radiation Exposure
by Sabine Ohlmeyer, Marc Saake, Thomas Buder, Matthias May, Michael Uder and Wolfgang Wuest
Appl. Sci. 2020, 10(17), 5876; https://doi.org/10.3390/app10175876 - 25 Aug 2020
Cited by 11 | Viewed by 5170
Abstract
Besides X-ray and fluoroscopy, a previously introduced X-ray scanner offers a 3D cone beam option (Multitom Rax, Siemens Healthcare). The aim of this study was to evaluate various scan parameters and post-processing steps to optimize image quality and radiation exposure for imaging of [...] Read more.
Besides X-ray and fluoroscopy, a previously introduced X-ray scanner offers a 3D cone beam option (Multitom Rax, Siemens Healthcare). The aim of this study was to evaluate various scan parameters and post-processing steps to optimize image quality and radiation exposure for imaging of the parasinus region. Four human cadaver heads were examined with different tube voltages (90–121 kV), dose levels (DLs) (278–2180 nGy) and pre-filtration methods (none, Cu 0.2 mm, Cu 0.3 mm and Sn 0.4 mm). All images were reconstructed in 2 mm slice thickness with and without a metal artifact reduction algorithm in three different kernels. In total, 80 different scan protocols and 480 datasets were evaluated. Image quality was rated on a 5-point Likert scale. Radiation exposure (mean computed tomography volume index (CTDIvol) and effective dose) was calculated for each scan. The most dose-effective combination for the diagnosis of sinusitis was 121 kV/DL of 278/0.3 mm copper (CTDIvol 1.70 mGy, effective dose 77 µSv). Scan protocols with 121 kV/DL1090/0.3 mm copper were rated sufficient for preoperative sinus surgery planning (CTDIvol 4.66 mGy, effective dose 212 µSv). Therefore, sinusitis and preoperative sinus surgery planning can be performed in diagnostic image quality at low radiation dose levels with a multipurpose X-ray system. Full article
Show Figures

Figure 1

18 pages, 12483 KB  
Article
Real-Time Interference Artifacts Suppression in Array of ToF Sensors
by Jozef Volak, Jakub Bajzik, Silvia Janisova, Dusan Koniar and Libor Hargas
Sensors 2020, 20(13), 3701; https://doi.org/10.3390/s20133701 - 2 Jul 2020
Cited by 7 | Viewed by 4218
Abstract
Time of Flight (ToF) sensors are the source of various errors, including the multi-camera interference artifact caused by the parallel scanning mode of the sensors. This paper presents the novel Importance Map Based Median filtration algorithm for interference artifacts suppression, as the potential [...] Read more.
Time of Flight (ToF) sensors are the source of various errors, including the multi-camera interference artifact caused by the parallel scanning mode of the sensors. This paper presents the novel Importance Map Based Median filtration algorithm for interference artifacts suppression, as the potential 3D filtration method. The approach is based on the processing of multiple depth frames, using the extraction of the interference region and application of the interpolation. Considering the limitations and good functionalities of proposed algorithm, the combination with some standard methods was suggested. Performance of the algorithm was evaluated on the dataset consisting of the real-world objects with different texture and morphology against popular filtering methods based on neural networks and statistics. Full article
Show Figures

Figure 1

Back to TopTop