Sign in to use this feature.

Years

Between: -

Subjects

remove_circle_outline
remove_circle_outline
remove_circle_outline
remove_circle_outline
remove_circle_outline

Journals

Article Types

Countries / Regions

Search Results (22)

Search Parameters:
Keywords = facial nerve decompression

Order results
Result details
Results per page
Select all
Export citation of selected articles as:
12 pages, 477 KB  
Article
Pontine Microtubular Signal Intensity in Hemifacial Spasm: Association with Outcome After Microvascular Decompression Surgery
by Hyun Seok Lee, Hong Gee Roh, Won-Jin Moon, Change-Hee Kim, Kwan Park and Jin Woo Choi
Life 2026, 16(4), 664; https://doi.org/10.3390/life16040664 - 14 Apr 2026
Viewed by 242
Abstract
Background: We aimed to investigate the prevalence and clinical significance of pontine microtubular signal intensity (MSI), presumed dilated perivascular or perineural spaces, in patients with hemifacial spasm (HFS) using high-resolution MRI using proton density-weighted imaging (HR-PDI). Methods: We retrospectively analyzed 438 patients with [...] Read more.
Background: We aimed to investigate the prevalence and clinical significance of pontine microtubular signal intensity (MSI), presumed dilated perivascular or perineural spaces, in patients with hemifacial spasm (HFS) using high-resolution MRI using proton density-weighted imaging (HR-PDI). Methods: We retrospectively analyzed 438 patients with unilateral HFS who underwent microvascular decompression (MVD) and preoperative HR-PDI. MSI was defined as a linear or curvilinear hyperintense lesion along the presumed course of the intraparenchymal facial nerve fascicles within the pons on HR-PDI. The presence and laterality of MSI were evaluated by consensus between two reviewers and classified according to their relationship to the symptomatic side of HFS as ipsilateral (same side as the facial spasm), contralateral (opposite side), or bilateral. Clinical characteristics, surgical findings, and postoperative outcomes were compared according to the presence of ipsilateral MSI. A control group of 307 subjects who underwent HR-PDI for non-central neurologic symptoms was included to assess the prevalence of MSI. Multivariable logistic regression analysis was performed to identify factors associated with immediate postoperative improvement after MVD. Results: MSI was more frequently observed in patients with HFS than in controls after adjusting age and sex (OR, 3.78; 95% CI, 2.747–5.197; p < 0.001). Ipsilateral MSI was identified in 267 of 438 patients (61.0%). Patients with ipsilateral MSI showed a significantly higher frequency of contralateral MSI (p < 0.001) and vertebralartery-related compression (p = 0.002). Immediate postoperative improvement after MVD was less frequent in patients with ipsilateral MSI than in those without MSI (77.5% vs. 86.5%, p = 0.019). Multivariable logistic regression analysis demonstrated that ipsilateral MSI was independently associated with a lower likelihood of immediate postoperative improvement (OR, 0.411; 95% CI, 0.222–0.759; p = 0.005). However, long-term surgical outcomes were not significantly different according to the presence of MSI. Conclusions: Pontine MSI on HR-PDI is more frequently observed in patients with HFS and is associated with a lower likelihood of immediate postoperative improvement and a tendency toward delayed recovery after MVD but not with poorer long-term outcomes. These findings suggest that MSI may represent microstructural or neurofluidic alterations along the pontine facial nerve pathway and may serve as an imaging marker of delayed recovery dynamics. Full article
Show Figures

Figure 1

10 pages, 382 KB  
Article
Hemifacial Spasms with Unusual Neurovascular Compression Type: Arterial Cisternal Segment Offender
by Hyun Seok Lee, Soung Wook Park, Sang-Ku Park and Kwan Park
Life 2026, 16(1), 166; https://doi.org/10.3390/life16010166 - 19 Jan 2026
Viewed by 511
Abstract
(1) Background: Hemifacial spasm (HFS) is most commonly caused by neurovascular compression at the root exit zone (REZ) of the facial nerve; however, isolated compression along the distal cisternal segment is uncommon and remains poorly characterized. This study aimed to analyze the clinical [...] Read more.
(1) Background: Hemifacial spasm (HFS) is most commonly caused by neurovascular compression at the root exit zone (REZ) of the facial nerve; however, isolated compression along the distal cisternal segment is uncommon and remains poorly characterized. This study aimed to analyze the clinical features, intraoperative neurophysiological patterns, and surgical outcomes of patients with HFS caused by cisternal segment arterial compression. (2) Methods: Among 874 patients who underwent microvascular decompression (MVD) for HFS, 18 (2.1%) were identified as having isolated neurovascular conflict at the cisternal segment, all involving the anterior inferior cerebellar artery (AICA). Clinical characteristics, offender location, intraoperative monitoring results including lateral spread response (LSR), brainstem auditory evoked potentials, and postoperative outcomes were retrospectively evaluated. A standardized Teflon interposition technique was used in all cases. (3) Results: Postoperatively, 83.3% of patients experienced immediate spasm relief, and at the latest available follow-up, 94.4% achieved significant improvement without severe complications. (4) Conclusions: Although rare, cisternal segment arterial compression can produce typical HFS and should be considered when REZ compression is unclear or when intraoperative neuromonitoring does not respond as expected. Microvascular decompression using Teflon interposition is a safe and effective treatment option for this anatomically challenging offender location. Full article
(This article belongs to the Section Medical Research)
Show Figures

Figure 1

11 pages, 1018 KB  
Article
A Five-Year Review of Temporal Bone Fractures at a Level One Trauma Center and Examination of the Impact of the COVID-19 Pandemic
by Walter M. Jongbloed, Desiree Campbell, Chia-Ling Kuo, Kelin Zhong and Norman J. Cavanagh
Surgeries 2025, 6(2), 33; https://doi.org/10.3390/surgeries6020033 - 9 Apr 2025
Cited by 2 | Viewed by 4220
Abstract
Background/Objectives: This study identifies and characterizes temporal bone fractures over a five-year period at a level one trauma center, focusing on the injury mechanism, otic capsule involvement, facial nerve involvement, fracture orientation, and the impact of the COVID-19 pandemic on skull base trauma. [...] Read more.
Background/Objectives: This study identifies and characterizes temporal bone fractures over a five-year period at a level one trauma center, focusing on the injury mechanism, otic capsule involvement, facial nerve involvement, fracture orientation, and the impact of the COVID-19 pandemic on skull base trauma. Methods: This retrospective cross-sectional study from a single level one trauma center reviewed skull base fractures from March 2018 to July 2023, identified with ICD-10 codes. Temporal bone fractures were categorized as otic capsule-sparing or -involving and by orientation (transverse, longitudinal, or oblique). Data were grouped into before, during, and after the COVID-19 lockdown period to address the impact of the COVID-19 pandemic. Data were also grouped into facial nerve injury and no facial nerve injury. Fisher’s exact test (5% significance) and descriptive statistics were used to compare groups. Results: A total of 364 fractures were identified. Facial nerve injuries (6.1%) were more likely in otic-capsule-involving (p < 0.001) and transverse or oblique fractures (p < 0.001). During the COVID-19 lockdown, hospital stays (p = 0.011) and ICU days (p = 0.035) were shorter. Among 22 facial nerve injury cases, half received high-dose steroids, but 6 died before evaluation. Six had complete paralysis; all received steroids, and three had surgical decompression. Only two had documented recovery. Of the 10 patients with partial paralysis, 5 received steroids, but only 2 showed improvement. All patients with incomplete eye closure received protective measures. Conclusions: Temporal bone fractures involving the otic capsule or transverse/oblique patterns are more likely to result in facial nerve injury. There are treatment discrepancies, which highlight a lack of a standard approach to treating those with facial nerve injury. An analysis of the impact of the COVID-19 pandemic revealed shorter hospital and intensive care stays during this time. Full article
Show Figures

Figure 1

12 pages, 2367 KB  
Case Report
Trigeminal Neuralgia Treatment via Piezosurgical Enlargement of the Mental Foramen
by Radosław Jadach and Karolina Osypko
Life 2025, 15(3), 382; https://doi.org/10.3390/life15030382 - 28 Feb 2025
Viewed by 3871
Abstract
Background: This article and the novel surgical approach described here were inspired by the ideas and observations of the late professors T. Pawela and J. Wnukiewicz. The authors present the medical history and unique surgical treatment of four patients with trigeminal neuralgia, who, [...] Read more.
Background: This article and the novel surgical approach described here were inspired by the ideas and observations of the late professors T. Pawela and J. Wnukiewicz. The authors present the medical history and unique surgical treatment of four patients with trigeminal neuralgia, who, despite pharmacological treatment and numerous specialists being involved in the treatment process, continued suffering. Our belief is that the direct cause of the symptoms is a narrow mental foramen, which compresses the mental nerve. It can be easily verified by local anesthesia administration to verify the trigger point, and by analyzing CBCT scans with a special emphasis on the diameter of both mental foramina. Methods: Surgical decompression by narrow mental foramen enlargement was conducted with a piezosurgical device. In this procedure, a rectangle of cortical bone is gently and precisely cut around the mental foramen and then into smaller pieces. This technique enables its easy and safe removal. Then, the mental nerve is left loose, uncompressed. Results: All four patients reported immediate recovery, their pain attacks stopped, and their quality of life improved significantly. One patient reported temporal hypoesthesia that lasted 5 months post-op. About 2 years post-op, another patient reported rare recurrences of pain, although much less severe than before surgery. Conclusions: This type of treatment may be considered when trigeminal neuralgia cannot be classified as classic or as secondary and is unresponsive to pharmacological treatment. A piezosurgical device seems to be the safest option in terms of potential damage to the nerve. Further research should include a larger sample of patients and focus on analyzing the mental foramina diameter of patients with idiopathic trigeminal neuralgia. Full article
(This article belongs to the Special Issue Pain and Therapy: Historical Perspectives and Future Directions)
Show Figures

Figure 1

15 pages, 2494 KB  
Review
Microvascular Decompression for Trigeminal Neuralgia Secondary to Vertebrobasilar Dolichoectasia: Review of the Literature and Illustrative Case
by Massimiliano Visocchi, Fabio Zeoli and Francesco Signorelli
J. Clin. Med. 2024, 13(21), 6342; https://doi.org/10.3390/jcm13216342 - 23 Oct 2024
Cited by 10 | Viewed by 2758
Abstract
Classical trigeminal neuralgia (TN) is a chronic pain disorder characterized by severe, unilateral facial pain, often resulting from vasculonervous conflict. A less common cause of TN is vertebrobasilar dolichoectasia (VBD). Microvascular decompression (MVD) is the preferred surgical intervention for TN, but in case [...] Read more.
Classical trigeminal neuralgia (TN) is a chronic pain disorder characterized by severe, unilateral facial pain, often resulting from vasculonervous conflict. A less common cause of TN is vertebrobasilar dolichoectasia (VBD). Microvascular decompression (MVD) is the preferred surgical intervention for TN, but in case of VBD, the surgical procedure is more complex due to the aberrant vascular anatomy. This study aims to review the evidence on MVD for VBD-induced TN, and analyze operative challenges, efficacy, and postoperative outcomes. An illustrative case is also presented. We report on the case of a 62-year-old male with a 7-year history of right-sided TN affecting the maxillary (V2) and mandibular (V3) territories. The patient underwent MVD using the interposition technique, where Teflon sponges were placed between the basilar artery and the nerve. Postoperatively, the patient experienced complete pain relief without neurological deficits. At 12 months follow-up, the patient remained pain-free and off medications. We performed an extensive literature review using PubMed, Scopus, and Web of Sciences, highlighting the most relevant studies and findings on the topic. The literature review showed that, while MVD is effective in providing long-term pain relief in VBD-induced TN, the choice between interposition and transposition techniques remains debated. Interposition is easier to perform but may inadvertently increase nerve compression in some cases, whereas transposition offers more definitive decompression but carries higher technical risks. Our case and the available literature highlight the importance of individualized treatment planning in achieving optimal outcomes for patients with VBD-induced TN. Further research is needed to refine surgical techniques and minimize complications in this subset of TN patients. Full article
Show Figures

Figure 1

9 pages, 1312 KB  
Systematic Review
Acute Otitis Media and Facial Paralysis in Children: A Systemic Review and Proposal of an Operative Algorithm
by Piergabriele Fichera, Luca Bruschini, Stefano Berrettini, Silvia Capobianco and Giacomo Fiacchini
Audiol. Res. 2023, 13(6), 889-897; https://doi.org/10.3390/audiolres13060077 - 8 Nov 2023
Cited by 4 | Viewed by 7320
Abstract
Acute otitis media (AOM) is one of the most common ENT diseases in children. In the antibiotic/post-antibiotic era, facial paralysis is a very rare complication of AOM (0.004–0.005%). Despite the rarity of this complication, it should be known by all physicians for proper [...] Read more.
Acute otitis media (AOM) is one of the most common ENT diseases in children. In the antibiotic/post-antibiotic era, facial paralysis is a very rare complication of AOM (0.004–0.005%). Despite the rarity of this complication, it should be known by all physicians for proper therapeutic management to avoid serious sequelae. The aim of this review is to provide a management guide based on the current literature. Materials and Methods: Fifteen studies published between 2000 and 2022 were selected, including 120 patients (62 M/58 F) with an average age of 4.96 years old (range = 4 months–16 years; SD: 4.2). The paralysis frequently has a sudden onset and is of a severe grade (medium House–Brackmann (HB) score at onset: 4.68; SD: 0.5); however, it tends to have an almost complete recovery in most patients (88.49% HB 1 at follow-up). Results: Its first-line treatment must be based on the use of antibiotics (beta-lactam antibiotics as penicillins or cephalosporins). Corticosteroids should be used concomitantly for their anti-inflammatory and neuroprotective actions; however, there is no unanimity between authors about their application. Myringotomy, with or without ventilation tube insertion, is indicated in cases where the tympanic membrane is intact. Other kinds of surgery should be performed only in patients who have a worsening of their AOM symptoms or a worsening in HB score even with clinical treatment. Conclusions: The obtained data show that a conservative treatment can be sufficient for complete recovery in most patients, and it is preferred as the first-line therapy. Mastoidectomy should be performed only in patients with acute mastoiditis and without symptom improvement after a conservative approach. There are insufficient data in the current literature to provide clear selection criteria for patients who need to undergo mastoidectomy with facial nerve decompression. The choice of this treatment is based on an individual center expertise. Further studies are needed to clarify the role of corticosteroids and the role of facial nerve decompression in this clinical scenario. Full article
Show Figures

Figure 1

10 pages, 574 KB  
Article
Outcomes after Microvascular Decompression for Hemifacial Spasm without Definite Radiological Neurovascular Compression at the Root Exit Zone
by Chiman Jeon, Minsoo Kim, Hyun-Seok Lee, Doo-Sik Kong and Kwan Park
Life 2023, 13(10), 2064; https://doi.org/10.3390/life13102064 - 16 Oct 2023
Cited by 6 | Viewed by 5727
Abstract
The purpose of this study was to investigate the outcome of microvascular decompression (MVD) in patients with hemifacial spasm (HFS) who have no definite radiological neurovascular compression (NVC). Sixteen HFS patients without radiological NVC on preoperative MRI underwent MVD surgery. The symptoms were [...] Read more.
The purpose of this study was to investigate the outcome of microvascular decompression (MVD) in patients with hemifacial spasm (HFS) who have no definite radiological neurovascular compression (NVC). Sixteen HFS patients without radiological NVC on preoperative MRI underwent MVD surgery. The symptoms were left-sided in fourteen (87.5%) and right-sided in two patients (12.5%). Intraoperatively, the most common vessel compressing the facial nerve was the AICA (8, 44.4%), followed by arterioles (5, 27.8%), veins (4, 22.2%), and the PICA (1, 5.6%). The most common compression site was the cisternal portion (13, 76.5%) of the facial nerve, followed by the REZ (4, 23.5%). One patient (6.3%) was found to have multiple NVC sites. Arachnoid type (7, 50%) was the most common compressive pattern, followed by perforator type (4, 28.6%), sandwich type (2, 14.3%), and loop type (1, 7.1%). A pure venous compression was seen in two patients, while a combined venous-arterial “sandwich” compression was detected in two patients. Symptom improvement was observed in all of the patients. Only one patient experienced recurrence after improvement. Based on our experience, MVD surgery can be effective for primary HFS patients with no definite radiological NVC. MVD can be considered if the patient shows typical HFS features, although NVC is not evident on MRI. Full article
(This article belongs to the Section Physiology and Pathology)
Show Figures

Figure 1

12 pages, 2414 KB  
Article
Penetrating Offenders in Hemifacial Spasm: Surgical Tactics and Prognosis
by Hyun-Seok Lee and Kwan Park
Life 2023, 13(10), 2021; https://doi.org/10.3390/life13102021 - 7 Oct 2023
Cited by 3 | Viewed by 3830
Abstract
(1) Background: In cases of hemifacial spasm (HFS), there are various patterns related to the vascular compression of the facial nerve, including a very rare form that is seen when the offending vessel penetrates the facial nerve. However, there have been few reports [...] Read more.
(1) Background: In cases of hemifacial spasm (HFS), there are various patterns related to the vascular compression of the facial nerve, including a very rare form that is seen when the offending vessel penetrates the facial nerve. However, there have been few reports in the literature regarding the associated surgical techniques and postoperative prognosis. (2) Methods: A retrospective review was conducted of 4755 patients who underwent microvascular decompression (MVD) surgery from April 1997 to June 2023. In total, 8 out of the 4755 patients (0.2%) exhibited a penetrating offending vessel; the medical and surgical records of these 8 patients were then analyzed. Surgery was then attempted to maximally decompress the penetrating offender. (3) Results: Seven out of the eight patients (87.5%) were spasm-free immediately after surgery, and one had only 10% residual spasm compared to their preoperative condition. That patient was also spasm-free one year later. Postoperative facial palsy occurred in one patient (12.5%) who was assessed as grade II in the House–Brackmann grading system. In another patient, the resection of a small facial nerve bundle did not result in facial palsy. There were no cases of hearing loss or other complications. (4) Conclusions: Decompressing the penetrating offender did not increase the incidence of facial palsy, and the prognosis for hemifacial spasms was good. Therefore, when a penetrating pattern was encountered during MVD surgery, decompression between the penetrating offender and the facial nerve may offer good results. Full article
Show Figures

Figure 1

12 pages, 5999 KB  
Review
Lateral Spread Response: Unveiling the Smoking Gun for Cured Hemifacial Spasm
by Kyung Rae Cho, Sang Ku Park and Kwan Park
Life 2023, 13(9), 1825; https://doi.org/10.3390/life13091825 - 29 Aug 2023
Cited by 5 | Viewed by 3606
Abstract
Hemifacial spasm (HFS) is a rare disorder characterized by involuntary facial muscle contractions. The primary cause is mechanical compression of the facial nerve by nearby structures. Lateral spread response (LSR) is an abnormal muscle response observed during electromyogram (EMG) testing and is associated [...] Read more.
Hemifacial spasm (HFS) is a rare disorder characterized by involuntary facial muscle contractions. The primary cause is mechanical compression of the facial nerve by nearby structures. Lateral spread response (LSR) is an abnormal muscle response observed during electromyogram (EMG) testing and is associated with HFS. Intraoperative monitoring of LSR is crucial during surgery to confirm successful decompression. Proper anesthesia and electrode positioning are important for accurate LSR monitoring. Stimulation parameters should be carefully adjusted to avoid artifacts. The disappearance of LSR during surgery is associated with short-term outcomes, but its persistence does not necessarily indicate poor long-term outcomes. LSR monitoring has both positive and negative prognostic value, and its predictive ability varies across studies. Early disappearance of LSR can occur before decompression and may indicate better clinical outcomes. Further research is needed to fully understand the implications of LSR monitoring in HFS surgery. Full article
Show Figures

Figure 1

11 pages, 5669 KB  
Opinion
Recent Advances in Intraoperative Brainstem Auditory Evoked Potential Monitoring during Microvascular Decompression Surgery for Hemifacial Spasm
by Sang-Ku Park, Hyun Seok Lee, Kyung Rae Cho and Kwan Park
Life 2023, 13(9), 1789; https://doi.org/10.3390/life13091789 - 22 Aug 2023
Cited by 3 | Viewed by 2812
Abstract
Brainstem auditory evoked potential (BAEP) testing during microvascular decompression (MVD) is very important in the treatment of hemifacial spasm (HFS). The reason for this is that the vestibulocochlear nerve is located immediately next to the facial nerve, so the vestibulocochlear nerve may be [...] Read more.
Brainstem auditory evoked potential (BAEP) testing during microvascular decompression (MVD) is very important in the treatment of hemifacial spasm (HFS). The reason for this is that the vestibulocochlear nerve is located immediately next to the facial nerve, so the vestibulocochlear nerve may be affected by manipulation during surgery. BAEP testing for detecting vestibulocochlear nerve damage has been further developed for use during surgery. In most HFS patients with normal vestibulocochlear nerves, the degree of vestibulocochlear nerve damage caused by surgery is well-reflected in the BAEP test waveforms. Therefore, real-time testing is the best way to minimize damage to the vestibulocochlear nerve. The purpose of this study was to review the most recently published BAEP test waveforms that were obtained during MVD surgery to determine the relationship between vestibulocochlear nerve damage and BAEP waveforms. Full article
(This article belongs to the Special Issue Hemifacial Spasm: An Update)
Show Figures

Figure 1

7 pages, 550 KB  
Opinion
Clinical Application of Botulinum Toxin for Hemifacial Spasm
by Chang-Kyu Park, Seung-Hoon Lim and Kwan Park
Life 2023, 13(8), 1760; https://doi.org/10.3390/life13081760 - 17 Aug 2023
Cited by 6 | Viewed by 10909
Abstract
Hemifacial spasm is typically caused by contact between the facial nerve and blood vessels. Microvascular decompression, a treatment that directly addresses this pathogenesis, is often considered the most effective treatment method. However, surgery is not immediately performed for patients at risk from the [...] Read more.
Hemifacial spasm is typically caused by contact between the facial nerve and blood vessels. Microvascular decompression, a treatment that directly addresses this pathogenesis, is often considered the most effective treatment method. However, surgery is not immediately performed for patients at risk from the surgical treatment, or for those with an unclear diagnosis. In these instances, Botulinum toxin injection can help manage the patient’s symptoms. Numerous studies corroborate the effectiveness and safety of Botulinum toxin treatment, with large-scale studies indicating symptom control lasts, on average, around 15 weeks. Full article
(This article belongs to the Section Physiology and Pathology)
Show Figures

Figure 1

12 pages, 1164 KB  
Review
Intraoperative Monitoring of the Facial Nerve during Microvascular Decompression for Hemifacial Spasm
by Chiman Jeon, Na Young Jung, Minsoo Kim and Kwan Park
Life 2023, 13(7), 1616; https://doi.org/10.3390/life13071616 - 24 Jul 2023
Cited by 11 | Viewed by 6270
Abstract
This review article discusses the clinical significance of intraoperative neurophysiological monitoring (IONM), provides recommendations for monitoring protocols, and considers the interpretation of results in microvascular decompression (MVD) for hemifacial spasm (HFS). The lateral spread response (LSR) is an important monitoring parameter during MVD. [...] Read more.
This review article discusses the clinical significance of intraoperative neurophysiological monitoring (IONM), provides recommendations for monitoring protocols, and considers the interpretation of results in microvascular decompression (MVD) for hemifacial spasm (HFS). The lateral spread response (LSR) is an important monitoring parameter during MVD. It helps to identify the responsible blood vessel and confirms its thorough decompression from the facial nerve. The disappearance of the LSR during surgery is associated with favorable clinical outcomes. Standard and revised monitoring protocols and the confirmation of LSR persistence and disappearance are also discussed. The blink reflex and other facial nerve monitoring modalities, such as free-running electromyography, facial motor evoked potentials, F-waves, and the Z-L response, are further considered. Full article
(This article belongs to the Special Issue Hemifacial Spasm: An Update)
Show Figures

Figure 1

8 pages, 244 KB  
Article
Facial Palsy Secondary to Cholesteatoma: A Case-Series of 14 Patients
by George Psillas and Jiannis Constantinidis
Audiol. Res. 2023, 13(1), 86-93; https://doi.org/10.3390/audiolres13010008 - 15 Jan 2023
Cited by 5 | Viewed by 4027
Abstract
Background: To evaluate patients with middle ear cholesteatoma presenting with facial palsy (FP). Material-Methods: A total of 14 subjects (10 males and 4 females), with a mean age of 42.5 years, were included in our study. The majority of patients presented with incomplete [...] Read more.
Background: To evaluate patients with middle ear cholesteatoma presenting with facial palsy (FP). Material-Methods: A total of 14 subjects (10 males and 4 females), with a mean age of 42.5 years, were included in our study. The majority of patients presented with incomplete FP (House–Brackmann HB II-IV, 11 cases) and the remaining 3 patients had complete facial paralysis (HB V-VI). A canal wall down mastoidectomy was performed in all the patients, followed by partial facial nerve decompression. Results: At the one-year follow-up, eleven (78.5%) patients demonstrated satisfactory recovery to HB I-II. Facial function recovered to HB grade I-II in 9 (100%) patients who were surgically treated within one month, and in 2 (40%) patients who underwent surgery after one month. The tympanic segment of facial nerve was the most common site of involvement (8 patients). The multiple regression analysis showed that a higher preoperative HB grade combined with a gradual than sudden onset of FP more likely resulted in worse postoperative HB grade. Conclusion: Early surgical removal of cholesteatoma associated with FP is more likely to result in good facial nerve recovery (78.5% of cases), when it is performed within one month from the onset of FP. According to the literature, the tympanic segment of the facial nerve was more frequently damaged (77.7%), followed by the mastoid segment (22.9%), labyrinthine segment (11.1%), and geniculate ganglion (11.1%). Labyrinthine fistula, mainly of the lateral semicircular canal, can be expected in cases of facial nerve dehiscence. The canal wall down mastoidectomy combined with partial decompression surgery was the most preferred surgical treatment for the FP secondary to cholesteatoma. Full article
8 pages, 402 KB  
Article
Affection of Surgical Decompressive Scale of Optic Canal to Traumatic Optic Neuropathy
by Xinyu Li and Zhilin Guo
Brain Sci. 2022, 12(11), 1442; https://doi.org/10.3390/brainsci12111442 - 26 Oct 2022
Cited by 4 | Viewed by 1927
Abstract
Traumatic optic neuropathy (TON) is damage to the optic nerve that is caused by external violence to the optic nerve during cranial and facial trauma. This kind of injury may result in impaired vision, has a high risk of blindness, and significantly impairs [...] Read more.
Traumatic optic neuropathy (TON) is damage to the optic nerve that is caused by external violence to the optic nerve during cranial and facial trauma. This kind of injury may result in impaired vision, has a high risk of blindness, and significantly impairs the neurological function of the patient. The treatment of TON is controversial, and many different approaches have been suggested. No one is considered best because the traumatic mechanism is not clear. Methods: In this retrospective study, the clinical features of 37 patients diagnosed with TON without light perception who were treated at the Ninth People’s Hospital of Shanghai Jiao Tong University School of Medicine were investigated. A comparison was made between the patient’s visual results before and after therapy. In addition, using a multifactorial linear regression model, the independent risk variables for the degree of improvement in visual acuity (IDVA) following surgery were determined. Results: After the operation, 17 people’s visual acuity (VA) was lightless, 20 people’s visual acuity was improved, and 13 people’s visual acuity reached the standard of decerebrate. The efficiency of total optic nerve decompression was 54.1%, and the unblinded rate was 35.1%. Multiple linear regression analysis revealed that fractures of the optic canal and orbit were independent predictors of postoperative VA and IDVA. Conclusions: Total optic canal decompression may efficiently and safely enhance the vision of patients who have TON. Patients with TON who do not have fractures of the optic canal and orbit prior to decompression had a more favorable surgical prognosis. Full article
(This article belongs to the Section Neurosurgery and Neuroanatomy)
Show Figures

Figure 1

9 pages, 1684 KB  
Case Report
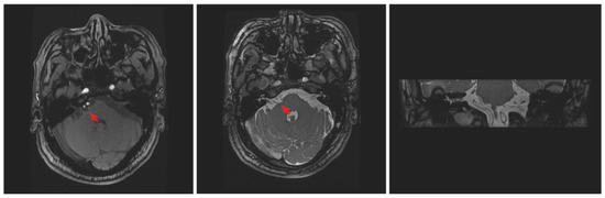
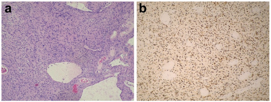
A Case Report of Hemifacial Spasm Caused by Vestibular Schwannoma and Literature Review
by Xiaomin Cai, Yinda Tang, Hua Zhao, Zheng Chen, Haopeng Wang, Wanchun Zhu and Shiting Li
Brain Sci. 2022, 12(10), 1347; https://doi.org/10.3390/brainsci12101347 - 5 Oct 2022
Cited by 2 | Viewed by 3118
Abstract
Background: Most cases of hemifacial spasm result from mechanical compression at the root exit zone of the facial nerve by vascular loops, and only a few cases are caused by vestibular schwannoma. Case presentation: We report a case of symptomatic hemifacial spasm induced [...] Read more.
Background: Most cases of hemifacial spasm result from mechanical compression at the root exit zone of the facial nerve by vascular loops, and only a few cases are caused by vestibular schwannoma. Case presentation: We report a case of symptomatic hemifacial spasm induced by a small vestibular schwannoma that was totally resected. A 64-year-old man was admitted to our department with a 14-month history of symptomatic right-sided hemifacial spasm. During the process of microvascular decompression, no definite vessel was found to compress the facial nerve. By further exploration of regions other than root exit zone, a small vestibular schwannoma compressing the internal auditory canal portion of facial nerve from the ventral side was discovered. Resection of the tumor was then conducted. The symptoms of hemifacial spasm disappeared immediately after surgery. Conclusions: We should be aware that magnetic resonance imaging is not always precise and perhaps misses some miniature lesions due to present image technique limitations. A small vestibular schwannoma might be the reason for HFS, although preoperative magnetic resonance tomography angiography showed possible vascular compression at the facial nerve root. More importantly, a full-length exploration of the facial nerve is in urgent need to find potential compression while performing microvascular decompression for HFS patients. Full article
(This article belongs to the Section Neurosurgery and Neuroanatomy)
Show Figures

Figure 1

Back to TopTop