Sign in to use this feature.

Years

Between: -

Subjects

remove_circle_outline
remove_circle_outline
remove_circle_outline
remove_circle_outline
remove_circle_outline
remove_circle_outline
remove_circle_outline
remove_circle_outline
remove_circle_outline

Journals

Article Types

Countries / Regions

remove_circle_outline
remove_circle_outline
remove_circle_outline
remove_circle_outline
remove_circle_outline

Search Results (243)

Search Parameters:
Keywords = dicer

Order results
Result details
Results per page
Select all
Export citation of selected articles as:
30 pages, 1376 KB  
Review
Gene Inactivation in Transgenic Plants—A Unique Model for Studying Epigenetic Regulation of Gene Expression
by Tatyana V. Marenkova, Alla A. Zagorskaya, Igor V. Deyneko and Elena V. Deineko
Plants 2026, 15(2), 247; https://doi.org/10.3390/plants15020247 - 13 Jan 2026
Abstract
The phenomenon of transgene silencing was first observed shortly after the generation of the initial transgenic plants. The vast body of experimental data accumulated since then constitutes an invaluable resource for dissecting the mechanisms of epigenetic gene regulation. Silencing operates at either the [...] Read more.
The phenomenon of transgene silencing was first observed shortly after the generation of the initial transgenic plants. The vast body of experimental data accumulated since then constitutes an invaluable resource for dissecting the mechanisms of epigenetic gene regulation. Silencing operates at either the transcriptional (TGS) or post-transcriptional (PTGS) level and is predominantly mediated by small interfering RNAs (siRNAs). Although these two epigenetic pathways involve distinct sets of proteins and enzymes, they share fundamental mechanistic features: the generation of double-stranded RNA (dsRNA), its processing into siRNAs by DICER-LIKE (DCL) enzymes, and the assembly of an Argonaute-centered effector ribonucleoprotein complex (RISC). Guided by sequence-specific siRNAs, this complex identifies complementary target sequences with high precision. A comprehensive understanding of these regulatory pathways enables the targeted induction or suppression of specific plant genes. This review traces the history of experimental findings regarding the loss of recombinant gene activity in transformants and their progeny, which collectively established the foundation for elucidating the molecular mechanisms of transgene silencing. Full article
(This article belongs to the Section Plant Genetics, Genomics and Biotechnology)
Show Figures

Figure 1

18 pages, 12725 KB  
Article
Dicer Deletion in the Ear Can Cut Most Neurons and Their Innervation of Hair Cells to Project to the Ear and the Brainstem
by Ebenezer N. Yamoah, Gabriela Pavlinkova, Jeong Han Lee, Jennifer Kersigo, Marsha L. Pierce and Bernd Fritzsch
Int. J. Mol. Sci. 2026, 27(1), 539; https://doi.org/10.3390/ijms27010539 - 5 Jan 2026
Viewed by 279
Abstract
Dicer is crucial for the generation of microRNAs (miRNAs), which are essential for regulating gene expression and keeping neuronal health. Dicer’s conditional deletion cuts all spiral ganglion neurons but spares a small fraction of vestibular ganglion neurons, innervating the utricle and part of [...] Read more.
Dicer is crucial for the generation of microRNAs (miRNAs), which are essential for regulating gene expression and keeping neuronal health. Dicer’s conditional deletion cuts all spiral ganglion neurons but spares a small fraction of vestibular ganglion neurons, innervating the utricle and part of the saccule. Hair cells develop in the utricle, saccule, posterior crista, and the cochlea in Pax2Cre; Dicerf/f. Cochlear hair cells develop at the base and expand the OHC and IHC in the middle, or split into a base/middle and the apex. In contrast, Foxg1Cre; Dicerf/f cuts all canal cristae and cochlea hair cells, leaving a reduced utricle and an exceedingly small saccule. Likewise, Foxg1Cre; Gata3f/f shows no cochlear hair cells and is absent in the horizontal and reduced in the posterior crista. In contrast, the utricle, saccule, and anterior crista are nearly normal, underscoring the intricate regulatory networks involved in hair cell and neuronal development. The central projections have been described as the topology of various null deletions. Still, without spiral ganglion neurons, fibers from Dicer null mice navigate to the cochlear nuclei and expand into the vestibular nuclei to innervate the caudal brainstem. Beyond a ramification around the CN, no fibers expand to reach the cerebellum, likely due to Pax2 and Foxg1 that cut these neurons. Genetic alterations, such as Dicer deletion, can lead to hearing loss and impairments in auditory signal processing, illustrating the critical role of microRNAs in the development and function of auditory and vestibular neurons. Further studies on this topic could help in understanding potential therapeutic targets for hearing loss associated with neuronal degradation of miRNA. Full article
(This article belongs to the Section Molecular Biology)
Show Figures

Graphical abstract

19 pages, 2342 KB  
Review
RNA Interference in Plant Interactions with Pathogenic Microorganisms: A Weapon or a Liability?
by Artemii Ivanov and Tatiana Golubeva
Curr. Issues Mol. Biol. 2026, 48(1), 21; https://doi.org/10.3390/cimb48010021 - 25 Dec 2025
Viewed by 369
Abstract
The RNA interference machinery is crucial for regulating the activity of both native and foreign genes across all eukaryotes. The core protein families involved in this process are Dicer-like, Argonaute, and RNA-dependent RNA polymerase. However, plants exhibit remarkable diversity within each family and [...] Read more.
The RNA interference machinery is crucial for regulating the activity of both native and foreign genes across all eukaryotes. The core protein families involved in this process are Dicer-like, Argonaute, and RNA-dependent RNA polymerase. However, plants exhibit remarkable diversity within each family and extensively use RNA interference mechanisms in their intricate immune responses. This review examines the role of RNA interference in plant interactions with various pathogens, including viruses, viroids, fungi, oomycetes, and bacteria. Plant diseases cause an estimated $220 billion in annual damage, with microorganisms accounting for approximately $150 billion. Hence, the focus is on the most severe plant diseases, specifically those caused by fungi and viruses. Additionally, recent biotechnological advancements are discussed, with an emphasis on the application of RNA interference for the development of novel plant defence strategies. Full article
(This article belongs to the Section Molecular Plant Sciences)
Show Figures

Graphical abstract

13 pages, 1162 KB  
Article
Somatic Mutational Landscape in Follicular Thyroid Cancer: Insights from AACR GENIE Data
by Beau Hsia, Julia Kuzniar, Joey Luzarraga, Asritha Sure, Vinay Veluvolu, Eli Oved, Peter T. Silberstein, Joseph Thirumalareddy, Abubakar Tauseef, Vijay Patel and Aliasgher Khaku
J. Pers. Med. 2026, 16(1), 3; https://doi.org/10.3390/jpm16010003 - 21 Dec 2025
Viewed by 206
Abstract
Objective(s): To delineate the somatic mutational landscape of follicular thyroid carcinoma (FTC) from a large, real-world cohort to identify molecular subtypes and actionable targets for personalized therapeutic interventions. Methods: Genomic and clinical data for 168 FTC samples were retrieved from the AACR Project [...] Read more.
Objective(s): To delineate the somatic mutational landscape of follicular thyroid carcinoma (FTC) from a large, real-world cohort to identify molecular subtypes and actionable targets for personalized therapeutic interventions. Methods: Genomic and clinical data for 168 FTC samples were retrieved from the AACR Project GENIE® registry via cBioPortal. This study assessed mutation frequencies, copy number alterations, and subgroup differences (primary vs. metastatic; adult vs. pediatric) using statistical tests. Results: NRAS was the most common mutation (33.9%), followed by TERT (22.6%), DICER1 (15.5%), HRAS (11.9%), and PTEN (10.7%). DICER1 mutations were significantly enriched in pediatric cases (44.4% vs. 4.6% in adults, p < 0.001), while TERT mutations were exclusive to adults (42%). NRAS mutations were more frequent in metastatic tumors (42.4%) than primary tumors (29.2%). Conclusions: FTC tumorigenesis is driven by distinct molecular pathways, with significant heterogeneity between pediatric and adult patients as well as primary and metastatic disease. These findings underscore the necessity of molecular profiling for patient stratification and provide a strong rationale for developing personalized treatment strategies to improve clinical outcomes. Full article
Show Figures

Figure 1

19 pages, 2466 KB  
Article
Disrupted miRNA Biogenesis Machinery Reveals Common Molecular Pathways and Diagnostic Potential in MDS and AML
by Kenan Çevik, Mustafa Ertan Ay, Anıl Tombak, Özlem İzci Ay, Ümit Karakaş and Mehmet Emin Erdal
Biomedicines 2025, 13(12), 3082; https://doi.org/10.3390/biomedicines13123082 - 14 Dec 2025
Viewed by 394
Abstract
Background: Myelodysplastic syndromes (MDS) and acute myeloid leukemia (AML) are clonal stem cell disorders in which disrupted post-transcriptional regulation contributes to aberrant hematopoiesis and leukemic transformation. The miRNA biogenesis machinery, which comprises Drosha, DGCR8, Dicer, TARBP2, and AGO1, ensures the precise maturation [...] Read more.
Background: Myelodysplastic syndromes (MDS) and acute myeloid leukemia (AML) are clonal stem cell disorders in which disrupted post-transcriptional regulation contributes to aberrant hematopoiesis and leukemic transformation. The miRNA biogenesis machinery, which comprises Drosha, DGCR8, Dicer, TARBP2, and AGO1, ensures the precise maturation of miRNAs that control lineage commitment and proliferation. However, the extent to which alterations in this pathway reshape hematopoietic gene networks during myeloid disease evolution remains largely unexplored. Methods: Bone marrow samples from newly diagnosed, untreated MDS and AML patients and matched healthy controls were analyzed for the expression of five key miRNA biogenesis genes using quantitative real-time PCR. Statistical comparisons, correlation matrices, and ROC analyses were performed to characterize gene-expression differences. These results were integrated with multigene logistic modeling, decision-curve analysis, and exploratory random forest/SHAP approaches to evaluate molecular interactions and diagnostic relevance. Results: DROSHA, DICER1, and TARBP2 were significantly downregulated in both MDS and AML, suggesting impaired miRNA maturation and a loss of global post-transcriptional control. DGCR8 expression increased across higher-risk MDS groups, suggesting compensatory activation of the Microprocessor complex, whereas AGO1 levels remained relatively stable, consistent with partial maintenance of RISC function. Correlation analyses revealed a co-regulated DROSHA–TARBP2–AGO1 module. ROC, logistic, and machine learning models identified DGCR8 and DICER1 as the strongest diagnostic discriminators. The integrated five-gene signature achieved high discriminative performance (AUC ≈ 0.98) and showed promise but remains preliminary potential for clinical application. Conclusions: Our findings suggest that defects in miRNA biogenesis disrupt hematopoietic homeostasis, reflecting common mechanisms in MDS and AML. The dysregulation of DICER1, DGCR8, and TARBP2 offers insights into miRNA-driven leukemogenesis and may pave the way for miRNA-based diagnostic and therapeutic strategies, pending validation in larger cohorts. Although transcript-level data are provided, future studies should include functional validation to determine the impact on downstream miRNA processing and hematopoietic pathways. Full article
Show Figures

Figure 1

19 pages, 3004 KB  
Article
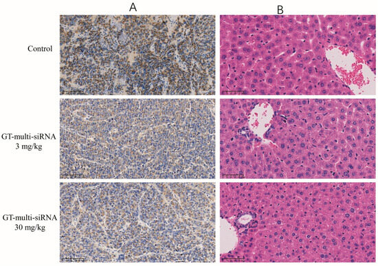
Development of a Dual Gene-Targeted Multi-Sirna with Branched Structure and Its Role in the Therapy of Liver Cancer
by Mingdong Lu, Wenqin Jiang, Zhekai Liu, Yiqing Liu, Fangli Wu and Weibo Jin
Pharmaceuticals 2025, 18(12), 1844; https://doi.org/10.3390/ph18121844 - 3 Dec 2025
Viewed by 632
Abstract
Background: Hepatocellular carcinoma (HCC) remains a major global health challenge with limited therapeutic options. Although RNA interference (RNAi) enables precise gene silencing, its clinical application is restricted by siRNA instability, inefficient cellular uptake, and the requirement for potentially toxic delivery carriers. To address [...] Read more.
Background: Hepatocellular carcinoma (HCC) remains a major global health challenge with limited therapeutic options. Although RNA interference (RNAi) enables precise gene silencing, its clinical application is restricted by siRNA instability, inefficient cellular uptake, and the requirement for potentially toxic delivery carriers. To address these limitations, a dual-targeted branched siRNA nanostructure (GT-multi-siRNA) was developed to simultaneously silence two HCC-related oncogenes, GP73 and hTERT. Methods: GT-multi-siRNA was synthesized in Escherichia coli and characterized for particle size, stability, Dicer processing efficiency, intracellular retention, and cytotoxicity. Its therapeutic effects were evaluated through gene-silencing assays, proliferation and migration assays in Hep3B cells, and intratumoral administration in a xenograft mouse model. Histopathology and cytokine profiling were conducted to assess biosafety. Results: GT-multi-siRNA formed uniform nanoparticles (50–100 nm) with moderate physicochemical stability and minimal cytotoxicity at concentrations ≤ 200 ng/μL. The nanostructure was efficiently processed by Dicer into functional siRNAs and remained detectable intracellularly for at least 36 h. In Hep3B cells, GT-multi-siRNA reduced GP73 and hTERT mRNA and protein levels by approximately 50%, accompanied by significant inhibition of cell proliferation and migration. In vivo, a single intratumoral dose suppressed tumor growth, while a two-dose regimen markedly limited tumor progression. No liver toxicity was observed, and cytokine analysis showed selective IL-4 upregulation without influencing IL-6 levels. Conclusions: GT-multi-siRNA demonstrates potent dual-gene silencing activity and favorable biosafety, providing a promising RNAi-based therapeutic strategy for targeted HCC treatment. Full article
(This article belongs to the Section Pharmacology)
Show Figures

Figure 1

21 pages, 5985 KB  
Article
Genome-Wide Association Study of First-Parity Reproductive Traits in Suzi Pig
by Yanfeng Fu, Weining Li, Chaohui Dai, Chao Liao, Jinhua Cheng, Hui Li and Weimin Zhao
Genes 2025, 16(11), 1335; https://doi.org/10.3390/genes16111335 - 6 Nov 2025
Viewed by 544
Abstract
Backgrounds: Objective of this study is to conduct a genome-wide association study (GWAS) of first-parity reproductive traits in Suzi pigs to identify significant single-nucleotide polymorphisms (SNPs) or candidate genes influencing these traits. Methods: This research employed technologies including the Zhongxin 50K SNP chip, [...] Read more.
Backgrounds: Objective of this study is to conduct a genome-wide association study (GWAS) of first-parity reproductive traits in Suzi pigs to identify significant single-nucleotide polymorphisms (SNPs) or candidate genes influencing these traits. Methods: This research employed technologies including the Zhongxin 50K SNP chip, simplified genome sequencing, resequencing, and the 100K SNP liquid chip to perform genome-wide SNP detection on 898 Suzi sows. Genotype data and phenotypic data were combined to do GWAS, gene annotation, and enrichment analysis. Results: Results showed that this study obtained phenotypes of 33 first-parity reproductive traits from 574 sows. GWAS results indicated there were 10 first-parity reproductive traits significantly associated with SNPs, and these traits were AFS, AFF, NNB, NH, NW, NS, NM, ND, PB, and CCN. These 10 traits were significantly associated with 60 SNPs, with 15 (25%) located on chromosome 2-the highest proportion. The SNPs significantly associated with AFS and AFF were largely identical. Genome-wide variance component analysis revealed that among the 10 traits with significantly associated SNPs in GWAS, there were 5 traits that exhibited genome-wide heritability ≥ 0.01. Trait of NM showed the highest heritability (0.65–0.7). These significantly associated SNPs annotated 20 candidate genes, including ADAMTS19, PROP1, ZNF354B, PCARE, LUZP2, VIRMA, EPHA5, AAAS, SLCO3A1-SV2B, KIF18A-BDNF, SERGEF, DYNLRB2, HNF4G, CATSPERD, HSD11B1L, DICER1, RARG, PCDHAC2, KRT79, and HSD17B2. GO analysis of candidate genes revealed that the top three biological processes were cell adhesion, positive regulation of cell projection organization, and positive regulation of neuron projection development. KEGG results showed the top three pathways were inositol phosphate metabolism, glutamatergic synapse, and phosphatidylinositol signaling system. Conclusions: These findings provide a foundation for the reproductive breeding of Suzi pigs and offer new insights into biological breeding in pigs. Full article
(This article belongs to the Special Issue Advances in Pig Genetic and Genomic Breeding)
Show Figures

Figure 1

26 pages, 4669 KB  
Review
Recent Advances in Precision Diamond Wheel Dicing Technology
by Fengjun Chen, Meiling Du, Ming Feng, Rui Bao, Lu Jing, Qiu Hong, Linwei Xiao and Jian Liu
Micromachines 2025, 16(10), 1188; https://doi.org/10.3390/mi16101188 - 21 Oct 2025
Cited by 1 | Viewed by 1092
Abstract
Precision dicing with diamond wheels is a key technology in semiconductor dicing, integrated circuit manufacturing, aerospace, and other fields, owing to its high precision, high efficiency, and broad material applicability. As a critical processing stage, a comprehensive analysis of dicing technologies is essential [...] Read more.
Precision dicing with diamond wheels is a key technology in semiconductor dicing, integrated circuit manufacturing, aerospace, and other fields, owing to its high precision, high efficiency, and broad material applicability. As a critical processing stage, a comprehensive analysis of dicing technologies is essential for improving the machining quality of hard-and-brittle optoelectronic materials. This paper reviews the core principles of precision diamond wheel dicing, including dicing processes and blade preparation methods. Specifically, it examines the dicing mechanisms of composite and multi-mode dicing processes, demonstrating their efficacy in reducing defects inherent to single-mode approaches. The review also examines diverse preparation methods for dicing blades, such as metal binder sintering and roll forming. Furthermore, the roles of machine vision and servo control systems are detailed, illustrating how advanced algorithms facilitate precise feature recognition and scribe line control. A systematic analysis of key components in grinding wheel dicer is also conducted to reduce dicing deviation. Additionally, the review introduces models for tool wear detection and discusses material removal mechanisms. The influence of critical process parameters—such as spindle speed, feed rate, and dicing depth—on dicing quality and kerf width is also analyzed. Finally, the paper outlines future prospects and provides recommendations for advancing key technologies in precision dicing, offering a valuable reference for subsequent research. Full article
Show Figures

Figure 1

18 pages, 772 KB  
Article
A Pilot Epigenome-Wide Study of Posttraumatic Growth: Identifying Novel Candidates for Future Research
by Mackenzie Rubens, Paul Ruiz Pinto, Anita Sathyanarayanan, Olivia Miller, Amy B. Mullens, Dagmar Bruenig, Patricia Obst, Jane Shakespeare-Finch and Divya Mehta
Epigenomes 2025, 9(4), 39; https://doi.org/10.3390/epigenomes9040039 - 6 Oct 2025
Cited by 1 | Viewed by 1461
Abstract
Background: Posttraumatic growth (PTG) refers to positive psychological change following trauma. While its psychological aspects are well-documented, the biological mechanisms remain unclear. Epigenetic changes, such as DNA methylation (DNAm), may offer insight into PTG’s neurobiological basis. Aims: This study aimed to identify epigenetic [...] Read more.
Background: Posttraumatic growth (PTG) refers to positive psychological change following trauma. While its psychological aspects are well-documented, the biological mechanisms remain unclear. Epigenetic changes, such as DNA methylation (DNAm), may offer insight into PTG’s neurobiological basis. Aims: This study aimed to identify epigenetic markers associated with PTG using an epigenome-wide association study (EWAS), the first of its kind in a trauma-exposed population. Methods: A longitudinal EWAS design was used to assess DNAm before and after trauma exposure in first-year paramedicine students (n = 39). Genome-wide methylation data were analyzed for associations with PTG, applying epigenome-wide and gene-wise statistical thresholds. Pathway enrichment analysis was also conducted. Results: The study identified two CpGs (cg09559117 and cg05351447) within the PCDHA1/PCDHA2 and PDZD genes significantly associated with PTG at the epigenome-wide threshold (p < 9.42 × 10–8); these were replicated in an independent sample. DNAm in 5 CpGs across known PTSD candidate genes ANK3, DICER1, SKA2, IL12B and TPH1 were significantly associated with PTG after gene-wise Bonferroni correction. Pathway analysis revealed that PTG-associated genes were overrepresented in the Adenosine triphosphate Binding Cassette (ABC) transporters pathway (p = 2.72 × 10−4). Conclusions: These results identify genes for PTG, improving our understanding of the neurobiological underpinnings of PTG. Full article
(This article belongs to the Special Issue DNA Methylation Markers in Health and Disease)
Show Figures

Figure 1

17 pages, 1721 KB  
Article
Pleuropulmonary Blastoma in Children: A Nationwide Multicenter Study
by Barbara Tejza, Marta Hetman, Jadwiga Węcławek-Tompol, Krzysztof Kałwak, Olga Rutynowska, Bożenna Dembowska-Bagińska, Agata Sobocińska-Mirska, Paweł Łaguna, Ewa Bień, Ninela Irga-Jaworska, Katarzyna Derwich, Agnieszka Wziątek, Katarzyna Pawińska-Wąsikowska, Walentyna Balwierz, Anna Pytlik, Katarzyna Drabko, Justyna Walenciak, Wojciech Młynarski, Marta Rzeszutko and Jan Styczyński
Cancers 2025, 17(19), 3223; https://doi.org/10.3390/cancers17193223 - 2 Oct 2025
Viewed by 1189
Abstract
Background/Objectives: This study involved an analysis of clinical data, histological types, genetic predisposition, treatment and outcomes in PPB in children. Patients and methods: We conducted a retrospective review of children treated for PPB at Polish pediatric oncology centers between 2011 and [...] Read more.
Background/Objectives: This study involved an analysis of clinical data, histological types, genetic predisposition, treatment and outcomes in PPB in children. Patients and methods: We conducted a retrospective review of children treated for PPB at Polish pediatric oncology centers between 2011 and 2024. Results: A total of fifteen children (seven boys, eight girls; median age of 39 months; range: 27–64 months) were included. Type II solid/cystic PPB and type III solid PPB were diagnosed in six and eight children, respectively (one not known). Overall, 93% of patients were diagnosed at up to 4 years of age. Metastatic disease at diagnosis was confirmed in three (20%) patients, localized in bones, bone marrow and lymph nodes. Diagnosis was confirmed via central pathology review in 11 patients (73%). DICER1 pathogenic variants were identified in eight patients. All children presented with respiratory symptoms. The tumor dimensions were >10 cm (n = 7), 5–10 cm (n = 5) and <5 cm (n = 2). No bilateral lung involvement was observed. Tumor biopsy was performed in six children (40%), with subsequent resection (R0) in five patients. Primary resection (R0) was achieved in three patients (20%) with type II (n = 1) or type III (n = 2). In the other six patients, non-radical resection was performed: R1 in four (27%) children (with a tumor rupture in one patient) and R2 (subtotal resection) in two children (13%). All patients received postoperative chemotherapy. Maintenance chemotherapy was given to two patients. No patient received radiotherapy as first-line treatment. Progressive disease occurred in two patients in the CNS and lungs. Relapsed disease appeared in three patients, all with CNS involvement. Conclusions: PPB is a rare, malignant tumor of early childhood with an uncertain prognosis. Despite multimodal treatment, patients remain at risk of progression or CNS relapse. Complete surgical resection remains a key prognostic factor. Full article
(This article belongs to the Section Pediatric Oncology)
Show Figures

Figure 1

20 pages, 6242 KB  
Article
Non-Canonical Compartmentalization of DROSHA Protein at the Golgi Apparatus: miRNA Biogenesis-Independent Functionality in Human Cancer Cells of Diverse Tissue Origin
by Eleni I. Theotoki, Panos Kakoulidis, Kostas A. Papavassiliou, Konstantinos-Stylianos Nikolakopoulos, Eleni N. Vlachou, Efthimia K. Basdra, Athanasios G. Papavassiliou, Ourania E. Tsitsilonis, Gerassimos E. Voutsinas, Athanassios D. Velentzas, Ema Anastasiadou and Dimitrios J. Stravopodis
Int. J. Mol. Sci. 2025, 26(19), 9319; https://doi.org/10.3390/ijms26199319 - 24 Sep 2025
Cited by 1 | Viewed by 3263
Abstract
DROSHA protein is widely known for its essential role in the microRNA (miRNA/miR) biogenesis pathway where, together with its co-factor DGCR8, it forms the “Microprocessor” complex and catalyzes the primary miRNA (pri-miRNA) processing in the nucleus. Nevertheless, DROSHA also seems to participate in [...] Read more.
DROSHA protein is widely known for its essential role in the microRNA (miRNA/miR) biogenesis pathway where, together with its co-factor DGCR8, it forms the “Microprocessor” complex and catalyzes the primary miRNA (pri-miRNA) processing in the nucleus. Nevertheless, DROSHA also seems to participate in several miRNA-independent cellular mechanisms, such as transcriptional regulation, RNA processing and genome integrity maintenance. Hence, the present study aims to further investigate novel miRNA-independent activities of DROSHA protein, with potentially regulatory roles in the oncogenesis of human cancer cells. Our results reveal a new, strong profile of microprocessor-independent DROSHA localization at the Golgi apparatus in several human cancer cell lines of different tissue origin, with hepatic carcinoma, thyroid cancer, urothelial bladder cancer, colon carcinoma and melanoma being the cellular model systems herein examined. Notably, oncogenic activity, malignancy grade and metastatic capacity are shown to be strongly associated with DROSHA’s compartmentalization at Golgi, a phenotype that does not seem to rely on p53 protein’s functionality. Taken together, through employment of advanced confocal laser scanning microscopy (CLSM) and molecular modeling, we herein unveil the ability of DROSHA, but not AGO2 and DICER, to reside at Golgi, where DROSHA can physically interact with the GM130 Golgi-specific component, thus indicating DROSHA’s engagement in non-canonical and miRNA-independent—but also Golgi apparatus-dependent—novel mechanisms that can be tightly coupled with malignancy dynamics and beneficially utilized as potential biomarkers and therapeutic targets for human cancer. Full article
Show Figures

Figure 1

22 pages, 6009 KB  
Article
Dicer1 Depletion Leads to DNA Damage Accumulation and Cell Death in a RET/PTC3 Papillary Thyroid Cancer Mouse Model, Thereby Inhibiting Tumor Progression
by Maria Rojo-Pardillo, Alice Augenlicht, Geneviève Dom, Jukka Kero, Bernard Robaye and Carine Maenhaut
Cells 2025, 14(18), 1465; https://doi.org/10.3390/cells14181465 - 19 Sep 2025
Viewed by 967
Abstract
Beyond well-known genetic drivers, microRNA dysregulation has emerged as a key contributor to thyroid tumorigenesis. Central to this process is Dicer1, a ribonuclease essential for microRNA maturation, whose expression is often reduced in papillary thyroid carcinoma (PTC). Evidence from previous studies suggest [...] Read more.
Beyond well-known genetic drivers, microRNA dysregulation has emerged as a key contributor to thyroid tumorigenesis. Central to this process is Dicer1, a ribonuclease essential for microRNA maturation, whose expression is often reduced in papillary thyroid carcinoma (PTC). Evidence from previous studies suggest Dicer1 functions as a context-dependent haplo-insufficient tumor suppressor gene: partial loss may promote tumor development, whereas complete loss may disrupt essential cellular functions, causing cell death and tumor suppression. However, the effects of partial or complete Dicer1 loss in thyroid cancer remain unclear. To explore this, we genetically inactivated one (heterozygous) or both (homozygous) Dicer1 alleles specifically in thyroid follicular cells of a RET/PTC3 transgenic mouse model using an inducible Cre-Lox system. Our findings deepen the current understanding of the RET/PTC3-driven PTC model by revealing an increased number of vimentin-positive cells and disruption in redox homeostasis. Additionally, whereas heterozygous Dicer1 loss did not alter tumor progression in RET/PTC3 mice, total loss reduced tumor growth and led to accumulated DNA damage and cell death. These findings highlight the crucial role of Dicer1 dosage in thyroid cancer progression and underscore its potential as a therapeutic target for aggressive PTC and other malignancies characterized by aberrant Dicer1 expression. Full article
(This article belongs to the Special Issue Molecular Mechanisms of Tumor Pathogenesis)
Show Figures

Figure 1

18 pages, 1193 KB  
Review
DICER1 Syndrome: What Do We Know of the Pathogenetic Mechanisms?
by Floor A. Jansen, Jette Bakhuizen, Lennart Kester and Ronald R. de Krijger
Cancers 2025, 17(17), 2885; https://doi.org/10.3390/cancers17172885 - 2 Sep 2025
Cited by 1 | Viewed by 1824
Abstract
DICER1 syndrome is a hereditary cancer predisposition syndrome, characterized by a large range of benign and malignant neoplasms. Patients with DICER1 syndrome have a broad phenotype, with pleuropulmonary blastoma, Sertoli–Leydig cell tumor, cystic nephroma, cervical embryonal rhabdomyosarcoma, cystic lung lesions, and thyroid follicular [...] Read more.
DICER1 syndrome is a hereditary cancer predisposition syndrome, characterized by a large range of benign and malignant neoplasms. Patients with DICER1 syndrome have a broad phenotype, with pleuropulmonary blastoma, Sertoli–Leydig cell tumor, cystic nephroma, cervical embryonal rhabdomyosarcoma, cystic lung lesions, and thyroid follicular nodular disease being the most prevalent manifestations. The syndrome is caused by loss-of-function germline variants in the DICER1 gene, and DICER1-related tumors are characterized by second somatic hotspot variants in the RNase IIIb domain of DICER1. DICER1 encodes an endoribonuclease, which is important for RNA interference. This review describes the molecular mechanism of DICER1 function and the pathogenetic mechanisms of tumorigenesis. The purpose of this review is to describe the pathogenesis, genotype–phenotype correlation and tissue specificity of DICER1 syndrome. We conclude that there is a lack of knowledge about the exact molecular mechanisms of DICER1 function and more research is needed to determine the exact role of this altered protein in relation to pathogenesis. Full article
(This article belongs to the Section Pediatric Oncology)
Show Figures

Figure 1

25 pages, 7099 KB  
Article
Tracking of Tobacco Mosaic Virus in Taxonomically Different Plant Fungi
by Natascia Filomena Barnaba, Lorenza Vaccaro, Rita Milvia De Miccolis Angelini, Roberta Spanò, Franco Nigro and Tiziana Mascia
J. Fungi 2025, 11(9), 619; https://doi.org/10.3390/jof11090619 - 25 Aug 2025
Viewed by 1465
Abstract
Plant viruses have been traditionally considered pathogens restricted to plant hosts. However, recent studies have shown that some plant viruses can infect and replicate in filamentous fungi and oomycetes, suggesting that their host range is broader than previously thought, and that their ecological [...] Read more.
Plant viruses have been traditionally considered pathogens restricted to plant hosts. However, recent studies have shown that some plant viruses can infect and replicate in filamentous fungi and oomycetes, suggesting that their host range is broader than previously thought, and that their ecological interactions are more complex. In this study, we investigated the ability of the well-characterized positive-sense RNA plant virus Tobacco mosaic virus (TMV) to replicate in four major phytopathogenic fungi from different taxonomic groups: Botrytis cinerea, Fusarium oxysporum f. sp. lycopersici, Verticillium dahliae, and Monilinia fructicola. Using a recombinant TMV-based vector expressing a green fluorescent protein (TMV-GFP-1056) as reporter, we demonstrated that TMV can enter, replicate, and persist within the mycelia of B. cinerea and V. dahliae—at least through the first subculture. However, it cannot replicate in F. oxysporum f. sp. lycopersici and M. fructicola. RNA interference (RNAi) is a conserved eukaryotic epigenetic mechanism that provides an efficient defence against viruses. We explored the role of RNAi in the interaction between TMV and the mycelia of V. dahliae and B. cinerea. Our results revealed a strong induction of the Dicer-like 1 and Argonaute 1 genes, which are key compounds of the RNA silencing pathway. This RNAi-based response impaired TMV-GFP replication in both fungi. Notably, despite viral replication and RNAi activation, the virulence of V. dahliae and B. cinerea on their respective host plants remained unaffected. These findings reinforce the emerging recognition of cross-kingdom virus transmission and interactions, which likely play a crucial role in pathogen ecology and viral evolution. Understanding these virus–fungus interactions not only sheds light on RNAi interference silencing mechanisms but also suggests that plant viruses like TMV could serve as simple and effective tools for functional genomic studies in fungi, such as in V. dahliae and B. cinerea. Full article
(This article belongs to the Special Issue Plant Pathogenic Sclerotiniaceae)
Show Figures

Figure 1

23 pages, 2655 KB  
Article
Ribosomal RNA-Specific Antisense DNA and Double-Stranded DNA Trigger rRNA Biogenesis and Insecticidal Effects on the Insect Pest Coccus hesperidum
by Vol Oberemok, Nikita Gal’chinsky, Ilya Novikov, Alexander Sharmagiy, Ekaterina Yatskova, Ekaterina Laikova and Yuri Plugatar
Int. J. Mol. Sci. 2025, 26(15), 7530; https://doi.org/10.3390/ijms26157530 - 4 Aug 2025
Viewed by 1362
Abstract
Contact unmodified antisense DNA biotechnology (CUADb), developed in 2008, employs short antisense DNA oligonucleotides (oligos) as a novel approach to insect pest control. These oligonucleotide-based insecticides target pest mature rRNAs and/or pre-rRNAs and have demonstrated high insecticidal efficacy, particularly against sap-feeding insect pests, [...] Read more.
Contact unmodified antisense DNA biotechnology (CUADb), developed in 2008, employs short antisense DNA oligonucleotides (oligos) as a novel approach to insect pest control. These oligonucleotide-based insecticides target pest mature rRNAs and/or pre-rRNAs and have demonstrated high insecticidal efficacy, particularly against sap-feeding insect pests, which are key vectors of plant DNA viruses and among the most economically damaging herbivorous insects. To further explore the potential of CUADb, this study evaluated the insecticidal efficacy of short 11-mer antisense DNA oligos against Coccus hesperidum, in comparison with long 56-mer single-stranded and double-stranded DNA sequences. The short oligos exhibited higher insecticidal activity. By day 9, the highest mortality rate (97.66 ± 4.04%) was recorded in the Coccus-11 group, while the most effective long sequence was the double-stranded DNA in the dsCoccus-56 group (77.09 ± 6.24%). This study also describes the architecture of the DNA containment (DNAc) mechanism, highlighting the intricate interactions between rRNAs and various types of DNA oligos. During DNAc, the Coccus-11 treatment induced enhanced ribosome biogenesis and ATP production through a metabolic shift from carbohydrates to lipid-based energy synthesis. However, this ultimately led to a ‘kinase disaster’ due to widespread kinase downregulation resulting from insufficient ATP levels. All DNA oligos with high or moderate complementarity to target rRNA initiated hypercompensation, but subsequent substantial rRNA degradation and insect mortality occurred only when the oligo sequence perfectly matched the rRNA. Both short and long oligonucleotide insecticide treatments led to a 3.75–4.25-fold decrease in rRNA levels following hypercompensation, which was likely mediated by a DNA-guided rRNase, such as RNase H1, while crucial enzymes of RNAi (DICER1, Argonaute 2, and DROSHA) were downregulated, indicating fundamental difference in molecular mechanisms of DNAc and RNAi. Consistently, significant upregulation of RNase H1 was detected in the Coccus-11 treatment group. In contrast, treatment with random DNA oligos resulted in only a 2–3-fold rRNA decrease, consistent with the normal rRNA half-life maintained by general ribonucleases. These findings reveal a fundamental new mechanism of rRNA regulation via complementary binding between exogenous unmodified antisense DNA and cellular rRNA. From a practical perspective, this minimalist approach, applying short antisense DNA dissolved in water, offers an effective, eco-friendly and innovative solution for managing sternorrhynchans and other insect pests. The results introduce a promising new concept in crop protection: DNA-programmable insect pest control. Full article
(This article belongs to the Special Issue New Insights into Plant and Insect Interactions (Second Edition))
Show Figures

Figure 1

Back to TopTop