Pleuropulmonary Blastoma in Children: A Nationwide Multicenter Study
Simple Summary
Abstract
1. Introduction
2. Materials and Methods
3. Results
3.1. Demographics
3.2. Diagnosis
3.3. Symptoms and Signs
3.4. Tumor Localization and Size
3.5. Treatment
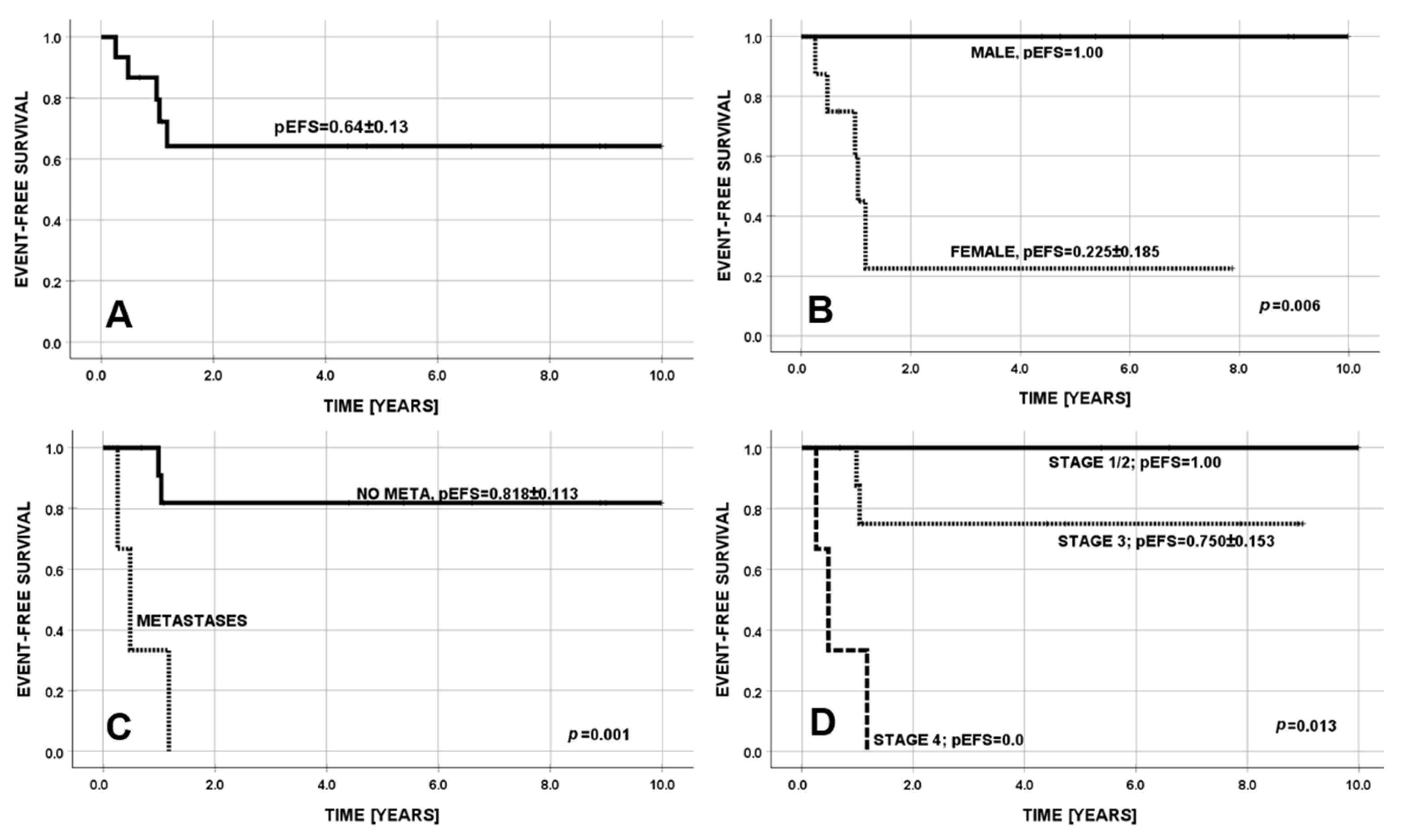
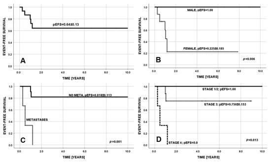
3.6. Event-Free Survival
3.7. Follow-Up and Causes of Deaths
4. Discussion
5. Conclusions
Author Contributions
Funding
Institutional Review Board Statement
Informed Consent Statement
Data Availability Statement
Acknowledgments
Conflicts of Interest
References
- Yu, D.C.; Grabowski, M.J.; Kozakewich, H.P.; Perez-Atayde, A.R.; Voss, S.D.; Shamberger, R.C.; Weldon, C.B. Primary lung tumors in children and adolescents: A 90-year experience. J. Pediatr. Surg. 2010, 45, 1090–1095. [Google Scholar] [CrossRef]
- Nasr, A.; Bass, J. Thoracoscopic vs open resection of congenital lung lesions: A meta-analysis. J. Pediatr. Surg. 2012, 47, 857–861. [Google Scholar] [CrossRef]
- Giuseppucci, C.; Reusmann, A.; Giubergia, V.; Barrias, C.; Krüger, A.; Siminovich, M.; Botto, H.; Cadario, M.; Boglione, M.; Strambach, J.; et al. Primary lung tumors in children: 24 years of experience at a referral center. Pediatr. Surg. Int. 2016, 32, 451–457. [Google Scholar] [CrossRef] [PubMed]
- Youlden, D.R.; Foresto, S.A.; Aitken, J.F. Primary malignant lung tumors in children: A report from the Australian Childhood Cancer Registry, 1983–2015. Pediatr. Pulmonol. 2020, 55, 719–722. [Google Scholar] [CrossRef] [PubMed]
- Tang, J.; Liu, W.; Li, L.; Liang, J.H.; Zeng, J.H. Clinical analysis of primary lung tumors in 56 children. Zhonghua Zhong Liu Za Zhi 2022, 44, 197–200. [Google Scholar] [CrossRef] [PubMed]
- Neville, H.L.; Hogan, A.R.; Zhuge, Y.; Perez, E.A.; Cheung, M.C.; Koniaris, L.G.; Thompson, W.R.; Sola, J.E. Incidence and outcomes of malignant pediatric lung neoplasms. J. Surg. Res. 2009, 156, 224–230. [Google Scholar] [CrossRef]
- Messinger, Y.H.; Stewart, D.R.; Priest, J.R.; Williams, G.M.; Harris, A.K.; Schultz, K.A.; Yang, J.; Doros, L.; Rosenberg, P.S.; Hill, D.A.; et al. Pleuropulmonary blastoma: A report on 350 central pathology-confirmed pleuropulmonary blastoma cases by the International Pleuropulmonary Blastoma Registry. Cancer 2015, 121, 276–285. [Google Scholar] [CrossRef]
- Grigoletto, V.; Tagarelli, A.; Atzeni, C.; Cecchetto, G.; Indolfi, P.; De Pasquale, M.D.; De Leonardis, F.; Coppadoro, B.; Sorbara, S.; Chiaravalli, S.; et al. Pleuropulmonary blastoma: A report from the TREP (Tumori Rari in Età Pediatrica) Project. Tumori J. 2020, 106, 126–132. [Google Scholar] [CrossRef]
- Eyssartier, E.; Ang, P.; Bonnemaison, E.; Gibertini, I.; Diot, P.; Carpentier, E.; Chantepie, A.; Leclair, M.D.; Brouard, J.; Boutard, P.; et al. Characteristics of endobronchial primitive tumors in children. Pediatr. Pulmonol. 2014, 49, E121–E125. [Google Scholar] [CrossRef]
- Bisogno, G.; Brennan, B.; Orbach, D.; Stachowicz-Stencel, T.; Cecchetto, G.; Indolfi, P.; Bien, E.; Ferrari, A.; Dommange-Romero, F. Treatment and prognostic factors in pleuropulmonary blastoma: An EXPeRT report. Eur. J. Cancer 2014, 50, 178–184. [Google Scholar] [CrossRef]
- Potter, S.L.; HaDuong, J.; Okcu, F.; Wu, H.; Chintagumpala, M.; Venkatramani, R. Pediatric Bronchial Carcinoid Tumors: A Case Series and Review of the Literature. J. Pediatr. Hematol. Oncol. 2019, 41, 67–70. [Google Scholar] [CrossRef] [PubMed]
- Hashemi, A.; Souzani, A.; Souzani, A.; Keshavarzi, S. Pleuropulmonary blastoma in children: A case report. Iran. J. Cancer Prev. 2012, 5, 105–107. [Google Scholar] [PubMed]
- Fauroux, B.; Aynie, V.; Larroquet, M.; Boccon-Gibod, L.; Ducou le Pointe, H.; Tamalet, A.; Clément, A. Carcinoid and mucoepidermoid bronchial tumours in children. Eur. J. Pediatr. 2005, 164, 748–752. [Google Scholar] [CrossRef]
- Deschildre, A.; Sardet, A.; Brouard, J.; Delaisi, B.; Boussard, L.; Boccon-Gibod, L.; Gosselin, B.; Tournier, G.; Leclerc, F. Bronchial mucoepidermoid carcinoma: Apropos of 3 cases. Arch. Pediatr. 1996, 3, 689–693. [Google Scholar] [CrossRef]
- Karray, A.; Boussetta, A.; Sassi, F.; Cherifi, W.; Haouet, S.; Gargah, T. Type II pleuropulmonary blastoma mistaken for rhabdomyosarcoma: A case report. Int. J. Surg. Case Rep. 2023, 106, 108261. [Google Scholar] [CrossRef]
- Okamoto, M.; Kimura, S.; Hotta, M.; Tsuruno, Y.; Fukuzawa, H. Infantile type I pleuropulmonary blastoma presenting with dyspnea due to compression by pneumothorax and an occupying tumor: A case report. Surg. Case Rep. 2023, 9, 193. [Google Scholar] [CrossRef]
- Schultz, K.A.P.; Harris, A.K.; Nelson, A.T.; Watson, D.; Lucas, J.T.; Miniati, D.; Stewart, D.R.; Hagedorn, K.N.; Mize, W.; Kamihara, J.; et al. Outcomes for children with type II and type III pleuropulmonary blastoma following chemotherapy: A report from the International PPB/DICER1 Registry. J. Clin. Oncol. 2023, 41, 778–789. [Google Scholar] [CrossRef]
- Nelson, A.T.; Harris, A.K.; Watson, D.; Miniati, D.; Finch, M.; Kamihara, J.; Mitchel, S.G.; Wilson, D.B.; Gettinger, K.; Rangaswami, A.A.; et al. Type I and IR pleuropulmonary blastoma (PPB): A report from the International PPB/DICER1 Registry. Cancer 2023, 129, 600–613. [Google Scholar] [CrossRef]
- Spinelli, C.; Ghionzoli, M.; Sahli, L.I.; Guglielmo, C.; Frascella, S.; Romano, S.; Ferrari, C.; Gennari, F.; Conzo, G.; Morganti, R.; et al. DICER1 syndrome: A multicenter surgical experience and systematic review. Cancers 2023, 15, 3681. [Google Scholar] [CrossRef]
- Gonzáles, I.A.; Stewart, D.R.; Schultz, K.A.P.; Field, A.P.; Hill, D.A.; Dehner, L.P. DICER1 tumor predisposition syndrome: An evolving story initiated with the pleuropulmonary blastoma. Mod. Pathol. 2022, 35, 4–22. [Google Scholar] [CrossRef]
- Schultz, K.A.P.; Nelson, A.; Harris, A.K.; Finch, M.; Field, A.; Jarzembowski, J.A.; Wilhelm, M.; Mize, W.; Kreiger, P.; Conard, K.; et al. Pleuropulmonary blastoma-like peritoneal sarcoma: A newly described malignancy associated with biallelic DICER1 pathogenic variation. Mod. Pathol. 2020, 33, 1922–1929. [Google Scholar] [CrossRef]
- Schultz, K.A.P.; Williams, G.M.; Kamihara, J.; Stewart, D.R.; Harris, A.K.; Bauer, A.J.; Turner, J.; Shah, R.; Schneider, K.; Schneider, K.W.; et al. DICER1 and associated conditions: Identification of at-risk individuals and recommended surveillance strategies. Clin. Cancer Res. 2018, 24, 2251–2261. [Google Scholar] [CrossRef]
- Kunisaki, S.M.; Lal, D.R.; Saito, J.M.; Fallat, M.E.; St. Peter, S.D.; Fox, Z.D.; Heider, A.; Chan, S.S.; Boyd, K.P.; Burns, R.C.; et al. Pleuropulmonary blastoma in pediatric lung lesions. Pediatrics 2021, 147, e2020028357. [Google Scholar] [CrossRef] [PubMed]
- Engwall-Gill, A.J.; Chan, S.S.; Boyd, K.P.; Saito, J.M.; Fallat, M.E.; St. Peter, S.D.; Bolger-Theut, S.; Crotty, E.J.; Green, J.R.; Hulett Bowling, R.L.; et al. Accuracy of chest computed tomography in distinguishing cystic pleuropulmonary blastoma from benign congenital lung malformations in children. JAMA Netw. Open 2022, 5, e2219814. [Google Scholar] [CrossRef] [PubMed]
- Sparber-Sauer, M.; Tagarelli, A.; Seitz, G.; Sorg, B.; Bien, E.; Bel-Ami, T.; Pourtsidis, A.; Almaraz, R.L.; Koscielniak, E.; Ferrari, A.; et al. Children with progressive and relapsed pleuropulmonary blastoma: A European collaborative analysis. Pediatr. Blood Cancer 2021, 68, e29268. [Google Scholar] [CrossRef] [PubMed]
- Bisogno, G.; Sarnacki, S.; Stachowicz-Stencel, T.; Colin, V.M.; Ferrari, A.; Godzinski, J.; Villaris, M.G.; Bien, E.; Hameury, F.; Helfre, S.; et al. Pleuropulmonary blastoma in children and adolescents: The EXPeRT/PARTNER diagnostic and therapeutic recommendations. Pediatr. Blood Cancer 2021, 68 (Suppl. 4), e29045. [Google Scholar] [CrossRef]
- Koscielniak, E.; Blank, B.; Vokuhl, C.; Kazanowska, B.; Ladenstein, R.; Niggli, F.; Ljungman, G.; Handgretinger, R.; Seitz, G.; Fuchs, J.; et al. Long-Term Clinical Outcome and Prognostic Factors of Children and Adolescents with Localized Rhabdomyosarcoma Treated on the CWS-2002P protocol. Cancers 2022, 14, 899. [Google Scholar] [CrossRef]
- Zhang, N.; Zeng, Q.; Ma, X.; Chen, C.; Yu, J.; Zhang, X.; Yan, D.; Xu, C.; Liu, D.; Zhang, Q. Diagnosis and treatment of pleropulmonary blastoma in children: A single-center report of 41 cases. J. Pediatr. Surg. 2020, 55, 1351–1355. [Google Scholar] [CrossRef]
- Schultz, A.K.; Yang, J.; Doros, L.; Williams, G.M.; Harris, A.; Stewart, D.R.; Messinger, Y.; Field, A.; Dehner, L.P.; Ashley Hill, D. DICER1-Pleuropulmonary Blastoma Familiar Tumor Predisposition Syndrome: A Unique Constellation of Neoplastic Conditions. Pathol. Case Rev. 2014, 19, 90–100. [Google Scholar] [CrossRef]
- Jansen, F.A.; Bakhuizen, J.; Kester, L.; de Krijger, R.R. DICER1 Syndrome: What Do We Know of the Pathogenic Mechanism? Cancers 2025, 17, 2885. [Google Scholar] [CrossRef]
- Nelson, A.T.; Vasta, L.M.; Watson, D.; Kim, J.; Harris, A.K.; Best, A.F.; Harney, L.A.; Carr, A.G.; Frederickson, N.; Dehner, L.P. Prevalence of Lung Cysts in Adolescents and Adults with a Germline DICER1 Pathogenic/Likely Pathogenic Variant: A Report from the National Institutes of Health and International Pleuropulmonary Blastoma/DICER1 Registry. Thorax 2024, 79, 644–651. [Google Scholar] [CrossRef]





| A | |||||||||||||
| ID | Sex | Age at Diagnosis (Months) | Tumor Size (cm) | PPB Type | DICER1 Gene Variant Nucleotide Sequence | DICER Germline/ Somatic Variant | Initial IRS Group | Metastases | Lymph Node Involvement Due to IASLC | Chemotherapy | RT | PD | RD |
| 1 | F | 32 | 5–10 | NA | NA | NA | III | M0 | N0 | CWS 2006 I2VAx6 | CR | No | No |
| 2 | F | 62 | 5–10 | II | NA | NA | III | M0 | N0 | CWS 2014 SoTiSaR VAIA III | CR | No | Yes (CNS) |
| 3 | M | 42 | >10 | III | NA | NA | IIIA | M0 | N0 | CWS 2006, VAIA III | CR | No | No |
| 4 | M | 28 | 5–10 | II | NA | NA | III | M0 | N0 | CWS 2006 VAIA III | CR | No | No |
| 5 | M | 27 | >10 | III | NA | NA | IIIA | M0 | N0 | CWS 2006 VAIA III | CR | No | No |
| 6 | M | 32 | 3–5 | II | YES, result unavailable | Result unavailable | IIC | M0 | N1 inferior mediastinum | CWS 2006 VAIA III | CR | No | No |
| 7 | M | 36 | 5–10 | III | NA | NA | I | M0 | N1 subsegmental | CWS 2014 SoTiSaR VAIA III | CR | No | No |
| 8 | M | 36 | >10 | II | Exon25 c.542G>A | Somatic | III | M0 | N0 | CWS 2014 SoTISaR VAIA III | CR | No | No |
| 9 | F | 29 | >10 | II | NM_177438.3:c.1630C>T NM_177438.3:c.5438A>G | Somatic Somatic | IV (VHRG) | M1 paraspinally lymph nodes | N1 paraaortic, subsegmental, inferior mediastinum | CWS 2014 SoTiSaR CEVAIE | CR | No | Yes (CNS) |
| 10 | F | 48 | >10 | III | No | No | III | M0 | N0 | CWS 2014 SoTiSaR VAIA III | CR | No | Yes (CNS) |
| 11 | F | 40 | 5–10 | III | Exon25 c.5438A>G p.Glu1813Gly | Somatic | IV | M1 | N0 | CWS 2014 SoTiSaR VAIA III | NR | Yes (CNS) | No |
| 12 | M | 39 | Unavailable, pneumo-thorax | II | NM_177438.2: c.906dup | Germline | I | M0 | N0 | CWS 2014 SoTiSaR IVA ×10 | CR | No | No |
| 13 | F | 39 | >10 | III | NM_177438.3:c.3269+1G>A NM_177438.3:c.5439G>C | Germline Somatic | III | M0 | N0 | CWS 2006 I2VAd ×10 | CR | No | No |
| 14 | F | 29 | <5 | III | YES, result unavailable | Germline | IV | M1 bone, bone marrow | N0 | EXPERT IVADo x4, IVAx2 | NR | Yes (lungs) | No |
| 15 | F | 41 | >10 | III | Exon25 c.5439G>T p.Glu1813Asp NM_177438.3:c.[1966C>T];[=] NP_8003187.1:p.[(Arg656Ter)];[=] | Somatic Germline | IA | M0 | N0 | EXPERT IVA x 9 | CR | No | No |
| B | |||||||||||||
| ID | Primary Surgery | Delayed, Second Surgery | Results and Time of Second Surgery | Response to Treatment (RT) | Progressive Disease (PD) | Relapsed Disease (RD) | Survival Time Alive/Death Years/Months from Diagnosis | ||||||
| 1 | R2 | No | - | CR | No | No | 8 y, alive | ||||||
| 2 | R1 | No | - | CR | No | Yes (CNS) | 13.5 m, death | ||||||
| 3 | Biopsy | Yes | R0, after five cycles, left-sided pneumonectomia via thoracotomy | CR | No | No | 10 y, alive | ||||||
| 4 | R1 | No | - | CR | No | No | 9 y, alive | ||||||
| 5 | Biopsy | Yes | R0, after five cycles, lobectomia via thoracotomy | CR | No | No | 5 y, alive | ||||||
| 6 | R1 | No | - | CR | No | No | 10 y, alive | ||||||
| 7 | R0 | No | - | CR | No | No | 6.5 y, alive | ||||||
| 8 | Biopsy | Yes | R0, after five cycles, lobectomia via thoracotomy | CR | No | No | 4 y, alive | ||||||
| 9 | R1 tumor rupture | No | - | CR | No | Yes (CNS) | 6 m, death | ||||||
| 10 | Biopsy | Yes | R0, after five cycles, lobectomia via thoracoscopy | CR | No | Yes (CNS) | 5 y, alive | ||||||
| 11 | Biopsy | Yes | After three cycles, lobectomia via thoracotomy | NR | Yes (CNS) | No | 15 m, death | ||||||
| 12 | R0 | No | - | CR | No | No | 5 y, alive | ||||||
| 13 | Biopsy | Yes | R0, after five cycles, lobectomia via thoracoscopy | CR | No | No | 9 m, alive | ||||||
| 14 | R2 | Yes | Lobectomia via thoracotomy | NR | Yes (lungs) | No | 7 m, alive | ||||||
| 15 | R0 | No | - | CR | No | No | 15 m, alive | ||||||
| Characteristics | Patients (n = 15) |
|---|---|
| Primary surgery | Tumor resection (n = 9), biopsy only (n = 6) |
| Status after primary surgery | R0 (n = 3), R1 (n = 4), R2 (n = 2) |
| Chemotherapy | Salvage chemotherapy before diagnosis in one patient Neoadjuvant chemotherapy after biopsy, n = 6 Postoperative chemotherapy in all patients, n = 15 Oral maintenance chemotherapy O-TI/O-TE, n = 2 |
| Radiotherapy | 2 (second-line treatment) |
| Secondary surgery | n = 6 (R0 in n = 5; resection status not defined in one patient) |
| Factor | Characteristics | Event-Free Survival | Overall Survival | ||||
|---|---|---|---|---|---|---|---|
| Events | 5 y pEFS # (95%CI) | p-Value | Deaths | 5 y OS (95%CI) | p-Value | ||
| Sex | Male | 0/7 | 1.00 | 0.006 | 0/7 | 1.00 | 0.030 |
| Female | 5/8 | 0.23 (0.08–0.37) | 3/8 | 0.44 (0.24–0.63) | |||
| Side | Left | 1/6 | 0.83 (0.69–0.97) | 0.301 | 0/6 | 1.00 | 0.168 |
| Right | 4/9 | 0.51 (0.37–0.66) | 3/9 | 0.64 (0.45–0.83) | |||
| Size | <5 cm | 1/2 | 0.50 (0.31–0.69) | 0.789 | 0/2 | 1.00 | 0.661 |
| 5–10 cm | 2/5 | 0.60 (0.39–0.82) | 2/5 | 0.60 (0.39–0.81) | |||
| >10 cm | 2/7 | 0.63 (0.44–0.86) | 1/7 | 0.89 (0.69–0.99) | |||
| TNM tumor | 1 | 0/3 | 1.00 | 0.161 | 0/3 | 1.00 | 0.280 |
| 2 | 5/11 | 0.53 (0.36–0.70) | 3/11 | 0.68 (0.49–0.87) | |||
| TNM lymph nodes | 0 | 4/12 | 0.65 (0.51–0.79) | 0.780 | 2/12 | 0.78 (0.62–0.90) | 0.541 |
| 1 | 1/3 | 0.67 (0.42–0.91) | 1/3 | 0.67 (0.49–0.88) | |||
| TNM metastases | 0 | 2/12 | 0.82 (0.69–0.95) | 0.001 | 1/12 | 0.90 (0.69–0.99) | 0.005 |
| 1 | 3/3 | 0.00 | 2/3 | 0.00 | |||
| First surgery (R) | 0 | 1/3 | 0.67 (0.42–0.91) | 0.841 | 1/3 | 0.67 (0.48–0.87) | 0.716 |
| 1 | 1/4 | 0.75 (0.50–0.99) | 1/4 | 0.67 (0.48–0.88) | |||
| 2 | 3/8 | 0.60 (0.39–0.82) | 1/8 | 0.83 (0.61–0.99) | |||
| IRS grouping (version A) | I | 0/2 | 1.00 | 0.013 | 0/2 | 1.00 | 0.047 |
| II | 0/1 | 1.00 | 0/1 | 1.00 | |||
| III | 2/9 | 0.75 (0.58–0.84) | 1/9 | 0.86 (0.69–0.97) | |||
| IV | 3/3 | 0.00 | 2/3 | 0.00 | |||
| IRS grouping * (version B) | I–II | 0/3 | 1.00 | 0.189 | 0/3 | 1.00 | 0.305 |
| III–IV | 5/12 | 0.54 (0.36–0.69) | 3/12 | 0.69 (0.49–0.88) | |||
| PPB type | 2 | 2/7 | 0.71 (0.49–0.92) | 0.489 | 2/7 | 0.71 (0.50–0.92) | 0.572 |
| 3 | 3/8 | 0.60 (0.39–0.82) | 1/8 | 0.80 (0.59–0.98) | |||
| Second surgery | No | 3/9 | 0.65 (0.49–0.82) | 0.843 | 2/9 | 0.74 (0.52–0.94) | 0.680 |
| Yes | 2/6 | 0.63 (0.43–0.86) | 1/6 | 0.80 (0.61–0.97) | |||
Disclaimer/Publisher’s Note: The statements, opinions and data contained in all publications are solely those of the individual author(s) and contributor(s) and not of MDPI and/or the editor(s). MDPI and/or the editor(s) disclaim responsibility for any injury to people or property resulting from any ideas, methods, instructions or products referred to in the content. |
© 2025 by the authors. Licensee MDPI, Basel, Switzerland. This article is an open access article distributed under the terms and conditions of the Creative Commons Attribution (CC BY) license (https://creativecommons.org/licenses/by/4.0/).
Share and Cite
Tejza, B.; Hetman, M.; Węcławek-Tompol, J.; Kałwak, K.; Rutynowska, O.; Dembowska-Bagińska, B.; Sobocińska-Mirska, A.; Łaguna, P.; Bień, E.; Irga-Jaworska, N.; et al. Pleuropulmonary Blastoma in Children: A Nationwide Multicenter Study. Cancers 2025, 17, 3223. https://doi.org/10.3390/cancers17193223
Tejza B, Hetman M, Węcławek-Tompol J, Kałwak K, Rutynowska O, Dembowska-Bagińska B, Sobocińska-Mirska A, Łaguna P, Bień E, Irga-Jaworska N, et al. Pleuropulmonary Blastoma in Children: A Nationwide Multicenter Study. Cancers. 2025; 17(19):3223. https://doi.org/10.3390/cancers17193223
Chicago/Turabian StyleTejza, Barbara, Marta Hetman, Jadwiga Węcławek-Tompol, Krzysztof Kałwak, Olga Rutynowska, Bożenna Dembowska-Bagińska, Agata Sobocińska-Mirska, Paweł Łaguna, Ewa Bień, Ninela Irga-Jaworska, and et al. 2025. "Pleuropulmonary Blastoma in Children: A Nationwide Multicenter Study" Cancers 17, no. 19: 3223. https://doi.org/10.3390/cancers17193223
APA StyleTejza, B., Hetman, M., Węcławek-Tompol, J., Kałwak, K., Rutynowska, O., Dembowska-Bagińska, B., Sobocińska-Mirska, A., Łaguna, P., Bień, E., Irga-Jaworska, N., Derwich, K., Wziątek, A., Pawińska-Wąsikowska, K., Balwierz, W., Pytlik, A., Drabko, K., Walenciak, J., Młynarski, W., Rzeszutko, M., & Styczyński, J. (2025). Pleuropulmonary Blastoma in Children: A Nationwide Multicenter Study. Cancers, 17(19), 3223. https://doi.org/10.3390/cancers17193223

