Sign in to use this feature.

Years

Between: -

Subjects

remove_circle_outline
remove_circle_outline
remove_circle_outline
remove_circle_outline
remove_circle_outline
remove_circle_outline
remove_circle_outline
remove_circle_outline
remove_circle_outline

Journals

remove_circle_outline
remove_circle_outline
remove_circle_outline
remove_circle_outline
remove_circle_outline
remove_circle_outline
remove_circle_outline
remove_circle_outline
remove_circle_outline
remove_circle_outline
remove_circle_outline
remove_circle_outline
remove_circle_outline
remove_circle_outline
remove_circle_outline
remove_circle_outline
remove_circle_outline
remove_circle_outline
remove_circle_outline

Article Types

Countries / Regions

remove_circle_outline
remove_circle_outline
remove_circle_outline
remove_circle_outline
remove_circle_outline
remove_circle_outline
remove_circle_outline
remove_circle_outline

Search Results (2,910)

Search Parameters:
Keywords = detoxifications

Order results
Result details
Results per page
Select all
Export citation of selected articles as:
19 pages, 2268 KB  
Article
The Efficacy of Multicomponent Preparation for Detoxification of Mycotoxins in the Presence of AFB1 and OTA Added to Broiler Feed
by Jelena Nedeljković Trailović, Branko Petrujkić, Saša Trailović, Dragoljub Jovanović, Milutin Đorđević, Darko Stefanović, Nataša Tolimir, Darko Marinković and Stamen Radulović
Poultry 2026, 5(1), 9; https://doi.org/10.3390/poultry5010009 (registering DOI) - 19 Jan 2026
Abstract
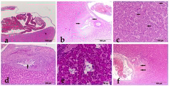
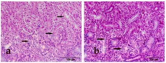
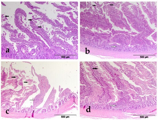
The experimental study was performed to determine the efficacy of a mycotoxin detoxification agent (MS) at a concentration of 0.2% in reducing the toxicity of aflatoxin B1 (AFB1) and ochratoxin A (OTA), alone or in combination, and to examine its effect on performance, [...] Read more.
The experimental study was performed to determine the efficacy of a mycotoxin detoxification agent (MS) at a concentration of 0.2% in reducing the toxicity of aflatoxin B1 (AFB1) and ochratoxin A (OTA), alone or in combination, and to examine its effect on performance, pathohistological (PH) changes, and residues of these toxins in the tissues of broiler chicks. A total of 88 broilers were divided into eight equal groups: group C, the control group (fed a commercial diet without any additives); group MS, which received the mycotoxin detoxification agent (MS) (supplemented with 0.2%); group E I (0.2 mg AFB1/kg of diet); group E II (0.2 mg AFB1/kg of diet + MS 0.2%); group E III (1.5 mg OTA/kg of diet); group E IV (1.5 mg OTA/kg of diet + 0.2% MS); group E V (combination of 0.2 mg AFB1/kg, 1.5 mg OTA/kg of diet); and group E VI (combination of 0.2 mg AFB1/kg, 1.5 mg OTA toxin + 0.2% MS). Results show that feed containing AFB1 and OTA, individually or in combination, negatively affects health, production results, and PH changes in tissues, as well as the presence of mycotoxin residues in the liver and breast muscles of poultry. The addition of a new multicomponent preparation for the detoxification of MS mycotoxins in feed with AFB1 and OTA individually and in combination had a positive effect on TM (BW), growth (BWG), consumption and FCR conversion coefficient, and microscopic lesions in organs. The concentration of OTA residues in the liver and chest muscles was significantly lower in chickens fed a diet with the addition of 0.2% MS of the mycotoxin detoxification preparation. Full article
Show Figures

Figure 1

24 pages, 3250 KB  
Article
CYPOR Variability as a Biomarker of Environmental Conditions in Bream (Abramis brama), Roach (Rutilus rutilus), Perch (Perca flavescens), and Pike-Perch (Sander lucioperca) from Lake Ladoga
by Vladimir Ponamarev, Olga Popova, Elena Semenova, Evgeny Mikhailov and Alexey Romanov
Vet. Sci. 2026, 13(1), 94; https://doi.org/10.3390/vetsci13010094 (registering DOI) - 18 Jan 2026
Abstract
The fish liver, as the main detoxification organ, is highly susceptible to xenobiotic exposure, often resulting in various hepatopathies. The cytochrome P450 system plays a central role in xenobiotic metabolism, with cytochrome P450 reductase (CYPOR) supplying the electrons required for CYP enzyme activity. [...] Read more.
The fish liver, as the main detoxification organ, is highly susceptible to xenobiotic exposure, often resulting in various hepatopathies. The cytochrome P450 system plays a central role in xenobiotic metabolism, with cytochrome P450 reductase (CYPOR) supplying the electrons required for CYP enzyme activity. This study aimed to evaluate the relationship between the ecological state of a reservoir and fish health, including CYPOR levels, through hematological, bacteriological, and histological analyses. Samples of water and fish were collected from 12 littoral sites of Lake Ladoga. A total of 1360 specimens of fish from carp (Cyprinidae) and perch (Percidae) families were examined. For histological examination and CYPOR level determination, we selected 40 specimens using a blind randomization method. This sample size was sufficient for statistical analyses. Hematological smears were stained with azure eosin; bacteriological cultures were grown on multiple media; liver samples were stained with hematoxylin and eosin and Sudan III. CYPOR levels in liver homogenates were measured by ELISA-test. Physical and hydrochemical analyses indicated a high pollution level in the littoral zones. Isolated bacterial species were non-pathogenic but exhibited broad antibiotic resistance. Hematological evaluation revealed erythrocyte vacuolization and anisocytosis. Histological analysis showed marked fatty degeneration in hepatocytes, indicating toxic damage. CYPOR concentrations ranged from 0.3–0.4 ng/mL in healthy fish to 5–6 ng/mL in exposed specimens, showing strong correlation between environmental influence and enzyme activity. These findings demonstrate the potential of CYPOR as a sensitive biomarker for biomonitoring programs. The integrated methodological approach provides a model for assessing aquatic ecosystem health and identifying zones requiring priority remediation. Full article
(This article belongs to the Section Anatomy, Histology and Pathology)
20 pages, 2036 KB  
Article
Identification and Stability Assessment of Reference Genes in Helicoverpa armigera Under Plant Secondary Substance and Insecticide Stresses
by Jie Zhao, Hao-Ran Kan, Xin-Xin Jin, Jiang-Yuan Zhang, Hong-Run Zhou, Xiao-Qiang Han and Jing Ye
Biology 2026, 15(2), 175; https://doi.org/10.3390/biology15020175 - 17 Jan 2026
Viewed by 52
Abstract
The cotton bollworm (Helicoverpa armigera, Lepidoptera: Noctuidae) is a globally distributed agricultural pest. When conducting expression analysis of its functional genes, appropriate reference genes should be selected to ensure the reliability of the results. In this study, five algorithms including Delta [...] Read more.
The cotton bollworm (Helicoverpa armigera, Lepidoptera: Noctuidae) is a globally distributed agricultural pest. When conducting expression analysis of its functional genes, appropriate reference genes should be selected to ensure the reliability of the results. In this study, five algorithms including Delta Ct, GeNorm, Normfinder, BestKeeper, and RefFinder were used to evaluate the expression stability of eleven candidate reference genes under different developmental stages, larval tissues, adult sexes, plant secondary substance stresses, and insecticide treatments in H. armigera. The candidate genes included Actin, Tubulin, EF-1α, RPS3, RPS15, RPL27, RPL32, 28S, GAPDH, SOD, and TRX. The reliability of the recommended reference gene combinations was validated using the growth arrest and DNA-damage-inducible gene 45 (GADD45). The results showed that normalizing relative expression of the target gene with the combination of the two most stable reference genes is recommended. Specifically, the combination of RPS3 + RPL27 is recommended for developmental stage comparisons; RPL32 + RPL27 for larval tissues; RPS3 + RPL27 for adult sex comparisons; GAPDH + RPL32 under tannic acid stress; RPL32 + RPS3 under quercetin stress; RPS15 + RPL32 under 2-tridecanone stress; RPS3 + RPL32 under ZQ-8 stress; RPL27 + TRX following chlorantraniliprole treatment; and RPL27 + RPL32 following indoxacarb treatment. Moreover, larvae exposed to three concentrations of plant secondary substances and to sublethal doses of insecticides exhibited significant upregulation of GADD45: after 4 h of exposure to 1% tannic acid, 0.1% and 1% quercetin, 1% 2-tridecanone, and 0.05% ZQ-8; after 15 h of chlorantraniliprole treatment; and after 24 h of indoxacarb treatment. Thus, GADD45 was overexpressed in response to various plant secondary substances and insecticide treatments, indicating its involvement in the detoxification and metabolism of H. armigera. This study proves to be helpful for selecting reference genes in H. armigera under plant secondary substance and insecticide stress and lays the foundation for further research utilizing GADD45 as a molecular target for pest control. Full article
19 pages, 785 KB  
Article
Pharmacogenomic Pathways Underlying Variable Vedolizumab Response in Crohn’s Disease Patients: A Rare-Variant Analysis
by Biljana Stankovic, Mihajlo Stasuk, Vladimir Gasic, Bojan Ristivojevic, Ivana Grubisa, Branka Zukic, Aleksandar Toplicanin, Olgica Latinovic Bosnjak, Brigita Smolovic, Srdjan Markovic, Aleksandra Sokic Milutinovic and Sonja Pavlovic
Biomedicines 2026, 14(1), 203; https://doi.org/10.3390/biomedicines14010203 - 17 Jan 2026
Viewed by 162
Abstract
Background/Objectives: Vedolizumab (VDZ), a monoclonal antibody targeting α4β7 integrin, is used in Crohn’s disease (CD) management, yet patients’ responses vary, underscoring the need for pharmacogenomic (PGx) markers. This study aimed to identify PGx pathways associated with suboptimal VDZ response using a rare-variant analytical [...] Read more.
Background/Objectives: Vedolizumab (VDZ), a monoclonal antibody targeting α4β7 integrin, is used in Crohn’s disease (CD) management, yet patients’ responses vary, underscoring the need for pharmacogenomic (PGx) markers. This study aimed to identify PGx pathways associated with suboptimal VDZ response using a rare-variant analytical framework. Methods: DNA from 63 CD patients treated with VDZ as first-line advanced therapy underwent whole-exome sequencing. Clinical response at week 14 classified patients as optimal responders (ORs) or suboptimal responders (SRs). Sequencing data were processed using GATK Best Practices, annotated with variant effect predictors, and filtered for rare damaging variants (damaging missense and high-confidence loss-of-function; minor allele frequency < 0.05). Variants were mapped to genes specific for SRs and ORs, and analyzed for pathway enrichment using the Reactome database. Rare-variant burden and composition differences were assessed with Fisher’s exact test and SKAT-O gene-set association analysis. Results: Suboptimal VDZ response was associated with pathways related to membrane transport (ABC-family proteins, ion channels), L1–ankyrin interactions, and bile acid recycling, while optimal response was associated with pathways involving MET signaling. SKAT-O identified lipid metabolism-related pathways as significantly different—SRs harbored variants in pro-inflammatory lipid signaling and immune cell trafficking genes (e.g., PIK3CG, CYP4F2, PLA2R1), whereas ORs carried variants in fatty acid oxidation and detoxification genes (e.g., ACADM, CYP1A1, ALDH3A2, DECR1, MMUT). Conclusions: This study underscores the potential of exome-based rare-variant analysis to stratify CD patients and guide precision medicine approaches. The identified genes and pathways are potential PGx markers for CD patients treated with VDZ. Full article
Show Figures

Figure 1

20 pages, 3536 KB  
Case Report
A New Histology-Based Prognostic Index for Acute Lymphoblastic Leukemia: Preliminary Results of the “ALL Urayasu Classification”
by Toru Mitsumori, Hideaki Nitta, Haruko Takizawa, Hiroko Iizuka-Honma, Chiho Furuya, Suiki Maruo, Maki Fujishiro, Shigeki Tomita, Akane Hashizume, Tomohiro Sawada, Kazunori Miyake, Mitsuo Okubo, Yasunobu Sekiguchi and Masaaki Noguchi
J. Clin. Med. 2026, 15(2), 768; https://doi.org/10.3390/jcm15020768 (registering DOI) - 17 Jan 2026
Viewed by 51
Abstract
Background/Objectives: Mechanisms underlying treatment resistance in hematopoietic malignancies such as acute lymphoblastic leukemia (ALL) include (1) enhanced activity of anticancer drug efflux mechanisms (MRP1); (2) suppressed activity of anticancer drug influx mechanisms (ENT-1); (3) enhanced drug detoxification activity (AKR1B10, AKR1C3, CYP3A4); (4) [...] Read more.
Background/Objectives: Mechanisms underlying treatment resistance in hematopoietic malignancies such as acute lymphoblastic leukemia (ALL) include (1) enhanced activity of anticancer drug efflux mechanisms (MRP1); (2) suppressed activity of anticancer drug influx mechanisms (ENT-1); (3) enhanced drug detoxification activity (AKR1B10, AKR1C3, CYP3A4); (4) influence of the tumor microenvironment (GRP94), etc. We conducted this study to comprehensively and clinically examine treatment resistance due primarily to a decrease in the tumor intracellular anticancer drug concentrations. Methods: The subjects were 19 ALL patients who underwent initial induction therapy with alternating Hyper CVAD/MA therapy. Antibodies against 23 types of treatment resistance-associated proteins were used for immunohistochemical analysis of tumor specimens obtained from the patients, and correlations between the results of immunohistochemistry and the overall survival (OS) were retrospectively analyzed using the Kaplan–Meier method. Results: Based on the patterns of expression of the enzymes involved in treatment resistance, we classified the patients (Urayasu classification for ALL, which we believe would be very useful for accurately stratifying patients with ALL according to the predicted prognosis), as follows: Good prognosis group, n = 1, 5%: AKR1B1(+)/AKR1B10(−), 5-year overall survival (OS), 100%; Intermediate prognosis-1 group, n = 9, 5%: AKR1B1(−)/AKR1B10(−) plus MRP1(−), 5-year OS, 68%; Intermediate-2 prognosis group, n = 6.3%: AKR1B1(−)/AKR1B10(−) plus MRP1(+), median survival, 17 months, 5-year OS, 20%; and Poor prognosis group, n = 3, 16%: AKR1B1(−)/AKR1B10(+), median survival, 18 months, 5-year OS, 0%. n = 2. Conclusions: The Urayasu classification for ALL is considered reliable for predicting the prognosis of patients with ALL after the initial Hyper CVAD/MA remission induction therapy. Full article
20 pages, 1372 KB  
Review
Iron-Containing Alcohol Dehydrogenase from Hyperthermophiles
by Ching Tse and Kesen Ma
BioTech 2026, 15(1), 6; https://doi.org/10.3390/biotech15010006 - 15 Jan 2026
Viewed by 55
Abstract
Iron-containing alcohol dehydrogenases (Fe-ADHs) from hyperthermophiles represent a distinct class of oxidoreductases characterized by exceptional thermostability, catalytic versatility, and unique metal-dependent properties. Despite considerable sequence diversity, Fe-ADHs share conserved motifs and a two-domain architecture essential for iron coordination and NAD(P)H cofactor binding. Physiologically, [...] Read more.
Iron-containing alcohol dehydrogenases (Fe-ADHs) from hyperthermophiles represent a distinct class of oxidoreductases characterized by exceptional thermostability, catalytic versatility, and unique metal-dependent properties. Despite considerable sequence diversity, Fe-ADHs share conserved motifs and a two-domain architecture essential for iron coordination and NAD(P)H cofactor binding. Physiologically, these enzymes are predicted to function primarily in aldehyde detoxification and redox homeostasis, with some also participating in fermentative alcohol production. Their remarkable stability and catalytic efficiency highlight their potential as robust biocatalysts for high-temperature industrial bioprocesses. This review presents a comprehensive comparative analysis of the biophysical, biochemical, and kinetic properties of Fe-ADHs, focusing on their thermostability, metal ion specificity, and catalytic mechanisms, as well as highlighting their potential for industrial biocatalytic applications. Full article
Show Figures

Figure 1

25 pages, 2100 KB  
Article
Biopriming-Induced Transcriptomic Memory Enhances Cadmium Tolerance in the Cd Hyperaccumulator Silene sendtneri
by Mirel Subašić, Alisa Selović, Sabina Dahija, Arnela Demir, Jelena Samardžić, Andrea Bonomo, Gabriele Rigano, Domenico Giosa and Erna Karalija
Plants 2026, 15(2), 257; https://doi.org/10.3390/plants15020257 - 14 Jan 2026
Viewed by 182
Abstract
Seed biopriming is increasingly recognized as a strategy capable of inducing molecular memory that enhances plant performance under heavy-metal stress. Here, we investigated how biopriming Silene sendtneri seeds with Paraburkholderia phytofirmans PsJN establishes a transcriptional state that predisposes seedlings for improved cadmium (Cd) [...] Read more.
Seed biopriming is increasingly recognized as a strategy capable of inducing molecular memory that enhances plant performance under heavy-metal stress. Here, we investigated how biopriming Silene sendtneri seeds with Paraburkholderia phytofirmans PsJN establishes a transcriptional state that predisposes seedlings for improved cadmium (Cd) tolerance. RNA-seq profiling revealed that primed seeds exhibited differential gene expression prior to Cd exposure, with strong upregulation of detoxification enzymes, antioxidant machinery, metal transporters, photosynthetic stabilizers, and osmoprotectant biosynthetic genes. Enrichment of gene ontology categories related to metal ion detoxification, redox homeostasis, phenylpropanoid metabolism, and cell wall organization indicated that biopriming imprints a preparatory transcriptional signature resembling early stress responses. Upon Cd exposure, primed plants displayed enhanced physiological performance, including preserved integrity, elevated antioxidant activity, particularly peroxidases in roots, higher osmolyte accumulation, stabilized micronutrient levels, and substantially increased Cd uptake and sequestration. These coordinated responses demonstrate that biopriming induces a sustained molecular memory that accelerates and strengthens downstream defense activation. These findings demonstrate that PGPR-based biopriming establishes a stable transcriptomic memory in seeds that enhances cadmium tolerance, metal sequestration, and stress resilience, highlighting its potential for improving hyperaccumulator performance in phytoremediation and stress adaptation strategies. Full article
Show Figures

Figure 1

19 pages, 3601 KB  
Article
Isolation and Characterization of Brevibacillus parabrevis S09T2, a Novel Ochratoxin A-Degrading Strain with Application Potential
by Jinqi Xiao, Qingping Wu, Junhui Wu, Xin Wang, Shixuan Huang, Xiaojuan Yang, Xianhu Wei, Youxiong Zhang, Xiuying Kou, Yuwei Wu and Ling Chen
Foods 2026, 15(2), 295; https://doi.org/10.3390/foods15020295 - 14 Jan 2026
Viewed by 160
Abstract
Ochratoxin A (OTA), a fungal secondary metabolite, is frequently detected in grains, herbal products, and other agricultural commodities, posing potential food safety risks. Among existing detoxification strategies, biological degradation is considered both specific and environmentally sustainable. In this study, a novel OTA-degrading bacterium, [...] Read more.
Ochratoxin A (OTA), a fungal secondary metabolite, is frequently detected in grains, herbal products, and other agricultural commodities, posing potential food safety risks. Among existing detoxification strategies, biological degradation is considered both specific and environmentally sustainable. In this study, a novel OTA-degrading bacterium, Brevibacillus parabrevis S09T2, was isolated from soil using OTA as the sole carbon source. The strain exhibited no hemolytic activity and carried no virulence or antibiotic resistance genes, indicating a favorable safety profile. S09T2 efficiently degraded OTA, removing over 93% of 5–8 μg/mL OTA within 24 h at 37 °C, and almost completely degrading OTA concentrations up to 10 μg/mL within 72 h. UPLC-HRMS analysis identified ochratoxin α (OTα) and phenylalanine as the only degradation products, confirming detoxification via amide bond hydrolysis. The intracellular enzyme responsible for this reaction displayed notable thermostability, achieving near-complete degradation of 1 μg/mL OTA at 50 °C within 6 h. Moreover, the cell lysate significantly reduced OTA levels in Plumeria rubra extract, a widely consumed functional food, demonstrating applicability in complex food matrices. Collectively, these findings highlight S09T2 as a promising candidate for OTA detoxification and support its potential use in food and feed safety applications. Full article
Show Figures

Graphical abstract

41 pages, 1521 KB  
Review
Socceromics: A Systematic Review of Omics Technologies to Optimize Performance and Health in Soccer
by Adam Owen, Halil İbrahim Ceylan, Piotr Zmijewski, Carlo Biz, Giovanni Sciarretta, Alessandro Rossin, Pietro Ruggieri, Andrea De Giorgio, Carlo Trompetto, Nicola Luigi Bragazzi and Luca Puce
Int. J. Mol. Sci. 2026, 27(2), 749; https://doi.org/10.3390/ijms27020749 - 12 Jan 2026
Viewed by 183
Abstract
The integration of omics technologies, including genomics, proteomics, metabolomics, and microbiomics, has transformed sports science, particularly soccer, by providing new opportunities to optimize player performance, reduce injury risk, and enhance recovery. This systematic literature review was conducted in accordance with PRISMA 2020 guidelines [...] Read more.
The integration of omics technologies, including genomics, proteomics, metabolomics, and microbiomics, has transformed sports science, particularly soccer, by providing new opportunities to optimize player performance, reduce injury risk, and enhance recovery. This systematic literature review was conducted in accordance with PRISMA 2020 guidelines and structured using the PICOS/PECOS framework. Comprehensive searches were performed in PubMed, Scopus, and Web of Science up to August 2025. Eligible studies were peer-reviewed original research involving professional or elite soccer players that applied at least one omics approach to outcomes related to performance, health, recovery, or injury prevention. Reviews, conference abstracts, editorials, and studies not involving soccer or omics technologies were excluded. A total of 139 studies met the inclusion criteria. Across the included studies, a total of 19,449 participants were analyzed. Genomic investigations identified numerous single-nucleotide polymorphisms (SNPs) spanning key biological pathways. Cardiovascular and vascular genes (e.g., ACE, AGT, NOS3, VEGF, ADRA2A, ADRB1–3) were associated with endurance, cardiovascular regulation, and recovery. Genes related to muscle structure, metabolism, and hypertrophy (e.g., ACTN3, CKM, MLCK, TRIM63, TTN-AS1, HIF1A, MSTN, MCT1, AMPD1) were linked to sprint performance, metabolic efficiency, and muscle injury susceptibility. Neurotransmission-related genes (BDNF, COMT, DRD1–3, DBH, SLC6A4, HTR2A, APOE) influenced motivation, fatigue, cognitive performance, and brain injury recovery. Connective tissue and extracellular matrix genes (COL1A1, COL1A2, COL2A1, COL5A1, COL12A1, COL22A1, ELN, EMILIN1, TNC, MMP3, GEFT, LIF, HGF) were implicated in ligament, tendon, and muscle injury risk. Energy metabolism and mitochondrial function genes (PPARA, PPARG, PPARD, PPARGC1A, UCP1–3, FTO, TFAM) shaped endurance capacity, substrate utilization, and body composition. Oxidative stress and detoxification pathways (GSTM1, GSTP1, GSTT1, NRF2) influenced recovery and resilience, while bone-related variants (VDR, P2RX7, RANK/RANKL/OPG) were associated with bone density and remodeling. Beyond genomics, proteomics identified markers of muscle damage and repair, metabolomics characterized fatigue- and energy-related signatures, and microbiomics revealed links between gut microbial diversity, recovery, and physiological resilience. Evidence from omics research in soccer supports the potential for individualized approaches to training, nutrition, recovery, and injury prevention. By integrating genomics, proteomics, metabolomics, and microbiomics data, clubs and sports practitioners may design precision strategies tailored to each player’s biological profile. Future research should expand on multi-omics integration, explore gene–environment interactions, and improve representation across sexes, age groups, and competitive levels to advance precision sports medicine in soccer. Full article
(This article belongs to the Special Issue Molecular and Physiological Mechanisms of Exercise)
Show Figures

Figure 1

18 pages, 7749 KB  
Article
From Early Signals to Systemic Decline: Physiological Defense Landscape of Agave tequilana in the Fusarium oxysporum Pathosystem
by Diego E. Navarro-López, Julio César López-Velázquez, Antonia Gutiérrez-Mora, Mayra Itzcalotzin Montero-Cortés, Martin Eduardo Avila-Miranda, Norma Alejandra Mancilla-Margalli, Elizabeth Sánchez-Jiménez, Miriam Irene Jiménez-Pérez, Jorge L. Mejía-Méndez and Joaquín Alejandro Qui-Zapata
Plants 2026, 15(2), 233; https://doi.org/10.3390/plants15020233 - 12 Jan 2026
Viewed by 258
Abstract
The agave wilt associated with Fusarium oxysporum (Fox) is a major disease of blue agave (Agave tequilana Weber var. azul), used to produce “Tequila” in Mexico. Little is known about the A. tequilana-F. oxysporum interaction yet understanding defense mechanisms [...] Read more.
The agave wilt associated with Fusarium oxysporum (Fox) is a major disease of blue agave (Agave tequilana Weber var. azul), used to produce “Tequila” in Mexico. Little is known about the A. tequilana-F. oxysporum interaction yet understanding defense mechanisms against the pathogen is necessary for control strategies. During early Fox infection, plants trigger defense mechanisms to interrupt the compatible interaction, while Fox’s pathogenesis mechanism interacts with plant response. This study evaluated plant defense mechanisms induced by Fox in A. tequilana and their interaction with fungal pathogenesis. For this, an A. tequilana pathogenic strain (FPA), and the non-A. tequilana pathogenic strains FNPA and FOL were utilized. Early defense mechanisms evaluated were hypersensitive response (HR) and cell wall strengthening in agave roots. Resistance mechanisms evaluated included pathogenesis-related proteins (PR proteins), phytoanticipins and phytoalexins. For early defense, induced HR was greater with FPA than other strains. Cell wall strengthening was found in agave roots, plants responded differentially to different strains. Initial response to FPA and FOL was similar in PR proteins, phytoalexins and phytoanticipins production. However, the response differentiated with FOL over time, indicating an incompatible interaction. The study identified effective and ineffective defense responses of A. tequilana to Fox infection, where FPA exhibited compatibility and caused unregulated ROS and PCD, early inhibition of PR activity, extensive lignification, and saponin detoxification. In contrast, this study unveiled incompatible interactions (FNPA and FOL) because of limited colonization, localized HR with suppressed ROS, early and sustained POX activation, significant callose accumulation, moderate lignification, and phenol–saponin dynamics that help in tissue containment and recovery. Full article
Show Figures

Figure 1

14 pages, 1487 KB  
Article
Radiolytic Breakdown of PFOS by Neutron Irradiation: Mechanistic Insights into Molecular Disassembly and Cytotoxicity Reduction
by Jéssica Ingrid Faria de Souza, Pierre Basilio Almeida Fechine, Eduardo Ricci-Junior, Luciana Magalhães Rebelo Alencar, Júlia Fernanda da Costa Araújo, Severino Alves Junior and Ralph Santos-Oliveira
Environments 2026, 13(1), 46; https://doi.org/10.3390/environments13010046 - 11 Jan 2026
Viewed by 278
Abstract
Perfluorooctane sulfonate (PFOS), a persistent and bioaccumulative perfluoroalkyl substance, poses significant environmental and human health risks due to the extraordinary stability of its C–F bonds. Conventional remediation strategies largely fail to achieve mineralization, instead transferring contamination or producing secondary waste streams. In this [...] Read more.
Perfluorooctane sulfonate (PFOS), a persistent and bioaccumulative perfluoroalkyl substance, poses significant environmental and human health risks due to the extraordinary stability of its C–F bonds. Conventional remediation strategies largely fail to achieve mineralization, instead transferring contamination or producing secondary waste streams. In this study, we investigate neutron irradiation as a potential destructive approach for PFOS remediation in both solid and aqueous matrices. Samples were exposed to thermal neutrons (flux: 3.2 × 109 n·cm−2·s−1, 0.0025 eV) at the Argonauta reactor for 6 h. Raman and FTIR spectroscopy revealed that PFOS in powder form remained largely resistant to degradation, with only minor structural perturbations observed. In contrast, aqueous PFOS solutions exhibited pronounced spectral changes, including attenuation of C–F and S–O vibrational signatures, the emergence of carboxylate and carbonyl functionalities, and enhanced O–H stretching, consistent with radiolytic oxidation and partial defluorination. Notably, clear peak shifts were predominantly observed for PFOS in aqueous solution after irradiation (overall displacement toward higher wavenumbers), whereas in powdered PFOS the main spectral signature of irradiation was the attenuation of CF2 and S–O related bands with comparatively limited band relocation. To evaluate the biological relevance of these structural alterations, cell viability assays (MTT) were performed using human umbilical vein endothelial cells. Non-irradiated PFOS induced marked cytotoxicity at 100 and 50 μg/mL (p < 0.0001), whereas neutron-irradiated PFOS no longer exhibited significant toxicity, with cell viability comparable to the control. These findings indicate a matrix-dependent response: neutron scattering in solids yields negligible molecular breakdown, whereas radiolysis-driven pathways in water facilitate measurable PFOS transformation. The cytotoxicity assay demonstrates that neutron irradiation promotes sufficient molecular degradation of PFOS in aqueous media to suppress its cytotoxic effects. Although complete mineralization was not achieved under the tested conditions, the combined spectroscopic and biological evidence supports neutron-induced radiolysis as a promising pathway for perfluoroalkyl detoxification. Future optimization of neutron flux, irradiation duration, and synergistic catalytic systems may enhance mineralization efficiency. Because PFOS concentration, fluoride release (F), and TOC were not quantified in this study, remediation was assessed through spectroscopic fingerprints of transformation and the suppression of cytotoxicity, rather than by mass-balance mineralization metrics. This study highlights neutron irradiation as a promising strategy for perfluoroalkyl destruction in contaminated water sources. Full article
(This article belongs to the Special Issue Advanced Technologies for Contaminant Removal from Water)
Show Figures

Graphical abstract

23 pages, 1157 KB  
Review
Unifying Phytochemistry, Analytics, and Target Prediction to Advance Dendropanax morbifera Bioactive Discovery
by SuHyun Kim, Damhee Lee, Kyujeong Won, Jinseop Lee, Wooseop Lee, Woohyeon Roh and Youngjun Kim
Life 2026, 16(1), 100; https://doi.org/10.3390/life16010100 - 11 Jan 2026
Viewed by 262
Abstract
Dendropanax morbifera (DM; “Hwangchil”) is an evergreen tree native to southern Korea and Jeju Island, traditionally used for detoxification, anti-inflammatory, immunomodulatory, and neuroprotective purposes. Recent studies indicate that DM extracts and their constituents exhibit a broad range of biological activities, including antioxidant, anti-inflammatory, [...] Read more.
Dendropanax morbifera (DM; “Hwangchil”) is an evergreen tree native to southern Korea and Jeju Island, traditionally used for detoxification, anti-inflammatory, immunomodulatory, and neuroprotective purposes. Recent studies indicate that DM extracts and their constituents exhibit a broad range of biological activities, including antioxidant, anti-inflammatory, antimicrobial, anticancer, antidiabetic, hepatoprotective, and neuroprotective effects. Phytochemical investigations have revealed a chemically diverse profile comprising phenolic acids, flavonoids, diterpenoids, triterpenoids—most notably dendropanoxide—and polyacetylenes, with marked variation in compound distribution across plant parts. Despite this progress, translational application remains constrained by the lack of standardized extraction protocols, substantial variability in high-performance liquid chromatography (HPLC) methodologies, and limited mechanistic validation of reported bioactivities. This review proposes an integrated framework that links extraction strategies tailored to compound class and plant part with standardized C18 reverse-phase HPLC conditions to enhance analytical reproducibility. In parallel, in silico target prediction using SwissTargetPrediction is applied as a hypothesis-generating approach to prioritize potential molecular targets for subsequent experimental validation. By emphasizing methodological harmonization, critical evaluation of evidence levels, and systems-level consideration of multi-compound interactions, this review aims to clarify structure–activity relationships, support pharmacokinetic and safety assessment, and facilitate the rational development of DM-derived materials for medical, nutritional, and cosmetic applications. Full article
(This article belongs to the Section Pharmaceutical Science)
Show Figures

Figure 1

16 pages, 1176 KB  
Article
Mechanisms of Aphids (Myzus persicae (Sulzer)) Response to Insecticides and Drought Stresses on Cabbage (Brassica rapa L. ssp. Pekinensis)
by Peter Quandahor, Jong-ho Park, Minju Kim, Keunpyo Lee, Ahrang Kang, Young Ho Koh, Francis Kusi, Mohammed Mujitaba Dawuda, Jerry A. Nboyine and In-hong Jeong
Plants 2026, 15(2), 219; https://doi.org/10.3390/plants15020219 - 10 Jan 2026
Viewed by 216
Abstract
Drought stress and insecticide exposure are two significant environmental factors that can impact the physiology and behaviour of aphids, a major agricultural pest. An understanding of the mechanisms of green peach aphids’ response to insecticides under drought stress is a critical area of [...] Read more.
Drought stress and insecticide exposure are two significant environmental factors that can impact the physiology and behaviour of aphids, a major agricultural pest. An understanding of the mechanisms of green peach aphids’ response to insecticides under drought stress is a critical area of research that needs urgent attention. In view of this, we conducted this study to determine the impact of drought and insecticides on the activity of detoxification enzymes in green peach aphid. A 2 × 2 × 3 factorial experiment involving two levels of water treatments (drought and no drought), two levels of aphids infestation (aphids and no aphids), and three levels of pesticides applications (thiacloprid, flonicamid and no pesticide) was conducted. The treatments were arranged in a randomized complete block design with three replications. The results showed that there was a significant (p < 0.01) interaction effect of drought × insecticides on the green peach aphid performance under drought or no drought conditions. Generally, the highest aphids host acceptance, survival rate, colonization success, and average daily reproduction under drought and well-watered conditions occurred on flonicamid-treated plants, whereas thiacloprid-treated plants had the least. However, the thiacloprid-treated plants had higher photosynthetic rate, water use efficiency, lower stomatal conductance, and decreased transpiration rate. Moreover, flonicamid treatment increased the accumulation of glutathione–S-transferase, acetylcholinesterase, butyrylcholinesterase, 1-napthyle acetate, and 1-napthyle butyrate activities in aphids, compared to the thiacloprid treatments. The thiacloprid pesticide, which demonstrated higher efficacy against green peach aphid, can be used in areas where green peach aphids and drought stress are major concerns. Full article
(This article belongs to the Special Issue Plant Challenges in Response to Salt and Water Stress, 2nd Edition)
Show Figures

Figure 1

16 pages, 3534 KB  
Article
Toxic Impact of Polystyrene Microplastics (PS-MPs) on Freshwater Mussel Lamellidens marginalis
by Nishigandha Muduli, Sthitaprajna Nath Sharma, Smruti Prajna Pradhan, Pratyusha Nayak, Subhashree Nayak and Lipika Patnaik
Microplastics 2026, 5(1), 5; https://doi.org/10.3390/microplastics5010005 - 9 Jan 2026
Viewed by 164
Abstract
Microplastics are among the most emerging environmental micro-threats to aquatic ecosystems. Bivalves are filter-feeding benthic organisms and are often considered excellent bioindicators of contamination in aquatic bodies. This study focuses on the toxic effects of fibrous polystyrene microplastics (1 mg/L) on biochemical parameters [...] Read more.
Microplastics are among the most emerging environmental micro-threats to aquatic ecosystems. Bivalves are filter-feeding benthic organisms and are often considered excellent bioindicators of contamination in aquatic bodies. This study focuses on the toxic effects of fibrous polystyrene microplastics (1 mg/L) on biochemical parameters of the freshwater bivalve Lamellidens marginalis after exposure periods of 7, 10, and 15 days (Experimental groups I, II, and III, respectively). Biochemical analysis showed reduced protein, ACP, and ALP activities in all tissues except for a significant increase in ACP in the mantle and foot of group III. AST activity increased in the gill and hepatopancreas but declined in the mantle and foot. ALT activity consistently decreased across all experimental tissues relative to the control. The Integrated Biomarker Response Index increased over time for gill, mantle, and foot tissue. For the hepatopancreas, the values were 11, 8.82, and 9.02 for Experimental groups I, II, and III, respectively. From Biomarker Response Index values, group I gill tissue (2.2) was most severely altered. Major alterations occurred in the hepatopancreas, mantle, and foot of groups II and III. Hepatopancreas generally acts as a site of detoxification, digestion, and absorption, and exposure to microplastics can lead to the accumulation in hepatopancreas. Full article
Show Figures

Figure 1

13 pages, 2502 KB  
Article
Comparative Transcriptome Analysis Reveals the Seawater Adaptation Mechanism in Pseudaspius hakonensis
by Ziyue Xu, Wen Zheng, Wenjun Chen, Min Zhou, Dongdong Zhai, Ming Xia, Hongyan Liu, Fei Xiong and Ying Wang
Genes 2026, 17(1), 76; https://doi.org/10.3390/genes17010076 - 9 Jan 2026
Viewed by 239
Abstract
Background: The family Cyprinidae is predominantly restricted to freshwater habitats, making the evolution of diadromy and seawater adaptation exceptionally rare within this group. Pseudaspius hakonensis, a rare anadromous cyprinid, and its strictly freshwater congener P. leptocephalus, provide an ideal comparative model [...] Read more.
Background: The family Cyprinidae is predominantly restricted to freshwater habitats, making the evolution of diadromy and seawater adaptation exceptionally rare within this group. Pseudaspius hakonensis, a rare anadromous cyprinid, and its strictly freshwater congener P. leptocephalus, provide an ideal comparative model to investigate the molecular mechanisms underlying salinity adaptation. This study aimed to elucidate the tissue-specific transcriptional reprogramming, identify candidate genes and key pathways, and explore their association with seawater acclimation in P. hakonensis. Methods: We performed comparative transcriptomic analyses of gill, liver, and kidney tissues from both species using RNA-Seq. Sequencing reads were aligned to a high-quality reference genome of P. hakonensis. Differential expression analysis was conducted using DESeq2, followed by functional enrichment analyses (GO and KEGG) to identify significant biological processes and pathways. Results: A total of 8784, 5965, and 5719 differentially expressed genes (DEGs) were identified in gill, kidney, and liver tissues, respectively, with the gill showing the highest differences. Functional enrichment revealed tissue-specific roles: gill DEGs were associated with protein synthesis and energy metabolism; kidney DEGs with transport and detoxification; and liver DEGs with metabolic regulation and stress signaling. Cross-tissue analysis highlighted three core pathways consistently enriched: MAPK signaling, ABC transporters, and glutathione metabolism. Key candidate genes, including DUSP10, SLC38A2, ATP8B1, GSTA4, and MGST1, were significantly upregulated in P. hakonensis. Conclusions: This first multi-tissue transcriptomic comparison of an anadromous and a freshwater cyprinid reveals pervasive, tissue-specific molecular reprogramming underlying seawater adaptation in P. hakonensis. The coordinated activation of MAPK signaling, glutathione metabolism, and transporter pathways suggests an integrated regulatory network for osmoregulation and stress resistance. These findings provide novel insights into the genetic basis of salinity adaptation in cyprinids and identify candidate genes for future functional validation. Full article
(This article belongs to the Special Issue Innovations in Aquaculture Breeding via Genetic Technologies)
Show Figures

Figure 1

Back to TopTop