Sign in to use this feature.

Years

Between: -

Subjects

remove_circle_outline
remove_circle_outline
remove_circle_outline
remove_circle_outline
remove_circle_outline
remove_circle_outline
remove_circle_outline

Journals

Article Types

Countries / Regions

Search Results (26)

Search Parameters:
Keywords = dentinal bridge

Order results
Result details
Results per page
Select all
Export citation of selected articles as:
20 pages, 10152 KB  
Article
In Vivo Comparison of Resin-Modified and Pure Calcium-Silicate Cements for Direct Pulp Capping
by Fatma Fenesha, Aonjittra Phanrungsuwan, Brian L. Foster, Anibal Diogenes and Sarah B. Peters
Appl. Sci. 2025, 15(19), 10639; https://doi.org/10.3390/app151910639 - 1 Oct 2025
Viewed by 1058
Abstract
Introduction: Direct pulp capping (DPC) aims to preserve the vitality of the dental pulp by placing a protective biocompatible material over the exposed pulp tissue to facilitate healing. There are several calcium-silicate materials that have been designed to promote mineralization and the regulation [...] Read more.
Introduction: Direct pulp capping (DPC) aims to preserve the vitality of the dental pulp by placing a protective biocompatible material over the exposed pulp tissue to facilitate healing. There are several calcium-silicate materials that have been designed to promote mineralization and the regulation of inflammation. These have strong potential for the repair and regeneration of dental pulp. Among them, Biodentine (BD) and EndoSequence RRM Putty (ES) have been found to promote in vitro and in vivo mineralization while minimizing some of the limitations of the first-generation calcium-silicate-based materials. Theracal-LC (TLC), a light-cured, resin-modified calcium-silicate material, is a newer product with potential to improve the clinical outcomes of DPC, but existing studies have reported conflicting findings regarding its biocompatibility and ability to support pulpal healing in direct contact with the pulp. A comprehensive assessment of the biocompatibility and pulpal protection provided by these three capping materials has not yet been performed. Aim: We aimed to quantify the inflammatory response, dentin bridge formation, and material adaptation following DPC using three calcium-silicate materials: ES, BD, and TLC. Materials and Methods: DPC was performed on the maxillary first molar of C57BL/6 female mice. Maxilla were collected and processed at 1 and 21 days post-DPC. The early inflammatory response was measured 24 h post-procedure using confocal imaging of anti-Lys6G6C, which indicates the extent of neutrophil and monocyte infiltration. Reparative mineralized bridge formation was assessed at 21 days post-procedure using high-resolution micro-computed tomography (micro-CT) and histology. Lastly, the homogeneity of the capping materials was evaluated by quantifying voids in calcium-silicate restorations using micro-CT. Results: DPC using TLC induced less infiltration of Lys6G6C+ cells at 24 h than BD or ES. BD promoted higher volumes of tertiary dentin than TLC, but TLC and ES showed no significant differences in volume. No differences were observed in material adaptation and void spaces among the three capping materials. Conclusions: All three materials under investigation supported pulp healing and maintained marginal integrity. However, TLC induced a lower inflammatory response on day 1 and induced similar levels of tertiary dentin to ES. These observations challenge the common perception that resin-based capping materials are not suitable for direct pulp capping. Our findings underscore the need to balance biological responses with physical properties when selecting pulp capping materials to improve long-term clinical success. Full article
Show Figures

Figure 1

14 pages, 1955 KB  
Article
Adhesive Performance of Zirconia and Lithium Disilicate Maryland Cantilever Restorations on Prepared and Non-Prepared Abutment Teeth: An In Vitro Comparative Study
by Tareq Hajaj, Ioana Elena Lile, Radu Marcel Negru, Serban Talpos Niculescu, Sami Stuparu, Mihai Rominu, Cosmin Sinescu, Paul Albu, Florina Titihazan and Ioana Veja
Biomimetics 2025, 10(7), 413; https://doi.org/10.3390/biomimetics10070413 - 21 Jun 2025
Cited by 1 | Viewed by 1803
Abstract
Aim: This in vitro study aimed to evaluate the adhesive performance of zirconia and lithium disilicate Maryland cantilever restorations on prepared and non-prepared anterior abutment teeth. While conventional clinical protocols involve abutment tooth preparation, no-preparation (no-prep) restorations have emerged as a viable, minimally [...] Read more.
Aim: This in vitro study aimed to evaluate the adhesive performance of zirconia and lithium disilicate Maryland cantilever restorations on prepared and non-prepared anterior abutment teeth. While conventional clinical protocols involve abutment tooth preparation, no-preparation (no-prep) restorations have emerged as a viable, minimally invasive alternative. This study compared the adhesion fracture resistance (N) of zirconia restorations on non-prepared enamel surfaces with those on prepared surfaces exposing the dentin. Additionally, the zirconia restorations were compared with lithium disilicate Maryland cantilever restorations, a more common yet costly alternative. Materials and Methods: Forty extracted anterior teeth were allocated into four groups based on preparation type (prepared vs. non-prepared) and material (zirconia vs. lithium disilicate). Each group received cantilevered single-unit FPDs fabricated via CAD/CAM and adhesively cemented using Variolink® Esthetic DC. Standardized loading was applied using a universal testing machine, and the fracture resistance was recorded. Results: The fracture resistance ranged from 190 to 447 N in the zirconia groups and from 219 to 412 N in the lithium disilicate groups. When comparing all the zirconia versus all the lithium disilicate ceramic restorations, regardless of tooth preparation, no statistically significant difference was found (p = 0.752). However, the non-prepared restorations exhibited significantly higher fracture resistance than their prepared counterparts (p = 0.004 for zirconia; p = 0.012 for lithium disilicate ceramic). All the failures were attributed to tooth fracture, except one zirconia restoration, with no debonding observed. Conclusions: Both zirconia and lithium disilicate Maryland cantilever restorations demonstrated reliable adhesive performance when bonded using appropriate surface conditioning and adhesive protocols. Interestingly, the non-prepared designs exhibited higher fracture resistance than the prepared abutments, highlighting their potential advantage in minimally invasive restorative dentistry. Zirconia Maryland bridges, in particular, represent a cost-effective and mechanically resilient option for anterior single-tooth replacement. Full article
(This article belongs to the Special Issue Biomimetic Bonded Restorations for Dental Applications: 2nd Edition)
Show Figures

Figure 1

11 pages, 1390 KB  
Article
Promoting Dentin Bridge Formation Through N-Acetyl-L-Cysteine Application in Rat Molar Pulpotomy: An Experimental Study
by Kota Takagi, Koichi Nakamura, Yoshitaka Yoshimura and Yasutaka Yawaka
J. Funct. Biomater. 2025, 16(4), 117; https://doi.org/10.3390/jfb16040117 - 27 Mar 2025
Viewed by 1157
Abstract
Pulpotomy is performed when tooth decay reaches the dental pulp or when the crown is fractured due to trauma. Mineral trioxide aggregate (MTA) is commonly used in pulpotomy, but its prognosis can be variable. N-acetyl-L-cysteine (NAC), an antioxidant amino acid, has garnered attention [...] Read more.
Pulpotomy is performed when tooth decay reaches the dental pulp or when the crown is fractured due to trauma. Mineral trioxide aggregate (MTA) is commonly used in pulpotomy, but its prognosis can be variable. N-acetyl-L-cysteine (NAC), an antioxidant amino acid, has garnered attention due to its potential benefits. This study aimed to investigate the effects of MTA and NAC on pulpotomy outcomes. We used Sprague Dawley rat maxillary molars to perform pulpotomy and employed Superbond C&B, MTA, and MTA mixed with NAC (MTA–NAC) for pulp capping. We obtained tissue sections 3 and 7 days postpulpotomy, conducting histological analysis by examining the morphology of pulp tissue and assessing dentin sialophosphoprotein (DSPP) and osteopontin expression levels. At 3 days postpulpotomy, MTA and MTA–NAC reduced the inflammatory response. At 7 days postpulpotomy, dentin bridge formation was observed following MTA–NAC application, and although MTA resulted in DSPP- and osteopontin-positive areas, these areas were more extensive following MTA–NAC application. Given that adding NAC to MTA enhanced dentin bridge formation, MTA–NAC appears to be a superior option for pulp capping. Full article
(This article belongs to the Special Issue Biomechanical Studies and Biomaterials in Dentistry)
Show Figures

Figure 1

12 pages, 8484 KB  
Article
Fracture Toughness of Short Fibre-Reinforced Composites—In Vitro Study
by Noor Kamourieh, Maurice Faigenblum, Robert Blizard, Albert Leung and Peter Fine
Materials 2024, 17(21), 5368; https://doi.org/10.3390/ma17215368 - 2 Nov 2024
Cited by 3 | Viewed by 2289
Abstract
The development of dental materials needs to be supported with sound evidence. This in vitro study aimed to measure the fracture toughness of a short fibre-reinforced composite (sFRC), at differing thicknesses. In this study, 2 mm, 3 mm and 4 mm depths of [...] Read more.
The development of dental materials needs to be supported with sound evidence. This in vitro study aimed to measure the fracture toughness of a short fibre-reinforced composite (sFRC), at differing thicknesses. In this study, 2 mm, 3 mm and 4 mm depths of sFRC were prepared. Using ISO4049, each preparation was tested to failure. A total of 60 samples were tested: 10 samples for each combination of sFRC and depth. Fractured samples were viewed, and outcomes were analysed. EXF showed greater toughness than EXP, with a mean of 2.49 (95%CI: 2.25, 2.73) MPa.m1/2 compared to a mean of 2.13 (95%CI: 1.95, 2.31) MPa.m1/2, (F(1,54) = 21.28; p < 0.001). This difference was particularly pronounced at 2 mm depths where the mean (95%CI) values were 2.72 (2.49, 2.95) for EXF and 1.90 (1.78, 2.02) for EXP (Interaction F(2,54) = 7.93; p < 0.001). Both materials performed similarly at the depths of 3 mm and 4 mm. The results for both materials were within the accepted fracture toughness values of dentine of 1.79–3.08 MPa.m1/2. Analysis showed crack deflection and bridging fibre behaviour. The optimal thickness at the cavity base for EXF was 2 mm and for EXP 4 mm. Crack deflection and bridging behaviour indicated that restorations incorporating sFRCs are not prone to catastrophic failure and confirmed that sFRCs have similar fracture toughness to dentine. sFRCs could be a suitable biomimetic material to replace dentine. Full article
Show Figures

Figure 1

23 pages, 17458 KB  
Article
Influence of Connector Design on Displacement and Micromotion in Tooth-Implant Fixed Partial Dentures Using Different Lengths and Diameters: A Three-Dimensional Finite Element Study
by Hisham A. Mously, Ghada H. Naguib, Abou Bakr Hossam Hashem, Ahmed O. Abougazia, Abdulelah M. Binmahfooz and Mohamed T. Hamed
Materials 2024, 17(17), 4416; https://doi.org/10.3390/ma17174416 - 7 Sep 2024
Cited by 2 | Viewed by 2803
Abstract
The literature presents insufficient data evaluating the displacement and micromotion effects resulting from the combined use of tooth-implant connections in fixed partial dentures. Analyzing the biomechanical behavior of tooth-implant fixed partial denture (FPD) prothesis is vital for achieving an optimum design and successful [...] Read more.
The literature presents insufficient data evaluating the displacement and micromotion effects resulting from the combined use of tooth-implant connections in fixed partial dentures. Analyzing the biomechanical behavior of tooth-implant fixed partial denture (FPD) prothesis is vital for achieving an optimum design and successful clinical implementation. The objective of this study was to determine the relative significance of connector design on the displacement and micromotion of tooth-implant-supported fixed dental prostheses under occlusal vertical loading. A unilateral Kennedy class I mandibular model was created using a 3D reconstruction from CT scan data. Eight simulated designs of tooth-implant fixed partial dentures (FPDs) were split into two groups: Group A with rigid connectors and Group B with non-rigid connectors. The models were subjected to a uniform vertical load of 100 N. Displacement, strain, and stress were computed using finite element analysis. The materials were defined as isotropic, homogeneous, and exhibiting linear elastic properties. This study focused on assessing the maximum displacement in various components, including the bridge, mandible, dentin, cementum, periodontal ligament (PDL), and implant. Displacement values were predominantly higher in Group B (non-rigid) compared to Group A (rigid) in all measured components of the tooth-implant FPDs. Accordingly, a statistically significant difference was observed between the two groups at the FPD bridge (p value = 0.021 *), mandible (p value = 0.021 *), dentin (p value = 0.043 *), cementum (p value = 0.043 *), and PDL (p value = 0.043 *). Meanwhile, there was an insignificant increase in displacement values recorded in the distal implant (p value = 0.083). This study highlighted the importance of connector design in the overall stability and performance of the prosthesis. Notably, the 4.7 mm × 10 mm implant in Group B showed a displacement nearly 92 times higher than its rigid counterpart in Group A. Overall, the 5.7 mm × 10 mm combination of implant length and diameter showcased the best performance in both groups. The findings demonstrate that wider implants with a proportional length offer greater resistance to displacement forces. In addition, the use of rigid connection design provides superior biomechanical performance in tooth-implant fixed partial dentures and reduces the risk of micromotion with its associated complications such as ligament overstretching and implant overload, achieving predictable prognosis and enhancing the stability of the protheses. Full article
Show Figures

Figure 1

23 pages, 2316 KB  
Review
Dentin Mechanobiology: Bridging the Gap between Architecture and Function
by Xiangting Fu and Hye Sung Kim
Int. J. Mol. Sci. 2024, 25(11), 5642; https://doi.org/10.3390/ijms25115642 - 22 May 2024
Cited by 12 | Viewed by 4468
Abstract
It is remarkable how teeth maintain their healthy condition under exceptionally high levels of mechanical loading. This suggests the presence of inherent mechanical adaptation mechanisms within their structure to counter constant stress. Dentin, situated between enamel and pulp, plays a crucial role in [...] Read more.
It is remarkable how teeth maintain their healthy condition under exceptionally high levels of mechanical loading. This suggests the presence of inherent mechanical adaptation mechanisms within their structure to counter constant stress. Dentin, situated between enamel and pulp, plays a crucial role in mechanically supporting tooth function. Its intermediate stiffness and viscoelastic properties, attributed to its mineralized, nanofibrous extracellular matrix, provide flexibility, strength, and rigidity, enabling it to withstand mechanical loading without fracturing. Moreover, dentin’s unique architectural features, such as odontoblast processes within dentinal tubules and spatial compartmentalization between odontoblasts in dentin and sensory neurons in pulp, contribute to a distinctive sensory perception of external stimuli while acting as a defensive barrier for the dentin-pulp complex. Since dentin’s architecture governs its functions in nociception and repair in response to mechanical stimuli, understanding dentin mechanobiology is crucial for developing treatments for pain management in dentin-associated diseases and dentin-pulp regeneration. This review discusses how dentin’s physical features regulate mechano-sensing, focusing on mechano-sensitive ion channels. Additionally, we explore advanced in vitro platforms that mimic dentin’s physical features, providing deeper insights into fundamental mechanobiological phenomena and laying the groundwork for effective mechano-therapeutic strategies for dentinal diseases. Full article
(This article belongs to the Collection Feature Papers in Materials Science)
Show Figures

Figure 1

13 pages, 3804 KB  
Article
In Vivo Evaluation of Regenerative Osteogenic Potential Using a Human Demineralized Dentin Matrix for Dental Application
by Nessma Sultan and Soher Nagi Jayash
Dent. J. 2024, 12(3), 76; https://doi.org/10.3390/dj12030076 - 18 Mar 2024
Cited by 8 | Viewed by 2500
Abstract
Background: The use of a demineralized dentin matrix (DDM) has garnered substantial importance in dentistry. This study was carried out to evaluate the osteoinductive performance of DDM in comparison to nano-hydroxyapatite (n-HA) on calvarial critical-sized bone defect. Methods: Two critical-sized defects (CSDs) were [...] Read more.
Background: The use of a demineralized dentin matrix (DDM) has garnered substantial importance in dentistry. This study was carried out to evaluate the osteoinductive performance of DDM in comparison to nano-hydroxyapatite (n-HA) on calvarial critical-sized bone defect. Methods: Two critical-sized defects (CSDs) were bilaterally trephined in the calvarium of sixteen healthy white rabbits. The rabbits were categorized into four groups: in group 1, the defect was left empty; in group 2, defects were filled with sodium alginate (SA) hydrogel as a sole material; in group 3, defects were treated with nano-hydroxyapatite hydrogel (NHH); in group 4, defects were treated using demineralized dentin matrix hydrogel (DDMH). Histological and immunohistochemical analyses were carried out to evaluate the total areas of newly formed bone. Results: The DDMH group showed that new woven bone tissue progressively bridged the defect area while there was no bone in the control group. Collagen expression was significantly different in the DDMH- and NHH-treated groups compared to in the SA group at 4 and 8 weeks (p < 0.01). OCN expression was significantly higher in the DDMH group in comparison to in the NHH or SA groups at 8 weeks (p < 0.01). Conclusions: The DDMH group exhibited significantly higher levels of new bone formation compared to the NHH group at both 4 and 8 weeks post-surgically. Full article
(This article belongs to the Special Issue Regenerative Approaches in Dental Sciences)
Show Figures

Figure 1

13 pages, 1740 KB  
Article
Dynamics of CSBD Healing after Implementation of Dentin and Xenogeneic Bone Biomaterial
by Olga Cvijanović Peloza, Ana Terezija Jerbić Radetić, Mirjana Baričić, Luka Bukovac and Sanja Zoričić Cvek
Materials 2023, 16(4), 1600; https://doi.org/10.3390/ma16041600 - 14 Feb 2023
Cited by 2 | Viewed by 1970
Abstract
Autologous dentin is frequently used in guided bone regeneration due to its osteoinductive properties, which come from its similarity to native bone. On the other hand, the xenogeneic bone biomaterial Cerabone® serves as a biocompatible, but hardly resorbed biomaterial. During bone healing, [...] Read more.
Autologous dentin is frequently used in guided bone regeneration due to its osteoinductive properties, which come from its similarity to native bone. On the other hand, the xenogeneic bone biomaterial Cerabone® serves as a biocompatible, but hardly resorbed biomaterial. During bone healing, an inflammatory, vascular, and osteogenic response occurs in which cytokines such as tumor necrosis factor-alpha (TNF-α), vascular endothelial growth factor (VEGF), and osteopontin (OPN) are released locally and systemically. The aim was to follow up the dynamics (on days 3, 7, 15, 21, and 30) of critical-sized bone defect (CSBD) healing after the implantation of bovine devitalized dentin, rat dentin, and xenogeneic bone biomaterial. For this purpose, histological and histomorphometric methods were employed. Additionally, serum concentrations of TNF-α, VEGF, and OPN were monitored in parallel to better understand the biomaterial-dependent systemic response in rats. At the last time interval, the results showed that the bone defect was bridged over in all three groups of biomaterials. The rat dentin group had the highest percentage of bone volume (BV/TV) and the least percentage of residual biomaterial (RB), which makes it the most optimal biomaterial for bone regeneration. Serum concentrations of the TNF-α, VEGF, and OPN refer to systemic response, which could be linked to intense bone remodeling between days 15 and 21 of the bone healing. Full article
(This article belongs to the Special Issue Advanced Biomaterials for Bone and Tooth Regeneration)
Show Figures

Figure 1

7 pages, 1264 KB  
Case Report
Direct Pulp Capping with Advanced Platelet-Rich Fibrin: A Report of Two Cases
by Janet N. Kirilova and Dimitar Kosturkov
Medicina 2023, 59(2), 225; https://doi.org/10.3390/medicina59020225 - 26 Jan 2023
Cited by 5 | Viewed by 4464
Abstract
This article aims to prove dentin bridge formation in two cases after direct pulp capping in reversible pulpitis using the platelet concentrate A-PRF+ and preservation of the vitality of the dental pulp. The hemostasis process for the pulp wound and cavity disinfection with [...] Read more.
This article aims to prove dentin bridge formation in two cases after direct pulp capping in reversible pulpitis using the platelet concentrate A-PRF+ and preservation of the vitality of the dental pulp. The hemostasis process for the pulp wound and cavity disinfection with gaseous ozone was performed under anesthesia. A large A-PRF+ membrane was prepared from blood plasma and applied to the pulp wound. After placing an MTA, the cavity was closed using glass-ionomer cement. Clinical and cone beam computed tomography findings demonstrated the formation of a dentin bridge in both cases. After the definitive restoration was conducted during the sixth month, the teeth from both patients were asymptomatic and had normal electric pulp testing values. Conclusions: Via clinical and CBCT examinations, we observed the dentin bridge formation after placing the platelet concentrate A-PRF+ in both cases. The vitality of the dental pulp was preserved. Further research is needed to refine the clinical protocol, recommended period for control examination, clarification of the precise indications of platelet concentrates, etc. Full article
(This article belongs to the Special Issue Advances in Interdisciplinary Research in Medicine and Dentistry)
Show Figures

Figure 1

27 pages, 19941 KB  
Article
Analysis of Stress and Displacement Fields in Prosthetic Crowns Made of Zirconium Dioxide Using Numerical Approach of Homogenization Hypothesis
by Michał Dzięgielewski, Kinga Regulska, Ryszard Korycki and Leszek Klimek
Materials 2022, 15(21), 7716; https://doi.org/10.3390/ma15217716 - 2 Nov 2022
Viewed by 1383
Abstract
The main goal of this paper is to analyze the stress and displacement fields in prosthetic crowns made of zirconium dioxide using the numerical approach of homogenization hypothesis. The simple engineering model is developed and applied in case of vertical forces. The model [...] Read more.
The main goal of this paper is to analyze the stress and displacement fields in prosthetic crowns made of zirconium dioxide using the numerical approach of homogenization hypothesis. The simple engineering model is developed and applied in case of vertical forces. The model is a three-dimensional simulation of molars subjected to crushing, mastication, and clenching. Two basic approaches are considered: the single prosthetic crown on a single molar, and the prosthetic bridge on two molars. The distributions of material parameters are determined for the rigid support and the elastic gum structure of the homogenized properties. The crown on a single molar is analyzed in respect of caries, which are represented by weak material parameters. Irrespective of the problem, the maximal stresses are always insignificant compared to the compressive strength for enamel, dentin, periodontium, and zirconium dioxide. In case of caries, the maximal stresses are located at the contact surface caries/crown, whereas the displacement was higher than the same parameter without caries. The stresses inside the prosthetic bridge on two molars were comparable for elastic and rigid support, and located at the same areas. The molar displacement for elastic gum was higher than for the rigid base, and additionally supplemented by the displacement of the supporting structure. Full article
Show Figures

Figure 1

14 pages, 4579 KB  
Article
Nanoindentation and Atomic Force Microscopy Derived Mechanical and Microgeometrical Properties of Tooth Root Cementum
by Evgeniy Sadyrin, Vasilina Lapitskaya, Tatyana Kuznetsova, Diana Yogina, Stanislav Maksyukov and Sergei Aizikovich
Micro 2022, 2(4), 575-588; https://doi.org/10.3390/micro2040038 - 9 Oct 2022
Cited by 6 | Viewed by 4334
Abstract
In the present research, nanoindentation, atomic-force microscopy and optical microscopy were used to study the mechanical and microgeometrical parameters of tooth tissues. A nanoindentation test unit equipped with Berkovich indenter was used to determine the values of the reduced Young’s modulus and indentation [...] Read more.
In the present research, nanoindentation, atomic-force microscopy and optical microscopy were used to study the mechanical and microgeometrical parameters of tooth tissues. A nanoindentation test unit equipped with Berkovich indenter was used to determine the values of the reduced Young’s modulus and indentation hardness and both nanoindentation and atomic force microscopy using a diamond probe on a silicon cantilever were used to study microgeometrical parameters of human tooth root cementum. Three areas of cementum were studied: the cervical region near the dentine–enamel junction, the second third of the tooth root, and the apex of the tooth root. The interpretation of the results was carried out using the Oliver–Pharr method. It was established, that the mechanical properties of cementum increase from the cervical region to the central part of the root, then decrease again towards the apex of the tooth root. On the contrary, the microgeometrical characteristics of cementum practically do not demonstrate any change in the same direction. A decrease in the roughness parameters in the direction from cellular cementum to dentine was observed. Additionally, a decrease in the reduced Young’s modulus and indentation hardness of dentine in the cervical area compared to dentine in the crown part of the tooth was found using nanoindentation. The investigation of the dentine–cementum junction with high resolution revealed the interspaced collagen fiber bridges and epithelial rests of Malassez, whose sizes were studied. The parameters of the topographic features of the cementum in the vicinity of the lacunae of cementocytes were also established. Full article
(This article belongs to the Section Microscale Biology and Medicines)
Show Figures

Figure 1

12 pages, 4043 KB  
Case Report
Immediate Tooth Autotransplantation with Root Canal Filling and Partially Demineralized Dentin/Cementum Matrix into Congenital Missing Tooth Region
by Masaru Murata, Yasuhiro Nakanishi, Kaoru Kusano, Yukito Hirose, Junichi Tazaki, Toshiyuki Akazawa and Itaru Mizoguchi
J. Funct. Biomater. 2022, 13(2), 82; https://doi.org/10.3390/jfb13020082 - 16 Jun 2022
Cited by 8 | Viewed by 5557
Abstract
This clinical report describes immediate tooth auto-transplantation with an autograft of partially demineralized dentin/cementum matrix (pDDM), based on an orthodontic treatment plan for a 16-year-old male patient with a congenital missing tooth (#45). First, vital teeth (#14, #24) were extracted, and root canal [...] Read more.
This clinical report describes immediate tooth auto-transplantation with an autograft of partially demineralized dentin/cementum matrix (pDDM), based on an orthodontic treatment plan for a 16-year-old male patient with a congenital missing tooth (#45). First, vital teeth (#14, #24) were extracted, and root canal filling (#14) was immediately performed with the support of a fixation device. Simultaneously, the tooth (#24) was crushed in an electric mill for 1 min, and the crushed granules were partially demineralized in 2% HNO3 solution for 20 min as the graft material. Next, the donor tooth was transplanted into the created socket (#45), and stabilized using an enamel bonding agent. The wet pDDM was loaded into the location of the congenital missing tooth, and the flap was repositioned. The bonding agent for stabilization was removed at 28 days, and also small contact points between the transplanted tooth and the upper premolar (#14) were added using photopolymerizable composite resin. X-ray photos were taken sequentially, and there were no postoperative complications. The radiographic images showed that the periodontal ligament space and alveolar ridge line could be observed at 18 months. The pDDM was harmonized with the mandible, and the remodeled bone-like shadow was observed in the graft region. We concluded that immediate tooth transplantation with root canal fillings and autogenous pDDM may be a valuable alternative to dental implanting or bridge formation for patients with a congenital missing tooth, followed by orthodontic treatment. Full article
(This article belongs to the Special Issue Application of Dentin Matrix in Tissue Regeneration)
Show Figures

Figure 1

13 pages, 2054 KB  
Article
Calcium Phosphate Cement Promotes Odontoblastic Differentiation of Dental Pulp Cells In Vitro and In Vivo
by Haiyan Huang, Linjuan Luo, Lefeng Li, Yun Guan, Yanhong Yan, Zhen Jiang and Beizhan Jiang
Coatings 2022, 12(4), 543; https://doi.org/10.3390/coatings12040543 - 18 Apr 2022
Cited by 3 | Viewed by 3859
Abstract
In the case of pulp injury, odontoblastic differentiation of dental pulp cells (DPCs) at the site of the exposed pulp is necessary for a successful direct pulp capping treatment. Calcium phosphate cement (CPC), a kind of hydroxyapatite-like bone cement, exhibits therapeutic potential in [...] Read more.
In the case of pulp injury, odontoblastic differentiation of dental pulp cells (DPCs) at the site of the exposed pulp is necessary for a successful direct pulp capping treatment. Calcium phosphate cement (CPC), a kind of hydroxyapatite-like bone cement, exhibits therapeutic potential in osteogenesis by regulating cell cycle progression and promoting osteoblastic differentiation. Based on the similar biological process of osteo/odontoblastic differentiation, the present study evaluated the effects of CPC on odontoblastic differentiation of DPCs in vitro and in vivo, respectively. The morphology of CPC was observed by scanning electron microscopy. Colony-forming units were used to assess the antibacterial activity. The effects of CPC on cell proliferation and odontoblastic differentiation of human dental pulp cells (hDPCs) were also measured. Histological staining was performed to observe the reparative dentin formation in rat molars. In vitro, results of antibacterial studies showed that CPC significantly inhibited the growth of Streptococcus mutans. The appropriate concentration of CPC extract showed low cytotoxicity on hDPCs. Furthermore, CPC extract also promoted odontoblastic differentiation and mineralization compared with the control group, as shown by a dynamic increase in the expression of odontogenic marker genes and the increased number of mineralized nodules at 21 days. The pulpotomy models with CPC facilitated the formation of dentin bridge with the highly expressed dentin matrix protein 1 (DMP1) in odontoblast-like cells. In conclusion, the favorable biocompatibility, antibacterial property and bio-inductivity of CPC suggest that CPC can be used as a promising direct pulp capping material. Full article
(This article belongs to the Special Issue Antibacterial Coating in Biomedical Applications)
Show Figures

Figure 1

15 pages, 6597 KB  
Article
Chemical Properties of Human Dentin Blocks and Vertical Augmentation by Ultrasonically Demineralized Dentin Matrix Blocks on Scratched Skull without Periosteum of Adult-Aged Rats
by Bowen Zhu, Kenji Yokozeki, Md. Arafat Kabir, Masahiro Todoh, Toshiyuki Akazawa and Masaru Murata
Materials 2022, 15(1), 105; https://doi.org/10.3390/ma15010105 - 24 Dec 2021
Cited by 5 | Viewed by 3411
Abstract
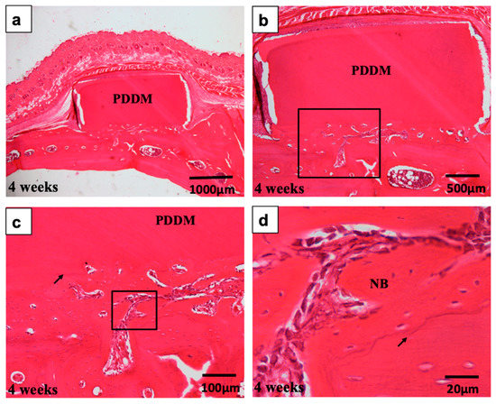
Vertical augmentation is one of the most challenging techniques in bone engineering. Several parameters, such mechano-chemical characteristics, are important to optimize vertical bone regeneration using biomaterials. The aims of this study were to chemically characterize human dentin blocks (calcified demineralized dentin matrix: CDM, [...] Read more.
Vertical augmentation is one of the most challenging techniques in bone engineering. Several parameters, such mechano-chemical characteristics, are important to optimize vertical bone regeneration using biomaterials. The aims of this study were to chemically characterize human dentin blocks (calcified demineralized dentin matrix: CDM, partially demineralized dentin matrix: PDDM and completely demineralized dentin matrix: CDDM) (2 × 2 × 1 mm3) chemically and evaluate the behavior of PDDM blocks on non-scratched or scratched skulls without periosteum of adult rats (10–12 months old, female) as a vertical augmentation model. The dissolved efficiency of CDM showed 32.3% after ultrasonic demineralization in 1.0 L of 2% HNO3 for 30 min. The 30 min-demineralized dentin was named PDDM. The SEM images of PDDM showed the opening of dentinal tubes, nano-microcracks and the smooth surface. In the collagenase digestion test, the weight-decreasing rates of CDM, PDDM and CDDM were 9.2%, 25.5% and 78.3% at 12 weeks, respectively. CDM inhibited the collagenase digestion, compared with PDDM and CDDM. In the PDDM onlay graft on an ultrasonically scratched skull, the bone marrow-space opening from original bone was found in the bony bridge formation between the human PDDM block and dense skull of adult senior rats at 4 and 8 weeks. On the other hand, in the cases of the marrow-space closing in both non-scratched skulls and scratched skulls, the bony bridge was not formed. The results indicated that the ultrasonic scratching into the compact parietal bone might contribute greatly to the marrow-space opening from skull and the supply of marrow cells, and then bony bridge formation could occur in the vertical augmentation model without a periosteum. Full article
(This article belongs to the Section Biomaterials)
Show Figures

Figure 1

14 pages, 2974 KB  
Article
Novel Bioactive Adhesive Monomer CMET Promotes Odontogenic Differentiation and Dentin Regeneration
by Youjing Qiu and Takashi Saito
Int. J. Mol. Sci. 2021, 22(23), 12728; https://doi.org/10.3390/ijms222312728 - 25 Nov 2021
Cited by 10 | Viewed by 3019
Abstract
This study aimed to evaluate the in vitro effect of the novel bioactive adhesive monomer CMET, a calcium salt of 4-methacryloxyethyl trimellitate acid (4-MET), on human dental pulp stem cells (hDPSCs) and its capacity to induce tertiary dentin formation in a rat pulp [...] Read more.
This study aimed to evaluate the in vitro effect of the novel bioactive adhesive monomer CMET, a calcium salt of 4-methacryloxyethyl trimellitate acid (4-MET), on human dental pulp stem cells (hDPSCs) and its capacity to induce tertiary dentin formation in a rat pulp injury model. Aqueous solutions of four tested materials [4-MET, CMET, Ca(OH)2, and mineral trioxide aggregate (MTA)] were added to the culture medium upon confluence, and solvent (dH2O) was used as a control. Cell proliferation was assessed using the Cell Counting Kit-8 assay, and cell differentiation was evaluated by real-time quantitative reverse transcription-polymerase chain reaction. The mineralization-inducing capacity was evaluated using alizarin red S staining and an alkaline phosphatase activity assay. For an in vivo experiment, a mechanical pulp exposure model was prepared on Wistar rats; damaged pulp was capped with Ca(OH)2 or CMET. Cavities were sealed with composite resin, and specimens were assessed after 14 and 28 days. The in vitro results showed that CMET exhibited the lowest cytotoxicity and highest odontogenic differentiation capacity among all tested materials. The favorable outcome on cell mineralization after treatment with CMET involved p38 and c-Jun N-terminal kinases signaling. The nuclear factor kappa B pathway was involved in the CMET-induced mRNA expression of odontogenic markers. Similar to Ca(OH)2, CMET produced a continuous hard tissue bridge at the pulp exposure site, but treatment with only CMET produced a regular dentinal tubule pattern. The findings suggest that (1) the evaluated novel bioactive adhesive monomer provides favorable biocompatibility and odontogenic induction capacity and that (2) CMET might be a very promising adjunctive for pulp-capping materials. Full article
Show Figures

Figure 1

Back to TopTop