Promoting Dentin Bridge Formation Through N-Acetyl-L-Cysteine Application in Rat Molar Pulpotomy: An Experimental Study
Abstract
1. Introduction
2. Materials and Methods
2.1. pH Measurement
2.2. Pulpotomy Procedures
2.3. Tissue Preparation and Histological and Immunohistological Staining
3. Results
3.1. pH Measurement Results
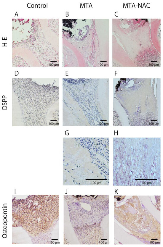
3.2. Histological Examination
3.2.1. Pulp Changes at Three Days Postpulpotomy
3.2.2. Pulp Changes at Seven Days Postpulpotomy
4. Discussion
4.1. Limitations
4.2. Prospects of Further Research
5. Conclusions
Author Contributions
Funding
Institutional Review Board Statement
Informed Consent Statement
Data Availability Statement
Conflicts of Interest
References
- Peres, M.A.; Macpherson, L.M.; Weyant, R.J.; Daly, B.; Venturelli, R.; Mathur, M.R.; Listl, S.; Celeste, R.K.; Guarnizo-Herreño, C.C.; Kearns, C.; et al. Oral diseases: A global public health challenge. Lancet 2019, 394, 249–260. [Google Scholar] [CrossRef] [PubMed]
- Pitts, N.B.; Baez, R.J.; Diaz-Guillory, C.; Donly, K.J.; Feldens, C.A.; McGrath, C.; Phantumvanit, P.; Seow, W.K.; Sharkov, N.; Songpaisan, Y.; et al. Early childhood caries: IAPD Bangkok declaration. J. Dent. Child. 2019, 86, 72. [Google Scholar]
- Santamaría, R.M.; Abudrya, M.H.; Gül, G.; Mourad, M.S.; Gomez, G.F.; Zandona, A.G.F. How to intervene in the caries process: Dentin Caries in primary teeth. Caries Res. 2020, 54, 306–323. [Google Scholar] [CrossRef] [PubMed]
- Smaïl-Faugeron, V.; Courson, F.; Durieux, P.; Muller-Bolla, M.; Glenny, A.-M.; Chabouis, H.F. Pulp treatment for extensive decay in primary teeth. Cochrane Database Syst. Rev. 2018, 5, CD003220. [Google Scholar] [CrossRef]
- Coll, J.A.; Seale, N.S.; Vargas, K.; Marghalani, A.A.; Al Shamali, S.; Graham, L. Primary tooth vital pulp therapy: A systematic review and meta-analysis. Pediatr. Dent. 2017, 39, 16–123. [Google Scholar]
- Chen, Y.; Chen, X.; Zhang, Y.; Zhou, F.; Deng, J.; Zou, J.; Wang, Y. Materials for pulpotomy in immature permanent teeth: A systematic review and meta-analysis. BMC Oral Health 2019, 19, 227. [Google Scholar] [CrossRef]
- Pedano, M.S.; Li, X.; Yoshihara, K.; Van Landuyt, K.; Van Meerbeek, B. Cytotoxicity and bioactivity of dental pulp-capping agents towards human tooth-pulp cells: A systematic review of in-vitro studies and meta-analysis of randomized and controlled clinical trials. Materials 2020, 13, 2670. [Google Scholar] [CrossRef]
- Fridland, M.; Rosado, R. Mineral trioxide aggregate (MTA) solubility and porosity with different water-to-powder ratios. J. Endod. 2003, 29, 814–817. [Google Scholar] [CrossRef]
- Okabe, T.; Sakamoto, M.; Takeuchi, H.; Matsushima, K. Effects of pH on mineralization ability of human dental pulp cells. J. Endod. 2006, 32, 198–201. [Google Scholar] [CrossRef]
- Faraco, I.M., Jr.; Holland, R. Response of the pulp of dogs to capping with mineral trioxide aggregate or a calcium hydroxide cement. Dent. Traumatol. 2001, 17, 163–166. [Google Scholar]
- Farsi, N.; Alamoudi, N.; Balto, K.; Al Mushayt, A. Clinical assessment of mineral trioxide aggregate (MTA) as direct pulp capping in young permanent teeth. J. Clin. Pediatr. Dent. 2006, 31, 72–76. [Google Scholar] [CrossRef] [PubMed]
- Miles, J.P.; Gluskin, A.H.; Chambers, D.; Peters, O.A.; Miles, A.H.G.J.P. Pulp capping with mineral trioxide aggregate (MTA): A retrospective analysis of carious pulp exposures treated by undergraduate dental students. Oper. Dent. 2010, 35, 20–28. [Google Scholar] [CrossRef] [PubMed]
- Gomez-Sosa, J.F.; Granone-Ricella, M.; Rosciano-Alvarez, M.; Barrios-Rodriguez, V.D.; Goncalves-Pereira, J.; Caviedes-Bucheli, J. Determining Factors in the Success of Direct Pulp Capping: A Systematic Review. J. Contemp. Dent. Pract. 2024, 25, 392–401. [Google Scholar] [CrossRef] [PubMed]
- Silva, E.J.N.L.; Pinto, K.P.; Riche, F.N.S.J.; Carestiato, M.G.H.; Martins, J.N.R.; Duncan, H.F.; Versiani, M.A.; De-Deus, G. A meta-analysis of calcium silicate-based cements and calcium hydroxide as promoters of hard tissue bridge formation. Int. Endod. J. 2025. online ahead of print. [Google Scholar] [CrossRef]
- Raghu, G.; Berk, M.; Campochiaro, P.A.; Jaeschke, H.; Marenzi, G.; Richeldi, L.; Wen, F.-Q.; Nicoletti, F.; Calverley, P.M.A. The multifaceted therapeutic role of n-acetylcysteine (NAC) in disorders characterized by oxidative stress. Curr. Neuropharmacol. 2021, 19, 1202–1224. [Google Scholar] [CrossRef]
- Moon, J.-H.; Jang, E.-Y.; Shim, K.S.; Lee, J.-Y. In vitro effects of N-acetyl cysteine alone and in combination with antibiotics on Prevotella intermedia. J. Microbiol. 2015, 53, 321–329. [Google Scholar] [CrossRef]
- Amaral, E.P.; Conceição, E.L.; Costa, D.L.; Rocha, M.S.; Marinho, J.M.; Cordeiro-Santos, M.; D’império-Lima, M.R.; Barbosa, T.; Sher, A.; Andrade, B.B. N-acetyl-cysteine exhibits potent anti-mycobacterial activity in addition to its known anti-oxidative functions. BMC Microbiol. 2016, 16, 251. [Google Scholar] [CrossRef]
- Karapinar, S.P.; Ulum, Y.Z.A.; Ozcelik, B.; Buzoglu, H.D.; Ceyhan, D.; Peynircioglu, B.B.; Aksoy, Y. The effect of N-acetylcysteine and calcium hydroxide on TNF-α and TGF-β1 in lipopolysaccharide-activated macrophages. Arch Oral Biol. 2016, 68, 48–54. [Google Scholar]
- American Academy of Pediatric Dentistry. Pulp therapy for primary and immature permanent teeth. In The Reference Manual of Pediatric Dentistry; American Academy of Pediatric Dentistry: Chicago, IL, USA, 2024; pp. 466–474. [Google Scholar]
- Donnelly, A.; Foschi, F.; McCabe, P.; Duncan, H.F. Pulpotomy for treatment of complicated crown fractures in permanent teeth: A sys-tematic review. Int. Endod. J. 2022, 55, 290–311. [Google Scholar]
- Gadallah, L.K.; Elbardissy, A.; Elyazeed, M.A.; Alsamad, A.A.; Hamdy, M. Pulpotomy versus pulpectomy in carious vital pulp exposure in primary incisors: A randomized controlled trial. BMC Oral Health 2024, 24, 354. [Google Scholar] [CrossRef]
- Igna, A. Vital pulp therapy in primary dentition: Pulpotomy—A 100-year challenge. Children 2021, 8, 841. [Google Scholar] [CrossRef]
- Godhi, B.; Tyagi, R. Success rate of MTA pulpotomy on vital pulp of primary molars: A 3-year observational study. Int. J. Clin. Pediatr. Dent. 2016, 9, 222–227. [Google Scholar] [PubMed]
- Costa, C.A.d.S.; Duarte, P.T.; de Souza, P.P.C.; Giro, E.M.A.; Hebling, J. Cytotoxic effects and pulpal response caused by a mineral trioxide aggregate formulation and calcium hydroxide. Am. J. Dent. 2008, 21, 255–261. [Google Scholar]
- Torabinejad, M.; Parirokh, M. Mineral trioxide aggregate: A comprehensive literature review—Part II: Leakage and biocompatibility investigations. J. Endod. 2010, 36, 190–202. [Google Scholar] [CrossRef] [PubMed]
- Dammaschke, T.; Gerth, H.U.; Züchner, H.; Schäfer, E. Chemical and physical surface and bulk material characterization of white ProRoot MTA and two Portland cements. Dent. Mater. 2005, 21, 731–738. [Google Scholar] [CrossRef]
- Tomson, P.L.; Grover, L.M.; Lumley, P.J.; Sloan, A.J.; Smith, A.J.; Cooper, P.R. Dissolution of bio-active dentine matrix components by mineral trioxide aggregate. J. Dent. 2007, 35, 636–642. [Google Scholar]
- Azueta-Aguayo, P.H.; Chuc-Gamboa, M.G.; Aguilar-Pérez, F.J.; Aguilar-Ayala, F.J.; Rodas-Junco, B.A.; Vargas-Coronado, R.F.; Cauich-Rodríguez, J.V. Effects of Neutralization on the Physicochemical, Mechanical, and Biological Properties of Ammonium-Hydroxide-Crosslinked Chitosan Scaffolds. Int. J. Mol. Sci. 2022, 26, 14822. [Google Scholar] [CrossRef]
- Nakamura, K.; Minamikawa, H.; Takahashi, S.; Yoshimura, Y.; Yawaka, Y. N-acetylcysteine attenuates PGE2 and ROS production stimulated by 4-META/MMA-based resin in murine osteoblastic cells. Dent. Mater. J. 2021, 40, 808–812. [Google Scholar] [CrossRef]
- Tziafas, D.; Kodonas, K. Differentiation potential of dental papilla, dental pulp, and apical papilla progenitor cells. J. Endod. 2010, 36, 781–789. [Google Scholar] [CrossRef]
- Bakopoulou, A.; Leyhausen, G.; Volk, J.; Tsiftsoglou, A.; Garefis, P.; Koidis, P.; Geurtsen, W. Comparative analysis of in vitro osteo/odontogenic differentiation potential of human dental pulp stem cells (DPSCs) and stem cells from the apical papilla (SCAP). Arch. Oral Biol. 2011, 56, 709–721. [Google Scholar] [CrossRef]
- Suzuki, S.; Sreenath, T.; Haruyama, N.; Honeycutt, C.; Terse, A.; Cho, A.; Kohler, T.; Müller, R.; Goldberg, M.; Kulkarni, A.B. Dentin sialoprotein and dentin phosphoprotein have distinct roles in dentin mineralization. Matrix Biol. 2009, 28, 221–229. [Google Scholar] [CrossRef]
- Ram, D.; Holan, G. Partial pulpotomy in a traumatized primary incisor with pulp exposure: Case report. Pediatr. Dent. 1994, 16, 44–48. [Google Scholar] [PubMed]
- Mejàre, I.; Cvek, M. Partial pulpotomy in young permanent teeth with deep carious lesions. Dent. Traumatol. 1993, 9, 238–242. [Google Scholar] [CrossRef]
- Saito, K.; Nakatomi, M.; Ida-Yonemochi, H.; Kenmotsu, S.-I.; Ohshima, H. The expression of GM-CSF and osteopontin in immunocompetent cells precedes the odontoblast differentiation following allogenic tooth transplantation in mice. J. Histochem. Cytochem. 2011, 59, 518–529. [Google Scholar] [CrossRef] [PubMed]
- Saito, K.; Nakatomi, M.; Ida-Yonemochi, H.; Ohshima, H. Osteopontin is essential for type I collagen secretion in reparative dentin. J. Dent. Res. 2016, 95, 1034–1041. [Google Scholar] [CrossRef]
- Fong, C.D.; Davis, M.J. Partial pulpotomy for immature permanent teeth, its present and future. Pediatr. Dent. 2002, 24, 29–32. [Google Scholar]
- Cai, S.; Zhang, W.; Tribble, G.; Chen, W. Reactions of human dental pulp cells to capping agents in the presence or absence of bacterial exposure. J. Oral Sci. 2017, 59, 621–627. [Google Scholar] [CrossRef]



| Materials | Composition | Manufacturer |
|---|---|---|
| Mielle (MTA cement) | Calcium silicate, calcium aluminate, zirconium oxide, silicon dioxide | YAMAKIN, Kochi, Japan |
| Superbond C&B | Powder: PMMA Liquid: MMA, 4-META | Sun Medical |
| Group | Pulp Capping Material |
|---|---|
| Control | Superbond C&B |
| MTA | Mielle (0.12 g of powder and 0.03 g of purified water) |
| MTA-NAC | Mielle (0.12 g of powder and 0.03 g of purified water) mixed with NAC (50 mg) |
Disclaimer/Publisher’s Note: The statements, opinions and data contained in all publications are solely those of the individual author(s) and contributor(s) and not of MDPI and/or the editor(s). MDPI and/or the editor(s) disclaim responsibility for any injury to people or property resulting from any ideas, methods, instructions or products referred to in the content. |
© 2025 by the authors. Licensee MDPI, Basel, Switzerland. This article is an open access article distributed under the terms and conditions of the Creative Commons Attribution (CC BY) license (https://creativecommons.org/licenses/by/4.0/).
Share and Cite
Takagi, K.; Nakamura, K.; Yoshimura, Y.; Yawaka, Y. Promoting Dentin Bridge Formation Through N-Acetyl-L-Cysteine Application in Rat Molar Pulpotomy: An Experimental Study. J. Funct. Biomater. 2025, 16, 117. https://doi.org/10.3390/jfb16040117
Takagi K, Nakamura K, Yoshimura Y, Yawaka Y. Promoting Dentin Bridge Formation Through N-Acetyl-L-Cysteine Application in Rat Molar Pulpotomy: An Experimental Study. Journal of Functional Biomaterials. 2025; 16(4):117. https://doi.org/10.3390/jfb16040117
Chicago/Turabian StyleTakagi, Kota, Koichi Nakamura, Yoshitaka Yoshimura, and Yasutaka Yawaka. 2025. "Promoting Dentin Bridge Formation Through N-Acetyl-L-Cysteine Application in Rat Molar Pulpotomy: An Experimental Study" Journal of Functional Biomaterials 16, no. 4: 117. https://doi.org/10.3390/jfb16040117
APA StyleTakagi, K., Nakamura, K., Yoshimura, Y., & Yawaka, Y. (2025). Promoting Dentin Bridge Formation Through N-Acetyl-L-Cysteine Application in Rat Molar Pulpotomy: An Experimental Study. Journal of Functional Biomaterials, 16(4), 117. https://doi.org/10.3390/jfb16040117
