Sign in to use this feature.

Years

Between: -

Subjects

remove_circle_outline
remove_circle_outline
remove_circle_outline
remove_circle_outline
remove_circle_outline

Journals

Article Types

Countries / Regions

Search Results (25)

Search Parameters:
Keywords = cyclic polypeptides

Order results
Result details
Results per page
Select all
Export citation of selected articles as:
29 pages, 1484 KB  
Review
Adenylyl Cyclases as Therapeutic Targets in Neuroregeneration
by Julia Tomczak, Agnieszka Kapsa and Tomasz Boczek
Int. J. Mol. Sci. 2025, 26(13), 6081; https://doi.org/10.3390/ijms26136081 - 25 Jun 2025
Cited by 2 | Viewed by 4529
Abstract
Adenylyl cyclases (ACs) are key regulators of cyclic adenosine monophosphate (cAMP) signaling—a pathway critical for neuroregeneration, synaptic plasticity, and neuronal survival. In both the central and peripheral nervous systems, injury-induced activation of ACs promotes axonal outgrowth and functional recovery through the stimulation of [...] Read more.
Adenylyl cyclases (ACs) are key regulators of cyclic adenosine monophosphate (cAMP) signaling—a pathway critical for neuroregeneration, synaptic plasticity, and neuronal survival. In both the central and peripheral nervous systems, injury-induced activation of ACs promotes axonal outgrowth and functional recovery through the stimulation of protein kinase A (PKA), exchange proteins directly activated by cAMP (Epac), and cAMP-response element-binding protein (CREB). Among the various AC isoforms, calcium-sensitive AC1, AC8, and AC5, as well as bicarbonate-responsive soluble AC (sAC), have emerged as crucial mediators of neuroplasticity and axon regeneration. These isoforms coordinate diverse cellular responses—including gene transcription, cytoskeletal remodeling, and neurotransmitter release—to metabolic, synaptic, and injury-related signals. Dysregulation of AC activity has been implicated in the pathophysiology of neurodegenerative diseases such as Parkinson’s disease, Alzheimer’s disease, and amyotrophic lateral sclerosis, as well as in chronic pain syndromes. Pharmacological modulation of cAMP levels through AC activation, phosphodiesterase (PDE) inhibition, or pituitary adenylyl cyclase-activating polypeptide (PACAP) receptor signaling has shown therapeutic promise in preclinical models by enhancing neurogenesis, remyelination, and synaptic repair. Conversely, targeted inhibition of specific AC isoforms, particularly AC1, has demonstrated efficacy in reducing maladaptive plasticity and neuropathic pain. This review highlights the diverse roles of ACs in neuronal function and injury response and discusses emerging strategies for their therapeutic targeting. Full article
(This article belongs to the Special Issue Latest Review Papers in Molecular Neurobiology 2025)
Show Figures

Figure 1

12 pages, 5103 KB  
Review
Recent Advances in Peptide Inhibitors Targeting Wild-Type Ras Protein Interactions in Cancer Therapy
by Weirong Qin, Zijian Liu, Mingyu Huang, Lin Liang, Yuxin Gan, Zubei Huang, Jin Huang and Xiangzan Wei
Int. J. Mol. Sci. 2025, 26(4), 1425; https://doi.org/10.3390/ijms26041425 - 8 Feb 2025
Cited by 2 | Viewed by 2489
Abstract
Ras proteins are pivotal in the regulation of cell proliferation signals, and their dysregulation is intricately linked to the pathogenesis of various malignancies. Peptide inhibitors hold distinct advantages in targeting Ras proteins, attributable to their extensive binding domains, which result from the smooth [...] Read more.
Ras proteins are pivotal in the regulation of cell proliferation signals, and their dysregulation is intricately linked to the pathogenesis of various malignancies. Peptide inhibitors hold distinct advantages in targeting Ras proteins, attributable to their extensive binding domains, which result from the smooth surfaces of the proteins. The array of specific strategies includes the employment of full hydrocarbon chains, cyclic peptides, linear peptides, and N-terminal nucleation polypeptides. These methods effectively suppress the Ras signaling pathway through distinct mechanisms, highlighting their potential as anti-neoplastic agents. Moreover, cutting-edge methodologies, including the N-terminal aspartate nucleation strategy and the utilization of hydrocarbon-stapled peptides, are transforming the landscape of therapeutics aimed at Ras proteins. These innovations highlight the promise of peptide libraries and combinatorial chemistry in augmenting binding affinity, specificity, and cellular permeability, which are pivotal for the development of potent anti-cancer agents. The incorporation of dual therapeutic strategies, such as the synergy between peptide inhibitors and conventional chemotherapy or the use of radiotherapy enhancers, emerges as a compelling strategy to bolster the efficacy of cancer treatments targeting the Ras-MAPK pathway. Furthermore, recent studies have demonstrated that Ras-targeting stabilized peptides can amplify the radio-sensitivity of cancer cells, offering an innovative approach to enhance the efficacy of radiation therapy within cancer management. Full article
(This article belongs to the Special Issue Anti-cancer Effects of Natural Products)
Show Figures

Figure 1

26 pages, 4758 KB  
Review
Selenium Modification of Natural Products and Its Research Progress
by Kaixuan Cheng, Yang Sun, Bowen Liu, Jiajia Ming, Lulu Wang, Chenfeng Xu, Yuanyuan Xiao, Chi Zhang and Longchen Shang
Foods 2023, 12(20), 3773; https://doi.org/10.3390/foods12203773 - 13 Oct 2023
Cited by 20 | Viewed by 4945
Abstract
The selenization of natural products refers to the chemical modification method of artificially introducing selenium atoms into natural products to interact with the functional groups in the target molecule to form selenides. Nowadays, even though scientists in fields involving organic selenium compounds have [...] Read more.
The selenization of natural products refers to the chemical modification method of artificially introducing selenium atoms into natural products to interact with the functional groups in the target molecule to form selenides. Nowadays, even though scientists in fields involving organic selenium compounds have achieved numerous results due to their continuous investment, few comprehensive and systematic summaries relating to their research results can be found. The present paper summarizes the selenization modification methods of several kinds of important natural products, such as polysaccharides, proteins/polypeptides, polyphenols, lipids, and cyclic compounds, as well as the basic principles or mechanisms of the selenizing methods. On this basis, this paper explored the future development trend of the research field relating to selenized natural products, and it is hoped to provide some suggestions for directional selenization modification and the application of natural active ingredients. Full article
Show Figures

Figure 1

18 pages, 2955 KB  
Article
PTHrP Modulates the Proliferation and Osteogenic Differentiation of Craniofacial Fibrous Dysplasia-Derived BMSCs
by Lihang Shen, Yang He, Shuo Chen, Linhai He and Yi Zhang
Int. J. Mol. Sci. 2023, 24(8), 7616; https://doi.org/10.3390/ijms24087616 - 20 Apr 2023
Cited by 8 | Viewed by 3034
Abstract
Fibrous dysplasia (FD) is a skeletal stem cell disease caused by mutations in the guanine nucleotide-binding protein, alpha-stimulating activity polypeptide (GNAS) gene, which results in the abnormal accumulation of cyclic adenosine monophosphate (cAMP) and hyperactivation of downstream signaling pathways. Parathyroid hormone-related [...] Read more.
Fibrous dysplasia (FD) is a skeletal stem cell disease caused by mutations in the guanine nucleotide-binding protein, alpha-stimulating activity polypeptide (GNAS) gene, which results in the abnormal accumulation of cyclic adenosine monophosphate (cAMP) and hyperactivation of downstream signaling pathways. Parathyroid hormone-related protein (PTHrP) is secreted by the osteoblast lineage and is involved in various physiological and pathological activities of bone. However, the association between the abnormal expression of PTHrP and FD, as well as its underlying mechanism, remains unclear. In this study, we discovered that FD patient-derived bone marrow stromal cells (FD BMSCs) expressed significantly higher levels of PTHrP during osteogenic differentiation and exhibited greater proliferation capacity but impaired osteogenic ability compared to normal control patient-derived BMSCs (NC BMSCs). Continuous exogenous PTHrP exposure on the NC BMSCs promoted the FD phenotype in both in vitro and in vivo experiments. Through the PTHrP/cAMP/PKA axis, PTHrP could partially influence the proliferation and osteogenesis capacity of FD BMSCs via the overactivation of the Wnt/β-Catenin signaling pathway. Furthermore, PTHrP not only directly modulated cAMP/PKA/CREB transduction but was also demonstrated as a transcriptional target of CREB. This study provides novel insight into the possible pathogenesis involved in the FD phenotype and enhances the understanding of its molecular signaling pathways, offering theoretical evidence for the feasibility of potential therapeutic targets for FD. Full article
(This article belongs to the Section Molecular Biology)
Show Figures

Figure 1

20 pages, 7884 KB  
Article
Hippocampal Changes Elicited by Metabolic and Inflammatory Stressors following Prenatal Maternal Infection
by Sandra L. Rodriguez-Zas, Bruce R. Southey, Haley E. Rymut, Laurie A. Rund and Rodney W. Johnson
Genes 2023, 14(1), 77; https://doi.org/10.3390/genes14010077 - 26 Dec 2022
Cited by 9 | Viewed by 3339
Abstract
The hippocampus participates in spatial navigation and behavioral processes, displays molecular plasticity in response to environmental challenges, and can play a role in neuropsychiatric diseases. The combined effects of inflammatory prenatal and postnatal challenges can disrupt the hippocampal gene networks and regulatory mechanisms. [...] Read more.
The hippocampus participates in spatial navigation and behavioral processes, displays molecular plasticity in response to environmental challenges, and can play a role in neuropsychiatric diseases. The combined effects of inflammatory prenatal and postnatal challenges can disrupt the hippocampal gene networks and regulatory mechanisms. Using a proven pig model of viral maternal immune activation (MIA) matched to controls and an RNA-sequencing approach, the hippocampal transcriptome was profiled on two-month-old female and male offspring assigned to fasting, mimetic viral, or saline treatments. More than 2600 genes presented single or combined effects (FDR-adjusted p-value < 0.05) of MIA, postnatal stress, or sex. Biological processes and pathways encompassing messenger cyclic adenosine 3′,5′-monophosphate (cAMP) signaling were enriched with genes including gastric inhibitory polypeptide receptor (GIPR) predominantly over-expressed in the MIA-exposed fasting males relative to groups that differed in sex, prenatal or postnatal challenge. While this pattern was amplified in fasting offspring, the postnatal inflammatory challenge appeared to cancel out the effects of the prenatal challenge. The transcription factors C-terminal binding protein 2 (CTBP2), RE1 silencing transcription factor (REST), signal transducer and activator of transcription 1 (STAT1), and SUZ12 polycomb repressive complex 2 subunit were over-represented among the genes impacted by the prenatal and postnatal factors studied. Our results indicate that one environmental challenge can influence the effect of another challenge on the hippocampal transcriptome. These findings can assist in the identification of molecular targets to ameliorate the effects of pre-and post-natal stressors on hippocampal-associated physiology and behavior. Full article
(This article belongs to the Special Issue Genetic Basis of Stress-Related Neuropsychiatric Disorders)
Show Figures

Figure 1

22 pages, 4233 KB  
Article
Does Generic Cyclic Kinase Insert Domain of Receptor Tyrosine Kinase KIT Clone Its Native Homologue?
by Julie Ledoux and Luba Tchertanov
Int. J. Mol. Sci. 2022, 23(21), 12898; https://doi.org/10.3390/ijms232112898 - 25 Oct 2022
Cited by 2 | Viewed by 2261
Abstract
Receptor tyrosine kinases (RTKs) are modular membrane proteins possessing both well-folded and disordered domains acting together in ligand-induced activation and regulation of post-transduction processes that tightly couple extracellular and cytoplasmic events. They ensure the fine-turning control of signal transmission by signal transduction. Deregulation [...] Read more.
Receptor tyrosine kinases (RTKs) are modular membrane proteins possessing both well-folded and disordered domains acting together in ligand-induced activation and regulation of post-transduction processes that tightly couple extracellular and cytoplasmic events. They ensure the fine-turning control of signal transmission by signal transduction. Deregulation of RTK KIT, including overexpression and gain of function mutations, has been detected in several human cancers. In this paper, we analysed by in silico techniques the Kinase Insert Domain (KID), a key platform of KIT transduction processes, as a generic macrocycle (KIDGC), a cleaved isolated polypeptide (KIDC), and a natively fused TKD domain (KIDD). We assumed that these KID species have similar structural and dynamic characteristics indicating the intrinsically disordered nature of this domain. This finding means that both polypeptides, cyclic KIDGC and linear KIDC, are valid models of KID integrated into the RTK KIT and will be helpful for further computational and empirical studies of post-transduction KIT events. Full article
(This article belongs to the Special Issue Intrinsically Disordered Proteins (IDPs) 2.0)
Show Figures

Graphical abstract

71 pages, 885 KB  
Review
Cyclodextrin Inclusion Complexes with Antibiotics and Antibacterial Agents as Drug-Delivery Systems—A Pharmaceutical Perspective
by Dariusz Boczar and Katarzyna Michalska
Pharmaceutics 2022, 14(7), 1389; https://doi.org/10.3390/pharmaceutics14071389 - 30 Jun 2022
Cited by 84 | Viewed by 10991
Abstract
Cyclodextrins (CDs) are a family of cyclic oligosaccharides, consisting of a macrocyclic ring of glucose subunits linked by α-1,4 glycosidic bonds. The shape of CD molecules is similar to a truncated cone with a hydrophobic inner cavity and a hydrophilic surface, which allows [...] Read more.
Cyclodextrins (CDs) are a family of cyclic oligosaccharides, consisting of a macrocyclic ring of glucose subunits linked by α-1,4 glycosidic bonds. The shape of CD molecules is similar to a truncated cone with a hydrophobic inner cavity and a hydrophilic surface, which allows the formation of inclusion complexes with various molecules. This review article summarises over 200 reports published by the end of 2021 that discuss the complexation of CDs with antibiotics and antibacterial agents, including beta-lactams, tetracyclines, quinolones, macrolides, aminoglycosides, glycopeptides, polypeptides, nitroimidazoles, and oxazolidinones. The review focuses on drug-delivery applications such as improving solubility, modifying the drug-release profile, slowing down the degradation of the drug, improving biological membrane permeability, and enhancing antimicrobial activity. In addition to simple drug/CD combinations, ternary systems with additional auxiliary substances have been described, as well as more sophisticated drug-delivery systems including nanosponges, nanofibres, nanoparticles, microparticles, liposomes, hydrogels, and macromolecules. Depending on the desired properties of the drug product, an accelerated or prolonged dissolution profile can be achieved when combining CD with antibiotics or antimicrobial agents. Full article
(This article belongs to the Special Issue Cyclodextrins and Their Inclusion Complexes for Pharmaceutical Uses)
Show Figures

Graphical abstract

24 pages, 5586 KB  
Article
Folding and Intrinsic Disorder of the Receptor Tyrosine Kinase KIT Insert Domain Seen by Conventional Molecular Dynamics Simulations
by Julie Ledoux, Alain Trouvé and Luba Tchertanov
Int. J. Mol. Sci. 2021, 22(14), 7375; https://doi.org/10.3390/ijms22147375 - 9 Jul 2021
Cited by 7 | Viewed by 2942
Abstract
The kinase insert domain (KID) of RTK KIT is the key recruitment region for downstream signalling proteins. KID, studied by molecular dynamics simulations as a cleaved polypeptide and as a native domain fused to KIT, showed intrinsic disorder represented by a set of [...] Read more.
The kinase insert domain (KID) of RTK KIT is the key recruitment region for downstream signalling proteins. KID, studied by molecular dynamics simulations as a cleaved polypeptide and as a native domain fused to KIT, showed intrinsic disorder represented by a set of heterogeneous conformations. The accurate atomistic models showed that the helical fold of KID is mainly sequence dependent. However, the reduced fold of the native KID suggests that its folding is allosterically controlled by the kinase domain. The tertiary structure of KID represents a compact array of highly variable α- and 310-helices linked by flexible loops playing a principal role in the conformational diversity. The helically folded KID retains a collapsed globule-like shape due to non-covalent interactions associated in a ternary hydrophobic core. The free energy landscapes constructed from first principles—the size, the measure of the average distance between the conformations, the amount of helices and the solvent-accessible surface area—describe the KID disorder through a collection of minima (wells), providing a direct evaluation of conformational ensembles. We found that the cleaved KID simulated with restricted N- and C-ends better reproduces the native KID than the isolated polypeptide. We suggest that a cyclic, generic KID would be best suited for future studies of KID f post-transduction effects. Full article
(This article belongs to the Special Issue Structural, Functional and Folding Strategies of Oligomeric Proteins)
Show Figures

Graphical abstract

58 pages, 6771 KB  
Review
Natural Cyclopeptides as Anticancer Agents in the Last 20 Years
by Jia-Nan Zhang, Yi-Xuan Xia and Hong-Jie Zhang
Int. J. Mol. Sci. 2021, 22(8), 3973; https://doi.org/10.3390/ijms22083973 - 12 Apr 2021
Cited by 46 | Viewed by 8198
Abstract
Cyclopeptides or cyclic peptides are polypeptides formed by ring closing of terminal amino acids. A large number of natural cyclopeptides have been reported to be highly effective against different cancer cells, some of which are renowned for their clinical uses. Compared to linear [...] Read more.
Cyclopeptides or cyclic peptides are polypeptides formed by ring closing of terminal amino acids. A large number of natural cyclopeptides have been reported to be highly effective against different cancer cells, some of which are renowned for their clinical uses. Compared to linear peptides, cyclopeptides have absolute advantages of structural rigidity, biochemical stability, binding affinity as well as membrane permeability, which contribute greatly to their anticancer potency. Therefore, the discovery and development of natural cyclopeptides as anticancer agents remains attractive to academic researchers and pharmaceutical companies. Herein, we provide an overview of anticancer cyclopeptides that were discovered in the past 20 years. The present review mainly focuses on the anticancer efficacies, mechanisms of action and chemical structures of cyclopeptides with natural origins. Additionally, studies of the structure–activity relationship, total synthetic strategies as well as bioactivities of natural cyclopeptides are also included in this article. In conclusion, due to their characteristic structural features, natural cyclopeptides have great potential to be developed as anticancer agents. Indeed, they can also serve as excellent scaffolds for the synthesis of novel derivatives for combating cancerous pathologies. Full article
(This article belongs to the Special Issue Therapeutic Effects of Plant Based Bioactive Compounds on Cancer)
Show Figures

Graphical abstract

29 pages, 2323 KB  
Review
Recent Advances in Small Peptides of Marine Origin in Cancer Therapy
by Qi-Ting Zhang, Ze-Dong Liu, Ze Wang, Tao Wang, Nan Wang, Ning Wang, Bin Zhang and Yu-Fen Zhao
Mar. Drugs 2021, 19(2), 115; https://doi.org/10.3390/md19020115 - 19 Feb 2021
Cited by 63 | Viewed by 6549
Abstract
Cancer is one of the leading causes of death in the world, and antineoplastic drug research continues to be a major field in medicine development. The marine milieu has thousands of biological species that are a valuable source of novel functional proteins and [...] Read more.
Cancer is one of the leading causes of death in the world, and antineoplastic drug research continues to be a major field in medicine development. The marine milieu has thousands of biological species that are a valuable source of novel functional proteins and peptides, which have been used in the treatment of many diseases, including cancer. In contrast with proteins and polypeptides, small peptides (with a molecular weight of less than 1000 Da) have overwhelming advantages, such as preferential and fast absorption, which can decrease the burden on human gastrointestinal function. Besides, these peptides are only connected by a few peptide bonds, and their small molecular weight makes it easy to modify and synthesize them. Specifically, small peptides can deliver nutrients and drugs to cells and tissues in the body. These characteristics make them stand out in relation to targeted drug therapy. Nowadays, the anticancer mechanisms of the small marine peptides are still largely not well understood; however, several marine peptides have been applied in preclinical treatment. This paper highlights the anticancer linear and cyclic small peptides in marine resources and presents a review of peptides and the derivatives and their mechanisms. Full article
Show Figures

Figure 1

19 pages, 1307 KB  
Review
Understanding of Colistin Usage in Food Animals and Available Detection Techniques: A Review
by Harsh Kumar, Bing-Huei Chen, Kamil Kuca, Eugenie Nepovimova, Ankur Kaushal, Rupak Nagraik, Shashi Kant Bhatia, Daljeet Singh Dhanjal, Vinod Kumar, Anil Kumar, Navneet Kumar Upadhyay, Rachna Verma and Dinesh Kumar
Animals 2020, 10(10), 1892; https://doi.org/10.3390/ani10101892 - 16 Oct 2020
Cited by 47 | Viewed by 7953
Abstract
Progress in the medical profession is determined by the achievements and effectiveness of new antibiotics in the treatment of microbial infections. However, the development of multiple-drug resistance in numerous bacteria, especially Gram-negative bacteria, has limited the treatment options. Due to this resistance, the [...] Read more.
Progress in the medical profession is determined by the achievements and effectiveness of new antibiotics in the treatment of microbial infections. However, the development of multiple-drug resistance in numerous bacteria, especially Gram-negative bacteria, has limited the treatment options. Due to this resistance, the resurgence of cyclic polypeptide drugs like colistin remains the only option. The drug, colistin, is a well-known growth inhibitor of Gram-negative bacteria like Acinetobacter baumanni, Enterobacter cloacae, Klebsiella pneumoniae, and Pseudomonas aeruginosa. Technological advancements have uncovered the role of the mcr-1(mobilized colistin resistance) gene, which is responsible for the development of resistance in Gram-negative bacteria, which make them distinct from other bacteria without this gene. Additionally, food animals have been determined to be the reservoir for colistin resistance microbes, from which they spread to other hosts. Due to the adverse effects of colistin, many developed countries have prohibited its usage in animal foods, but developing countries are still using colistin in animal food production, thereby imposing a major risk to the public health. Therefore, there is a need for implementation of sustainable measures in livestock farms to prevent microbial infection. This review highlights the negative effects (increased resistance) of colistin consumption and emphasizes the different approaches used for detecting colistin in animal-based foods as well as the challenges associated with its detection. Full article
(This article belongs to the Collection Current Advances in Poultry Research)
Show Figures

Figure 1

19 pages, 5601 KB  
Article
Biosurfactants Induce Antimicrobial Peptide Production through the Activation of TmSpatzles in Tenebrio molitor
by Tariku Tesfaye Edosa, Yong Hun Jo, Maryam Keshavarz, In Seon Kim and Yeon Soo Han
Int. J. Mol. Sci. 2020, 21(17), 6090; https://doi.org/10.3390/ijms21176090 - 24 Aug 2020
Cited by 10 | Viewed by 3396
Abstract
Biosurfactant immunomodulatory activities in mammals, nematodes, and plants have been investigated. However, the immune activation property of biosurfactants in insects has not been reported. Therefore, here, we studied the defense response triggered by lipopeptides (fengycin and iturin A), glycolipids (rhamnolipid), and cyclic polypeptides [...] Read more.
Biosurfactant immunomodulatory activities in mammals, nematodes, and plants have been investigated. However, the immune activation property of biosurfactants in insects has not been reported. Therefore, here, we studied the defense response triggered by lipopeptides (fengycin and iturin A), glycolipids (rhamnolipid), and cyclic polypeptides (bacitracin) in the coleopteran insect, mealworm Tenebrio molitor. The in vitro antimicrobial activities against Gram-positive (Staphylococcus aureus) and Gram-negative (Escherichia coli) bacteria and fungi (Candida albicans) were assessed by mixing these pathogens with the hemolymph of biosurfactant-immune-activated larvae. E. coli growth was remarkably inhibited by this hemolymph. The antimicrobial peptide (AMP) induction results also revealed that all biosurfactants tested induced several AMPs, exclusively in hemocytes. The survivability analysis of T. molitor larvae challenged by E. coli (106 CFU/µL) at 24 h post biosurfactant-immune activation showed that fengycin, iturin A, and rhamnopid significantly increased survivability against E. coli. Biosurfactant-induced TmSpatzles activation was also monitored, and the results showed that TmSpz3 and TmSpz-like were upregulated in the hemocytes of iturin A-injected larvae, while TmSpz4 and TmSpz6 were upregulated in the fat bodies of the fengycin-, iturin A-, and rhamnolipid-injected larvae. Overall, these results suggest that lipopeptide and glycolipid biosurfactants induce the expression of AMPs in T. molitor via the activation of spätzle genes, thereby increasing the survivability of T. molitor against E. coli. Full article
(This article belongs to the Special Issue Host-Pathogen Interaction 2.0)
Show Figures

Graphical abstract

11 pages, 1373 KB  
Article
Identification and Characterization of pantocin wh-1, a Novel Cyclic Polypeptide Produced by Pantoea dispersa W18
by Tieshan Teng, Xianghui Li, Lei Zhang and Yanzhang Li
Molecules 2020, 25(3), 485; https://doi.org/10.3390/molecules25030485 - 23 Jan 2020
Cited by 8 | Viewed by 4616
Abstract
Pantoea dispersa W18, isolated from contaminated soil, was found to exert antimicrobial activity against Mycobacterium species, including Mycobacterium tuberculosis, an important human pathogen. Here, the anti-mycobacterial compound produced by Pantoea dispersa W18 was purified by a combination of hydrophobic interaction chromatography, cation [...] Read more.
Pantoea dispersa W18, isolated from contaminated soil, was found to exert antimicrobial activity against Mycobacterium species, including Mycobacterium tuberculosis, an important human pathogen. Here, the anti-mycobacterial compound produced by Pantoea dispersa W18 was purified by a combination of hydrophobic interaction chromatography, cation exchange chromatography, and reverse phase HPLC. Active compounds from Pantoea dispersa W18 were identified as a natural peptide named pantocin wh-1 with a 1927 Da molecular weight. The primary structure of this compound was detected by N-terminal amino acid sequencing. The amino acid sequence of pantocin wh-1 consisted of 16 amino acid residues with a cyclic structure. The pantocin wh-1 could be inactivated by protease K, but was heat stable and unaffected by pH (2–12). However, the activity was not completely inactivated by trypsin and pepsin. This is the first report of a cyclic polypeptide purified from a strain of Pantoea dispersa. Full article
(This article belongs to the Special Issue Antimicrobial Peptides: From Synthesis to Application)
Show Figures

Figure 1

28 pages, 5552 KB  
Article
Simplified Head-to-Tail Cyclic Polypeptides as Biomaterial-Associated Antimicrobials with Endotoxin Neutralizing and Anti-Inflammatory Capabilities
by Na Dong, Chensi Wang, Xinran Li, Yuming Guo and Xiaoli Li
Int. J. Mol. Sci. 2019, 20(23), 5904; https://doi.org/10.3390/ijms20235904 - 25 Nov 2019
Cited by 7 | Viewed by 4572
Abstract
The therapeutic application of antimicrobial peptides (AMPs), a potential type of peptide-based biomaterial, is impeded by their poor antimicrobial activity and potential cytotoxicity as a lack of understanding of their structure–activity relationships. In order to comprehensively enhance the antibacterial and clinical application potency [...] Read more.
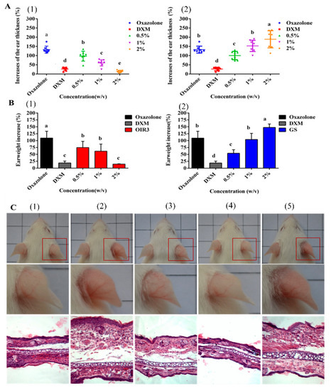
The therapeutic application of antimicrobial peptides (AMPs), a potential type of peptide-based biomaterial, is impeded by their poor antimicrobial activity and potential cytotoxicity as a lack of understanding of their structure–activity relationships. In order to comprehensively enhance the antibacterial and clinical application potency of AMPs, a rational approach was applied to design amphiphilic peptides, including head-to-tail cyclic, linear and D-proline antimicrobial peptides using the template (IR)nP(IR)nP (n = 1, 2 and 3). Results showed that these amphiphilic peptides demonstrated antimicrobial activity in a size-dependent manner and that cyclic peptide OIR3, which contained three repeating units (IR)3, had greater antimicrobial potency and cell selectivity than liner peptide IR3, DIR3 with D-Pro and gramicidin S (GS). Surface plasmon resonance and endotoxin neutralization assays indicated that OIR3 had significant endotoxin neutralization capabilities, which suggested that the effects of OIR3 were mediated by binding to lipopolysaccharides (LPS). Using fluorescence spectrometry and electron microscopy, we found that OIR3 strongly promoted membrane disruption and thereby induced cell lysis. In addition, an LPS-induced inflammation assay showed that OIR3 inhibited the pro-inflammatory factor TNF-α in RAW264.7 cells. OIR3 was able to reduce oxazolone-induced skin inflammation in allergic dermatitis mouse model via the inhibition of TNF-α, IL-1β and IL-6 mRNA expression. Collectively, the engineered head-to-tail cyclic peptide OIR3 was considerable potential candidate for use as a clinical therapeutic for the treatment of bacterial infections and skin inflammation. Full article
(This article belongs to the Section Molecular Pharmacology)
Show Figures

Figure 1

12 pages, 2164 KB  
Article
Cyclization of Single-Chain Fv Antibodies Markedly Suppressed Their Characteristic Aggregation Mediated by Inter-Chain VH-VL Interactions
by Soichiro Yamauchi, Yoshihiro Kobashigawa, Natsuki Fukuda, Manaka Teramoto, Yuya Toyota, Chenjiang Liu, Yuka Ikeguchi, Takashi Sato, Yuko Sato, Hiroshi Kimura, Takeshi Masuda, Sumio Ohtsuki, Kentaro Noi, Teru Ogura and Hiroshi Morioka
Molecules 2019, 24(14), 2620; https://doi.org/10.3390/molecules24142620 - 18 Jul 2019
Cited by 26 | Viewed by 8086
Abstract
Single-chain Fv (scFv) antibodies are recombinant proteins in which the variable regions of the heavy chain (VH) and light chain (VL) are connected by a short flexible polypeptide linker. ScFvs have the advantages of easy genetic manipulation and low-cost production using Escherichia coli [...] Read more.
Single-chain Fv (scFv) antibodies are recombinant proteins in which the variable regions of the heavy chain (VH) and light chain (VL) are connected by a short flexible polypeptide linker. ScFvs have the advantages of easy genetic manipulation and low-cost production using Escherichia coli compared with monoclonal antibodies, and are thus expected to be utilized as next-generation medical antibodies. However, the practical use of scFvs has been limited due to low homogeneity caused by their aggregation propensity mediated by inter-chain VH-VL interactions. Because the interactions between the VH and VL domains of antibodies are generally weak, individual scFvs are assumed to be in equilibrium between a closed state and an open state, in which the VH and VL domains are assembled and disassembled, respectively. This dynamic feature of scFvs triggers the formation of dimer, trimer, and larger aggregates caused by the inter-chain VH-VL interactions. To overcome this problem, the N-terminus and C-terminus were herein connected by sortase A-mediated ligation to produce a cyclic scFv. Open-closed dynamics and aggregation were markedly suppressed in the cyclic scFv, as judged from dynamic light scattering and high-speed atomic force microscopy analyses. Surface plasmon resonance and differential scanning fluorometry analysis revealed that neither the affinity for antigen nor the thermal stability was disrupted by the scFv cyclization. Generality was confirmed by applying the present method to several scFv proteins. Based on these results, cyclic scFvs are expected to be widely utilized in industrial and therapeutic applications. Full article
(This article belongs to the Special Issue Protein Domains: Structures and Molecular Functions)
Show Figures

Graphical abstract

Back to TopTop