Sign in to use this feature.

Years

Between: -

Subjects

remove_circle_outline
remove_circle_outline
remove_circle_outline
remove_circle_outline
remove_circle_outline

Journals

Article Types

Countries / Regions

Search Results (65)

Search Parameters:
Keywords = complete atrioventricular block

Order results
Result details
Results per page
Select all
Export citation of selected articles as:
40 pages, 2710 KB  
Review
Conventional Antiarrhythmics Class I–IV, Late INa Inhibitors, IKs Enhancers, RyR2 Stabilizers, Gap Junction Modulators, Atrial-Selective Antiarrhythmics, and Stable Gastric Pentadecapeptide BPC 157 as Useful Cytoprotective Therapy in Arrhythmias
by Predrag Sikiric, Ivan Barisic, Mario Udovicic, Martina Lovric Bencic, Diana Balenovic, Dean Strinic, Gordana Zivanovic Posilovic, Sandra Uzun, Hrvoje Vranes, Ivan Krezic, Marin Lozic, Vasilije Stambolija, Ivica Premuzic Mestrovic, Lidija Beketic Oreskovic, Ivana Oreskovic, Sanja Strbe, Suncana Sikiric, Laura Tomic, Mario Kordic, Ante Tvrdeic, Sven Seiwerth, Alenka Boban Blagaic and Anita Skrticadd Show full author list remove Hide full author list
Pharmaceuticals 2026, 19(2), 235; https://doi.org/10.3390/ph19020235 - 29 Jan 2026
Viewed by 175
Abstract
This review examines and hypothesizes cytoprotection as a conceptual therapeutic criterion for antiarrhythmic drugs, referring to the possibility of suppressing arrhythmias while avoiding adverse electrophysiological or systemic effects. Toward a theoretically complete cytoprotective profile—preserving benefits and eliminating toxicity—the criterion was the degree of [...] Read more.
This review examines and hypothesizes cytoprotection as a conceptual therapeutic criterion for antiarrhythmic drugs, referring to the possibility of suppressing arrhythmias while avoiding adverse electrophysiological or systemic effects. Toward a theoretically complete cytoprotective profile—preserving benefits and eliminating toxicity—the criterion was the degree of counteraction of arrhythmias (i.e., bradycardia, tachycardia, atrioventricular (AV) block, ventricular tachycardia (VT), ST-segment changes, prolonged P, PR, QRS, and QT/QTc intervals, and repolarization). Conventional and new antiarrhythmics share class I–IV ≈ partial cytoprotection/narrow range; late INa inhibitors, IKs enhancers, RyR2 stabilizers, gap junction modulators, and atrial-selective antiarrhythmics ≈ partial cytoprotection/more extended range. Still predominantly in preclinical models, stable gastric pentadecapeptide BPC 157, in the clinic, has not demonstrated adverse effects in available human trials (non-cardiac) to date. As a prominent cytoprotection mediator (LD1 not achieved in toxicology studies), it demonstrates well-matched cytoprotective–antiarrhythmic effects, BPC 157 ≈ full cytoprotection/wide-range homeostasis. In vivo, this was across models of hypo-/hyperkalemia, hypermagnesemia, ischemia–reperfusion, myocardial infarction, drug-induced arrhythmias (including local anesthetics), and vascular occlusion. BPC 157 restores sinus rhythm, normalizes P/QRS/QT intervals, prevents AV block, suppresses VT, attenuates ST-segment changes, and stabilizes heart rate, even when insults are advanced. In vitro, HEK293 studies confirm direct membrane-stabilizing actions: BPC 157 prevents hypokalemia-induced hyperpolarization, reduces hyperkalemia- and hypermagnesemia-induced depolarization, and mitigates local anesthetic-induced Na+/Ca2+ dysregulation, reflecting bidirectional homeostatic modulation of membrane potential. Thus, to confirm the hypothesis, these BPC 157 conditional, not constitutive effects, in rodent models or in vitro systems (HEK293 cells), mandate expansion of now limited clinical data and mechanisms in human investigated as a translational cytoprotective strategy for complex arrhythmias. Full article
(This article belongs to the Section Biopharmaceuticals)
14 pages, 1186 KB  
Article
Clinical Evaluation of Neonatal Arrhythmias: Experience from a Specialized Pediatric Cardiac Center
by Halise Zeynep Genc, Elnur Karimov, Seyma Yakut, Dilek Yavuzcan Ozturk, Demet Oguz, Merih Cetinkaya, Gulhan Tunca Sahin and Erkut Ozturk
J. Cardiovasc. Dev. Dis. 2026, 13(2), 65; https://doi.org/10.3390/jcdd13020065 - 27 Jan 2026
Viewed by 162
Abstract
Neonatal arrhythmias, though relatively uncommon, can range from benign self-limiting conditions to life-threatening disorders requiring intensive management. Data on their clinical spectrum, management, and outcomes remain limited. This study aimed to evaluate the types, frequency, clinical characteristics, treatment strategies, and prognosis of neonatal [...] Read more.
Neonatal arrhythmias, though relatively uncommon, can range from benign self-limiting conditions to life-threatening disorders requiring intensive management. Data on their clinical spectrum, management, and outcomes remain limited. This study aimed to evaluate the types, frequency, clinical characteristics, treatment strategies, and prognosis of neonatal arrhythmias in a tertiary pediatric cardiac center. We retrospectively reviewed neonates diagnosed with arrhythmia within the first 28 days of life at Basaksehir Cam and Sakura City Hospital between 1 January 2021 and 1 May 2025. Demographic data, electrocardiographic and echocardiographic findings, treatment modalities, recurrence, morbidity, and mortality were analyzed. Patients were categorized as having benign or non-benign arrhythmias. A total of 65 neonates (57% male, mean weight 3.2 kg) were included. Non-benign arrhythmias were more frequent (77%) compared to benign arrhythmias (23%). Supraventricular tachycardia (35%) was the most common non-benign arrhythmia, followed by long QT syndrome (10.7%) and complete atrioventricular block (9.2%). Antiarrhythmic therapy was required in 55% of patients. Pacemaker implantation was performed in seven infants with conduction disorders. Recurrence occurred in 3% of cases, exclusively among patients with supraventricular tachycardia. During a median follow-up of 12.8 months, no mortality was observed. Prenatal diagnosis and early management contribute to favorable outcomes, as reflected in the absence of mortality in this cohort. Larger, prospective studies are warranted to define optimal management strategies and treatment durations for neonatal arrhythmias. Full article
Show Figures

Graphical abstract

10 pages, 3424 KB  
Article
Pulsed Field Ablation for the Treatment of Ventricular Arrhythmias Using a Focal, Contact-Force Sensing Catheter: A Single-Center Case Series and Review
by Cristian Martignani, Giulia Massaro, Alberto Spadotto, Maria Carelli, Lorenzo Bartoli, Alessandro Carecci, Andrea Angeletti, Matteo Ziacchi, Mauro Biffi and Matteo Bertini
J. Cardiovasc. Dev. Dis. 2026, 13(2), 59; https://doi.org/10.3390/jcdd13020059 - 23 Jan 2026
Viewed by 185
Abstract
Background: Catheter ablation is a validated treatment for ventricular arrhythmias (VA), but conventional radiofrequency (RF) energy may cause collateral injury due to non-selective thermal damage. Pulsed Field Ablation (PFA), a non-thermal modality based on irreversible electroporation, offers myocardial tissue selectivity and enhanced safety. [...] Read more.
Background: Catheter ablation is a validated treatment for ventricular arrhythmias (VA), but conventional radiofrequency (RF) energy may cause collateral injury due to non-selective thermal damage. Pulsed Field Ablation (PFA), a non-thermal modality based on irreversible electroporation, offers myocardial tissue selectivity and enhanced safety. While PFA is widely adopted for atrial arrhythmias’ ablation, its application in the ventricles remains an evolving frontier. Methods: We report a single-center experience using the Centauri PFA system integrated with a focal, contact-force sensing irrigated catheter (Tacticath™ SE, Abbott Laboratories, St. Paul, MN, USA) in four consecutive patients with drug-refractory VA. Two patients presented with frequent premature ventricular complexes (PVC) arising from the right and left ventricular outflow tract, respectively, while two had ischemic cardiomyopathy with recurrent scar-related ventricular tachycardia (VT). All procedures were guided by high-density mapping using the EnSite X system (Abbott Laboratories, St. Paul, MN, USA). Procedural safety, acute efficacy, and early follow-up outcomes were assessed. Results: All ablations achieved acute procedural success without complications. In both PVC cases, PFA led to immediate and complete suppression of ectopy, with a ≥95% reduction in arrhythmic burden at 12- and 9-months follow-up, respectively. In the VT cases, the arrhythmogenic substrate was effectively modified, rendering the clinical VT non-inducible. ICD interrogation during a 9-month follow-up showed complete absence of recurrent sustained VT. No coronary spasm, atrioventricular block, pericardial effusion, or other adverse events occurred. Conclusions: In this initial experience, focal PFA using a contact-force sensing catheter appeared feasible and effective for both focal and scar-related VA. This system provides an intuitive workflow similar to RF ablation. While our data suggest a favourable safety profile, larger studies are required to definitively confirm safety margins near critical structures. Full article
(This article belongs to the Special Issue Hybrid Ablation of the Atrial Fibrillation)
Show Figures

Figure 1

10 pages, 5014 KB  
Case Report
Unveiling the Hidden Risk: Ticagrelor-Induced Bradyarrhythmias and Conduction Complications in ACS Patients—Case Series
by Aleksandra Gorzynska-Schulz, Damian Stencelewski, Ludmiła Daniłowicz-Szymanowicz, Monika Lica-Gorzynska, Agata Firkowska and Elżbieta Wabich
J. Cardiovasc. Dev. Dis. 2026, 13(1), 7; https://doi.org/10.3390/jcdd13010007 - 22 Dec 2025
Viewed by 417
Abstract
Background: Ticagrelor is a reversible, direct inhibitor of the platelet adenosine diphosphate (P2Y12) receptor, widely used in combination with acetylsalicylic acid (ASA) as dual antiplatelet therapy (DAPT) in patients with acute coronary syndrome (ACS) to prevent cardiovascular events. Despite its well-established efficacy, ticagrelor [...] Read more.
Background: Ticagrelor is a reversible, direct inhibitor of the platelet adenosine diphosphate (P2Y12) receptor, widely used in combination with acetylsalicylic acid (ASA) as dual antiplatelet therapy (DAPT) in patients with acute coronary syndrome (ACS) to prevent cardiovascular events. Despite its well-established efficacy, ticagrelor may cause adverse effects ranging from common ones (e.g., bleeding, dyspnea) to rare but potentially serious reactions such as bradyarrhythmias. These rare events are likely related to elevated adenosine levels secondary to inhibition of the human equilibrative nucleoside transporter 1 (hENT1). Methods: We describe two clinical cases of ticagrelor-associated bradyarrhythmia observed in patients following ACS. Both cases were analyzed in terms of clinical presentation, ECG findings, management strategy, and outcomes after discontinuation of the drug. Results: The first case concerns a 67-year-old woman with non-ST-segment elevation myocardial infarction (NSTEMI) who developed complete atrioventricular block (third degree) with a 45 s asystolic pause and syncope. The second case involves a 67-year-old man with anterior ST-segment elevation myocardial infarction (STEMI) who experienced recurrent sinus pauses lasting up to 5 s. In both cases, symptoms resolved following ticagrelor discontinuation and theophylline administration. No recurrence of arrhythmia was observed after switching to prasugrel. Conclusions: Ticagrelor-induced bradyarrhythmias, although rare, represent an important and reversible adverse effect that clinicians should be aware of, particularly during the early post-ACS phase. Prompt recognition and drug withdrawal may prevent severe outcomes and avoid unnecessary interventions such as pacemaker implantation. Further studies are warranted to identify patient-specific risk factors predisposing to ticagrelor-related conduction disturbances. Full article
Show Figures

Figure 1

21 pages, 1808 KB  
Article
Integrated Assessment of the Cardiotoxic and Neurobehavioral Effects of 3,4-Methylenedioxypyrovalerone (MDPV) in Zebrafish Embryos
by Ouwais Aljabasini, Niki Tagkalidou, Juliette Bedrossiantz, Eva Prats, Raul Lopez Arnau and Demetrio Raldua
Int. J. Mol. Sci. 2026, 27(1), 59; https://doi.org/10.3390/ijms27010059 - 20 Dec 2025
Viewed by 527
Abstract
Synthetic cathinones such as 3,4-methylenedioxypyrovalerone (MDPV) are potent psychostimulants with high abuse potential, yet their systemic toxicity and neurobehavioral effects remain poorly characterized during early development. Using Danio rerio (zebrafish) embryos and larvae, we performed an integrated assessment of the cardiotoxic, behavioral, and [...] Read more.
Synthetic cathinones such as 3,4-methylenedioxypyrovalerone (MDPV) are potent psychostimulants with high abuse potential, yet their systemic toxicity and neurobehavioral effects remain poorly characterized during early development. Using Danio rerio (zebrafish) embryos and larvae, we performed an integrated assessment of the cardiotoxic, behavioral, and molecular effects of MDPV. Acute exposure of 3 days post-fertilization (dpf) embryos produced a marked, concentration-dependent bradycardia and atrioventricular (AV) conduction block, leading to reduced ventricular activity and complete AV dissociation at the highest concentrations (EC50 = 228 µM). Quantitative analysis of ventricular motion revealed a significant decrease in cardiac output (CO) at all tested concentrations and a reduction in ejection fraction (EF) only at 480 µM, while fractional shortening (FS) and stroke volume (SV) remained unchanged, indicating predominant chronotropic and conduction effects with secondary contractile impairment. In 5 dpf larvae, MDPV caused a sustained, concentration-dependent decrease in basal locomotor activity (EC50 = 2.51 µM) but did not affect prepulse inhibition (PPI) of the acoustic startle response (ASR), unlike dextroamphetamine, which enhanced PPI via dopaminergic D2 receptor activation. Short-term (2 h) exposure of 3 dpf embryos to 0.4–400 µM MDPV induced transcriptional changes in dopaminergic and stress-responsive genes, whereas expression of major repolarizing potassium channel genes (kcnh6a and kcnq1) remained unaltered. Collectively, these results demonstrate that MDPV exerts potent negative chronotropic effects likely through direct functional interference with cardiac repolarization, while neurobehavioral effects occur at concentrations nearly two orders of magnitude lower than cardiotoxic thresholds, supporting zebrafish as a predictive model for the integrative assessment of psychostimulant toxicity. Full article
(This article belongs to the Special Issue Toxicology of Psychoactive Drugs)
Show Figures

Graphical abstract

9 pages, 686 KB  
Case Report
Complete Heart Block in the Fetus: An Antenatal Complication of Sjögren’s Syndrome
by Maria Videnie, Cristian Viorel Poalelungi, Andreea Chiriac, Anca Bobircă, Maria-Cristina Alexandru and Iuliana Ceaușu
Life 2025, 15(12), 1890; https://doi.org/10.3390/life15121890 - 11 Dec 2025
Viewed by 581
Abstract
Background: Complete fetal atrioventricular block (CAVB) is a rare but life-threatening condition, occurring in approximately 1–2% of pregnancies associated with maternal anti-Ro/SSA antibodies. The transplacental migration of anti-Ro/SSA and anti-La/SSB antibodies damages the fetal cardiac system, leading to sustained bradycardia, cardiomyopathy, fetal hydrops, [...] Read more.
Background: Complete fetal atrioventricular block (CAVB) is a rare but life-threatening condition, occurring in approximately 1–2% of pregnancies associated with maternal anti-Ro/SSA antibodies. The transplacental migration of anti-Ro/SSA and anti-La/SSB antibodies damages the fetal cardiac system, leading to sustained bradycardia, cardiomyopathy, fetal hydrops, and intrauterine fetal demise. Despite the use of fluorinated corticosteroids or β-agonists, therapeutic efficacy remains limited once a complete block is established. Case Presentation: We present the case of a 35-year-old primigravida with a pregnancy achieved through in vitro fertilization (IVF). At 20 weeks of gestation, she was referred to our emergency unit due to persistent fetal bradycardia. Fetal echocardiography confirmed CAVB with a ventricular rate of 64 bpm. Maternal serologic testing was positive for anti-Ro/SSA and anti-La/SSB antibodies, suggesting an autoimmune etiology. Treatment with oral dexamethasone and salbutamol was initiated, but follow-up echocardiography at 24 weeks showed worsening cardiac status, including reduced ventricular rate of 59 bpm, cardiomegaly, and pericardial effusion. Intrauterine fetal death occurred at 25 weeks of gestation. Management and Outcome: Four months postpartum, the patient underwent a minor salivary gland biopsy. Histopathological evaluation confirmed the diagnosis of primary Sjögren’s syndrome. Conclusions: This case illustrates the severe consequences of autoimmune-mediated CAVB and the limited effectiveness of available treatments once a complete block has developed. It underscores the importance of early fetal rhythm surveillance and targeted maternal autoimmune screening—particularly before assisted reproduction, where structured preconception evaluation offers an opportunity for earlier recognition and risk stratification. Earlier detection may improve counseling and management strategies in future pregnancies. Full article
(This article belongs to the Special Issue Clinical Management and Prevention of Adverse Pregnancy Outcomes)
Show Figures

Figure 1

8 pages, 1280 KB  
Case Report
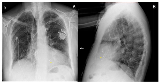
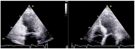
From Technical Pitfall to Clinical Consequences: Leadless Pacing as a Rescue Solution
by Fulvio Cacciapuoti, Ciro Mauro, Flavia Casolaro, Antonio Torsi, Salvatore Crispo and Mario Volpicelli
Reports 2025, 8(4), 206; https://doi.org/10.3390/reports8040206 - 17 Oct 2025
Viewed by 695
Abstract
Background and Clinical Significance: Early lead failure after dual-chamber pacemaker implantation is rare but clinically significant, particularly when associated with thromboembolic complications. Technical pitfalls at the time of implantation, such as suture fixation without protective sleeves, may be predisposed to premature lead damage [...] Read more.
Background and Clinical Significance: Early lead failure after dual-chamber pacemaker implantation is rare but clinically significant, particularly when associated with thromboembolic complications. Technical pitfalls at the time of implantation, such as suture fixation without protective sleeves, may be predisposed to premature lead damage and abrupt device malfunction. This case highlights the role of device interrogation in diagnosing arrhythmia-related stroke, the challenges of reimplantation in the setting of venous occlusion and anticoagulation, and the value of leadless pacing as a safe rescue strategy. Case Presentation: A 78-year-old man with a history of complete atrioventricular block underwent dual-chamber pacemaker implantation one year earlier. He presented to the emergency department with acute aphasia, right-sided hemiparesis, and facial asymmetry. Stroke was diagnosed, and new-onset atrial fibrillation was documented. Device interrogation revealed an abrupt fall in lead impedance followed by a sharp rise consistent with lead insulation failure and premature battery depletion. Fluoroscopy demonstrated multiple focal narrowings of the leads and complete left subclavian vein occlusion, making conventional transvenous reimplantation unfeasible, while extraction was judged high risk. Right-sided reimplantation was avoided due to hemorrhagic risk under anticoagulation. A leadless pacemaker was implanted successfully in the apico-septal region of the right ventricle via ultrasound-guided femoral access. Hemostasis was secured with a figure-of-8 suture fixed inside a 3-way tap, providing constant compression and preventing hematoma. At two-months follow-up, device function was stable and neurological recovery was favorable (mRS = 2). Conclusions: This case underscores how multiple adverse factors—stroke, arrhythmia detection, early device failure, venous occlusion, and anticoagulation—may converge in a single patient, and demonstrates leadless pacing as a safe and effective rescue strategy in such complex scenarios. Full article
(This article belongs to the Section Cardiology/Cardiovascular Medicine)
Show Figures

Figure 1

12 pages, 6126 KB  
Case Report
Improved Myocardial Function in Autoimmune-Mediated Fetal Complete Atrioventricular Block Following Dexamethasone and Intravenous Immunoglobulin: A Case Report
by Maria Elisa Martini Albrecht, Milena Giuberti Bathomarco, Gustavo Yano Callado, Nathalie Jeanne Bravo-Valenzuela and Edward Araujo Júnior
Women 2025, 5(2), 20; https://doi.org/10.3390/women5020020 - 6 Jun 2025
Cited by 1 | Viewed by 1619
Abstract
This case report describes a fetus diagnosed with complete atrioventricular block (CAVB) associated with positive maternal anti-Ro and anti-La antibodies, referred to our fetal cardiology unit at 25 weeks of gestation. The diagnosis of systemic lupus erythematosus (SLE) was established during the investigation [...] Read more.
This case report describes a fetus diagnosed with complete atrioventricular block (CAVB) associated with positive maternal anti-Ro and anti-La antibodies, referred to our fetal cardiology unit at 25 weeks of gestation. The diagnosis of systemic lupus erythematosus (SLE) was established during the investigation of the fetal condition. Oral dexamethasone was initiated and well tolerated, with no adverse effects reported throughout the remainder of the pregnancy. The fetal heart rate (HR) remained above 50 bpm, and, therefore, no beta-sympathomimetic agents were administered. Due to progressive reduction in myocardial contractility and the appearance of early signs of endocardial fibroelastosis, intravenous immunoglobulin (IVIG) therapy was initiated. The patient was hospitalized for the infusion, which was well tolerated without complications, and a second IVIG cycle was administered four weeks later. Significant improvement in ventricular contractility and reduction in fibroelastosis were observed. As reported in the literature, no chronotropic effect was noted, and fetal HR remained stable after treatment. Weekly monitoring of cardiovascular profile score and fetal HR was maintained, with the score consistently remaining at 8 throughout gestation, supporting continued outpatient management. Delivery occurred at 36 weeks and 3 days due to spontaneous preterm labor. A male neonate weighing 3025 g was delivered with Apgar scores of 8 and 9, and an initial heart rate of 84 bpm. Neonatal electrocardiography confirmed persistent CAVB, and the newborn was monitored in the neonatal intensive care unit. At follow-up, the infant remains clinically stable and has not required permanent pacemaker implantation. Full article
Show Figures

Figure 1

9 pages, 736 KB  
Article
Isolated Rapid Deployment Aortic Valve Replacement in Patients with Aortic Stenosis: Single-Center Retrospective Study
by Ricardo Ferreira, Tiago R. Velho, João Gonçalves, André Sena, Beatriz Draiblate, Ana G. Almeida, Ângelo Nobre and Fausto Pinto
J. Cardiovasc. Dev. Dis. 2025, 12(5), 191; https://doi.org/10.3390/jcdd12050191 - 17 May 2025
Viewed by 828
Abstract
Background: Aortic valve stenosis remains the most prevalent valvular pathology in Western countries. Rapid deployment bioprosthesis (RD) has emerged as a promising alternative to conventional valves for surgical aortic valve replacement (SAVR), particularly in elderly and high-risk patients. This study reports the short- [...] Read more.
Background: Aortic valve stenosis remains the most prevalent valvular pathology in Western countries. Rapid deployment bioprosthesis (RD) has emerged as a promising alternative to conventional valves for surgical aortic valve replacement (SAVR), particularly in elderly and high-risk patients. This study reports the short- and long-term outcomes of RD in patients with isolated aortic stenosis. Methods: A retrospective single-center analysis was conducted on 382 patients who underwent RD-AVR between 2014 and 2020. Data were collected from clinical files and national electronic databases. Primary outcomes included cardiopulmonary bypass (CPB) and cross-clamping (XC) times, postoperative complications, and long-term survival. Results: The mean age was 75.6 ± 5.9 years, with 29.8% of patients over 80 years old and a mean EuroSCORE II of 2.3 ± 1.5%. CPB and XC times were 36.7 ± 10.8 and 27.4 ± 8.1 min, respectively. Postoperative complications included acute kidney injury (AKI, 53.4%), de novo atrial fibrillation (31.9%), and high-grade/complete atrioventricular block with permanent pacemaker implantation (9.8%). In-hospital and 30-day mortality was 1.02% and 2.3%, respectively. The 5-year survival rate was 77%. At 6 months postoperatively, the mean transvalvular gradient was 11.1 ± 4.7 mmHg. At a median follow-up of 6.7 years, no cases of structural valve deterioration and only one case of endocarditis were reported. Conclusion: In this single-center study, RD in isolated AVR demonstrated favorable short- and long-term outcomes, including no structural valve deterioration at mid-term follow-up. These devices offer a safe and effective alternative to conventional SAVR, particularly in high-risk populations. Full article
Show Figures

Graphical abstract

14 pages, 12664 KB  
Case Report
Drug-Induced Complete Atrioventricular Block in an Elderly Patient: A Case Report Highlighting Digoxin-Beta Blocker Interactions and a Paradoxical State
by Cristiana Bustea, Andrei-Flavius Radu, Cosmin Mihai Vesa, Ada Radu, Teodora Maria Bodog, Ruxandra Florina Bodog, Paula Bianca Maghiar and Adrian Marius Maghiar
Life 2025, 15(2), 215; https://doi.org/10.3390/life15020215 - 31 Jan 2025
Cited by 2 | Viewed by 7407
Abstract
Complete atrioventricular (AV) block is a severe conduction abnormality caused by intrinsic cardiac disease, ischemia, electrolyte imbalances, or drug interactions. Elderly patients on multiple medications are particularly vulnerable to polypharmacy-related interactions. This case report describes an 82-year-old female presenting to the emergency department [...] Read more.
Complete atrioventricular (AV) block is a severe conduction abnormality caused by intrinsic cardiac disease, ischemia, electrolyte imbalances, or drug interactions. Elderly patients on multiple medications are particularly vulnerable to polypharmacy-related interactions. This case report describes an 82-year-old female presenting to the emergency department with fatigue, syncope, and disorientation. Her medical history included atrial fibrillation, hypertension, and heart failure, with a medication regimen of digoxin 0.25 mg given daily 5 days out of 7, metoprolol 50 mg twice daily, lisinopril 10 mg daily, furosemide 40 mg daily, and spironolactone 50 mg daily. Clinical examination revealed bradycardia and a holosystolic murmur in the mitral valve area, while the electrocardiogram showed complete AV block at a ventricular rate of 35 bpm. Laboratory results indicated mild hyperkalemia (4.9 mmol/L). Suspecting a digoxin–beta-blocker interaction, antiarrhythmic therapy was discontinued. Within three days, the AV block resolved, transitioning to atrial fibrillation with a high ventricular rate. Bisoprolol was introduced for rate control, and hemodynamic stability was achieved. The patient was discharged with a revised medication regimen and showed no recurrence of AV block. This case emphasizes the importance of recognizing drug interactions as a reversible cause of AV block and using drug interaction checkers to manage polypharmacy, especially in elderly patients with multiple comorbidities. It also highlights the rare and paradoxical combination of atrial flutter and complete AV block. Full article
Show Figures

Figure 1

8 pages, 2069 KB  
Case Report
Transient Third-Degree Atrioventricular Block in a Dog with Addisonian Crisis
by Paula Maria Pașca, Gheorghe Solcan, Andrei Blageanu, Caroline Maria Lăcătuș, Petru Cosmin Peștean, Constantin Adrian Stancu and Andrei Radu Baisan
Vet. Sci. 2025, 12(1), 63; https://doi.org/10.3390/vetsci12010063 - 16 Jan 2025
Cited by 1 | Viewed by 2749
Abstract
A 3-year-old spayed male mixed-breed Labrador presented to the Emergency and Critical Care Unit with lethargy, loss of appetite, vomiting, a recent history of presyncopal episodes, and severe exercise intolerance. On admission, the patient had bradycardia, low blood pressure, and mild abdominal pain. [...] Read more.
A 3-year-old spayed male mixed-breed Labrador presented to the Emergency and Critical Care Unit with lethargy, loss of appetite, vomiting, a recent history of presyncopal episodes, and severe exercise intolerance. On admission, the patient had bradycardia, low blood pressure, and mild abdominal pain. Serum biochemistry information revealed severe hyperkalemia, hyponatremia, hypoglycemia, and mildly increased liver and kidney parameters. Upon taking these findings into consideration, hypoadrenocorticism was suspected, and a basal cortisol level was determined; it was below 1.0 µg/dL. Upon examination with ultrasound, we observed that the size of the adrenal glands was considerably reduced. Due to the bradycardia, a complete cardiologic examination consisting of 5 min of six-lead electrocardiography and echocardiography (ECG) was performed. Six-lead ECG revealed a complete atrio-ventricular block with an atrial rate of 140 bpm and a ventricular rate of 60 bpm. The PQ interval was variable, without any evidence of atrio-ventricular conduction. Treatment for hyperkalemia was initiated immediately after admission, followed by dexamethasone sodium phosphate administration, which led to an improvement in the patient’s general condition, and the normalization of the ECG readings, after 24 h of therapy. Afterward, prednisolone (0.5 mg/kg/24 h p.o.) and desoxycorticosterone pivalate (2.2 mg/kg s.c.) were administered. This case shows that a third-degree atrioventricular block might be a reversible problem in dogs with hypoadrecorticism that can be managed with specific treatment for this disorder, without requiring pacemaker implantation. Full article
Show Figures

Figure 1

10 pages, 771 KB  
Article
Arrhythmias May Hide a Genetic Cardiomyopathy in Left Ventricular Hypertrabeculation in Children: A Single-Center Experience
by Irma Battipaglia, Nicoletta Cantarutti, Marianna Cicenia, Rachele Adorisio, Virginia Battista, Anwar Baban, Massimo Stefano Silvetti and Fabrizio Drago
Children 2024, 11(10), 1233; https://doi.org/10.3390/children11101233 - 13 Oct 2024
Viewed by 1465
Abstract
Background. Left ventricular hypertrabeculation (LVHT) is a myocardial disorder with different clinical manifestations, from total absence of symptoms to heart failure, arrhythmias, sudden cardiac death (SCD), and thromboembolic events. It is challenging to distinguish between the benign and pathological forms of LVHT. The [...] Read more.
Background. Left ventricular hypertrabeculation (LVHT) is a myocardial disorder with different clinical manifestations, from total absence of symptoms to heart failure, arrhythmias, sudden cardiac death (SCD), and thromboembolic events. It is challenging to distinguish between the benign and pathological forms of LVHT. The aim of this study was to describe the arrhythmic manifestations of LVHT in a large group of pediatric patients and to correlate them with genetic results or other clinical markers. Methods. We retrospectively enrolled 140 pediatric patients with diagnosis of LVHT followed at our Institution from 2013 to 2023. Data regarding family history, instrumental exams, cardiac magnetic resonance, genetic testing and outcomes were collected. Most of them had isolated LVHT (80.7%); in other patients, mixed phenotypes (hypertrophic or dilated cardiomyopathy or congenital heart disease) were present. Results. Arrhythmias were found in 33 children (23.6%): 13 (9.3%) supraventricular tachyarrhythmias; 14 (10%) ventricular arrhythmias (five frequent PVCs (premature ventricular contractions), eight patients with ventricular tachycardia (VT), one ventricular fibrillation (VF)); two (1.4%) sinus node disfunctions; two (1.4%) complete atrio-ventricular blocks (AVB), three (2.1%) paroxysmal complete AVB, one (0.7%) severe I degree AVB. Three patients received an ICD (implantable cardioverter defibrillator). Comparison between LVHT patients with (33 pts) and without (107 pts) arrhythmias as regards genetic testing showed a statistical significance for the presence of class 4 or 5 genetic variants and arrhythmic manifestation (p = 0.037). Conclusions. In our pediatric cohort with LVHT, good outcomes were observed, but arrhythmias were not so rare (23.6%); no SCD occurred. Full article
Show Figures

Figure 1

12 pages, 819 KB  
Article
Temporal Trends in Patient Characteristics and Clinical Outcomes of TAVR: Over a Decade of Practice
by Nour Karra, Amir Sharon, Eias Massalha, Paul Fefer, Elad Maor, Victor Guetta, Sagit Ben-Zekry, Rafael Kuperstein, Shlomi Matetzky, Roy Beigel, Amit Segev and Israel M. Barbash
J. Clin. Med. 2024, 13(17), 5027; https://doi.org/10.3390/jcm13175027 - 25 Aug 2024
Cited by 6 | Viewed by 2687
Abstract
Background/Objective: Transcatheter aortic valve replacement (TAVR) is indicated for severe aortic stenosis patients with a prohibitive surgical risk. However, its use has been expanding in recent years to include intermediate- and low-risk patients. Thus, registry data describing changes in patient characteristics and outcomes [...] Read more.
Background/Objective: Transcatheter aortic valve replacement (TAVR) is indicated for severe aortic stenosis patients with a prohibitive surgical risk. However, its use has been expanding in recent years to include intermediate- and low-risk patients. Thus, registry data describing changes in patient characteristics and outcomes are needed. The aim of this study was to analyse the temporal changes in patient profiles and clinical outcomes of all-comer TAVR. Methods: Baseline characteristics and VARC-3 outcomes of 1632 consecutive patients undergoing TAVR between 2008 and 2021 were analysed. Results: The annual rate of TAVR increased from 30 procedures in 2008–2009 to 398 in 2020–2021. Over the follow-up period, patient age decreased from 85 ± 4 to 80 ± 6.8 (p < 0.001) and the STS score decreased from 5.9% to 2.8% (p < 0.001). Procedural characteristics significantly changed, representing a shift into a minimally invasive approach: adoption of local anaesthesia (none to 48%, p < 0.001) and preference of transfemoral access (74% in 2011–2012 vs. 94.5% in 2020–2021, p < 0.001). The rates of almost all procedural complications decreased, including major vascular and bleeding complications, acute kidney injury (AKI) and in-hospital heart failure. There was a striking decline in rates of complete atrioventricular block (CAVB) and the need for a permanent pacemaker (PPM). PPM rates, however, remain high (17.8%). Thirty-day and one-year mortality significantly declined to 1.8% and 8.3%, respectively. Multivariable analysis shows that AKI, bleeding and stroke are strong predictors of one-year mortality (p < 0.001). Conclusions: The TAVR procedure has changed dramatically during the last 14 years in terms of patient characteristics, procedural aspects and device maturity. These shifts have led to improved procedural safety, contributing to improved short- and long-term patient outcomes. Full article
Show Figures

Figure 1

2 pages, 267 KB  
Case Report
Recurrent Takotsubo Syndrome with Contemporary Brady- and Tachyarrhythmic Presentation
by Andrea Demarchi, Lorenzo Greco, Francois Regoli, Marcello Di Valentino, Marco Amoruso, Alessandro Felice Chiesa, Silvia Pirroni, Mauro Foletti, Angelo Di Simone, Simone Sarzilla and Andrea Menafoglio
Cardiovasc. Med. 2024, 27(4), 120; https://doi.org/10.4414/cvm.2024.1514199273 - 14 Aug 2024
Viewed by 242
Abstract
We present a case of recurrent takotsubo syndrome with contemporary brady- and tachyarrhythmic presentation, a rare clinical pattern for which the correct treatment is still a matter of debate. Full article
Show Figures

Figure 1

15 pages, 1195 KB  
Article
Monitoring of Women with Anti-Ro/SSA and Anti-La/SSB Antibodies in Germany—Status Quo and Intensified Monitoring Concepts
by Ivonne Alexandra Bedei, David Kniess, Corinna Keil, Aline Wolter, Johanna Schenk, Ulrich J. Sachs and Roland Axt-Fliedner
J. Clin. Med. 2024, 13(4), 1142; https://doi.org/10.3390/jcm13041142 - 17 Feb 2024
Cited by 5 | Viewed by 7152
Abstract
Background: The fetuses of pregnant women affected by anti-Ro/anti-La antibodies are at risk of developing complete atrioventricular heart block (CAVB) and other potentially life-threatening cardiac affections. CAVB can develop in less than 24 h. Treatment with anti-inflammatory drugs and immunoglobulins (IVIG) can restore [...] Read more.
Background: The fetuses of pregnant women affected by anti-Ro/anti-La antibodies are at risk of developing complete atrioventricular heart block (CAVB) and other potentially life-threatening cardiac affections. CAVB can develop in less than 24 h. Treatment with anti-inflammatory drugs and immunoglobulins (IVIG) can restore the normal rhythm if applied in the transition period. Routine weekly echocardiography, as often recommended, will rarely detect emergent AVB. The surveillance of these pregnancies is controversial. Home-monitoring using a hand-held Doppler is a promising new approach. Methods: To obtain an overview of the current practice in Germany, we developed a web-based survey sent by the DEGUM (German Society of Ultrasound in Medicine) to ultrasound specialists. With the intention to evaluate practicability of home-monitoring, we instructed at-risk pregnant women to use a hand-held Doppler in the vulnerable period between 18 and 26 weeks at our university center. Results: There are trends but no clear consensus on surveillance, prophylaxis, and treatment of anti-Ro/La positive pregnant between specialists in Germany. Currently most experts do not offer home-monitoring but have a positive attitude towards its prospective use. Intensified fetal monitoring using a hand-held Doppler is feasible for pregnant women at risk and does not lead to frequent and unnecessary contact with the center. Conclusion: Evidence-based guidelines are needed to optimize the care of anti-Ro/La-positive pregnant women. Individual risk stratification could help pregnancy care of women at risk and is welcmed by most experts. Hand-held doppler monitoring is accepted by patients and prenatal medicine specialists as an option for intensified monitoring and can be included in an algorithm for surveillance. Full article
(This article belongs to the Special Issue Clinical Advances in Maternal-Fetal Medicine)
Show Figures

Figure 1

Back to TopTop